A Randomized Pilot Clinical and Microbiological Study Comparing Laser Microtextured Implants with and without Platform Switching
Abstract
1. Introduction
2. Materials and Methods
2.1. Patients
- Requiring at least two implants which could be placed simultaneously;
- Non-grafted type IV bone [43] sufficient for placing an implant;
- Adequate band of keratinised tissues (at least 2 mm); if soft tissue grafting was required, a 2-month healing time was required before implant surgery;
- Opposing occlusion;
- Sufficient space for restoration (at least 7 mm of inter-arch space);
- Over 18 years of age;
- Availability for follow up appointments at 6 and 12 months after implant placement;
- Untreated or poorly maintained periodontal disease and/or general dental care that had not been completed;
- Poor Oral Hygiene (Plaque index (PI) >20%);
- Para-functional habits (probable and above as defined by Lobbezoo et al. 2013 [44]);
- Current severe smoking habit (>10/day);
- Systemic illnesses which may compromise periodontal healing;
- ○
- Uncontrolled diabetes
- ○
- Radiation therapy
- ○
- Bleeding disorders
- Regular prescription of medications which may alter outcomes;
- ○
- Bone altering medications such as for osteoporosis
- ○
- Blood thinning medications which will increase risk of bleeding
- ○
- Chemotherapy medications
- Pregnancy;
- Consumption of illegal substances;
- Inability to give informed consent;
2.2. Implants and Componentry
2.3. Surgical Procedure
2.4. Prosthetic Procedure
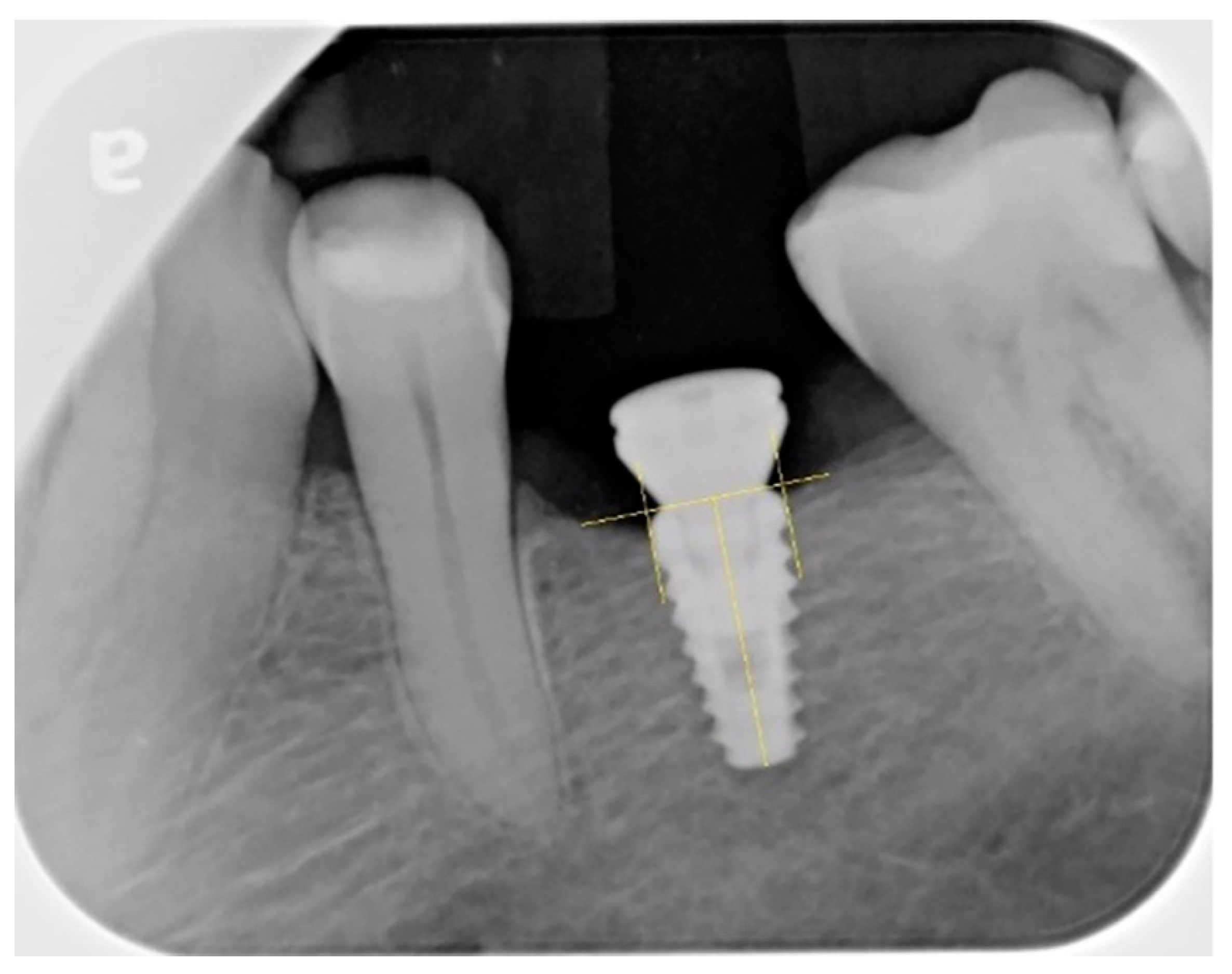
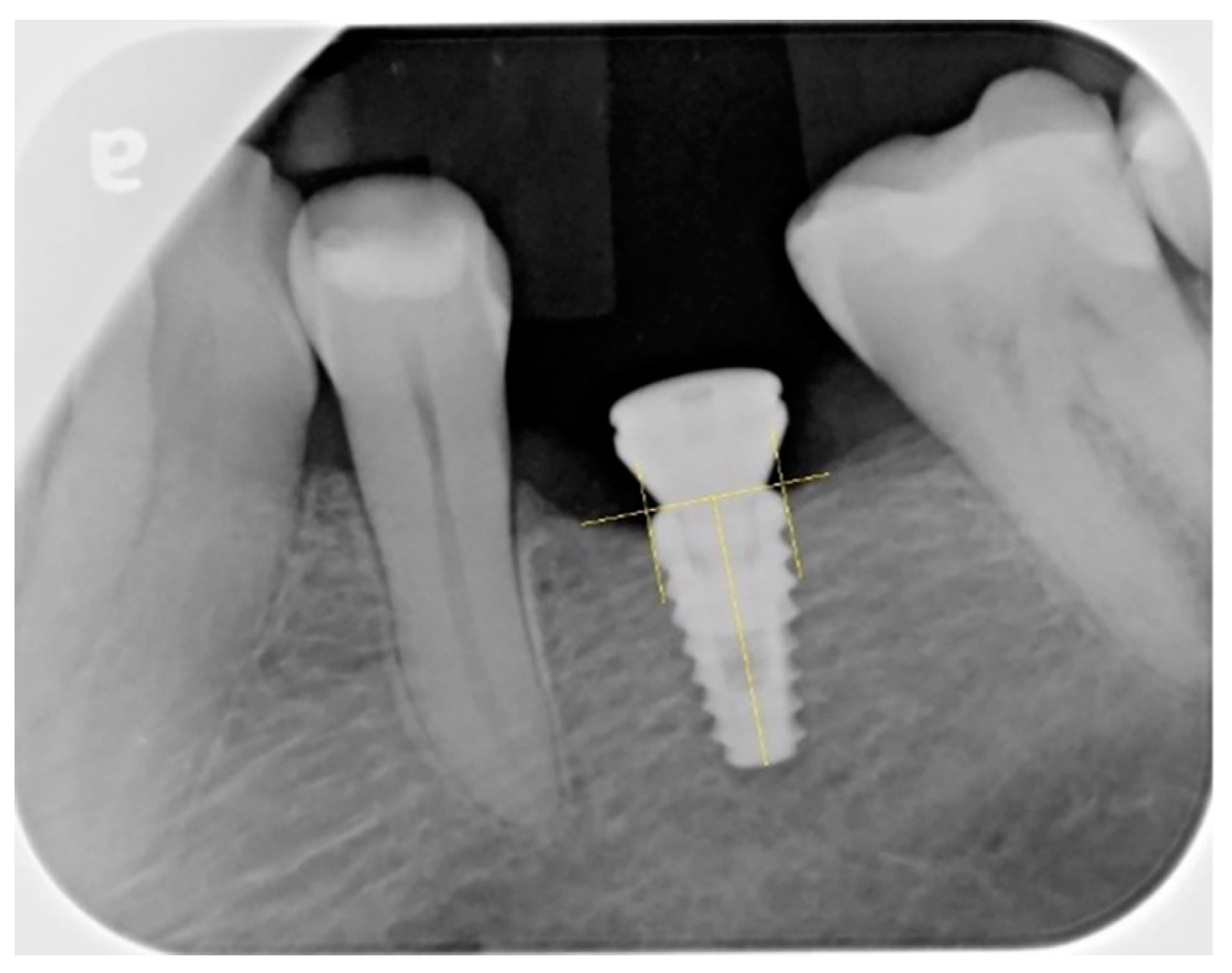
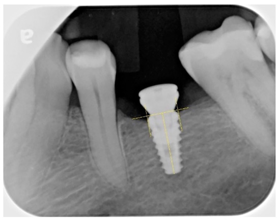
2.5. Radiographic Measurements
2.6. Clinical Measurements
2.7. Microbiologic Analysis
2.8. Statistical Analysis
3. Results
3.1. Clinical Outcomes
3.2. Microbiologic Outcomes
4. Discussion
5. Conclusions
Author Contributions
Funding
Institutional Review Board Statement
Informed Consent Statement
Data Availability Statement
Acknowledgments
Conflicts of Interest
Abbreviations
| LM | laser micro-texturing |
| PS | platform switched |
| MBL | marginal bone level |
| PPD | peri-implant probing depth |
