Abstract
This paper aims to represent the orthodontic treatment of two young patients with skeletal Class I relationship and unilateral impacted canines (case 1 with palatally displaced canine and case 2 with buccally displaced canine). Before starting full-mouth alignment, canines are moved away from the roots of the neighbouring teeth. The protocol involved a surgical phase carried out in order to expose the canine and traction it with TADs (temporary anchorage devices) and an orthodontic phase performed to finalize the alignment. The canines were moved through vertical and distal force vectors by using TADs as well as a cantilever spring. As soon as the crown of the canine was fully visible, digital impressions were taken to start the digital planning of the orthodontic phase. At the end of the treatment, results show a control of the facial aesthetics both from the frontal and lateral perspectives with a harmonious profile. The molar and canine Class I relationship was achieved with the recovery of the impacted canines and the overbite and overjet were normalized.
1. Introduction
Altered dental eruption is represented by a clinical condition in which there is no eruption of the tooth in its correct location. One of the main objectives of interceptive orthodontics is to prevent the development of the permanent teeth problems, and among these, one of the most frequent is the inclusion of canines. The prevalence of maxillary canine impaction ranges from 1.0% to 2.5% [1,2,3]. Many studies have reported that the majority of the impacted maxillary canines are palatal (85%) when compared to labial (15%) [4].
When the canine begins its eruptive path, it appears with mesial inclination and becomes more upright until it reaches the distal part of the lateral incisor root. If the canine does not follow this path, it becomes impacted, and this can lead to several problems [5,6].
A correct diagnosis together with clinical examinations and radiographs are fundamental before starting an orthodontic treatment. The most recommended kind of X-ray for the early prediction of impacted maxillary canine is the panoramic radiograph taken at age of 8 or more (>11 yr) if the canine’s bulge is impalpable [7].
Many orthodontic techniques, including specific devices, have been proposed to recover the impacted canine into the arch and manage the anchorage in the best way.
The “Canine First Technique”, already explained in the literature, is an orthodontic approach for the impacted canines [8,9]. The aim of this technique consists of moving the crown away from the roots of adjacent incisors with cantilever spring and temporary anchorage devices Since the introduction of TADs as anchorage devices, the effectiveness and predictability of orthodontic treatment has improved [10]
In the literature, there are many authors who discuss the treatment of impacted canines with conventional fixed appliances, but no studies have been carried out concerning clear aligners. The aim of this study is to show the advantages of combining TADs and aligners. Two orthodontic treatments of the palatal and buccal displaced canines will be reported. In both cases, the protocol includes two phases: the first one exposes the canine and moves it away from the roots of the lateral incisors, and the second aligns and levels the arches and finalizes the occlusion.
2. Treatment Planning
Treatment goals included achieving a Class I molar and canine relationship, restoring the impacted canine space without damaging the lateral incisor roots, and refining alignment and occlusion. The treatment protocol involved non-extraction strategies, the application of the clear aligner system, the auxiliaries as temporary anchorage devices, and the use of cantilever springs for the canine disimpaction. The ClinCheck® was planned with the arch expansion of 2 mm per stage and an additional 10° of buccal root torque for upper molars and premolars. All subjects were instructed to wear their aligners full time, except during meals and tooth brushing. Each aligner was changed every 7 days. In these subjects, the overall treatment included two phases: firstly, the surgical exposure and traction of the impacted canine with TADs (the canine-first technique), and secondly, alignment and finishing with the clear aligner system.
3. Case 1
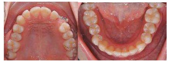
A 17-year-old female patient came for an observation in good general and oral health without any significant pathologies.
The chief complaint of the patient was the absence of a permanent maxillary canine. Her face, from a frontal view, appeared well-proportioned in the three-thirds with facial symmetry.
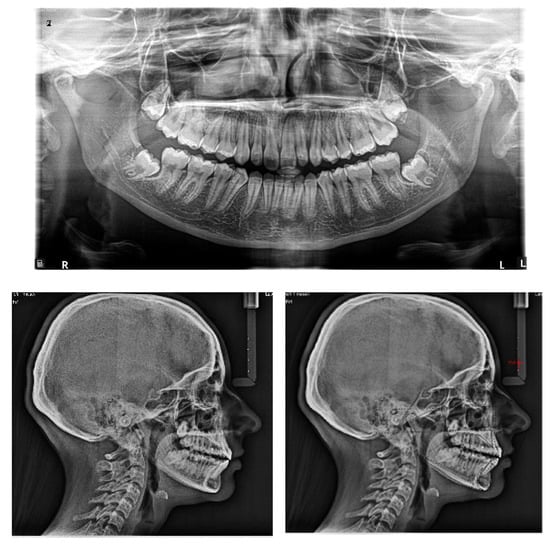
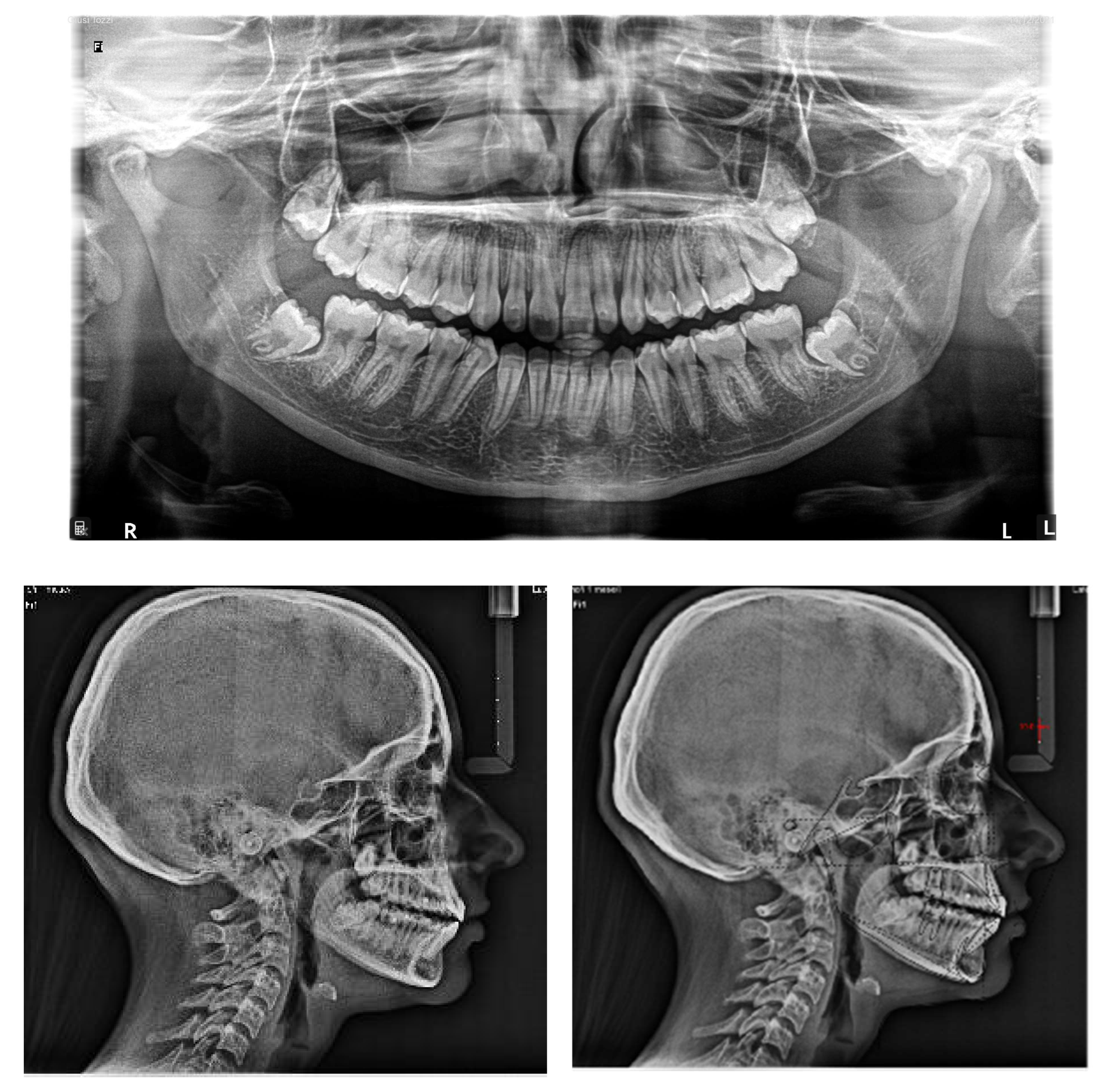
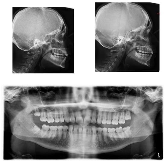
From a lateral view, the profile appeared straight and a normal nasolabial angle, labiomental sulcus, and lip competence was represented. The initial records were collected and X-rays were taken (Figure 1).

