Single Puncture TIPS—A 3D Fusion Image-Guided Transjugular Intrahepatic Portosystemic Shunt (TIPS): An Experimental Study
Abstract
1. Introduction
2. Materials and Methods
2.1. Animals
2.2. General Anesthesia
2.3. Pre-Procedural Imaging
2.3.1. CT
2.3.2. MR Imaging
2.4. Cone Beam CT Imaging
2.5. TIPS and DIPS Creation Using 3D Image Guidance
2.6. Data Collection and Statistical Analysis
3. Results
3.1. Basic Assessment
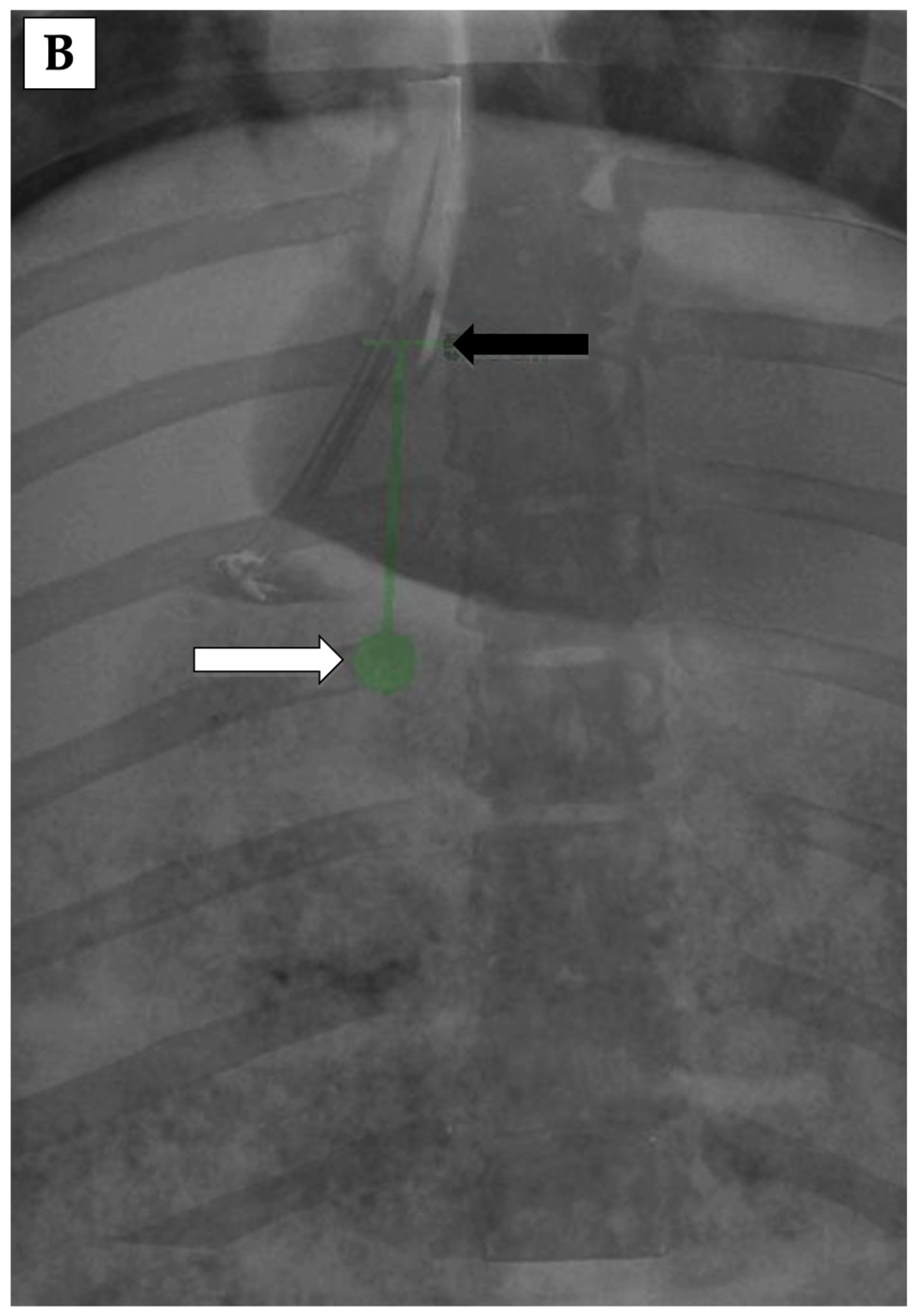
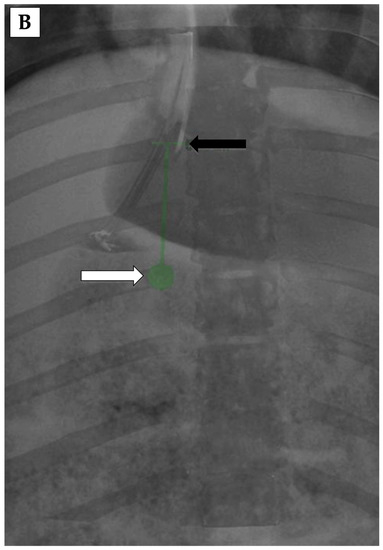
3.2. 3D Angiography-Guided TIPS Procedure Using Pre-Procedural Cross-Sectional Imaging with CBCT/Angiography-Fused Images
3.3. 3D Angiography-Guided TIPS Using CBCT/Angiography-Fused Images
3.4. 3D Angiography-Guided DIPS Using CT/CBCT/Angiography-Fused Images
4. Discussion
Author Contributions
Funding
Institutional Review Board Statement
Informed Consent Statement
Data Availability Statement
Conflicts of Interest
References
- Rossle, M.; Richter, G.M.; Noldge, G.; Palmaz, J.C.; Wenz, W.; Gerok, W. New non-operative treatment for variceal haemorrhage. Lancet 1989, 2, 153. [Google Scholar] [CrossRef]
- D’Amico, G.; Pagliaro, L.; Bosch, J. The treatment of portal hypertension: A meta-analytic review. Hepatology 1995, 22, 332–354. [Google Scholar] [CrossRef] [PubMed]
- Coldwell, D.M.; Ring, E.J.; Rees, C.R.; Zemel, G.; Darcy, M.D.; Haskal, Z.J.; McKusick, M.A.; Greenfield, A.J. Multicenter investigation of the role of transjugular intrahepatic portosystemic shunt in management of portal hypertension. Radiology 1995, 196, 335–340. [Google Scholar] [CrossRef] [PubMed]
- Ferral, H.; Bjarnason, H.; Wegryn, S.A.; Rengel, G.J.; Nazarian, G.K.; Rank, J.M.; Tadavarthy, S.M.; Hunter, D.W.; Castaneda-Zuniga, W.R. Refractory ascites: Early experience in treatment with transjugular intrahepatic portosystemic shunt. Radiology 1993, 189, 795–801. [Google Scholar] [CrossRef] [PubMed]
- LaBerge, J.M.; Ring, E.J.; Gordon, R.L.; Lake, J.R.; Doherty, M.M.; Somberg, K.A.; Roberts, J.P.; Ascher, N.L. Creation of transjugular intrahepatic portosystemic shunts with the wallstent endoprosthesis: Results in 100 patients. Radiology 1993, 187, 413–420. [Google Scholar] [CrossRef]
- LaBerge, J.M.; Somberg, K.A.; Lake, J.R.; Gordon, R.L.; Kerlan, R.K., Jr.; Ascher, N.L.; Roberts, J.P.; Simor, M.M.; Doherty, C.A.; Hahn, J.; et al. Two-year outcome following transjugular intrahepatic portosystemic shunt for variceal bleeding: Results in 90 patients. Gastroenterology 1995, 108, 1143–1151. [Google Scholar] [CrossRef]
