Modified Periosteal Inhibition (MPI) Technique for Extraction Sockets: A Case Series Report
Abstract
1. Introduction
2. Case Report
2.1. Study Population
- Age > 18 years old;
- General good health (ASA I-II);
- Adequate oral hygiene (Full Mouth Plaque Score ≤ 20%, Full Mouth Bleeding Score ≤ 20%);
- Presence of one or more hopeless teeth requiring extraction.
- Pregnancy or lactating period;
- Untreated periodontitis;
- Osteometabolic disease;
- Intravenous bisphosphonates therapy;
- Chemotherapy or radiation therapy history of the neck–head area;
- Heavy smokers (>15 cigarettes/per day);
- Absence of buccal bone plate.
2.2. Surgical Protocol
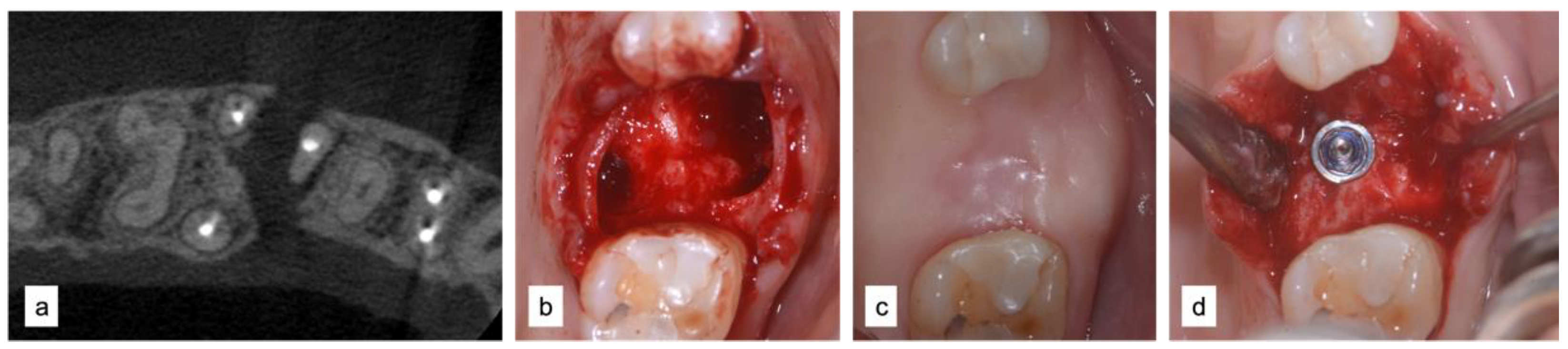
2.2.1. Case 1—MPI Technique Zone 47
2.2.2. Case 3—MPI Technique Zone 34
2.2.3. Case 6—MPI Technique Zone 16
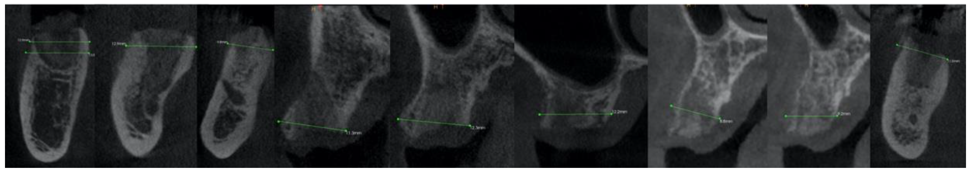
2.3. Radiographic Evaluation
2.4. Clinical Outcomes
3. Discussion
4. Conclusions
Author Contributions
Funding
Institutional Review Board Statement
Informed Consent Statement
Data Availability Statement
Conflicts of Interest
References
- Schropp, L.; Wenzel, A.; Kostopoulos, L.; Karring, T. Bone Healing and Soft Tissue Contour Changes Following Single-Tooth Extraction: A Clinical and Radiographic 12-Month Prospective Study. Int. J. Periodontics Restor. Dent. 2003, 23, 313–323. [Google Scholar]
- Couso-Queiruga, E.; Stuhr, S.; Tattan, M.; Chambrone, L.; Avila-Ortiz, G. Post-Extraction Dimensional Changes: A Systematic Review and Meta-Analysis. J. Clin. Periodontol. 2021, 48, 127–145. [Google Scholar] [CrossRef]
- Botticelli, D.; Berglundh, T.; Lindhe, J. Hard-Tissue Alterations Following Immediate Implant Placement in Extraction Sites. J. Clin. Periodontol. 2004, 31, 820–828. [Google Scholar] [CrossRef] [PubMed]
- Tan, W.L.; Wong, T.L.T.; Wong, M.C.M.; Lang, N.P. A Systematic Review of Post-Extractional Alveolar Hard and Soft Tissue Dimensional Changes in Humans. Clin. Oral Implant. Res. 2012, 23 (Suppl. S5), 1–21. [Google Scholar] [CrossRef] [PubMed]
- Roccuzzo, M.; Gaudioso, L.; Bunino, M.; Dalmasso, P. Long-Term Stability of Soft Tissues Following Alveolar Ridge Preservation: 10-Year Results of a Prospective Study around Nonsubmerged Implants. Int. J. Periodontics Restor. Dent. 2014, 34, 795–804. [Google Scholar] [CrossRef] [PubMed]
- Tan-Chu, J.H.P.; Tuminelli, F.J.; Kurtz, K.S.; Tarnow, D.P. Analysis of Buccolingual Dimensional Changes of the Extraction Socket Using the “Ice Cream Cone” Flapless Grafting Technique. Int. J. Periodontics Restor. Dent. 2014, 34, 399–403. [Google Scholar] [CrossRef] [PubMed]
- Cappellin, M. Simplified Protocol for Horizontal and Vertical Post-Extractive GBR with Intentionally Exposed PTFE Membrane—Case Series. J. Surg. Peridontol. Implant Res. 2020, 2, 38–43. [Google Scholar] [CrossRef]
- Pagni, G.; Pellegrini, G.; Giannobile, W.V.; Rasperini, G. Postextraction Alveolar Ridge Preservation: Biological Basis and Treatments. Int. J. Dent. 2012, 2012, 151030. [Google Scholar] [CrossRef]
