Laser Reconstruction of Spinal Discs Experiments and Clinic
Abstract
Featured Application
Abstract
1. Introduction. Degenerative Diseases of the Spine. Causes, and Modern Methods of Treatment
1.1. Anatomical, Morphological, and Clinical Concepts of Degenerative Diseases of the Spine
1.2. Modern Methods of Treatment of Degenerative Disc Diseases
1.3. Lasers in Spine Surgery
2. Non-Destructive Laser Modification of Cartilage Is the Basis of the New LRD Approach
2.1. Physicochemical and Biological Processes in the Disc Tissues under Laser Radiation
2.2. Goals, Objectives, and Targets of Laser Treatment
2.3. Mechanisms of Laser Regeneration
3. Laser Reconstruction of the Intervertebral Disc in Animal Experiments
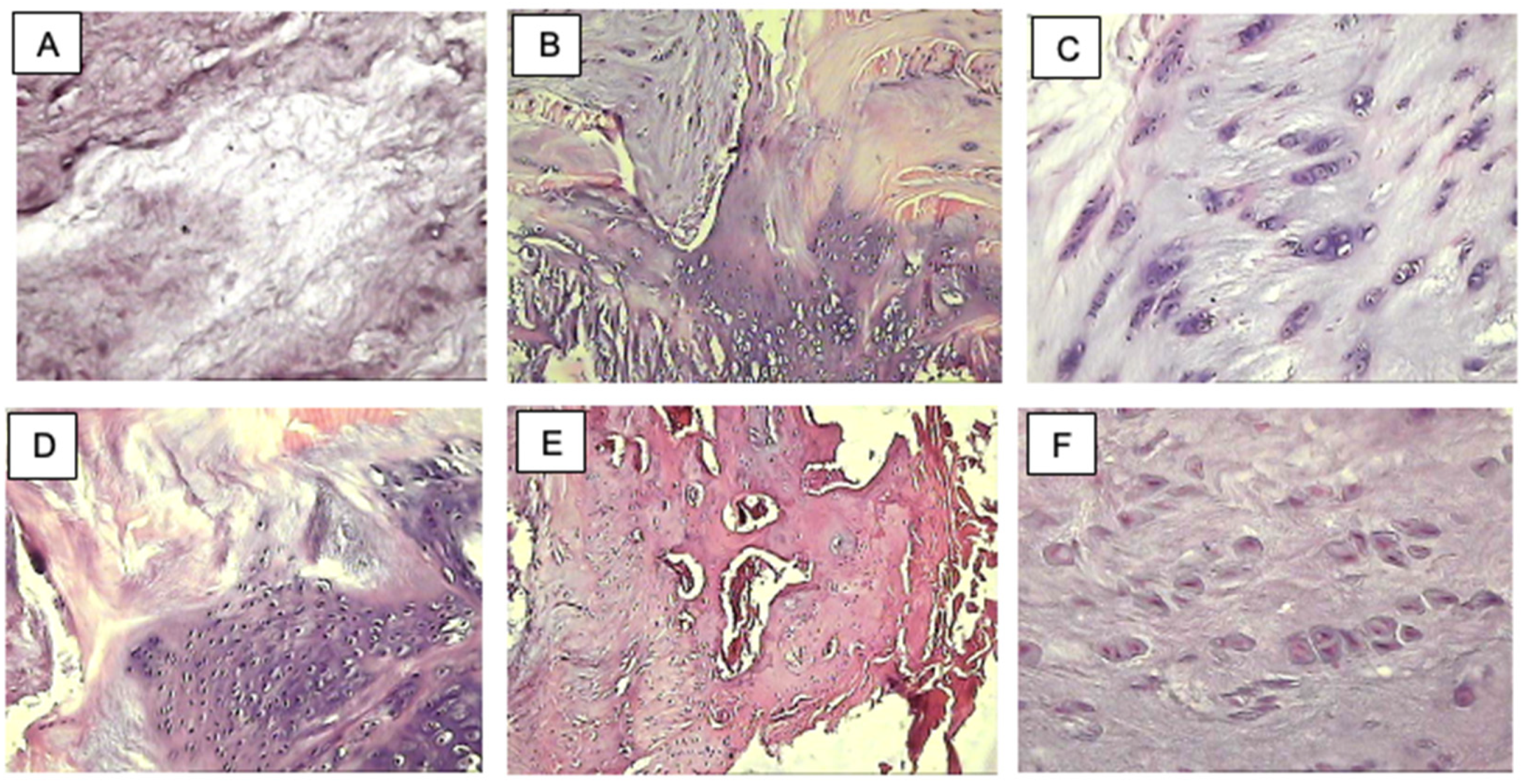
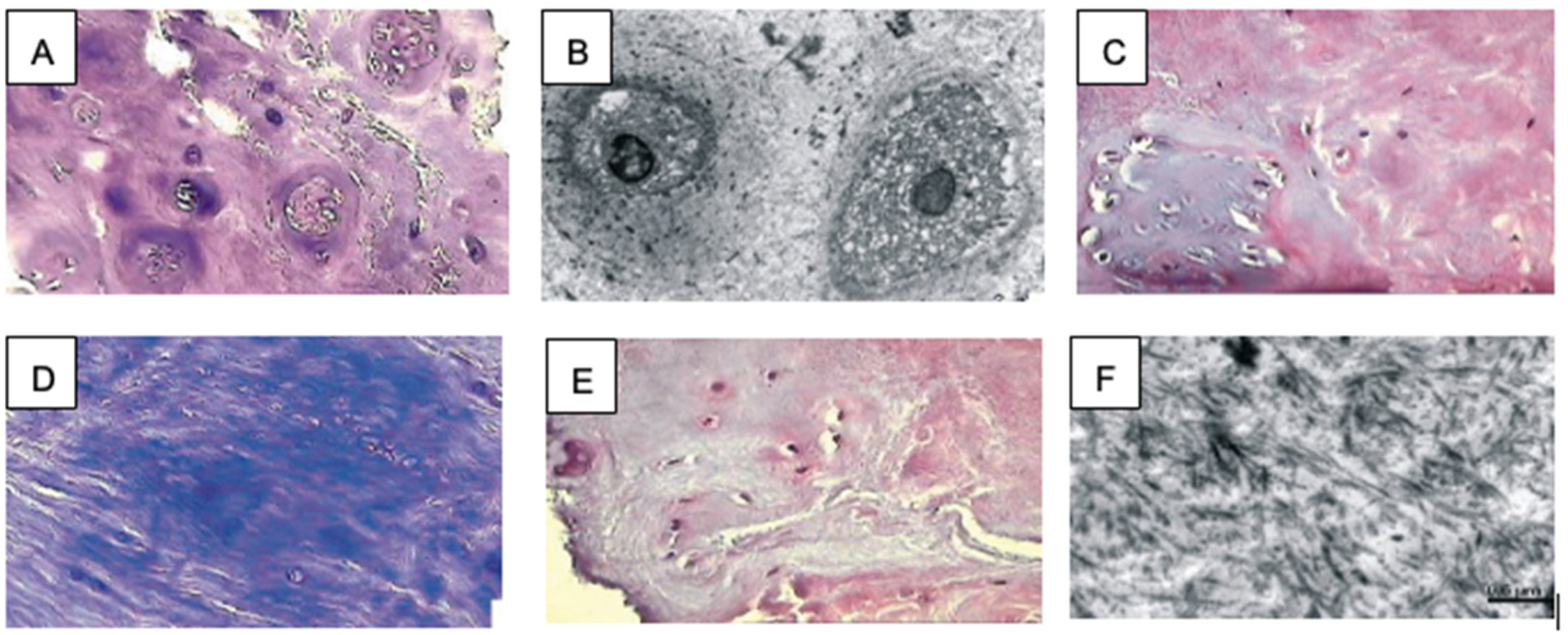
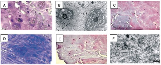
3.1. Morphological Changes in Rabbit Discs as a Result of Ex Vivo and In Vivo Laser Irradiation
3.2. Safe and Effective Laser Settings. Choice of Optimal Parameters of Laser Radiation
4. Clinical Aspects of LRD of IVD in DDD of the Spine
4.1. LRD Puncture
4.2. LRD after Surgical Interventions on the Spine as a Means of Preventing the Development of Recurrent Disc Herniation, Instability of the Affected Segment and Further Development of the DDD