- Ochs, A.; Rossle, M.; Haag, K.; Hauenstein, K.H.; Deibert, P.; Siegerstetter, V.; Huonker, M.; Langer, M.; Blum, H.E. The transjugular intrahepatic portosystemic stent-shunt procedure for refractory ascites. N. Engl. J. Med. 1995, 332, 1192–1197. [Google Scholar] [CrossRef]
- Rossle, M.; Haag, K.; Ochs, A.; Sellinger, M.; Noldge, G.; Perarnau, J.M.; Berger, E.; Blum, U.; Gabelmann, A.; Hauenstein, K.; et al. The transjugular intrahepatic portosystemic stent-shunt procedure for variceal bleeding. N. Engl. J. Med. 1994, 330, 165–171. [Google Scholar] [CrossRef]
- Freedman, A.M.; Sanyal, A.J.; Tisnado, J.; Cole, P.E.; Shiffman, M.L.; Luketic, V.A.; Purdum, P.P.; Darcy, M.D.; Posner, M.P. Complications of transjugular intrahepatic portosystemic shunt: A comprehensive review. Radiographics 1993, 13, 1185–1210. [Google Scholar] [CrossRef]
- Saxon, R.R.; Mendel-Hartvig, J.; Corless, C.L.; Rabkin, J.; Uchida, B.T.; Nishimine, K.; Keller, F.S. Bile duct injury as a major cause of stenosis and occlusion in transjugular intrahepatic portosystemic shunts: Comparative histopathologic analysis in humans and swine. J. Vasc. Interv. Radiol. 1996, 7, 487–497. [Google Scholar] [CrossRef]
- Kee, S.T.; Ganguly, A.; Daniel, B.L.; Wen, Z.; Butts, K.; Shimikawa, A.; Pelc, N.J.; Fahrig, R.; Dake, M.D. MR-guided transjugular intrahepatic portosystemic shunt creation with use of a hybrid radiography/MR system. J. Vasc. Interv. Radiol. 2005, 16, 227–234. [Google Scholar] [CrossRef]
- Gaba, R.C.; Khiatani, V.L.; Knuttinen, M.G.; Omene, B.O.; Carrillo, T.C.; Bui, J.T.; Owens, C.A. Comprehensive review of TIPS technical complications and how to avoid them. AJR Am. J. Roentgenol. 2011, 196, 675–685. [Google Scholar] [CrossRef]
- Rose, S.C.; Pretorius, D.H.; Nelson, T.R.; Kinney, T.B.; Huynh, T.V.; Roberts, A.C.; Valji, K.; D’Agostino, H.R.; Oglevie, S.B.; James, G.M.; et al. Adjunctive 3D US for achieving portal vein access during transjugular intrahepatic portosystemic shunt procedures. J. Vasc. Interv. Radiol. 2000, 11, 611–621. [Google Scholar] [CrossRef]
- Sanyal, A.J.; Shiffman, M.L. Transjugular intrahepatic portosystemic shunt: A medical perspective. Dig. Dis. 1995, 13, 153–162. [Google Scholar] [CrossRef]