Figure 1.
A 17-year-old female with dentoskeletal Class I with an impacted upper right canine before treatment.
Intraorally, the patient had Class I molar and canine relation on both sides, along with normal overbite, overjet, and the retention of the deciduous canine.
The cephalometric analysis showed a skeletal Class I (ANPg +1.7°) with a good proportion of the maxillaries (SNA 84°; SNB 82.3°) in a normo-divergent vertical pattern (SN^Go-Gn = 32.8°) and a good inclination of the upper and lower teeth, respectively (I/ANS-PNS 116.2°; i/GoGn 91.6°) (Table 1).
Table 1.
Cephalometric Analysis.
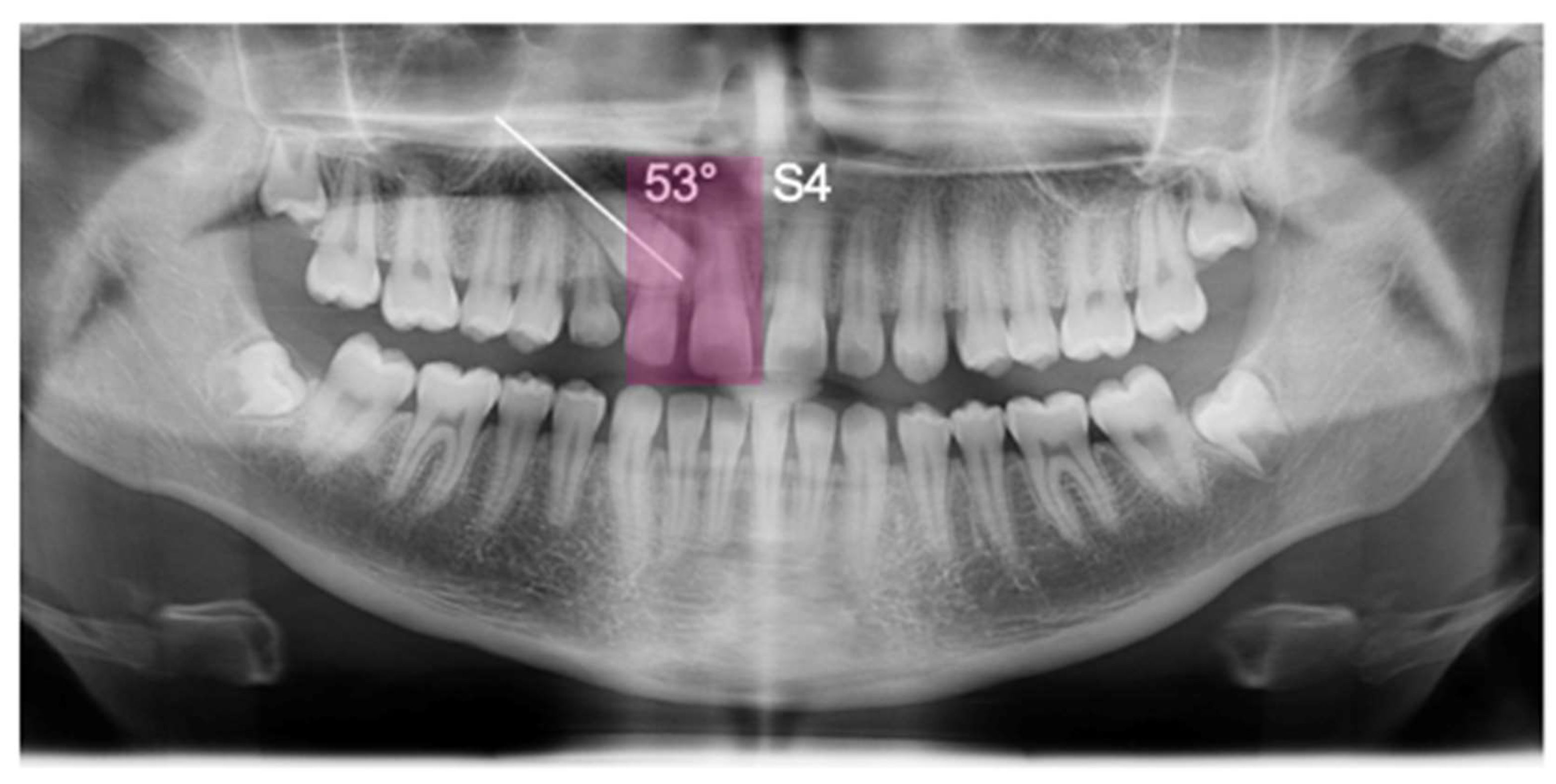
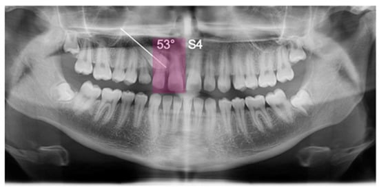
The panoramic X-ray showed unilateral permanent canine displacement in sector four with an alpha angle of more than 53° degrees according to the Ericson and Kurol classification (Figure 2).
