Transfer Learning from Healthy to Unhealthy Patients for the Automated Classification of Functional Brain Networks in fMRI
Abstract
:1. Introduction
Clinical Use Case
2. Materials and Methods
2.1. Database
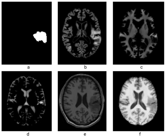
2.2. Data Acquisitions and Preprocessing
2.3. Identification of Functional Networks through Machine Learning Algorithms
2.4. Transfer Learning Strategies
2.5. Data Augmentation
3. Experimental Results
3.1. Performance Comparisons
3.2. Transfer Learning
3.3. Comparison with Prior Works
3.4. Discussion and Error Analysis
4. Conclusions
Author Contributions
Funding
Informed Consent Statement
Data Availability Statement
Conflicts of Interest
References
- Ranschaert, E.R.; Morozov, S.; Algra, P.R. Artificial Intelligence in Medical Imaging: Opportunities, Applications and Risks; Springer: Berlin/Heidelberg, Germany, 2019. [Google Scholar]
- Aiello, M.; Cavaliere, C.; D’Albore, A.; Salvatore, M. The challenges of diagnostic imaging in the era of big data. J. Clin. Med. 2019, 8, 316. [Google Scholar] [CrossRef] [PubMed] [Green Version]
- Subramanian, N.; Elharrouss, O.; Al-Maadeed, S.; Chowdhury, M. A review of deep learning-based detection methods for COVID-19. Comput. Biol. Med. 2022, 143, 105233. [Google Scholar] [CrossRef] [PubMed]
- Kotia, J.; Kotwal, A.; Bharti, R.; Mangrulkar, R. Few shot learning for medical imaging. In Machine Learning Algorithms for Industrial Applications; Springer: Berlin/Heidelberg, Germany, 2021; pp. 107–132. [Google Scholar]
- Glatard, T.; Lartizien, C.; Gibaud, B.; Da Silva, R.F.; Forestier, G.; Cervenansky, F.; Alessandrini, M.; Benoit-Cattin, H.; Bernard, O.; Camarasu-Pop, S.; et al. A virtual imaging platform for multi-modality medical image simulation. IEEE Trans. Med. Imaging 2012, 32, 110–118. [Google Scholar] [CrossRef] [PubMed]
- Yi, X.; Walia, E.; Babyn, P. Generative adversarial network in medical imaging: A review. Med. Image Anal. 2019, 58, 101552. [Google Scholar] [CrossRef] [Green Version]
- Chlap, P.; Min, H.; Vandenberg, N.; Dowling, J.; Holloway, L.; Haworth, A. A review of medical image data augmentation techniques for deep learning applications. J. Med Imaging Radiat. Oncol. 2021, 65, 545–563. [Google Scholar] [CrossRef]
- Malik, H.; Farooq, M.S.; Khelifi, A.; Abid, A.; Qureshi, J.N.; Hussain, M. A comparison of transfer learning performance versus health experts in disease diagnosis from medical imaging. IEEE Access 2020, 8, 139367–139386. [Google Scholar] [CrossRef]
- Alzubaidi, L.; Fadhel, M.A.; Al-Shamma, O.; Zhang, J.; Santamaría, J.; Duan, Y.; Oleiwi, S. Towards a better understanding of transfer learning for medical imaging: A case study. Appl. Sci. 2020, 10, 4523. [Google Scholar] [CrossRef]
