Featured Application
This paper describes a favorable effect of the use of bone lamina in guided bone regeneration. Aside from the expected GBR effect on the edentulous ridges, the authors have noticed a positive effect of augmented support to the natural dentition neighboring the defects and named it the ‘GTR effect’.
Abstract
The world of dentistry knows the benefits and results of guided bone regeneration. One of the most successful techniques introduced a decade ago utilizes, as a barrier membrane, a sheet made of collagenated xenograft called bone lamina. Indications and applications with different surgical techniques have been well described by several authors. This technique not only presents a very low degree of complications, but also has some added benefits that this article will highlight. The so called ‘GTR effect’ means that the GBR not only reproduces the required bone volume for placing implants, but also improves attachment levels on the teeth adjacent to the augmented area. Bone lamina produces both GBR and GTR effects.
1. Introduction
Guided bone regeneration also known as GBR has been a challenge in oral and implant surgery for the past thirty years. Many different surgical techniques and devices have been used in the attempt to reconstruct resorbed edentulous ridges. The literature in the field is scarce due to the difficulty in recruiting the right group of patients in order to perform randomized controlled clinical trials (RCT) on such lesions; therefore, the judgement of the international community is based on case reports and retrospective studies [1,2,3]. The principles of GBR are based on the use of a material protecting a bone graft or a mix of bone and biomaterials, in order to isolate the blood clot and the graft from the ingrowth of the soft tissue, and thus favoring angiogenesis within the protected bone graft leading to the regeneration of new vital bone [4,5,6].
In the last decade a new product was introduced in the clinical community that proved to be successful and predictable on top of showing a very low morbidity. A membrane made of xenogeneic collagenated bone with features that are very different from any other material used in the past, the bone lamina is produced in different shapes and thicknesses covering most of the needed surgical options [7,8,9]. The bone lamina has also been used successfully in other cranial applications such as the reconstruction of the orbital floor and the reparation of the sinus wall combined with zygomatic implants [10,11,12]. The most important advantage of the bone lamina technique is its reaction to exposure to the oral environment. When GBR first surfaced in the 1990s, the only barrier available was made of polytetrafluorethylene expanded (PTFE), and this proved to be effective but also prone to complications. When soft tissue would not protect it for the time needed, the membrane was then modified, adding a titanium skeleton that would enhance the ‘dome’ effect for bone regeneration. An early exposure of the membrane would often compromise the final result [13,14,15]. In 2011 a classification of the complications related to the use of non-resorbable membranes in GBR procedures was published. The classification reported seven different types of complications: four in the healing period and three surgical [16]. A recent publication in 2019 reported the management of 80 complications in vertical and horizontal ridge augmentation cases treated with d-PTFE: 70% of complications appeared before 2 months after surgery, 43.75% of complications were in the anterior maxilla and 20% were in the lower left mandible [17]. These complications forced researchers to look for a resorbable alternative to PTFE and d-PTFE, and different types of materials were offered in the market. Resorbable membranes are effective and powerful for horizontal defects, while they are more difficult to use for vertical defects and need to be stabilized with pins or nails, and their resorption time is variable [2,18]. For these reasons, a membrane that can be stiff, is easy to adapt to defects and does not cause complications when exposed would appear to be very appealing to clinicians. Bone lamina is produced in different thicknesses, 0.2–0.5–0.9, fitting well with most of the defects needed to be treated with horizontal augmentation, and also in vertical cases where the anatomy is favorable. In the unfortunate event when the lamina becomes exposed, the saliva enzymes simply cause its hydrolyzation, and soft tissue usually granulates on top of the area causing little or no damage to the process of regeneration [19]. To prevent the problems related to d-PTFE and resorbable membranes (exposure, not sufficient stiffness for vertical cases, early resorption), titanium customized meshes have also been introduced for the treatment of tridimensional defects. The results of an RCT comparing vertical ridge augmentation (VRA) with Ti-reinforced d-PTFE to Ti-meshes and collagen membranes showed no differences between the two approaches with similar patterns of bone resorption one year after treatment [20]. The same group in another similar RCT evaluated the complication rates and vertical bone gain after GBR of the two groups distinguishing the complications in ‘surgical’ and ‘healing’ and between ‘minor’ and ‘major’. In the d-PTFE group, surgical complications were 5%, while healing were 15%; in the Ti-mesh group, surgical were 15.8% and healing 21.1%. The conclusion was that both GBR approaches achieved similar results regarding complications, vertical bone gain and implant stability [21]. Another important factor in the success of GBR is the choice of grafting material. Although the literature is consistent with the fact that autogenous bone represents the gold standard, many different kind of allografts, alloplasts and xenografts have been tested over the past 30 years [22,23,24,25,26]. When dealing with the bone lamina, a combination of autogenous bone in a percentage of 30 to 50% plus a collagenated xenograft has proven to be a successful mix even in complex cases of combined horizontal and vertical defects. In many instances, a xenograft alone combined with a blood clot and lamina seems to work just as well [7,9,27].
2. Materials and Methods
Three different areas of the mouth were treated by means of the bone lamina technique in three different patients. All three cases were treated by means of 0.9-mm-thick collagenated bone lamina associated with the use of autogenous bone 30–50% and collagenated xenograft. All patients signed an informed consent. This technique does not require particular precautions different from those used conventionally for GBR.
2.1. Objectives
All defects were located in areas with natural dentition mesial and distal to the defect. Some of the teeth adjacent to the bony defects also showed evidence of periodontal attachment loss, the goal of the procedures was to reconstruct enough bone volume in order to replace the missing teeth with dental implants and later crowns. In all three cases the teeth delimitating the surgical field received a benefit from the use of the bone lamina in terms of gain of attachment, soft tissue improvement and presence of interdental papilla.
