MIC-1 Antlerogenic Stem Cells Homogenate from Cervus elaphus Accelerate Corneal Burn Reepithelization in Rabbits
Abstract
1. Introduction
2. Materials and Methods
2.1. Preparation of Stem Cells
2.2. Animals
2.3. Superficial Denaturation Animal Model
2.4. Deep Denaturation Animal Model
2.5. Epithelial Wound Healing
2.6. Histological Studies
2.7. Methodology for Assessing the Extent of Eye Damage
2.8. Statistical Analysis
3. Results
3.1. Superficial Damage
3.2. Deep Damage
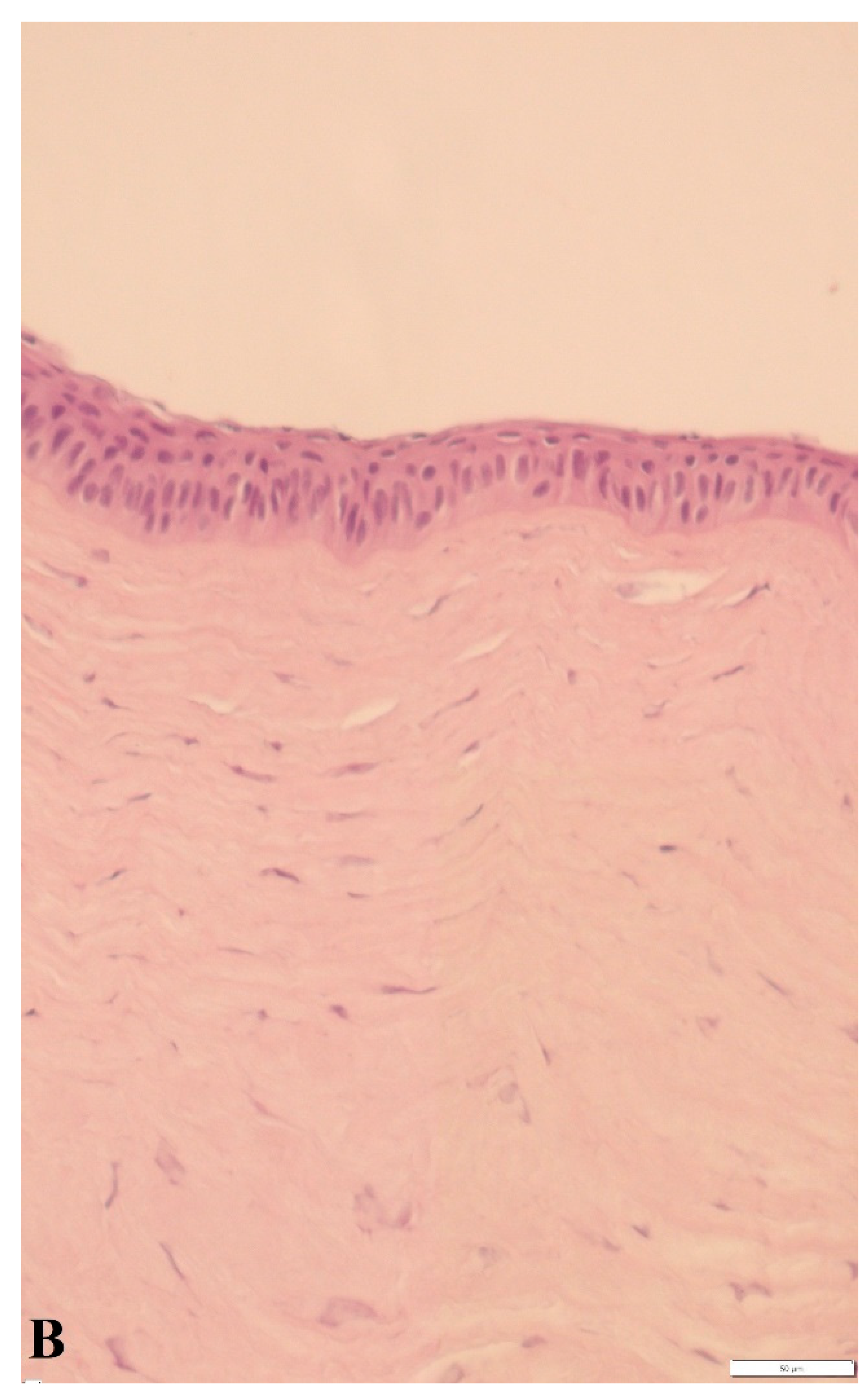
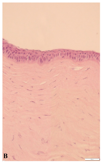
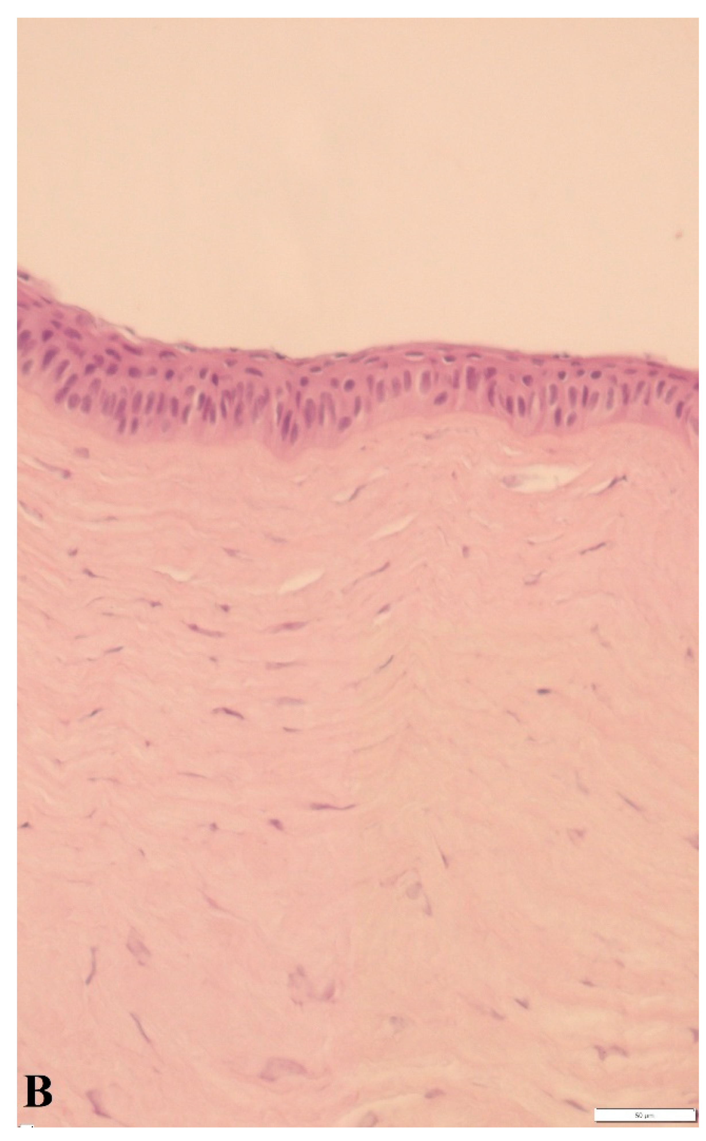
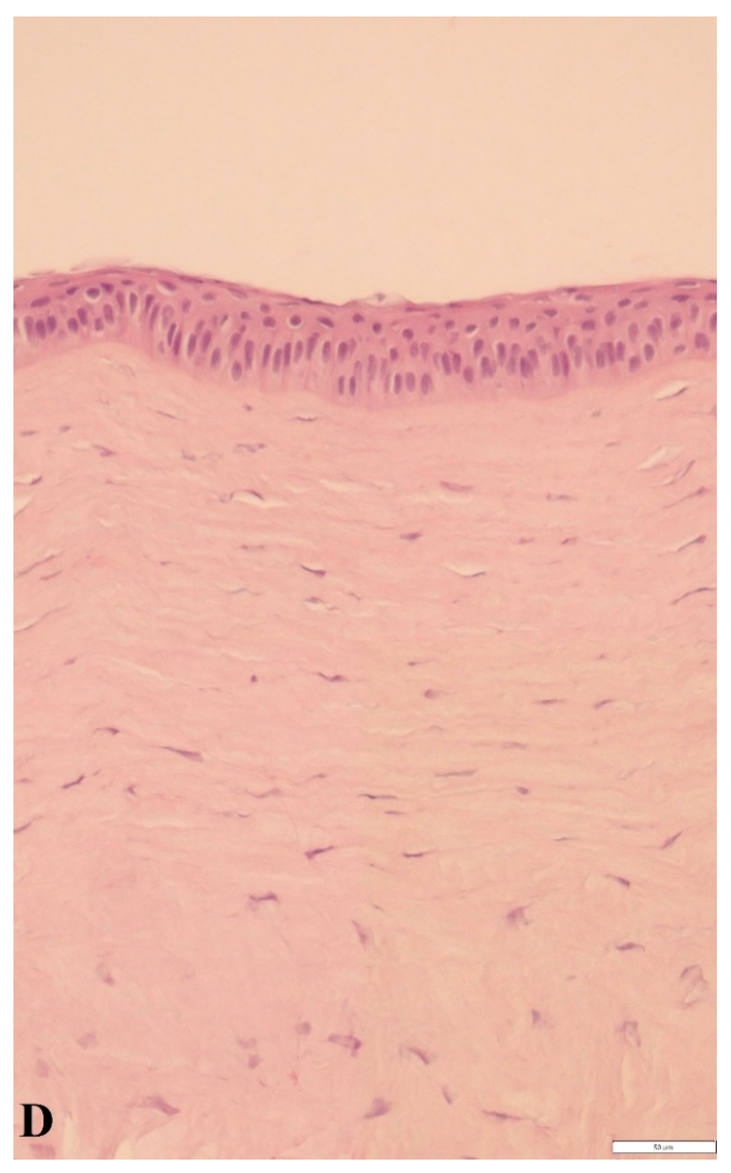
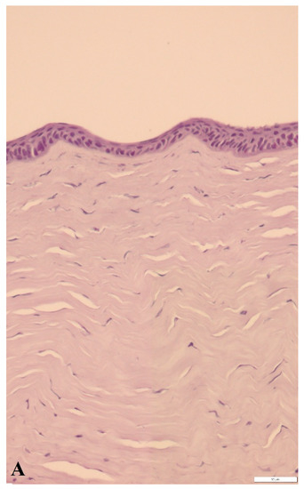
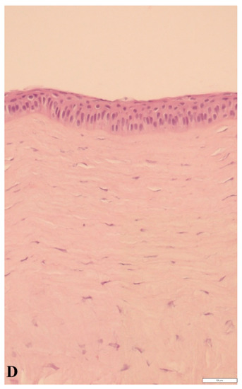
3.3. Histological Findings and Epidermal Thickness
4. Discussion
5. Conclusions
Supplementary Materials
Author Contributions
Funding
Institutional Review Board Statement
Informed Consent Statement
Data Availability Statement
Conflicts of Interest
References
- Ba, H.; Wang, D.; Li, C. MicroRNA profiling of antler stem cells in potentiated and dormant states and their potential roles in antler regeneration. Mol. Genet. Genom. 2016, 291, 943–955. [Google Scholar] [CrossRef] [PubMed]
- Li, C.; Harper, A.; Puddick, J.; Wang, W.; McMahon, C. Proteomes and Signalling Pathways of Antler Stem Cells. PLoS ONE 2012, 7, e30026. [Google Scholar] [CrossRef] [PubMed]
- Rolf, H.J.; Kierdorf, U.; Kierdorf, H.; Schulz, J.; Seymour, N.; Schliephake, H.; Napp, J.; Niebert, S.; Wölfel, H.; Wiese, K.G. Localization and characterization of STRO-1 cells in the deer pedicle and regenerating antler. PLoS ONE 2008, 3, e2064. [Google Scholar] [CrossRef]
- Lee, H.S.; Lee, J.H.; Kim, C.E.; Yang, J.W. Anti-neovascular effect of chondrocyte-derived extracellular matrix on corneal alkaline burns in rabbits. Graefe’s Arch. Clin. Exp. Ophthalmol. 2014, 252, 951–961. [Google Scholar] [CrossRef] [PubMed]