- Matsoukas, C.; Haslum, J.F.; Sorkhei, M.; Söderberg, M.; Smith, K. What Makes Transfer Learning Work For Medical Images: Feature Reuse & Other Factors. In Proceedings of the IEEE/CVF Conference on Computer Vision and Pattern Recognition, Waikoloa, HI, USA, 3–8 January 2022; pp. 9225–9234. [Google Scholar]
- Valverde, J.M.; Imani, V.; Abdollahzadeh, A.; De Feo, R.; Prakash, M.; Ciszek, R.; Tohka, J. Transfer learning in magnetic resonance brain imaging: A systematic review. J. Imaging 2021, 7, 66. [Google Scholar] [CrossRef]
- Yosinski, J.; Clune, J.; Bengio, Y.; Lipson, H. How transferable are features in deep neural networks? Adv. Neural Inf. Process. Syst. 2014, 27, 1–9. [Google Scholar]
- Lemée, J.M.; Berro, D.H.; Bernard, F.; Chinier, E.; Leiber, L.M.; Menei, P.; Ter Minassian, A. Resting-state functional magnetic resonance imaging versus task-based activity for language mapping and correlation with perioperative cortical mapping. Brain Behav. 2019, 9, e01362. [Google Scholar] [CrossRef] [Green Version]
- Ille, S.; Krieg, S.M. Functional mapping for glioma surgery, part 1: Preoperative mapping tools. Neurosurg. Clin. 2021, 32, 65–74. [Google Scholar] [CrossRef] [PubMed]
- Zijlmans, M.; Zweiphenning, W.; van Klink, N. Changing concepts in presurgical assessment for epilepsy surgery. Nat. Rev. Neurol. 2019, 15, 594–606. [Google Scholar] [CrossRef]
- Nyatega, C.O.; Qiang, L.; Adamu, M.J.; Younis, A.; Kawuwa, H.B. Altered Dynamic Functional Connectivity of Cuneus in Schizophrenia Patients: A Resting-State fMRI Study. Appl. Sci. 2021, 11, 11392. [Google Scholar] [CrossRef]
- Subah, F.Z.; Deb, K.; Dhar, P.K.; Koshiba, T. A deep learning approach to predict autism spectrum disorder using multisite resting-state fMRI. Appl. Sci. 2021, 11, 3636. [Google Scholar] [CrossRef]
- Zhang, D.; Johnston, J.M.; Fox, M.D.; Leuthardt, E.C.; Grubb, R.L.; Chicoine, M.R.; Smyth, M.D.; Snyder, A.Z.; Raichle, M.E.; Shimony, J.S. Preoperative sensorimotor mapping in brain tumor patients using spontaneous fluctuations in neuronal activity imaged with functional magnetic resonance imaging: Initial experience. Oper. Neurosurg. 2009, 65, 226–236. [Google Scholar] [CrossRef] [Green Version]
- Mahdavi, A.; Azar, R.; Shoar, M.H.; Hooshmand, S.; Mahdavi, A.; Kharrazi, H.H. Functional MRI in clinical practice: Assessment of language and motor for pre-surgical planning. Neuroradiol. J. 2015, 28, 468–473. [Google Scholar] [CrossRef] [Green Version]
- Shimony, J.S.; Zhang, D.; Johnston, J.M.; Fox, M.D.; Roy, A.; Leuthardt, E.C. Resting-state spontaneous fluctuations in brain activity: A new paradigm for presurgical planning using fMRI. Acad. Radiol. 2009, 16, 578–583. [Google Scholar] [CrossRef] [Green Version]