- Saxon, R.R.; Keller, F.S. Technical aspects of accessing the portal vein during the TIPS procedure. J. Vasc. Interv. Radiol. 1997, 8, 733–744. [Google Scholar] [CrossRef]
- Funaki, B. Transjugular intrahepatic portosystemic shunt. Semin. Interv. Radiol. 2008, 25, 168–174. [Google Scholar] [CrossRef]
- Walser, E.M.; Soloway, R.; Raza, S.A.; Gill, A. Transjugular portosystemic shunt in chronic portal vein occlusion: Importance of segmental portal hypertension in cavernous transformation of the portal vein. J. Vasc. Interv. Radiol. 2006, 17, 373–378. [Google Scholar] [CrossRef]
- Jourabchi, N.; McWilliams, J.P.; Lee, E.W.; Sauk, S.; Kee, S.T. TIPS Placement via Combined Transjugular and Transhepatic Approach for Cavernous Portal Vein Occlusion: Targeted Approach. Case Rep. Radiol. 2013, 2013, 635391. [Google Scholar] [CrossRef]
- Petersen, B.; Uchida, B.T.; Timmermans, H.; Keller, F.S.; Rosch, J. Intravascular US-guided direct intrahepatic portacaval shunt with a PTFE-covered stent-graft: Feasibility study in swine and initial clinical results. J. Vasc. Interv. Radiol. 2001, 12, 475–486. [Google Scholar] [CrossRef]
- Adamus, R.; Pfister, M.; Loose, R.W. Enhancing transjugular intrahepatic portosystemic shunt puncture by using three-dimensional path planning based on the back projection of two two-dimensional portographs. Radiology 2009, 251, 543–547. [Google Scholar] [CrossRef][Green Version]
- Kew, J.; Davies, R.P. Intravascular ultrasound guidance for transjugular intrahepatic portosystemic shunt procedure in a swine model. Cardiovasc. Interv. Radiol. 2004, 27, 38–41. [Google Scholar] [CrossRef]
- Roizental, M.; Kane, R.A.; Takahashi, J.; Kruskal, J.; Crenshaw, W.B.; Perry, L.; Stokes, K.; Clouse, M.E. Portal vein: US-guided localization prior to transjugular intrahepatic portosystemic shunt placement. Radiology 1995, 196, 868–870. [Google Scholar] [CrossRef]
- Fanelli, F. The Evolution of Transjugular Intrahepatic Portosystemic Shunt: Tips. ISRN Hepatol. 2014, 12, 762096. [Google Scholar] [CrossRef]
- Luo, X.; Wang, X.; Zhao, Y.; Ma, H.; Ye, L.; Yang, L.; Tsauo, J.; Jiang, M.; Li, X. Real-Time 3D CT Image Guidance for Transjugular Intrahepatic Portosystemic Shunt Creation Using Preoperative CT: A Prospective Feasibility Study of 20 Patients. AJR Am. J. Roentgenol. 2017, 208, W11–W16. [Google Scholar] [CrossRef]
