Abstract
This study aimed to investigate the antibacterial and antibiofilm activities of the essential oils of Cuminum cyminum (CEO) and Foeniculum vulgare (FEO) on the clinically isolated Porphyromonas gingivalis (P. gingivalis) and Prevotella intermedia (P. intermedia). Subgingival plaque samples were collected from periodontal pockets (≥6 mm) of patients with generalized severe periodontitis. Microbiological and molecular tests were performed to isolate and confirm P. intermedia. A previously isolated P. gingivalis was used. The hydrodistillation method was used to extract the CEO and FEO. The antibacterial activity of the examined oils against the confirmed clinical strains was determined using the disc diffusion and broth dilution methods to determine the minimum inhibitory (MIC) and bactericidal concentrations (MBC). The antibiofilm properties of CEO and FEO were determined using the tube method. The t-test was used for comparisons of inhibition zones. Both CEO and FEO presented inhibition zones against both clinically isolated bacteria. The CEO and FEO revealed antibacterial activity with MIC values of 3.125 µL/mL and MBC of 6.25 µL/mL against P. gingivalis, respectively. In addition, their MIC and MBC against P. intermedia were 0.195 µL/mL and 3.125 µL/mL, respectively. Finally, the essential oils showed moderate to strong antibiofilm activities against the clinically isolated P. gingivalis and P. intermedia, respectively. This study supports the antibacterial and antibiofilm properties of CEO and FEO against clinically isolated P. gingivalis and P. intermedia. Further studies should focus on using these essential oils as an adjunct to periodontal therapy.
1. Introduction
Periodontal diseases are polymicrobial diseases of the supporting structures of the teeth. The advanced stage of the disease, namely periodontitis, might lead to the loss of the supporting structure of the teeth, including the alveolar bone, and, consequently, tooth loss [1]. Although a dental biofilm is necessary for disease initiation, damage to the periodontal tissues is mainly a result of the host’s inflammatory-immune reaction to this microbial challenge. In addition, the susceptibility of individuals to periodontitis appears to be impacted by several local and systemic risk factors, such as diabetes, smoking, and systemic diseases [2].
The human oral cavity provides a suitable environment for more than 700 bacterial species. However, only a low percentage might be involved directly in the initiation and progression of periodontal diseases [3]. In almost every patient with periodontitis, Porphyromonas gingivalis (P. gingivalis), known as a keystone pathogen and one of the red complex species, can be found in subgingival biofilm samples [4]. It is a Gram-negative, rod-shaped, anaerobic, and non-motile bacterium colonizing the subgingivally located pockets. Despite its low abundance in the gingival crevice, it can negatively impact the composition of the normal oral flora and encourage the growth of inflammation-inducing microbiota [5]. On the other hand, the orange-complex species include P. intermedia, a Gram-negative, anaerobic bacterium with black pigmentation that has been linked to periodontal diseases such as periodontitis, puberty-associated gingivitis, and acute necrotizing ulcerative gingivitis [6,7].
Scaling and root planing (SRP) form the gold standard in periodontal therapy [8]. SRP prepares the periodontal environment for tissue healing by mechanically removing supragingival and subgingival plaques. However, SRP alone cannot remove calculus and other harmful factors from deep periodontal pockets that require additional antimicrobial agents to boost the mechanical debridement of the tooth surfaces [9]. Due to their relatively fewer side effects than antibiotics, numerous herbal extracts have been used as an adjunct to periodontal treatment [10].
Herbal products have recently gained popularity for treating oral and dental diseases, and these products are available as mouth rinses, toothpaste, gels, and chips [11]. The use of natural products such as essential oils (EOs) as antimicrobial agents has increased in medicine and dentistry over the last few decades because of their safety and widespread acceptance by the population worldwide. Herbal products are effective against infections, carcinomas, and cardiovascular and neurological disorders [12].
Cuminum cyminum and Foeniculum vulgare are aromatic spices, herbs, and natural food preservatives belonging to the Apiaceae family. The Cuminum cyminum essential oils (CEO) and Foeniculum vulgare (FEO) are safe natural compounds that can be substituted for synthetic preservatives and additives in the food industry. Additionally, these EOs have been reported to possess a broad range of biological activities [13].
Clinically isolated periodontal pathogens are more virulent than laboratory reference strains that have been sub-cultured for decades since their initial isolation and may have lost critical pathophysiological characteristics. Additionally, significant genetic variations have been identified in laboratory reference strains and their clinical counterparts. This high genetic adaptability raises issues about the usefulness of laboratory bacterial strains for studying “real-world” pathogenesis. Consequently, any investigation based on laboratory strains may underestimate critical pathophysiological aspects exclusive to clinical strains [14]. Furthermore, most laboratory reference strains have reduced a biofilm-forming ability relative to clinical counterparts of the same species [13], suggesting critical genetic shifts affecting bacterial pathogenicity.
Recently, concern has been raised about the emergence of multidrug resistance among some common pathogens; therefore, it is of paramount importance to search for alternative sources of antimicrobial agents for treating many diseases, including periodontal diseases. Many herbal products have been examined for their antibacterial properties against oral pathogens. However, to the best of our knowledge, the antibacterial and antibiofilm properties of CEO and FEO have not been explored yet. Thus, this present in vitro study aimed to evaluate the antibacterial and antibiofilm properties of CEO and FEO against clinically isolated P. gingivalis and P. intermedia.
2. Materials and Methods
2.1. Collection of the Plant’s Seeds
The seeds of Cuminum cyminum were collected from Shahrazoor district, Sulaimani Governorate, Kurdistan Region, Iraq, in August 2021. The collection was carried out in the field from wild species of the plant under study by trained personnel supervised by the researcher to avoid adulterants or contaminants. Foeniculum vulgare seeds were purchased from local markets in Sulaimani City, Iraq. A plant taxonomist in the College of the Agriculture/University of Sulaimani confirmed the identity of the seeds. The study proposal was approved by the ethical committee of the College of Dentistry at the University of Sulaimani (Approval number: 500 on 21 September 2021).
