Digital Planning Technique for Surgical Guides for Prosthetic Implants before Orthodontic Treatment
Abstract
:Featured Application
Abstract
1. Introduction
2. Materials and Methods
Digital Workflow for Aligner Treatment Supported by Implants
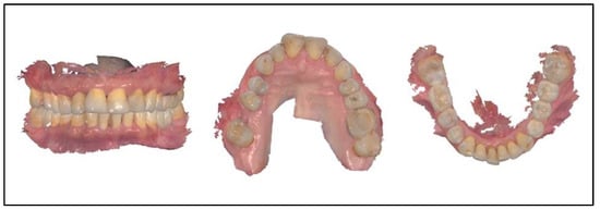
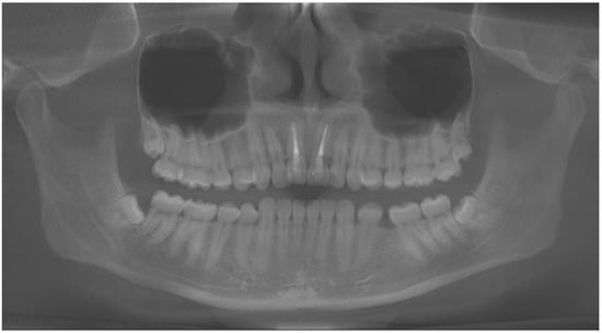
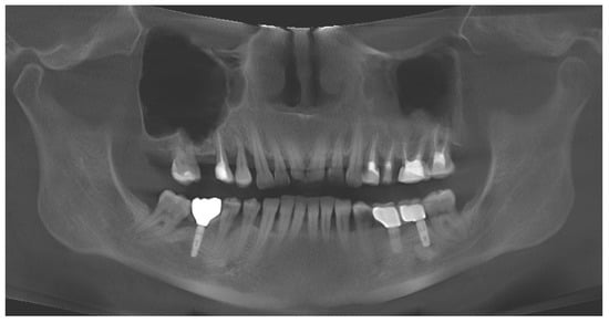
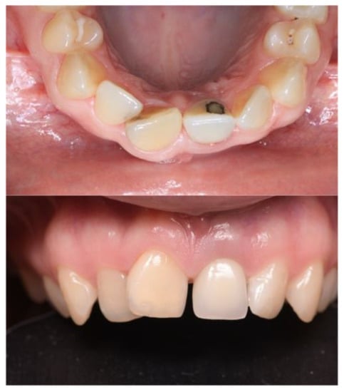
3. Case Reports
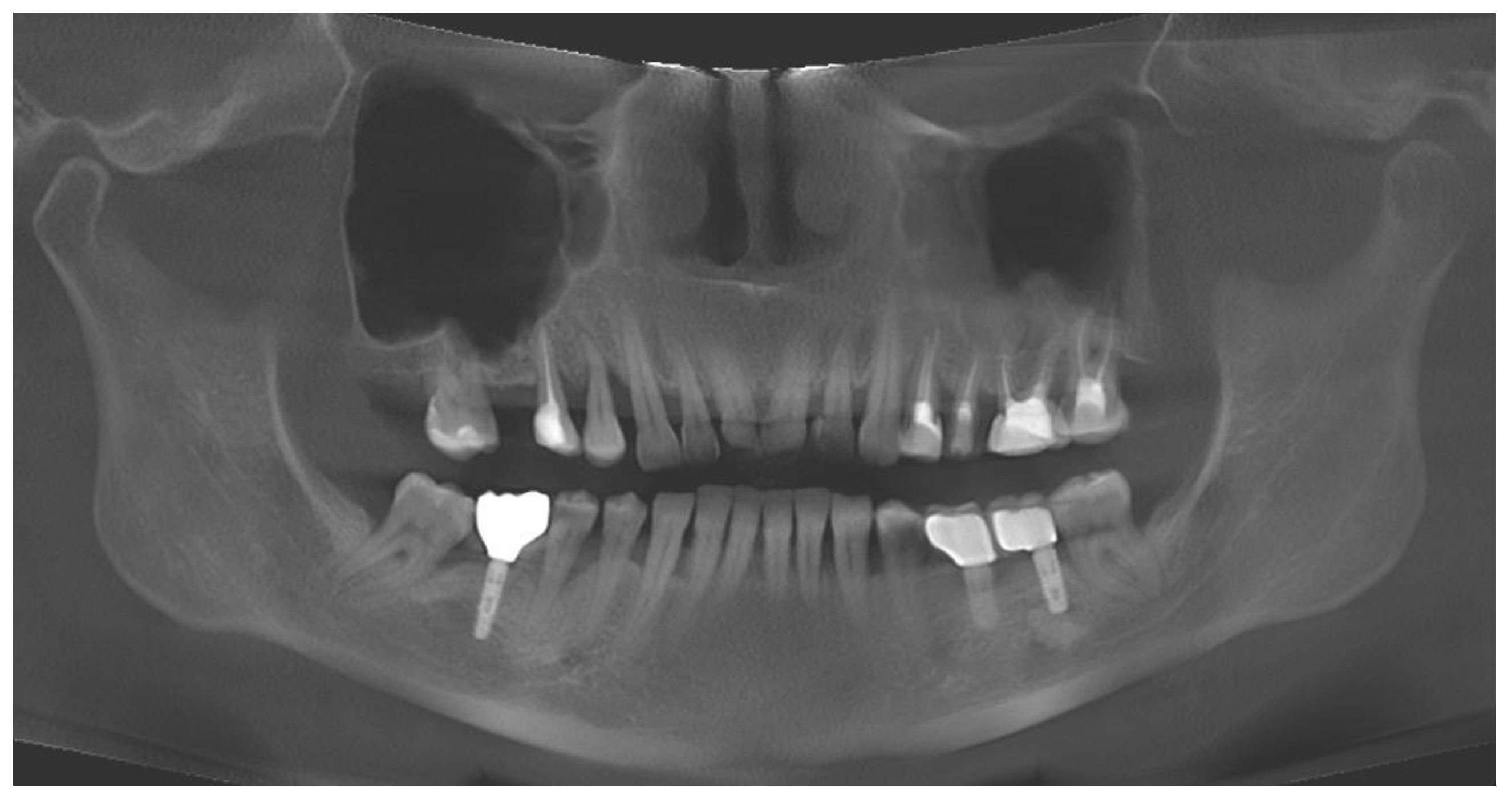
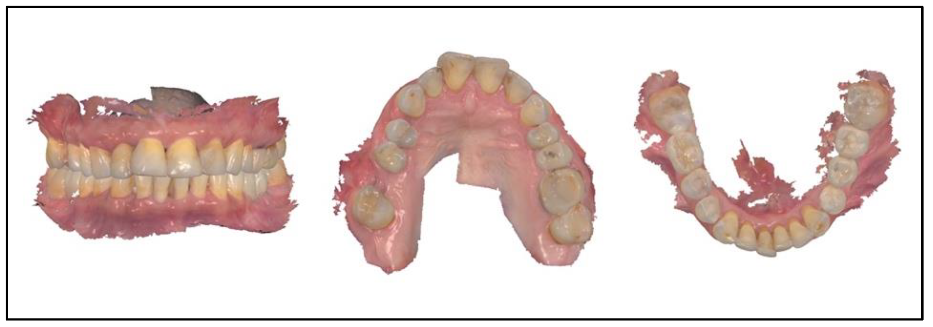
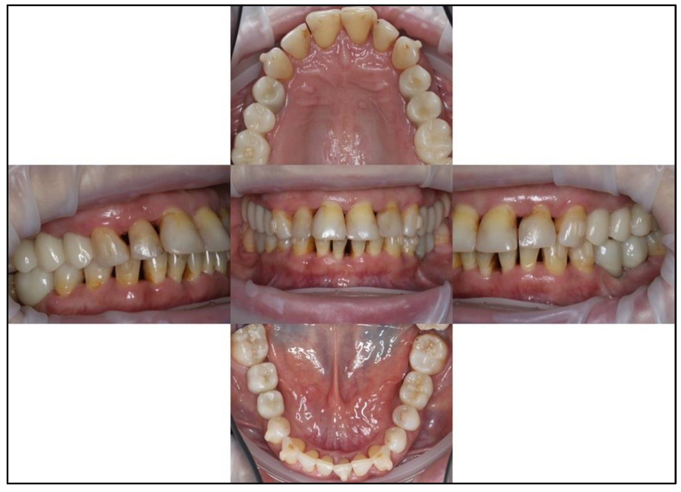
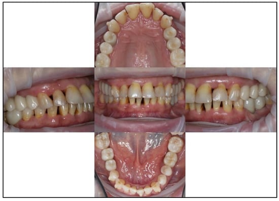
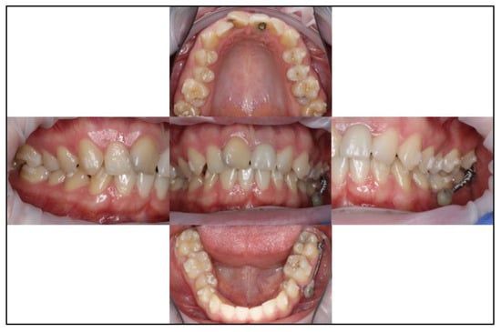
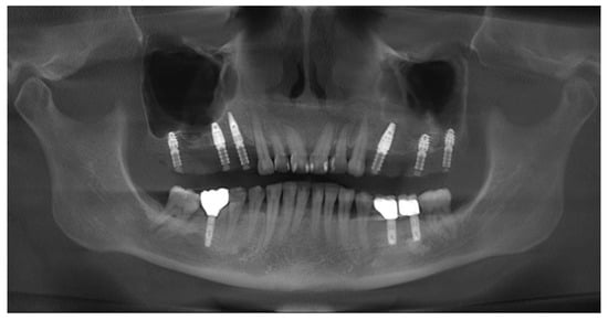
3.1. Case No. 1