- Hart, M.G.; Price, S.J.; Suckling, J. Functional connectivity networks for preoperative brain mapping in neurosurgery. J. Neurosurg. 2016, 126, 1941–1950. [Google Scholar] [CrossRef]
- Mitchell, T.J.; Hacker, C.D.; Breshears, J.D.; Szrama, N.P.; Sharma, M.; Bundy, D.T.; Pahwa, M.; Corbetta, M.; Snyder, A.Z.; Shimony, J.S.; et al. A novel data-driven approach to preoperative mapping of functional cortex using resting-state functional magnetic resonance imaging. Neurosurgery 2013, 73, 969–983. [Google Scholar] [CrossRef] [Green Version]
- Ter Minassian, A.; Ricalens, E.; Nguyen The Tich, S.; Dinomais, M.; Aubé, C.; Beydon, L. The presupplementary area within the language network: A resting state functional magnetic resonance imaging functional connectivity analysis. Brain Connect. 2014, 4, 440–453. [Google Scholar] [CrossRef] [Green Version]
- Tie, Y.; Rigolo, L.; Norton, I.H.; Huang, R.Y.; Wu, W.; Orringer, D.; Mukundan, S., Jr.; Golby, A.J. Defining language networks from resting-state fMRI for surgical planning—A feasibility study. Hum. Brain Mapp. 2014, 35, 1018–1030. [Google Scholar] [CrossRef] [PubMed] [Green Version]
- Chiang, S.; Levin, H.S.; Haneef, Z. Computer-automated focus lateralization of temporal lobe epilepsy using fMRI. J. Magn. Reson. Imaging 2015, 41, 1689–1694. [Google Scholar] [CrossRef] [PubMed] [Green Version]
- Zeng, L.L.; Shen, H.; Liu, L.; Hu, D. Unsupervised classification of major depression using functional connectivity MRI. Hum. Brain Mapp. 2014, 35, 1630–1641. [Google Scholar] [CrossRef]
- Raj, R.; Luostarinen, T.; Pursiainen, E.; Posti, J.P.; Takala, R.S.; Bendel, S.; Konttila, T.; Korja, M. Machine learning-based dynamic mortality prediction after traumatic brain injury. Sci. Rep. 2019, 9, 1–13. [Google Scholar]
- Chyzhyk, D.; Savio, A.; Graña, M. Computer aided diagnosis of schizophrenia on resting state fMRI data by ensembles of ELM. Neural Netw. 2015, 68, 23–33. [Google Scholar] [CrossRef]
- Zhu, D.; Li, K.; Terry, D.P.; Puente, A.N.; Wang, L.; Shen, D.; Miller, L.S.; Liu, T. Connectome-scale assessments of structural and functional connectivity in MCI. Hum. Brain Mapp. 2014, 35, 2911–2923. [Google Scholar] [CrossRef] [Green Version]
- Lu, J.; Zhang, H.; Hameed, N.; Zhang, J.; Yuan, S.; Qiu, T.; Shen, D.; Wu, J. An automated method for identifying an independent component analysis-based language-related resting-state network in brain tumor subjects for surgical planning. Sci. Rep. 2017, 7, 1–16. [Google Scholar] [CrossRef] [Green Version]