2.2. Essential Oil Extraction
The EOs were extracted via the hydrodistillation method using the Clevenger apparatus under optimal operating conditions according to the standard protocol [15]. Freshly ground samples were added to sterilized distilled water in a 500 mL round-bottom flask and boiled (balloon heating mantle, Fibroman HT-W, Zhengzhou, China) continuously for 3 h. The EO was collected, dried under anhydrous sodium sulfate, and stored in a sealed amber vial at 4 °C until used.
2.3. Gas Chromatography–Mass Spectrometry (GC-MS)
The ingredients of the EO samples were identified using a GC-MS system composed of an Agilent (7820A/5977B) gas chromatography–mass spectrometry system (Santa Clara, CA, USA) [13].
2.4. Subgingival Plaque Sample Collection and Bacterial Growth Conditions
Samples from subgingival plaques for isolation of P. intermedia were collected from patients with generalized severe periodontitis who visited the Periodontics Department, College of Dentistry, University of Sulaimani. Participants with periodontal pockets ≥ 6 mm were included. Written and informed consent from patients was obtained before the clinical examination. The samples were collected by isolating periodontal pockets with sterile cotton rolls. A sterilized periodontal curette (Gracy No. 1–2, Hu Friedy Mfg. Co., Chicago, IL, USA) was used to eliminate supra-gingival plaque and/or calculus. A sterile paper point (F2 Dia-ProT™, Diadent Europe. BV, Almere, Netherland) was gently placed into the periodontal pocket until tissue resistance was felt and kept there for one minute. After carefully removing the paper points, they were spread over supplemented Columbia agar media. The agar media contents per 500 mL were 19.5 g of Columbia agar base, 2.5 µg of hemin (Sigma Aldrich, Shanghai, China), 500 µL vitamin K, and 25 mL of human blood. The plates were then incubated for 7–10 days at 37 °C in an anaerobic environment produced by anaerobic gas packs (Thermo Scientific™ Oxoid™ AnaeroGen™, Leicestershire, UK) within an anaerobic jar (BBL®GasPak system, Mississauga, Canada).
2.5. Reviving P. gingivalis and Isolation of P. intermedia
The confirmed P. gingivalis strain was obtained from the Microbiology Department of the College of Dentistry, University of Sulaimani, having previously been isolated from deep pockets of patients with generalized periodontitis [16]. Preliminary identification of P. intermedia was based on colony morphology, black-pigment production, Gram staining, and anaerobic environment, and finally confirmed using PCR and 16S rRNA gene sequencing techniques. The proven isolated bacterium was stored in a 25% glycerol (Biochem, Cosne-Cours-sur-Loire, France) at −80 °C for future use.
DNAs were extracted from clinical isolate samples via Add Prep bacterial genomic DNA extraction kit (Add Bio Inc., Daejeon, Republic of Korea). A bacterial colony from an overnight bacterial culture was sampled and mixed with one mL of sterilized ultra-pure deionized distilled water and vortexed for 30 s (Thermo Scientific LP Vortex Mixer, Seoul, Republic of Korea), followed by the addition of 200 µL of lysis solution and 20 µL proteinase-k solution. After incubation for 10 min at 95 °C, 200 µL of binding solution and 200 µL of absolute ethanol were added and centrifuged. Finally, the genomic DNA was eluted via centrifugation at 13,000 rpm for one minute, and the supernatant was used as a template.
The amplification was performed using specific primer pairs targeted at the 16s rRNA gene to confirm the presence of P. intermedia [17]. The specific primers were as follows: 5′-TTT GTT GGG GAG TAA AGC GGG-3′ and 5′-TCA ACA TCT CTG TAT CCT GCG T-3′.
The real-time PCR process was carried out in a total volume of 20 μL that contained 2 μL of reverse primer, 2 μL of forward primer, 10 μL of 2X concentrated Taq polymerase (Add Start Taq Master, Seoul, Republic of Korea), 1 μL of nuclease-free water, and 5 μL of DNA template. The real-time PCR reaction consists of three steps in a digital automated DNA thermal cycler apparatus (VeritiTM 96 well/Thermo Fisher Scientific, Marsiling, Singapore). The DNA sample was denatured initially for 10 min at 95 °C, followed by 35 cycles of amplification (denaturation of the DNA template for 30 s at 95 °C, annealing the specific primers for 30 s at 65 °C, and then an extension of primers at 72 °C for 30 s). The final extension was performed for 5 min at 72 °C for one cycle [18]. The PCR product was electrophoresed at 80 V on a 2% agarose gel for 35 min. Then, 3 μL of ethidium bromide was added to stain the gel. A 100 bp plus DNA ladder was used as a molecular weight marker. Gel purification was performed using the gene JET™ Gel extraction kit (Fermentas, London, UK). Additionally, the standard sequencing for the PCR product was performed via ©Macrogen, Inc., Seoul, Republic of Korea.
2.6. Antibacterial Assays
The disc diffusion assay was used to evaluate the sensitivity of the clinically isolated periodontal pathogens to the tested EOs [19]. The investigator (A. H. R.) was blinded to EO testing, and the results were analyzed with the other investigators later. A swab of the bacterial suspension containing 1.5 × 108 CFU/mL equivalent to 0.5 McFarland turbidity standard was streaked over Petri plates containing Mueller Hinton agar (Oxoid, Thermo Fisher Scientific Inc., Loughborough, UK), enriched with hemin and vitamin K1 under an aseptic environment. Then, sterile 6 mm in diameter empty paper discs (CHMLAB, Barcelona, Spain) were impregnated with 30 μL of different concentrations of each EO and placed on the agar plates. The concentrations were 2.5%, 5%, and 10% of CEO, while FEO was used at concentrations of 5%, 10%, and 20%. CHX mouthwash at 0.12% was used as a positive control. The Petri plates were left for 15 min at room temperature to allow the diffusion of the oils and then incubated anaerobically at 37 °C for 24 h.
