Impacted Central Incisors in the Upper Jaw in an Adolescent Patient: Orthodontic-Surgical Treatment—A Case Report
Abstract
1. Introduction
- (1)
- Intraoral X-rays with periapical and occlusal projections confirm the presence, position and/or anomaly of the retained maxillary incisors and any underlying developmental anomaly or pathology. The buccolingual position of the non-erupted tooth can be localized using horizontal or vertical parallax.
- (2)
- Ortopanthomography X-ray (OPG X-ray) to evaluate the problem in relation to the entire arch, adjacent tooth and the staging of the eruption of the other dental elements.
- (3)
- Latero-Lateral Teleradiography (LLT) of the head with cephalometric trace to assess the height and inclination of the crown and root of the impacted tooth.
- (4)
- Cone-Beam Computed Tomography (CBCT) for a three-dimensional evaluation of impacted elements and surrounding structures.
- (1)
- Compromission of the aesthetic aspect, phonation and alveolar ridge formation.
- (2)
- Increase of adjacent teeth tip, reducing the space for the non-erupted incisor.
- (3)
- Alteration of the eruptive path (deviation and delay) of the ipsilateral canine [10].
- (1)
- (2)
- Extraction and repositioning of the lateral incisor in place of the central incisor with mesial canine and premolar movement, then coronoplasty;
- (3)
- (1)
- The angle between impacted incisor and midline (if greater than 20 degrees, there are greater difficulties in treatment and a worse prognosis);
- (2)
- The level of the crown of the impacted tooth compared to the eruptive age;
- (3)
2. Case Report
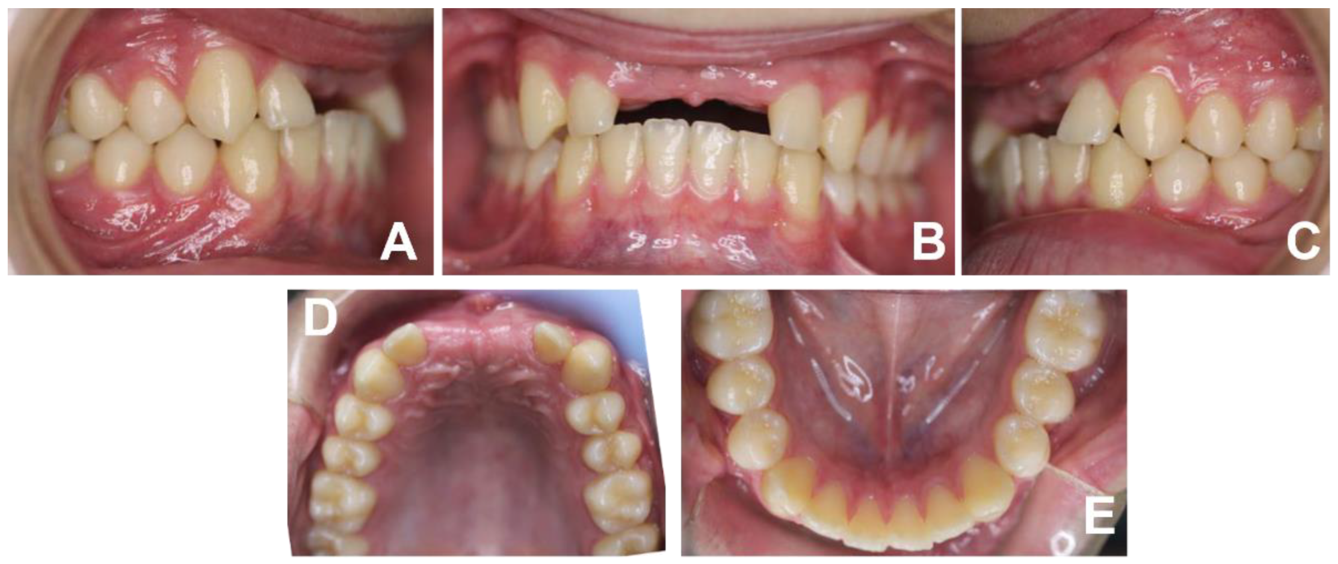
2.1. Clinical History
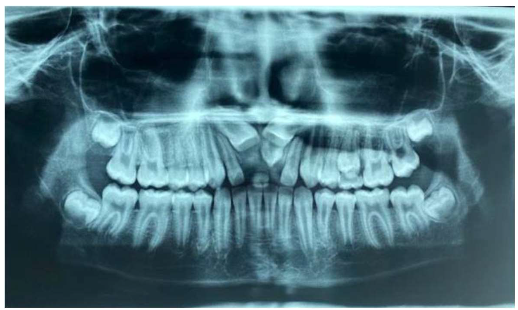
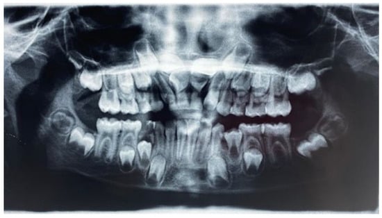
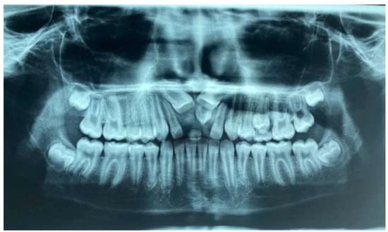