- Vittorini Orgeas, G.; Clementini, M.; De Risi, V.; de Sanctis, M. Surgical Techniques for Alveolar Socket Preservation: A Systematic Review. Int. J. Oral Maxillofac. Implant. 2013, 28, 1049–1061. [Google Scholar] [CrossRef]
- Del Fabbro, M.; Tommasato, G.; Pesce, P.; Ravidà, A.; Khijmatgar, S.; Sculean, A.; Galli, M.; Antonacci, D.; Canullo, L. Sealing Materials for Post-Extraction Site: A Systematic Review and Network Meta-Analysis. Clin. Oral Investig. 2022, 26, 1137–1154. [Google Scholar] [CrossRef]
- Cairo, F.; Pagliaro, U.; Nieri, M. Soft Tissue Management at Implant Sites. J. Clin. Periodontol. 2008, 35, 163–167. [Google Scholar] [CrossRef] [PubMed]
- Thoma, D.S.; Buranawat, B.; Hämmerle, C.H.F.; Held, U.; Jung, R.E. Efficacy of Soft Tissue Augmentation around Dental Implants and in Partially Edentulous Areas: A Systematic Review. J. Clin. Periodontol. 2014, 41 (Suppl. S15), S77–S91. [Google Scholar] [CrossRef] [PubMed]
- Thoma, D.S.; Gil, A.; Hämmerle, C.H.F.; Jung, R.E. Management and Prevention of Soft Tissue Complications in Implant Dentistry. Periodontology 2000 2022, 88, 116–129. [Google Scholar] [CrossRef]
- Bambini, F.; Orilisi, G.; Quaranta, A.; Memè, L. Biological Oriented Immediate Loading: A New Mathematical Implant Vertical Insertion Protocol, Five-Year Follow-Up Study. Materials 2021, 14, 387. [Google Scholar] [CrossRef] [PubMed]
- Tomasi, C.; Tessarolo, F.; Caola, I.; Wennström, J.; Nollo, G.; Berglundh, T. Morphogenesis of Peri-Implant Mucosa Revisited: An Experimental Study in Humans. Clin. Oral Implant. Res. 2014, 25, 997–1003. [Google Scholar] [CrossRef]
- Berglundh, T.; Abrahamsson, I.; Welander, M.; Lang, N.P.; Lindhe, J. Morphogenesis of the Peri-Implant Mucosa: An Experimental Study in Dogs. Clin. Oral Implant. Res. 2007, 18, 1–8. [Google Scholar] [CrossRef]
- Nguyen, V.; von Krockow, N.; Pouchet, J.; Weigl, P.M. Periosteal Inhibition Technique for Alveolar Ridge Preservation as It Applies to Implant Therapy. Int. J. Periodontics Restor. Dent. 2019, 39, 737–744. [Google Scholar] [CrossRef]
- Boyle, W.J.; Simonet, W.S.; Lacey, D.L. Osteoclast Differentiation and Activation. Nature 2003, 423, 337–342. [Google Scholar] [CrossRef]
- Ono, T.; Nakashima, T. Recent Advances in Osteoclast Biology. Histochem. Cell Biol. 2018, 149, 325–341. [Google Scholar] [CrossRef]
- Baron, R.; Neff, L.; Tran Van, P.; Nefussi, J.R.; Vignery, A. Kinetic and Cytochemical Identification of Osteoclast Precursors and Their Differentiation into Multinucleated Osteoclasts. Am. J. Pathol. 1986, 122, 363–378. [Google Scholar]
- Buckwalter, J.; Glimcher, M.; Cooper, R.; Recker, R. Bone Biology. J. Bone Jt. Surg. Am. 1995, 77, 1256–1275. [Google Scholar] [CrossRef]
- Hämmerle, C.H.F.; Araújo, M.G.; Simion, M. Osteology Consensus Group 2011 Evidence-Based Knowledge on the Biology and Treatment of Extraction Sockets. Clin. Oral Implant. Res. 2012, 23 (Suppl. S5), 80–82. [Google Scholar] [CrossRef]
- Milani, S.; Dal Pozzo, L.; Rasperini, G.; Sforza, C.; Dellavia, C. Deproteinized Bovine Bone Remodeling Pattern in Alveolar Socket: A Clinical Immunohistological Evaluation. Clin. Oral Implant. Res. 2016, 27, 295–302. [Google Scholar] [CrossRef] [PubMed]
