Abstract
Background: Dental Class II is the most common indication for combined orthodontic-orthognathic treatment. Intermolar mandibular distraction osteogenesis (IMDO) treatment was performed during the growth spurt, to avoid surgery at a later age. The aim of this study is to present our first experience with IMDO. Methods: This is a retrospective case series of patients who underwent an IMDO. All patients showed mandibular retrognathism, and orthodontic treatment with functional appliances was not successful. Results: In total, 20 patients (mean age of 14.8 years (SD = 0.9 ys) were included. All patients achieved a Class I occlusion. An average length gain of 9.6 mm (SD = 3.7 mm) was reached. In one patient an abscess occurred. Nine patients presented with root fractures of the second molar; three were lost, one treated endodontically. The average time between insertion and removal of the distractors was 4.6 months (SD = 1.5 mths). In one case a premature consolidation was seen. Conclusion: We achieved satisfactory results with IMDO, although undesirable effects occurred. An advantage is the manageable overall treatment time. Open questions concern the occurrence of root fractures. Furthermore, the question of long-term stability is open. The question of dynamic distraction treatment in relation to temporomandibular joint changes can only be answered in the long term.
1. Introduction
Dental Class II is the most common indication for treatment in orthodontics and orthognathic surgery [1]. Assessment, planning and treatment require attention, circumspection and experience, since this form of dysgnathia can occur in all conceivable combinations and configurations. The clinical image of mandibular retrognathism can be assigned to a dento-alveolar or skeletal Class II with cause in the mandible only or in combination with retrusion of the maxilla.
The standard surgical approaches for correction are based mainly on the bilateral splitting osteotomy (BSSO) and mandibular advancement with or without genioplasty [2,3,4].
Combined orthodontic-orthognathic surgery began with treatments in the mandible. A variety of osteotomy techniques were presented before the bilateral sagittal split procedure according to Obwegeser and Dal Pont (BSSO), often in conjunction with the modification according to Hunsuck and Epker, became the standard procedure worldwide and proved to be the superior surgical procedure in the mandible [2,3,5,6]. The BSSO allows positional correction of almost all mandibular malocclusions. The functionally stable osteosynthesis with osteosynthesis plates according to Champy finally also allowed the wide advancement of the mandible with simultaneous stable fixation. Finally, bimaxillary correction procedures completed the standard repertoire of orthognathic surgery [7,8,9,10].
Safer anesthetic and surgical procedures, treatment concepts, and digital three-dimensional planning pushed the boundaries of orthognathic correction surgery indications toward elective facial aesthetic surgery and into younger stages of life. Orthodontic treatments also benefited primarily from digital planning and simulation capabilities [11,12]. However, some problems of combined orthodontic and orthognathic surgery remained unsolved. To name the two most important: Growth remains unpredictable and interventions in biological systems can produce undesirable effects. Early functional treatment of children in the mixed dentition phase is used to correct deficient growth and is well established in orthodontics. However, if growth is absent and the cooperation of the still young patients is insufficient, the treatment may fail. The resulting frustration must be shared by the young patients, the parents and the practitioner.
In the case of a Class II occlusion, there are two basic options: terminate treatment without achieving the desired result or switch to a combined approach including surgery. This is often seen as critical, especially by parents. If surgical correction is considered, there are again two options: Operate while the child is still growing or wait until the end of growth and then intervene correctively. The standard treatment would be BSSO with mandibular advancement. It is the BSSO before the end of growth that cannot prevent later recurrences.
The possibilities of therapeutically effective uses of distraction osteogenesis (DOG) in young growing individuals has been known for a long time [13]. Coceancig has recognized this potential and adapted DOG to the intermolar mandibular distraction osteogenesis (IMDO) treatment in young patients before pubertal growth has started [14].
The advantage for the young patient results from the hypothesis that, if the result is stable, a new start of treatment with a long orthodontic procedure combined with surgery can be avoided after growth completion. The disadvantage in distraction therapy is that a second surgery is always needed to remove the devices and in the IMDO the risk of root damage of the molars in the mandible is present.
The aim of this study is to present our experience with IMDO.
2. Materials and Methods
2.1. Study Population
This is a retrospective case series of patients during pubertal growth who underwent IMDO. Patients were referred to the Department of Cranio-Maxillofacial Surgery at the Maastricht University Medical Center (MUMC+) between January 2016 and December 2020. All patients showed marked mandibular retrognathism and, in some cases, dental retrusion in the anterior maxilla, which is typical for a Class II/2 dysgnathia and a severe overjet of >10 mm [15]. Orthodontic treatment with functional appliances [16,17,18] was not allowed to be successful or was impossible. In most cases the functional appliances were not worn by the patients. In other cases, the expected growth of the mandible did not occur.