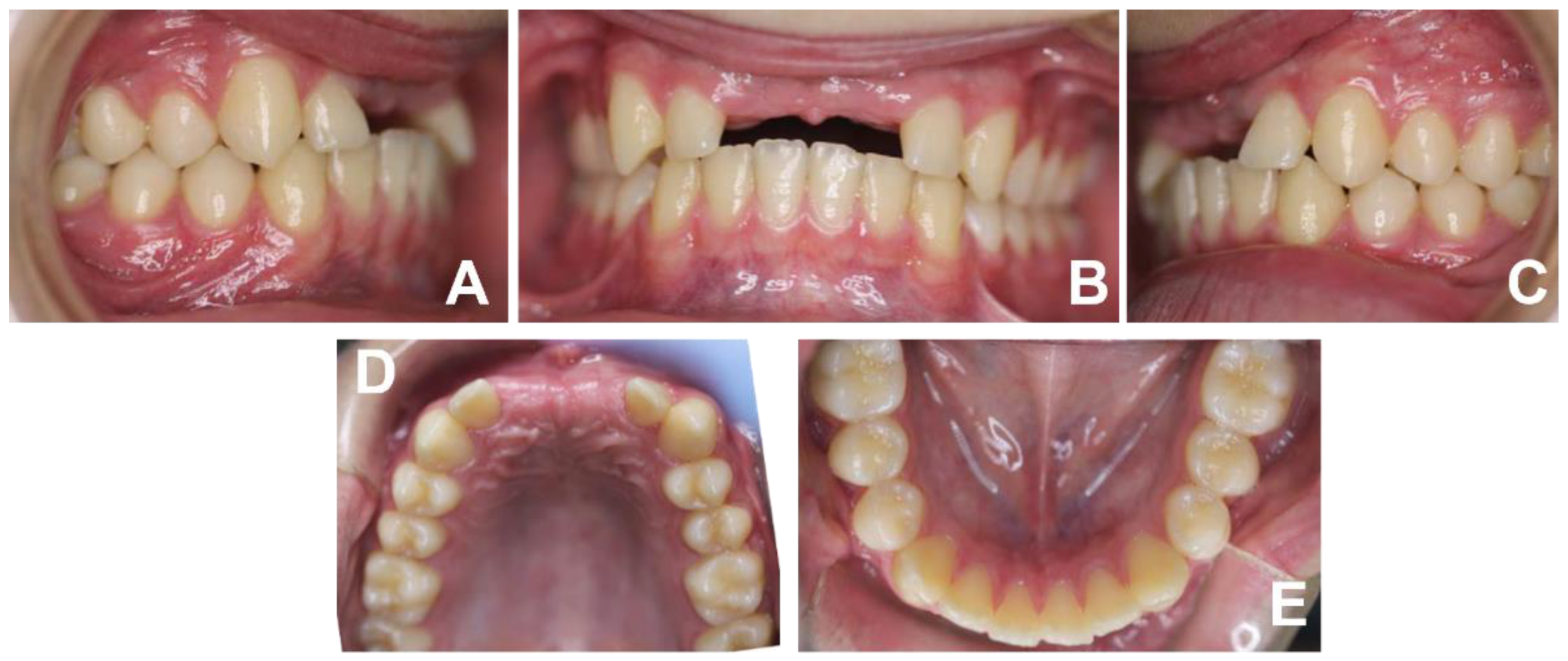
2.2. Clinical Exams and Diagnosis
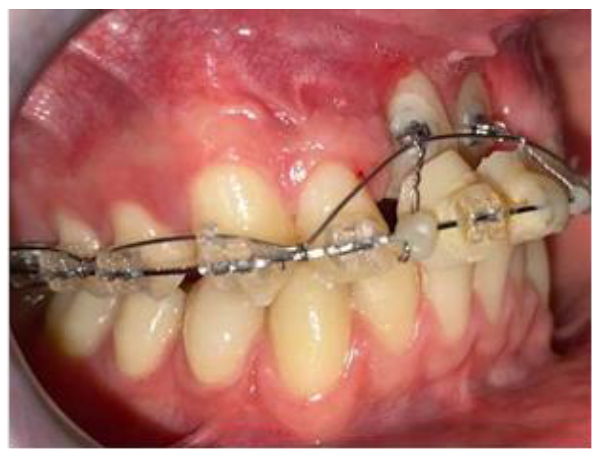
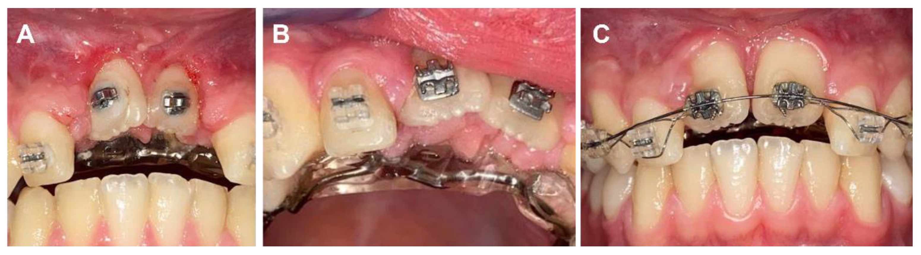
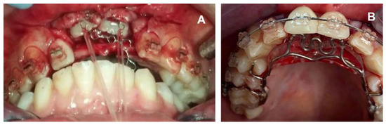
2.3. Therapeutic Plan
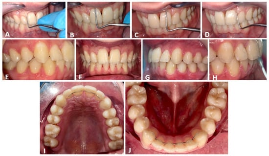
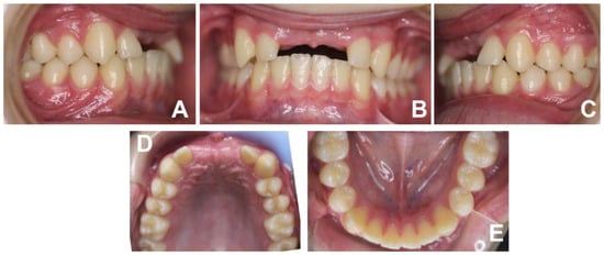
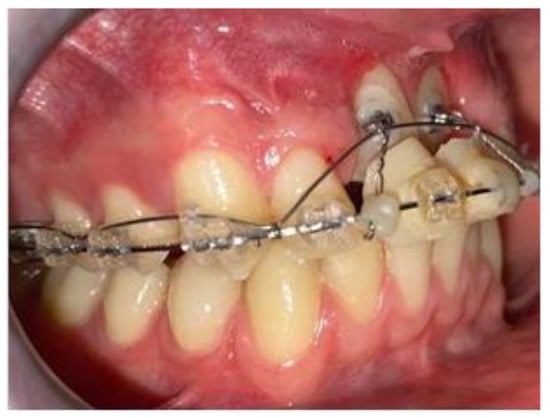
3. Results
4. Discussion
5. Conclusions
Author Contributions
Funding
Institutional Review Board Statement
Informed Consent Statement
Data Availability Statement
Conflicts of Interest
Abbreviations
| OPG | Orthopantomography X-ray |
| RME | Rapid Maxillary Expander |
| LLT | Latero-Lateral Teleradiography |
| CBCT | Cone Beam Computed Tomography |
| ST | Supernumerary teeth |
| FF | Patient name |
References
- Huber, K.; Suri, L.; Taneja, P. Eruption Disturbances of the Maxillary Incisors:A Literature Review. J. Clin. Pediatric Dent. 2008, 32, 221–230. [Google Scholar] [CrossRef] [PubMed]
- Žarovienė, A.; Grinkevičienė, D.; Trakinienė, G.; Smailienė, D. Post-Treatment Status of Impacted Maxillary Central Incisors Following Surgical-Orthodontic Treatment: A Systematic Review. Medicina 2021, 57, 783. [Google Scholar] [CrossRef] [PubMed]
- Cirulli, N.; Ballini, A.; Cantore, S.; Farronato, D.; Inchingolo, F.; Dipalma, G.; Gatto, M.R.; Alessandri Bonetti, G. Mixed Dentition Space Analysis of A Southern Italian Population: New Regression Equations for Unerupted Teeth. J. Biol. Regul. Homeost. Agents 2015, 29, 515–520. [Google Scholar] [PubMed]
- Betts, N.J.; Vanarsdall, R.L.; Barber, H.D.; Higgins-Barber, K.; Fonseca, R.J. Diagnosis and Treatment of Transverse Maxillary Deficiency. Int. J. Adult Orthodon. Orthognath. Surg. 1995, 10, 75–96. [Google Scholar] [PubMed]