- The extraction of tooth 21, followed by orthodontic treatment with aligners and guided implant surgery of tooth 21 at the beginning of the orthodontic treatment.
- The extraction of tooth 21, followed by orthodontic treatment with braces with upper arch distalization and implant surgery of tooth 21 after the orthodontic treatment.
- The extraction of tooth 21, followed by orthodontic treatment with the extraction of the first or second premolars. This treatment plan was offered but not recommended by the orthodontist.
- The extraction of tooth 21 with no orthodontic treatment, and implant surgery without a surgical guide.
- For aligner stages 1 to 16, a mini screw in the area between teeth 34 and 36 was added for the distalization and uprighting of teeth 36 and 37.
- A segment of braces was used to distalize teeth 36 and 37, employing the mini screw as skeletal anchorage. The segment of braces consisted of two metal brackets on teeth 36 and 37, a piece of stainless steel archwire of size 16 × 22, and a heavy-force 9-mm closed-coil spring. The length of the archwire used was measured by adding 2 mm to the distance between the mini screw and tooth 37, leaving space for the teeth to slide distally.
- The distalization of teeth 16, 17, 26, and 27 was planned with aligners by adding Class II elastics of 6 Oz and a quarter of an inch.
- A horizontal attachment was added onto the temporary crown of tooth 21 for distalization using the implant as skeletal anchorage.
- After stage 16, rescanning should be carried out, and the space for the implant surgery of tooth 35 should be evaluated.