- Litjens, G.; Kooi, T.; Bejnordi, B.E.; Setio, A.A.A.; Ciompi, F.; Ghafoorian, M.; Van Der Laak, J.A.; Van Ginneken, B.; Sánchez, C.I. A survey on deep learning in medical image analysis. Med. Image Anal. 2017, 42, 60–88. [Google Scholar] [CrossRef] [Green Version]
- Zhou, Z.; He, Z.; Shi, M.; Du, J.; Chen, D. 3D dense connectivity network with atrous convolutional feature pyramid for brain tumor segmentation in magnetic resonance imaging of human heads. Comput. Biol. Med. 2020, 121, 103766. [Google Scholar] [CrossRef]
- Aerts, H.; Schirner, M.; Dhollander, T.; Jeurissen, B.; Achten, E.; Van Roost, D.; Ritter, P.; Marinazzo, D. Modeling brain dynamics after tumor resection using The Virtual Brain. Neuroimage 2020, 213, 116738. [Google Scholar] [CrossRef]
- Tao, Y.; Rapp, B. Investigating the network consequences of focal brain lesions through comparisons of real and simulated lesions. Sci. Rep. 2021, 11, 1–17. [Google Scholar]
- Li, X.; Fischer, H.; Manzouri, A.; Månsson, K.N.; Li, T.Q. Dataset of whole-brain resting-state fMRI of 227 young and elderly adults acquired at 3T. Data Brief 2021, 38, 107333. [Google Scholar] [CrossRef]
- Tanaka, S.C.; Yamashita, A.; Yahata, N.; Itahashi, T.; Lisi, G.; Yamada, T.; Ichikawa, N.; Takamura, M.; Yoshihara, Y.; Kunimatsu, A.; et al. A multi-site, multi-disorder resting-state magnetic resonance image database. Sci. Data 2021, 8, 1–15. [Google Scholar] [CrossRef] [PubMed]
- Li, Y.O.; Adalı, T.; Calhoun, V.D. Estimating the number of independent components for functional magnetic resonance imaging data. Hum. Brain Mapp. 2007, 28, 1251–1266. [Google Scholar] [CrossRef]
- Sair, H.I.; Yahyavi-Firouz-Abadi, N.; Calhoun, V.D.; Airan, R.D.; Agarwal, S.; Intrapiromkul, J.; Choe, A.S.; Gujar, S.K.; Caffo, B.; Lindquist, M.A.; et al. Presurgical brain mapping of the language network in patients with brain tumors using resting-state f MRI: Comparison with task f MRI. Hum. Brain Mapp. 2016, 37, 913–923. [Google Scholar] [CrossRef]
- Geranmayeh, F.; Wise, R.J.; Mehta, A.; Leech, R. Overlapping networks engaged during spoken language production and its cognitive control. J. Neurosci. 2014, 34, 8728–8740. [Google Scholar] [CrossRef] [PubMed]
- Rosazza, C.; Minati, L. Resting-state brain networks: Literature review and clinical applications. Neurol. Sci. 2011, 32, 773–785. [Google Scholar] [CrossRef]
- Lee, M.H.; Hacker, C.D.; Snyder, A.Z.; Corbetta, M.; Zhang, D.; Leuthardt, E.C.; Shimony, J.S. Clustering of resting state networks. PLoS ONE 2012, 7, e40370. [Google Scholar] [CrossRef] [Green Version]
- Mazziotta, J.C.; Toga, A.W.; Evans, A.; Fox, P.; Lancaster, J. A probabilistic atlas of the human brain: Theory and rationale for its development: The international consortium for brain mapping (icbm). Neuroimage 1995, 2, 89–101. [Google Scholar] [CrossRef]
