Three-Dimensional Analysis of Bone Volume Change at Donor Sites in Mandibular Body Bone Block Grafts by a Computer-Assisted Automatic Registration Method: A Retrospective Study
Abstract
1. Introduction
2. Materials and Methods
2.1. Sampling
2.2. Boundary Selection of Region of Interest and Mandible Segmentation
2.3. Intensity-Based Registsration Using Segmented Mandible
2.4. Histogram Matching for Pixel Value Comparison
2.5. ROI Image Acquisition and Boundary Separation
2.6. ROI Volume and Mean Pixel Value Calculation
2.7. Statistical Analysis
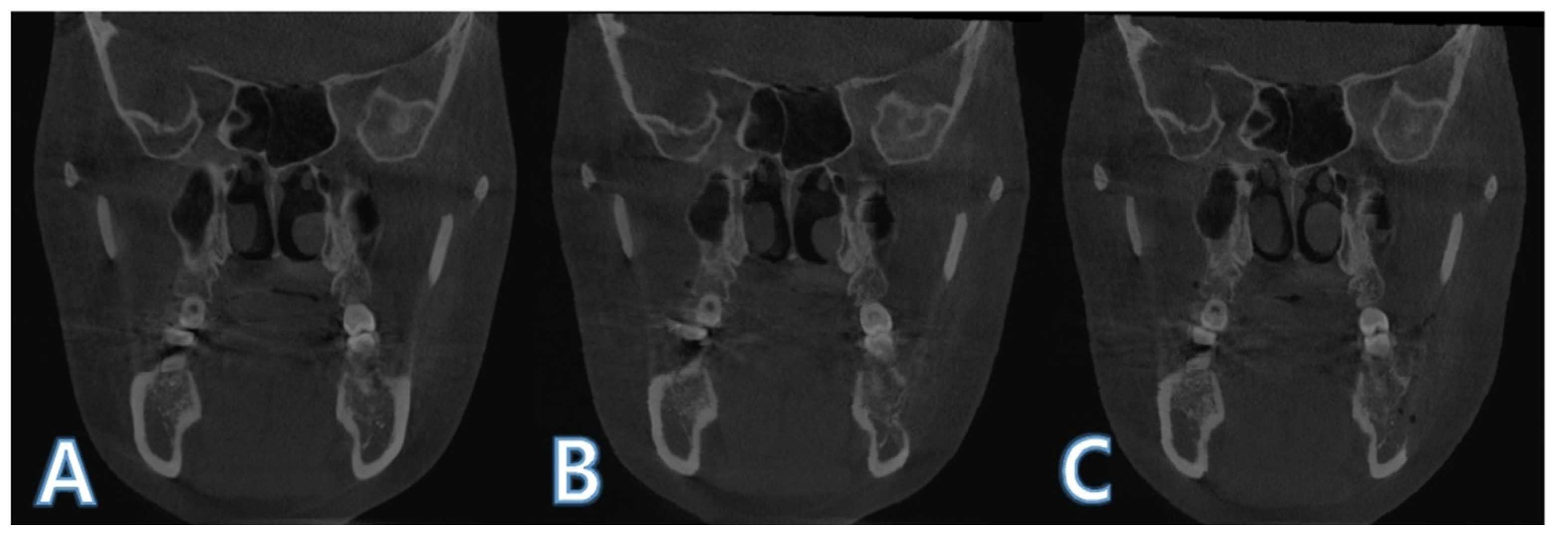
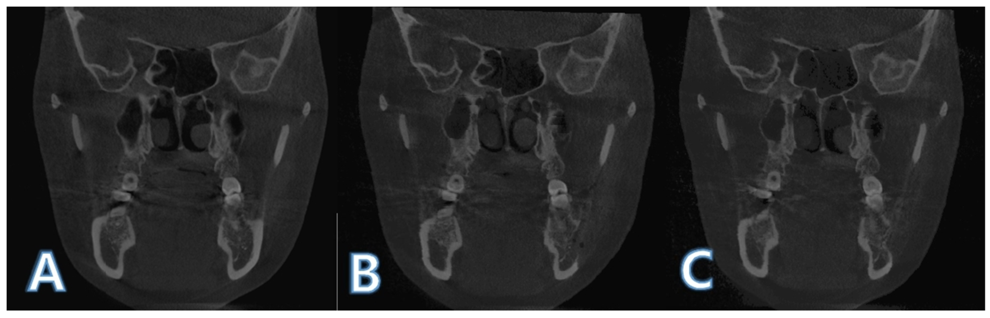
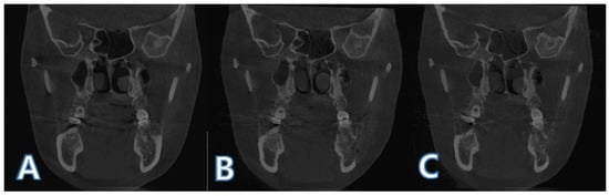
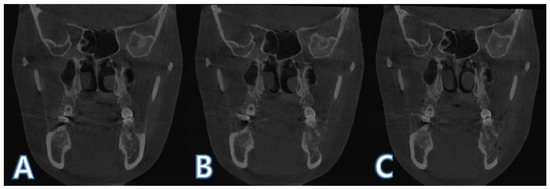
3. Results
3.1. Bone Volume Change
3.2. Pixel Value Change
4. Discussion
5. Conclusions
Author Contributions
Funding
Institutional Review Board Statement
Informed Consent Statement
Conflicts of Interest
References
- Cordaro, L.; Torsello, F.; Ribeiro, C.A.; Liberatore, M.; di Torresanto, V.M. Inlay–onlay grafting for three-dimensional reconstruction of the posterior atrophic maxilla with mandibular bone. Int. J. Oral Maxillofac. Surg. 2010, 39, 350–357. [Google Scholar] [CrossRef] [PubMed]
- Chiapasco, M.; Casentini, P.; Zaniboni, M. Bone augmentation procedures in implant dentistry. Int. J. Oral Maxillofac. Implant. 2009, 24, 237–259. [Google Scholar]
- Misch, C.M. Maxillary Autogenous Bone Grafting. Dent. Clin. N. Am. 2011, 55, 697–713. [Google Scholar] [CrossRef] [PubMed]
- Misch, C.M. Comparison of intraoral donor sites for onlay grafting prior to implant placement. Int. J. Oral Maxillofac. Implant. 1997, 12, 767–776. [Google Scholar]
- Jensen, J.; Sindet-Pedersen, S. Autogenous mandibular bone grafts and osseointegrated implants for reconstruction of the severely atrophied maxilla: A preliminary report. J. Oral Maxillofac. Surg. 1991, 49, 1277–1287. [Google Scholar] [CrossRef]
- Diez, G.F.; Fontao, F.N.; Bassi, A.P.; Gama, J.C.; Claudino, M. Tomographic follow-up of bone regeneration after bone block harvesting from the mandibular ramus. Int. J. Oral Maxillofac. Surg. 2014, 43, 335–340. [Google Scholar] [CrossRef]
- Felice, P.; Iezzi, G.; Lizio, G.; Piattelli, A.; Marchetti, C. Reconstruction of atrophied posterior mandible with inlay technique and mandibular ramus block graft for implant prosthetic rehabilitation. J. Oral Maxillofac. Surg. 2009, 67, 372–380. [Google Scholar] [CrossRef]