- Zhang, W.; Ke, C.-H.; Guo, H.-H.; Xiao, L. Antler stem cells and their potential in wound healing and bone regeneration. World J. Stem Cells 2021, 13, 1049–1057. [Google Scholar] [CrossRef]
- Lwigale, P.Y. Corneal development: Different cells from a common progenitor. Prog. Mol. Biol. Transl. Sci. 2015, 134, 43–59. [Google Scholar] [PubMed]
- Shi, L.; Chang, Y.; Yang, Y.; Zhang, Y.; Yu, F.-S.X.; Wu, X. Activation of JNK signaling mediates connective tissue growth factor expression and scar formation in corneal wound healing. PLoS ONE 2012, 7, e32128. [Google Scholar] [CrossRef][Green Version]
- Willmann, D.; Fu, L.; Melanson, S.W. Corneal Injury; StatPearls: Treasure Island, FL, USA, 2021. [Google Scholar]
- Ljubimov, A.V.; Saghizadeh, M. Progress in corneal wound healing. Prog. Retin. Eye Res. 2015, 49, 17–45. [Google Scholar] [CrossRef]
- Holan, V.; Trosan, P.; Cejka, C.; Javorkova, E.; Zajicova, A.; Hermankova, B.; Chudickova, M.; Cejkova, J. A comparative study of the therapeutic potential of mesenchymal stem cells and limbal epithelial stem cells for ocular surface reconstruction. Stem Cells Transl. Med. 2015, 4, 1052–1063. [Google Scholar] [CrossRef] [PubMed]
- Hamill, C.E.; Bozorg, S.; Chang, H.-Y.P.; Lee, H.; Sayegh, R.R.; Shukla, A.N.; Chodosh, J. Corneal alkali burns: A review of the literature and proposed protocol for evaluation and treatment. Int. Ophthalmol. Clin. 2013, 53, 185–194. [Google Scholar] [CrossRef]
- Saghizadeh, M.; Kramerov, A.A.; Svendsen, C.N.; Ljubimov, A.V. Concise review: Stem cells for corneal wound healing. Stem Cells 2017, 35, 2105–2114. [Google Scholar] [CrossRef]
- Cegielski, M.; Dziewiszek, W.; Zabel, M.; Dzięgiel, P.; Iżycki, D.; Zatoński, M.; Bochnia, M. Experimental application of xenogenous antlerogenic cells in replacement of auricular cartilage in rabbits. Xenotransplantation 2008, 15, 374–383. [Google Scholar] [CrossRef]