- Gábris, K.; Tarján, I.; Fábián, G.; Kaán, M.; Szakály, T.; Orosz, M. Frequency of supernumerary teeth and possibilities of treatment. Fogorv. Sz. 2001, 94, 53–57. [Google Scholar] [PubMed]
- Jain, S.; Raza, M.; Sharma, P.; Kumar, P. Unraveling Impacted Maxillary Incisors: The Why, When, and How. Int. J. Clin. Pediatr. Dent. 2021, 14, 149–157. [Google Scholar] [CrossRef]
- Brin, I.; Zilberman, Y.; Azaz, B. The Unerupted Maxillary Central Incisor: Review of Its Etiology and Treatment. ASDC J. Dent. Child. 1982, 49, 352–356. [Google Scholar]
- Chaushu, S.; Becker, T.; Becker, A. Impacted Central Incisors: Factors Affecting Prognosis and Treatment Duration. Am. J. Orthod. Dentofac. Orthop. 2015, 147, 355–362. [Google Scholar] [CrossRef]
- Laudadio, C.; Inchingolo, A.D.; Malcangi, G.; Limongelli, L.; Marinelli, G.; Coloccia, G.; Montenegro, V.; Patano, A.; Inchingolo, F.; Bordea, I.R.; et al. Management of Anterior Open-Bite in the Deciduous, Mixed and Permanent Dentition Stage: A Descriptive Review. J. Biol. Regul. Homeost. Agents 2021, 35, 271–281. [Google Scholar] [CrossRef]
- Chaushu, S.; Zilberman, Y.; Becker, A. Maxillary Incisor Impaction and Its Relationship to Canine Displacement. Am. J. Orthod. Dentofac. Orthop. 2003, 124, 144–150; discussion 150. [Google Scholar] [CrossRef]
- Inchingolo, A.D.; Patano, A.; Coloccia, G.; Ceci, S.; Inchingolo, A.M.; Marinelli, G.; Malcangi, G.; Montenegro, V.; Laudadio, C.; Palmieri, G.; et al. Genetic Pattern, Orthodontic and Surgical Management of Multiple Supplementary Impacted Teeth in a Rare, Cleidocranial Dysplasia Patient: A Case Report. Medicina 2021, 57, 1350. [Google Scholar] [CrossRef]
- Das, D.; Misra, J. Surgical Management of Impacted Incisors in Associate with Supernumerary Teeth: A Combine Case Report of Spontaneous Eruption and Orthodontic Extrusion. J. Indian Soc. Pedod. Prev. Dent. 2012, 30, 329. [Google Scholar] [CrossRef]