- Lindhe, J.; Cecchinato, D.; Donati, M.; Tomasi, C.; Liljenberg, B. Ridge Preservation with the Use of Deproteinized Bovine Bone Mineral. Clin. Oral Implant. Res. 2014, 25, 786–790. [Google Scholar] [CrossRef] [PubMed]
- Hürzeler, M.B.; Zuhr, O.; Schupbach, P.; Rebele, S.F.; Emmanouilidis, N.; Fickl, S. The Socket-Shield Technique: A Proof-of-Principle Report. J. Clin. Periodontol. 2010, 37, 855–862. [Google Scholar] [CrossRef] [PubMed]
- Gluckman, H.; Salama, M.; Du Toit, J. Partial Extraction Therapies (PET) Part 1: Maintaining Alveolar Ridge Contour at Pontic and Immediate Implant Sites. Int. J. Periodontics Restor. Dent. 2016, 36, 681–687. [Google Scholar] [CrossRef]
- Gluckman, H.; Salama, M.; Du Toit, J. Partial Extraction Therapies (PET) Part 2: Procedures and Technical Aspects. Int. J. Periodontics Restor. Dent. 2017, 37, 377–385. [Google Scholar] [CrossRef]
- Gluckman, H.; Salama, M.; Du Toit, J. A Retrospective Evaluation of 128 Socket-Shield Cases in the Esthetic Zone and Posterior Sites: Partial Extraction Therapy with up to 4 Years Follow-Up. Clin. Implant. Dent. Relat. Res. 2018, 20, 122–129. [Google Scholar] [CrossRef]
- Glocker, M.; Attin, T.; Schmidlin, P.R. Ridge Preservation with Modified “Socket-Shield” Technique: A Methodological Case Series. Dent. J. 2014, 2, 11–21. [Google Scholar] [CrossRef]
- Rossi, R.; Ghezzi, C.; Tomecek, M. Cortical Lamina: A New Device for the Treatment of Moderate and Severe Tridimensional Bone and Soft Tissue Defects. Int. J. Esthet. Dent. 2020, 15, 454–473. [Google Scholar]
- Wachtel, H.; Fickl, S.; Hinze, M.; Bolz, W.; Thalmair, T. The Bone Lamina Technique: A Novel Approach for Lateral Ridge Augmentation—A Case Series. Int. J. Periodontics Restor. Dent. 2013, 33, 491–497. [Google Scholar] [CrossRef] [PubMed][Green Version]
- Scarano, A.; de Oliveira, P.S.; Traini, T.; Lorusso, F. Sinus Membrane Elevation with Heterologous Cortical Lamina: A Randomized Study of a New Surgical Technique for Maxillary Sinus Floor Augmentation without Bone Graft. Materials 2018, 11, 1457. [Google Scholar] [CrossRef] [PubMed]
- Rossi, R.; Rancitelli, D.; Poli, P.P.; Rasia Dal Polo, M.; Nannmark, U.; Maiorana, C. The Use of a Collagenated Porcine Cortical Lamina in the Reconstruction of Alveolar Ridge Defects. A Clinical and Histological Study. Minerva Stomatol. 2016, 65, 257–268. [Google Scholar] [PubMed]
- Fischer, K.R.; Götz, W.; Kauffmann, F.; Schmidlin, P.R.; Friedmann, A. Ridge Preservation of Compromised Extraction Sockets Applying a Soft Cortical Membrane: A Canine Proof-of-Principle Evaluation. Ann. Anat. 2020, 231, 151524. [Google Scholar] [CrossRef]
- Festa, V.M.; Addabbo, F.; Laino, L.; Femiano, F.; Rullo, R. Porcine-Derived Xenograft Combined with a Soft Cortical Membrane versus Extraction Alone for Implant Site Development: A Clinical Study in Humans. Clin. Implant. Dent. Relat. Res. 2013, 15, 707–713. [Google Scholar] [CrossRef]