Figure 2.
Pre-treatment panoramic X-ray with the evaluation of alpha angle and sector according to the Ericson and Kurol classification.
3.1. Treatment Progress
The treatment started with the surgical exposure of the permanent canine followed by the extraction of the deciduous canine. At the same time, a TAD (3M Unitek 8 mm × 1.5 mm) was inserted on the palatal side between the upper second premolar and first molar. Thereafter, a TMA 0.018 × 0.025—in cantilever spring was tied directly to the TAD and it was activated through extrusion and distalisation with a force of 50 g to move the canine crown past the lateral incisor apex (Figure 3).
Figure 3.
After the surgical exposure of the impacted canine, a TAD was inserted between 1.5 and 1.6 and a 0.017 × 0.025 TMA was tied to the wire chain.
As for the palatally displaced canine, the cantilever spring was activated until the canine was visible and near the crest. Then, the deciduous canine was extracted and intraoral digital scans were taken by using the 3D scanner to start the orthodontic treatment (Figure 4).
Figure 4.
After 6 months of cantilever spring activation in extrusion and distalisation.
At the first Clincheck®, the use of an eruption compensator was planned in order to link the displaced canine to the aligner, through an elastic ligature, thus facilitating the desired movement. Bite ramps are usually placed in order to disocclude the upper and lower arches and increase the movement of the canine from the palatal to the vestibular side (Figure 5 and Figure 6).
Figure 5.
First Clincheck® and first set of aligners to create space, reach alignment and levelling of both arches. The use of elastics and button as auxiliaries to promote the movement of the impacted canine.
Figure 6.
Progress of treatment with mechanics of elastics.
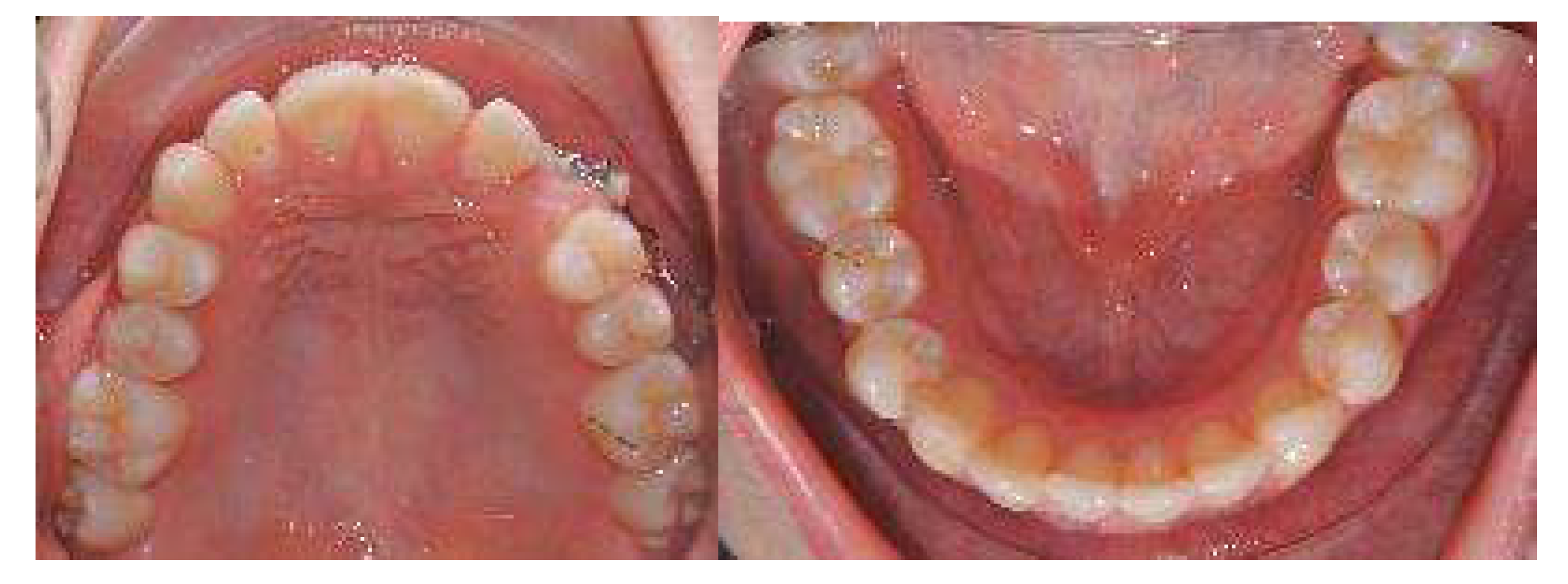
Once the disimpacted canine was in a better position and near to the crest, intraoral impressions and a new series of pictures were taken (Figure 7).

Figure 7.
First refinement with the involvement of the 1.3 in the aligner and consequent alignment and levelling of both arches.
A horizontal rectangular attachment was placed on the buccal surface of the canine and a buccal root torque was applied to ensure the three-dimensional control of the tooth movement (Figure 8).
Figure 8.
Horizontal Rectangular gingival bevelled attachment to improve the fitting on the 1.3 and buccal root torque.
The overall treatment time was 20 months, of which 6 months involved canine traction and 14 months encompassed clear aligner therapy.
3.2. Results
At the end of the treatment, the data of the patient successfully treated with a technique that combines cantilever mechanics with tads and clear aligners reveal the control of the profile and soft tissue harmony.
