Assessment of Antidiabetic and Anti-Inflammatory Activities of Carissa carandas Linn Extract: In Vitro and In Vivo Study
Abstract
1. Introduction
2. Materials and Methods
2.1. Chemicals and Reagents
2.2. Plant Materials and Preparation of CCA Extract
2.3. Chemical Profiling of CCA
2.4. Antioxidant Properties
2.5. Cell Culture and Viability
2.6. Nitric Oxide Production Assay in RAW 264.7 Macrophages
2.7. Glucose Uptake and Lipolysis Assay in 3T3-L1 Adipocytes
2.8. Animals and Diets
2.9. Experimental Design
2.10. Oral Glucose Tolerance Test
2.11. Biochemical Analysis and Determination of the HOMA Index
2.12. Histology Determination of Pancreas Tissue
2.13. Statistical Analysis
3. Results
3.1. Extraction Yield and Total Phenolic and Flavonoid Contents of C. carandas Extract
3.2. ABTS Radical Scavenging Activity In Vitro
3.3. HPLC Profiling
3.4. Effect of CCA Extract on Cytotoxicity in RAW 264.7 Macrophages and 3T3-L1 Mature Adipocytes
3.5. Effect of CCA Extract on Nitric Oxide Production in LPS-Induced RAW 264.7 Macrophages
3.6. Effect of CCA Extract on Insulin Resistance in LPS-Induced 3T3-L1 Adipocytes
3.6.1. Effect of CCA Extract on Glucose Uptake in LPS-Induced 3T3-L1 Adipocytes
3.6.2. Effect of CCA Extract on Lipolysis in LPS-Induced 3T3-L1 Adipocytes
3.7. Effect of CCA Extract on Metabolic Variables in T2DM Rat Model
3.8. Effect of CCA Extract on the Fasting Plasma Metabolic Parameter in T2DM Rats at the End of the Experiment
3.9. Effect of CCA Extract on Oral Glucose Tolerance Test in Type 2 Diabetes Rats
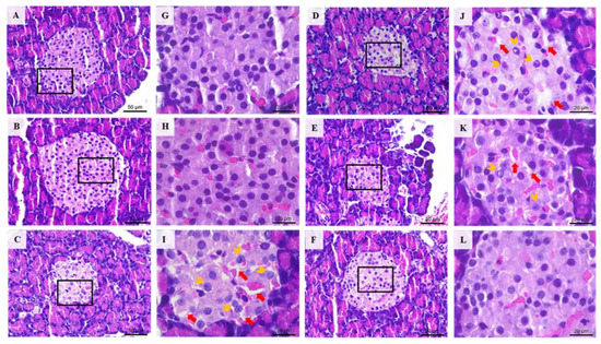
3.10. Effect of CCA Extract on Pancreas Histology in Normal and T2DM Rats
4. Discussion
Author Contributions
Funding
Institutional Review Board Statement
Informed Consent Statement
Data Availability Statement
Acknowledgments
Conflicts of Interest
References
- McArdle, M.A.; Finucane, O.M.; Connaughton, R.M.; McMorrow, A.M.; Roche, H.M. Mechanisms of Obesity-Induced Inflammation and Insulin Resistance: Insights into the Emerging Role of Nutritional Strategies. Front. Endocrinol. 2013, 4, 52. [Google Scholar] [CrossRef] [PubMed]
- Gauthier, M.S.; Ruderman, N.B. Adipose Tissue Inflammation and Insulin Resistance: All Obese Humans Are Not Created Equal. Biochem. J. 2010, 430, e1–e4. [Google Scholar] [CrossRef] [PubMed][Green Version]
- Yamashita, A.; Soga, Y.; Iwamoto, Y.; Yoshizawa, S.; Iwata, H.; Kokeguchi, S.; Takashiba, S.; Nishimura, F. Macrophage-Adipocyte Interaction: Marked Interleukin-6 Production by Lipopolysaccharide. Obesity 2007, 15, 2549–2552. [Google Scholar] [CrossRef] [PubMed]
- Robertson, R.P.; Harmon, J.; Tran, P.O.T.; Poitout, V. Β-Cell Glucose Toxicity, Lipotoxicity, and Chronic Oxidative Stress in Type 2 Diabetes. Diabetes 2004, 53 (Suppl. S1), S119–S124. [Google Scholar] [CrossRef]