5. Conclusions
Author Contributions
Funding
Institutional Review Board Statement
Informed Consent Statement
Acknowledgments
Conflicts of Interest
References
- Deyo, R.A.; Dworkin, S.F.; Amtmann, D.; Andersson, G.; Borenstein, D.; Carragee, E.; Carrino, J.; Chou, R.; Cook, K.; Delitto, A.; et al. Report of the NIH Task Force on Research Standards for Chronic Low Back Pain. Int. J. Ther. Massage Bodyw. 2015, 8, 16–33. [Google Scholar] [CrossRef] [PubMed]
- Medical Advisory Secretariat. Artificial discs for lumbar and cervical degenerative disc disease–update: An evidence-based analysis. Ont. Health Technol. Assess. Ser. 2006, 6, 1–98. [Google Scholar]
- Ravindra, V.M.; Senglaub, S.S.; Rattani, A.; Dewan, M.C.; Härtl, R.; Bisson, E.; Park, K.B.; Shrime, M.G. Degenerative Lumbar Spine Disease: Estimating Global Incidence and Worldwide Volume. Glob. Spine J. 2018, 8, 784–794. [Google Scholar] [CrossRef] [PubMed]
- Waxenbaum, J.A.; Reddy, V.; Futterman, B. Anatomy, Back, Intervertebral Discs. In StatPearls Treasure Island; StatPearls Publishing: Treasure Island, FL, USA, 2021. Available online: https://www.ncbi.nlm.nih.gov/books/NBK470583/ (accessed on 10 November 2021).