Surgeon and orthodontist discussed possible treatment options with the patients and their parents:
- Postponement of treatment until the end of adolescence and dental arch compensation to allow maximum function and start orthodontic treatment at the end of growth, involving: 1. orthodontic pre-treatment by decompensating the dentition (1–1.5 years); 2. mandibular advancement (BSSO); 3. leveling and aligning the dentition with braces (6–10 months). Total treatment time of 2–2.5 years.
- Continuation of treatment with 1. immediate decompensation of the upper and lower incisors (4–8 months) followed by; 2. IMDO treatment. The decompensation does not have to be fully completed before surgery. 3. Activation of the distractors and bony consolidation until removal of the distraction devices (3–4 months). 4. Level and alignment of the dentition (6–12 months). Total treatment time of 1–2 years.
Patients were informed about the advantages and disadvantages of both treatment options and could choose which option was most suitable to them.
The indication for IMDO before the pubertal growth spurt was made as in classical DOG treatment in order to include the pubertal growth spurt [14,19,20,21]. When patients opted for IMDO treatment, the procedure and its risks were discussed in detail; this was documented.
Due to the dynamic nature of the IMDO procedure, we did not expect any negative effects on the temporomandibular joint (TMJ) due to the adaptation processes during the pubertal growth spurt. The aim of the treatment was to perform IMDO of the mandible during the pubertal growth spurt, to avoid further treatment at a later age.
2.2. Outcomes
The outcomes of this study were the mean reached advancement of the mandible, the occurrence of complications and the final result.
2.3. Planning and Follow-Up
Cone-beam computed tomography (CBCT) was used for the diagnostic workup and the planning of the operation. The Nemotec® program (Biotech, Madrid, Spain) was used for digital preoperative planning (Figure 1). Postoperatively, subjects were evaluated with conventional radiology or CBCT immediately after surgery and at the end of the distraction treatment.

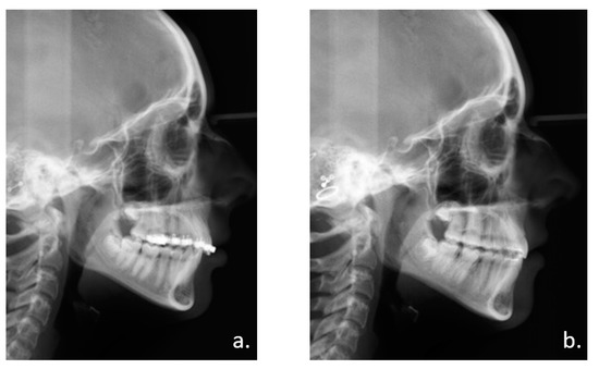
Figure 1.
Cephalometric analysis before Intermolar mandibular distraction osteogenesis (IMDO) treatment. (a) Class II/1 occlusion. (b) Desired mandibular advancement distal to the first mandibular molar.
2.4. Treatment Sequence
- Pre-operative orthodontic treatment
If possible, a small gap was created orthodontically between the distal root of the first mandibular molar and the mesial root of the second molar. This is where the transverse intermolar osteotomy is performed (Figure 2). The class II/2 relation in the upper jaw was decompensated as much as possible by orthodontic treatment.
Figure 2.
Distractor placement in the molar region of the lower jaw. Osteotomy between first and second molar. © Copyright Kei Koyama 2020. All rights reserved.
- 2.
- Surgical procedure
All patients were treated under general anesthesia via nasal intubation. Peri- and postoperatively, patients were shielded with antibiotics for one week. After incision of the mucosa from the second premolar to the retromolar region in the deepest point of the vestibular crease the mental foramen was identified. After subperiosteal preparation a fine fissure drill was used to mark the vertical osteotomy line between the first and second molars. The distractors used were the Zurich Pediatric Ramus Distractors® and the Zurich II Distractors® from KLS Martin (Tuttlingen, Germany) with a distraction length of 20 mm. The distractor was adapted and temporarily fixed before osteotomy. Since DOG is unidirectional, care must be taken to ensure that the distraction vector is aligned as parallel as possible to the occlusal plane. Only in cases of an extreme deep bite, the vector must be directed slightly caudally. After removal of the distractor, the buccal cortical osteotomy was completed with a fine Lindemann drill and deepened between the roots with the micro saw and a fine straight 5 mm chisel. The osteotomy in the mandibular canal and lingual cortical region was performed with utmost care. The osteotomized jaw segments were mobilized and the distractor was definitely fixed. An identical procedure was performed on the opposite side. The distractors were then activated to check function and vector direction. Hemostasis and wound irrigation with saline before wound closure with Vicryl® 4x0 (Ethicon, Somerville, NJ, USA) were performed. Care was taken to ensure a comfortable position of the activation rods, which were mostly located in the fold of the envelope behind the lower lip.