- Razavi-Nematollahi, L.; Ismail-Beigi, F. Adverse Effects of Glycemia-Lowering Medications in Type 2 Diabetes. Curr. Diabetes Rep. 2019, 19, 132. [Google Scholar] [CrossRef] [PubMed]
- Tran, N.; Pham, B.; Le, L. Bioactive Compounds in Anti-Diabetic Plants: From Herbal Medicine to Modern Drug Discovery. Biology 2020, 9, 252. [Google Scholar] [CrossRef]
- Srinuanchai, W.; Nooin, R.; Pitchakarn, P.; Karinchai, J.; Suttisansanee, U.; Chansriniyom, C.; Jarussophon, S.; Temviriyanukul, P.; Nuchuchua, O. Inhibitory Effects of Gymnema Inodorum (Lour.) Decne Leaf Extracts and Its Triterpene Saponin on Carbohydrate Digestion and Intestinal Glucose Absorption. J. Ethnopharmacol. 2021, 266, 113398. [Google Scholar] [CrossRef] [PubMed]
- Itankar, P.R.; Lokhande, S.J.; Verma, P.R.; Arora, S.K.; Sahu, R.A.; Patil, A.T. Antidiabetic Potential of Unripe Carissa carandas Linn. Fruit Extract. J. Ethnopharmacol. 2011, 135, 430–433. [Google Scholar] [CrossRef]
- Singh, R.; Shrivastava, M.; Sharma, P. Antidiabetic Effect of Carissa carandas in Rats and the Possible Mechanism of Its Insulin Secretagogues Activity in Isolated Pancreatic Islets. J. Biomed. Ther. Sci. 2019, 6, 1–7. [Google Scholar]
- Pewlong, W.; Sajjabut, S.; Eamsiri, J.; Chookaew, S. Evaluation of Antioxidant Activities, Anthocyanins, Total Phenolic Content, Vitamin C Content and Cytotoxicity of Carissa carandas Linn. Chiang Mai Univ. J. Nat. Sci. 2014, 13, 509–517. [Google Scholar] [CrossRef]
- Iyer, C.M.; Dubash, P.J. Anthocyanin of Karwand (Carissa carandas) and Studies on Its Stability in Model Systems. J. Food Sci. Technol. Mysore 1993, 30, 246–248. [Google Scholar]
- Weerawatanakorn, M.; Pan, M.-H. Phytochemical Components of Carissa carandas and the Inhibitory Effects of Fruit Juice on Inducible Nitric Oxide Synthase and Cyclooxygenase-2. J. Food Biochem. 2017, 41, e12343. [Google Scholar] [CrossRef]
- Dhodi, J.B.; Thanekar, D.R.; Mestry, S.N.; Juvekar, A.R. Carissa carandas Linn. Fruit Extract Ameliorates Gentamicin-Induced Nephrotoxicity in Rats via Attenuation of Oxidative Stress. J. Acute Dis. 2015, 4, 135–140. [Google Scholar] [CrossRef]
- Anupama, N.; Madhumitha, G.; Rajesh, K.S. Role of Dried Fruits of Carissa carandas as Anti-Inflammatory Agents and the Analysis of Phytochemical Constituents by GC-MS. Biomed. Res. Int. 2014, 2014, 512369. [Google Scholar] [CrossRef] [PubMed]
- Gorinstein, S.; Zachwieja, Z.; Katrich, E.; Pawelzik, E.; Haruenkit, R.; Trakhtenberg, S.; Martin-Belloso, O. Comparison of the Contents of the Main Antioxidant Compounds and the Antioxidant Activity of White Grapefruit and His New Hybrid. Lebenson. Wiss. Technol. 2004, 37, 337–343. [Google Scholar] [CrossRef]