- Chung, J.-H.; Kim, W.-K.; Lee, J.-S.; Pae, Y.-S.; Kim, H.-J. Effect of topical Na-hyaluronan on hemidesmosome formation in n-heptanol-induced corneal injury. Ophthalmic Res. 1998, 30, 96–100. [Google Scholar] [CrossRef]
- Gupta, N.; Kalaivani, M.; Tandon, R. Comparison of prognostic value of Roper Hall and Dua classification systems in acute ocular burns. Br. J. Ophthalmol. 2011, 95, 194–198. [Google Scholar] [CrossRef] [PubMed]
- Jiang, T.-S.; Cai, L.; Ji, W.-Y.; Hui, Y.-N.; Wang, Y.-S.; Hu, D.; Zhu, J. Reconstruction of the corneal epithelium with induced marrow mesenchymal stem cells in rats. Mol. Vis. 2010, 16, 1304–1316. [Google Scholar] [PubMed]
- Mittal, S.K.; Omoto, M.; Amouzegar, A.; Sahu, A.; Rezazadeh, A.; Katikireddy, K.R.; Shah, D.I.; Sahu, S.K.; Chauhan, S.K. Restoration of Corneal Transparency by Mesenchymal Stem Cells. Stem Cell Rep. 2016, 7, 583–590. [Google Scholar] [CrossRef]
- Reim, M.; Bahrke, C.; Kuckelkorn, R.; Kuwert, T. Investigation of enzyme activities in severe burns of the anterior eye segment. Graefe’s Arch. Clin. Exp. Ophthalmol. 1993, 231, 308–312. [Google Scholar] [CrossRef] [PubMed]
- Wagoner, M.D. Chemical injuries of the eye: Current concepts in pathophysiology and therapy. Surv. Ophthalmol. 1997, 41, 275–313. [Google Scholar] [CrossRef]
- Ye, J.; Yao, K.; Kim, J.C. Mesenchymal stem cell transplantation in a rabbit corneal alkali burn model: Engraftment and involvement in wound healing. Eye 2006, 20, 482–490. [Google Scholar] [CrossRef]
- Li, G.; Zhang, Y.; Cai, S.; Sun, M.; Wang, J.; Li, S.; Li, X.; Tighe, S.; Chen, S.; Xie, H.; et al. Human limbal niche cells are a powerful regenerative source for the prevention of limbal stem cell deficiency in a rabbit model. Sci. Rep. 2018, 8, 6566. [Google Scholar] [CrossRef]
- Lin, H.F.; Lai, Y.C.; Tai, C.F.; Tsai, J.L.; Hsu, H.C.; Hsu, R.F.; Lu, S.N.; Feng, N.H.; Chai, C.Y.; Lee, C.H. Effects of cultured human adipose-derived stem cells transplantation on rabbit cornea regeneration after alkaline chemical burn. Kaohsiung J. Med. Sci. 2013, 29, 14–18. [Google Scholar] [CrossRef]