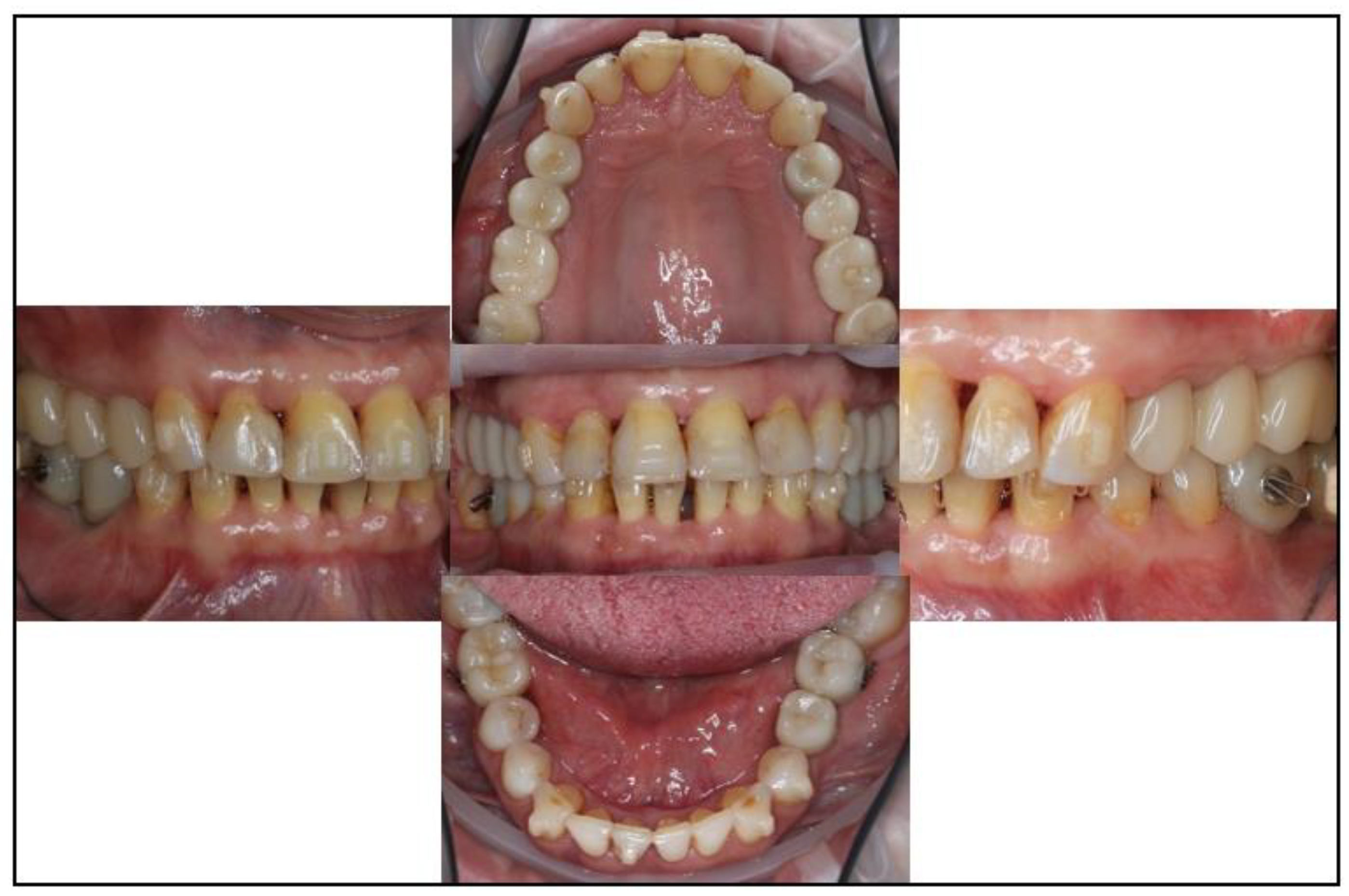
3.2. Case No. 2
4. Discussion
5. Conclusions
Author Contributions
Funding
Informed Consent Statement

Data Availability Statement
Conflicts of Interest
References
- Rossini, G.; Parrini, S.; Castroflorio, T.; Deregibus, A.; Debernardi, C.L. Efficacy of clear aligners in controlling orthodontic tooth movement: A systematic review. Angle Orthod. 2015, 85, 881–889. [Google Scholar] [CrossRef] [Green Version]
- Hansa, I.; Katyal, V.; Ferguson, D.J.; Vaid, N. Outcomes of clear aligner treatment with and without Dental Monitoring: A ret-rospective cohort study. Am. J. Orthod. Dentofac. Orthop. 2021, 159, 453–459. [Google Scholar] [CrossRef] [PubMed]
- Kuo, E.; Miller, R.J. Automated custom-manufacturing technology in orthodontics. Am. J. Orthod. Dentofac. Orthop. 2003, 123, 578–581. [Google Scholar] [CrossRef]
- Miguel, J.A.M.; Freitas, T.E.D.V.S. Immediate orthodontic load on dental implants: An option for adult treatment. Dent. Press J. Orthod. 2019, 24, 69–79. [Google Scholar] [CrossRef] [PubMed] [Green Version]
- Etajuri, E.; Suliman, E.; Mahmood, W.A.A.; Ibrahim, N.; Buzayan, M.; Mohd, N. Deviation of dental implants placed using a novel 3D-printed surgical guide: An in vitro study. Dent. Med. Probl. 2020, 57, 359–362. [Google Scholar] [CrossRef] [PubMed]
- Handelsman, M.Y.C. Surgical guidelines for dental implant placement. Br. Dent. J. 2006, 201, 139–152. [Google Scholar] [CrossRef] [PubMed]
- Madariaga, A.C.P.; Bucci, R.; Rongo, R.; Simeon, V.; D’Antò, V.; Valletta, R. Impact of Fixed Orthodontic Appliance and Clear Aligners on the Periodontal Health: A Prospective Clinical Study. Dent. J. 2020, 8, 4. [Google Scholar] [CrossRef] [Green Version]
- Rosvall, M.D.; Fields, H.W.; Ziuchkovski, J.; Rosenstiel, S.F.; Johnston, W.M. Attractiveness, acceptability, and value of orthodontic appliances. Am. J. Orthod. Dentofac. Orthop. 2009, 135, 276.e1–276.e12 discussion 276–277. [Google Scholar] [CrossRef]
- Gkantidis, N.; Zinelis, S.; Karamolegkou, M.; Eliades, T.; Topouzelis, N. Comparative assessment of clinical performance of esthetic bracket materials. Angle Orthod. 2012, 82, 691–697. [Google Scholar] [CrossRef] [Green Version]