- Zhishen, J.; Mengcheng, T.; Jianming, W. The Determination of Flavonoid Contents in Mulberry and Their Scavenging Effects on Superoxide Radicals. Food Chem. 1999, 64, 555–559. [Google Scholar] [CrossRef]
- Dhar, P.; Bajpai, P.K.; Tayade, A.B.; Chaurasia, O.P.; Srivastava, R.B.; Singh, S.B. Chemical Composition and Antioxidant Capacities of Phytococktail Extracts from Trans-Himalayan Cold Desert. BMC Complement. Altern. Med. 2013, 13, 259. [Google Scholar] [CrossRef]
- Srinivasan, K.; Viswanad, B.; Asrat, L.; Kaul, C.L.; Ramarao, P. Combination of High-Fat Diet-Fed and Low-Dose Streptozoto-cin-Treated Rat: A Model for Type 2 Diabetes and Pharmacological Screening. Pharmacol. Res. 2005, 52, 313–320. [Google Scholar] [CrossRef]
- Matthews, D.R.; Hosker, J.P.; Rudenski, A.S.; Naylor, B.A.; Treacher, D.F.; Turner, R.C. Homeostasis Model Assessment: Insulin Re-Sistance and Beta-Cell Function from Fasting Plasma Glucose and Insulin Concentrations in Man. Diabetologia 1985, 28, 412–419. [Google Scholar] [CrossRef]
- Dhar, G.; Akther, S.; Sultana, A.; May, U.; Islam, M.M.; Dhali, M.; Sikdar, D. Effect of Extraction Solvents on Phenolic Contents and Antioxidant Capacities of Artocarpus chaplasha and Carissa carandas Fruits from Bangladesh. J. Appl. Biol. Biotechnol. 2017, 5, 039–044. [Google Scholar]
- Sarkar, R.; Kundu, A.; Banerjee, K.; Saha, S. Anthocyanin Composition and Potential Bioactivity of Karonda (Carissa carandas L.) Fruit: An Indian Source of Biocolorant. Lebenson. Wiss. Technol. 2018, 93, 673–678. [Google Scholar] [CrossRef]
- Le, X.T.; Huynh, M.T.; Pham, T.N.; Than, V.T.; Toan, T.Q.; Bach, L.G.; Trung, N.Q. Optimization of Total Anthocyanin Content, Stability and Antioxidant Evaluation of the Anthocyanin Extract from Vietnamese Carissa carandas L. Fruits. Processes 2019, 7, 468. [Google Scholar] [CrossRef]
- Shailajan, S.; Menon, S.; Sayed, N.; Tiwari, B. Simultaneous Estimation of Three Triterpenoids from Carissa Carandas Using Validated High Performance Liquid Chromatography. Int. J. Green Pharm. 2012, 6, 241. [Google Scholar] [CrossRef]
- Shailajan, S.; Sayed, N.; Tiwari, B. Impact of Regional Variation on Lupeol Content in Carissa Carandas Linn. Fruits: Evaluation Using Validated High Performance Thin Layer Chromatography. J. Adv. Sci. Res. 2013, 4, 21–24. [Google Scholar]
- Patra, P.A.; Basak, U. Nutritional and Antinutritional Properties of Carissa carandas and Cordia dichotoma, Two Medicinally Important Wild Edible Fruits of Odisha. J. Basic Appl. Sci. Res. 2017, 7, 1–12. [Google Scholar]
- Phaniendra, A.; Jestadi, D.B.; Periyasamy, L. Free Radicals: Properties, Sources, Targets, and Their Implication in Various Diseases. Indian J. Clin. Biochem. 2015, 30, 11–26. [Google Scholar] [CrossRef] [PubMed]
