Abstract
Introduction: Periodontitis is a multifactorial chronic inflammatory disease induced by a dysbiosis between the host and oral microbiota, which can compromise the host’s immune defenses and lead to the destruction of periodontal tissues. Despite the efficacy of non-surgical periodontal therapy (NSPT) as the gold standard of periodontal treatment, its application can produce lower results due to anatomical and microbiological limitations. This systematic literature review was performed to assess the long-term efficacy of the effects of probiotics as an adjunct to NSPT compared to the control groups with follow-up of clinical, microbiological and immunological outcomes. Materials and methods: A literature review was conducted, considering manuscripts published from November 2016 to February 2022. The research question was formulated following the population, intervention, comparison and outcome strategies. Randomized controlled trials (RCT), systematic review and meta-analysis investigating the periodontal efficacy of domiciliary probiotic therapy in an adjunct to the mechanical therapy were included. Results: Regarding clinical outcomes, there is a reduction in periodontal probing depth (PPD), clinical attachments level (CAL), bleeding on probing (BoP) and plaque index (PI) for the test groups compared to the control groups in a short-term period. No differences were generally observed in the following indices over a period of more than 3 months for most studies considered. Conclusions: Weak evidence suggests that the use of probiotics as an adjunct to non-surgical periodontal therapy treatment may be able to show improvements in periodontal clinical parameters for up to 3 months. However, a significant and large heterogeneity of studies, along with the absence of long-term microbiological and immunological data, preclude any definitive conclusions.
1. Introduction
Periodontitis is a multifactorial chronic disease induced by the result of a dysbiotic microbiota that involves a cascade of inflammatory reactions and is characterized by the destruction of periodontal tissue, which leads to the resorption of alveolar bone and tooth loss [1].
It has a high worldwide prevalence, and its management aims to reduce the level of microbiome charge, reach a homeostatic balance between the host and microbial communities, and promote the healing of damaged periodontal tissue [2].
Recent microbiological studies support a new pathogenesis model based on a polymicrobial synergy and dysbiosis, according to which this disorder starts from a disbalance between the host and the microflora, in which some key species form part of The Orange and Red Complex by Socransky (Porphyromonas Gingivalis, Tannerella Forsythia and Treponema Denticola [3]) capable of compromising host immune surveillance and increasing the pathogenicity of the microbiota by selecting an inflammatory microbiota that supports periodontal inflammation [4,5,6].
The first step of the periodontal disease therapy involves the mechanical destruction of oral biofilm and the elimination of retentive factors by the application of the non-surgical periodontal therapy (NSPT), which is considered the “gold standard” of periodontal treatment [7,8].
Despite the effectiveness of the NSPT therapy in reducing the depth of the gingival pocket (PPD) and improving the clinical attachment level (CAL), it has limitations due to anatomical access, very deep pockets and furcations, as well as microbiological reasons, including the frequent recolonization of pathogenic bacteria [9]. Therefore, to enhance the periodontal results, adjuvant therapies to the mechanical treatment have been proposed, such as antibiotics, ozone, photobiomodulation and probiotics [10,11].
Probiotics are microorganisms that can bring benefits to the health of the host when given in adequate and sufficient quantities [12]. Their administration serves to restore the balance of the oral microbiota by increasing the population of beneficial bacteria through the competitive inhibition of periodontal pathogens, thus modulating the host response [13].
Moreover, probiotics are able to produce antimicrobials and bacteriocins that are opposed to the pathogenic action of the bacterial biofilm [14,15,16].
Therefore, the use of probiotics could have a potential benefit in the management of periodontal disease; several clinical studies have investigated their effects in addition to NSPT, but there are few data concerning the clinical impact and long-term microbiological and immunological outcomes.
Studies on gastrointestinal probiotics present strong scientific evidence, but several heterogeneous sources have been recognized in empirical therapy with probiotics [17] and it has been shown that the host-microbiome interface exhibits variable resistance to colonization in different individuals [18], resulting in the need for personalized approaches.
It is therefore essential to understand which factors can influence the efficacy of probiotics in periodontal therapy and how long a potentially beneficial effect persists, allowing to know the methods of application in addition to NSPT.
This systematic review seeks to assess the efficacy of the effects of probiotics in addition to NSPT compared to controls with follow-up of clinical, microbiological and immunological outcomes.
2. Materials and Methods
The present review has been conducted in accordance with the guidelines for systematic reviews and meta-analyses (PRISMA) [19].
This question follows the PICO (population, intervention, comparison and outcomes) guidelines.
The population (Population) consisted of adult patients diagnosed with stage 3 or 4 periodontitis who (Intervention) were given probiotics as an add-on therapy to NSPT. In this paper, the comparison is performed between studies that report the presence of a control group that receives only NSPT or NSPT and a placebo. The main clinical outcomes (Outcomes) considered were: the probing depth of the pocket (PPD), the level of clinical attachment (CAL) and bleeding on probing (BOP).