| BOP | bleeding on probing |
| MTH | marginal tissue height; ∆-change in |
| FN | Fusobacterium Nucleautum ssp. |
| TD | Treponema denticola |
| TF | Tannerella forsythensis |
| AA | Aggregatibacter actinomycetemcomitans |
| PG | Porphyromonas gingivalis |
References
- Giudice, A.; Bennardo, F.; Antonelli, A.; Barone, S.; Wagner, F.; Fortunato, L.; Traxler, H. Influence of clinician’s skill on primary implant stability with conventional and piezoelectric preparation techniques: An ex-vivo study. J. Biol. Regul. Homeost Agents 2020, 34, 739–745. [Google Scholar] [CrossRef]
- Ivanovski, S.; Lee, R. Comparison of peri-implant and periodontal marginal soft tissues in health and disease. Periodontol. 2000 2018, 76, 116–130. [Google Scholar] [CrossRef]
- Tarnow, D.; Cho, S.; Wallace, S. The Effect of Inter-Implant Distance on the Height of Inter-Implant Bone Crest. J. Periodontol. 2000, 71, 546–549. [Google Scholar] [CrossRef]
- Buser, D.; Martin, W.; Belser, U.C. Optimizing esthetics for implant restorations in the anterior maxilla: Anatomic and surgical considerations. Int. J. Oral Maxillofac. Implants 2004, 19, 43–61. [Google Scholar]
- Perrotti, V.; Zhang, D.; Liang, A.; Wang, J.; Quaranta, A. The Effect of One-Abutment at One-Time on Marginal Bone Loss Around Implants Placed in Healed Bone. Implant Dent. 2019, 28, 603–612. [Google Scholar] [CrossRef]
- Koutouzis, T.; Gholami, F.; Reynolds, J.; Lundgren, T.; Kotsakis, G. Abutment Disconnection/Reconnection Affects Peri-implant Marginal Bone Levels: A Meta-Analysis. Int. J. Oral Maxillofac. Implants 2017, 32, 575–581. [Google Scholar] [CrossRef] [PubMed]
- Barone, A.; Toti, P.; Marconcini, S.; Derchi, G.; Saverio, M.; Covani, U. Esthetic Outcome of Implants Placed in Fresh Extraction Sockets by Clinicians with or without Experience: A Medium-Term Retrospective Evaluation. Int. J. Oral Maxillofac. Implants 2016, 31, 1397–1406. [Google Scholar] [CrossRef] [PubMed]
- Oh, T.-J.; Yoon, J.; Misch, C.E.; Wang, H.-L. The Causes of Early Implant Bone Loss: Myth or Science? J. Periodontol. 2002, 73, 322–333. [Google Scholar] [CrossRef]
