Occlusal Plane Changes after Maxillary Molar Distalization Using Temporary Skeletal Anchorages Devices: A Narrative Review and Preliminary Study
Abstract
1. Introduction
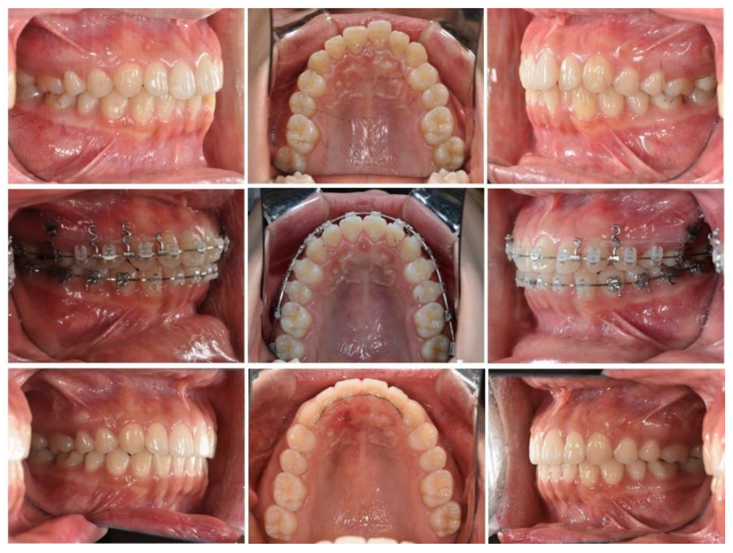
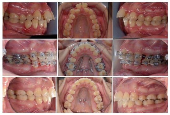
2. Materials and Methods
2.1. Reference Planes and Measurements
2.2. Statistical Analysis
3. Results
4. Discussion
5. Conclusions
Author Contributions
Funding
Institutional Review Board Statement
Informed Consent Statement
Data Availability Statement
Conflicts of Interest
References
- Jones, R.D.; White, J.M. Rapid Class II molar correction with an open-coil jig. J. Clin. Orthod. 1992, 26, 661–664. [Google Scholar] [PubMed]
- Hilgers, J.J. The pendulum appliance for class ii non-compliance therapy. J. Clin. Orthod. 1992, 26, 706–714. [Google Scholar] [PubMed]
- Bondemark, L.; Kurol, J.R. Distalization of maxillary first and second molars simultaneously with repelling magnets. Eur. J. Orthod. 1992, 14, 264–272. [Google Scholar] [CrossRef] [PubMed]
- Carano, A.; Testa, M. The distal jet for upper molar distalization. J. Clin. Orthod. 1996, 30, 374–380. [Google Scholar]
- Fortini, A.; Lupoli, M.; Parri, M. The first class appliance for rapid molar distalization. J. Clin. Orthod. 1999, 33, 322–328. [Google Scholar]
- Grec, R.H.D.C.; Janson, G.; Branco, N.C.; Moura-Grec, P.G.; Patel, M.P.; Henriques, J.F.C. Intraoral distalizer effects with conventional and skeletal anchorage: A meta-analysis. Am. J. Orthod. Dentofacial. Orthop. 2013, 143, 602–615. [Google Scholar] [CrossRef]
- Dowgierd, K.; Borowiec, M.; Kozakiewicz, M. Bone changes on lateral cephalograms and cbct during treatment of maxillary narrowing using palatal osteodistraction with bone-anchored appliances. J. Craniomaxillofac. Surg. 2018, 46, 2069–2081. [Google Scholar] [CrossRef]
- Sugawara, J.; Kanzaki, R.; Takahashi, I.; Nagasaka, H.; Nanda, R. Distal movement of maxillary molars in nongrowing patients with the skeletal anchorage system. Am. J. Orthod. Dentofacial. Orthop. 2006, 129, 723–733. [Google Scholar] [CrossRef]
- Choi, Y.J.; Lee, J.-S.; Cha, J.-Y.; Park, Y.-C. Total distalization of the maxillary arch in a patient with skeletal class ii malocclusion. Am. J. Orthod. Dentofacial. Orthop. 2011, 139, 823–833. [Google Scholar] [CrossRef]
- Mah, S.-J.; Kim, J.-E.; Ahn, E.J.; Nam, J.-H.; Kim, J.-Y.; Kang, Y.-G. Analysis of midpalatal miniscrew-assisted maxillary molar distalization patterns with simultaneous use of fixed appliances: A preliminary study. Korean J. Orthod. 2016, 46, 55–61. [Google Scholar] [CrossRef]
- Kinzinger, G.S.M.; Eren, M.; Diedrich, P.R. Treatment effects of intraoral appliances with conventional anchorage designs for non-compliance maxillary molar distalization. A literature review. Eur. J. Orthod. 2008, 30, 558–571. [Google Scholar] [CrossRef]