Microbiological outcomes concerned the absolute quantities or abundance of periodontal pathogenic bacteria and other oral commensal species.
The focused questions were:
- -
- Do probiotics provide additional therapeutic effects on clinical, microbiological and immunological outcomes when used in addition to periodontal therapy?
- -
- Do the additional effects of probiotics in addition to the NSPT persist during long-term follow-up?
2.1. Search Strategy
The research was carried out independently by two authors and on three databases (PubMed, Medline and Cochrane Library) using keywords and synonyms such as (periodontitis, periodontal disease, non-surgical periodontal therapy, periodontal treatment, oral health, periodontal health) and probiotics.
Additionally, manual search was performed on Journal of Clinical Periodontology. The search was limited to articles in English. No restrictions on date of publication or follow-up period were applied when searching the first electronic databases to be as inclusive as possible.
The exclusion criteria were applied after the electronic search.
The bibliographies of all identified clinical studies and relevant review articles were checked in order to identify other eligible articles related to the topic.
2.2. Study Design
Only Randomized Controlled Trials, Systematic reviews and Meta-analysis were included in the review.
The publications with the following inclusion criteria were selected:
- Posted in English;
- Published between November 2016 and February 2022;
- Follow-up period of at least 3 months;
- Clinical parameters including BOP and CAL;
- Control group containing patients who have been treated, at least, with NSPT.
- The titles and abstracts were examined to verify their admissibility, and only the studies that fulfilled the criteria aforementioned were included.
2.3. Screening and Study Selection
The results of the database research were upload on Zotero (https://www.zotero.org; accessed on date 15 July 2022) to exclude duplicates. Then, titles and abstracts of all remaining articles were independently scanned by two reviewers following the inclusion and exclusion criteria.
Disagreements between authors were resolved after a discussion by the intervention of a third author. During the examination of the titles and abstracts of the studies, of those in which it was not possible to establish with certainty full compliance with the inclusion criteria, the complete text was examined.
For each included survey, the following features were recorded:
- Study design;
- Probing pocket depth at baseline (PPD measured in mm);
- Clinical attachment level at baseline (CAL measured in mm);
- Sample size;
- Follow-up period;
- Strain of probiotics;
- Duration of probiotic therapy;
- Clinical, microbiological and immunological parameters.
2.4. Quality Assestment (Risk of Bias)
A quality assessment of the included studies was performed according to the Cochrane Handbook for Systematic Reviews of Interventions [20].
Bias is assessed as a judgment (high, low or unclear) for individual elements from five domains:
- Random sequence generation;
- Allocation concealment;
- Blinding of participants and personnel;
- Blinding of outcome assessment;
- Incomplete outcome data;
- Selective reporting;
- Other sources of bias.
3. Results
3.1. Characteristics of the Included Studies
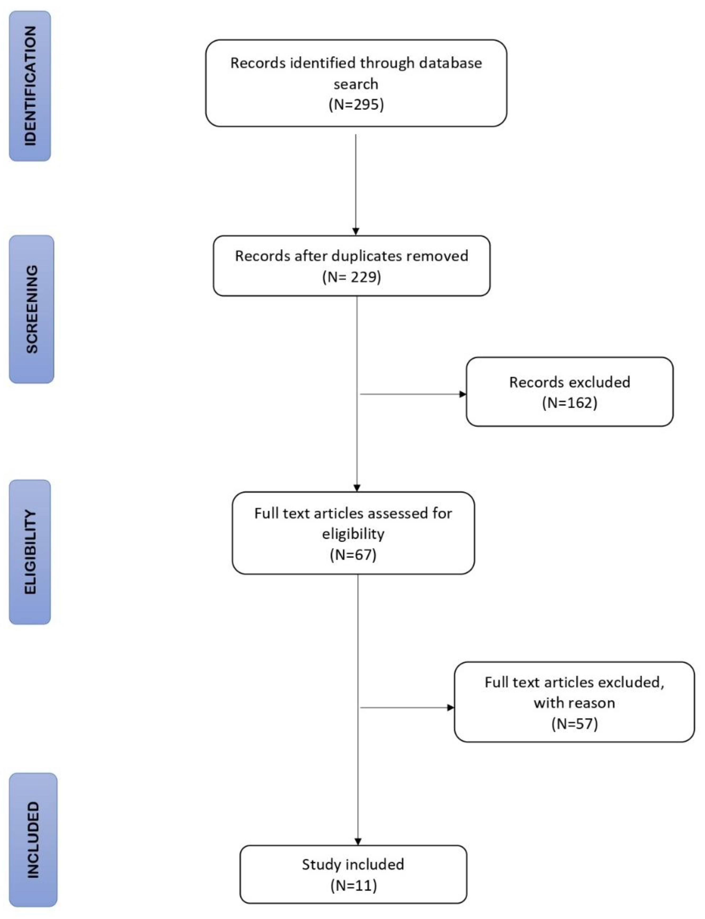
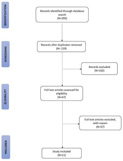
The article selection process is summarized in Figure 1.