- Schwartz-Arad, D.; Levin, L. Symphysis revisited: Clinical and histologic evaluation of newly formed bone and reharvesting potential of previously used symphysial donor sites for onlay bone grafting. J. Periodontol. 2009, 80, 865–869. [Google Scholar] [CrossRef]
- Kim, Y.K.; Yun, P.Y.; Kim, S.G.; Kim, B.S.; Ong, J.L. Evaluation of sinus bone resorption and marginal bone loss after sinus bone grafting and implant placement. Oral Surg. Oral Med. Oral Pathol. Oral Radiol. Endodontol. 2009, 107, e21–e28. [Google Scholar] [CrossRef]
- Gorla, L.F.; Spin-Neto, R.; Boos, F.B.; Pereira Rdos, S.; Garcia-Junior, I.R.; Hochuli-Vieira, E. Use of autogenous bone and beta-tricalcium phosphate in maxillary sinus lifting: A prospective, randomized, volumetric computed tomography study. Int. J. Oral Maxillofac. Surg. 2015, 44, 1486–1491. [Google Scholar] [CrossRef]
- Mohlhenrich, S.C.; Heussen, N.; Ayoub, N.; Holzle, F.; Modabber, A. Three-dimensional evaluation of the different donor sites of the mandible for autologous bone grafts. Clin. Oral Investig. 2015, 19, 453–458. [Google Scholar] [CrossRef] [PubMed]
- Arasawa, M.; Oda, Y.; Kobayashi, T.; Uoshima, K.; Nishiyama, H.; Hoshina, H.; Saito, C. Evaluation of bone volume changes after sinus floor augmentation with autogenous bone grafts. Int. J. Oral Maxillofac. Surg. 2012, 41, 853–857. [Google Scholar] [CrossRef] [PubMed]
- Gherlone, E.; Polizzi, E.; Tete, G.; Cappare, P. Dentistry and Covid-19 pandemic: Operative indications post-lockdown. New Microbiol. 2021, 44, 1–11. [Google Scholar]
- Zachiu, C.; de Senneville, B.D.; Tijssen, R.H.N.; Kotte, A.; Houweling, A.C.; Kerkmeijer, L.G.W.; Lagendijk, J.J.W.; Moonen, C.T.W.; Ries, M. Non-rigid CT/CBCT to CBCT registration for online external beam radiotherapy guidance. Phys. Med. Biol. 2017, 63, 015027. [Google Scholar] [CrossRef] [PubMed]
- Park, S.; Plishker, W.; Quon, H.; Wong, J.; Shekhar, R.; Lee, J. Deformable registration of CT and cone-beam CT with local intensity matching. Phys. Med. Biol. 2017, 62, 927–947. [Google Scholar] [CrossRef] [PubMed]
- Pauwels, R.; Jacobs, R.; Singer, S.R.; Mupparapu, M. CBCT-based bone quality assessment: Are Hounsfield units applicable? Dentomaxillofac. Radiol. 2015, 44, 20140238. [Google Scholar] [CrossRef] [PubMed]
- Kwon, J.J.; Hwang, J.; Kim, Y.D.; Shin, S.H.; Cho, B.H.; Lee, J.Y. Automatic three-dimensional analysis of bone volume and quality change after maxillary sinus augmentation. Clin. Implant Dent. Relat. Res. 2019, 21, 1148–1155. [Google Scholar] [CrossRef] [PubMed]