- Rouabah, K.; Varoquaux, A.; Caporossi, J.M.; Louis, G.; Jacquier, A.; Bartoli, J.M.; Moulin, G.; Vidal, V. Image fusion-guided portal vein puncture during transjugular intrahepatic portosystemic shunt placement. Diagn. Interv. Imaging 2016, 97, 1095–1102. [Google Scholar] [CrossRef]
- Tacher, V.; Petit, A.; Derbel, H.; Novelli, L.; Vitellius, M.; Ridouani, F.; Luciani, A.; Rahmouni, A.; Duvoux, C.; Salloum, C.; et al. Three-dimensional Image Fusion Guidance for Transjugular Intrahepatic Portosystemic Shunt Placement. Cardiovasc. Interv. Radiol. 2017, 40, 1732–1739. [Google Scholar] [CrossRef]
- Loffroy, R.; Estivalet, L.; Cherblanc, V.; Favelier, S.; Pottecher, P.; Hamza, S.; Minello, A.; Hillon, P.; Thouant, P.; Lefevre, P.H.; et al. Transjugular intrahepatic portosystemic shunt for the management of acute variceal hemorrhage. World J. Gastroenterol. 2013, 19, 6131–6143. [Google Scholar] [CrossRef]
- Rossle, M. TIPS: 25 years later. J. Hepatol. 2013, 59, 1081–1093. [Google Scholar] [CrossRef]
- Farsad, K.; Fuss, C.; Kolbeck, K.J.; Barton, R.E.; Lakin, P.C.; Keller, F.S.; Kaufman, J.A. Transjugular intrahepatic portosystemic shunt creation using intravascular ultrasound guidance. J. Vasc. Interv. Radiol. 2012, 23, 1594–1602. [Google Scholar] [CrossRef]
- Miller, D.L.; Kwon, D.; Bonavia, G.H. Reference levels for patient radiation doses in interventional radiology: Proposed initial values for U.S. practice. Radiology 2009, 253, 753–764. [Google Scholar] [CrossRef]
- Roeren, T.; Richter, G.M.; Limberg, B.; Jacoby, I.R.; Kauffmann, G.W. Ultrasound guided puncture of the portal vein in transjugular intrahepatic portasystemic stent shunt (TIPSS). Radiologe 1996, 36, 677–682. [Google Scholar] [CrossRef] [PubMed]
- Rose, S.C.; Behling, C.; Roberts, A.C.; Pretorius, D.H.; Nelson, T.R.; Kinney, T.B.; Masliah, E.; Hassanein, T.I. Main portal vein access in transjugular intrahepatic portosystemic shunt procedures: Use of three-dimensional ultrasound to ensure safety. J. Vasc. Interv. Radiol. 2002, 13, 267–273. [Google Scholar] [CrossRef]
- Sze, D.Y.; Strobel, N.; Fahrig, R.; Moore, T.; Busque, S.; Frisoli, J.K. Transjugular intrahepatic portosystemic shunt creation in a polycystic liver facilitated by hybrid cross-sectional/angiographic imaging. J. Vasc. Interv. Radiol. 2006, 17, 711–715. [Google Scholar] [CrossRef] [PubMed]