2.7. Minimum Inhibitory and Bactericidal Concentrations
The minimum inhibitory concentration (MIC) of the tested EOs was determined via the broth dilution method [20]. The stock solution was prepared by dissolving CEO and FEO in an aqueous solution containing 10% dimethyl sulfoxide (DMSO) and 0.5% polysorbate (Tween) 80 (Biochem, Cosne-Cours-sur-Loire, France). CHX mouth rinse 0.12% was used as a positive control, and Muller Hinton broth (MHB) (from Oxoid, Basingstoke, UK) as a negative control to allow bacterial growth. Furthermore, the antibacterial activity of DMSO was examined and showed no effects on antibacterial activity. Two-fold serial dilutions of each EO from 100 to 0.19 μL/mL were made in 10 sterile test tubes containing 900 µL of MHB and 100 µL of bacterial inoculum containing 1.5 × 108 CFU/mL (McFarland turbidity standard 0.5) to yield a final volume of 1 mL per each tube. The tubes were then secured with cotton plugs, incubated at 37 °C under anaerobic conditions in an anaerobic jar for about 24 h, and observed for bacterial growth. The MIC of the EO was determined to be the lowest dose that inhibited the visible growth of the bacteria. After incubation, the tubes were observed for bacterial growth, which is usually indicated by turbidity or a pellet of micro-organisms in the bottom of the tubes [21].
The minimum bactericidal concentration (MBC) was determined by spreading a loopful sample from each test tube containing different concentrations of the EOs on the supplemented MHA Petri plate. The MBC was described as the lowest concentration resulting in no bacterial growth [22].
2.8. Antibiofilm Assays
A qualitative tube method was used to show the effect of the examined EOs in preventing biofilm formation by the clinical strains [23]. In this process, the content of the incubated test tubes used to determine the MIC of the CEO and FEO that contained different oil concentrations was carefully discarded. The tubes were washed with sterile phosphate-buffered saline (pH = 7.3) (from Biochem, Cosne-Cours-sur-Loire, France) to remove the planktonic bacteria and left in an inverted position for 45 min to dry completely. Later on, each tube was stained with one mL of 1% crystal violet and incubated at room temperature for 15 min. Then, the excess dye was removed by washing the tubes with sterile distilled water. The biofilm formation was determined by observing a visible film adhering to the bottom and the walls of the tubes and estimated according to the intensity of the violet color as non-adherent (0), weakly adherent (+), which means a robust antibiofilm activity, moderately adherent (++), which means a moderate antibiofilm effect, or strongly adherent (+++), meaning the weak antibiofilm effect of the examined material [23]. All assays were performed in duplicate.
2.9. Statistical Analysis
The obtained data were depicted as mean ± standard deviation and analyzed using SPSS software version 25 (SPSS Inc., Chicago, IL, USA). The t-test was used for comparisons, and p ≤ 0.05 was considered statistically significant.
3. Results
3.1. Bacterial Strains
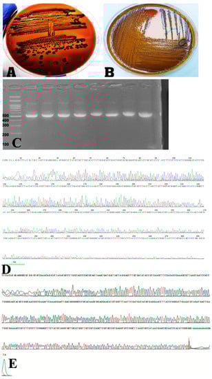
The previously isolated P. gingivalis strain used in this study (Figure 1A,E) was obtained from the Microbiology Department, College of Dentistry, University of Sulaimani [16]. P. intermedia strain was isolated and confirmed from subgingival plaque samples obtained from patients with periodontitis (Figure 1B). The bacterial identification was initially performed by observing colony morphology, color, growth environment, and Gram staining. The colonies on the plates after 48 h were small, round, opaque, and convex, with black pigmentation developed after one week. The bacterial identification was finally confirmed using real-time PCR technique and DNA sequencing, indicating the presence of P. intermedia, as shown in Figure 1C,D.
Figure 1.
Black pigmented colonies of (A) P. gingivalis and (B) P. intermedia on blood agar after ten days of anaerobic incubation. (C) PCR products in agarose gel electrophoresis showed multiple bands localized at 575 base pairs, similar to the template size of P. intermedia (100 BP ladder). (D) 16S rRNA gene sequence graph of the purified colonies of P. intermedia performed in Macrogen-Republic of Korea. (E) 16S rDNA gene sequence of the purified colonies of P. gingivalis conducted in Macrogen, Republic of Korea.
3.2. GC-MS of the Examined EOs
Based on three successive hydro distillation extractions, the mean yields of CEO and FEO were 1.9% and 1.75%, respectively. The GC-MS analysis of the CEO identified 28 compounds. According to the results, cumin aldehyde (20.74%) was the main compound, followed by γ-Terpinene (20.08%), β-pinene (19.75%), 2-Caren-10-al (18.54%), 1,4-Diethylbenzene (6.73%), and O-Cymene (5.24%). The remaining constituents accounted for about 9%, as shown in Table 1.
Table 1.
Results of GC-MS analysis of the CEO.
On the other hand, The FEO contained 17 compounds, of which estragole (67.16%) was the main compound, followed by D-Limonene (13.92%), Fenchone (10.32%), and Anethole (2%). Other constituents were found in trace amounts (Table 2).
Table 2.
The FEO components according to GC-MS analysis.
