Automated Classification of Left Ventricular Hypertrophy on Cardiac MRI
Abstract
:1. Introduction
2. Materials and Methods
2.1. Dataset
2.2. Model Architecture
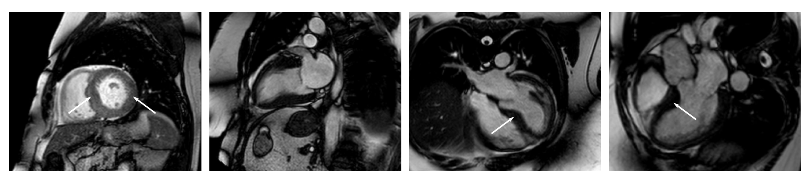
- Short-axis images from the apex to the base at different stages of the cardiac cycle;
- Long-axis, two-chamber images at different stages of the cardiac cycle (heart beat);
- Long-axis, three-chamber images at different stages of the cardiac cycle;
- Long-axis, four-chamber images at different stages of the cardiac cycle.
2.3. Preprocessing and Data Augmentation
2.4. Training Scheme
2.5. Human Evaluation
3. Results
3.1. Results of Human-Evaluation
3.2. Performance of the Algorithm
3.3. Ablation Study
- 1.
- Model selection;
- 2.
- Data preprocessing;
- 3.
- Hyper-parameter setting.
4. Discussion and Conclusions
Author Contributions
Funding
Institutional Review Board Statement
Informed Consent Statement
Data Availability Statement
Conflicts of Interest
Appendix A. Standardization

Appendix B. Parameters
| Parameter | Value |
|---|---|
| batch size | 16 |
| learning rate | 0.0005 |
| optimizer | AdamW |
| input shape | 150 × 150 |
| max angle | 8 |
Appendix C. Example Images




References
- Namara, K.; Alzubaidi, H.; Jackson, J.K. Cardiovascular disease as a leading cause of death: How are pharmacists getting involved? Integr. Pharm. Res. Pr. 2019, 8, 1–11. [Google Scholar] [CrossRef] [PubMed] [Green Version]
- Roth, G.A.; Mensah, G.A.; Johnson, C.O.; Addolorato, G.; Ammirati, E.; Baddour, L.M.; Barengo, N.C.; Beaton, A.Z.; Benjamin, E.J.; Benziger, C.P.; et al. Global Burden of Cardiovascular Diseases and Risk Factors. J. Am. Coll. Cardiol. 2021, 77, 1958–1959. [Google Scholar] [CrossRef]
- Foley, J.R.; Plein, S.; Greenwood, J.P. Assessment of stable coronary artery disease by cardiovascular magnetic resonance imaging: Current and emerging techniques. World J. Cardiol. 2017, 9, 92–108. [Google Scholar] [CrossRef] [PubMed]
- Cuspidi, C.; Sala, C.; Negri, F.; Mancia, G.; Morganti, A. Prevalence of left ventricular hypertrophy in hypertension: An updated review of echocardiographic studies. J. Hum. Hypertens. 2012, 26, 343–349. [Google Scholar] [CrossRef] [Green Version]
- Bluemke, D.A.; Kronmal, R.A.; Lima, J.A.; Liu, K.; Olson, J.; Burke, G.L.; Folsom, A.R. The relationship of left ventricular mass and geometry to incident cardiovascular events: The MESA (Multi-Ethnic Study of Atherosclerosis) study. J. Am. Coll. Cardiol. 2008, 52, 2148–2155. [Google Scholar] [CrossRef] [Green Version]
- Kawel-Boehm, N.; Kronmal, R.; Eng, J.; Folsom, A.; Burke, G.; Carr, J.J.; Shea, S.; Lima, J.A.; Bluemke, D.A. Left Ventricular Mass at MRI and Long-term Risk of Cardiovascular Events: The Multi-Ethnic Study of Atherosclerosis (MESA). Radiology 2019, 293, 107–114. [Google Scholar] [CrossRef]
- Devereux, R.B. Is the electrocardiogram still useful for detection of left ventricular hypertrophy? Circulation 1990, 81, 1144–1146. [Google Scholar] [CrossRef] [Green Version]