- Beckmann, C.F.; DeLuca, M.; Devlin, J.T.; Smith, S.M. Investigations into resting-state connectivity using independent component analysis. Philos. Trans. R. Soc. B Biol. Sci. 2005, 360, 1001–1013. [Google Scholar] [CrossRef] [Green Version]
- Logan, B.R.; Geliazkova, M.P.; Rowe, D.B. An evaluation of spatial thresholding techniques in fMRI analysis. Hum. Brain Mapp. 2008, 29, 1379–1389. [Google Scholar] [CrossRef] [PubMed]
- Duda, R.O.; Hart, P.E.; Stork, D.G. Pattern Classification and Scene Analysis; Wiley: New York, NY, USA, 1973; Volume 3. [Google Scholar]
- Quinlan, J.R. Induction of decision trees. Mach. Learn. 1986, 1, 81–106. [Google Scholar] [CrossRef] [Green Version]
- Goodfellow, I.; Bengio, Y.; Courville, A.; Bengio, Y. Deep Learning; MIT Press: Cambridge, MA, USA, 2016; Volume 1. [Google Scholar]
- Kingma, D.P.; Ba, J. Adam: A method for stochastic optimization. arXiv 2014, arXiv:1412.6980. [Google Scholar]
- Altan, A.; Karasu, S. Recognition of COVID-19 disease from X-ray images by hybrid model consisting of 2D curvelet transform, chaotic salp swarm algorithm and deep learning technique. Chaos Solitons Fractals 2020, 140, 110071. [Google Scholar] [CrossRef] [PubMed]
- Simonyan, K.; Zisserman, A. Very deep convolutional networks for large-scale image recognition. arXiv 2014, arXiv:1409.1556. [Google Scholar]
- He, K.; Zhang, X.; Ren, S.; Sun, J. Delving deep into rectifiers: Surpassing human-level performance on imagenet classification. In Proceedings of the IEEE International Conference on Computer Vision, Santiago, Chile, 7–13 December 2015; pp. 1026–1034. [Google Scholar]
- Huang, G.; Liu, Z.; Van Der Maaten, L.; Weinberger, K.Q. Densely connected convolutional networks. In Proceedings of the IEEE Conference on Computer Vision and Pattern Recognition, Honolulu, HI, USA, 21–26 July 2017; pp. 4700–4708. [Google Scholar]
- Russakovsky, O.; Deng, J.; Su, H.; Krause, J.; Satheesh, S.; Ma, S.; Huang, Z.; Karpathy, A.; Khosla, A.; Bernstein, M.; et al. ImageNet Large Scale Visual Recognition Challenge. IJCV 2015, 115, 211–252. [Google Scholar] [CrossRef] [Green Version]
- Zhang, D.; Raichle, M.E. Disease and the brain’s dark energy. Nat. Rev. Neurol. 2010, 6, 15–28. [Google Scholar] [CrossRef]
- Fox, M.D.; Raichle, M.E. Spontaneous fluctuations in brain activity observed with functional magnetic resonance imaging. Nat. Rev. Neurosci. 2007, 8, 700–711. [Google Scholar] [CrossRef]
- Spreng, R.N.; Sepulcre, J.; Turner, G.R.; Stevens, W.D.; Schacter, D.L. Intrinsic architecture underlying the relations among the default, dorsal attention, and frontoparietal control networks of the human brain. J. Cogn. Neurosci. 2013, 25, 74–86. [Google Scholar] [CrossRef] [Green Version]