3.3. Antibacterial Assays
The findings of the antibacterial activity of the CEO against the clinically isolated P. gingivalis and P. intermedia by the agar disc diffusion assay are presented in Table 3. The clinical strains were sensitive to CEO at 2.5%, 5%, and 10% concentrations used in this present study and produced inhibition zones ranging from 6.5 ± 0.27 mm to 16.8 ± 0.4 mm for P. gingivalis and from 10.5 ± 0.6 mm to 18.55 ± 0.35 mm for P. intermedia. Chlorhexidine (CHX) produced mean inhibition zones of 14.12 ± 0.26 mm and 15.05 ± 0.38 mm against clinically isolated P. gingivalis and P. intermedia, respectively, as presented in Figure 2A,B.
Table 3.
Inhibition zones of CEO and FEO at different concentrations on clinical strains used in the study.
Figure 2.
Inhibition zones of different concentrations of CEO (10%, 5%, and 2.5%) on clinical strains (A) P. gingivalis and (B) P. intermedia. 0.12% CHX: Chlorohexidine 0.12% as a positive control.
The inhibition zones of CEO were increased as the oil concentration was increased. Thus, the difference between various concentrations was statistically significant (p < 0.001). The comparison between the mean inhibition zones of CEO at 2.5% and 10% concentrations and the mean inhibition zones of CHX showed significant antibacterial activity of CHX with wider inhibition zones against P. gingivalis and P. intermedia (p < 0.05). However, CEO at 20% was more potent than CHX and produced more expansive inhibition zones on both clinical strains (p < 0.05). Generally, CEO at all concentrations and CHX were more potent on P. intermedia, producing wider inhibition zones than on P. gingivalis.
Regarding the antibacterial activity of FEO, the clinical strains were sensitive to the EO at 5% (50 µL/mL), 10% (100 µL/mL), and 20% (200 µL/mL) concentrations and produced mean inhibition zones ranging from 7.6 ± 0.39 mm to 10.7 ± 0.4 mm for P. gingivalis and from 8.5 ± 0.55 mm to 10.85 ± 0.4 mm for P. intermedia. Comparing the mean inhibition zones produced by CHX with FEO, the test revealed statistically significant antibacterial activity of CHX against both clinical strains (p < 0.05). Furthermore, CHX was more effective than FEO at all concentrations against P. gingivalis and P. intermedia, as presented in Figure 3A,B.
Figure 3.
Inhibition zones produced by different concentrations (5%, 10%, and 20%) of FEO and 0.12% of CHX (+) on clinically isolated periodontopathic bacteria (A) P. gingivalis and (B) P. intermedia. CHX 0.12% Chlorohexidine 0.12% as positive control.
3.4. Minimum Inhibitory and Bactericidal Concentrations
The MIC values of CEO that prevented visible growth of clinically isolated P. gingivalis and P. intermedia were 3.125 µL/mL and 0.195 µL/mL, respectively, whereas the MBC values were 6.25 µL/mL and 0.195 µL/mL for P. gingivalis and P. intermedia, respectively, as presented in Table 4 and Figure 4. Regarding the FEO, the oil prevented visible growth of the clinically isolated P. gingivalis at 3.125 µL/mL as MIC, while the MBC concentration was 6.25 µL/mL. Similarly, the MIC and MBC values of the FEO against P. intermedia were 3.125 µL/mL, as clarified in Table 4 and Figure 5.
Table 4.
MIC and MBC values of CEO and FEO on clinically isolated P. gingivalis and P. intermedia determined using the broth macro-dilution assay.
Figure 4.
The broth macro dilution method to determine MIC values of CEO on clinically isolated (A) P. gingivalis and (C) P. intermedia, respectively. The agar culture method to confirm MBCs of CEO against (B) P. gingivalis and (D) P. intermedia, respectively. Concentrations are in µL/mL, while the test tubes labeled (+) and (−) are CHX and MHB, respectively.
Figure 5.
(A,B) show the minimum inhibitory and bactericidal concentrations of the FEO on P. gingivalis, while (C,D) represent the oil’s MIC and MBC on P. intermedia. Concentrations are in µL/mL, while the test tubes labeled (+) and (−) are CHX and MHB, respectively.
3.5. Antibiofilm Assays
The results obtained via the qualitative tube method used to measure the effectiveness of the CEO and FEO on the adherence and biofilm-forming potential of the tested clinical strains are presented in Table 5. The violet color intensity on the tube’s walls compared to the negative control tubes was used to assess the antibiofilm-forming ability of the oil against the clinical strains. The results showed that the EOs did not reveal a clear pattern, varying from a nearly complete absence of biofilm at the highest concentration to strong biofilm formation at the lowest concentration used in the present experiment.
Table 5.
Qualitative biofilm formation was judged by observing a visible film lining the walls of the tubes.
Both the CEO (Figure 6) and FEO (Figure 7) showed a moderate anti-biofilm effect against P. gingivalis and a strong antibiofilm effect against P. intermedia at MIC concentrations.
Figure 6.
Shows the antibiofilm activity of CEO against (A) P. gingivalis and (B) P. intermedia. The intensity of the violet color on the test tubes from left to right (tube 1 to tube 10) represents the amount of biofilm formation by the clinical isolates. Concentrations are in µL/mL, while the test tubes labeled CHX and MHB are (+) and (−) controls, respectively.
Figure 7.
Represents the antibiofilm activity of the FEO against (A) P. gingivalis and (B) P. intermedia. The intensity of the violet color on the test tubes from left to right (tube 1 to tube 10) represents the amount of biofilm formation by the clinical isolates. Concentrations are in µL/mL, while the test tubes labeled CHX and MHB are (+) and (−) controls, respectively.