- Hansson, T.H.; Hansson, E.K. The effects of common medical interventions on pain, back function, and work resumption in patients with chronic low back pain: A prospective 2-year cohort study in six countries. Spine 2000, 25, 3055–3064. [Google Scholar] [CrossRef] [PubMed]
- Diwan, A.D.; Parvataneni, H.K.; Khan, S.N.; Sandhu, H.S.; Girardi, F.P.; Cammisa, F.P. Current concepts in intervertebral disc restoration. Orthop. Clin. N. Am. 2000, 31, 453–464. [Google Scholar] [CrossRef]
- Barendse, G.A.M.; Suzanne, G.M.; van den Berg, M.A.; Kessels, A.H.F.; Weber, W.E.M.; van Kleef, M. Randomized controlled trial of percutaneous intradiscal radiofrequency thermocoagulation for chronic discogenic back pain: Lack of effect from a 90-second 70 C lesion. Spine 2001, 26, 287–292. [Google Scholar] [CrossRef] [PubMed]
- Derby, R.; Eek, B.; Chen, Y.; O’neill, O.; Ryan, D. Intradiscal Electrothermal Annuloplasty (IDET): A Novel Approach for Treating Chronic Low Back Pain. Neuromodulation 2000, 3, 15–22. [Google Scholar] [CrossRef] [PubMed]
- Saal, J.A.; Saal, J.S. Intradiscal electrothermal treatment for chronic discogenic low back pain: A prospective outcome study with minimum 1-year follow-up. Spine 2000, 25, 2622–2627. [Google Scholar] [CrossRef] [PubMed]
- Freeman, B.J.C.; Fraser, R.D.; Cain, C.M.J.; Hall, D.J.; Chapple, D.C.L. A randomized, double-blind, controlled trial: Intradiscal electrothermal therapy versus placebo for the treatment of chronic discogenic low back pain. Spine 2005, 30, 2369–2377. [Google Scholar] [CrossRef]
- Assietti, R.; Morosi, M.; Block, J.E. Intradiscal electrothermal therapy for symptomatic internal disc disruption: 24-month results and predictors of clinical success. J. Neurosur. Spine 2010, 12, 320–326. [Google Scholar] [CrossRef]
- Bass, E.C.; Nau, W.H.; Diederich, C.J.; Liebenberg, E.; Shu, R.; Pellegrino, R.; Sutton, J.; Attawia, M.; Hu, S.; Ferrier, W.T.; et al. Intradiscal thermal therapy does not stimulate biologic remodeling in an in vivo sheep model. Spine 2006, 31, 139–145. [Google Scholar] [CrossRef] [PubMed]
- Lötz, J.C.; Ulrich, J.A. Innervation, inflammation, and hypermobility may characterize pathologic disc degeneration: Review of animal model data. J. Bone Jt. Surg. Am. 2006, 88, 76–82. [Google Scholar] [CrossRef]
- Gerszten, P.C.; Welch, W.C.; King, J.T. Quality of life assessment in patients undergoing nucleoplasty-based percutaneous discectomy. J. Neurosur. Spine 2006, 4, 36–42. [Google Scholar] [CrossRef] [PubMed]
- Schroeder, J.E.; Dettori, J.R.; Brodt, E.D.; Kaplan, L. Disc degeneration after disc herniation: Are we accelerating the process? Evid.-Based Spine-Care J. 2012, 3, 33–40. [Google Scholar] [CrossRef]
- Aizawa, T.; Ozawa, H.; Kusakabe, T.; Nakamura, T.; Sekiguchi, A.; Takahashi, A.; Sasaji, T.; Tokunaga, S.; Chiba, T.; Morozumi, N.; et al. Reoperation for recurrent lumbar disc herniation: A study over a 20-year period in a Japanese population. J. Orthop. Sci. 2012, 17, 107–113. [Google Scholar] [CrossRef] [PubMed]
- Leven, D.; Passias, P.G.; Errico, T.J.; Lafage, V.; Bianco, K.; Lee, A.; Lurie, J.D.; Tosteson, T.D.; Zhao, W.; Spatt, F.; et al. Risk factors for reoperation in patients treated surgically for intervertebral disc herniation: A subanalysis of eight-year SPORT data. J. Bone Jt. Surg. Am. 2015, 97, 1316–1325. [Google Scholar] [CrossRef] [PubMed]