- Riggio, O.; Ridola, L.; Lucidi, C.; Angeloni, S. Emerging issues in the use of transjugular intrahepatic portosystemic shunt (TIPS) for management of portal hypertension: Time to update the guidelines? Dig. Liver Dis. 2010, 42, 462–467. [Google Scholar] [CrossRef]





| 3DFIG TIPS with CBCT/Angio Alone | 3DFIG TIPS with CT/CBCT/Angio | 3DFIG TIPS with MR/CBCT/Angio | 3DFIG DIPS with CT/CBCT/Angio | |
|---|---|---|---|---|
| Technical Success | 7/7 | 10/10 | 10/10 | 8/8 |
| Complications | 0 | 0 | 0 | 0 |
| Single PV Puncture | 7/7 (100%) | 9/10 (90%) | 9/10 (90%) | 7/8 (88%) |
| TPT (min) | 14.4 ± 1.0 * | 22.4 ± 5.1 | 18.7 ± 3.1 | 14.1 ± 1.1 |
| TTC3D (min) | 3.0 ± 0.8 * | 8.5 ± 3.4 | 7.5 ± 2.7 | 3.9 ± 0.7 |
| MFT (min) | 3.0 (IQR, 3.0–3.0) * | 4.0 (IQR, 3.0–5.3) | 4.0 (IQR, 3.0–5.3) | 3.0 (IQR, 3.0–3.0) |
Publisher’s Note: MDPI stays neutral with regard to jurisdictional claims in published maps and institutional affiliations. |
© 2022 by the authors. Licensee MDPI, Basel, Switzerland. This article is an open access article distributed under the terms and conditions of the Creative Commons Attribution (CC BY) license (https://creativecommons.org/licenses/by/4.0/).
Share and Cite
Lee, E.W.; Shahrouki, P.; Saab, S.; Kaldas, F.; Eghbalieh, N.; McWilliams, J.; Ding, P.-X.; Kee, S.T. Single Puncture TIPS—A 3D Fusion Image-Guided Transjugular Intrahepatic Portosystemic Shunt (TIPS): An Experimental Study. Appl. Sci. 2022, 12, 5267. https://doi.org/10.3390/app12105267
Lee EW, Shahrouki P, Saab S, Kaldas F, Eghbalieh N, McWilliams J, Ding P-X, Kee ST. Single Puncture TIPS—A 3D Fusion Image-Guided Transjugular Intrahepatic Portosystemic Shunt (TIPS): An Experimental Study. Applied Sciences. 2022; 12(10):5267. https://doi.org/10.3390/app12105267
Chicago/Turabian StyleLee, Edward Wolfgang, Puja Shahrouki, Sammy Saab, Fady Kaldas, Navid Eghbalieh, Justin McWilliams, Peng-Xu Ding, and Stephen T. Kee. 2022. "Single Puncture TIPS—A 3D Fusion Image-Guided Transjugular Intrahepatic Portosystemic Shunt (TIPS): An Experimental Study" Applied Sciences 12, no. 10: 5267. https://doi.org/10.3390/app12105267
APA StyleLee, E. W., Shahrouki, P., Saab, S., Kaldas, F., Eghbalieh, N., McWilliams, J., Ding, P.-X., & Kee, S. T. (2022). Single Puncture TIPS—A 3D Fusion Image-Guided Transjugular Intrahepatic Portosystemic Shunt (TIPS): An Experimental Study. Applied Sciences, 12(10), 5267. https://doi.org/10.3390/app12105267