4. Discussion
Over the years, the primary treatment of periodontal diseases has remained constant, comprising the mechanical removal of dental biofilm and calculus by scaling and root planing [8]. However, not all patients might respond to mechanical debridement only [9]. Therefore, antibiotics have been prescribed as an adjunct, albeit prolonged use of these antimicrobials mainly CHX as an adjunct to mechanical plaque reduction can result in a wide range of systemic and local adverse effects, such as tooth staining, taste alterations, burning sensation, and the growth of bacterial resistance [24]. Notably, in this study, CHX has been used as a positive control, and it is apparent that CHX with lower concentration has great antimicrobial and antibiofilm effects against clinically isolated periodontal pathogens. Further, this confirms the importance of using CHX as an adjunct to periodontal therapy. However, chronic use of CHX is associated with the above adverse effects. Thus, finding an alternative to CHX warrants deeper investigation.
It is important to acknowledge that, to the best of our knowledge, this is the first in vitro study to evaluate the antibacterial and antibiofilm activities of CEO and FEO against the clinically isolated P. gingivalis and P. intermedia. However, many studies have examined the antimicrobial activity of CEO and FEO against other pathogenic micro-organisms [13].
The results of this present study revealed that CEO has comparable antibacterial and antibiofilm activity against the clinical strains compared to CHX, especially at higher concentrations. Furthermore, FEO produced smaller inhibition zones against clinical strains than CHX 0.12% at all concentrations used in this study, while wider bacterial growth inhibition zones were measured at the highest oil concentration when compared to lower concentrations. Generally, natural products like eOs are safer with fewer adverse effects than synthetic antimicrobial agents [25]. Therefore, higher concentrations might be used in future experiments to identify these natural compounds’ effective doses and use them as an alternative to systemic and local antimicrobial agents in periodontal therapy.
In agreement with our results, another in vitro study also revealed similar antibacterial and antibiofilm activities of CEO, with fewer adverse effects than CHX against Streptococcus mutans (S. mutans) and Streptococcus pyogenes [26]. Other studies tested the antibacterial effect of fennel seed methanolic extract against the cariogenic bacteria S. mutans, compared it with CHX 0.2%, and found that CHX was more effective and produced a more significant inhibition zone [27,28]. Furthermore, other researchers found that chewing the seeds for five minutes showed a rise in salivary pH that can prevent demineralization and have an anti-cariogenic property [29].
In this current study, the clinically isolated P. gingivalis and P. intermedia were sensitive to the CEO with mean MICs of 3.125 µL/mL and 0.195 µL/mL, respectively. Further, the MBCs of the oil against clinical strains were 6.25 µL/mL and 0.195 µL/mL, respectively. Furthermore, according to the results, the CEO was more potent than FEOs against P. intermedia, with wider inhibition zones and lower MIC and MBC values. Moreover, the antibacterial efficacy of CEO on caries-producing S. mutans with MIC and MBC concentrations of 62.5µg/mL was reported. However, another study reported 0.62 mg/mL and 1.25 mg/mL of cumin seed alcoholic extract as MIC and MBC, respectively, against S. mutans [30]. In addition, Vignesh et al. documented the inhibitory effect of cumin with silver nanoparticles against other oral pathogens [31].
Meanwhile, FEO showed the ability to inhibit both strains’ growth at 3.125 µL/mL, while it eradicated P. gingivalis and P. intermedia at 6.25 µL/mL and 3.125 µL/mL, respectively. The MIC and MBC concentrations of the FEO were similar against P. intermedia, indicating the bactericidal profile of the oil. The antimicrobial activity of the FEO with MIC of 250 μg/mL was documented against Micrococcus spp. by some researchers [32]. The antimicrobial property of the FEO was also examined against S. aureus, Bacillus subtilis, and the MIC was determined to be 1 mg/mL [33].
The discrepancies in MIC values reported by different studies from various regions are mainly attributed to the fact that the chemical composition and the concentrations of active ingredients of EOs are greatly determined by the plant genotype and the influence of environmental factors, including geographical conditions, nature of the soil, temperature, season of collection and harvesting plant, and more importantly, the oil extraction method [34,35].
Based on the results obtained from our study’s GC-MS analysis, the CEO’s principal components were Cumin-aldehyde, γ-Terpinene, 2-Caren-10-al, and β-Pinene. Cumin aldehyde was the main bioactive compound of CEO, rendering most of its pharmacological and clinical significance [36]. Studies on the antimicrobial properties of Cumin-aldehyde have shown that this compound can inhibit growth, cause the death of microbial pathogens, and reduce the negative effects caused by them [36]. Another detected substance, α-pinene, is an organic compound of the polyphenolic (terpene) group, and previous studies have shown its antibacterial properties. In addition, α-pinene also shows significant activity in modulating antibiotic resistance via multiple mechanisms, including inhibition of microbial efflux, decreased membrane integrity, and metabolic disruption [37].
The FEO used in this study belongs to the estragole chemotype. The GC-MS analysis detected 17 compounds. Estragole (67.16%) was the main compound. Other compounds, such as D-Limonene at 13.92%, fenchone at 10.32%, anethole at 2%, anisaldehyde, and α-pinene at approximately 1.23%, were also present. The remaining compounds accounted for less than 1%. Estragole, the principal constituent of the FEO showed the ability to disrupt the cell membrane, increase nonspecific permeability in the bacterial cell membrane, and enable it to easily pass through the lipopolysaccharide membrane of the Gram-negative bacteria. In addition, fenchone, limonene, and other compounds from FEO were found to help accelerate the healing of acute and chronic wounds by protecting the injury site from infection, inhibiting inflammatory cells, and increasing connective tissue formation in the repaired tissue [38]. This finding represents scientific evidence supporting the use of FEO, which contains fenchone and limonene, in treating oral diseases, including periodontal diseases.