- Kidar, H.S.; Azizi, H. Assessing the impact of choosing different deformable registration algorithms on cone-beam CT enhancement by histogram matching. Radiat. Oncol. 2018, 13, 217. [Google Scholar] [CrossRef]
- Hwang, J.J.; Kim, K.D.; Park, H.; Park, C.S.; Jeong, H.G. Factors influencing superimposition error of 3D cephalometric landmarks by plane orientation method using 4 reference points: 4 point superimposition error regression model. PLoS ONE 2014, 9, e110665. [Google Scholar] [CrossRef]
- Dot, G.; Rafflenbeul, F.; Salmon, B. Voxel-based superimposition of Cone Beam CT scans for orthodontic and craniofacial follow-up: Overview and clinical implementation. Int. Orthod. 2020, 18, 739–748. [Google Scholar] [CrossRef]
- Han, G.; Li, J.; Wang, S.; Wang, L.; Zhou, Y.; Liu, Y. A comparison of voxel- and surface-based cone-beam computed tomography mandibular superimposition in adult orthodontic patients. J. Int. Med. Res. 2021, 49, 300060520982708. [Google Scholar] [CrossRef]
- Gonalez, R.C.; Woods, R.E. Digital Image Processing, 3rd ed.; Prentice Hall: Hoboken, NJ, USA, 2008; Volume 3, p. 128. [Google Scholar]
- Raghoebar, G.M.; Meijndert, L.; Kalk, W.W.; Vissink, A. Morbidity of mandibular bone harvesting: A comparative study. Int. J. Oral Maxillofac. Implant. 2007, 22, 359–365. [Google Scholar]
- Pikos, M.A. Mandibular block autografts for alveolar ridge augmentation. Atlas Oral Maxillofac. Surg. Clin. N. Am. 2005, 13, 91–107. [Google Scholar] [CrossRef]
- Verdugo, F.; Simonian, K.; D’Addona, A.; Ponton, J.; Nowzari, H. Human bone repair after mandibular symphysis block harvesting: A clinical and tomographic study. J. Periodontol. 2010, 81, 702–709. [Google Scholar] [CrossRef] [PubMed]
- Yu, X.; Wan, Q.; Ye, X.; Cheng, Y.; Pathak, J.L.; Li, Z. Cellular hypoxia promotes osteogenic differentiation of mesenchymal stem cells and bone defect healing via STAT3 signaling. Cell. Mol. Biol. Lett. 2019, 24, 64. [Google Scholar] [CrossRef] [PubMed]
- Ballini, A.; Mastrangelo, F.; Gastaldi, G.; Tettamanti, L.; Bukvic, N.; Cantore, S.; Cocco, T.; Saini, R.; Desiate, A.; Gherlone, E.; et al. Osteogenic differentiation and gene expression of dental pulp stem cells under low-level laser irradiation: A good promise for tissue engineering. J. Boil. Regul. Homeost. Agents 2015, 29, 813–822. [Google Scholar]
- Tete, G.; D’Orto, B.; Nagni, M.; Agostinacchio, M.; Polizzi, E.; Agliardi, E. Role of induced pluripotent stem cells (IPSCS) in bone tissue regeneration in dentistry: A narrative review. J. Boil. Regul. Homeost. Agents 2020, 34, 1–10. [Google Scholar]