- Vignoletti, F.; Sanz, M. Immediate implants at fresh extraction sockets: From myth to reality. Periodontol. 2000 2014, 66, 132–152. [Google Scholar] [CrossRef] [PubMed]
- Messias, A.; Rocha, S.; Wagner, W.; Wiltfang, J.; Moergel, M.; Behrens, E.; Nicolau, P.; Guerra, F. Peri-implant marginal bone loss reduction with platform-switching components: 5-Year post-loading results of an equivalence randomized clinical trial. J. Clin. Periodontol. 2019, 46, 678–687. [Google Scholar] [CrossRef]
- Chen, Z.; Zhang, Y.; Li, J.; Wang, H.-L.; Yu, H. Influence of Laser-Microtextured Surface Collar on Marginal Bone Loss and Peri-Implant Soft Tissue Response: A Systematic Review and Meta-Analysis. J. Periodontol. 2017, 88, 651–662. [Google Scholar] [CrossRef]
- Cosola, S.; Marconcini, S.; Boccuzzi, M.; Fabris, G.B.M.; Covani, U.; Peñarrocha-Diago, M.; Peñarrocha-Oltra, D. Radiological Outcomes of Bone-Level and Tissue-Level Dental Implants: Systematic Review. Int. J. Environ. Res. Public Health 2020, 17, 6920. [Google Scholar] [CrossRef]
- Lazzara, R.J.; Porter, S.S. Platform switching: A new concept in implant dentistry for controlling postrestorative crestal bone levels. Int. J. Periodontics Restor. Dent. 2006, 26, 9–17. [Google Scholar]
- Al-Nsour, M.M.; Chan, H.-L.; Wang, H.-L. Effect of the platform-switching technique on preservation of peri-implant marginal bone: A systematic review. Int. J. Oral Maxillofac. Implants 2012, 27, 138–145. [Google Scholar]
- Atieh, M.A.; Ibrahim, H.M.; Atieh, A.H. Platform Switching for Marginal Bone Preservation Around Dental Implants: A Systematic Review and Meta-Analysis. J. Periodontol. 2010, 81, 1350–1366. [Google Scholar] [CrossRef]
- Strietzel, F.P.; Neumann, K.; Hertel, M. Impact of platform switching on marginal peri-implant bone-level changes. A systematic review and meta-analysis. Clin. Oral Implants Res. 2015, 26, 342–358. [Google Scholar] [CrossRef]
- Annibali, S.; Bignozzi, I.; Cristalli, M.P.; Graziani, F.; La Monaca, G.; Polimeni, A. Peri-implant marginal bone level: A systematic review and meta-analysis of studies comparing platform switchingversusconventionally restored implants. J. Clin. Periodontol. 2012, 39, 1097–1113. [Google Scholar] [CrossRef]