- Patil, R.U.; Marure, P.S.; Reddy, S.; Prakash, A.; Kshetrimayum, N.; Shukla, R. The effectiveness of pendulum, K-loop, and distal jet distalization techniques in growing children and its effects on anchor unit: A comparative study. J. Indian Soc. Pedod. Prev. Dent. 2016, 34, 331–340. [Google Scholar] [CrossRef]
- Mohamed, R.N.; Basha, S.; Al-Thomali, Y. Maxillary molar distalization with miniscrew-supported appliances in Class II malocclusion: A systematic review. Angle Orthod. 2018, 88, 494–502. [Google Scholar] [CrossRef]
- Chou, A.H.K.; Park, J.H.; Shoaib, A.M.; Lee, N.-K.; Lim, H.J.; Abdulwhab, A.A.; Alfawaz, F.; Kook, Y.-A. Total maxillary arch distalization with modified C-palatal plates in adolescents: A long-term study using cone-beam computed tomography. Am. J. Orthod. Dentofac. Orthop. 2021, 159, 470–479. [Google Scholar] [CrossRef]
- Bussick, T.J.; McNamara, J.A., Jr. Dentoalveolar and skeletal changes associated with the pendulum appliance. Am. J. Orthod. Dentofac. Orthop. 2000, 117, 333–343. [Google Scholar] [CrossRef]
- Bechtold, T.E.; Park, Y.-C.; Kim, K.-H.; Jung, H.; Kang, J.-Y.; Choi, Y.J. Long-term stability of miniscrew anchored maxillary molar distalization in Class II treatment. Angle Orthod. 2020, 90, 362–368. [Google Scholar] [CrossRef]
- Kook, Y.-A.; Bayome, M.; Trang, V.T.T.; Kim, H.-J.; Park, J.H.; Kim, K.B.; Behrents, R.G. Treatment effects of a modified palatal anchorage plate for distalization evaluated with cone-beam computed tomography. Am. J. Orthod. Dentofac. Orthop. 2014, 146, 47–54. [Google Scholar] [CrossRef]
- Vilanova, L.; Henriques, J.F.C.; Janson, G.; Patel, M.P.; Reis, R.S.; Castillo, A.A.-D. Class II malocclusion treatment effects with Jones Jig and Distal Jet followed by fixed appliances. Angle Orthod. 2018, 88, 10–19. [Google Scholar] [CrossRef]
- Fontana, M.; Cozzani, M.; Mutinelli, S.; Spena, R.; Caprioglio, A. Maxillary molar distalization therapy in adult patients: A multicentre study. Orthod. Craniofacial Res. 2015, 18, 221–231. [Google Scholar] [CrossRef]
- Li, M.; Su, X.; Li, Y.; Li, X.; Si, X. Cone-beam computed tomography-guided three-dimensional evaluation of treatment effectiveness of the Frog appliance. Korean J. Orthod. 2019, 49, 161–169. [Google Scholar] [CrossRef]
- Serafin, M.; Fastuca, R.; Castellani, E.; Caprioglio, A. Occlusal plane changes after molar distalization with a pendulum appliance in growing patients with class ii malocclusion: A retrospective cephalometric study. Turk. J. Orthod. 2021, 34, 10–17. [Google Scholar] [CrossRef]
- Braun, S.; Legan, H.L. Changes in occlusion related to the cant of the occlusal plane. Am. J. Orthod. Dentofac. Orthop. 1997, 111, 184–188. [Google Scholar] [CrossRef]
- Li, J.-L.; Kau, C.H.; Wang, M. Changes of occlusal plane inclination after orthodontic treatment in different dentoskeletal frames. Prog. Orthod. 2014, 15, 41. [Google Scholar] [CrossRef]