- Nascimento-Souza, M.A.; Paiva, P.G.; Martino, H.S.D.; Ribeiro, A.Q. Dietary Total Antioxidant Capacity as a Tool in Health Outcomes in Middle-Aged and Older Adults: A Systematic Review. Crit. Rev. Food Sci. Nutr. 2018, 58, 905–912. [Google Scholar] [CrossRef]
- Bahadoran, Z.; Golzarand, M.; Mirmiran, P.; Shiva, N.; Azizi, F. Dietary Total Antioxidant Capacity and the Occurrence of Metabolic Syndrome and Its Components after a 3-Year Follow-up in Adults: Tehran Lipid and Glucose Study. Nutr. Metab. 2012, 9, 70. [Google Scholar] [CrossRef]
- Liang, H.; Hussey, S.E.; Sanchez-Avila, A.; Tantiwong, P.; Musi, N. Effect of Lipopolysaccharide on Inflammation and Insulin Action in Human Muscle. PLoS ONE 2013, 8, e63983. [Google Scholar] [CrossRef]
- Rittig, N.; Bach, E.; Thomsen, H.H.; Pedersen, S.B.; Nielsen, T.S.; Jørgensen, J.O.; Jessen, N.; Møller, N. Regulation of Lipolysis and Adipose Tissue Signaling during Acute Endotoxin-Induced Inflammation: A Human Randomized Crossover Trial. PLoS ONE 2016, 11, e0162167. [Google Scholar] [CrossRef]
- Cullberg, K.B.; Larsen, J.Ø.; Pedersen, S.B.; Richelsen, B. Effects of LPS and Dietary Free Fatty Acids on MCP-1 in 3T3-L1 Adipocytes and Macrophages in Vitro. Nutr. Diabetes 2014, 4, e113. [Google Scholar] [CrossRef]
- Toda, G.; Soeda, K.; Okazaki, Y.; Kobayashi, N.; Masuda, Y.; Arakawa, N.; Suwanai, H.; Masamoto, Y.; Izumida, Y.; Kamei, N.; et al. Insulin- and Lipopolysaccharide-Mediated Signaling in Adipose Tissue Macrophages Regulates Postprandial Glycemia through Akt-mTOR Activation. Mol. Cell 2020, 79, 43–53. [Google Scholar] [CrossRef] [PubMed]
- Khat-Udomkiri, N.; Toejing, P.; Sirilun, S.; Chaiyasut, C.; Lailerd, N. Antihyperglycemic Effect of Rice Husk Derived Xylooligosac-Charides in High-Fat Diet and Low-Dose Streptozotocin-Induced Type 2 Diabetic Rat Model. Food Sci. Nutr. 2020, 8, 428–444. [Google Scholar] [CrossRef] [PubMed]
- Gowd, V.; Gurukar, A.; Chilkunda, N.D. Glycosaminoglycan Remodeling during Diabetes and the Role of Dietary Factors in Their Modulation. World J. Diabetes 2016, 7, 67–73. [Google Scholar] [CrossRef] [PubMed]
- Samuel, V.T.; Shulman, G.I. The Pathogenesis of Insulin Resistance: Integrating Signaling Pathways and Substrate Flux. J. Clin. Investig. 2016, 126, 12–22. [Google Scholar] [CrossRef]
- Ohlsson, L.; Rosenquist, A.; Rehfeld, J.F.; Härröd, M. Postprandial Effects on Plasma Lipids and Satiety Hormones from Intake of Liposomes Made from Fractionated Oat Oil: Two Randomized Crossover Studies. Food Nutr. Res. 2014, 58, 24465. [Google Scholar] [CrossRef] [PubMed][Green Version]