- Monje, A.; Pommer, B. The Concept of Platform Switching to Preserve Peri-implant Bone Level: Assessment of Methodologic Quality of Systematic Reviews. Int. J. Oral Maxillofac. Implants 2015, 30, 1084–1092. [Google Scholar] [CrossRef] [PubMed][Green Version]
- Hsu, Y.-T.; Lin, G.-H.; Wang, H.-L. Effects of Platform-Switching on Peri-implant Soft and Hard Tissue Outcomes: A Systematic Review and Meta-analysis. Int. J. Oral Maxillofac. Implants 2017, 32, e9–e24. [Google Scholar] [CrossRef] [PubMed]
- Linkevicius, T.; Puisys, A.; Steigmann, M.; Vindasiute, E.; Linkeviciene, L. Influence of Vertical Soft Tissue Thickness on Crestal Bone Changes Around Implants with Platform Switching: A Comparative Clinical Study. Clin. Implant Dent. Relat. Res. 2015, 17, 1228–1236. [Google Scholar] [CrossRef]
- Canullo, L.; Fedele, G.R.; Iannello, G.; Jepsen, S. Platform switching and marginal bone-level alterations: The results of a randomized-controlled trial. Clin. Oral Implant. Res. 2010, 21, 115–121. [Google Scholar] [CrossRef] [PubMed]
- Chrcanovic, B.R.; Albrektsson, T.; Wennerberg, A. Platform switch and dental implants: A meta-analysis. J. Dent. 2015, 43, 629–646. [Google Scholar] [CrossRef] [PubMed]
- Nevins, M.; Nevins, M.L.; Camelo, M.; Boyesen, J.L.; Kim, D.M. Human histologic evidence of a connective tissue attachment to a dental implant. Int. J. Periodontics Restor. Dent. 2008, 28, 111–121. [Google Scholar]
- Nevins, M.; Kim, D.M.; Jun, S.-H.; Guze, K.; Schupbach, P.; Nevins, M.L. Histologic evidence of a connective tissue attachment to laser microgrooved abutments: A canine study. Int. J. Periodontics Restor. Dent. 2010, 30, 245–255. [Google Scholar]
- Nevins, M.; Camelo, M.; Nevins, M.L.; Schupbach, P.; Kim, D.M. Connective tissue attachment to laser-microgrooved abutments: A human histologic case report. Int. J. Periodontics Restor. Dent. 2012, 32, 385–392. [Google Scholar]