Figure 1.
Preferred Reporting Items for Systematic review and Meta-Analysis (PRISMA) flow diagram.
A total of 295 articles were obtained from the Pubmed database research and only one was obtained from external reviews.
After removing the duplicate articles, 229 articles were examined, and 162 of them were discarded after a first reading of the titles and abstracts.
A total of 11 studies of the 67 remaining articles met the inclusion criteria [21,22,23,24,25,26,27,28,29,30,31]. The characteristics of the included studies are listed in Table 1. Among these studies, nine of them [21,22,23,25,26,27,29,30,31] were double-blind placebo-controlled RCTs and two studies [24,28] were placebo-controlled RCTs.
Table 1.
Main characteristics of the included studies.
The publication date of the articles ranged from 2018 to 2020.
The examined patients had a clinical status of systemic health and a stage II, III, or IV (Chicago Work Shop-2017) diagnosis of periodontal disease, and only two studies included smoking subjects.
All of them received NSPT treatment associated with domiciliary probiotic treatment or placebo therapy. Two studies [24,29] evaluate the additional effects of antibiotics or laser therapy by analyzing a third patient group, and one study [31] also includes a third patient group where oral probiotics, such as chewing gum were administered.
Patients were followed for a range of 1 to 12 months. Six studies [23,26,27,28,30,31] used Lactobacillus reuterii probiotic; patients evaluated in two studies [21,22] were treated with Bifidobacterium animalis subsp. lactis; three studies [24,25,31] examined Lactobacillus brevis and Lactobacillus Plantarum; lastly, another study [29] used Lactobacillus rhamnosus. Six studies [21,22,24,27,29,31] have reported microbiological outcomes.
The domiciliary probiotics protocol of all studies evaluated oral administration of the probiotic via tablets or sachets, while only 3 of the 10 studies [24,25,27] applied subgingivally, in gel or drops, during the in-office session as an additional probiotic solution.
No adverse events were reported in all studies.
In addition, comparing treatment groups, both experimental and control groups showed a partial or complete positive change with a significant reduction of the clinical parameters, while the additional use of probiotics offered a more significant clinical benefit than the placebo groups.
However, in some studies, similar benefits of the additional use of probiotics were found compared to the placebo treatment [23,24,25,28,30].
3.2. Risk of Bias (ROB) in Individual Studies (Study Level)
Table 2 shows the risk of bias in the selected studies.
Table 2.
Risk of bias (ROB) of the studies included in this review: the green symbol represents a low risk of bias, while the yellow symbol represents a high risk of bias.
3.3. Outcomes of the Studies Included
Clinical parameters outcomes of the included studies are displayed in Table 3.
Table 3.
Outcomes of the included studies.
3.3.1. PPD—Periodontal Probing Depth
Eleven studies [22,23,24,25,26,27,28,29,30,31,32] investigated the effects of probiotics by evaluating the PPD reduction measured in mm.
A significant pocket depth reduction was noticed in the test group at 3 months, in the studies that have taken this parameter into account, compared to the control group.
However, only six studies [23,24,26,27,29,30] reported outcomes at 6 months, and four of these did not observe significant differences in PPD reduction from baseline to 3 months.
3.3.2. CAL—Clinical Attachment Level
To investigate the effects of probiotics on increasing CAL, nine studies [22,24,25,26,27,28,29,30,32] collected data on this parameter. Nine studies [22,24,25,26,27,29,30,31,32] showed an additional gain in CAL at 3 months in subjects treated with probiotics compared to traditional therapy, and only one study [28] showed no significant differences between the trail and control groups. In seven studies [24,26,27,29,30,31,32], CAL was evaluated at 6 months, and in two of them [26,30] the results between the two groups were comparable or comparable at baseline.
3.3.3. BoP—Bleeding on Probing
Each of the included studies [21,22,23,24,25,26,27,28,29,30,31,32] investigated the correlation between probiotic treatment and bleeding reduction; two studies [26,29] reported no improvement on this outcome at either 3 or 6 months, while the others found a short-term (3 months) and long-term (9 months) significant improvement in this parameter. Only one study [31] showed a long-term (6 months) reduction in this parameter for the trial group associated with the chewing-gum probiotic.