- Klein, G.G.; Curvello, V.P.; Dutra, R.A.; Simeao, S.P.; Santos, P.L.; Gulinelli, J.L.; Filho, H.N. Bone Volume Changes After Sinus Floor Augmentation with Heterogenous Graft. Int. J. Oral Maxillofac. Implant. 2016, 31, 665–671. [Google Scholar] [CrossRef]
- Kirmeier, R.; Payer, M.; Wehrschuetz, M.; Jakse, N.; Platzer, S.; Lorenzoni, M. Evaluation of three-dimensional changes after sinus floor augmentation with different grafting materials. Clin. Oral Implant. Res. 2008, 19, 366–372. [Google Scholar] [CrossRef]
- Kim, S.; Yoo, S.; Yin, F.F.; Samei, E.; Yoshizumi, T. Kilovoltage cone-beam CT: Comparative dose and image quality evaluations in partial and full-angle scan protocols. Med. Phys. 2010, 37, 3648–3659. [Google Scholar] [CrossRef]
- Du, J.; Tang, S.; Jiang, T.; Lu, Z. Intensity-based robust similarity for multimodal image registration. Int. J. Comput. Math. 2006, 83, 49–57. [Google Scholar] [CrossRef]
- ElShebiny, T.; Elbarnashawy, S.; Bennasir, E.; Nadim, M.A.; Palomo, J.M. Comparison of Two Software Programs in Voxel-Based Superimposition of CBCT Images. J. Clin. Orthod. 2019, 53, 662–668. [Google Scholar] [PubMed]
- Cengiz, I.F.; Oliveira, J.M.; Reis, R.L. Micro-CT—A digital 3D microstructural voyage into scaffolds: A systematic review of the reported methods and results. Biomater. Res. 2018, 22, 26. [Google Scholar] [CrossRef]
- Faot, F.; Chatterjee, M.; de Camargos, G.V.; Duyck, J.; Vandamme, K. Micro-CT analysis of the rodent jaw bone micro-architecture: A systematic review. Bone Rep. 2015, 2, 14–24. [Google Scholar] [CrossRef] [PubMed]
- Paniagua, B.; Ruellas, A.C.; Benavides, E.; Marron, S.; Woldford, L.; Cevidanes, L. Validation of CBCT for the computation of textural biomarkers. Proc. SPIE Int. Soc. Opt. Eng. 2015, 9417, 356–364. [Google Scholar] [CrossRef]
- Liang, X.; Zhang, Z.; Gu, J.; Wang, Z.; Vandenberghe, B.; Jacobs, R.; Yang, J.; Ma, G.; Ling, H.; Ma, X. Comparison of micro-CT and cone beam CT on the feasibility of assessing trabecular structures in mandibular condyle. Dentomaxillofac. Radiol. 2017, 46, 20160435. [Google Scholar] [CrossRef]
- Abe, T.; Tateoka, K.; Saito, Y.; Nakazawa, T.; Yano, M.; Nakata, K.; Someya, M.; Hori, M.; Sakata, K. Method for Converting Cone-Beam CT Values into Hounsfield Units for Radiation Treatment Planning. Int. J. Med. Phys. Clin. Eng. Radiat. Oncol. 2017, 6, 361–375. [Google Scholar] [CrossRef][Green Version]