2.2. Surgical Procedure
Patients, before this type of surgery, are premedicated with a dose of 1 gr of amoxicillin (the night before). The surgical procedure requires local anesthesia with articaine 1.200.00. The flap design runs from the tooth anterior of area of augmentation to the distal of the next tooth in the area. Full thickness buccal and lingual flaps are elevated to expose the area of the defect. The bone lamina is at this point trimmed with utility scissors and adapted to fit the edentulous space and seated in place. The buccal flap is than stretched to the point to ensure a passive adaptation by incisions of the muscle with the surgical blade or by soft brushing with the periosteal elevator. The mix of autogenous bone and biomaterial (30/70 to 50/50) is then carried to the area and well packed to reshape the edentulous ridge and finally covered with the bone lamina. If the lamina is fitting tightly between adjacent teeth, no further stabilization is required (as in Case 1), but if it is shaped differently, it can also be stabilized by pins or screws (Cases 2 and 3). The bone lamina is reflected in the palatal side under the flap and sutures are applied. First the mesial and distal papilla are stabilized with a double loop suture, after that a horizontal mattress has the function to keep the membrane down and pressing on top of the bone graft while coronally advancing the flaps. There is then a choice of the surgeon to finish with single interrupted sutures or with a continuous one. The material of choice to suture above the bone lamina is either PTFE or a resorbable with good elasticity using 4.0 PTFE or Vicryl. After surgery the patients take an antiinflammatory (Ibuprofen 400/600 mg twice a day) and continue the antibiotic for 6 days. Patients are instructed to rinse once a day with chlorhexidine 0.12 once a day and no brushing for at least 3–5 days. Regular oral hygiene resumes only after suture removal
3. Case Presentation
3.1. Case 1
The patient was a 56-year-old male with history of periodontal disease, had lost 24–25 six years before consultation and at the time was looking to replace both. His teeth had migrated in the meantime and tooth 26 had a 9 mm pocket probing depth (PPD) on its mesial aspect. The shift of the molars closed the interproximal space; therefore, the treatment plan for the area was the horizontal augmentation of the edentulous space and an attempt to regenerate as much attachment as possible at the mesial of 26. The plan after that would be to place a single implant at the site of 24 to avoid a tooth of incongruous size. CBCT (Figure 1) shows the local anatomy at baseline.
Figure 1.
CBCT showing the severely resorbed area of 24–25 and the advanced bone loss at the mesial aspect of 26.
The surgical procedure applied a bone lamina of porcine origin stabilized in between the distal of 23 and the mesial of 26, a graft that was the combination of 50% xenograft and 50% autogenous bone scraped from the palate. Unlike most of the GBR barriers, the bone lamina, being made of bone, can be placed adjacent to teeth; this favors its stabilization and often works as the only mean of stabilization. The lamina is stiff and can be bent according to the local anatomy, and also, to avoid misplacement of the bone graft placed on the crestal side, filled with the residual amount of bone graft and biomaterial just like a ‘taco’ (Figure 2).
Figure 2.
The cortical lamina is shaped to fit the local anatomy and filled with bone graft in order to optimize its space-making effect and ensure no dead space under its surface.
The recipient site is also prepared with piezo surgical instruments to create bleeding from the marrow spaces and to recall progenitor cells within the graft and the blood clot. The lamina is than pressed into the area and flaps are sutured back after passivation in order to protect the area. Since lamina is a xenograft, the time required for healing is slightly longer than when autogenous bone protocols are used. In this case, re-entry was at 8 months and the new anatomy favored the insertion of a standard diameter implant in the site 24 (Figure 3).
Figure 3.
The edentulous ridge is restored to a size allowing the placement of a standard diameter implant, the bone support to the mesial of tooth 26 is also much improved.
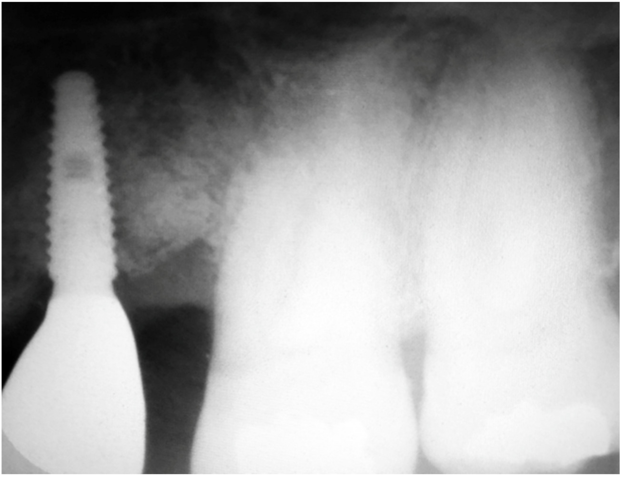
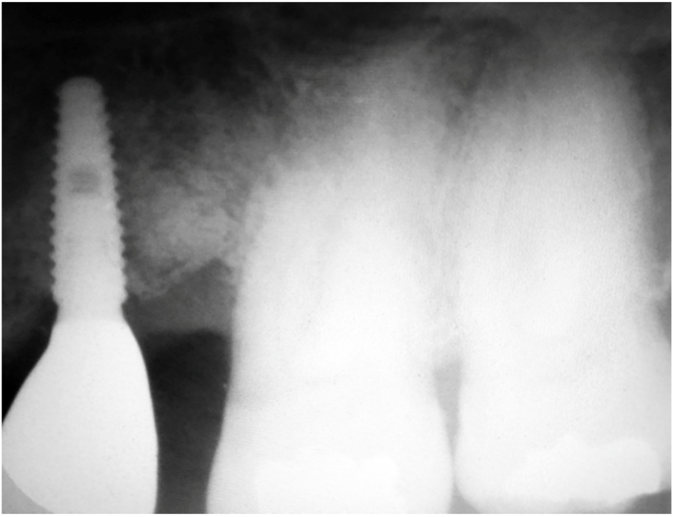
Three months after implant surgery the fixture was restored with a ceramic crown and a radiograph taken 5 years after augmentation. Figure 4 not only shows the perfect maintenance of the osseointegration after loading, but also how the GTR effect is visible on the mesial of tooth 26 with an attachment gain of 6 mm; the probing (PPD) at the time of recall was 3 mm The tooth remained in function and the patient can clean the area well with interproximal tooth brushes and dental floss.