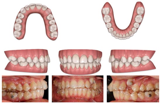
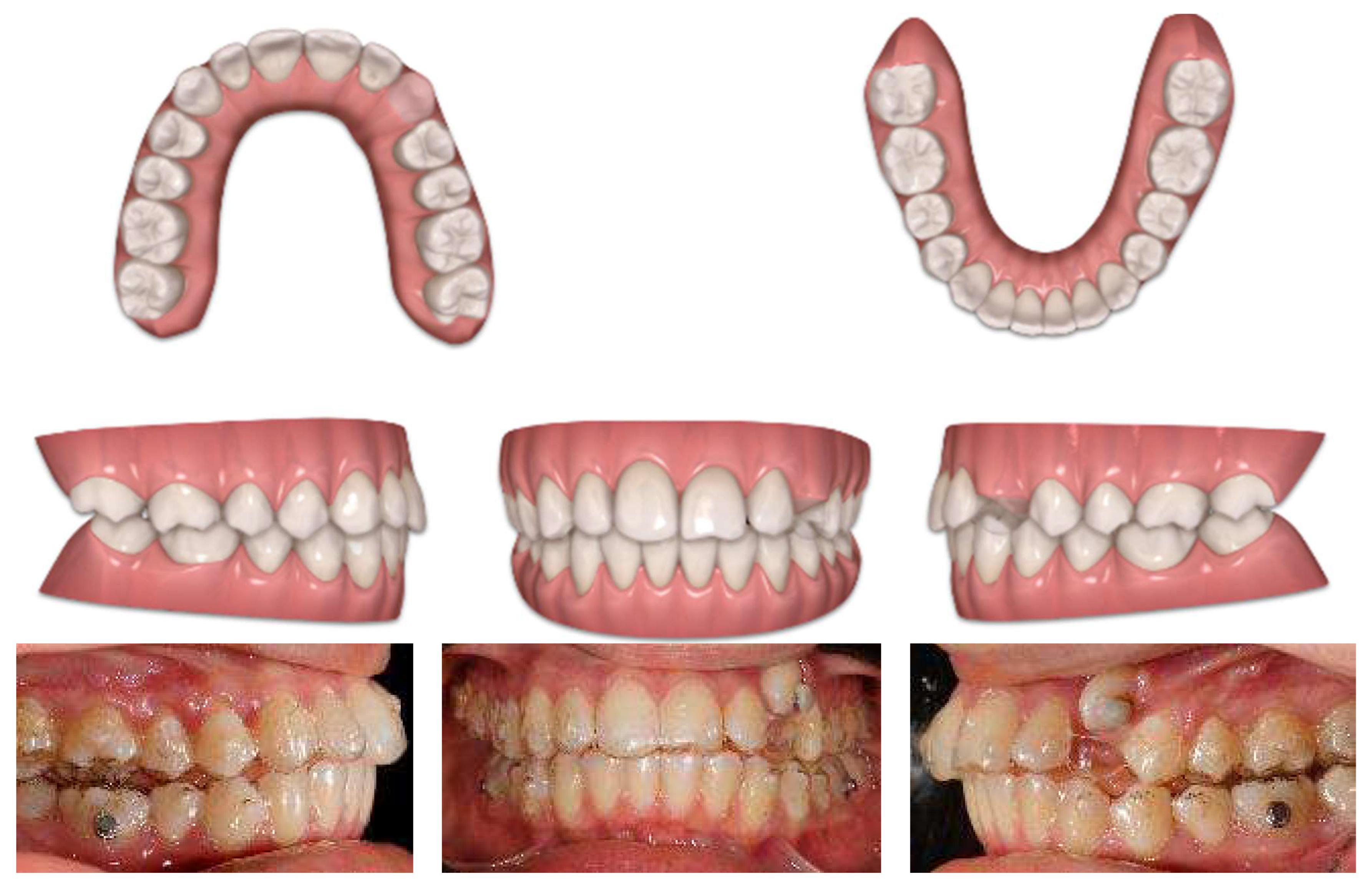
Final clinical records show good aesthetics and the functional recovery of upper canines in the arch. A Class I canine relationship was achieved, and overbite and overjet were normalized. The coordination of the maxillary and mandibular midline was carried out (Figure 9).
Figure 9.
Post treatment extraoral and intraoral pictures.
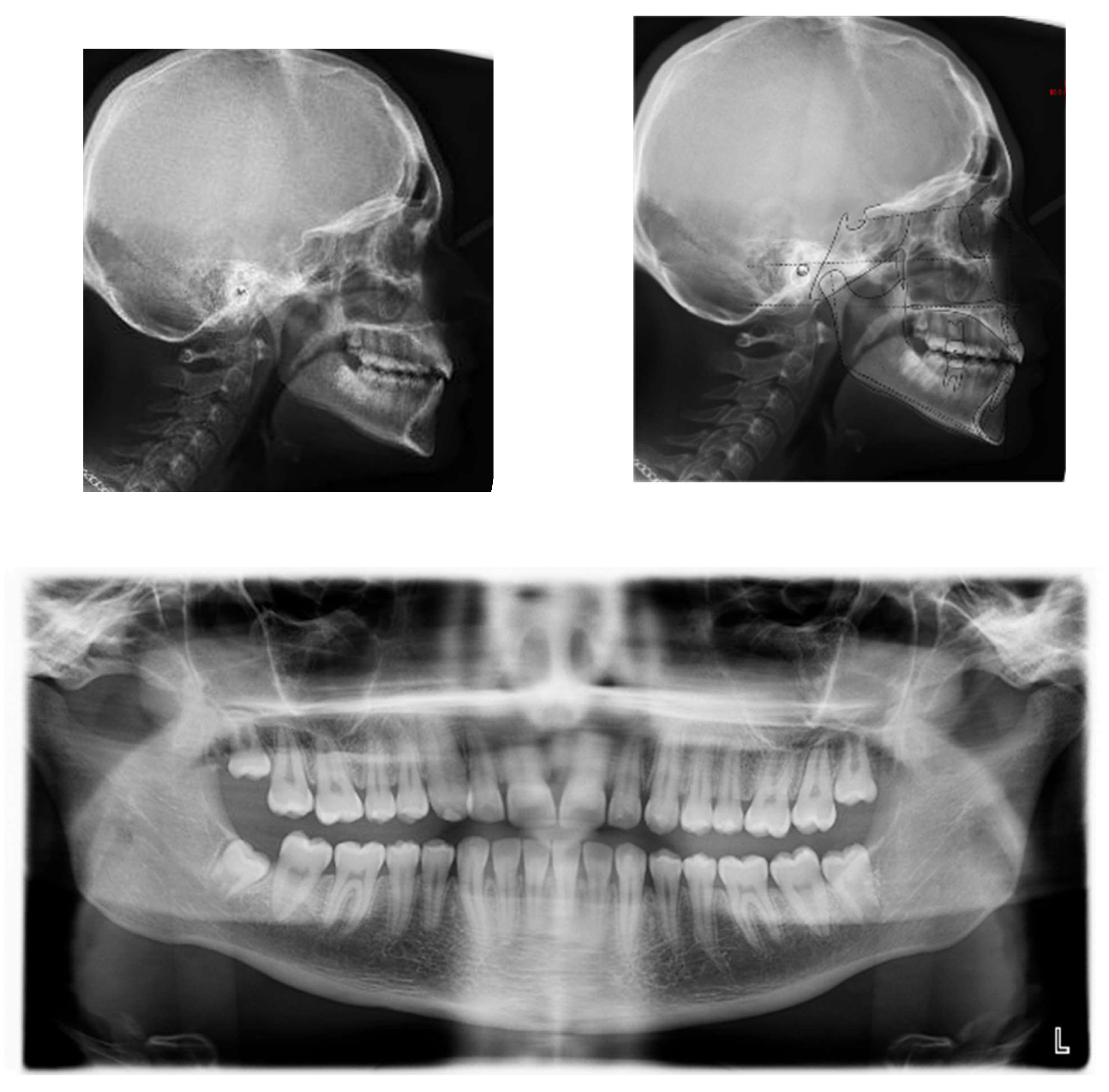
The radiographic evaluation shows an ideal root parallelism and a preserved periodontal health in the canine region. Retention was provided by Vivera in the upper arch and by bonded lingual retainer in the lower arch. No TADs failures were observed (Figure 10).
Figure 10.
Final radiographs and landmarks.