- Bucci, R.; Rongo, R.; Levatè, C.; Michelotti, A.; Barone, S.; Razionale, A.V.; D’Antò, V. Thickness of orthodontic clear aligners after thermoforming and after 10 days of intraoral exposure: A prospective clinical study. Prog. Orthod. 2019, 20, 1–8. [Google Scholar] [CrossRef] [Green Version]
- D’Antò, V.; Bucci, R.; De Simone, V.; Ghislanzoni, L.H.; Michelotti, A.; Rongo, R. Evaluation of Tooth Movement Accuracy with Aligners: A Prospective Study. Materials 2022, 15, 2646. [Google Scholar] [CrossRef] [PubMed]
- Dianiskova, S.; Rongo, R.; Buono, R.; Franchi, L.; Michelotti, A.; D’Antò, V. Treatment of mild Class II malocclusion in growing patients with clear aligners versus fixed multibracket therapy: A retrospective study. Orthod. Craniofac. Res. 2022, 25, 96–102. [Google Scholar] [CrossRef] [PubMed]
- Zhang, B.; Huang, X.-Q.; Huo, S.; Zhang, C.; Zhao, S.; Cen, X.; Zhao, Z. Effect of clear aligners on oral health-related quality of life: A systematic review. Orthod. Craniofac. Res. 2020, 23, 363–370. [Google Scholar] [CrossRef] [PubMed]
- Robertson, L.; Kaur, H.; Fagundes, N.C.F.; Romanyk, D.; Major, P.; Mir, C.F. Effectiveness of clear aligner therapy for orthodontic treatment: A systematic review. Orthod. Craniofac. Res. 2020, 23, 133–142. [Google Scholar] [CrossRef] [PubMed]
- Tamburrino, F.; D’Antò, V.; Bucci, R.; Alessandri-Bonetti, G.; Barone, S.; Razionale, A.V. Mechanical Properties of Thermoplastic Polymers for Aligner Manufacturing: In Vitro Study. Dent. J. 2020, 8, 47. [Google Scholar] [CrossRef] [PubMed]
- D’Antò, V.; Muraglie, S.; Castellano, B.; Candida, E.; Sfondrini, M.F.; Scribante, A.; Grippaudo, C. Influence of Dental Composite Viscosity in Attachment Reproduction: An Experimental in Vitro Study. Materials 2019, 12, 4001. [Google Scholar] [CrossRef] [Green Version]
- Chen, W.; Qian, L.; Qian, Y.; Zhang, Z.; Wen, X. Comparative study of three composite materials in bonding attachments for clear aligners. Orthod. Craniofac. Res. 2021, 24, 520–527. [Google Scholar] [CrossRef]
- Chen, J.; Chen, K.; Garetto, L.P.; Roberts, W.E. Mechanical response to functional and therapeutic loading of a retromolar endos-seous implant used for orthodontic anchorage to mesially translate mandibular molars. Implant Dent. 1995, 4, 246–258. [Google Scholar] [CrossRef]
- Thilander, B.; Ödman, J.; Lekholm, U. Orthodontic aspects of the use of oral implants in adolescents: A 10-year follow-up study. Eur. J. Orthod. 2001, 23, 715–731. [Google Scholar] [CrossRef] [Green Version]