- Parker, S.L.; Mendenhall, S.K.; Godil, S.S.; Sivasubramanian, P.; Cahill, K.; Ziewacz, J.; McGirt, M.J. Incidence of low back pain a er lumbar discectomy for herniated disc and its effect on patient-reported outcomes. Clin. Orthop. Relat. Res. 2015, 473, 1988–1999. [Google Scholar] [CrossRef] [PubMed]
- Rajaee, S.S.; Bae, H.W.; Kanim, L.E.; Delamarter, R.B. Spinal fusion in the United States: Analysis of trends from 1998 to 2008. Spine 2012, 37, 67–76. [Google Scholar] [CrossRef] [PubMed]
- Keefe, F.J.; Smith, S.J. Assessment of Pain Behaviors. In Handbook of Pain Assessment; Turk, D.C., Ed.; Guilford Press: New York, NY, USA, 2001; pp. 170–190. [Google Scholar]
- Apeldoorn, A.T.; Bosmans, J.E.; Ostelo, R.W.; de Vet, H.C.; van Tulder, M.W. Cost-effectiveness of a classification-based system for sub-acute and chronic low back pain. Eur. Spine J. 2012, 21, 1290–1300. [Google Scholar] [CrossRef] [PubMed]
- Haufe, S.M.W.; Mork, A.R. Intradiscal injection of hematopoietic stem cells in an attempt to rejuvenate the intervertebral discs. Stem Cells Dev. 2006, 15, 136–137. [Google Scholar] [CrossRef]
- Orozco, L.; Soler, R.; Morera, C.; Alberca, M.; Sanchez, A.; Garcia-Sancho, J. Intervertebral disc repair by autologous mesenchymal bone marrow cells: A pilot study. Transplantation 2011, 92, 822–828. [Google Scholar] [CrossRef] [PubMed]
- Pang, X.; Yang, H.; Peng, B. Human umbilical cord mesenchymal stem cell transplantation for the treatment of chronic discogenic low back pain. Pain Physician 2014, 17, E525–E530. [Google Scholar] [CrossRef]
- Elabd, C.; Centeno, C.J.; Schultz, J.R.; Lutz, G.; Ichim, T.; Silva, F.J. Intra-discal injection of autologous, hypoxic cultured bone marrow-derived mesenchymal stem cells in five patients with chronic lower back pain: A long-term safety and feasibility study. J. Transl. Med. 2016, 14, 253. [Google Scholar] [CrossRef] [PubMed]
- Choy, D.S.; Case, R.B.; Fielding, W.; Hughes, J.; Liebler, W.; Asher, P. Percutaneous laser nucleolysis of lumbar disks. N. Engl. J. Med. 1987, 317, 771–772. [Google Scholar] [PubMed]
- Choy, D.S.; Ascher, P.W.; Ranu, H.S.; Saddekni, S.; Alkaitis, D.; Lieber, W.; Hughes, J.; Diwan, S.; Altman, P. Percutaneous laser disc decompression. A new therapeutic modality. Spine 1992, 17, 949–956. [Google Scholar] [CrossRef] [PubMed]
- Ji, G.Y.; Lee, J.; Lee, S.W.; Cho, B.Y.; Ha, D.W.; Park, Y.M.; Shin, D.A. Safety and Effectiveness of Transforaminal Epiduroscopic Laser Ablation in Single Level Disc Disease: A Case-Control Study. Pain Physician 2018, 21, E643–E650. [Google Scholar] [PubMed]
- Chiu, J.C.; Clifford, T.J.; Greenspan, M.; Richley, R.C.; Lohman, G.; Sison, R.B. Percutaneous microdecompressive endoscopic cervical discectomy with laser thermodiskoplasty. Mt. Sinai J. Med. 2000, 67, 278–282. [Google Scholar] [PubMed]
- Sobol, E.N.; Vorobieva, N.N.; Sviridov, A.P.; Omelchenko, A.I.; Baskov, A.V.; Shekhter, A.B.; Baskov, V.A.; Feldchtein, F.I.; Kamensky, V.A.; Kuranov, R. Laser-Induced Activation of Intervertebral Disc Cartilage Regeneration Processes. Lasers in Surgery: Advanced Characterization, Therapeutics, and Systems X. In Proceedings of the BIOS 2000 The International Symposium on Biomedical Optics, San Francisco, CA, USA, 22–28 January 2000; Volume 3907. [Google Scholar] [CrossRef]