| Age | 53.72 ± 11.2 years |
| Sex | Female: 14; male: 18 |
| Healing time | 4.6 ± 1.65 months |
| Bone Volume Change (mm3) | ||||
|---|---|---|---|---|
| Volume | Volume | Regenerated | p-Value | |
| T1 − T0 | T2 − T1 | Bone | ||
| (%) | ||||
| Total | 703.18 ± 410.31 | 459.87 ± 307.95 | 34.87 ± 17.11 | 0.001 (1) |
| UA (upper anterior) | 121.15 ± 106.36 | 87.49 ± 74.91 | 28.6 ± 19.56 | 0.126 (2) |
| UP (upper posterior) | 220.198 ± 166.22 | 136.53 ± 125.49 | 40.37 ± 21.47 | |
| LA (lower anterior) | 273.07 ± 173.13 | 179.54 ± 122.86 | 33.37 ± 20.26 | |
| LP (lower posterior) | 170.22 ± 130.88 | 122.83 ± 113.40 | 38.36 ± 22.91 | |
| Pixel Value | Pixel Value Change (T1/T2) | p-Value | |
|---|---|---|---|
| T0 | 0.33 ± 0.05 | 78.99% ± 16.9% | 0.000 < 0.05 (1) |
| T2 | 0.26 ± 0.07 |
Publisher’s Note: MDPI stays neutral with regard to jurisdictional claims in published maps and institutional affiliations. |
© 2022 by the authors. Licensee MDPI, Basel, Switzerland. This article is an open access article distributed under the terms and conditions of the Creative Commons Attribution (CC BY) license (https://creativecommons.org/licenses/by/4.0/).
Share and Cite
Kim, S.; Hwang, J.; Cho, B.-H.; Kim, Y.; Lee, J.-Y. Three-Dimensional Analysis of Bone Volume Change at Donor Sites in Mandibular Body Bone Block Grafts by a Computer-Assisted Automatic Registration Method: A Retrospective Study. Appl. Sci. 2022, 12, 7261. https://doi.org/10.3390/app12147261
Kim S, Hwang J, Cho B-H, Kim Y, Lee J-Y. Three-Dimensional Analysis of Bone Volume Change at Donor Sites in Mandibular Body Bone Block Grafts by a Computer-Assisted Automatic Registration Method: A Retrospective Study. Applied Sciences. 2022; 12(14):7261. https://doi.org/10.3390/app12147261
Chicago/Turabian StyleKim, Sola, JaeJoon Hwang, Bong-Hae Cho, Yujin Kim, and Jae-Yeol Lee. 2022. "Three-Dimensional Analysis of Bone Volume Change at Donor Sites in Mandibular Body Bone Block Grafts by a Computer-Assisted Automatic Registration Method: A Retrospective Study" Applied Sciences 12, no. 14: 7261. https://doi.org/10.3390/app12147261
APA StyleKim, S., Hwang, J., Cho, B.-H., Kim, Y., & Lee, J.-Y. (2022). Three-Dimensional Analysis of Bone Volume Change at Donor Sites in Mandibular Body Bone Block Grafts by a Computer-Assisted Automatic Registration Method: A Retrospective Study. Applied Sciences, 12(14), 7261. https://doi.org/10.3390/app12147261