- 3.
- Active distraction
One week postoperatively patients were advised to start with distractor activation once a day by 0.5 mm. If there was no midline deviation, symmetrical activation on both sides was advised. Duration of the active treatment phase depended on the growth deficit of the mandible. Once a week patients were seen by the orthodontist or surgeon. The activation was stopped when cusps and molars were in class I relation or a slight overcorrection was reached.
- 4.
- Consolidation period
After active distraction, a consolidation period of approximately 8 to 12 weeks followed. To make this period more convenient the activation rods were detached. All patients had reached a class I occlusion at the end of the combined orthodontic-orthognathic procedure. After active distraction and a consolidation interval of 3–5 months the distractors were removed.
- 5.
- Distractor removal
General anesthesia was again required for distractor removal.
- 6.
- Orthodontic treatment was continued after distractor removal until a perfect class I occlusion had been reached.
For this study we have measured the length of advancement of the mandible. All measurements were conducted from the panoramic X-rays one day postoperatively and just preoperatively to distractor device removal. The difference in length of the distractor on each side was measured on these X-rays. Since the actual length of the distractor device is known, the scale from image to reality could be calculated. Finally the measured number could be converted to the actual distance of advancement.
3. Results
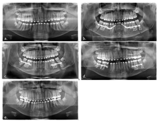
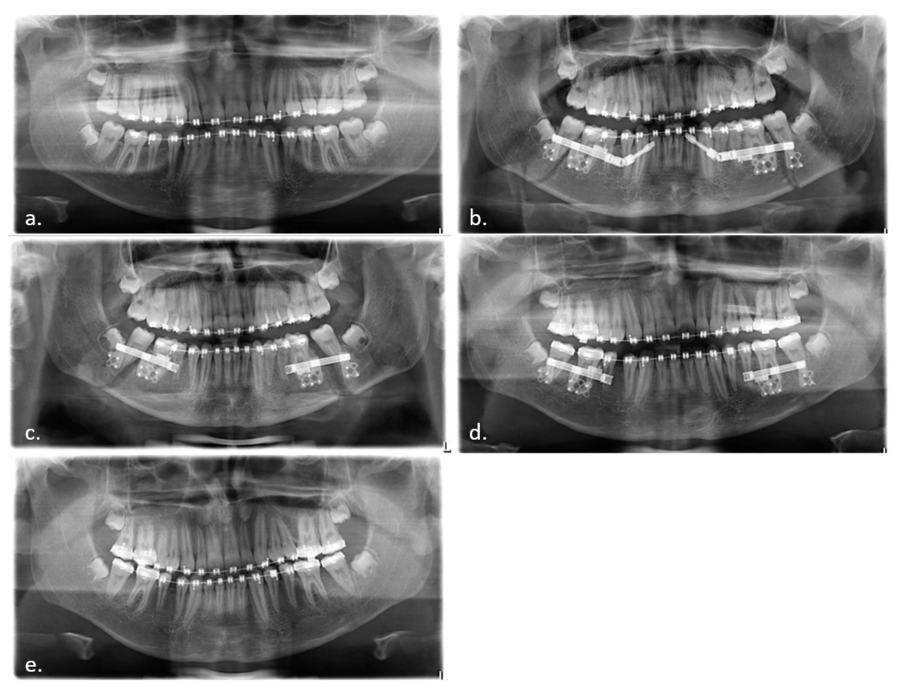
Like any distraction treatment, IMDO is a dynamic procedure that requires regular radiological and clinical monitoring (Figure 3, Figure 4 and Figure 5).
Figure 3.
Radiological follow-up. Panoramic X-rays: (a) Before IMDO. Note the small diastema between the first and second molars of the mandible. (b) Control after distractor placement. Note the symmetrical axis tilt of the distractors. (c) End of active distraction treatment and removal of activation rods for more patient comfort. (d) Bone consolidation 10 weeks after end of distractor activation. (e) After removal of the distractors.