- Ogawa, T.; Koyano, K.; Suetsugu, T. Characteristics of masticatory movement in relation to inclination of occlusal plane. J. Oral. Rehabil. 1997, 24, 652–657. [Google Scholar] [CrossRef] [PubMed]
- Sato, M.; Motoyoshi, M.; Hirabayashi, M.; Hosoi, K.; Mitsui, N.; Shimizu, N. Inclination of the occlusal plane is associated with the direction of the masticatory movement path. Eur. J. Orthod. 2007, 29, 21–25. [Google Scholar] [CrossRef] [PubMed]
- Lee, J.-Y.; Choi, S.-K.; Kwon, T.-H.; Kang, K.-H.; Kim, S.-C. Three-dimensional analysis of tooth movement in Class II malocclusion treatment using arch wire with continuous tip-back bends and intermaxillary elastics. Korean J. Orthod. 2019, 49, 349–359. [Google Scholar] [CrossRef] [PubMed]
- Ghosh, J.; Nanda, R.S. Evaluation of an intraoral maxillary molar distalization technique. Am. J. Orthod. Dentofac. Orthop. 1996, 110, 639–646. [Google Scholar] [CrossRef]
- Angelieri, F.; de Almeida, R.R.; de Almeida, M.R.; Fuziy, A. Dentoalveolar and skeletal changes associated with the pendulum appliance followed by fixed orthodontic treatment. Am. J. Orthod. Dentofac. Orthop. 2006, 129, 520–527. [Google Scholar] [CrossRef]
- Pujols, S.C.R.; Nogueira, C.Q.; Reis, R.S.; Fonçatti, C.F.; Henriques, J.F.C.; Janson, G. Stability of Class II malocclusion treatment with the distal jet followed by fixed appliances. Am. J. Orthod. Dentofac. Orthop. 2020, 158, 363–370. [Google Scholar] [CrossRef]
- Caprioglio, A.; Fontana, M.; Longoni, E.; Cozzani, M. Long-term evaluation of the molar movements following Pendulum and fixed appliances. Angle Orthod. 2013, 83, 447–454. [Google Scholar] [CrossRef]
- Abdelhady, N.A.; Tawfik, M.A.; Hammad, S.M. Maxillary molar distalization in treatment of angle class II malocclusion growing patients: Uncontrolled clinical trial. Int. Orthod. 2020, 18, 96–104. [Google Scholar] [CrossRef]
- Kinzinger, G.S.; Gülden, N.; Yildizhan, F.; Diedrich, P.R. Efficiency of a skeletonized distal jet appliance supported by miniscrew anchorage for noncompliance maxillary molar distalization. Am. J. Orthod. Dentofac. Orthop. 2009, 136, 578–586. [Google Scholar] [CrossRef]
- Duran, G.S.; Görgülü, S.; Dindaroğlu, F. Three-dimensional analysis of tooth movements after palatal miniscrew-supported molar distalization. Am. J. Orthod. Dentofac. Orthop. 2016, 150, 188–197. [Google Scholar] [CrossRef]
- Iresmaeili, A.; Sajedi, A.; Moghimbeigi, A.; Farhadian, N. Three-dimensional analysis of the distal movement of maxillary 1st molars in patients fitted with mini-implant-aided trans-palatal arches. Korean J. Orthod. 2015, 45, 236–244. [Google Scholar] [CrossRef][Green Version]
- Kawamura, J.; Park, J.H.; Kojima, Y.; Tamaya, N.; Kook, Y.-A.; Kyung, H.-M.; Chae, J.-M. Biomechanical analysis for total distalization of the maxillary dentition: A finite element study. Am. J. Orthod. Dentofac. Orthop. 2021, 160, 259–265. [Google Scholar] [CrossRef]