Figure 4.
Rx taken at a 5 year follow-up showing the stability of the regeneration on both implant and tooth side.
3.2. Case 2
A 32-year-old female patient lost tooth 16 due to a fracture (Figure 5). After extraction, a significant defect in the edentulous ridge was evident also involving the distal of tooth 15 and mesial of 17. The pocket probing depth (PPD) at the distal of tooth 15 was 6 mm and the mesial of 17 was 7 mm.
Figure 5.
Broken tooth was splinted in place to favor healing of the soft tissue.
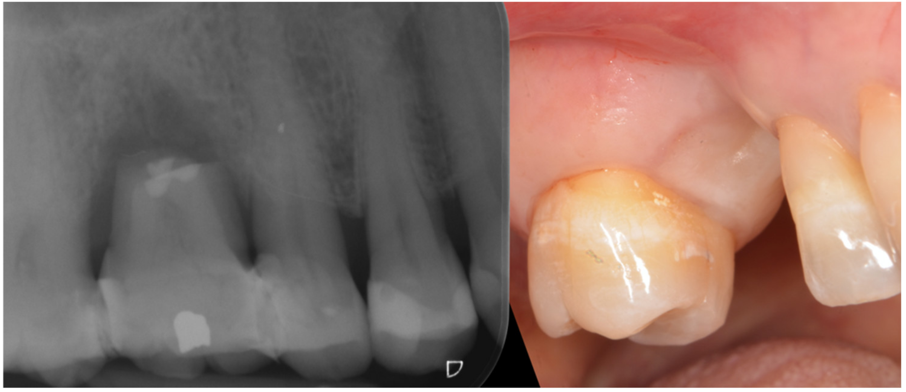
Three months after extraction the site was approached by means of GBR with the cortical lamina technique. Two periodontal probes were crossed to measure 7 mm of the vertical component, and 13 mm of the mesio-distal extension from bone peak to bone peak (Figure 6).
Figure 6.
Rx of the healed defect and its measurement.
The bone lamina was shaped as a saddle, fixed to the buccal bone with two pins, and then, after the area was grafted with a mix of autogenous bone and collagenated xenograft (50–50%), reflected and stabilized under the palatal flap (Figure 7). Flaps were secured with 4.0 resorbable sutures and healing was uneventful.
Figure 7.
Bone lamina in place, arrows indicate the thickness of the lamina (1 mm) inducing both GBR and GTR effect.
Six months after surgery the area looked really different from the clinical and radiographic point of view; soft tissue sits near the CEJ of the teeth and a buccal bulk is restored. (Figure 8 and Figure 9).
Figure 8.
At 6 months both the hard and soft tissue augmentation is evident.
Figure 9.
The CBCT taken at 6 months post op shows perfect integration of the graft and lamina and 7 mm of measurable vertical ridge augmentation.
A common finding when treating patients with collagenated devices is a good amount of keratinized gingiva after healing. At the time of implant placement the quality of the bone and primary stability of the fixture was excellent; an ISQ of 79 suggested the placement of a healing abutment and the suturing of the buccal flap to the buccal aspect of the healing abutment in order to restore the correct amount of keratinized gingiva and vestibule (Figure 10).
Figure 10.
Fixture placed in the regenerated ridge, healing abutment in place and buccal repositioning of the keratinized gingiva.