- Goldberger, A.; Goldberger, Z.; Shvilkin, A. Goldberger’s Clinical Electrocardiography: A Simplified Approach, 9th ed.; Elsevier: Amsterdam, The Netherlands, 2017. [Google Scholar]
- Jain, A.; Tandri, H.; Dalal, D.; Chahal, H.; Soliman, E.; Prineas, R.; Folsom, A.; Lima, J.; Bluemke, D. Diagnostic and prognostic utility of electrocardiography for left ventricular hypertrophy defined by magnetic resonance imaging in relationship to ethnicity: The Multi-Ethnic Study of Atherosclerosis (MESA). Am. Heart J. 2010, 159, 652–658. [Google Scholar] [CrossRef] [Green Version]
- Okin, P.; Devereux, R.; Harris, K.; Jern, S.; Kjeldsen, S.; Julius, S.; Edelman, J.; Dahlöf, B.; Investigators, L.S. Regression of electrocardiographic left ventricular hypertrophy is associated with less hospitalization for heart failure in hypertensive patients. Ann. Intern. Med. 2007, 147, 311–319. [Google Scholar] [CrossRef]
- Foppa, M.; Duncan, B.; Rohde, L. Echocardiography-based left ventricular mass estimation. How should we define hypertrophy? Cardiovasc. Ultrasound 2005, 3, 17. [Google Scholar] [CrossRef] [Green Version]
- Grajewski, K.G.; Stojanovska, J.; Ibrahim, E.S.H.; Sayyouh, M.; Attili, A. Left Ventricular Hypertrophy: Evaluation With Cardiac MRI. Curr. Probl. Diagn. Radiol. 2020, 49, 460–475. [Google Scholar] [CrossRef] [PubMed]
- Semsarian, C.; Ingles, J.; Maron, M.; Maron, B. New perspectives on the prevalence of hypertrophic cardiomyopathy. J. Am. Coll. Cardiol. 2015, 65, 1249–1254. [Google Scholar] [CrossRef] [PubMed] [Green Version]
- Maron, B.J.; Maron, M.S. Hypertrophic cardiomyopathy. Lancet 2013, 381, 242–255. [Google Scholar] [CrossRef]
- Maron, B.J.; Ommen, S.R.; Semsarian, C.; Spirito, P.; Olivotto, I.; Maron, M.S. Hypertrophic Cardiomyopathy: Present and Future, With Translation Into Contemporary Cardiovascular Medicine. J. Am. Coll. Cardiol. 2014, 64, 83–99. [Google Scholar] [CrossRef] [Green Version]
- Bai, W.E.A. Automated cardiovascular magnetic resonance image analysis with fully convolutional networks. J. Cardiovasc. Magn. Reson. 2018, 20, 65. [Google Scholar] [CrossRef] [Green Version]
- Bernard, O.; Lal, E.A.; Zotti, C.; Cervenansky, F.; Yang, X.; Heng, P.A.; Cetin, I.; Lekadir, K.; Camara, O.; Ballester, M.A.G.; et al. Deep Learning Techniques for Automatic MRI Cardiac Multi-structures Segmentation and Diagnosis: Is the Problem Solved ? IEEE Trans. Med. Imaging 2018, 37, 2514–2525. [Google Scholar] [CrossRef] [PubMed]
- Lu, Y.; Connelly, K.; Dick, A.; Wright, G.; Radau, P. Automatic functional analysis of left ventricle in cardiac cine MRI. Quant. Imaging Med. Surg. 2013, 3, 200–209. [Google Scholar] [CrossRef]
- Tao, Q.; Yan, W.; Wang, Y.; Paiman, E.H.; Shamonin, D.P.; Garg, P.; Plein, S.; Huang, L.; Xia, L.; Sramko, M.; et al. Deep Learning–based Method for Fully Automatic Quantification of Left Ventricle Function from Cine MR Images: A Multivendor, Multicenter Study. Radiology 2019, 290, 81–88. [Google Scholar] [CrossRef] [Green Version]