4. Case 2
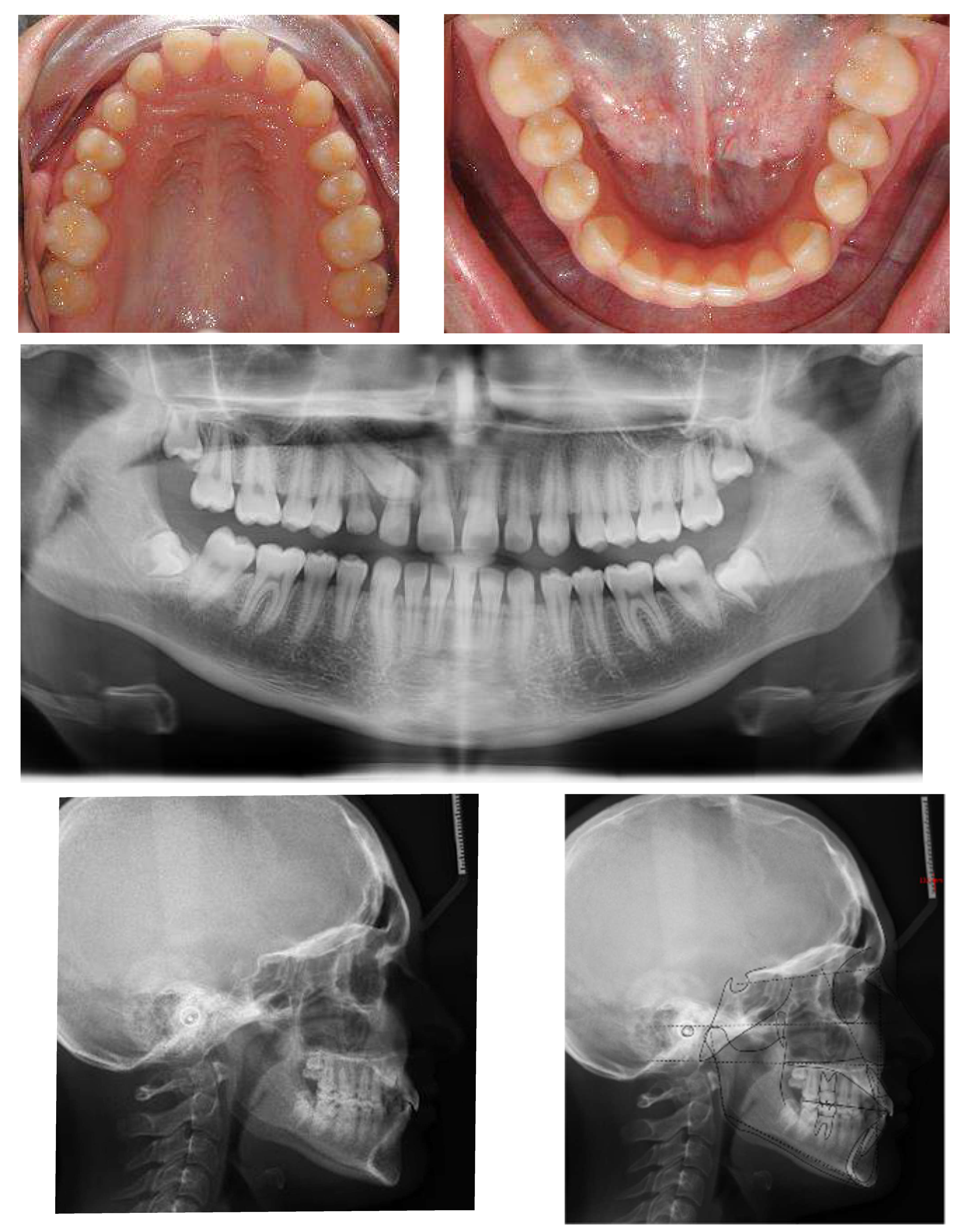
An 18-year-old female patient was referred, complaining of unpleasant smile. She presented good general health and no systemic or congenital diseases. From a frontal view, the patient presented a well-proportioned three-thirds of her face and no evidence of asymmetry. From the lateral view, the profile appeared convex with well-represented nasolabial angle, labiomental sulcus, and lip competence. Intraorally, the patient showed a Class II malocclusion with the molar Class I relationship, edge to edge canine relationship on both sides, increased overjet, overbite, and the retention of the 63. Panoramic, lateral headfilm, and dental cast records were taken (Figure 11).

Figure 11.
An 18-year-old female with dentoskeletal Class II with impacted upper left canine before treatment.
The initial cephalometric analysis showed a skeletal Class I relationship (ANB, +2.6°) and mesodivergent pattern with the proclination of the upper (I/ANS-PNS 118.8°) and lower (i/GoGn:102.2°) incisors. All the radiographic findings, the age of the patient, the prolonged deciduous retention, and the risk of root resorption of the adjacent tooth, led clinicians to conclude that the permanent canine would not erupt properly without intervention (Table 2).
Table 2.
Cephalometric Analysis.
The position of the impacted canine showed an alpha angle of 58° and the Ericson and Kurol II sector classification. No clinical symptoms on articular examination were detected (Figure 12).
Figure 12.
Pre-treatment panoramic X-ray with the evaluation of alpha angle and sector according to the Ericson and Kurol classification.
4.1. Treatment Progress
The treatment started with the first surgical phase followed by the extraction of the deciduous canine, and its engagement and traction toward the arch.
This was followed by the insertion of a TAD (3M Unitek 8 mm × 1.5 mm) on the buccal side between the upper second premolar and first molar on the buccal side. Thereafter, a TMA 0.018 × 0.025-in cantilever spring was modelled and applied directly to the TAD and activated in extrusion and distalisation, applying a force of 50 g to achieve the movement of the canine crown from lateral incisor apex (Figure 13).

Figure 13.
After the surgical exposure of the impacted canine, a TAD was inserted between 1.5 and 1.6 and a 0.017 × 0.025 TMA was tied to the wire chain.
As for the palatally displaced canine, the cantilever spring was activated until the canine was visible and near the crest. Then, the deciduous canine was extracted, and intraoral digital impressions were taken for the clear aligner treatment.
In the first Clincheck®, the use of an eruption compensator was planned in order to locate the displaced canine.
At the same time, the canine was linked to the button cutout of 36 teeth by using Class II elastics to extrude and tip it. On the right side, Class II elastics were placed in order to improve the dental Class II malocclusion (Figure 14 and Figure 15)

Figure 14.
First Clincheck® and the first set of aligners to create space and achieve the alignment and levelling of both arches. Use of elastics and buttons as auxiliaries to promote the extrusion of the impacted canine.
Figure 15.
Progress of treatment with the mechanics of elastics.
Once the displaced tooth was in a better position and near the crest, intraoral impressions and a new series of pictures were taken. Then, an upper arch expansion was planned in order to correct the transverse discrepancy and crowding.