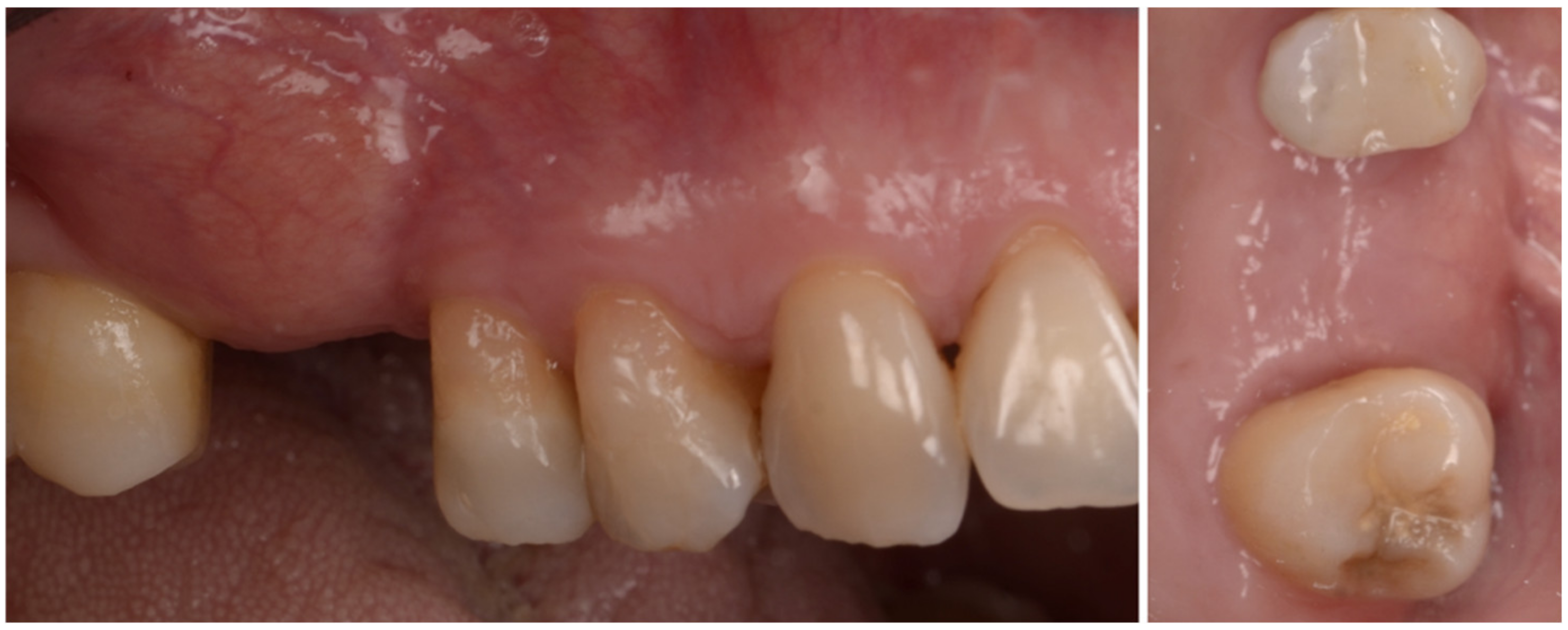
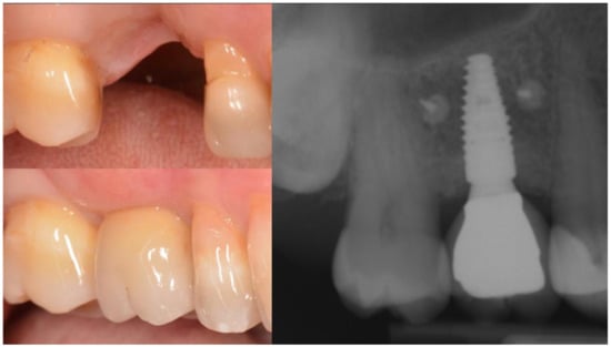
Three weeks later a temporary crown in PMMA was connected to the implant to condition the soft tissue and recreate interdental papilla, and after a couple of months the final restoration, a PFM crown, was connected to the implant (Figure 11).
Figure 11.
Baseline, after conditioning and final restoration.
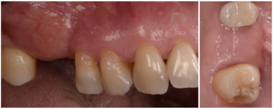
The case has been followed for over three years and the stability of the soft and hard tissue are proof of the GTR effect of GBR. In this case, all parameters were restored in a still very young patient (Figure 12). The important aspect of the GTR effect is that teeth otherwise compromised at a young age are back in function with the support of both soft and hard tissue and all of this with only two surgical procedures. The presence of interdental-implant papilla is important to prevent food impaction and make the maintenance similar to that of the natural dentition. PPD at the time of recall were 2 mm to the distal of 15 and 2 mm to the mesial of 17; compared to the baseline, the gain of attachment was 4 mm for 15 and 5 mm for 17.
Figure 12.
Baseline and clinical and radiographic result 36 months after loading.
3.3. Case 3
A 43-year-old male patient had a motorcycle accident and traumatically lost teeth 11 and 12. After a period of soft tissue healing the area was operated on in order to place two dental implants to replace the missing teeth (Figure 13 and Figure 14).
Figure 13.
The edentulous area showed some healing at the site of 12 but still a deep dehiscence on 11.
Figure 14.
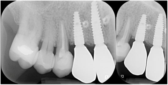
Two implants in place of the one on 11 with several threads exposed.
The site of 12 presented a very thin but visible buccal plate, while 11 had most of the buccal coronal aspect of the implant exposed. Some small holes were drilled into the buccal plate to produce some bleeding and with cells from the marrow spaces, while the area was augmented with a mix of autogenous bone scraped from the ramus and a collagenated xenograft. A bone lamina was cut and shaped in order to cover the graft and produce some horizontal and vertical augmentation of the area (Figure 15). We can see that some bone loss to the distal of 21 was also evident. Two pins were placed to the buccal apical aspect of the lamina to keep it firmly in place.
Figure 15.
The bone lamina stabilized to protect the two implants.
Six months after surgery the area looked healthy and the dimensions restored (Figure 16).
Figure 16.
Healing at 6 months, the arrows point to the step created by the lamina.
At second stage surgery, a mini-flap was prepared in order to connect healing abutment and protect the papilla; the bone lamina was still in place and it was necessary to drill through it in order to access the implant’s heads (Figure 17 and Figure 18).
Figure 17.
The bone lamina integrated.
Figure 18.
Progression of the case.
More than 3 mm of bone had formed above the implant heads and adjacent to the teeth, and the presence of the interdental papilla after the soft tissue had been conditioned shows proof of it (Figure 19).
Figure 19.
Soft tissue sculpting.