- Alsweed, A.A.; Al-sughier, Z. Surgical Management of Unerupted Permanent Maxillary Central Incisors Due to Presence of Two Supernumerary Teeth. Int. J. Clin. Pediatr. Dent. 2020, 13, 421–424. [Google Scholar] [CrossRef]
- Zilberman, Y.; Malron, M.; Shteyer, A. Assessment of 100 Children in Jerusalem with Supernumerary Teeth in the Premaxillary Region. ASDC J. Dent. Child. 1992, 59, 44–47. [Google Scholar]
- Rajab, L.D.; Hamdan, M.A.M. Supernumerary Teeth: Review of the Literature and a Survey of 152 Cases. Int. J. Paediatr. Dent. 2002, 12, 244–254. [Google Scholar] [CrossRef]
- Šarac, Z.; Zovko, R.; Cvitanović, S.; Goršeta, K.; Glavina, D. Fusion of Unerupted Mesiodens with a Regular Maxillary Central Incisor: A Diagnostic and Therapeutic Challenge. Acta Stomatol. Croat. 2021, 55, 325–331. [Google Scholar] [CrossRef]
- Marinelli, G.; Inchingolo, A.D.; Inchingolo, A.M.; Malcangi, G.; Limongelli, L.; Montenegro, V.; Coloccia, G.; Laudadio, C.; Patano, A.; Inchingolo, F.; et al. White Spot Lesions in Orthodontics: Prevention and Treatment. A Descriptive Review. J. Biol. Regul. Homeost. Agents 2021, 35, 227–240. [Google Scholar] [CrossRef]
- Montenegro, V.; Inchingolo, A.D.; Malcangi, G.; Limongelli, L.; Marinelli, G.; Coloccia, G.; Laudadio, C.; Patano, A.; Inchingolo, F.; Bordea, I.R.; et al. Compliance of Children with Removable Functional Appliance with Microchip Integrated during Covid-19 Pandemic: A Systematic Review. J. Biol. Regul. Homeost. Agents 2021, 35, 365–377. [Google Scholar]
- Tanki, J.Z. Impacted Maxillary Incisors: Causes, Diagnosis and Management. IOSR-JDMS 2013, 5, 41–45. [Google Scholar] [CrossRef]