- Gopalakrishnan, V.; Menon, P.G.; Madan, S. cMRI-BED: A novel informatics framework for cardiac MRI biomarker extraction and discovery applied to pediatric cardiomyopathy classification. BioMed. Eng. OnLine 2015, 14, S7. [Google Scholar] [CrossRef] [Green Version]
- Mantilla, J.; Garreau, M.; Bellanger, J.J.; Paredes, J.L. Machine Learning Techniques for LV Wall Motion Classification Based on Spatio-temporal Profiles from Cardiac Cine MRI. In Proceedings of the 2013 12th International Conference on Machine Learning and Applications, Miami, FL, USA, 4–7 December 2013; Volunme 1, pp. 167–172. [Google Scholar] [CrossRef]
- Chen, R.; Lu, A.; Wang, J.; Ma, X.; Zhao, L.; Wu, W.; Du, Z.; Fei, H.; Lin, Q.; Yu, Z.; et al. Using machine learning to predict one-year cardiovascular events in patients with severe dilated cardiomyopathy. Eur. J. Radiol. 2019, 117, 178–183. [Google Scholar] [CrossRef]
- Curiale, A.H.; Colavecchia, F.D.; Kaluza, P.; Isoardi, R.A.; Mato, G. Automatic myocardial segmentation by using a deep learning network in cardiac MRI. In Proceedings of the 2017 XLIII Latin American Computer Conference (CLEI), Córdoba, Argentina, 4–8 September 2017; pp. 1–6. [Google Scholar] [CrossRef] [Green Version]
- Winther, H.B.; Hundt, C.; Schmidt, B.; Czerner, C.; Bauersachs, J.; Wacker, F.; Vogel-Claussen, J. ν-net: Deep Learning for Generalized Biventricular Cardiac Mass and Function Parameters. arXiv 2017, arXiv:1706.04397. [Google Scholar]
- Vigneault, D.M.; Xie, W.; Ho, C.Y.; Bluemke, D.A.; Noble, J.A. Omega-Net: Fully Automatic, Multi-View Cardiac MR Detection, Orientation, and Segmentation with Deep Neural Networks. arXiv 2017, arXiv:1711.01094. [Google Scholar] [CrossRef] [PubMed]
- Radau, P.; Lu, Y.; Connelly, K.; Paul, G.; Dick, A.; Wright, G. Evaluation Framework for Algorithms Segmenting Short Axis Cardiac MRI. MIDAS J. 2009, 49. [Google Scholar] [CrossRef]
- Suinesiaputra, A.; Cowan, B.R.; Al-Agamy, A.O.; Elattar, M.A.; Ayache, N.; Fahmy, A.S.; Khalifa, A.M.; Medrano-Gracia, P.; Jolly, M.P.; Kadish, A.H.; et al. A collaborative resource to build consensus for automated left ventricular segmentation of cardiac MR images. Med. Image Anal. 2014, 18, 50–62. [Google Scholar] [CrossRef] [PubMed] [Green Version]
- Martin-Isla, C.; Campello, V.M.; Izquierdo, C.; Raisi-Estabragh, Z.; Baeßler, B.; Petersen, S.E.; Lekadir, K. Image-Based Cardiac Diagnosis With Machine Learning: A Review. Front. Cardiovasc. Med. 2020, 7, 1. [Google Scholar] [CrossRef] [PubMed] [Green Version]
- Madani, A.; Ong, J.R.; Tibrewal, A.; Mofrad, M.R.K. Deep echocardiography: Data-efficient supervised and semi-supervised deep learning towards automated diagnosis of cardiac disease. Npj. Digit. Med. 2018, 1, 59. [Google Scholar] [CrossRef] [PubMed]