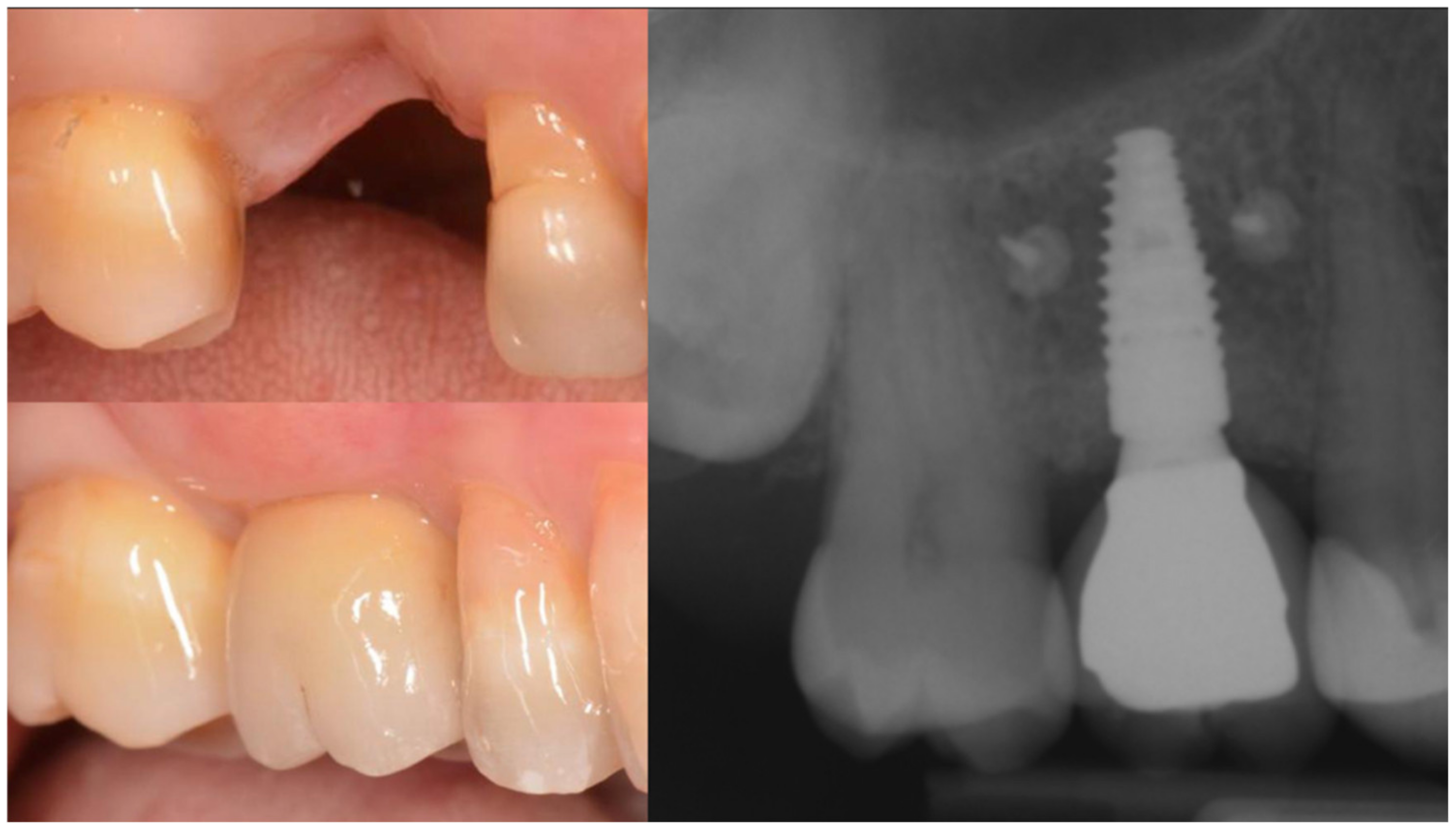
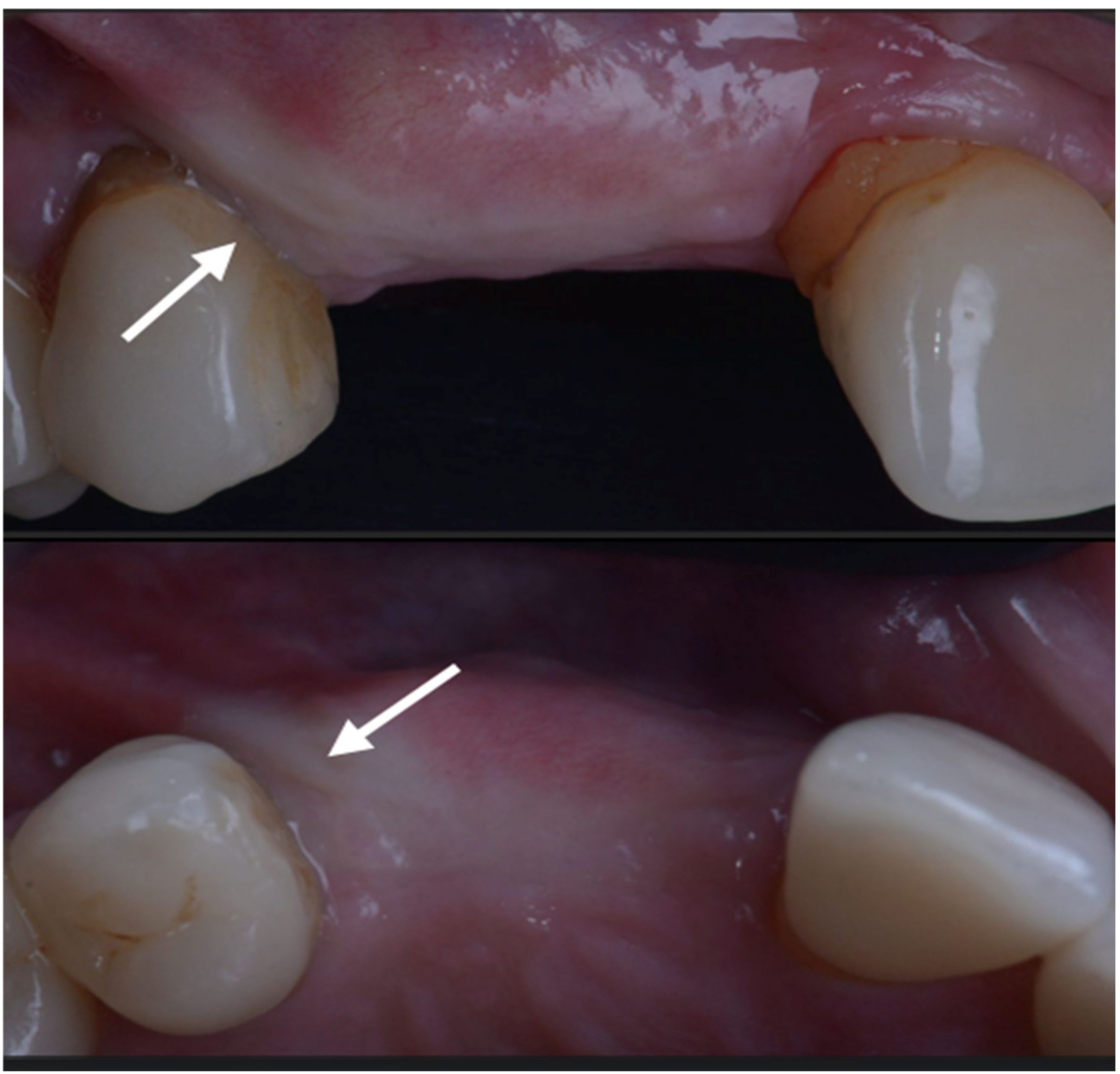
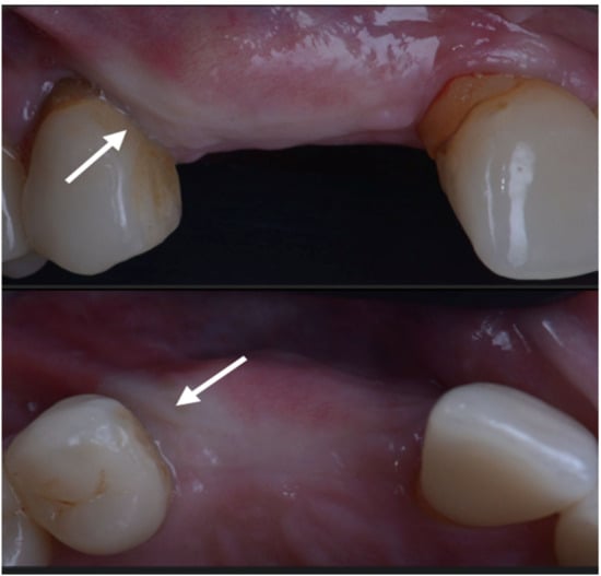
The radiographs at baseline and after completion of the prosthetic restoration also show the GTR effect of GBR in this case on the natural teeth, aside from the expected effect on bone and implants. Both bony peaks to the distal of 11 and mesial of 14 are coronal to the head of the fixture and support interdental papilla (Figure 20 and Figure 21). It is possible to appreciate in the radiographs the stability and good mineralization of the grafted area.
Figure 20.
The supra-crestal component of the bone lamina (blue) and the GTR effect near tooth 11 (white arrow).
Figure 21.
Rx of follow-up completion of restoration (left) and at 3 years after load (right).
4. Discussion
Guided bone regeneration (GBR) is a viable option for treating resorbed edentulous spaces since the 1990s [3,4,5,6]. At the beginning the only material available for GBR was a membrane in PTFE that was later modified by inserting a core of titanium to reinforce it and maintain the space for regeneration underneath [13,14]. The approach with PTFE and d-PTFE was and still is a viable option; nevertheless, it require excellent surgical skill, case evaluation and a good knowledge on how to handle complications. One of the weaknesses of membranes was the tendency for them to become exposed in the healing period, compromising the desired effects and often requiring more surgeries to fix the complication [16,17].
Titanium meshes and grids have surfaced in recent times, and the digital approach has favored the customization of such devices; however, this surgical approach is quite invasive and can only be used by experienced surgeons who can handle properly local anatomy and soft tissue. Even these devices are not error and complication free, and the literature reports rates of early exposure and complications [20,21]. The complications found with non-resorbable membranes could have been solved with the introduction of resorbable membranes, but if they proved effective when dealing with horizontal bone regeneration, they would be almost unpredictable