- Seehra, J.; Yaqoob, O.; Patel, S.; O’Neill, J.; Bryant, C.; Noar, J.; Morris, D.; Cobourne, M.T. National Clinical Guidelines for the Management of Unerupted Maxillary Incisors in Children. Br. Dent. J. 2018, 224, 779–785. [Google Scholar] [CrossRef]
- Cantore, S.; Ballini, A.; Farronato, D.; Malcangi, G.; Dipalma, G.; Assandri, F.; Garagiola, U.; Inchingolo, F.; De Vito, D.; Cirulli, N. Evaluation of an Oral Appliance in Patients with Mild to Moderate Obstructive Sleep Apnea Syndrome Intolerant to Continuous Positive Airway Pressure Use: Preliminary Results. Int. J. Immunopathol. Pharm. 2016, 29, 267–273. [Google Scholar] [CrossRef]
- Grassi, F.R.; Rapone, B.; Scarano Catanzaro, F.; Corsalini, M.; Kalemaj, Z. Effectiveness of Computer-Assisted Anesthetic Delivery System (StaTM) in Dental Implant Surgery: A Prospective Study. Oral Implant. 2017, 10, 381–389. [Google Scholar] [CrossRef]
- Corsalini, M.; Di Venere, D.; Carossa, M.; Ripa, M.; Sportelli, P. Comparative Clinical Study between Zirconium-Ceramic and Metal-Ceramic Fixed Rehabilitations. Oral Implantol. 2018, 11, 150–160. [Google Scholar]
- Lorusso, F.; Noumbissi, S.; Francesco, I.; Rapone, B.; Khater, A.G.A.; Scarano, A. Scientific Trends in Clinical Research on Zirconia Dental Implants: A Bibliometric Review. Materials 2020, 13, 5534. [Google Scholar] [CrossRef]
- Pavoni, C.; Franchi, L.; Laganà, G.; Baccetti, T.; Cozza, P. Management of Impacted Incisors Following Surgery to Remove Obstacles to Eruption: A Prospective Clinical Trial. Pediatr. Dent. 2013, 35, 364–368. [Google Scholar]
- Orthodontic Treatment of Impacted Teeth-Adrian Becker-John Wiley and Sons Ltd-| IBS. Available online: https://www.ibs.it/orthodontic-treatment-of-impacted-teeth-libro-inglese-adrian-becker/e/9781444336757 (accessed on 7 February 2022).