- Sobol, E.; Zakharkina, O.; Baskov, A.; Shekhter, A.; Borshchenko, I.; Guller, A.; Baskov, V.; Omelchenko, A.; Sviridov, A. Laser engineering of spine discs. Laser Phys. 2009, 19, 825–835. [Google Scholar] [CrossRef]
- Sobol, E.; Shekhter, A.; Baskov, A. Laser in Orthopaedic Surgery. In Lasers for Medical Applications: Diagnostics, Therapy and Surgery; Jelinkova, E., Ed.; Woodhead Publishing: Cambridge, UK, 2013; pp. 621–656. [Google Scholar]
- Baskov, A.V.; Borshchenko, I.A.; Shekhter, A.B.; Baskov, V.A.; Guller, A.E.; Sobol, E.N. Long Term Clinical Results in Laser Reconstruction of Spine Discs. J. Spine 2015, 4, 210. [Google Scholar] [CrossRef]
- Baskov, A.V.; Drakin, I.A.; Dreval, O.N.; Baskov, V.A.; Shekhter, A.B.; Sobol, E.N.; Drakin, A.I. Nonablative laser irradiation of the intervertebral discs as a method of reduction of recurrent disc herniations. Pac. Med. J. 2015, 4, 29–31. [Google Scholar]
- Borshchenko, I.; Sobol, E.; Shekhter, A.; Baskov, A.; Grin, A.; Borshchenko, M. Biological non-ablative repair of lumbar discs by transforaminal intradiscal laser irradiation: MRI quantitative analysis of the effects—Preliminary report. Lasers Med. Sci. 2020, 11. [Google Scholar] [CrossRef]
- Radcliff, K.; Vaccaro, A.R.; Hilibrand, A.; Schroeder, G.D. Lasers in Spine Surgery. J. Am. Acad. Orthop. Surg. 2019, 27, 621–632. [Google Scholar] [CrossRef] [PubMed]
- Brouwer, P.A.; Brand, R.; van den Akker-van Marle, M.E.; Jacobs, W.C.; Schenk, B.; van den Berg-Huijsmans, A.A.; Koes, B.W.; Arts, M.A.; van Buchem, M.A.; Peul, W.C. Percutaneous laser disc decompression versus conventional microdiscectomy for patients with sciatica: Two-year results of a randomised controlled trial. Interv. Neuroradiol. 2017, 23, 313–324. [Google Scholar] [CrossRef] [PubMed]
- Epstein, N.E. Should anyone perform percutaneous endoscopic laser diskectomy and percutaneous lumbar disc decompressions? Surg. Neurol. Int. 2016, 7 (Suppl. 42), S1080–S1084. [Google Scholar] [CrossRef] [PubMed]
- Belykh, E.; Yagmurlu, K.; Martirosyan, N.L.; Lei, T.; Izadyyazdanabadi, M.; Malik, K.M.; Byvaltsev, V.A.; Nakaji, P.; Preul, M.C. Laser application in neurosurgery. Surg. Neurol. Int. 2017, 8, 274. [Google Scholar] [PubMed]
- Sobol, E.; Sviridov, A.; Omelchenko, A.; Bagratashvili, V.; Kitai, M.; Harding, S.; Jones, N.; Jumel, K.; Mertig, M.; Pompe, W.; et al. Laser Reshaping of Cartilage. In Biotechnology & Genetic Engineering Review; Harding, S.E., Ed.; Intercept Lid: Hampshire, UK, 2000; Volume 17, pp. 539–564. [Google Scholar]
- Ignatieva, N.Y.; Zakharkina, O.L.; Andreeva, I.V.; Sobol, E.N.; Kamensky, V.A.; Myakov, A.V.; Averkiev, S.V.; Lunin, V.V. IR laser and heat induced changes in annulus fibrosus collagen structure. Photochem. Photobiol. 2007, 83, 675–685. [Google Scholar] [CrossRef]
- Sobol, E.; Baum, O.; Shekhter, A.; Guller, A.; Baskov, A. Laser induced regeneration of cartilage. J. Biomed. Opt. 2011, 16, 80902. [Google Scholar] [CrossRef] [PubMed]
- Athanasiou, K.A.; Darling, E.M.; DuRaine, G.D.; Hu, J.C.; Reddi, A.H. Articular Cartilage; CRC Press: Boca Raton, FL, USA, 2013. [Google Scholar]
- Wong, B.J.; Pandhoh, N.; Truong, M.T.; Diaz, S.; Chao, K.; Hou, S.; Gardiner, D. Identification of chondrocyte proliferation following laser irradiation, thermal injury, and mechanical trauma. Lasers Surg. Med. 2005, 37, 89–96. [Google Scholar] [CrossRef] [PubMed]