The same study [31] also evaluated other inflammatory parameters including BS (bleeding score) and SBI (sulculus bleeding index), noticing a short-term reduction (3 months) and a long-term reduction (6 months) in the trial group associated with the chewing-gum probiotic.
3.3.4. PI—Plaque Index
Eight studies [21,22,23,24,25,26,27,31] have collected data about the evaluation of the quantity of plaque layered on the dental surface. All studies recorded a decrease in this parameter for both short-term and long-term periods without showing significant differences between the test group and the control group.
3.3.5. Gingival Recession
Five studies [22,25,28,31,32] performed a short-term evaluation of this parameter on the test group, but none of them evaluated it with a time limit. In all of them, the level of gingival recession remained as the baseline between the two groups and showed no statistically significant differences.
3.3.6. GI—Gingival Index
Only one study [24] took into consideration the gingival index and provided data at both 3 and 6 months. The analysis showed a short-term and long-term improvement of the index in the trial group treated with probiotic treatment compared to the control group.
4. Discussion
Probiotics are living microorganisms that, when administered in adequate amounts, are able to confer a health benefit on the host. The mechanisms proposed to explain the beneficial action of probiotic organisms are the following: exclusion and competition with pathogens for nutrients and epithelial cell adhesion, production of antimicrobial substances against pathogenetic bacteria and immunomodulation and enhancement of the mucosal barrier function [10].
More specifically, the effects of probiotics can be divided into three modes of action. First of all, probiotics could be able to modulate the host’s defenses, encompassing both the innate and acquired immune systems [3]. This mode of action is important for the prevention and therapy of infectious diseases but also for the treatment of chronic inflammations of the digestive tract. According to a second explanation, probiotics can also have a direct effect on other microorganisms, commensal and/or pathogenic ones. This favors the prevention and therapy of infections and the restoration of the microbial equilibrium in the gut [7]. Finally, probiotic effects may be based on actions affecting microbial products, such as toxins. These actions may promote the inactivation of toxins and the detoxification of the host [8]. All the three modes of probiotic action mentioned above are in all likelihood involved in infection defense, the prevention of cancer and re-establishing the physiological balance between the intestinal microbiota and its host.
In recent years, more and more applications for probiotic therapy have been tested in medical research, and one of these applications is represented by the treatment of periodontal inflammatory conditions.
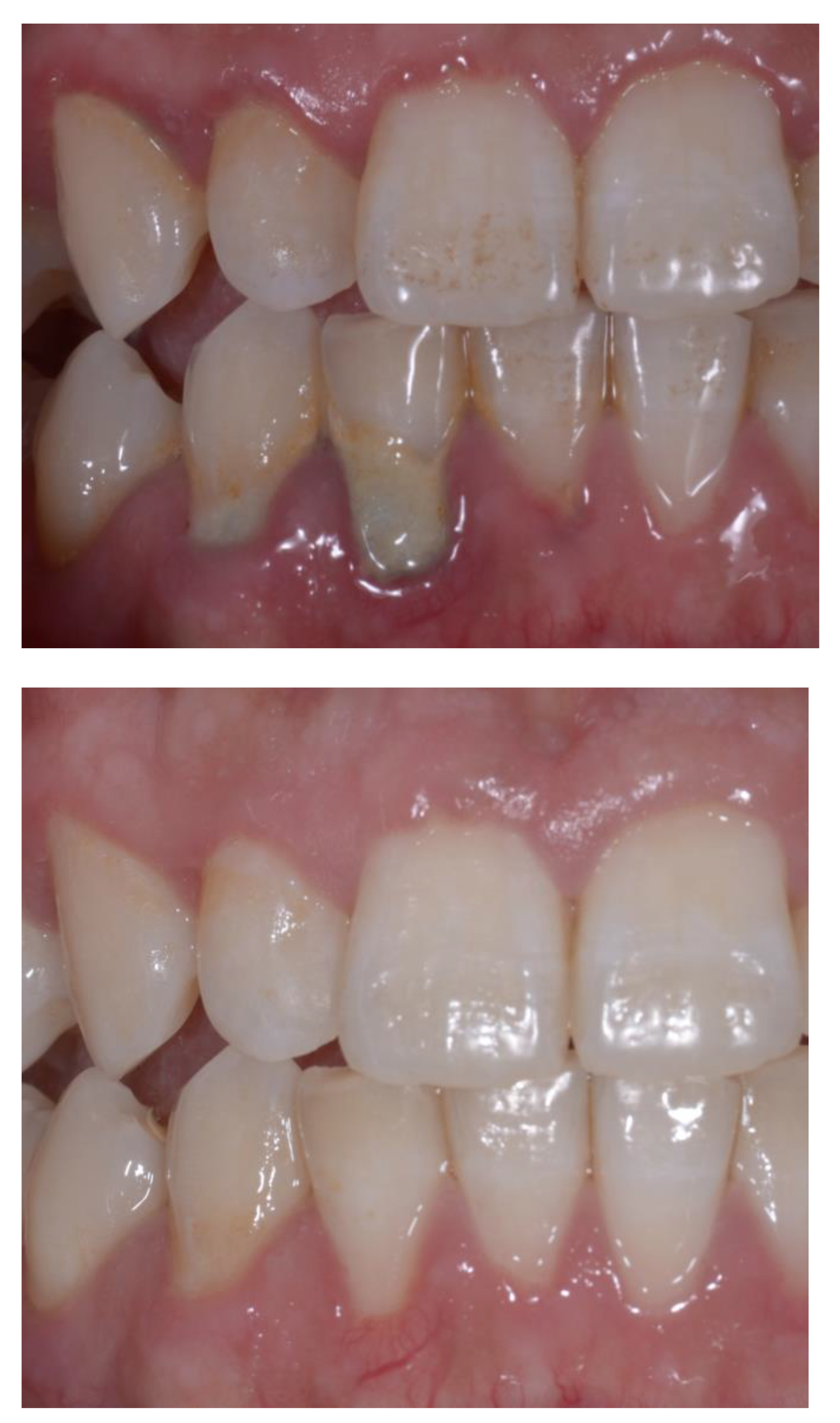
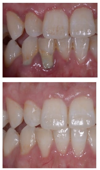
Figure 2 shows a clinical case of non-surgical periodontal therapy with the adjunctive use of probiotics.
Figure 2.
Clinical case before (upper photograph) and after (lower photograph) non-surgical periodontal therapy with the adjunctive use of probiotics.
This systematic literature review was performed to assess the long-term efficacy of the effects of probiotics as an adjunct to NSPT compared to the control groups with follow-up of clinical, microbiological and immunological outcomes in patients with a diagnosis of periodontitis.
To answer the focused question listed above, our review showed a positive clinical effect regarding the clinical outcomes under examination for a short-term follow-up (3 months), which appeared briefly regarding the number of studies examined, and contradictory in a long-term follow-up result (6 months).