- Singh, P.; Tyagi, M.; Kumar, Y.; Gupta, K.; Sharma, P. Ocular chemical injuries and their management. Oman J. Ophthalmol. 2013, 6, 83–86. [Google Scholar] [CrossRef]
- Cejkova, J.; Trosan, P.; Cejka, C.; Lencova, A.; Zajicova, A.; Javorkova, E.; Kubinova, S.; Sykova, E.; Holan, V. Suppression of alkali-induced oxidative injury in the cornea by mesenchymal stem cells growing on nanofiber scaffolds and transferred onto the damaged corneal surface. Exp. Eye Res. 2013, 116, 312–323. [Google Scholar] [CrossRef]
- Sekundo, W.; Augustin, A.; Strempel, I. Topical allopurinol or corticosteroids and acetylcysteine in the early treatment of experimental corneal alkali burns: A pilot study. Eur. J. Ophthalmol. 2002, 12, 366–372. [Google Scholar] [CrossRef]
- Saud, E.E.; Moraes Jr, H.V.; Marculino, L.G.; Gomes, J.A.P.; Allodi, S.; Miguel, N.C. Clinical and histopathological outcomes of subconjunctival triamcinolone injection for the treatment of acute ocular alkali burn in rabbits. Cornea 2012, 31, 181–187. [Google Scholar] [CrossRef]
- Eberwein, P.; Reinhard, T. Current and future therapeutic options in limbal stem cell insufficiency. Klinische Monatsblatter fur Augenheilkunde 2012, 229, 1178–1184. [Google Scholar]
- De Pascale, M.R.; Lanza, M.; Sommese, L.; Napoli, C. Human serum eye drops in eye alterations: An insight and a critical analysis. J. Ophthalmol. 2015, 2015, 396410. [Google Scholar] [CrossRef]
- Konturek, S.J.; Drozdowicz, D.; Pytko-Polonczyk, J.; Brzozowski, T.; Bielanski, W. Solcoseryl in prevention of stress-induced gastric lesions and healing of chronic ulcers. J. Physiol. Pharmacol. 1991, 42, 73–84. [Google Scholar] [PubMed]
- Bains, K.K.; Fukuoka, H.; Hammond, G.M.; Sotozono, C.; Quantock, A.J. Recovering vision in corneal epithelial stem cell deficient eyes. Contact Lens Anterior Eye 2019, 42, 350–358. [Google Scholar] [CrossRef]