- Chen, F.; Terada, K.; Hanada, K.; Saito, I. Anchorage effect of palatal implants under various forces: A finite element study. Orthod. Waves 2006, 65, 1–8. [Google Scholar] [CrossRef]
- Chang, C.H.; Lin, L.Y.; Roberts, W.E. Orthodontic bone screws: A quick update and its promising future. Orthod. Craniofac. Res. 2020, 24 (Suppl. 1), 75–82. [Google Scholar] [CrossRef] [PubMed]
- Melsen, B.; Lang, N.P. Biological reactions of alveolar bone to orthodontic loading of oral implants. Clin. Oral Implant. Res. 2001, 12, 144–152. [Google Scholar] [CrossRef] [PubMed]
- Linder-Aronson, S.; Nordenram, A.; Anneroth, G. Titanium implant anchorage in orthodontic treatment an experimental in-vestigation in monkeys. Eur. J. Orthod. 1990, 12, 414–419. [Google Scholar] [CrossRef] [PubMed]
- Haanaes, H.R.; Stenvik, A.; Beyer-Olsen, E.S.; Tryti, T.; Faehn, O. The efficacy of two-stage titanium implants as orthodontic an-chorage in the preprosthodontic correction of third molars in adults—A report of three cases. Eur. J. Orthod. 1991, 13, 287–292. [Google Scholar] [CrossRef]
- Gul, M.; Arif, A.; Ghafoor, R. Role of three-dimensional printing in periodontal regeneration and repair: Literature review. J. Indian Soc. Periodontol. 2019, 23, 504–510. [Google Scholar] [CrossRef]
- De Souza, A.B.; Kang, M.; Negreiros, W.M.; El-Rafie, K.; Finkelman, M.; Papaspyridakos, P. A comparative retrospective study of different surgical guide designs for static computer-assisted implant surgery in posterior single edentulous sites. Clin. Oral Implant. Res. 2022, 33, 45–52. [Google Scholar] [CrossRef]
- Kühl, S.; Payer, M.; Zitzmann, N.U.; Lambrecht, J.T.; Filippi, A. Technical accuracy of printed surgical templates for guided implant surgery with the coDiagnostiX™ software. Clin. Implant. Dent Relat. Res. 2015, 17 (Suppl. 1), e177–e182. [Google Scholar] [CrossRef]
- Vercruyssen, M.; Laleman, I.; Jacobs, R.; Quirynen, M. Computer-supported implant planning and guided surgery: A narrative review. Clin. Oral Implant. Res. 2015, 26 (Suppl. 11), 69–76. [Google Scholar] [CrossRef]
- Stübinger, S.; Buitrago-Tellez, C.; Cantelmi, G. Deviations between Placed and Planned Implant Positions: An Accuracy Pilot Study of Skeletally Supported Stereolithographic Surgical Templates. Clin. Implant. Dent. Relat. Res. 2014, 16, 540–551. [Google Scholar] [CrossRef]