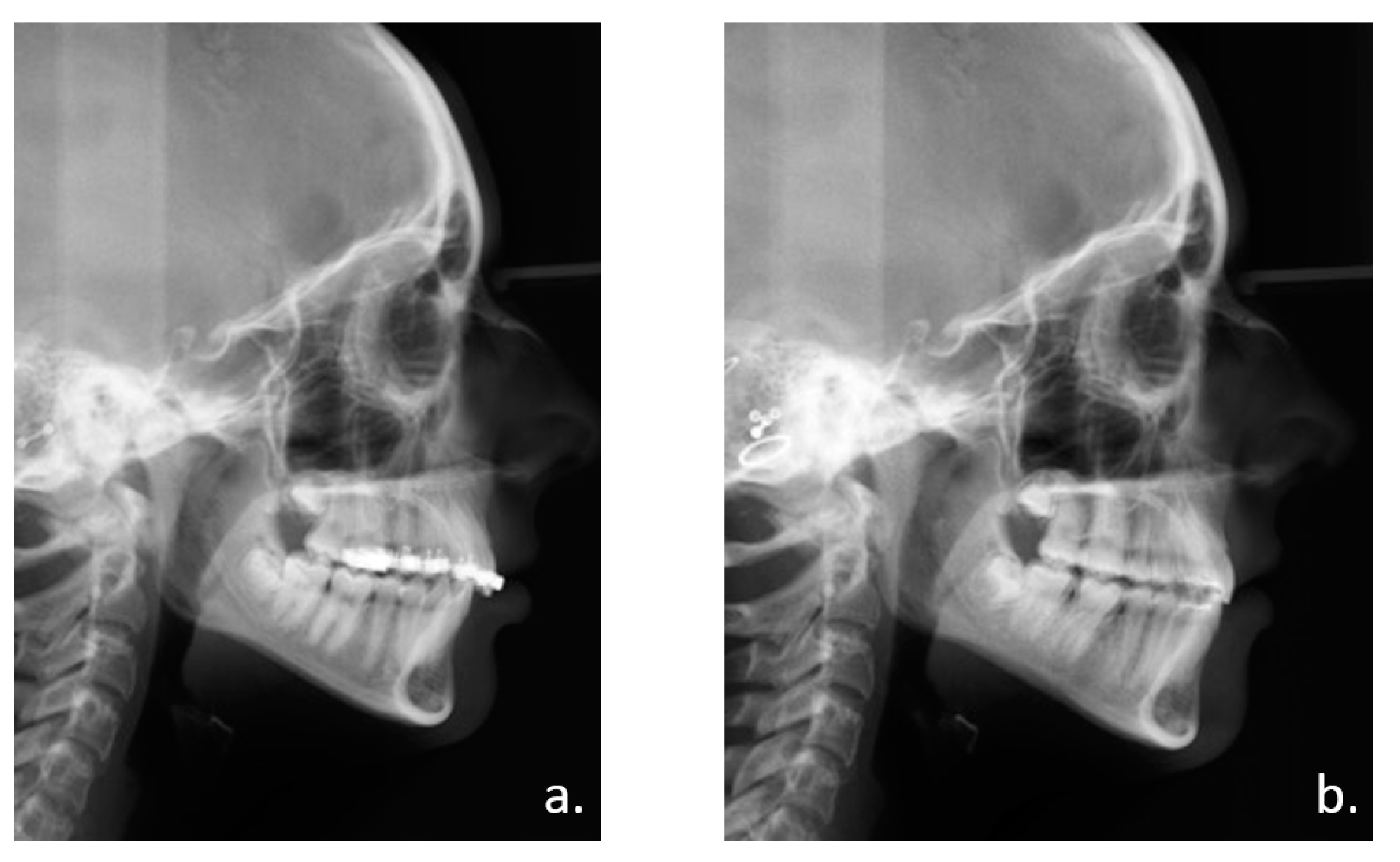
Figure 4.
Lateral skull view (a) before and (b) after treatment with IMDO.
Figure 5.
Clinical follow-up. Photographic documentation of two patients: (a) 12-year old patient with class II/2 occlusion before and after end of combined orthodontic and IMDO treatment. (b) 12-year old patient with class II/1 occlusion and traumatic deep bite before and after end of combined orthodontic and IMDO treatment.