- Adina, S.; Dipalma, G.; Bordea, I.R.; Lucaciu, O.; Feurdean, C.; Inchingolo, A.D.; Septimiu, R.; Malcangi, G.; Cantore, S.; Martin, D.; et al. Orthopedic Joint Stability Influences Growth and Maxillary Development: Clinical Aspects. J. Biol. Regul. Homeost. Agents 2020, 34, 747–756. [Google Scholar] [CrossRef]
- Di Venere, D.; Nardi, G.M.; Lacarbonara, V.; Laforgia, A.; Stefanachi, G.; Corsalini, M.; Grassi, F.R.; Rapone, B.; Pettini, F. Early Mandibular Canine-Lateral Incisor Transposition: Case Report. Oral Implant. 2017, 10, 181–189. [Google Scholar] [CrossRef]
- Coloccia, G.; Inchingolo, A.D.; Inchingolo, A.M.; Malcangi, G.; Montenegro, V.; Patano, A.; Marinelli, G.; Laudadio, C.; Limongelli, L.; Di Venere, D.; et al. Effectiveness of Dental and Maxillary Transverse Changes in Tooth-Borne, Bone-Borne, and Hybrid Palatal Expansion through Cone-Beam Tomography: A Systematic Review of the Literature. Medicina 2021, 57, 288. [Google Scholar] [CrossRef] [PubMed]
- Cardarelli, D.F. Il trattamento funzionale elastodontico con apparecchi AMCOP: Funzione, estetica e postura. Dental Tribune, 3 July 2019. [Google Scholar]
- Özer, M.; Şener, I.; Bayram, M. Bilaterally Impacted Maxillary Central Incisors: Surgical Exposure and Orthodontic Treatment: A Case Report. J. Contemp. Dent. Pract. 2006, 7, 98–105. [Google Scholar] [CrossRef]
- Farronato, M.; Farronato, D.; Inchingolo, F.; Grassi, L.; Lanteri, V.; Maspero, C. Evaluation of Dental Surface after De-Bonding Orthodontic Bracket Bonded with a Novel Fluorescent Composite: In Vitro Comparative Study. Appl. Sci. 2021, 11, 6354. [Google Scholar] [CrossRef]
- Becker, A.; Brin, I.; Ben-Bassat, Y.; Zilberman, Y.; Chaushu, S. Closed-Eruption Surgical Technique for Impacted Maxillary Incisors: A Postorthodontic Periodontal Evaluation. Am. J. Orthod. Dentofac. Orthop. 2002, 122, 9–14. [Google Scholar] [CrossRef]
- Inchingolo, A.D.; Patano, A.; Coloccia, G.; Ceci, S.; Inchingolo, A.M.; Marinelli, G.; Malcangi, G.; Montenegro, V.; Laudadio, C.; Pede, C.D.; et al. The Efficacy of a New AMCOP® Elastodontic Protocol for Orthodontic Interceptive Treatment: A Case Series and Literature Overview. Int. J. Environ. Res. Public Health 2022, 19, 988. [Google Scholar] [CrossRef]
- Tsai, T.-P. Surgical Repositioning of an Impacted Dilacerated Incisor in Mixed Dentition. J. Am. Dent. Assoc. 2002, 133, 61–66. [Google Scholar] [CrossRef]
- Farronato, G.; Giannini, L.; Galbiati, G.; Maspero, C. A 5-Year Longitudinal Study of Survival Rate and Periodontal Parameter Changes at Sites of Dilacerated Maxillary Central Incisors. Prog. Orthod. 2014, 15, 3. [Google Scholar] [CrossRef][Green Version]
- Patianna, A.G.; Ballini, A.; Meneghello, M.; Cantore, S.; Inchingolo, A.M.; Dipalma, G.; Inchingolo, A.D.; Inchingolo, F.; Malcangi, G.; Lucchese, A.; et al. Comparison of Conventional Orthognathic Surgery and “Surgery-First” Protocol: A New Weapon against Time. J. Biol. Regul. Homeost. Agents 2019, 33, 59–67, DENTAL SUPPLEMENT. [Google Scholar]