Taking into consideration the endpoints of our review, the lack of data evaluated in a long-term period of more than 3 months has excluded and precluded any conclusions on long-term microbiological effects.
Despite the contradictory results examined at the 6-month follow-up, one study [32] evaluated an oral colonization decrease over time after the intervention period and was, at times, not detectable in some patients.
Highly relevant are also the results that one study has demonstrated [33], in which the presence of Lactobacillus Reuteri at 3 months was reported, excluding their appearance in a period of 6 months; this can be explained by the indication that their benefits could last a few months. In fact, Vohra et al. [30] showed a significant improvement in clinical parameters at 3 months but a reduction in the persistence of the quantity of probiotics after 6 months; the explanation could be attributed to the wash-out beneficial probiotic effect over time [26].
To prevent the wash-out effect, pulsed administration regimens can be recommended, which repeat the probiotic distribution in cycles over a period of time.
Grusovin et al. [23] demonstrated that pulsed administrations with a period of 3 months between each other supported the results reported at 12 months. Genetic variations of the host may explain the huge difference in colonization resistance.
Further research integrating molecular, genomic and clinical data is essential to developing personalized recommendations. From this point of view, more studies are therefore needed to evaluate how the process of periodontal colonization works overtime and how long the effect of probiotics can be maintained by determining the frequency of an optimal administration.
The high heterogeneity of the included studies was an important limitation of this review. The differences between the examined studies were focused on the severity of the clinical parameters at baseline and during the follow-up period, as well as the different strains, dosages, durations and administration routes of the probiotic therapy assigned (Table 1).
Some authors in previous systematic reviews [32,33,34] have already reported difficulties comparing their results with other studies due to the divergence of the methodologies used for the probiotic treatment.
Also, none of the studies reported a threshold dosage regarding the efficacy of probiotics in addition to the NSPT for periodontal disease. Furthermore, the probiotic frequency used on the patients ranged between the included studies.
The precise dosage and frequency that would produce the most favorable clinical outcome remain unclear [32,33,34,35]. More studies are needed to explore an optimal administration protocol. Future studies should address disease severity along with other multiple factors and outcome measures to identify patients that can receive benefit from the probiotic therapy in addition to mechanical treatment.
In all the studies analyzed, both the control group and the test group promoted improvements in the clinical outcomes, but none was so significant compared to the other as to define a statistical significance.
However, this revision had several limitations. First of all, the sample size was relatively small, which may lead to insufficient statistical efficiency.
Large-scale RCTs are needed to validate the conclusion of the present meta-analysis and to adopt multifactorial or multilevel analyses [36]. Lastly, some results should be interpreted with caution due to the high heterogeneity of the included studies and the limited data available.