Detailed case data descriptions are provided in Table 1. In total, 20 patients (11 male and 9 female) with a mean age of 14.8 (SD = 0.9) years were included. In all cases, the combined orthodontic-surgical treatment was successfully completed. Patients had little facial swelling postoperatively and pain medication was needed for only one week in most patients. An average gain in horizontal mandibular length of 9.6 mm (SD = 3.7 mm) could be achieved. In one patient, premature bone maturation was seen in the distraction gap, forcing re-osteotomy.
Table 1.
Patient characteristics.
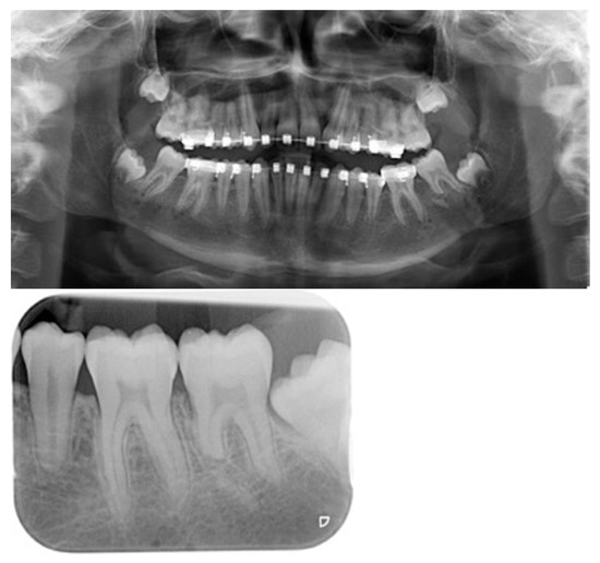
All patients achieved a Class I occlusion, which remained stable until the data collection of this publication. Infections that would have led to premature distractor removal were not observed. However, in one patient an abscess in the region of the activation rod had to be treated by evacuation. No functional impairment of the sensitive function of the third branch of the trigeminal nerve was noted. In nine patients, fractures of the mesial root of the second molar occurred at different levels during osteotomy (Figure 6). Three second molars had to be removed, one molar with root fracture was treated endodontically. Resorptions of the fractured root fragments were seen during follow-up.
Figure 6.
Postoperative x-ray documentation of an unintentional root tip amputation in the second molar in the left mandible during an IMDO treatment. Consolidation of the root stump with resorption of the root fragment.
The average time between insertion and removal of the distractors lasted 4.6 months (SD = 1.5 mths). One distractor side showed premature consolidation before the distraction was completed. During distractor removal the jaw position was corrected surgically.
The removal of the distractors after the consolidation period was without complications.
4. Discussion
We have applied IMDO treatment to 20 patients so far. The treatment was successfully completed in all patients. A class I occlusion was achieved in all of them, taking advantage of the pubertal growth spurt and removing the distractors only after complete osseous consolidation in the distraction region. A slight overcorrection of mandibular advancement was attempted. Despite two surgical procedures, the overall treatment was experienced as low distress. Hyp- or anesthesia in the spreading area of the third trigeminal branch was not observed, one infection occurred in the area of the activation rods. Three-dimensional facial development associated with the pubertal growth spurt showed satisfactory aesthetic results, which provided great satisfaction to the young patients and their families. Because this is a retrospective case series, the power of this study is limited. In the future, we want to start a prospective study on this procedure and evaluate patient satisfaction with validated questionnaires.
Lengthening the human mandible by DOG is an accepted treatment to correct severe mandibular hypoplasia [22,23]. Due to the neo-osteogenesis an increasing width of the mandible is achieved and extra space for alignment of the teeth can be created. This in contrast to the BSSO technique, where the advancement is achieved behind the row of teeth without creating extra space for dental alignment. Because of the forward replacement of the anterior segment of the mandible, without major changes of the proximal mandibular segment, positive effects of the posterior airway space are expected as a secondary gain [24,25].
A major and unexpected disadvantage occurred in nine patients. In our clinic we have a long experience in performing treatments based on distraction osteogenesis of the mandible and maxilla, but also of the midface, in patients of different ages. In addition, we regularly perform surgically assisted maxillary expansion (SARME) with a corticotomy between the central incisors and multi-part maxillary osteotomy with a corticotomy between the lateral incisors and the canines or between the canines and the premolars. Although we know that there is a risk of root damage in these cases, we have never seen problems of this nature in our patients. To be honest, we did not expect this complication to be so common with the IMDO procedure. This is an important reason for us to publish this critical evaluation of this procedure and to find a way to improve our technique to minimize and avoid this complication.