- Heath, C.A. The effects of physical forces on cartilage tissue engineering. In Biotechnology & Genetic Engineering Review; Harding, S.E., Ed.; Intercept Lid: Hampshire, UK, 2000; Volume 17, pp. 533–551. [Google Scholar]
- Montagne, K.; Onuma, Y.; Ito, Y.; Aiki, Y.; Furukawa, K.S.; Ushida, T. High hydrostatic pressure induces pro-osteoarthritic changes in cartilage precursor cells: A transcriptome analysis. PLoS ONE 2017, 12, e0183226. [Google Scholar] [CrossRef] [PubMed]
- Alexandrovskaya, Y.M.; Baum, O.I.; Shekhter, A.B.; Petersen, E.V.; Tiflova, O.A.; Dmitriev, A.K.; Ulyanov, V.A.; Svistushkin, V.M.; Selezneva, L.V.; Sobol, E.N. Mechanisms of laser activation of chondrocytes in osteoarthritis healing. Laser Phys. Lett. 2018, 15, 85601. [Google Scholar] [CrossRef]
- Hodge, W.A.; Fujan, R.S.; Carlson, K.L.; Burgess, R.G.; Harris, W.H.; Mann, R.W. Contact pressures in the human hip joint measured in vivo. Proc. Natl. Aca. Sci. USA 1986, 83, 2879–2883. [Google Scholar] [CrossRef]
- Li, X.; Zhang, Z.; Chen, Z.; Cui, Z.; Zhang, H. Piezo1 protein induces the apoptosis of human osteoarthritis-derived chondrocytes by activating caspase-12, the signaling marker of ER stress. Int. J. Mol. Med. 2017, 40, 845–853. [Google Scholar] [CrossRef] [PubMed]
- Solis, A.G.; Bielecki, P.; Steach, H.R.; Sharma, L.; Harman, C.C.D.; Yun, S.; Palm, N.W.; de Zoete, M.R.; Warnock, J.N.; To, S.D.F.; et al. Mechanosensation of Cyclical Force by PIEZO1 is Essential for Innate Immunity. Nature 2019, 573, 69–74. [Google Scholar] [CrossRef] [PubMed]
- Serov, V.V.; Shehter, A.B. Connective Tissue (Functional Morphology and General Pathology); Medicine: Moscow, Russia, 1981; p. 312. [Google Scholar]
- Lee, K.H.; Song, S.U.; Hwang, T.S.; Yi, Y.; Oh, I.S.; Lee, J.Y.; Choi, K.B.; Choi, M.S.; Kim, S.J. Regeneration of hyaline cartilage by cell-mediated gene therapy using transforming growth factor beta 1-producing fibroblasts. Hum. Gene Ther. 2001, 12, 1805–1813. [Google Scholar] [CrossRef] [PubMed]
- Masuda, K.; An, H.S. Growth factors and the intervertebral disc. Spine J. 2004, 4, 330S–340S. [Google Scholar] [CrossRef] [PubMed]
- Walsh, A.J.; Bradford, D.S.; Lotz, J.C. In vivo growth factor treatment of degenerated intervertebral discs. Spine 2004, 29, 156–163. [Google Scholar] [CrossRef]
- Andrades, J.A.; Han, B.; Nimni, M.E.; Ertl, D.C.; Simpkins, R.J.; Arrabal, M.P.; Becerra, J. A modified rhTGF-beta1 and rhBMP-2 are effective in initiating a chondro-osseous differentiation pathway in bone marrow cells cultured in vitro. Connect. Tissue Res. 2003, 44, 188–197. [Google Scholar] [CrossRef] [PubMed]
- Estrada, H.; Sobol, E.; Baum, O.; Razansky, D. Hybrid optoacoustic and ultrasound biomicroscopy monitors’ laser-induced tissue modifications and magnetite nanoparticle impregnation. Laser Phys. Lett. 2014, 11, 125601. [Google Scholar] [CrossRef][Green Version]
- Baum, O.; Wachsmann-Hogiu, S.; Milner, T.; Sobol, E. Laser-assisted formation of micropores and nanobubbles in sclera promote stable normalization of intraocular pressure. Laser Phys. Lett. 2017, 14, 065601. [Google Scholar] [CrossRef]
- Hamblin, M.R.; de Sousa, M.V.P.; Agrawal, T. Handbook of Low-Level Laser Therapy; Pan Stanford Publishing: Singapore, 2017; pp. 303–364. [Google Scholar]