5. Conclusions
In conclusion, weak evidence suggests that the use of probiotics as an adjunct to non-surgical periodontal therapy treatment may be able to show improvements in periodontal clinical parameters for up to 3 months. However, a significant and large heterogeneity of studies, along with the absence of long-term microbiological and immunological data, preclude any definitive conclusions.
More research is needed with consistent methodologies and long-term follow-up periods to confirm their contribution to the management of periodontal disease. It is also necessary to clearly define the clinical recommendations as well as the dosage, time, and route of administration.
Author Contributions
Conceptualization, A.B., E.F., S.C., A.G.; methodology, G.R., G.B.M.F., U.C.; software, E.F.; validation, S.C., U.C, A.G.; formal analysis, A.S.; investigation, G.R.; resources, G.B.M.F.; data curation, A.S.; writing—original draft preparation, G.S., E.F., S.C., A.G.; writing—review and editing, A.B., A.S., S.G.; visualization, S.C., U.C.,G.S. and A.G.; supervision, A.G.; project administration, A.B. All authors have read and agreed to the published version of the manuscript.
Funding
This research received no external funding.
Institutional Review Board Statement
Not applicable.
Informed Consent Statement
Not applicable.
Data Availability Statement
Data are available upon reasonable request at the Corresponding Authors.
Conflicts of Interest
The Authors declare no conflict of interest.
References
- Hajishengallis, G.; Liang, S.; Payne, M.A.; Hashim, A.; Jotwani, R.; Eskan, M.A.; McIntosh, M.L.; Alsam, A.; Kirkwood, K.L.; Curtis, M.A.; et al. Low-abundance biofilm species orchestrates inflammatory periodontal disease through the commensal microbiota and complement. Cell Host Microbe 2011, 10, 497–506. [Google Scholar] [CrossRef] [PubMed]
- Jin, L.; Lamster, I.; Greenspan, J.; Pitts, N.; Scully, C.; Warnakulasuriya, S. Global burden of oral diseases: Emerging concepts, management and interplay with systemic health. Oral Dis. 2016, 22, 609–619. [Google Scholar] [CrossRef] [PubMed]
- Jiang, Y.; Song, B.; Brandt, B.W.; Cheng, L.; Zhou, X.; Exterkate, R.A.M.; Crielaard, W.; Deng, D.M. Comparison of Red-Complex Bacteria Between Saliva and Subgingival Plaque of Periodontitis Patients: A Systematic Review and Meta-Analysis. Front. Cell Infect. Microbiol. 2021, 11, 727732. [Google Scholar] [CrossRef] [PubMed]
- Huang, N.; Gibson, F.C., 3rd. Immuno-pathogenesis of periodontal disease: Current and emerging paradigms. Curr. Oral Health Rep. 2014, 1, 124–132. [Google Scholar] [CrossRef] [PubMed]
- Hajishengallis, G.; Lamont, R.J. Beyond the red complex and into more complexity: The polymicrobial synergy and dysbiosis (PSD) model of periodontal disease etiology. Mol. Oral Microbiol. 2012, 27, 409–419. [Google Scholar] [CrossRef] [PubMed]
- Hajishengallis, G. The inflammophilic character of the periodontitis-associated microbiota. Mol. Oral Microbiol. 2014, 29, 248–257. [Google Scholar] [CrossRef] [PubMed]
- Aimettj, M. Nonsurgical periodontal treatment. Int. J. Esthet. Dent. 2014, 9, 251–267. [Google Scholar]
- Cobb, C.M. Clinical significance of non-surgical periodontal therapy: An evidence-based perspective of scaling and root planing. J. Clin. Periodontol. 2002, 29 (Suppl. S2), 22–32. [Google Scholar] [CrossRef]
- VanderWeijden, G.A.; Timmerman, M.F. A systematic review on the clinical efficacy of subgingival debridementinthetreatment of chronic periodontitis. J. Clin. Periodontol. 2002, 29 (Suppl. S3), 55–71. [Google Scholar] [CrossRef]
- Butera, A.; Gallo, S.; Maiorani, C.; Molino, D.; Chiesa, A.; Preda, C.; Esposito, F.; Scribante, A. Probiotic Alternative to Chlorhexidine in Periodontal Therapy: Evaluation of Clinical and Microbiological Parameters. Microorganisms 2021, 9, 69. [Google Scholar] [CrossRef]
- Scribante, A.; Gallo, S.; Pascadopoli, M.; Soleo, R.; Di Fonso, F.; Politi, L.; Venugopal, A.; Marya, A.; Butera, A. Management of Periodontal Disease with Adjunctive Therapy with Ozone and Photobiomodulation (PBM): A Randomized Clinical Trial. Photonics 2022, 9, 138. [Google Scholar] [CrossRef]
- Haffajee, A.D.; Teles, R.P.; Socransky, S.S. The effect of periodontal therapy on the composition of the subgingival microbiota. Periodontology 2000 2006, 42, 219–258. [Google Scholar] [CrossRef] [PubMed]
- Food and Agriculture Organization of the United Nations/World Health Organization. Guidelines for the Evaluation of Probiotics in Food. 2002. Available online: https://www.who.int/foodsafety/fs_management/en/probiotic_guidelines.pdf (accessed on 15 September 2022).