A horizontal rectangular attachment was placed on the buccal surface of the canine, and lingual root torque was applied to ensure the three-dimensional control of the tooth movement (Figure 16).
Figure 16.
Digital impressions after the first set of aligners and a new Clincheck® to refine the occlusion.
The overall treatment time was 18 months, of which 6 months involved canine traction and 12 months encompassed clear aligner therapy.
4.2. Results
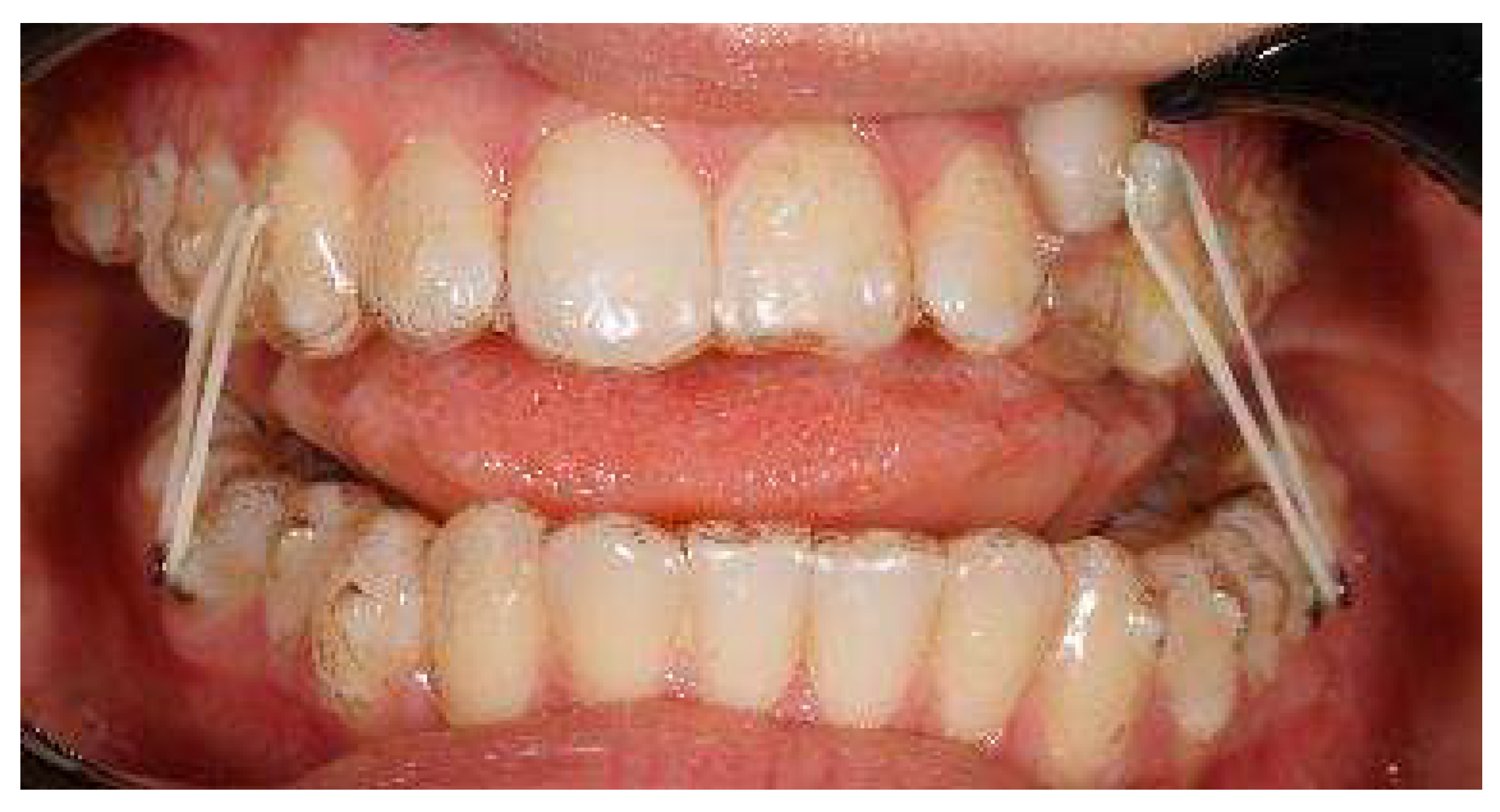
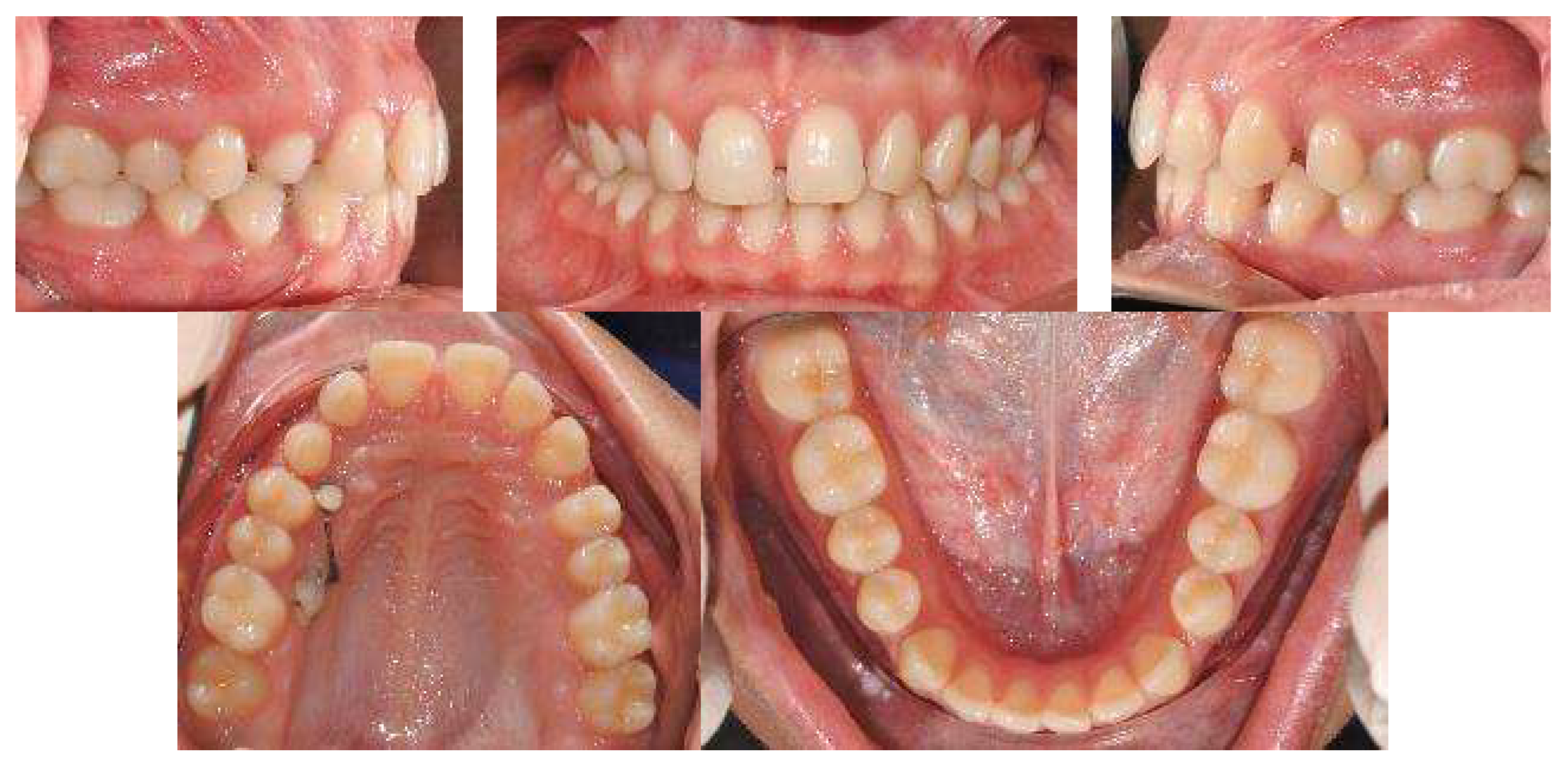
Post-treatment records of the patient successfully treated using a combination of cantilever mechanics with TADs and clear aligners show a control of the facial aesthetics from the frontal and lateral perspectives with a harmonious soft-tissue profile. Final clinical records show good aesthetics and the functional recovery of the upper canines in the arch. A Class I canine relationship was achieved, and overbite and overjet were normalized. The correction of crowding was carried out (Figure 17).