- Kwon, J.M.; Jeon, K.H.; Kim, H.M.; Kim, M.J.; Lim, S.M.; Kim, K.H.; Song, P.S.; Park, J.; Choi, R.K.; Oh, B.H. Comparing the performance of artificial intelligence and conventional diagnosis criteria for detecting left ventricular hypertrophy using electrocardiography. EP Eur. 2020, 22, 412–419. [Google Scholar] [CrossRef]
- Jothiramalingam, R.; Jude, A.; Patan, R.; Ramachandran, M.; Duraisamy, J.H.; Gandomi, A.H. Machine learning-based left ventricular hypertrophy detection using multi-lead ECG signal. Neural Comput. Appl. 2021, 33, 4445–4455. [Google Scholar] [CrossRef]
- Jian, Z.; Wang, X.; Zhang, J.; Wang, X.; Deng, Y. Diagnosis of left ventricular hypertrophy using convolutional neural network. BMC Med. Inform. Decis. Mak. 2020, 20, 243. [Google Scholar] [CrossRef]
- De la Garza-Salazar, F.; Romero-Ibarguengoitia, M.E.; Rodriguez-Diaz, E.A.; Azpiri-Lopez, J.R.; González-Cantu, A. Improvement of electrocardiographic diagnostic accuracy of left ventricular hypertrophy using a Machine Learning approach. PLoS ONE 2020, 15, e0232657. [Google Scholar] [CrossRef]
- Massera, D.; McClelland, R.L.; Ambale-Venkatesh, B.; Gomes, A.S.; Hundley, W.G.; Kawel-Boehm, N.; Yoneyama, K.; Owens, D.S.; Garcia, M.J.; Sherrid, M.V.; et al. Prevalence of Unexplained Left Ventricular Hypertrophy by Cardiac Magnetic Resonance Imaging in MESA. J. Am. Heart Assoc. 2019, 8, e012250. [Google Scholar] [CrossRef] [PubMed]
- Khened, M.; Alex, V.; Krishnamurthi, G. Densely Connected Fully Convolutional Network for Short-Axis Cardiac Cine MR Image Segmentation and Heart. In ACDC and MMWHS Challenges; Pop, M., Sermesant, M., Jodoin, P.M., Lalande, A., Zhuang, X., Yang, G., Young, A., Bernard, O., Eds.; Springer International Publishing: Cham, Switzerland, 2018; pp. 140–151. [Google Scholar]
- Augusto, J.B.; Davies, R.H.; Bhuva, A.N.; Knott, K.D.; Seraphim, A.; Alfarih, M.; Lau, C.; Hughes, R.K.; Lopes, L.R.; Shiwani, H.; et al. Diagnosis and risk stratification in hypertrophic cardiomyopathy using machine learning wall thickness measurement: A comparison with human test-retest performance. Lancet Digit. Health 2021, 3, e20–e28. [Google Scholar] [CrossRef]
- Tobon-Gomez, C.; Butakoff, C.; Yushkevich, P.; Huguet, M.; Frangi, A.F. 3D Mesh Based Wall Thickness Measurement: Identification of Left Ventricular Hypertrophy Phenotypes. In Proceedings of the 2nd Annual International Conference of the IEEE EMBS, Buenos Aires, Argentina, 31 August–4 September 2010. [Google Scholar] [CrossRef]
- Milan, A.; Caserta, M.A.; Avenatti, E.; Abram, S.; Veglio, F. Anti-hypertensive drugs and left ventricular hypertrophy: A clinical update. Intern. Emerg. Med. 2010, 5, 469–479. [Google Scholar] [CrossRef] [PubMed]
- Budai, A.; Suhai, F.I.; Csorba, K.; Toth, A.; Szabo, L.; Vago, H.; Merkely, B. Fully automatic segmentation of right and left ventricle on short-axis cardiac MRI images. Comput. Med. Imaging Graph. 2020, 85, 101786. [Google Scholar] [CrossRef]
- Loshchilov, I.; Hutter, F. Decoupled Weight Decay Regularization. arXiv 2019, arXiv:1711.05101. [Google Scholar]