- Qiu, T.; Cui, L.; Xu, J.-J.; Hong, J.-X.; Xiang, J. Reconstruction of the ocular surface by autologous transplantation of rabbit adipose tissue-derived stem cells on amniotic membrane. Ann. Transl. Med. 2020, 8, 1062. [Google Scholar] [CrossRef] [PubMed]
- Gimeno, F.L.; Lavigne, V.; Gatto, S.; Croxatto, J.O.; Correa, L.; Gallo, J.E. Advances in corneal stem-cell transplantation in rabbits with severe ocular alkali burns. J. Cataract Refract. Surg. 2007, 33, 1958–1965. [Google Scholar] [CrossRef] [PubMed]
- Ti, S.-E.; Anderson, D.; Touhami, A.; Kim, C.; Tseng, S.C. Factors affecting outcome following transplantation of ex vivo expanded limbal epithelium on amniotic membrane for total limbal deficiency in rabbits. Investig. Ophthalmol. Vis. Sci. 2002, 43, 2584–2592. [Google Scholar]
- Pellegrini, G.; De Luca, M. Eyes on the prize: Limbal stem cells and corneal restoration. Cell Stem Cell 2014, 15, 121–122. [Google Scholar] [CrossRef] [PubMed]
- Dong, Z.; Li, C.; Coates, D. PTN−PTPRZ signalling is involved in deer antler stem cell regulation during tissue regeneration. J. Cell. Physiol. 2021, 236, 3752–3769. [Google Scholar] [CrossRef] [PubMed]
- Wang, D.; Berg, D.; Ba, H.; Sun, H.; Wang, Z.; Li, C. Deer antler stem cells are a novel type of cells that sustain full regeneration of a mammalian organ—Deer antler. Cell Death Dis. 2019, 10, 443. [Google Scholar] [CrossRef]
- Price, J.; Faucheux, C.; Allen, S. Deer antlers as a model of Mammalian regeneration. Curr. Top. Dev. Biol. 2005, 67, 1–48. [Google Scholar] [PubMed]
- Kierdorf, U.; Kierdorf, H. Deer antlers–a model of mammalian appendage regeneration: An extensive review. Gerontology 2011, 57, 53–65. [Google Scholar] [CrossRef]
- Rong, X.; Chu, W.; Zhang, H.; Wang, Y.; Qi, X.; Zhang, G.; Wang, Y.; Li, C. Antler stem cell-conditioned medium stimulates regenerative wound healing in rats. Stem Cell Res. Ther. 2019, 10, 326. [Google Scholar] [CrossRef] [PubMed]