- Ho, K.; Liao, Y. Predictors of Surgical-Orthodontic Treatment Duration of Unilateral Impacted Maxillary Central Incisors. Orthod. Craniofacial Res. 2011, 14, 175–180. [Google Scholar] [CrossRef]
- Maspero, C.; Cappella, A.; Dolci, C.; Cagetti, M.G.; Inchingolo, F.; Sforza, C. Is Orthodontic Treatment with Microperforations Worth It? A Scoping Review. Children 2022, 9, 208. [Google Scholar] [CrossRef]
- Corsalini, M.; Di Venere, D.; Sportelli, P.; Magazzino, D.; Ripa, M.; Cantatore, F.; Cagnetta, C.; Rinaldis, C.; Montemurro, N.; Giacomo, A.; et al. Evaluation of Prosthetic Quality and Masticatory Efficiency in Patients with Total Removable Prosthesis Study of 12 Cases. ORAL Implantol. 2018, 11, 230–240. [Google Scholar]
- Chew, M.T.; Ong, M.M.-A. Orthodontic-Surgical Management of an Impacted Dilacerated Maxillary Central Incisor: A Clinical Case Report. Pediatr. Dent. 2004, 26, 341–344. [Google Scholar]
- Vermette, M.E.; Kokich, V.G.; Kennedy, D.B. Uncovering Labially Impacted Teeth: Apically Positioned Flap and Closed-Eruption Techniques. Angle Orthod. 1995, 65, 23–32. [Google Scholar] [CrossRef]
- Quaglia, E.; Moscufo, L.; Corsalini, M.; Coscia, D.; Sportelli, P.; Cantatore, F.; Rinaldis, C.; Rapone, B.; Carossa, M.; Carossa, S. Polyamide vs Silk Su.utures in the Healing of Postextraction Sockets: A Split Mouth Study. ORAL Implantol. 2018, 11, 115–120. [Google Scholar] [CrossRef]
- Rapone, B.; Ferrara, E.; Corsalini, M.; Converti, I.; Grassi, F.R.; Santacroce, L.; Topi, S.; Gnoni, A.; Scacco, S.; Scarano, A.; et al. The Effect of Gaseous Ozone Therapy in Conjunction with Periodontal Treatment on Glycated Hemoglobin Level in Subjects with Type 2 Diabetes Mellitus: An Unmasked Randomized Controlled Trial. Int. J. Environ. Res. Public Health 2020, 17, E5467. [Google Scholar] [CrossRef]
- Grassi, F.R.; Grassi, R.; Rapone, B.; Alemanno, G.; Balena, A.; Kalemaj, Z. Dimensional Changes of Buccal Bone Plate in Immediate Implants Inserted through Open Flap, Open Flap and Bone Grafting and Flapless Techniques: A Cone-Beam Computed Tomography Randomized Controlled Clinical Trial. Clin. Oral Implant. Res. 2019, 30, 1155–1164. [Google Scholar] [CrossRef]
- Rapone, B.; Corsalini, M.; Converti, I.; Loverro, M.T.; Gnoni, A.; Trerotoli, P.; Ferrara, E. Does Periodontal Inflammation Affect Type 1 Diabetes in Childhood and Adolescence? A Meta-Analysis. Front. Endocrinol. 2020, 11, 278. [Google Scholar] [CrossRef]
- Rapone, B.; Ferrara, E.; Santacroce, L.; Cesarano, F.; Arazzi, M.; Liberato, L.D.; Scacco, S.; Grassi, R.; Grassi, F.R.; Gnoni, A.; et al. Periodontal Microbiological Status Influences the Occurrence of Cyclosporine-A and Tacrolimus-Induced Gingival Overgrowth. Antibiotics 2019, 8, 124. [Google Scholar] [CrossRef]
- Patano, A.; Cirulli, N.; Beretta, M.; Plantamura, P.; Inchingolo, A.D.; Inchingolo, A.M.; Bordea, I.R.; Malcangi, G.; Marinelli, G.; Scarano, A.; et al. Education Technology in Orthodontics and Paediatric Dentistry during the COVID-19 Pandemic: A Systematic Review. Int. J. Environ. Res. Public Health 2021, 18, 6056. [Google Scholar] [CrossRef]