The discovery of new strategies to eradicate dental biofilms has recently become a popular trend in microbiological dental research. Cuminum cyminum has a remarkable antibiofilm and quorum-sensing inhibitory potential against Gram-negative bacterial pathogens [39]. In this present study, both CEO and FEO showed moderate and strong antibiofilm activity against clinically isolated P. gingivalis and P. intermedia at MIC levels, respectively. In agreement with our results, the anti-biofilm effect of FEO was examined against selected Gram-positive and Gram-negative bacterial strains and confirmed the oils’ capability of preventing biofilm formation at very low concentrations [40]. In addition, the synergistic effect of FEO and hydrogen peroxide against S. aureus was examined in another study, which found that they have great potential to prevent biofilm formation, promote wound healing, and reduce metabolic activities of attached bacterial cells [41].
Additionally, some recently introduced compounds have been demonstrated to have a significant influence on the oral environment [42]. The use of lysates [43] and postbiotics [44] can modify the clinical and microbiological parameters in periodontal patients. Therefore, these products should be considered in future clinical trials, as adjuvants, in combination with CEO and FEO.
This study has some limitations, including a limited number of clinically isolated periodontal pathogens examined, and the present in vitro study is conducted by using the isolated bacteria from their usual biological environment that may not fully or accurately predict the same effects on the same bacteria within a whole bacterial community or complex biofilms, which are more virulent than in a planktonic state. Nonetheless, this is the first study to examine the antibacterial and antibiofilm properties of CEO and FEO against clinically isolated P. gingivalis and P. intermedia.
5. Conclusions
This current in vitro study provided clear evidence of CEO and FEO’s antibacterial and antibiofilm properties against clinically isolated P. gingivalis and P. intermedia. Further studies are suggested to identify and isolate the biologically active ingredients of these oil extracts. Additionally, it is highly recommended to conduct in vivo studies to confirm their effectiveness and use them as an adjunct to mechanical periodontal therapy.
Author Contributions
Conceptualization, S.S.G. and H.A.A.; methodology, A.H.R. and S.H.A.; software, A.H.R. and S.H.A.; validation, S.S.G. and S.H.A.; formal analysis, A.H.R. and S.H.A.; investigation, A.H.R.; resources, A.H.R. and H.A.A.; data curation, A.H.R.; writing—original draft preparation, S.S.G., S.H.A. and A.H.R.; writing—review and editing, S.S.G. and H.A.A.; visualization, S.S.G., S.H.A. and H.A.A.; supervision, S.S.G. and H.A.A.; project administration, S.S.G. and H.A.A. All authors have read and agreed to the published version of the manuscript.
Funding
This research received no external funding.
Institutional Review Board Statement
This study was conducted in accordance with the Declaration of Helsinki and approved by the Ethics Committee of the College of Dentistry, University of Sulaimani (approval number: 500 on 21 September 2021).
Informed Consent Statement
Written informed consent has been obtained from the patients to publish this paper.
Data Availability Statement
The data will be available by the corresponding author upon reasonable request.
Acknowledgments
The authors would like to thank Aram Sha for providing samples of P. gingivalis.
Conflicts of Interest
The authors declare no conflict of interest.
References
- Könönen, E.; Gursoy, M.; Gursoy, U.K. Periodontitis: A Multifaceted Disease of Tooth-Supporting Tissues. J. Clin. Med. 2019, 8, 1135. [Google Scholar] [CrossRef]
- Hajishengallis, G.; Chavakis, T.; Lambris, J.D. Current understanding of periodontal disease pathogenesis and targets for host-modulation therapy. Periodontology 2000 2020, 84, 14–34. [Google Scholar] [CrossRef] [PubMed]
- Picolos, D.K.; Lerche-Sehm, J.; Abron, A.; Fine, J.B.; Papapanou, P.N. Infection patterns in chronic and aggressive periodontitis. J. Clin. Periodontol. 2005, 32, 1055–1061. [Google Scholar] [CrossRef] [PubMed]
- Gul, S.S.; Griffiths, G.S.; Stafford, G.P.; Al-Zubidi, M.I.; Rawlinson, A.; Douglas, C.W. Investigation of a novel predictive biomarker profile for the outcome of periodontal treatment. J. Periodontol. 2017, 88, 1135–1144. [Google Scholar]
- Hajishengallis, G.; Darveau, R.P.; Curtis, M.A. The keystone-pathogen hypothesis. Nat. Rev. Microbiol. 2012, 10, 717–725. [Google Scholar] [CrossRef] [PubMed]
- Haffajee, A.D.; Socransky, S.S. Microbial etiological agents of destructive periodontal diseases. Periodontology 2000 1994, 5, 78–111. [Google Scholar] [CrossRef] [PubMed]