- Al-Awar, A.; Kupai, K.; Veszelka, M.; Szűcs, G.; Attieh, Z.; Murlasits, Z.; Török, S.; Pósa, A.; Varga, C. Experimental Diabetes Mellitus in Different Animal Models. J. Diabetes Res. 2016, 2016, 9051426. [Google Scholar] [CrossRef] [PubMed]
- Ji, J.; Zhang, C.; Luo, X.; Wang, L.; Zhang, R.; Wang, Z.; Fan, D.; Yang, H.; Deng, J. Effect of Stay-Green Wheat, a Novel Variety of Wheat in China, on Glucose and Lipid Metabolism in High-Fat Diet Induced Type 2 Diabetic Rats. Nutrients 2015, 7, 5143–5155. [Google Scholar] [CrossRef] [PubMed]
- Magalhaes, D.A.; Kume, W.T.; Correia, F.S.; Queiroz, T.S.; Neto, A.; Santos, E.W. High-Fat Diet and Streptozotocin in the Induction of Type 2 Diabetes Mellitus: A New Proposal. An. Da Acad. Bras. De Cienc. 2019, 91, E20180314. [Google Scholar] [CrossRef]
- Liu, Y.; Li, D.; Zhang, Y.; Sun, R.; Xia, M. Anthocyanin Increases Adiponectin Secretion and Protects against Diabetes-Related Endothelial Dysfunction. Am. J. Physiol. Endocrinol. Metab. 2014, 306, E975–E988. [Google Scholar] [CrossRef]
- Prior, R.L.; Wu, X.; Gu, L.; Hager, T.J.; Hager, A.; Howard, L.R. Whole Berries versus Berry Anthocyanins: Interactions with Dietary Fat Levels in the C57BL/6J Mouse Model of Obesity. J. Agric. Food Chem. 2008, 56, 647–653. [Google Scholar] [CrossRef] [PubMed]
- Takahashi, A.; Shimizu, H.; Okazaki, Y.; Sakaguchi, H.; Taira, T.; Suzuki, T.; Chiji, H. Anthocyanin-Rich Phytochemicals from Aronia Fruits Inhibit Visceral Fat Accumulation and Hyperglycemia in High-Fat Diet-Induced Dietary Obese Rats. J. Oleo Sci. 2015, 64, 1243–1250. [Google Scholar] [CrossRef] [PubMed]
- Bjornstad, P.; Eckel, R.H. Pathogenesis of Lipid Disorders in Insulin Resistance: A Brief Review. Curr. Diabetes Rep. 2018, 18, 127. [Google Scholar] [CrossRef] [PubMed]
- Guo, H.; Guo, J.; Jiang, X.; Li, Z.; Ling, W. Cyanidin-3-O-Beta-Glucoside, a Typical Anthocyanin, Exhibits Antilipolytic Effects in 3T3-L1 Adipocytes during Hyperglycemia: Involvement of FoxO1-Mediated Transcription of Adipose Triglyceride Lipase. Food Chem. Toxicol. 2012, 50, 3040–3047. [Google Scholar] [CrossRef]
- Wang, H.; Liu, D.; Ji, Y.; Liu, Y.; Xu, L.; Guo, Y. Dietary Supplementation of Black Rice Anthocyanin Extract Regulates Cholesterol Metabolism and Improves Gut Microbiota Dysbiosis in C57BL/6J Mice Fed a High-Fat and Cholesterol Diet. Mol. Nutr. Food Res. 2020, 64, 1900876. [Google Scholar] [CrossRef]
- Guo, H.; Li, D.; Ling, W.; Feng, X.; Xia, M. Anthocyanin Inhibits High Glucose-Induced Hepatic MtGPAT1 Activation and Prevents Fatty Acid Synthesis through PKCzeta. J. Lipid Res. 2011, 52, 908–922. [Google Scholar] [CrossRef]