- Mangano, C.; Piattelli, A.; Scarano, A.; Raspanti, M.; A Shibli, J.; Mangano, F.G.; Perrotti, V.; Iezzi, G. A Light and Scanning Electron Microscopy Study of Human Direct Laser Metal Forming Dental Implants. Int. J. Periodontics Restor. Dent. 2014, 34, e9–e17. [Google Scholar] [CrossRef]
- Ketabi, M.; DePorter, D. The effects of laser microgrooves on hard and soft tissue attachment to implant collar surfaces: A literature review and interpretation. Int. J. Periodontics Restor. Dent. 2013, 33, e145–e152. [Google Scholar] [CrossRef]
- Grew, J.C.; Ricci, J.L.; Alexander, H. Connective-tissue responses to defined biomaterial surfaces. II. Behavior of rat and mouse fibroblasts cultured on microgrooved substrates. J. Biomed. Mater. Res. Part A 2007, 85, 326–335. [Google Scholar] [CrossRef] [PubMed]
- Ricci, J.L.; Grew, J.C.; Alexander, H. Connective-tissue responses to defined biomaterial surfaces. I. Growth of rat fibroblast and bone marrow cell colonies on microgrooved substrates. J. Biomed. Mater. Res. Part A 2008, 85, 313–325. [Google Scholar] [CrossRef] [PubMed]
- Weiner, S.; Simon, J.; Ehrenberg, D.S.; Zweig, B.; Ricci, J.L. The Effects of Laser Microtextured Collars Upon Crestal Bone Levels of Dental Implants. Implant Dent. 2008, 17, 217–228. [Google Scholar] [CrossRef]
- Neiva, R.; Tovar, N.; Jimbo, R.; Gil, L.F.; Goldberg, P.; Barbosa, J.P.; Lilin, T.; Coelho, P.G. The Effect of Laser-Etched Surface Design on Soft Tissue Healing of Two Different Implant Abutment Systems: An Experimental Study in Dogs. Int. J. Periodontics Restor. Dent. 2016, 36, 673–679. [Google Scholar] [CrossRef]
- Geurs, N.C.; Geisinger, M.L.; Vassilopoulos, P.J.; O’Neal, S.J.; Haigh, S.J.; Reddy, M.S. Optimizing Connective Tissue Integration on Laser-Ablated Implant Abutments. Clin. Adv. Periodontics 2016, 6, 153–159. [Google Scholar] [CrossRef]
- Nevins, M.; Camelo, M.; Nevins, M.L.; Schupbach, P.; Kim, D.M. Reattachment of connective tissue fibers to a laser-microgrooved abutment surface. Int. J. Periodontics Restor. Dent. 2012, 32, e131–e134. [Google Scholar]
- Carrigy, J.S.A.; Perrotti, V.; Quaranta, A. Clinical Outcomes of Laser Microtextured Implants or Abutments: A Systematic Review. Int. J. Oral Implantol. 2021, (in press).