- Nakagawa, S.; Fujii, H.; Machida, Y.; Okuda, K. A longitudinal study from prepuberty to puberty of gingivitis. Correlation between the occurrence of Prevotella intermedia and sex hormones. J. Clin. Periodontol. 1994, 21, 658–665. [Google Scholar] [CrossRef] [PubMed]
- Smiley, C.J.; Tracy, S.L.; Abt, E.; Michalowicz, B.S.; John, M.T.; Gunsolley, J.; Cobb, C.M.; Rossmann, J.; Harrel, S.K.; Forrest, J.L.; et al. Systematic review and meta-analysis on the nonsurgical treatment of chronic periodontitis by means of scaling and root planing with or without adjuncts. J. Am. Dent. Assoc. 2015, 146, 508–524.e5. [Google Scholar] [CrossRef]
- Haffajee, A.D.; Dibart, S.; Kent, R.L., Jr.; Socransky, S.S. Factors associated with different responses to periodontal therapy. J. Clin. Periodontol. 1995, 22, 628–636. [Google Scholar] [CrossRef]
- Eid Abdelmagyd, H.A.; Ram Shetty, D.S.; Musa Musleh Al-Ahmari, D.M. Herbal medicine as adjunct in periodontal therapies- A review of clinical trials in past decade. J. Oral Biol. Craniofacial Res. 2019, 9, 212–217. [Google Scholar] [CrossRef]
- Atanasov, A.G.; Waltenberger, B.; Pferschy-Wenzig, E.M.; Linder, T.; Wawrosch, C.; Uhrin, P.; Temml, V.; Wang, L.; Schwaiger, S.; Heiss, E.H.; et al. Discovery and resupply of pharmacologically active plant-derived natural products: A review. Biotechnol. Adv. 2015, 33, 1582–1614. [Google Scholar] [CrossRef]
- Tanhaieian, A.; Pourgonabadi, S.; Akbari, M.; Mohammadipour, H.S. The effective and safe method for preventing and treating bacteria-induced dental diseases by herbal plants and a recombinant peptide. J. Clin. Exp. Dent. 2020, 12, e523–e532. [Google Scholar] [CrossRef]
- Lee, H.; Kim, K.; Choi, Y.; Kim, D. Emissions of Volatile Organic Compounds (VOCs) from an Open-Circuit Dry Cleaning Machine Using a Petroleum-Based Organic Solvent: Implications for Impacts on Air Quality. Atmosphere 2021, 12, 637. [Google Scholar]
- Head, N.E.; Yu, H. Cross-sectional analysis of clinical and environmental isolates of Pseudomonas aeruginosa: Biofilm formation, virulence, and genome diversity. Infect. Immun. 2004, 72, 133–144. [Google Scholar] [PubMed]
- Tahir, N.A.-R.; Azeez, H.A.; Muhammad, K.A.; Faqe, S.A.; Omer, D.A. Exploring of bioactive compounds in essential oil acquired from the stem and root derivatives of Hypericum triquetrifolium callus cultures. Nat. Prod. Res. 2019, 33, 1504–1508. [Google Scholar] [PubMed]
- Sha, A.M.; Garib, B.T. Antibacterial effect of curcumin against clinically isolated Porphyromonas gingivalis and connective tissue reactions to curcumin gel in the subcutaneous tissue of rats. BioMed Res. Int. 2019, 2019, 6810936. [Google Scholar]
- Ashimoto, A.; Chen, C.; Bakker, I.; Slots, J. Polymerase chain reaction detection of 8 putative periodontal pathogens in subgingival plaque of gingivitis and advanced periodontitis lesions. Oral Microbiol. Immunol. 1996, 11, 266–273. [Google Scholar]
- Lee, P.Y.; Costumbrado, J.; Hsu, C.-Y.; Kim, Y.H. Agarose gel electrophoresis for the separation of DNA fragments. JoVE (J. Vis. Exp.) 2012, 62, e3923. [Google Scholar]
- Lai, H.Y.; Lim, Y.Y.; Kim, K.H. Blechnum orientale Linn-a fern with potential as antioxidant, anticancer and antibacterial agent. BMC Complement. Altern. Med. 2010, 10, 53. [Google Scholar]
- Mith, H.; Dure, R.; Delcenserie, V.; Zhiri, A.; Daube, G.; Clinquart, A. Antimicrobial activities of commercial essential oils and their components against food-borne pathogens and food spoilage bacteria. Food Sci. Nutr. 2014, 2, 403–416. [Google Scholar]
- Mirpour, M.; Siahmazgi, Z.G.; Kiasaraie, M.S. Antibacterial activity of clove, gall nut methanolic and ethanolic extracts on Streptococcus mutans PTCC 1683 and Streptococcus salivarius PTCC 1448. J. Oral Biol. Craniofacial Res. 2015, 5, 7–10. [Google Scholar]
- Parvekar, P.; Palaskar, J.; Metgud, S.; Maria, R.; Dutta, S. The minimum inhibitory concentration (MIC) and minimum bactericidal concentration (MBC) of silver nanoparticles against Staphylococcus aureus. Biomater. Investig. Dent. 2020, 7, 105–109. [Google Scholar] [PubMed]
- Eladawy, M.; El-Mowafy, M.; El-Sokkary, M.M.A.; Barwa, R. Effects of lysozyme, proteinase K, and cephalosporins on biofilm formation by clinical isolates of Pseudomonas aeruginosa. Interdiscip. Perspect. Infect. Dis. 2020, 2020, 6156720. [Google Scholar]
- Sakaue, Y.; Takenaka, S.; Ohsumi, T.; Domon, H.; Terao, Y.; Noiri, Y. The effect of chlorhexidine on dental calculus formation: An in vitro study. BMC Oral Health 2018, 18, 52. [Google Scholar]
- Mittal, R.P.; Rana, A.; Jaitak, V. Essential oils: An impending substitute of synthetic antimicrobial agents to overcome antimicrobial resistance. Curr. Drug Targets 2019, 20, 605–624. [Google Scholar]
- Shayegh, S.; Rasooli, I.; Taghizadeh, M.; Alipoor Astaneh, S.D. Phytotherapeutic inhibition of supragingival dental plaque. Nat. Prod. Res. 2008, 22, 428–439. [Google Scholar]