Despite careful procedures and the use of micro saws to cut through the buccal cortex, fractures of the mesial root of the second molar distal to the osteotomy line occurred, three second molars had to be removed. Root damage after distraction osteogenesis has been reported before [26]. A total of three experienced surgeons were involved in the procedures, and this unexpected complication occurred in all of them. Presumably, forces occur during transverse osteotomy with the fine 5 mm chisel that resulted in root fracture. A deeper notch of the jaw from the lateral side can lead to the endangerment of the structures in the mandibular canal. Therefore, chisels and small osteotomes should be used after transection of the cortical bone. We were able to rule out direct trauma. As known from distraction treatment of the mandible, the lingual side is not directly osteotomized, but fractures spontaneously and at random. This spontaneous fracture can also lead to forces on the mesial root of the second molar, resulting in a root fracture. Whether the piezo technique can help to avoid this undesirable event remains to be investigated. The piezo technique was not used in this clinical study.
As this were the first cases in our hospital, we drew consequences after the first roots were damaged. So we adjust our treatment plan and asked our orthodontic colleagues to create a diastema between the first and second molars, if possible, in order to widen the interradicular osteotomy region. In addition, we used osteotomy guides based on three-dimensional digital planning in the last patients to cut the intermolar space with the greatest possible precision [27,28]. Despite these measures, the risk of root fracture could not be excluded.
In any case, this complication requires clarification before further patients should be treated. A possible procedure is the careful stretching of the interdental bone space with wedges in order to promote spontaneous osteotomy of the lingual cortex through the inherent elasticity of the cancellous bone without exposing the radices of the adjacent teeth to a risk of fracture through the uncontrolled application of force [14].
Furthermore, we expect IMDO treatment to result in a stable outcome. The expectation of residual growth in class II growth patterns is very low and usually by the end of treatment the end of the pubertal growth spurt has already been reached. Growth that could have influenced the treatment outcome was not present in our cases. Only orthodontic inclination corrections of the incisors were necessary to establish a stable Class I. We will only be able to assess the influence of the distraction forces acting horizontally on the mandibular body on the temporomandibular joint after longer follow-up. Whether these forces have a negative effect on the subcondylar growth zone in the ascending mandibular branch or the condylar head remains to be seen. To date, we have not observed any negative effects on mandibular mobility or mouth opening. We will present data on this at a later date.
5. Conclusions
In summary, we have been able to achieve satisfactory results with IMDO so far. An unexpected disadvantage was the occurrence of root fractures. A significant advantage in terms of patient satisfaction may also be due to the fact that the entire treatment could be completed in a relatively manageable period of time. The aesthetic benefit of harmonizing the facial features at this sensitive age should not be underestimated in the positive assessment. Three questions remain unanswered at this time: How did the fractures of the medial roots of the second molar occur? Are the results obtained stable in terms of occlusion? What influence does the dynamic distraction treatment have on the temporomandibular joint? We consider the damage of the roots of the teeth adjacent to the osteotomy as a still unsolved problem despite the high patient satisfaction. Before continuing this form of therapy, this issue should be brought to a technical solution.
Author Contributions
Conceptualization, N.M.P.V., P.A.W.H.K. and S.A.N.L.; methodology, B.H.B.T.E., N.M.P.V., P.A.W.H.K. and S.A.N.L.; software, N.M.P.V., P.A.W.H.K., S.A.N.L. and V.C.M.L.T.; validation, B.H.B.T.E., N.M.P.V., P.A.W.H.K., S.A.N.L. and V.C.M.L.T.; formal analysis, B.H.B.T.E., N.M.P.V., P.A.W.H.K., S.A.N.L. and V.C.M.L.T.; investigation, B.H.B.T.E., N.M.P.V., P.A.W.H.K., S.A.N.L. and V.C.M.L.T.; resources, B.H.B.T.E., N.M.P.V., P.A.W.H.K. and S.A.N.L.; data curation, B.H.B.T.E., N.M.P.V., P.A.W.H.K. and S.A.N.L.; writing—original draft preparation, B.H.B.T.E., P.A.W.H.K. and S.A.N.L.; writing—review and editing, B.H.B.T.E., N.M.P.V., P.A., P.A.W.H.K. and S.A.N.L.; visualization, N.M.P.V., P.A.W.H.K., S.A.N.L. and V.C.M.L.T.; supervision, P.A.W.H.K.; project administration, B.H.B.T.E., N.M.P.V., P.A.W.H.K. and S.A.N.L.; funding acquisition, not applicable. All authors have read and agreed to the published version of the manuscript.