in cases where vertical augmentation was needed [2,3]. Ten years ago a new membrane made of collagenated porcine bone was introduced in a clinical and histological study representing a breakthrough. This membrane had all the characteristics requested by GBR protocol (stiffness, flexibility, adaptability) and was made of bone, slowly resorbed and giving way to regeneration, and either integrated in the area where applied or resorbed and replaced by native bone [28]. More publications on this biomaterial have followed since then and very few reported complications due to the nature of the membrane that, when exposed to the oral environment, tends to hydrolyze, giving way to the healing of the soft tissue and not severely compromising the final outcome or requiring additional surgery [7,8,9,19,27]. In 2021 a report of 65 immediate implants placed in 49 patients where the bone lamina was used in the multi-layer technique (MLT) reported 100% success with a follow-up of 5 or more years. In this paper, only four complications were recorded, one patient developed peri-implantitis, one had a little piece of lamina removed after 18 months, one developed a palatal cyst and one broke his temporary crown. Only one patient had a lamina-related complication, which did not hamper the final prognosis of the case [29]. In this publication we have discussed and presented an additional benefit of the bone lamina membrane: in the past, when performing GBR and GTR procedures with membranes, one of the surgical prerequisites was to place the barrier at a distance from the natural teeth. It was understood that if the biofilm penetrated from the gingival margin into the barrier, this would hamper the outcome of the regeneration contaminating the barrier. Nevertheless, with the bone lamina being made of bone, not only is it possible to put it close to the natural teeth, but it also affects them in terms of the gain of attachment and regeneration if they are periodontally compromised. We have called this new evidence the ‘GTR effect of GBR’ and the cases published are just some of the many observed throughout years of applications of this barrier.