- Lin, T.; Goyal, P.; Girshick, R.B.; He, K.; Dollár, P. Focal Loss for Dense Object Detection. arXiv 2017, arXiv:1708.02002. [Google Scholar]
- Ioffe, S.; Szegedy, C. Batch Normalization: Accelerating Deep Network Training by Reducing Internal Covariate Shift. arXiv 2015, arXiv:1502.03167. [Google Scholar]
- Islam, M.M.; Beverung, S.; Steward, R., Jr. Bio-Inspired Microdevices that Mimic the Human Vasculature. Micromachines 2017, 8, 299. [Google Scholar] [CrossRef] [Green Version]
- de Hartog-Keyzer, J.M.L.; El Messaoudi, S.; Harskamp, R.; Vart, P.; Ringoir, L.; Pop, V.; Nijveldt, R. Electrocardiography for the detection of left ventricular hypertrophy in an elderly population with long-standing hypertension in primary care: A secondary analysis of the CHELLO cohort study. Cardiovasc. Ultrasound 2020, 10, e038824. [Google Scholar] [CrossRef]






| Block | Block Name | Cin | Cout | Kernel Size |
|---|---|---|---|---|
| TC1 | ResBlockPooling | 6 | 3 | (3, 3, 1) |
| TC2 | Linear | L | 2 | - |
| Scores | R1 | R2 | R3 | R4 | R5 | R6 | Mean |
|---|---|---|---|---|---|---|---|
| Overall | 89.7 | 91.5 | 91.5 | 88.0 | 89.7 | 90.6 | 90.0 |
| Hyp-Norm | 92.8 | 95.7 | 91.3 | 94.2 | 89.9 | 94.2 | 93.0 |
| HCM | 85.4 | 89.6 | 91.7 | 85.4 | 93.8 | 85.4 | 88.6 |
| Precision | 97.8 | 97.9 | 88.9 | 92.3 | 87.3 | 95.8 | 93.3 |
| Recall | 93.6 | 95.8 | 100 | 100 | 100 | 97.9 | 97.9 |
| F1 | 95.7 | 96.8 | 94.1 | 96.0 | 93.2 | 96.8 | 95.4 |
| Cases | F1 | Precision | Recall |
|---|---|---|---|
| only LA2 | 90 | 86 | 92 |
| only LA4 | 86 | 81 | 90 |
| only LA3 | 91 | 86 | 92 |
| only SA | 86 | 90 | 83 |
| all LAs | 89 | 84 | 90 |
| LA+SA | 91 | 88 | 96 |
| v. LA+SA | 93 | 91 | 94 |
Publisher’s Note: MDPI stays neutral with regard to jurisdictional claims in published maps and institutional affiliations. |
© 2022 by the authors. Licensee MDPI, Basel, Switzerland. This article is an open access article distributed under the terms and conditions of the Creative Commons Attribution (CC BY) license (https://creativecommons.org/licenses/by/4.0/).
Share and Cite
Budai, A.; Suhai, F.I.; Csorba, K.; Dohy, Z.; Szabo, L.; Merkely, B.; Vago, H. Automated Classification of Left Ventricular Hypertrophy on Cardiac MRI. Appl. Sci. 2022, 12, 4151. https://doi.org/10.3390/app12094151
Budai A, Suhai FI, Csorba K, Dohy Z, Szabo L, Merkely B, Vago H. Automated Classification of Left Ventricular Hypertrophy on Cardiac MRI. Applied Sciences. 2022; 12(9):4151. https://doi.org/10.3390/app12094151
Chicago/Turabian StyleBudai, Adam, Ferenc Imre Suhai, Kristof Csorba, Zsofia Dohy, Liliana Szabo, Bela Merkely, and Hajnalka Vago. 2022. "Automated Classification of Left Ventricular Hypertrophy on Cardiac MRI" Applied Sciences 12, no. 9: 4151. https://doi.org/10.3390/app12094151
APA StyleBudai, A., Suhai, F. I., Csorba, K., Dohy, Z., Szabo, L., Merkely, B., & Vago, H. (2022). Automated Classification of Left Ventricular Hypertrophy on Cardiac MRI. Applied Sciences, 12(9), 4151. https://doi.org/10.3390/app12094151