- Kim, J.-W.; Seong, T.-W.; Cho, S.; Kim, S.-J. Randomized Controlled Trial on the Effectiveness of Absorbable Collagen Sponge after Extraction of Impacted Mandibular Third Molar: Split-Mouth Design. BMC Oral Health 2020, 20, 77. [Google Scholar] [CrossRef]
- Kim, D.-M.; Lim, H.-C.; Hong, J.-Y.; Shin, S.-I.; Chung, J.-H.; Herr, Y.; Shin, S.-Y. Validity of Collagen Plugs for Ridge Preservation in a Canine Model. Implant. Dent. 2017, 26, 892–898. [Google Scholar] [CrossRef]
- Roberto, C.; Paolo, T.; Giovanni, C.; Ugo, C.; Bruno, B.; Giovanni-Battista, M.-F. Bone Remodeling around Implants Placed after Socket Preservation: A 10-Year Retrospective Radiological Study. Int. J. Implant. Dent. 2021, 7, 74. [Google Scholar] [CrossRef]
- Barone, A.; Toti, P.; Quaranta, A.; Alfonsi, F.; Cucchi, A.; Negri, B.; Di Felice, R.; Marchionni, S.; Calvo-Guirado, J.L.; Covani, U.; et al. Clinical and Histological Changes after Ridge Preservation with Two Xenografts: Preliminary Results from a Multicentre Randomized Controlled Clinical Trial. J. Clin. Periodontol. 2017, 44, 204–214. [Google Scholar] [CrossRef]








| Case No. | Tooth No. | Initial Buccal Bone Thickness (mm) | Preoperative Bony Ridge Width (mm) | Postoperative Bony Ridge Width (mm) a | Δ |
|---|---|---|---|---|---|
| 1 | 47 | 0.80 | 12.50 | 12.90 | 0.40 |
| 2 | 37 | 0.80 | 12.00 | 12.90 | 0.90 |
| 3 | 34 | 0.70 | 9.20 | 9.80 | 0.60 |
| 4 b | 24 | 2.00 | 11.10 | 11.30 | 0.20 |
| 5 b | 25 | 2.00 | 12.00 | 12.30 | 0.30 |
| 6 | 16 | 1.20 | 11.90 | 12.20 | 0.30 |
| 7 c | 14 | 0.70 | 8.50 | 8.80 | 0.30 |
| 8 c | 15 | 0.70 | 8.80 | 9.20 | 0.40 |
| 9 | 36 | 1.70 | 10.70 | 11.00 | 0.30 |
| Mean RP | 1.18 | 10.74 | 11.16 | 0.41 | |
| SD | 0.57 | 1.54 | 1.57 | 0.21 | |
Publisher’s Note: MDPI stays neutral with regard to jurisdictional claims in published maps and institutional affiliations. |
© 2022 by the authors. Licensee MDPI, Basel, Switzerland. This article is an open access article distributed under the terms and conditions of the Creative Commons Attribution (CC BY) license (https://creativecommons.org/licenses/by/4.0/).
Share and Cite
Grassi, A.; Memè, L.; Strappa, E.M.; Martini, E.; Bambini, F. Modified Periosteal Inhibition (MPI) Technique for Extraction Sockets: A Case Series Report. Appl. Sci. 2022, 12, 12292. https://doi.org/10.3390/app122312292
Grassi A, Memè L, Strappa EM, Martini E, Bambini F. Modified Periosteal Inhibition (MPI) Technique for Extraction Sockets: A Case Series Report. Applied Sciences. 2022; 12(23):12292. https://doi.org/10.3390/app122312292
Chicago/Turabian StyleGrassi, Andrea, Lucia Memè, Enrico M. Strappa, Emanuele Martini, and Fabrizio Bambini. 2022. "Modified Periosteal Inhibition (MPI) Technique for Extraction Sockets: A Case Series Report" Applied Sciences 12, no. 23: 12292. https://doi.org/10.3390/app122312292
APA StyleGrassi, A., Memè, L., Strappa, E. M., Martini, E., & Bambini, F. (2022). Modified Periosteal Inhibition (MPI) Technique for Extraction Sockets: A Case Series Report. Applied Sciences, 12(23), 12292. https://doi.org/10.3390/app122312292