- Corbetta, M.; Patel, G.; Shulman, G.L. The reorienting system of the human brain: From environment to theory of mind. Neuron 2008, 58, 306–324. [Google Scholar] [CrossRef] [Green Version]
- Vigneau, M.; Beaucousin, V.; Herve, P.Y.; Duffau, H.; Crivello, F.; Houde, O.; Mazoyer, B.; Tzourio-Mazoyer, N. Meta-analyzing left hemisphere language areas: Phonology, semantics, and sentence processing. Neuroimage 2006, 30, 1414–1432. [Google Scholar] [CrossRef] [PubMed]
- Knecht, S.; Dräger, B.; Deppe, M.; Bobe, L.; Lohmann, H.; Flöel, A.; Ringelstein, E.B.; Henningsen, H. Handedness and hemispheric language dominance in healthy humans. Brain 2000, 123, 2512–2518. [Google Scholar] [CrossRef] [PubMed] [Green Version]











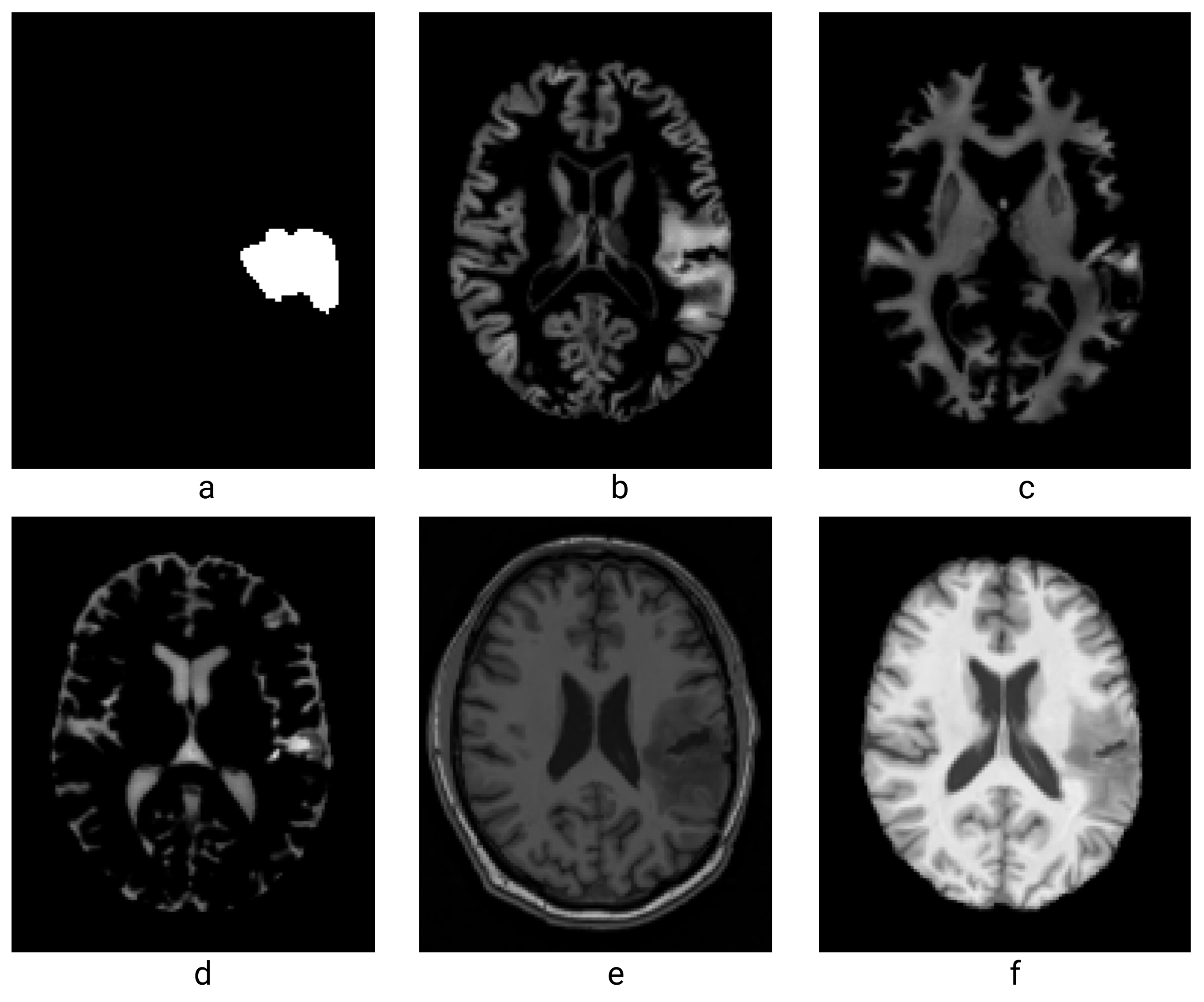
| Unhealthy Patient Image Data Description | ||
|---|---|---|
| Files Provided | Description | |
| 1 | Lesion.nii | This file is the binary mask for the brain tumor, each corresponds to a patients |
| 2 | Grey Matter mask (mrwp1) | Is the mask for the gray matter (useful since the activation are all in the gray matter) |
| 3 | White Matter mask (mrwp2) | Is the mask for the white matter (no activation inside the white matter, but may be a good way to estimate the brain deformations linked to the tumor and the peritumoral edema) |
| 4 | Cerebrospinal fluid mask (mrwp3) | The mask for the cerebrospinal fluid (like for the white matter, no activation inside, but may be useful to estimate brain deformations) |
| 5 | Whole brain–white gray matter (wms) | The whole brain (white and gray matter) in T1 anatomical MRI sequence, with the skin and skull clipped |
| 6 | Whole brain (wmrs) | This provides view of the whole brain cerebrospinal fluid, skull and skin included |
| Classification Techniques | Healthy Data | |
|---|---|---|
| 1 | Proposed CNN | 0.86 ± 0.01 |
| 2 | Random Forest | 0.82 ± 0.01 |
| 3 | Feed forward NN | 0.84 ± 0.02 |
| 4 | Naïve Bayesian classifier | 0.45 ± 0.02 |
| 5 | K-Nearest neighbors | 0.83 ± 0.02 |
| 6 | Support vector machine | 0.83 ± 0.01 |
| 7 | Classification tree | 0.64 ± 0.06 |
| Training | Testing | ||||
|---|---|---|---|---|---|
| SN | Data Description | Patient Data | Data Description | Patient Data | Accuracy |
| 1 | Healthy | 71 | Healthy | 10 | 0.86 ± 0.02 |
| 2 | Unhealthy | 45 | Unhealthy | 10 | 0.75 ± 0.01 |
| 3 | Healthy | 81 | Unhealthy | 55 | 0.74 ± 0.01 |
| 4 | Healthy + Unhealthy | 81 + 45 | Unhealthy | 10 | 0.77 ± 0.01 |
| 5 | Fine-tuning on Unhealthy from Healthy | 45 | Unhealthy | 10 | 0.78 ± 0.01 |
| 6 | Augmentation (unhealthy simulation) | 81 | Unhealthy | 10 | 0.75 ± 0.01 |