- Fushima, K.; Kitamura, Y.; Mita, H.; Sato, S.; Suzuki, Y.; Kim, Y.H. Significance of the cant of the posterior occlusal plane in Class II division 1 malocclusions. Eur. J. Orthod. 1996, 18, 27–40. [Google Scholar] [CrossRef][Green Version]





| Variables | Group 1 | Group 2 | Group 3 | p-Value |
|---|---|---|---|---|
| Sex (male/female) | 5/14 | 4/12 | 5/11 | 0.92 * |
| Mean age (year) | 21.79 ± 6.91 | 25.19 ± 6.82 | 19.83 ± 5.57 | 0.07 † |
| Range of age (year) | 15–44 | 16–42 | 14–35 |
| Reference Points | Definitions |
|---|---|
| Menton | The most inferior point on the symphysis. |
| Orbitale | The lowest point in the inferior margin of the orbit. |
| Porion | The point located at the most superior point of the external auditory meatus. |
| ANS | Anterior Nasal Spine, the tip of the body anterior nasal spine in the median plane. |
| PNS | Posterior Nasal Spine, the process formed by united projecting ends of the posterior borders of the palatal process of the palatal bone. |
| Gonion | The constructed point of the intersection of ramus plane and the mandibular plane. |
| Pt | The contour of the pterygomaxillary fissure projected onto the palatal plane. |
| Reference planes and measurements | |
| FH plane | Frankfort horizontal plane, a line from the center of sella turcica to nasion. |
| Palatal plane | A line drawn from ANS to PNS. |
| Functional occlusal plane | Defines a line drawn between the mid-point first permanent molars and the mid-point of the bicuspids. |
| Anatomic occlusal plane | Defines a line drawn between the mid-point first permanent molars and one half of the incisor overbite. |
| Mandibular plane | A line drawn from Menton to Gonion. |
| PtV plane | The PtV plane was set to the plane that passed the most posterior superior point of Pt (pterygomaxillary fissure) and was perpendicular to the HRP. |
| PtV to Mx 7 | Perpendicular distance (mm) from the PtV plane and the most posterior part of maxillary second permanent molar. |
| Palatal plane to Mx 7 | Perpendicular distance (mm) from the palatal plane and the most posterior part of maxillary second permanent molar. |
| FH to functional occlusal plane | Angle (°) between FH plane and functional occlusal plane. |
| FH to anatomical occlusal plane | Angle (°) between FH plane and functional occlusal plane. |
| FH to mandibular plane | Angle (°) between FH plane and mandibular plane. |
| Variables | Group 1 (n = 19) | Group 2 (n = 16) | Group 3 (n = 16) | p-Value |
|---|---|---|---|---|
| PtV to Mx 7 (mm) | 8.26 ± 3.34 | 10.56 ± 5.53 | 9.02 ± 2.59 | 0.238 |
| Palatal plane to Mx 7 (mm) | 14.76 ± 3.22 | 16.33 ± 3.45 | 14.99 ± 1.90 | 0.265 |
| FH to functional occlusal plane (°) | 11.76 ± 4.29 | 8.99 ± 4.28 | 7.75 ± 4.56 | 0.027 * |