- Rong, X.; Yang, Y.; Zhang, G.; Zhang, H.; Li, C.; Wang, Y. Antler stem cells as a novel stem cell source for reducing liver fibrosis. Cell Tissue Res. 2020, 379, 195–206. [Google Scholar] [CrossRef] [PubMed]
- Kiełbowicz, M.; Kuropka, P.; Cegielski, M.; Kiełbowicz, Z.; Trębacz, P.; Hebel, M.; Aleksiewicz, R. Influence of antlerogenic stem cells on the healing of lesions in the corneal epithelium and corneal stroma in rabbits. Pol. J. Vet. Sci. 2020, 23, 281–290. [Google Scholar] [CrossRef]
- Dong, Z.; Haines, S.; Coates, D. Proteomic Profiling of Stem Cell Tissues during Regeneration of Deer Antler: A Model of Mammalian Organ Regeneration. J. Proteome Res. 2020, 19, 1760–1775. [Google Scholar] [CrossRef]
- Feleke, M.; Bennett, S.; Chen, J.; Hu, X.; Williams, D.; Xu, J. New physiological insights into the phenomena of deer antler: A unique model for skeletal tissue regeneration. J. Orthop. Transl. 2021, 27, 57–66. [Google Scholar] [CrossRef]
- Dąbrowska, N.; Kiełbowicz, Z.; Nowacki, W.; Bajzert, J.; Reichert, P.; Bieżyński, J.; Zebrowski, J.; Haczkiewicz, K.; Cegielski, M. Antlerogenic stem cells: Molecular features and potential in rabbit bone regeneration. Connect. Tissue Res. 2016, 57, 539–554. [Google Scholar] [CrossRef]
- Selver, O.B.; Durak, I.; Gürdal, M.; Baysal, K.; Ates, H.; Ozbek, Z.; Wang, Z.; Wu, A.; Wolosin, J.M. Corneal recovery in a rabbit limbal stem cell deficiency model by autologous grafts of tertiary outgrowths from cultivated limbal biopsy explants. Mol. Vis. 2016, 22, 138–149. [Google Scholar]








| Group | Superficial Denaturation Model | |
|---|---|---|
| No. 1 12 rabbits | RE—ASC + sodium hyaluronate in drops solution (Hyal-Drop Multi) | LE—sodium hyaluronate in drops solution (Hyal-Drop Multi) |
| Deep denaturation model | ||
| No. 2 12 rabbits | RE—ASC + carbomer in gel (Vidisic) | LE—carbomer in gel (Vidisic) |