| 7 | Healthy + Augmentation (unhealthy simulation) | 81 + 81 | Unhealthy | 10 | 0.73 ± 0.01 |
| 8 | Fine-Tuning on Unhealthy from healthy + Signal void | 45 | Unhealthy | 10 | 0.76 ± 0.00 |
| 9 | Healthy + Signal Void | 81 | Unhealthy | 10 | 0.73 ± 0.01 |
| 10 | Signal Void + Unhealthy | 45 | Unhealthy | 10 | 0.74 ± 0.02 |
| Proposed CNN | T.J. Mitchell, et al. [22] | |
|---|---|---|
| Training: Healthy—Test: Healthy | ||
| Training: Unhealthy—Test: Unhealthy | ||
| Transfer Learning from Healthy to Unhealthy |
| Networks | Healthy Subjects | Unhealthy Patients | Healthy-to-Unhealthy | |||
|---|---|---|---|---|---|---|
| Sensitivity | Specificity | Sensitivity | Specificity | Sensitivity | Specificity | |
| DMN | 1.00 | 1.00 | 0.97 | 1.00 | 0.98 | 0.90 |
| LANG | 0.98 | 0.70 | 0.97 | 0.80 | 0.97 | 0.60 |
| LFPCN | 1.00 | 1.00 | 0.95 | 0.70 | 0.98 | 0.90 |
| RFPCN | 0.98 | 0.90 | 0.95 | 0.80 | 0.98 | 0.70 |
| VAN | 0.95 | 0.90 | 0.95 | 0.80 | 0.88 | 0.80 |
| DAN | 1.00 | 0.90 | 1.00 | 0.60 | 0.92 | 0.80 |
| SAL | 0.98 | 1.00 | 0.98 | 0.97 | 0.95 | 0.8 |
Publisher’s Note: MDPI stays neutral with regard to jurisdictional claims in published maps and institutional affiliations. |
© 2022 by the authors. Licensee MDPI, Basel, Switzerland. This article is an open access article distributed under the terms and conditions of the Creative Commons Attribution (CC BY) license (https://creativecommons.org/licenses/by/4.0/).
Share and Cite
Ismaila, L.E.; Rasti, P.; Bernard, F.; Labriffe, M.; Menei, P.; Minassian, A.T.; Rousseau, D.; Lemée, J.-M. Transfer Learning from Healthy to Unhealthy Patients for the Automated Classification of Functional Brain Networks in fMRI. Appl. Sci. 2022, 12, 6925. https://doi.org/10.3390/app12146925
Ismaila LE, Rasti P, Bernard F, Labriffe M, Menei P, Minassian AT, Rousseau D, Lemée J-M. Transfer Learning from Healthy to Unhealthy Patients for the Automated Classification of Functional Brain Networks in fMRI. Applied Sciences. 2022; 12(14):6925. https://doi.org/10.3390/app12146925
Chicago/Turabian StyleIsmaila, Lukman E., Pejman Rasti, Florian Bernard, Mathieu Labriffe, Philippe Menei, Aram Ter Minassian, David Rousseau, and Jean-Michel Lemée. 2022. "Transfer Learning from Healthy to Unhealthy Patients for the Automated Classification of Functional Brain Networks in fMRI" Applied Sciences 12, no. 14: 6925. https://doi.org/10.3390/app12146925
APA StyleIsmaila, L. E., Rasti, P., Bernard, F., Labriffe, M., Menei, P., Minassian, A. T., Rousseau, D., & Lemée, J.-M. (2022). Transfer Learning from Healthy to Unhealthy Patients for the Automated Classification of Functional Brain Networks in fMRI. Applied Sciences, 12(14), 6925. https://doi.org/10.3390/app12146925