- D’Haese, J.; Van De Velde, T.; Komiyama, A.; Hultin, M.; De Bruyn, H. Accuracy and Complications Using Computer-Designed Stereolithographic Surgical Guides for Oral Rehabilitation by Means of Dental Implants: A Review of the Literature. Clin. Implant Dent. Relat. Res. 2012, 14, 321–335. [Google Scholar] [CrossRef]
- Wilde, F.; Plail, M.; Riese, C.; Schramm, A.; Winter, K. Mandible reconstruction with patient-specific pre-bent reconstruction plates: Comparison of a transfer key method to the standard method—results of an in vitro study. Int. J. Comput. Assist. Radiol. Surg. 2012, 7, 57–63. [Google Scholar] [CrossRef] [PubMed]



















| Treatment Plan | Advantages | Disadvantages |
|---|---|---|
| I |
|
|
| II |
|
|
| III |
|
|
| IV |
|
|
Publisher’s Note: MDPI stays neutral with regard to jurisdictional claims in published maps and institutional affiliations. |
© 2022 by the authors. Licensee MDPI, Basel, Switzerland. This article is an open access article distributed under the terms and conditions of the Creative Commons Attribution (CC BY) license (https://creativecommons.org/licenses/by/4.0/).
Share and Cite
Kirlys, R.; Nedzinskaitė, R.; Rongo, R.; Severino, M.; Puisys, A.; D’Antò, V. Digital Planning Technique for Surgical Guides for Prosthetic Implants before Orthodontic Treatment. Appl. Sci. 2022, 12, 5566. https://doi.org/10.3390/app12115566
Kirlys R, Nedzinskaitė R, Rongo R, Severino M, Puisys A, D’Antò V. Digital Planning Technique for Surgical Guides for Prosthetic Implants before Orthodontic Treatment. Applied Sciences. 2022; 12(11):5566. https://doi.org/10.3390/app12115566
Chicago/Turabian StyleKirlys, Robertas, Rugilė Nedzinskaitė, Roberto Rongo, Marco Severino, Algirdas Puisys, and Vincenzo D’Antò. 2022. "Digital Planning Technique for Surgical Guides for Prosthetic Implants before Orthodontic Treatment" Applied Sciences 12, no. 11: 5566. https://doi.org/10.3390/app12115566
APA StyleKirlys, R., Nedzinskaitė, R., Rongo, R., Severino, M., Puisys, A., & D’Antò, V. (2022). Digital Planning Technique for Surgical Guides for Prosthetic Implants before Orthodontic Treatment. Applied Sciences, 12(11), 5566. https://doi.org/10.3390/app12115566