Funding
This research received no external funding.
Institutional Review Board Statement
The study was performed with the approval of the research ethics committee (Medical Ethics Committee of University Hospital of Maastricht, Niet-WMO verklaring METC 2021-2645), in accordance with the Declaration of Helsinki, and all participants provided their written informed consent of participation in this study.
Informed Consent Statement
Written informed consent has been obtained from the patient(s) to publish this paper.
Data Availability Statement
The data presented in this study are available on request from the corresponding author. The data are not publicly available due to privacy of the patients.
Conflicts of Interest
The authors declare no conflict of interest.
References
- Vaden, J.L.; Williams, R.A.; Goforth, R.L. Class II correction: Extraction or nonextraction? Am. J. Orthod. Dentofac. Orthop. 2018, 154, 860–876. [Google Scholar] [CrossRef]
- Dal Pont, G. L’ osteotomia retromolare per la correzione della progenia. Minerva Chir 1958, 18, 1138. [Google Scholar]
- Epker, B.N. Modifications in the sagittal osteotomy of the mandible. J. Oral Surg. 1977, 35, 157–159. [Google Scholar] [PubMed]
- De Lange, J.; Baas, E.M. Comparative evaluation of vertical body osteotomy and sagittal split osteotomy for mandibular corpus distraction: Is there a rationale for the new technique? J. Oral Maxillofac. Surg. 2011, 69, 2281–2282. [Google Scholar] [CrossRef]
- Obwegeser, H.L. Zur Operationstechnik bei der Progenie und anderen Unterkieferanomalien. Dtsch Z. Kieferheilk. 1955, 23, 1–26. [Google Scholar]
- Hunsuck, E.E. A modified intraoral sagittal splitting technic for correction of mandibular prognathism. J. Oral Surg. 1968, 26, 250–253. [Google Scholar] [PubMed]
- Champy, M.; Lodde, J.P.; Schmitt, R.; Jaeger, J.H.; Muster, D. Mandibular osteosynthesis by miniature screwed plates via a buccal approach. J. Maxillofac. Surg. 1978, 6, 14–21. [Google Scholar] [CrossRef]
- Luhr, H.G. Entwicklung der modernen Osteosynthese. Mund- Kiefer-und Gesichtschirurgie 2000, 4, 84–90. [Google Scholar] [CrossRef]
- Steinhäuser, E.W. Rückblick auf die Entwicklung der Dysgnathiechirurgie und Ausblick. Mund- Kiefer-und Gesichtschirurgie 2003, 7, 371–379. [Google Scholar] [CrossRef]
- Borstlap, W.A.; Stoelinga, P.J.; Hoppenreijs, T.J.; van’t Hof, M.A. Stabilisation of sagittal split advancement osteotomies with miniplates: A prospective, multicentre study with two-year follow-up. Part I. Clinical parameters. Int. J. Oral Maxillofac. Surg. 2004, 33, 433–441. [Google Scholar] [CrossRef] [PubMed]
- Kessler, P.; Wiltfang, J.; Teschner, M.; Girod, B.; Neukam, F.W. Computergestützte Simulationsmöglichkeiten in der orthopädischen Chirurgie. Mund- Kiefer-und Gesichtschirurgie 2000, 4, 373–376. [Google Scholar] [CrossRef] [PubMed]
- Plooij, J.M.; Maal, T.J.; Haers, P.; Borstlap, W.A.; Kuijpers-Jagtman, A.M.; Berge, S.J. Digital three-dimensional image fusion processes for planning and evaluating orthodontics and orthognathic surgery. A systematic review. Int. J. Oral Maxillofac. Surg. 2011, 40, 341–352. [Google Scholar] [CrossRef] [PubMed]
- McCarthy, J.G. The role of distraction osteogenesis in the reconstruction of the mandible in unilateral craniofacial microsomia. Clin. Plast. Surg. 1994, 21, 625–631. [Google Scholar] [CrossRef]
- Garcia-Piña, J.C.P. Inter-molar mandibular distraction osteogenesis (IMD=), why and when to do it. Int. J. Oral Maxillofac. Surg. 2019, 48, 118. [Google Scholar] [CrossRef]