- Cantore, S.; Ballini, A.; De Vito, D.; Martelli, F.S.; Georgakopoulos, I.; Almasri, M.; Dibello, V.; Altini, V.; Farronato, G.; Dipalma, G.; et al. Characterization of Human Apical Papilla-Derived Stem Cells. J. Biol. Regul. Homeost. Agents 2017, 31, 901–910. [Google Scholar]
- Ballini, A.; Cantore, S.; Fotopoulou, E.A.; Georgakopoulos, I.P.; Athanasiou, E.; Bellos, D.; Paduanelli, G.; Saini, R.; Dipalma, G.; Inchingolo, F. Combined Sea Salt-Based Oral Rinse with Xylitol in Orthodontic Patients: Clinical and Microbiological Study. J. Biol. Regul. Homeost. Agents 2019, 33, 263–268. [Google Scholar]
- Di Venere, D.; Pettini, F.; Nardi, G.M.; Laforgia, A.; Stefanachi, G.; Notaro, V.; Rapone, B.; Grassi, F.R.; Corsalini, M. Correlation between Parodontal Indexes and Orthodontic Retainers: Prospective Study in a Group of 16 Patients. Oral Implantol. 2017, 10, 78. [Google Scholar] [CrossRef]













| Values | Normal | |
|---|---|---|
| SNA | 80.4° | 82°+/−2° |
| SNB | 78.8° | 80°+/−2° |
| ANB | 1.6° | 2°+/−2° |
| GONIAC ANGLE | 116.1° | 130°+/−7° |
| INTERINCISIVE ANGLE | 98.4° | 131°+/−6° |
| SUPERIOR INCISOR ANGLE | 51.2° | 22°+/−2° |
| INFERIOR INCISOR ANGLE | 28.9° | 25°+/−2° |
Publisher’s Note: MDPI stays neutral with regard to jurisdictional claims in published maps and institutional affiliations. |
© 2022 by the authors. Licensee MDPI, Basel, Switzerland. This article is an open access article distributed under the terms and conditions of the Creative Commons Attribution (CC BY) license (https://creativecommons.org/licenses/by/4.0/).
Share and Cite
Malcangi, G.; Inchingolo, A.D.; Patano, A.; Coloccia, G.; Ceci, S.; Garibaldi, M.; Inchingolo, A.M.; Piras, F.; Cardarelli, F.; Settanni, V.; et al. Impacted Central Incisors in the Upper Jaw in an Adolescent Patient: Orthodontic-Surgical Treatment—A Case Report. Appl. Sci. 2022, 12, 2657. https://doi.org/10.3390/app12052657
Malcangi G, Inchingolo AD, Patano A, Coloccia G, Ceci S, Garibaldi M, Inchingolo AM, Piras F, Cardarelli F, Settanni V, et al. Impacted Central Incisors in the Upper Jaw in an Adolescent Patient: Orthodontic-Surgical Treatment—A Case Report. Applied Sciences. 2022; 12(5):2657. https://doi.org/10.3390/app12052657
Chicago/Turabian StyleMalcangi, Giuseppina, Alessio Danilo Inchingolo, Assunta Patano, Giovanni Coloccia, Sabino Ceci, Mariagrazia Garibaldi, Angelo Michele Inchingolo, Fabio Piras, Filippo Cardarelli, Vito Settanni, and et al. 2022. "Impacted Central Incisors in the Upper Jaw in an Adolescent Patient: Orthodontic-Surgical Treatment—A Case Report" Applied Sciences 12, no. 5: 2657. https://doi.org/10.3390/app12052657
APA StyleMalcangi, G., Inchingolo, A. D., Patano, A., Coloccia, G., Ceci, S., Garibaldi, M., Inchingolo, A. M., Piras, F., Cardarelli, F., Settanni, V., Rapone, B., Corriero, A., Mancini, A., Corsalini, M., Nucci, L., Bordea, I. R., Lorusso, F., Scarano, A., Giovanniello, D., ... Inchingolo, F. (2022). Impacted Central Incisors in the Upper Jaw in an Adolescent Patient: Orthodontic-Surgical Treatment—A Case Report. Applied Sciences, 12(5), 2657. https://doi.org/10.3390/app12052657

