Alpha-Mangostin Suppresses LPS-Induced Inflammation in Human Dental Pulp Cells
Abstract
1. Introduction
2. Materials and Methods
2.1. Reagents
2.2. Cell Culture
2.3. Cytotoxicity Assay
2.4. Quantitative Real-Time Polymerase Chain Reaction (qPCR)
2.5. Western Blot Analysis
2.6. Alkaline Phosphatase Staining
2.7. Statistical Analysis
3. Results
3.1. Effects of LPS and α-MG on Cell Viability
3.2. Effects of α-MG on LPS-Induced mRNA and Protein Expression of Inflammatory Mediators in hDPCs
3.3. Effects of α-MG on ALP Activity
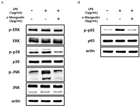
3.4. Effects of α-MG on MAPK and NF-κB Signaling Pathways in hDPCs
4. Discussion
5. Conclusions
Author Contributions
Funding
Institutional Review Board Statement
Informed Consent Statement
Data Availability Statement
Conflicts of Interest
References
- Maślińska, D.; Gajewski, M. Some aspects of the inflammatory process. Folia Neuropathol. 1998, 36, 199–204. [Google Scholar] [PubMed]
- Shingala, Z.; Chauhan, B.; Baraiya, J. A review on medicinal plants as a source of anti-inflammatory agents. J. Pharmacogn. Phytochem. 2021, 10, 364–371. [Google Scholar] [CrossRef]
- Lam, D.; Harris, D.; Qin, Z. Inflammatory mediator profiling reveals immune properties of chemotactic gradients and macrophage mediator production inhibition during thioglycollate elicited peritoneal inflammation. Mediat. Inflamm. 2013, 2013, 931562. [Google Scholar] [CrossRef] [PubMed]
- Cragg, G.M.; Boyd, M.R.; Khanna, R.; Newman, D.J.; Sausville, E.A. Natural product drug discovery and development. In Phytochemicals in Human Health Protection, Nutrition, and Plant Defense; Springer: Boston, MA, USA, 1999; pp. 1–29. [Google Scholar]
- Ibrahim, M.Y.; Hashim, N.M.; Mariod, A.A.; Mohan, S.; Abdulla, M.A.; Abdelwahab, S.I.; Arbab, I.A. α-Mangostin from Garcinia mangostana Linn: An updated review of its pharmacological properties. Arab. J. Chem. 2016, 9, 317–329. [Google Scholar] [CrossRef]
- Cragg, G.M.; Newman, D.J.; Snader, K.M. Natural products in drug discovery and development. J. Nat. Prod. 1997, 60, 52–60. [Google Scholar] [CrossRef] [PubMed]
- Syam, S.; Bustamam, A.; Abdullah, R.; Sukari, M.A.; Hashim, N.M.; Mohan, S.; Looi, C.Y.; Wong, W.F.; Yahayu, M.A.; Abdelwahab, S.I. β Mangostin suppress LPS-induced inflammatory response in RAW 264.7 macrophages in vitro and carrageenan-induced peritonitis in vivo. J. Ethnopharmacol. 2014, 153, 435–445. [Google Scholar] [CrossRef]
- Hung, S.-H.; Shen, K.-H.; Wu, C.-H.; Liu, C.-L.; Shih, Y.-W. α-Mangostin suppresses PC-3 human prostate carcinoma cell metastasis by inhibiting matrix metalloproteinase-2/9 and urokinase-plasminogen expression through the JNK signaling pathway. J. Agric. Food Chem. 2009, 57, 1291–1298. [Google Scholar] [CrossRef]
- Hsieh, S.-C.; Huang, M.-H.; Cheng, C.-W.; Hung, J.-H.; Yang, S.-F.; Hsieh, Y.-H. α-Mangostin induces mitochondrial dependent apoptosis in human hepatoma SK-Hep-1 cells through inhibition of p38 MAPK pathway. Apoptosis 2013, 18, 1548–1560. [Google Scholar] [CrossRef]
- Shih, Y.-W.; Chien, S.-T.; Chen, P.-S.; Lee, J.-H.; Wu, S.-H.; Yin, L.-T. α-Mangostin suppresses phorbol 12-myristate 13-acetate-induced MMP-2/MMP-9 expressions via αvβ3 integrin/FAK/ERK and NF-κB signaling pathway in human lung adenocarcinoma A549 cells. Cell Biochem. Biophys. 2010, 58, 31–44. [Google Scholar] [CrossRef]
- Bellik, Y.; Boukraâ, L.; Alzahrani, H.A.; Bakhotmah, B.A.; Abdellah, F.; Hammoudi, S.M.; Iguer-Ouada, M. Molecular mechanism underlying anti-inflammatory and anti-allergic activities of phytochemicals: An update. Molecules 2013, 18, 322–353. [Google Scholar] [CrossRef]
- Livak, K.J.; Schmittgen, T.D. Analysis of relative gene expression data using real-time quantitative PCR and the 2− ΔΔCT method. Methods 2001, 25, 402–408. [Google Scholar] [CrossRef] [PubMed]
- Bumrungpert, A.; Kalpravidh, R.W.; Chitchumroonchokchai, C.; Chuang, C.-C.; West, T.; Kennedy, A.; McIntosh, M. Xanthones from mangosteen prevent lipopolysaccharide-mediated inflammation and insulin resistance in primary cultures of human adipocytes. J. Nutr. 2009, 139, 1185–1191. [Google Scholar] [CrossRef] [PubMed]