- Hamblin, M.R. Photobiomodulation or low-level laser therapy. J. Biophotonics 2016, 9, 1122–1124. [Google Scholar] [CrossRef]
- Karu, T. The Lectures on Basic Science of Laser Phototherapy; Prima Books AB: Grangesberg, Sweden, 2007. [Google Scholar]
- Karu, T.I. Mitochondrial Signaling in Mammalian Cells Activated by Red and Near-IR Radiation. Photochem. Photobiol. 2008, 84, 1091–1099. [Google Scholar] [CrossRef]
- Moore, P.; Ridgway, T.D.; Higbee, R.G.; Howard, E.W.; Lucroy, E.W. Effect of wavelength on low-intensity laser irradiation-stimulated cell proliferation in vitro. Laser Surg. Med. 2005, 36, 8–12. [Google Scholar] [CrossRef] [PubMed]
- Ruh, A.C.; Frigo, L.; Cavalcanti, M.F.X.B.; Svidnicki, P.; Vicari, V.N.; Lopes-Martins, R.A.B.; Leal Junior, E.C.P.; De Isla, N.; Diomede, F.; Trubiani, O.; et al. Laser photobiomodulation in pressure ulcer healing of human diabetic patients: Gene expression analysis of inflammatory biochemical markers. Lasers Med. Sci. 2018, 33, 165–171. [Google Scholar] [CrossRef] [PubMed]
- Sommer, A.P. Revisiting the Photon/Cell Interaction Mechanism in Low-Level Light Therapy. Photobiomodul. Photomed. Laser Surg. 2019, 37, 336–341. [Google Scholar] [CrossRef]
- Cavalcanti, M.F.; Maria, D.A.; de Isla, N.; Leal-Junior, E.C.; Joensen, J.; Bjordal, J.M.; Lopes-Martins, R.A.; Diomede, F.; Trubiani, O.; Frigo, L. Evaluation of the Proliferative Effects Induced by Low-Level Laser Therapy in Bone Marrow Stem Cell Culture. Photomed. Laser Surg. 2015, 33, 610–616. [Google Scholar] [CrossRef] [PubMed]
- Oron, U.; Tuby, H. Low-Level Energy Laser Therapy. Patent WO 2010134007 A2, 25 November 2010. [Google Scholar]
- Ezzati, K.; Laakso, E.-L.; Salari, A.; Hasannejad, A.; Fekrazad, R.; Aris, A. The Beneficial Effects of High-Intensity Laser Therapy and Co-Interventions on Musculoskeletal Pain Management: A Systematic Review. J. Lasers Med Sci. 2020, 11, 81–90. [Google Scholar] [CrossRef] [PubMed]
- Adams, M.A.; Stefanakis, M.; Dolan, P. Healing of a painful intervertebral disc should not be confused with reversing disc degeneration: Implications for physical therapies for discogenic back pain. Clin. Biomech. 2010, 25, 961–971. [Google Scholar] [CrossRef] [PubMed]
- Sobol, E.N. Phase Transformation and Ablation in Laser-Treated Solids; Wiley and Sons: New York, NY, USA, 1995. [Google Scholar]
- Baum, O.I.; Zheltov, G.I.; Omelchenko, A.I.; Romanov, G.S.; Romanov, O.G.; Sobol, E.N. Thermomechanical effect of pulse-periodic laser radiation on cartilaginous and eye tissues. Laser Phys. 2013, 23, 085602. [Google Scholar] [CrossRef]
- Ikenoue, T.; Trindade, M.C.D.; Lee, M.S.; Lin, E.Y.; Schurman, D.J.; Goodman, S.B.; Smith, R.L. Mechanoregulation of human articular chondrocyte aggrecan and type II collagen expression by intermittent hydrostatic pressure in vitro. J. Orthop. Res. 2003, 21, 110–116. [Google Scholar] [CrossRef]
- Vafaei-Nezhad, S.; Hassan, M.P.; Noroozian, M.; Aliaghaei, A.; Tehrani, A.S.; Abbaszadeh, H.A.; Khoshsirat, S. A review of low-level laser therapy for spinal cord injury: Challenges and safety. J. Lasers Med. Sci. 2020, 11, 363–368. [Google Scholar] [CrossRef]
- Thaler, M.; Hartmann, S. Footprint mismatch in total cervical disc arthroplasty. Eur. Spine J. 2013, 22, 759–765. [Google Scholar] [CrossRef]