- Hegazy, S.; Elmekawy, N.; Emera, R.M. Peri-implant Outcomes with Laser vs Nanosurface Treatment of Early Loaded Implant-Retaining Mandibular Overdentures. Int. J. Oral Maxillofac. Implants 2016, 31, 424–430. [Google Scholar] [CrossRef] [PubMed]
- Linkevicius, T.; Puisys, A.; Svediene, O.; Linkevicius, R.; Linkeviciene, L. Radiological comparison of laser-microtextured and platform-switched implants in thin mucosal biotype. Clin. Oral Implant. Res. 2015, 26, 599–605. [Google Scholar] [CrossRef] [PubMed]
- Guarnieri, R.; Placella, R.; Testarelli, L.; Iorio-Siciliano, V.; Grande, M. Clinical, Radiographic, and Esthetic Evaluation of Immediately Loaded Laser Microtextured Implants Placed into Fresh Extraction Sockets in the Anterior Maxilla. Implant Dent. 2014, 23, 144–154. [Google Scholar] [CrossRef] [PubMed]
- Guarnieri, R.; Belleggia, F.; Grande, M. Immediate versus Delayed Treatment in the Anterior Maxilla Using Single Implants with a Laser-Microtextured Collar: 3-Year Results of a Case Series on Hard- and Soft-Tissue Response and Esthetics. J. Prosthodont. 2015, 25, 135–145. [Google Scholar] [CrossRef] [PubMed]
- Guarnieri, R.; Di Nardo, D.; Di Giorgio, G.; Miccoli, G.; Testarelli, L. Immediate non-submerged implants with laser-microtextured collar placed in the inter-radicular septum of mandibular molar extraction sockets associated to GBR: Results at 3-year. J. Clin. Exp. Dent. 2020, 12, e363–e370. [Google Scholar] [CrossRef]
- Guarnieri, R.; Ceccarelli, R.; Ricci, J.L.; Testori, T. Implants With and Without Laser-Microtextured Collar. Implant Dent. 2018, 27, 81–88. [Google Scholar] [CrossRef] [PubMed]
- Iorio-Siciliano, V.; Matarasso, R.; Guarnieri, R.; Nicolò, M.; Farronato, D.; Matarasso, S. Soft tissue conditions and marginal bone levels of implants with a laser-microtextured collar: A 5-year, retrospective, controlled study. Clin. Oral Implants Res. 2014, 26, 257–262. [Google Scholar] [CrossRef]
- Guarnieri, R.; Grande, M.; Ippoliti, S.; Iorio-Siciliano, V.; Riccitiello, F.; Farronato, D. Influence of a Laser-Lok Surface on Immediate Functional Loading of Implants in Single-Tooth Replacement: Three-Year Results of a Prospective Randomized Clinical Study on Soft Tissue Response and Esthetics. Int. J. Periodontics Restor. Dent. 2015, 35, 865–875. [Google Scholar] [CrossRef] [PubMed]
- Hämmerle, C.H.F.; Chen, S.T.; Wilson, T.G. Consensus statements and recommended clinical procedures regarding the placement of implants in extraction sockets. Int. J. Oral Maxillofac. Implants 2004, 19, 26–28. [Google Scholar]
- Lobbezoo, F.; Ahlberg, J.; Glaros, A.G.; Kato, T.; Koyano, K.; Lavigne, G.J.; De Leeuw, R.; Manfredini, D.; Svensson, P.; Winocur, E. Bruxism defined and graded: An international consensus. J. Oral Rehabil. 2013, 40, 2–4. [Google Scholar] [CrossRef]
- Sennerby, L.; Meredith, N. Implant stability measurements using resonance frequency analysis: Biological and biomechanical aspects and clinical implications. Periodontol. 2000 2008, 47, 51–66. [Google Scholar] [CrossRef] [PubMed]
- Cosola, S.; Toti, P.; Peñarrocha-Diago, M.; Covani, U.; Brevi, B.C.; Peñarrocha-Oltra, D. Standardization of three-dimensional pose of cylindrical implants from intraoral radiographs: A preliminary study. BMC Oral Health 2021, 21, 100. [Google Scholar] [CrossRef] [PubMed]