- Hoppenreijs, T.J.; Freihofer, H.P.; Stoelinga, P.J.; Tuinzing, D.B.; van’t Hof, M.A. Condylar remodelling and resorption after Le Fort I and bimaxillary osteotomies in patients with anterior open bite. A clinical and radiological study. Int. J. Oral Maxillofac. Surg. 1998, 27, 81–91. [Google Scholar] [CrossRef]
- Clark, W.J. The twin block technique. A functional orthopedic appliance system. Am. J. Orthod. Dentofac. Orthop. 1988, 93, 1–18. [Google Scholar] [CrossRef]
- Clark, W.J. The Twin Block technique. Part 1. Funct. Orthod. 1992, 9, 32–34; 36–37. [Google Scholar]
- Clark, W.J. The twin block technique. Part 2. Funct Orthod. 1992, 9, 45–49. [Google Scholar]
- Yu, J.C.; Fearon, J.; Havlik, R.J.; Buchman, S.R.; Polley, J.W. Distraction Osteogenesis of the Craniofacial Skeleton. Plast. Reconstr. Surg. 2004, 114, 1E–20E. [Google Scholar] [CrossRef]
- Diner, P.A.; Tomat, C.; Hamou, C.; Vazquez, M.P.; Picard, A. Maxillary and mandibular distraction osteogenesis in growing patients: Lessons learned after 14 years and update on indications. Ann. R. Australas. Coll. Dent. Surg. 2008, 19, 116–122. [Google Scholar]
- Schreuder, W.H.; Jansma, J.; Bierman, M.W.; Vissink, A. Distraction osteogenesis versus bilateral sagittal split osteotomy for advancement of the retrognathic mandible: A review of the literature. Int. J. Oral Maxillofac. Surg. 2007, 36, 103–110. [Google Scholar] [CrossRef] [PubMed]
- Kessler, P.; Wiltfang, J.; Merten, H.A.; Neukam, F.W. Distraktionsostogenese der Mandibula bei kraniofazialen Fehlbildungen. Mund- Kiefer-und Gesichtschirurgie 2000, 4, 178–182. [Google Scholar] [CrossRef] [PubMed]
- Wiltfang, J.; Hirschfelder, U.; Neukam, F.W.; Kessler, P. Long-term results of distraction osteogenesis of the maxilla and midface. Br. J. Oral Maxillofac. Surg. 2002, 40, 473–479. [Google Scholar] [CrossRef] [PubMed]
- Breik, O.; Tivey, D.; Umapathysivam, K.; Anderson, P. Mandibular distraction osteogenesis for the management of upper airway obstruction in children with micrognathia: A systematic review. Int. J. Oral Maxillofac. Surg. 2016, 45, 769–782. [Google Scholar] [CrossRef]
- Ruckschloss, T.; Ristow, O.; Berger, M.; Engel, M.; Freudlsperger, C.; Hoffmann, J.; Seeberger, R. Relations between mandible-only advancement surgery, the extent of the posterior airway space, and the position of the hyoid bone in Class II patients: A three-dimensional analysis. Br. J. Oral Maxillofac. Surg. 2019, 57, 1032–1038. [Google Scholar] [CrossRef]
- Merli, M.; Merli, M.; Triaca, A.; Esposito, M. Segmental distraction osteogenesis of the anterior mandible for improving facial esthetics. Preliminary results. World J. Orthod. 2007, 8, 19–29. [Google Scholar]
- Wang, C.; Chen, Y.; You, Y.; Wang, M.; Lv, C.; Gui, L. Surgical Template to Minimize the Damage of Tooth Buds in Young Children With Mandibular Distraction Osteogenesis. J. Craniofac. Surg. 2016, 27, 1732–1734. [Google Scholar] [CrossRef]
- Yin, L.; Tang, X.; Shi, L.; Yin, H.; Zhang, Z. Mandibular distraction combined with orthognathic techniques for the correction of severe adult mandibular hypoplasia. J. Craniofac. Surg. 2014, 25, 1947–1952. [Google Scholar] [CrossRef]
Publisher’s Note: MDPI stays neutral with regard to jurisdictional claims in published maps and institutional affiliations. |
© 2021 by the authors. Licensee MDPI, Basel, Switzerland. This article is an open access article distributed under the terms and conditions of the Creative Commons Attribution (CC BY) license (https://creativecommons.org/licenses/by/4.0/).