- Matsukawa, T.; Inaguma, T.; Han, J.; Villareal, M.O.; Isoda, H. Cyanidin-3-Glucoside Derived from Black Soybeans Ameliorate Type 2 Diabetes through the Induction of Differentiation of Preadipocytes into Smaller and Insulin-Sensitive Adipocytes. J. Nutr. Biochem. 2015, 26, 860–867. [Google Scholar] [CrossRef] [PubMed]
- Salehi, B.; Ata, A.; Anil Kumar, N.V.; Sharopov, F.; Ramírez-Alarcón, K.; Ruiz-Ortega, A.; Abdulmajid Ayatollahi, S.; Tsouh Fokou, P.V.; Kobarfard, F.; Amiruddin Zakaria, Z.; et al. Antidiabetic Potential of Medicinal Plants and Their Active Components. Biomolecules 2019, 9, 551. [Google Scholar] [CrossRef]
- Wallace, T.M.; Levy, J.C.; Matthews, D.R. Use and Abuse of HOMA Modeling. Diabetes Care 2004, 27, 1487–1495. [Google Scholar] [CrossRef]
- Gonzalez-Mejia, M.E.; Porchia, L.M.; Torres-Rasgado, E.; Ruiz-Vivanco, G.; Pulido-Pérez, P.; Báez-Duarte, B.G.; Pérez-Fuentes, R. C-Peptide Is a Sensitive Indicator for the Diagnosis of Metabolic Syndrome in Subjects from Central Mexico. Metab. Syndr. Relat. Disord. 2016, 14, 210–216. [Google Scholar] [CrossRef]
- Stumvoll, M.; Mitrakou, A.; Pimenta, W.; Jenssen, T.; Yki-Järvinen, H.; Van Haeften, T.; Renn, W.; Gerich, J. Use of the Oral Glucose Tolerance Test to Assess Insulin Release and Insulin Sensitivity. Diabetes Care 2000, 23, 295–301. [Google Scholar] [CrossRef] [PubMed]
- Zhao, M.; Li, X.W.; Chen, D.Z.; Hao, F.; Tao, S.X.; Yu, H.Y.; Cheng, R.; Liu, H. Neuro-Protective Role of Metformin in Patients with Acute Stroke and Type 2 Diabetes Mellitus via AMPK/Mammalian Target of Rapamycin (MTOR) Signaling Pathway and Oxidative Stress. Med. Sci. Monit. 2019, 25, 2186–2194. [Google Scholar] [CrossRef] [PubMed]
- Kim, S.H.; Abbasi, F. Myths about Insulin Resistance: Tribute to Gerald Reaven. Endocrinol. Metab. 2019, 34, 47–52. [Google Scholar] [CrossRef] [PubMed]
- Yaribeygi, H.; Farrokhi, F.R.; Butler, A.E.; Sahebkar, A. Insulin Resistance: Review of the Underlying Molecular Mecha-Nisms. J. Cell. Physiol. 2019, 234, 8152–8161. [Google Scholar] [CrossRef] [PubMed]








| C. carandas Extract | |
|---|---|
| Extract yield (%) | 38.82 (1.19) |
| Phenolic contents (mg GAE/g extract) | 18.23 (0.37) |
| Flavonoid contents (mg RUE/g extract) | 12.04 (2.74) |
| Groups | Parameters | ||||
|---|---|---|---|---|---|
| BW (g) | VF (g) | VF/BW | Food Intake (g) | Calorie Intake (Kcal) | |
| NDC | 538.13 ± 13.95 | 40.49 ± 4.39 | 7.08 ± 0.57 | 24.06 ± 0.68 | 91.58 ± 4.88 |
| NDH | 547.50 ± 16.48 | 38.31 ± 2.90 | 6.41 ± 0.31 | 25.07 ± 0.38 | 93.77 ± 1.42 |
| DMC | 491.25 ± 15.52 *** | 38.85 ± 5.48 | 6.94 ± 0.69 | 18.41 ± 0.47 | 86.18 ± 2.21 |
| DML | 487.50 ± 16.93 *** | 34.76 ± 4.57 | 7.17 ± 0.43 | 19.88 ± 1.40 | 93.02 ± 6.57 |
| DMH | 484.38 ± 16.97 *** | 27.80 ± 3.33 *** ## | 5.20 ± 0.50 *** ### | 21.21 ± 1.04 | 99.25 ± 4.86 * ### |