| FH to anatomical occlusal plane (°) | 11.26 ± 4.07 | 6.71 ± 4.12 | 6.56 ± 3.55 | 0.001 ** |
| FH to mandibular plane (°) | 28.49 ± 5.84 | 24.14 ± 24.19 | 26.31 ± 4.95 | 0.132 |
| Variables | T2 | T1–T2 | p-Value |
|---|---|---|---|
| Group 1 (n = 19) | |||
| PtV to Mx 7 (mm) | 6.97 ± 3.91 | 1.29 ± 1.73 | 0.004 ** |
| Palatal plane to Mx 7(mm) | 15.33 ± 2.87 | −0.56 ± 1.29 | 0.074 |
| FH to functional occlusal plane (°) | 12.07 ± 4.10 | −0.32 ± 3.24 | 0.676 |
| FH to anatomical occlusal plane (°) | 11.82 ± 3.83 | −0.56 ± 2.77 | 0.392 |
| FH to mandibular plane (°) | 28.37 ± 5.94 | 0.13 ± 0.82 | 0.51 |
| Group 2 (n = 16) | |||
| PtV to Mx 7 (mm) | 8.55 ± 5.45 | 2.01 ± 1.46 | 0.001 ** |
| Palatal plane to Mx 7 (mm) | 16.12 ± 2.91 | 0.21 ± 1.02 | 0.426 |
| FH to functional occlusal plane (°) | 9.61 ± 5.03 | −0.62 ± 3.01 | 0.424 |
| FH to anatomical occlusal plane (°) | 8.66 ± 4.91 | −1.96 ± 2.88 | 0.016 * |
| FH to mandibular plane (°) | 7.73 ± 8.45 | −0.06 ± 1.20 | 0.854 |
| Group 3 (n = 16) | |||
| PtV to Mx 7 (mm) | 7.92 ± 2.61 | 1.12 ± 1.43 | 0.007 ** |
| Palatal plane to Mx 7(mm) | 14.88 ± 2.22 | 0.11 ± 1.75 | 0.808 |
| FH to functional occlusal plane (°) | 9.20 ± 4.77 | −1.46 ± 3.89 | 0.155 |
| FH to anatomical occlusal plane (°) | 9.08 ± 3.79 | −2.51 ± 2.57 | 0.001 ** |
| FH to mandibular plane (°) | 26.16 ± 4.79 | 0.15 ± 1.01 | 0.561 |
Publisher’s Note: MDPI stays neutral with regard to jurisdictional claims in published maps and institutional affiliations. |
© 2022 by the authors. Licensee MDPI, Basel, Switzerland. This article is an open access article distributed under the terms and conditions of the Creative Commons Attribution (CC BY) license (https://creativecommons.org/licenses/by/4.0/).
Share and Cite
Park, J.J.; Kim, K.-A.; Park, H.-J.; Kang, Y.-G. Occlusal Plane Changes after Maxillary Molar Distalization Using Temporary Skeletal Anchorages Devices: A Narrative Review and Preliminary Study. Appl. Sci. 2022, 12, 9040. https://doi.org/10.3390/app12189040
Park JJ, Kim K-A, Park H-J, Kang Y-G. Occlusal Plane Changes after Maxillary Molar Distalization Using Temporary Skeletal Anchorages Devices: A Narrative Review and Preliminary Study. Applied Sciences. 2022; 12(18):9040. https://doi.org/10.3390/app12189040
Chicago/Turabian StylePark, Jung Jin, Kyung-A Kim, Hai-Ji Park, and Yoon-Goo Kang. 2022. "Occlusal Plane Changes after Maxillary Molar Distalization Using Temporary Skeletal Anchorages Devices: A Narrative Review and Preliminary Study" Applied Sciences 12, no. 18: 9040. https://doi.org/10.3390/app12189040
APA StylePark, J. J., Kim, K.-A., Park, H.-J., & Kang, Y.-G. (2022). Occlusal Plane Changes after Maxillary Molar Distalization Using Temporary Skeletal Anchorages Devices: A Narrative Review and Preliminary Study. Applied Sciences, 12(18), 9040. https://doi.org/10.3390/app12189040