Figure 17.
Post-treatment extraoral and intraoral pictures.
At the end of the treatment, cephalometric radiographs show the good control of the upper and lower inclination. The radiographic evaluation shows an ideal root parallelism and a preserved periodontal health in the canine region (Figure 18). Retention was achieved through Vivera in the upper arch and via a bonded lingual retainer in the lower arch. No TAD failures were observed.
Figure 18.
Final radiographs and landmarks.
5. Discussion
The aim of this paper is to represent the orthodontic treatment of two young patients with skeletal Class I and unilateral impacted teeth. The used technique has allowed correct impacted canine repositioning in order to improve the smile arc. In these cases, extra-torque was used on the Clincheck® for the proper control of the canine roots, but since there is only one point of application of the force, the precision of the torque is affected. Simon et al. indicate that a loss of torque of up to 50% must be taken into consideration when using aligner treatment [11].
The traditional technique requires initial alignment and placement of heavy rectangular base arch wires to neutralize reaction forces. In clinical practice, the most correct path to take is to move the impacted canines away from the roots of adjacent teeth before completing the orthodontic configuration of the arch. The disimpaction of the canine without the support of neighbouring teeth requires bone anchorage [12]. It is useful to use the TAD supports linked to a TMA cantilever spring to provide anchorage for canine eruption before starting alignment. In the literature, a similar case with canine impaction has been described [13].
According to a study of Heravi et al., the disimpaction of palatally impacted canines before the alignment of teeth may decrease root resorption; moreover, the use of TADs allows a more controlled movement of the impacted tooth [12]. When approaching impacted canines with a single direct TAD, it is important to assess the correct site for its primary stability. Nucera et al. analysed the posterior supra-alveolar insertion and they stated that the cortical bone thickness was adequate, but an accurate measurement of the palatal mucosa should be taken as its extension ultimately affects TAD length selection [14].
One of the major reasons for failure of the treatment of the impacted canines is the poor anchorage [15,16,17,18]. Another drawback can be the root resorption of adjacent teeth due to the intrusive compressive forces generated or due to the incorrect planning of the force vector.
The “Canine First Approach” was proposed to avoid these side effects related to the incorrect canine traction, including root resorption and insufficient tooth movements. According to the study by Migliorati et al., by using the direct anchorage, the canine showed a 1 mm/month movement speed rate for the root apex and slightly faster movement in terms of cusp movement when compared to the use of the indirect [19,20]. The single-TAD approach is impressive and simple to handle, but it should be noted that some authors prefer the use of two-TAD technique to reduce any stability problems due to traction activation [21,22,23].
In our case series, the TADs and cantilever spring combination allowed us to perform the “Canine First Technique” to avoid overloading adjacent teeth. Then, the therapy involved the use of clear aligners to finalize the aesthetic and functional treatment.
In the study of Houili, the mean accuracy of Invisalign® for all tooth movements was 50%. The highest overall accuracy was achieved with a buccal-lingual crown tip (56%). These results are logical, given that the aligner material primarily flexes in a buccolingual direction. Furthermore, aligners move teeth by pushing, and the buccal and lingual aspects of the crown provide the largest surface area to be pushed. The choice of Invisalign® technology has made it possible to create a digital design of the treatment plan, which guarantees greater accuracy and predictability as well as aesthetic results. Considering the literature on clear aligner treatment, the introduction of attachments and auxiliaries should be taken into account in order to reach predictable results [24].
6. Conclusions
Post-treatment data obtained from our patients successfully treated via a combination of cantilever mechanics with TADs and clear aligners illustrate the control of facial aesthetics from frontal and lateral perspectives, along with a harmonious soft-tissue profile.
The radiographic evaluation shows ideal root parallelism and preserved periodontal health in the canine region. The treatment of impacted canines can be managed effectively with clear aligners through the use of auxiliaries such as TADs, which, when used appropriately, can lead to satisfactory results.
Author Contributions
R.C. conceived the protocol and M.E.D.F. revised the manuscript; S.C. (Silvia Caruso) contributed to data acquisition and interpretation; Supervision, S.C. (Sara Caruso), R.C. and R.G. All authors have read and agreed to the published version of the manuscript.
Funding
This research received no external funding.
Informed Consent Statement
Written informed consent was obtained from the patients for publication of this short report and any accompanying images.
Data Availability Statement
The authors declare that the materials are available.
Conflicts of Interest
There are no conflicts of interest.