| DMM | 499.29 ± 20.94 *** | 38.19 ± 8.53 | 7.84 ± 0.94 | 21.30 ± 2.32 | 99.68 ± 10.87 ** ### |
| Groups | Parameters | |||||
|---|---|---|---|---|---|---|
| Glucose (mg/dL) | Insulin (ng/mL) | HOMA-IR | HOMA-β | Triglyceride (mg/dL) | Total Cholesterol (mg/dL) | |
| NDC | 143.61 ± 5.61 | 3.74 ± 0.84 | 1.49 ± 0.30 | 19.34 ± 3.86 | 73.14 ± 3.85 | 67.60 ± 2.99 |
| NDH | 135.30 ± 6.02 | 3.44 ± 0.72 | 1.16 ± 0.31 | 17.93 ± 2.32 | 67.50 ± 2.48 | 64.18 ± 6.99 |
| DMC | 366.24 ± 30.0 *** | 2.53 ± 0.61 | 2.38 ± 0.66 *** | 3.11 ± 0.75 *** | 126.42 ± 11.16 *** | 139.56 ± 5.79 *** |
| DML | 241.70 ± 14.69 *** ### | 2.12 ± 0.23 | 1.04 ± 0.23 ### | 4.08 ± 0.45 *** | 67.05 ± 6.00 ### | 105.77 ± 9.09 *** ### |
| DMH | 205.41 ± 12.49 *** ### | 3.18 ± 0.87 | 1.46 ± 0.35 ## | 7.03 ± 2.54 *** | 75.02 ± 4.64 ### | 104.51 ± 8.81 *** ### |
| DMM | 210.17 ± 16.76 *** ### | 3.35 ± 0.66 | 1.58 ± 0.20 # | 8.90 ± 2.32 *** ## | 67.28 ± 3.55 ### | 78.19 ± 7.29 ### |
Disclaimer/Publisher’s Note: The statements, opinions and data contained in all publications are solely those of the individual author(s) and contributor(s) and not of MDPI and/or the editor(s). MDPI and/or the editor(s) disclaim responsibility for any injury to people or property resulting from any ideas, methods, instructions or products referred to in the content. |
© 2023 by the authors. Licensee MDPI, Basel, Switzerland. This article is an open access article distributed under the terms and conditions of the Creative Commons Attribution (CC BY) license (https://creativecommons.org/licenses/by/4.0/).
Share and Cite
Lailerd, M.; Linn, T.W.; Lailerd, N.; Amornlerdpison, D.; Imsumran, A. Assessment of Antidiabetic and Anti-Inflammatory Activities of Carissa carandas Linn Extract: In Vitro and In Vivo Study. Appl. Sci. 2023, 13, 6454. https://doi.org/10.3390/app13116454
Lailerd M, Linn TW, Lailerd N, Amornlerdpison D, Imsumran A. Assessment of Antidiabetic and Anti-Inflammatory Activities of Carissa carandas Linn Extract: In Vitro and In Vivo Study. Applied Sciences. 2023; 13(11):6454. https://doi.org/10.3390/app13116454
Chicago/Turabian StyleLailerd, Manaschanok, Thiri Wai Linn, Narissara Lailerd, Duangporn Amornlerdpison, and Arisa Imsumran. 2023. "Assessment of Antidiabetic and Anti-Inflammatory Activities of Carissa carandas Linn Extract: In Vitro and In Vivo Study" Applied Sciences 13, no. 11: 6454. https://doi.org/10.3390/app13116454
APA StyleLailerd, M., Linn, T. W., Lailerd, N., Amornlerdpison, D., & Imsumran, A. (2023). Assessment of Antidiabetic and Anti-Inflammatory Activities of Carissa carandas Linn Extract: In Vitro and In Vivo Study. Applied Sciences, 13(11), 6454. https://doi.org/10.3390/app13116454