- Etter, T.H.; Håkanson, I.; Lang, N.P.; Trejo, P.M.; Caffesse, R.G. Healing after standardized clinical probing of the perlimplant soft tissue seal. Clin. Oral Implants Res. 2002, 13, 571–580. [Google Scholar] [CrossRef] [PubMed]
- Ainamo, J.; Bay, I. Problems and proposals for recording gingivitis and plaque. Int. Dent. J. 1975, 25, 229–235. [Google Scholar]
- Guarnieri, R.; Rappelli, G.; Piemontese, M.; Procaccini, M.; Quaranta, A. A Double-Blind Randomized Trial Comparing Implants with Laser-Microtextured and Machined Collar Surfaces: Microbiologic and Clinical Results. Int. J. Oral Maxillofac. Implants 2016, 31, 1117–1125. [Google Scholar] [CrossRef] [PubMed]
- Schwarz, F.; Derks, J.; Monje, A.; Wang, H.-L. Peri-implantitis. J. Periodontol. 2018, 89, S267–S290. [Google Scholar] [CrossRef]
- Esposito, M.; Hirsch, J.-M.; Lekholm, U.; Thomsen, P. Biological factors contributing to failures of osseointegrated oral implants, (I). Success criteria and epidemiology. Eur. J. Oral Sci. 1998, 106, 527–551. [Google Scholar] [CrossRef] [PubMed]
- Albrektsson, T.; Zarb, G.; Worthington, P.; Eriksson, A.R. The long-term efficacy of currently used dental implants: A review and proposed criteria of success. Int. J. Oral Maxillofac. Implants 1986, 1, 11–25. [Google Scholar]
- Hermann, J.S.; Cochran, D.L.; Nummikoski, P.V.; Buser, D. Crestal Bone Changes Around Titanium Implants. A Radiographic Evaluation of Unloaded Nonsubmerged and Submerged Implants in the Canine Mandible. J. Periodontol. 1997, 68, 1117–1130. [Google Scholar] [CrossRef]
- VanDeWeghe, S.; Cosyn, J.; Thevissen, E.; Berghe, L.V.D.; De Bruyn, H. A 1-Year Prospective Study on Co-Axis® Implants Immediately Loaded with a Full Ceramic Crown. Clin. Implants Dent. Relat. Res. 2011, 14. [Google Scholar] [CrossRef]
- Merli, M.; Bernardelli, F.; Giulianelli, E.; Toselli, I.; Mariotti, G.; Nieri, M. Peri-implant bleeding on probing: A cross-sectional multilevel analysis of associated factors. Clin. Oral Implants Res. 2017, 28, 1401–1405. [Google Scholar] [CrossRef]
- Luterbacher, S.; Mayfield, L.; Brägger, U.; Lang, N.P. Diagnostic characteristics of clinical and microbiological tests for monitoring periodontal and peri-implant mucosal tissue conditions during supportive periodontal therapy (SPT). Clin. Oral Implants Res. 2000, 11, 521–529. [Google Scholar] [CrossRef]
- Derks, J.; Tomasi, C. Peri-implant health and disease. A systematic review of current epidemiology. J. Clin. Periodontol. 2015, 42, S158–S171. [Google Scholar] [CrossRef] [PubMed]
- Schwarz, F.; Derks, J.; Monje, A.; Wang, H.L. Peri-implantitis. J. Clin. Periodontol. 2018, 45, S246–S266. [Google Scholar] [CrossRef] [PubMed]
- Guarnieri, R.; Grande, M.; Zuffetti, F.; Testori, T. Incidence of Peri-implant Diseases on Implants With and Without Laser-Microgrooved Collar: A 5-Year Retrospective Study Carried Out in Private Practice Patients. Int. J. Oral Maxillofac. Implants 2018, 33, 457–465. [Google Scholar] [CrossRef] [PubMed]



| Patient | Age | Sex | Control Implant (Location; Size-mm) | Test Implant (Location; Size-mm) |
|---|---|---|---|---|
| Patient 1 | 91 | M | 46; 4.6 × 9 | 36; 4.6 × 9 |
| Patient 2 | 63 | F | 14; 3.8 × 12 | 47; 4.6 × 7.5 |
| Patient 3 | 45 | F | 15; 3.8 × 10.5 | 46; 4.6 × 9 |
| Patient 4 | 45 | F | 35; 3.8 × 9 | 36; 4.6 × 9 |