- Gulati, R.K.; Bhatnagar, P.; Bhatnagar, A. Antimicrobial Efficacy of Chemical and Herbal Agents against Streptococcus mutans: An in vitro study. Pesqui. Bras. Em Odontopediatria E Clin. Integr. 2018, 18, 4008. [Google Scholar]
- Venkataraghavan, K.; Shah, S.; Choudhary, P.; Trivedi, K. Effectiveness of a new generation anti-cavity mouthwash on Streptococcus mutans and Lactobacillus acidophilus count: A microbiological study. World J. Dent. 2014, 5, 152–155. [Google Scholar]
- Sultan, S.; Telgi, C.R.; Chaudhary, S.; Manuja, N.; Kaur, H.; Amit, S.A.; Lingesha, R.T. Effect of ACP-CPP chewing gum and natural chewable products on plaque pH, calcium and phosphate concentration. J. Clin. Diagn. Res. JCDR 2016, 10, ZC13. [Google Scholar] [PubMed]
- Ghazi, M.; Goudarzi, H.; Ardekani, H.A.Z.; Habibi, M.; Azargashb, E.; Hajikhani, B.; Goudarzi, M. Investigation of Antibacterial Effect of Cuminum cyminum and Carum carvi against Streptococcus mutans and Streptococcus pyogenes. Nov. Biomed. 2019, 7, 30–34. [Google Scholar]
- Vignesh, S.; Anitha, R.; Kumar, S.R.; Lakshmi, T. Evaluation of the antimicrobial activity of cumin oil mediated silver nanoparticles on oral microbes. Res. J. Pharm. Technol. 2019, 12, 3709–3712. [Google Scholar]
- Araujo, R.O.; Souza, I.A.; Sena, K.; Brondani, D.J.; Solidônio, E.G. Avaliação biológica de Foeniculum vulgare (Mill.)(Umbelliferae/Apiaceae). Rev. Bras. Plantas Med. 2013, 15, 257–263. [Google Scholar] [CrossRef]
- Upadhyay, R.K. GC-MS analysis and in vitro antimicrobial susceptibility of Foeniculum vulgare seed essential oil. Am. J. Plant Sci. 2015, 6, 1058. [Google Scholar]
- Lemberkovics, E.; Kery, A.; Kakasy, A.; Szoke, E.; Simandi, B. Effect of extraction methods on the composition of essential oils. Acta Hortic. 2004, 597, 49–56. [Google Scholar] [CrossRef]
- Ale Omrani Nejad, S.M.H.; Naghdi Badi, H.; Mehrafarin, A.; Abdossi, V.; Khalighi-Sigaroodi, F. The Impact of Macro Environmental Factors on Essential Oils of Oliveria decumbens Vent. from Different Regions of Iran. Jundishapur J. Nat. Pharm. Prod. 2019, 14, e59456. [Google Scholar] [CrossRef]
- Singh, N.; Yadav, S.S.; Kumar, S.; Narashiman, B. A review on traditional uses, phytochemistry, pharmacology, and clinical research of dietary spice Cuminum cyminum L. Phytother. Res. 2021, 35, 5007–5030. [Google Scholar] [CrossRef] [PubMed]
- Allenspach, M.; Steuer, C. α-Pinene: A never-ending story. Phytochemistry 2021, 190, 112857. [Google Scholar] [CrossRef]
- Keskin, I.; Gunal, Y.; Ayla, S.; Kolbasi, B.; Sakul, A.; Kilic, U.; Gok, O.; Koroglu, K.; Ozbek, H. Effects of Foeniculum vulgare essential oil compounds, fenchone and limonene, on experimental wound healing. Biotech. Histochem. 2017, 92, 274–282. [Google Scholar] [CrossRef]
- Packiavathy, I.A.S.V.; Agilandeswari, P.; Musthafa, K.S.; Pandian, S.K.; Ravi, A.V. Antibiofilm and quorum sensing inhibitory potential of Cuminum cyminum and its secondary metabolite methyl eugenol against Gram negative bacterial pathogens. Food Res. Int. 2012, 45, 85–92. [Google Scholar]
- Di Napoli, M.; Castagliuolo, G.; Badalamenti, N.; Maresca, V.; Basile, A.; Bruno, M.; Varcamonti, M.; Zanfardino, A. Antimicrobial, Antibiofilm, and Antioxidant Properties of Essential Oil of Foeniculum vulgare Mill. Leaves. Plants 2022, 11, 3573. [Google Scholar] [CrossRef]
- Kwiatkowski, P.; Grygorcewicz, B.; Pruss, A.; Wojciuk, B.; Giedrys-Kalemba, S.; Dołêgowska, B.; Zielińska-Bliźniewska, H.; Olszewski, J.; Sienkiewicz, M.; Kochan, E. Synergistic effect of fennel essential oil and hydrogen peroxide on bacterial biofilm. Postep. Dermatol. Alergol. 2020, 37, 690–694. [Google Scholar] [CrossRef]
- Butera, A.; Pascadopoli, M.; Pellegrini, M.; Gallo, S.; Zampetti, P.; Scribante, A. Oral Microbiota in Patients with Peri-Implant Disease: A Narrative Review. Appl. Sci. 2022, 12, 3250. [Google Scholar]
- Vale, G.C.; Mayer, M.P.A. Effect of probiotic Lactobacillus rhamnosus by-products on gingival epithelial cells challenged with Porphyromonas gingivalis. Arch. Oral Biol. 2021, 128, 105174. [Google Scholar] [PubMed]
- Butera, A.; Pascadopoli, M.; Pellegrini, M.; Gallo, S.; Zampetti, P.; Cuggia, G.; Scribante, A. Domiciliary use of chlorhexidine vs. postbiotic gels in patients with peri-implant mucositis: A split-mouth randomized clinical trial. Appl. Sci. 2022, 12, 2800. [Google Scholar]
Disclaimer/Publisher’s Note: The statements, opinions and data contained in all publications are solely those of the individual author(s) and contributor(s) and not of MDPI and/or the editor(s). MDPI and/or the editor(s) disclaim responsibility for any injury to people or property resulting from any ideas, methods, instructions or products referred to in the content. |
© 2023 by the authors. Licensee MDPI, Basel, Switzerland. This article is an open access article distributed under the terms and conditions of the Creative Commons Attribution (CC BY) license (https://creativecommons.org/licenses/by/4.0/).