| No. 3 12 rabbits | RE—Solcoseryl in gel | LE—carbomer in gel (Vidisic) |
| Grade | Ocular Details |
|---|---|
| 1 | Cornea completely clear |
| 2 | Iris details visible |
| 3 | Pupillary margin visible, iris details not visible |
| 4 | Pupillary margin not visible |
| 5 | Cornea completely opaque |
| Study Group | Control Group | |
|---|---|---|
| Homogenate | 19.2 ± 3.6 | 15.2 ± 2.8 |
| Solcoseryl | 20.4 ± 4.3 | 13.9 ± 3.5 |
Publisher’s Note: MDPI stays neutral with regard to jurisdictional claims in published maps and institutional affiliations. |
© 2022 by the authors. Licensee MDPI, Basel, Switzerland. This article is an open access article distributed under the terms and conditions of the Creative Commons Attribution (CC BY) license (https://creativecommons.org/licenses/by/4.0/).
Share and Cite
Dziewiszek, W.; Bochnia, M.; Szumny, D.; Dzimira, S.; Szeląg, A.; Szumny, A. MIC-1 Antlerogenic Stem Cells Homogenate from Cervus elaphus Accelerate Corneal Burn Reepithelization in Rabbits. Appl. Sci. 2022, 12, 2468. https://doi.org/10.3390/app12052468
Dziewiszek W, Bochnia M, Szumny D, Dzimira S, Szeląg A, Szumny A. MIC-1 Antlerogenic Stem Cells Homogenate from Cervus elaphus Accelerate Corneal Burn Reepithelization in Rabbits. Applied Sciences. 2022; 12(5):2468. https://doi.org/10.3390/app12052468
Chicago/Turabian StyleDziewiszek, Wojciech, Marek Bochnia, Dorota Szumny, Stanisław Dzimira, Adam Szeląg, and Antoni Szumny. 2022. "MIC-1 Antlerogenic Stem Cells Homogenate from Cervus elaphus Accelerate Corneal Burn Reepithelization in Rabbits" Applied Sciences 12, no. 5: 2468. https://doi.org/10.3390/app12052468
APA StyleDziewiszek, W., Bochnia, M., Szumny, D., Dzimira, S., Szeląg, A., & Szumny, A. (2022). MIC-1 Antlerogenic Stem Cells Homogenate from Cervus elaphus Accelerate Corneal Burn Reepithelization in Rabbits. Applied Sciences, 12(5), 2468. https://doi.org/10.3390/app12052468