- Allaker, R.P.; Stephen, A.S. Use of probiotics and oral health. Curr. Oral Health Rep. 2017, 4, 309–318. [Google Scholar] [CrossRef] [PubMed]
- Dosseva-Panova, V.T.; Popova, C.L.; Panov, V. Subgingival Microbial Profile and Production of Proinflammatory Cytokines In Chronic Periodontitis. Folia Med. 2014, 56, 152–160. [Google Scholar] [CrossRef] [PubMed]
- Gupta, R.; Srivastava, S. Antifungal effect of antimicrobial peptides (AMPs LR14) derived from Lactobacillus plantarum strain LR/14 and their applications in prevention of grain spoilage. Food Microbiol. 2014, 42, 1–7. [Google Scholar] [CrossRef]
- Gillor, O.; Etzion, A.; Riley, M.A. The dual role of bacteriocins as anti- and probiotics. Appl. Microbiol. Biotechnol. 2008, 81, 591–606. [Google Scholar] [CrossRef]
- Parker, E.A.; Roy, T.; D’Adamo, C.R.; Wieland, L.S. Probiotics and gastrointestinal conditions: An overview of evidence from the Cochrane Collaboration. Nutrition 2017, 45, 125–134.e11. [Google Scholar] [CrossRef]
- Zmora, N.; Zilberman-Schapira, G.; Suez, J.; Mor, U.; Dori-Bachash, M.; Bashiardes, S.; Kotler, E.; Zur, M.; Regev-Lehavi, D.; Elinav, E.; et al. Personalized gut mucosal colonization resistance to empiric probiotics is associated with unique host and microbiome features. Cell 2018, 174, 1388–1405.e21. [Google Scholar] [CrossRef]
- Moher, D.; Liberati, A.; Tetzlaff, J.; Altman, D.G.; PRISMA Group. Preferred reporting items for systematic reviews and meta-analyses: The PRISMA statement. PLoS Med. 2009, 6, e1000097. [Google Scholar] [CrossRef]
- Higgins, J.P.T.; Green, S.; Assessing risk of Bias in Included Studies. Cochrane Handbook for Systematic Reviews of Interventions Version 5.1.0 [Updated March 2011]. Available online: http://handbook-5-1.cochrane.org/chapter_8/8_assessing_risk_of_bias_in_included_studies.htm (accessed on 11 June 2019).
- Invernici, M.M.; Furlaneto, F.A.; Salvador, S.L.; Ouwehand, A.C.; Salminen, S.; Mantziari, A.; Vinderola, G.; Ervolino, E.; Santana, S.I.; Messora, M.R.; et al. Bifidobac- terium animalis subsp lactis HN019 presents antimicrobial po- tential against periodontopathogens and modulates the immunological response of oral mucosa in periodontitis patients. PLoS ONE 2020, 15, e0238425. [Google Scholar] [CrossRef]
- Invernici, M.M.; Salvador, S.L.; Silva, P.H.; Soares, M.S.; Casarin, R.; Palioto, D.B.; Souza, S.L.S.; Taba, M., Jr.; Novaes, A.B., Jr.; Messora, M.R.; et al. Effects of Bi- fidobacterium probiotic on the treatment of chronic pe- riodontitis: A randomized clinical trial. J. Clin. Periodontol. 2018, 45, 1198–1210. [Google Scholar] [CrossRef] [PubMed]
- Grusovin, M.G.; Bossini, S.; Calza, S.; Cappa, V.; Garzetti, G.; Scotti, E.; Gherlone, E.F.; Mensi, M. Clincal Efficacy of Lactobacillus reuteri-containing lozenges in the supportive therapy of generalized periodontitis stage III and IV, grade C: 1-year results of a double-blind randomized placebo-controlled pilot study. Clin. Oral Investig. 2020, 24, 2015–2024. [Google Scholar] [CrossRef] [PubMed]
- Patyna, M.; Ehlers, V.; Bahlmann, B.; Kasaj, A. Effects of adjunctive light-activated disinfection and probiotics on clinical and microbiological parameters in periodontal treatment: A randomized, controlled, clinical pilot study. Clin. Oral Investig. 2021, 25, 3967–3975. [Google Scholar] [CrossRef] [PubMed]
- Pudgar, P.; Povsic, K.; Cuk, K.; Seme, K.; Petelin, M.; Gaspersic, R. Probiotic strains of Lactobacillus brevis and Lactobacillus plan- tarum as adjunct to non-surgical periodontal therapy: 3-month results of a randomized controlled clinical trial. Clin Oral Investig. 2020, 25, 1411–1422. [Google Scholar] [CrossRef]