- Pfirrmann, C.W.; Metzdorf, A.; Zanetti, M.; Hodler, J.; Boos, N. Magnetic resonance grade of lumbar intervertebral disc degeneration. Spine 2001, 26, 1873–1878. [Google Scholar] [CrossRef]
- Sobol, E.N.; Sviridov, A.P.; Gorin, M.M. Diagnostic and Feedback Control System for Efficacy and Safety of Laser Application for Tissue Reshaping and Regeneration. Patent WO 2012/100048 AI, 26 July 2012. [Google Scholar]
- Cloward, R.B. The Anterior Approach for Removal of Ruptured Cervical Disks. J. Neurosurg. 1958, 15, 6. [Google Scholar] [CrossRef]
- Masui, T.; Yukawa, Y.; Nakamura, S.; Kajino, G.; Matsubara, Y.; Kato, F.; Ishiguro, N. Natural history of patients with lumbar disc herniation observed by magnetic resonance imaging for minimum 7 years. J. Spinal Disord. Tech. 2005, 18, 121–126. [Google Scholar] [CrossRef]
- Gregory, D.E.; Bae, W.C.; Sah, R.L.; Masuda, K. Disc degeneration reduces the delamination strength of the anulus fibrosis in the rabbit anular disc puncture model. Spine J. Off. J. N. Am. Spine Soc. 2014, 14, 1265–1271. [Google Scholar] [CrossRef]
- Qian, J.; Ge, J.; Yan, Q.; Wu, C.; Yang, H.; Zou, J. Selection of the Optimal Puncture Needle for Induction of a Rat Intervertebral Disc Degeneration Model. Pain Physician 2019, 22, 353–360. [Google Scholar] [PubMed]
- Hijikata, S. Percutaneous dicectomy: A new treatment method for lumbar disc herniation. J. Toden Hosp. 1975, 5, 5–13. [Google Scholar]
- Kambin, P.; Cohen, L.F. Arthroscopic microdiscectomy versus nucleotomy techniques. Clin. Sports Med. 1993, 12, 587–598. [Google Scholar] [CrossRef]
- Ruetten, S.; Komp, M.; Merk, H.; Godolias, G. Full-endoscopic interlaminar and transforaminal lumbar discectomy versus conventional microsurgical technique: A prospective, randomized, controlled study. Spine 2008, 33, 931–939. [Google Scholar] [CrossRef] [PubMed]











| Laser Mode | 1 | 2 | 3 |
|---|---|---|---|
| Pulse duration, ms | 1000 | 100 | 10 |
| Pulse repetition rate, Hz | 0.5 | 1 | 1 |
| Power, W | 0.7 | 1.5 | 3 |
| Number of the series of pulses | 3 | 3 | 1 |
| The duration of the pause between the series of pulses, s | 15 | 10 | - |
Publisher’s Note: MDPI stays neutral with regard to jurisdictional claims in published maps and institutional affiliations. |
© 2022 by the authors. Licensee MDPI, Basel, Switzerland. This article is an open access article distributed under the terms and conditions of the Creative Commons Attribution (CC BY) license (https://creativecommons.org/licenses/by/4.0/).
Share and Cite
Baskov, A.; Borshchenko, I.A.; Baskov, V.; Shekhter, A.; Sobol, E. Laser Reconstruction of Spinal Discs Experiments and Clinic. Appl. Sci. 2022, 12, 675. https://doi.org/10.3390/app12020675
Baskov A, Borshchenko IA, Baskov V, Shekhter A, Sobol E. Laser Reconstruction of Spinal Discs Experiments and Clinic. Applied Sciences. 2022; 12(2):675. https://doi.org/10.3390/app12020675
Chicago/Turabian StyleBaskov, Andrei, Igor A. Borshchenko, Vladimir Baskov, Anatoly Shekhter, and Emil Sobol. 2022. "Laser Reconstruction of Spinal Discs Experiments and Clinic" Applied Sciences 12, no. 2: 675. https://doi.org/10.3390/app12020675
APA StyleBaskov, A., Borshchenko, I. A., Baskov, V., Shekhter, A., & Sobol, E. (2022). Laser Reconstruction of Spinal Discs Experiments and Clinic. Applied Sciences, 12(2), 675. https://doi.org/10.3390/app12020675