References
- Ericson, S.; Kurol, J. Radiographic examination of ectopically erupting maxillary canines. Am. J. Orthod. Dentofac. Orthop. 1987, 91, 483–492. [Google Scholar] [CrossRef] [PubMed]
- Chapokas, A.R.; Almas, K.; Schincaglia, G.P. The impacted maxillary canine: A proposed classification for surgical exposure. Oral Surg. Oral Med. Oral Pathol. Oral Radiol. 2012, 113, 222–228. [Google Scholar] [CrossRef] [PubMed]
- Chaushu, S.; Zilberman, Y.; Becker, A. Maxillary incisor impaction and its relationship to canine displacement. Am. J. Orthod. Dentofac. Orthop. 2003, 124, 144–150; Discussion 150. [Google Scholar] [CrossRef] [PubMed]
- Thilander, B.; Jakobsson, S.O. Local factors in impaction of maxillary canines. Acta Odontol. Scand. 1968, 26, 145–168. [Google Scholar] [CrossRef] [PubMed]
- Heravi, F.; Shafaee, H.; Forouzanfar, A.; Zarch, S.H.; Merati, M. The effect of canine disimpaction performed with temporary anchorage devices (TADs) before comprehensive orthodontic treatment to avoid root resorption of adjacent teeth. Dent. Press J. Orthod. 2016, 21, 65–72. [Google Scholar] [CrossRef]
- Alqerban, A.; Jacobs, R.; Lambrechts, P.; Loozen, G.; Willems, G. Root resorption of the maxillary lateral incisor caused by impacted canine: A literature review. Clin. Oral Investig. 2009, 13, 247–255. [Google Scholar] [CrossRef]
- Sajnani, A.K.; King, N.M. Early prediction of maxillary canine impaction from panoramic radiographs. Am. J. Orthod. Dentofac. Orthop. 2012, 142, 45–51. [Google Scholar] [CrossRef]
- Bocchino, T.; Perrotta, S.; Martina, S.; D’Antoò, V.; Valletta, R. Canine First Technique, An Innovative Approach in Maxillary Impacted Canines: A Case Report. Open Dent. J. 2022, 16, 2209140. [Google Scholar] [CrossRef]
- Iodice, G.; Ludwig, B.; D’Amato, S.; Michelotti, A.; D’Antò, V. Canine-first approach for the management of impacted maxillary canines with aligners and temporary anchorage devices (TADs). Kieferorthopädie 2022, 36, 345–353. [Google Scholar]
- Leung, M.T.; Lee, T.C.; Rabie, A.B.; Wong, R.W. Use of TADs and miniplates in orthodontics. J. Oral Maxillofac. Surg. 2008, 66, 1461–1466. [Google Scholar] [CrossRef]
- Simon, M.; Keilig, L.; Schwarze, J.; Jung, B.A.; Bourauel, C. Treatment outcome and efficacy of an aligner technique—Regarding incisor torque, premolar derotation and molar distalization. BMC Oral Health 2014, 14, 68. [Google Scholar] [CrossRef]
- Heravi, F.; Shafaee, H.; Forouzanfar, A.; Zarch, S.H.; Merati, M. Forced eruption of palatally impacted canines using bracket-head miniscrews. J. Clin. Orthod. 2014, 48, 576–580. [Google Scholar]
- Capuozzo, R.; De Felice, M.E.; Caruso, S.; Gatto, R.; Caruso, S. Upper canine extrusion using temporary anchorage devices and clear aligners. J. Clin. Orthod. 2023, 57, 63–72. [Google Scholar] [PubMed]
- Nucera, R.; Ciancio, E.; Maino, G.; Barbera, S.; Imbesi, E.; Bellocchio, A.M. Evaluation of bone depth, cortical bone, and mucosa thickness of palatal posterior supra-alveolar insertion site for miniscrew placement. Prog. Orthod. 2022, 23, 18. [Google Scholar] [CrossRef] [PubMed]
- Becker, A.; Chaushu, G.; Chaushu, S. Analysis of failure in the treatment of impacted maxillary canines. Am. J. Orthod. Dentofac. Orthop. 2010, 137, 743–754. [Google Scholar] [CrossRef]
- Grisar, K.; Luyten, J.; Preda, F.; Martin, C.; Hoppenreijs, T.; Politis, C.; Jacobs, R. Interventions for impacted maxillary canines: A systematic review of the relationship between initial canine position and treatment outcome. Orthod. Craniofac. Res. 2021, 24, 180–193. [Google Scholar] [CrossRef]
- Minervini, G.; Mariani, P.; Fiorillo, L.; Cervino, G.; Cicciù, M.; Laino, L. Prevalence of temporomandibular disorders in people with multiple sclerosis: A systematic review and meta-analysis. Cranio 2022, 12, 12409. [Google Scholar] [CrossRef] [PubMed]
- Parkin, N.A.; Milner, R.S.; Deery, C.; Tinsley, D.; Smith, A.M.; Germain, P.; Freeman, J.V.; Bell, S.J.; Benson, P.E. Periodontal health of palatally displaced canines treated with open or closed surgical technique: A multicenter, randomized controlled trial. Am. J. Orthod. Dentofac. Orthop. 2013, 144, 176–184. [Google Scholar] [CrossRef]
- Becker, A.; Chaushu, S. Surgical Treatment of Impacted Canines: What the Orthodontist Would Like the Surgeon to Know. Oral Maxillofac. Surg. Clin. N. Am. 2015, 27, 449–458. [Google Scholar] [CrossRef]
- Migliorati, M.; Drago, S.; Bocchino, T.; Michelotti, A.; D’Antò, V. Treatment of Palatally Displaced Canines Using Miniscrews for Direct or Indirect Anchorage: A Three-Dimensional Prospective Cohort Study on Tooth Movement Speed. Appl. Sci. 2022, 12, 10935. [Google Scholar] [CrossRef]
- Arveda, N.; De Felice, M.E.; Derton, N.; Lombardo, L.; Gatto, R.; Caruso, S. Management of Class III Extraction with the Miniscrew-Supported Orthodontic Pseudo-Ankylosis (MSOPA) Using Direct Tads. Appl. Sci. 2022, 12, 2464. [Google Scholar] [CrossRef]
- Annarumma, F.; D’Emidio, M.; Rodi, G.; Battista, G.; Papi, G.; Migliorati, M. The effectiveness of miniscrews in the three-dimensional control of a palatal impacted canine: “Canine Only” approach. Case report. Int. Orthod. 2021, 19, 716–725. [Google Scholar] [CrossRef] [PubMed]
- Pradal, A.; Nucci, L.; Derton, N.; De Felice, M.E.; Turco, G.; Grassia, V.; Contardo, L. Mechanical Evaluation of the Stability of One or Two Miniscrews under Loading on Synthetic Bone. J. Funct. Biomater. 2020, 11, 80. [Google Scholar] [CrossRef] [PubMed]
- Haouili, N.; Kravitz, N.D.; Vaid, N.R.; Ferguson, D.J.; Makki, L. Has Invisalign improved? A prospective follow-up study on the efficacy of tooth movement with Invisalign. Am. J. Orthod. Dentofac. Orthop. 2020, 158, 420–425. [Google Scholar] [CrossRef]
Disclaimer/Publisher’s Note: The statements, opinions and data contained in all publications are solely those of the individual author(s) and contributor(s) and not of MDPI and/or the editor(s). MDPI and/or the editor(s) disclaim responsibility for any injury to people or property resulting from any ideas, methods, instructions or products referred to in the content. |
© 2023 by the authors. Licensee MDPI, Basel, Switzerland. This article is an open access article distributed under the terms and conditions of the Creative Commons Attribution (CC BY) license (https://creativecommons.org/licenses/by/4.0/).