- Pelekos, G.; Acharya, A.; Eiji, N.; Hong, G.; Leung, W.K.; McGrath, C. Effects of adjunctive probiotic L. reuteri lozenges on S/RSD outcomes at molar sites with deep pockets. J. Clin Periodontol. 2020, 47, 1098–1107. [Google Scholar] [CrossRef]
- Laleman, I.; Pauwels, M.; Quirynen, M.; Teughels, W. A dual-strain Lactobacilli reuteri probiotic improves the treatment of residual pockets: A randomized controlled clinical trial. J. Clin. Periodontol. 2019, 47, 43–53. [Google Scholar] [CrossRef]
- Theodoro, L.; Cláudio, M.; Nuernberg, M.; Miessi, D.; Batista, J.; Duque, C.; Garcia, V. Effects of Lactobacillus reuteri as an adjunct to the treatment of periodontitis in smokers: Randomised clinical trial. Benef. Microbes 2019, 10, 375–384. [Google Scholar] [CrossRef]
- Morales, A.; Gandolfo, A.; Bravo, J.; Carvajal, P.; Silva, N.; Godoy, C.; Garcia-Sesnich, J.; Hoare, A.; Diaz, P.; Gamonal, J. Microbiological and clin- ical effects of probiotics and antibiotics on nonsurgical treat- ment of chronic periodontitis: A randomized placebocon- trolled trial with 9-month follow-up. J Appl. Oral Sci. 2018, 26, 1–9. [Google Scholar] [CrossRef]
- Vohra, F.; Bukhari, I.A.; Sheikh, S.A.; Albaijan, R.; Naseem, M.; Hus-Sain, M. Effectiveness of scaling and root planing with and with- out adjunct probiotic therapy in the treatment of chronic peri- odontitis among shamma users and non-users: A randomized controlled trial. J. Periodontol. 2020, 91, 1177–1185. [Google Scholar] [CrossRef]
- Butera, A.; Gallo, S.; Pascadopoli, M.; Maiorani, C.; Milone, A.; Alovisi, M.; Scribante, A. Paraprobiotics in Non-Surgical Periodontal Therapy: Clinical and Microbiological Aspects in a 6-Month Follow-Up Domiciliary Protocol for Oral Hygiene. Microorganisms 2022, 10, 337. [Google Scholar] [CrossRef]
- Krasse, P.; Carlsson, B.; Dahl, C.; Paulsson, A.; Nilsson, A.; Sinkiewicz, G. Decreased gum bleeding and reduced gingivitis by the probiotic Lactobacillus reuteri. Swed. Dent. J. 2006, 30, 55–60. [Google Scholar] [PubMed]
- Tekce, M.; Ince, G.; Gursoy, H.; Dirikan Ipci, S.; Cakar, G.; Kadir, T.; Yılmaz, S. Clinical and microbiological effects of probiotic lozenges in the treatment of chronic peri- odontitis: A 1-year follow-up study. J. Clin. Periodontol. 2015, 42, 363–372. [Google Scholar] [CrossRef] [PubMed]
- Vivekananda, M.; Vandana, K.; Bhat, K. Effect of the probioticLactobacilli reuteri(Prodentis) in the management of periodontal disease: A preliminary randomized clinical trial. J. Oral Microbiol. 2010, 2, 5344. [Google Scholar] [CrossRef] [PubMed]
- Abate, A.; Gaffuri, F.; Lanteri, V.; Fama, A.; Ugolini, A.; Mannina, L.; Maspero, C. A CBCT based analysis of the correlation between volumetric morphology of the frontal sinuses and the facial growth pattern in caucasian subjects. A Cross-Sect. Study. Head Face Med. 2022, 18, 4. [Google Scholar] [CrossRef] [PubMed]
Disclaimer/Publisher’s Note: The statements, opinions and data contained in all publications are solely those of the individual author(s) and contributor(s) and not of MDPI and/or the editor(s). MDPI and/or the editor(s) disclaim responsibility for any injury to people or property resulting from any ideas, methods, instructions or products referred to in the content. |
© 2023 by the authors. Licensee MDPI, Basel, Switzerland. This article is an open access article distributed under the terms and conditions of the Creative Commons Attribution (CC BY) license (https://creativecommons.org/licenses/by/4.0/).
























