| Patient 5 | 77 | F | 36; 3.8 × 9 | 35; 3.8 × 10.5 |
| Patient 6 | 58 | F | 45; 3.8 × 9 | 46; 4.6 × 9 |
| Patient 7 | 74 | M | 26; 4.6 × 9 | 16; 4.6 × 7.5 |
| Patient 8 | 57 | F | 46; 4.6 × 9 | 36; 4.6 × 9 |
| Patient 9 | 70 | M | 35; 4.6 × 7.5 | 36; 4.6 × 7.5 |
| Patient 10 | 29 | M | 46; 4.6 × 10.5 | 36; 4.6 × 9 |
| Patient 11 | 61 | F | 27; 3.8 × 9 | 36; 4.6 × 9 |
| Patient 12 | 54 | M | 26; 4.6 × 7.5 | 25; 3.8 × 9 |
| Patient 13 | 56 | F | 36; 4.6 × 9 | 35; 3.8 × 9 |
| Baseline | 6-Month Follow Up | 12-Month Follow Up | |||||
|---|---|---|---|---|---|---|---|
| Control | Test | Control | Test | Control | Test | ||
| MBL | (mean ± sd) | 0.30 ± 0.34 | 0.23 ± 0.24 | 0.63 ± 0.41 | 0.51 ± 0.48 | 0.52 ± 0.43 | 0.48 ± 0.56 |
| MBL | median | 0.17 | 0.16 | 0.62 | 0.32 | 0.41 | 0.23 |
| ∆MBL | (mean ± sd) | // | // | 0.33 ± 0.43 | 0.28 ± 0.35 | 0.23 ± 0.39 | 0.25 ± 0.38 |
| MTH | (mean ± sd) | 7.53 ± 1.67 | 7.79 ± 1.40 | // | // | 7.29 ± 1.62 | 7.83 ± 1.02 |
| MTH | median | 7.00 | 7.33 | // | // | 7.17 | 7.83 |
| ∆MTH | (mean ± sd) | // | // | // | // | −0.24 ± 0.59 | 0.05 ± 0.72 |
| PPD | (mean ± sd) | 2.05 ± 0.41 | 2.21 ± 0.31 | // | // | 2.30 ± 0.46 | 2.68 ± 0.73 |
| PPD | median | 2.10 | 2.25 | // | // | 2.30 | 2.50 |
| BOP | (mean ± sd) | // | // | // | // | 1.18 ± 1.25 | 1.00 ± 1.00 |
| BOP | median | // | // | // | // | 1.00 | 1.00 |
| FN | TD | TF | |||||||
|---|---|---|---|---|---|---|---|---|---|
| Test | Control | Tooth | Test | Control | Tooth | Test | Control | Tooth | |
| abundance (mean ± sd) | 6.1 ± 13.9 | 76.1 ± 256.3 | 1.3 ± 1.7 | 77.2 ± 265.4 | 10.5 ± 34.5 | 2.5 ± 7.7 | 9.4 ± 26.3 | 8.9 ± 24.6 | 1.8 ± 5.4 |
| abundance (median) | 0 | 390 | 470 | 250 | 249 | 249 | 249 | 249 | 249 |
| presence (% of patients) | 42 | 58 | 67 | 92 | 92 | 75 | 75 | 67 | 67 |
Publisher’s Note: MDPI stays neutral with regard to jurisdictional claims in published maps and institutional affiliations. |
© 2021 by the authors. Licensee MDPI, Basel, Switzerland. This article is an open access article distributed under the terms and conditions of the Creative Commons Attribution (CC BY) license (https://creativecommons.org/licenses/by/4.0/).
Share and Cite
Carrigy, J.; Perrotti, V.; Franciotti, R.; Sharma, A.; Quaranta, A. A Randomized Pilot Clinical and Microbiological Study Comparing Laser Microtextured Implants with and without Platform Switching. Appl. Sci. 2021, 11, 4140. https://doi.org/10.3390/app11094140
Carrigy J, Perrotti V, Franciotti R, Sharma A, Quaranta A. A Randomized Pilot Clinical and Microbiological Study Comparing Laser Microtextured Implants with and without Platform Switching. Applied Sciences. 2021; 11(9):4140. https://doi.org/10.3390/app11094140
Chicago/Turabian StyleCarrigy, James, Vittoria Perrotti, Raffaella Franciotti, Ajay Sharma, and Alessandro Quaranta. 2021. "A Randomized Pilot Clinical and Microbiological Study Comparing Laser Microtextured Implants with and without Platform Switching" Applied Sciences 11, no. 9: 4140. https://doi.org/10.3390/app11094140
APA StyleCarrigy, J., Perrotti, V., Franciotti, R., Sharma, A., & Quaranta, A. (2021). A Randomized Pilot Clinical and Microbiological Study Comparing Laser Microtextured Implants with and without Platform Switching. Applied Sciences, 11(9), 4140. https://doi.org/10.3390/app11094140