5. Conclusions
This report of three cases with a follow-up longer than 36 months has the aim of integrating the positive evidence of the effectiveness of the bone membranes in GBR. The creation of space and the maintenance of it are the important prerequisites to obtain bone regeneration, and the bone lamina well demonstrates these characteristics in the three cases presented. The technique proved effective not only in recreating a sufficient volume of bone to place and restoration of the implants, but also by significantly improving the support of the natural dentition.
Funding
This research received no external funding.
Institutional Review Board Statement
Not applicable.
Informed Consent Statement
Informed consent was obtained from all subjects involved in the study.
Data Availability Statement
Not applicable.
Conflicts of Interest
The authors declare no conflict of interest.
References
- Urban, I.; Lozada, J.; Jovanovich, S.; Nagursky, H.; Nagy, K. Vertical ridge augmentation with titanium-reinforced dense PTFE membranes and a combination of particulated autogenous bone and anorganic bovine bone derived mineral: A prospective cas series in 19 patients. Int. J. Oral Maxillofac. Implant. 2014, 29, 185–193. [Google Scholar] [CrossRef] [PubMed]
- Sanz-Sanchez, I.; Ortiz-Vigon, A.; Sanz Martin, I.; Figuero, E.; Sanz, M. Effectiveness of lateral bone augmentation on the alveolar crest dimension—A systematic review and meta-analysis. J. Dent. Res. 2015, 94 (Suppl. 9), 128S–142S. [Google Scholar] [CrossRef] [PubMed]
- Esposito, M.; Grusovin, M.G.; Felice, P.; Karatzopoulos, G.; Worthington, H.; Coulthard, P. The efficacy of horizontal and vertical bone augmentation procedures for dental implants—A Cochrane systematic review. Eur. J. Oral Implantol. 2009, 2, 167–184. [Google Scholar]
- Dahlin, C.; Sennerby, L.; Lekholm, U.; Linde, A.; Nyman, S. Generation of new bone around titanium implants using a membrane technique: An experimental study in rabbits. Int. J. Oral Maxillofac. Implant. 1989, 4, 19–45. [Google Scholar]
- Dahlin, C.; Gottolw, J.; Linde, A.; Nyman, S. Healing of maxillary and mandibular bone defects using a membrane technique. An experimental study in monkeys. Scand. J. Plast. Recontstr. Surg. Hand Surg. 1990, 24, 13–19. [Google Scholar] [CrossRef] [PubMed]
- Lazzara, R.J. Immediate implant placement into extraction sites: Surgical and restorative advantages. Int. J. Periodontics Restor. Dent. 1989, 9, 332–343. [Google Scholar]
- Rossi, R.; Rancitelli, D.; Poli, P.P.; Rasia da Polo, M.; Nannmark, U.; Maiorana, C. The use of collagenated porcine cortical lamina in the reconstruction of alveolar ridge defects: A clinica and histological study. Minerva Stomatol. 2016, 65, 257–268. [Google Scholar] [PubMed]
- Wachtel, H.; Fickl, S.; Hinze, M.; Bolz, W.; Thalmair, T. The Bone Lamina Technique: A Novel Approach for Lateral Ridge Augmentation—A Case Series. Int. J. Periodontics Restor. Dent. 2013, 33, 491–497. [Google Scholar] [CrossRef][Green Version]
- Rossi, R.; Ghezzi, C.; Tomecek, M. Cortical lamina: A new device for the treatment of moderate and severe tridimensional bone and soft tissue defects. Int. J. Esthet. Dent. 2020, 15, 454–473. [Google Scholar]
- Rinna, C.; Ungari, C.; Saltarel, A.; Cassoni, A.; Reale, G. Orbital floor restoration. J. Craniofacial Surg. 2005, 16, 968–972. [Google Scholar] [CrossRef]
- Grenga, P.L.; Reale, G.; Cofone, C.; Meduri, A.; Ceruti, P.; Grenga, R. Hess area ratio and diplopia: Evaluation of 30 patients undergoing surgical repair of orbital blow-out fracture. Ophthalmic. Plast. Recontr. Surg. 2009, 25, 123–125. [Google Scholar] [CrossRef] [PubMed]
- Hinze, M.; Vrielinck, L.; Thalmair, T.; Wachtel, H.; Bolz, W. Zygomatic implant placement in conjunction with sinus bone grafting: The ‘extended sinus elevation technique’ a case-cohort study. Int. J. Oral Maxillofac. Implant. 2013, 28, e376–e385. [Google Scholar] [CrossRef] [PubMed][Green Version]
- Becker, W.; Hujoel, P.; Becker, B. Effect of barrier membranes and autologous bone grafts on ridge width preservation around implants. Clin. Implant Dent. Relat. Res. 2002, 4, 143–149. [Google Scholar] [CrossRef] [PubMed]
- Urban, I.; Jovanovic, S.A.; Lozada, J.L. Vertical ridge augmentation using guided bone regeneration (GBR) in three clinical scenarios prior to implant placement: A retrospecytive study of 35 patients 12 to 72 months after loading. Int. J. Oral Maxillofac. Implant. 2009, 24, 502–510. [Google Scholar]