- Bumrungpert, A.; Kalpravidh, R.W.; Chuang, C.-C.; Overman, A.; Martinez, K.; Kennedy, A.; McIntosh, M. Xanthones from mangosteen inhibit inflammation in human macrophages and in human adipocytes exposed to macrophage-conditioned media. J. Nutr. 2010, 140, 842–847. [Google Scholar] [CrossRef] [PubMed]
- Liu, S.-H.; Lee, L.-T.; Hu, N.-Y.; Huange, K.-K.; Shih, Y.-C.; Munekazu, I.; Li, J.-M.; Chou, T.-Y.; Wang, W.-H.; Chen, T.-S. Effects of alpha-mangostin on the expression of anti-inflammatory genes in U937 cells. Chin. Med. 2012, 7, 19. [Google Scholar] [CrossRef]
- Gutierrez-Orozco, F.; Chitchumroonchokchai, C.; Lesinski, G.B.; Suksamrarn, S.; Failla, M.L. α-Mangostin: Anti-inflammatory activity and metabolism by human cells. J. Agric. Food Chem. 2013, 61, 3891–3900. [Google Scholar] [CrossRef] [PubMed]
- Gutierrez-Orozco, F.; Failla, M.L. Biological activities and bioavailability of mangosteen xanthones: A critical review of the current evidence. Nutrients 2013, 5, 3163–3183. [Google Scholar] [CrossRef]
- Widowati, W.; Darsono, L.; Suherman, J.; Fauziah, N.; Maesaroh, M.; Erawijantari, P.P. Anti-inflammatory effect of mangosteen (Garcinia mangostana L.) peel extract and its compounds in LPS-induced RAW264. 7 cells. Nat. Prod. Sci. 2016, 22, 147–153. [Google Scholar] [CrossRef]
- Springer, T.A. Adhesion receptors of the immune system. Nature 1990, 346, 425–434. [Google Scholar] [CrossRef]
- Springer, T.A. Traffic signals on endothelium for lymphocyte recirculation and leukocyte emigration. Annu. Rev. Physiol. 1995, 57, 827–872. [Google Scholar] [CrossRef]
- Cronstein, B.N.; Weissmann, G. The adhesion molecules of inflammation. Arthritis Rheumatol. 1993, 36, 147–157. [Google Scholar] [CrossRef]
- Zou, W.; Yin, P.; Shi, Y.; Jin, N.; Gao, Q.; Li, J.; Liu, F. A Novel Biological Role of α-Mangostin via TAK1–NF-κB Pathway against Inflammatory. Inflammation 2019, 42, 103–112. [Google Scholar] [CrossRef] [PubMed]
- Yin, P.; Zou, W.; Li, J.; Jin, N.; Gao, Q.; Liu, F. Using high-throughput sequencing to explore the anti-inflammatory effects of α-mangostin. Sci. Rep. 2019, 9, 15626. [Google Scholar] [CrossRef] [PubMed]
- Mucuk, G.; Sepet, E.; Erguven, M.; Ekmekcı, O.; Bılır, A. 1, 25-Dihydroxyvitamin D3 stimulates odontoblastic differentiation of human dental pulp-stem cells in vitro. Connect. Tissue Res. 2017, 58, 531–541. [Google Scholar] [CrossRef] [PubMed]





| Primer Sequences (5′-3′) | |
|---|---|
| IL-1β | Forward: AGCAGCACATCAACAAGAGC Reverse: GGTGTGCCGTCTTTCATTAC |
| IL-6 | Forward: GAGACTTCCATCCAGTTGCC Reverse: TACTCCAGAAGACCAGAGG |
| ICAM-1 | Forward: CTCCAATGTGCCAGGCTTG Reverse: CAGTGGGAAAGTGCCATCCT |
| VCAM-1 | Forward: TTCCCTAGAGATCCAGAAATCGAG Reverse: CCTGCAGCTTACAGTGACAGAGC |
| β-actin | Forward: TGGATGGCTACGTACATGGCTGGG Reverse: TTCTTTGCAGCTCCTTCGTTGCCG |
Disclaimer/Publisher’s Note: The statements, opinions and data contained in all publications are solely those of the individual author(s) and contributor(s) and not of MDPI and/or the editor(s). MDPI and/or the editor(s) disclaim responsibility for any injury to people or property resulting from any ideas, methods, instructions or products referred to in the content. |
© 2023 by the authors. Licensee MDPI, Basel, Switzerland. This article is an open access article distributed under the terms and conditions of the Creative Commons Attribution (CC BY) license (https://creativecommons.org/licenses/by/4.0/).
Share and Cite
Kim, Y.-S.; Jang, J.-H.; Koh, J.-T.; Hwang, Y.-C.; Oh, W.-M.; Lee, B.-N. Alpha-Mangostin Suppresses LPS-Induced Inflammation in Human Dental Pulp Cells. Appl. Sci. 2023, 13, 681. https://doi.org/10.3390/app13020681
Kim Y-S, Jang J-H, Koh J-T, Hwang Y-C, Oh W-M, Lee B-N. Alpha-Mangostin Suppresses LPS-Induced Inflammation in Human Dental Pulp Cells. Applied Sciences. 2023; 13(2):681. https://doi.org/10.3390/app13020681
Chicago/Turabian StyleKim, Yu-Seon, Ji-Hyun Jang, Jeong-Tae Koh, Yun-Chan Hwang, Won-Mann Oh, and Bin-Na Lee. 2023. "Alpha-Mangostin Suppresses LPS-Induced Inflammation in Human Dental Pulp Cells" Applied Sciences 13, no. 2: 681. https://doi.org/10.3390/app13020681
APA StyleKim, Y.-S., Jang, J.-H., Koh, J.-T., Hwang, Y.-C., Oh, W.-M., & Lee, B.-N. (2023). Alpha-Mangostin Suppresses LPS-Induced Inflammation in Human Dental Pulp Cells. Applied Sciences, 13(2), 681. https://doi.org/10.3390/app13020681