- Rocchietta, I.; Fontana, F.; Simion, M. Clinical outcomes of vertical bone augmentation to enable dental implant placement: A systematic review. J. Clin. Periodontol. 2008, 35 (Suppl. 8), 203–215. [Google Scholar] [CrossRef]
- Fontana, F.; Maschera, E.; Rocchietta, I.; Simion, M. Clinical classification of complications in guided bone regeneration procedure by means of a nonresorbable membrane. Int. J. Periodontics Restor. Dent. 2011, 31, 265–273. [Google Scholar]
- Gallo, P.; Diaz-Baez, D. Management of 80 complications in vertical and horizontal ridge augmentation with nonresorbable membrane (d-PTFE): A cross-sectional study. Int. J. Oral Maxillofac. Implant. 2019, 34, 927–935. [Google Scholar] [CrossRef]
- Sbricoli, L.; Guazzo, R.; Annunziata, M.; Gobbato, L.; Bressan, E.; Nastri, L. Selection of collagen membranes for bone regeneration: A literature review. Materials 2020, 13, 786. [Google Scholar] [CrossRef]
- Rossi, R.; Foce, E.; Scolavino, S. The cortical lamina technique a new option for ridge augmentation procedure: Protocol and pilot case. J. Leb. Dent. Ass. 2017, 51, 35–41. [Google Scholar]
- Cucchi, A.; Vignudelli, E.; Fiorino, A.; Pellegrino, G.; Corinaldesi, G. Vertical ridge augmentation (VRA) with Ti-reinforced d-PTFE membranes or Ti meshes and collagen membranes: 1-year results of a randomized clinical trial. Clin. Oral Implant Res. 2021, 32, 1–14. [Google Scholar] [CrossRef]
- Cucchi, A.; Vignudelli, E.; Napolitano, A.; Marchetti, C.; Corinaldesi, G. Evaluation of complication rates and vertical bone gain after guided bone regeneration with non-resorbable membranes versus titanium meshes and resorbable membranes. A randomized clinical trial. Clin. Implant Dent. Relat. Res. 2017, 19, 821–832. [Google Scholar] [CrossRef] [PubMed]
- Schlegel, K.A.; Sindet-Pedersen, S.; Hoepffner, H.J. Clinical and histological findings in guided bone regeneration (GBR) around titanium dental implants with autogeneous bone chips using a new resorbable membrane. J. Biomed. Mater. Res. 2000, 53, 392–399. [Google Scholar] [CrossRef]
- Memè, L.; Santarelli, A.; Marzo, G.; Emanuelli, M.; Nocini, P.F.; Bertossi, D.; Putignano, A.; Dioguardi, M.; Lo Muzio, L.; Bambini, F. Novel hydroxyapatite biomaterial covalently linked to raloxifene. Int. J. Immunopathol. Pharmacol. 2014, 27, 437–444. [Google Scholar] [CrossRef] [PubMed]
- Barone, A.; Ricci, M.; Covani, U.; Nannmark, U.; Azarmehr, I.; Calvo-Guirado, J.L. Maxillary sinus augmentation using prehydrated corticocancellous porcine bone: Hystomorphometric evaluation after 6 months. Clin. Implant Dent. Relat. Res. 2012, 14, 373–379. [Google Scholar] [CrossRef]
- Sculean, A.; Nikolidakis, D.; Nikou, G.; Ivanovic, A.; Chapple, I.L.; Stavropoulos, A. Biomaterials for promoting periodontal regeneration in human infrabony defects: A systematic review. Periodontol. 2000 2015, 68, 182–216. [Google Scholar] [CrossRef]
- Bambini, F.; Santarelli, A.; Putignano, A.; Procaccini, M.; Orsini, G.; Memè, L.; Sartini, D.; Emanuelli, M.; Lo Muzio, L. Use of supercharged cover-screw as static magnetic field generator for bone healing, 1st part: In vitro enhancement of osteoblast-like cell differentiation. J. Biol. Regul. Homeost. Agents 2017, 31, 481–485. [Google Scholar]
- Foti, V.; Rossi, R. Fibrinogen-induced regeneration sealing technique (F.I.R.S.T) an improvement and modification of traditional GBR: A report of two cases. Mod. Res. Dent. 2020, 5, 476–485. [Google Scholar]
- Pagliani, L.; Andersson, P.; Lanza, M.; Nappo, A.; Verrocchi, D.; Volpe, S.; Sennerby, L. A collagenated porcine bone substitute for augmentation at Neoss implant sites: A prospective 1-year multicenter case series study with histology. Clin. Implant Dent. Relat. Res. 2012, 14, 746–758. [Google Scholar] [CrossRef]
- Schuh, P.L.; Wachtel, H.; Beuer, F.; Goker, F.; Del Fabbro, M.; Francetti, L.; Testori, T. Multi-Layer Technique (MLT) with porcine collagenated cortical bone lamina for bone regeneration procedures and immediate post-extraction implantation in the esthetic area: A retrospective case series with a mean follow-up of 5 years. Materials 2021, 14, 5180. [Google Scholar] [CrossRef]
Publisher’s Note: MDPI stays neutral with regard to jurisdictional claims in published maps and institutional affiliations. |
© 2022 by the authors. Licensee MDPI, Basel, Switzerland. This article is an open access article distributed under the terms and conditions of the Creative Commons Attribution (CC BY) license (https://creativecommons.org/licenses/by/4.0/).




















