You are currently viewing a new version of our website. To view the old version click .
Applied Sciences
  • Article
  • Open Access

12 December 2021

Comparative Study on the Role of Berberine and Berberis lycium Royle Roots Extract against the Biochemical Markers and Cyclin D1 Expression in HCC Animal Model

,
,
,
,
,
,
,
,
and
1
Colin Ratledge Center for Microbial Lipids, School of Agriculture Engineering and Food Science, Shandong University of Technology, Zibo 255000, China
2
Department of Botany and Microbiology, Faculty of Science, Al-Azhar University, Assiut 71524, Egypt
*
Authors to whom correspondence should be addressed.
These authors contributed equally to this paper as first authors.
This article belongs to the Special Issue Natural Compounds with Antimicrobial and Immunomodulatory Activity

Abstract

Diethylamine nitrosamine (DEN), as an initiator of liver tumor, and carbon tetrachloride (CCl4), as a tumor promoter, have been used to study the molecular events of liver cancer in animal models. Recently, our in vitro study reported BLE (Berberis lycium Royle ethanol extract) as the most effective agent against liver cancer, thus we continued our study in vivo to assess the hepatoprotective effect of BLE and its most active alkaloid, berberine, in albino mice (70 male). Moreover, we investigated the biochemical/immunohistochemical effects of a single alkaloid versus the effect of Berberis extract in mice liver. Hepatic cancer was induced in mice by a single intraperitoneal injection with DEN (100 mg/kg b.wt), followed by biweekly injections of CCl4 (0.5 mL/kg) for 30 days. The development of liver cancer was assessed after 60 days of DEN injection by measuring the elevated level of the serum tumor marker alpha-fetoprotein (AFP) and liver function test (ALT, AST, ALP, and BUN) markers. After the confirmation of liver cancer development, the BLE extract and berberine were fed to mice for 90 days and the serum biomarkers for liver injury (LFTs and AFP) were measured again. Overall, berberine (120 mg/kg b.wt) proved to be a stronger agent in reducing the symptoms of HCC in mice, as compared with BLE. Histopathological analysis agreed well with the biochemical observations. Immunohistochemistry analysis suggested significant suppression of the quantitative expression of the key oncogene cyclin D1 at low (60 mg/kg) and high (120 mg/kg) doses of berberine. These findings implicate the amelioration of hepatocarcinoma by berberine more prominently in mice, by suppression of cyclin-dependent kinase activator (CD1) expression, reducing LFTs, as well as AFP, in the serum. Thus, our findings are novel, as berberine may help in controlling the perturbation in CD1 associated with aggressive forms of HCC. However, future studies should be directed at finding out whether berberine has any effect on inhibitors (p27 and CDKI) of cyclin-dependent kinase too.

1. Introduction

Liver cancer, particularly hepatocellular carcinoma (HCC), is the fourth largest emerging cause of global deaths [1]. The various risk factors for HCC induction are excessive consumption of alcohol, hepatitis, diabetes, and exposure to toxic chemicals, such as nitrosamines [2]. Diethyl nitrosamine (DEN) is an acute hepatotoxic chemical that induces carcinogenesis in many animals [3]. It has been found in various drinks and foods, such as beer and meat [4]. The carcinogenic properties of nitrosamines, especially DEN, make it most suitable for developing hepatic cancer in rodent species, as a model of HCC [5]. DEN at 10–90 mg/kg of body weight usually induces chronic hepatocarcinogenesis in rodents [6]. It forms free radicals (diethyl) that produce mutation by reacting with DNA, and sets forth oncogenesis [7]. DEN, along with CCl4, has previously been used in rodents to study the processes of liver inflammation, fibrosis, and hepatocellular carcinoma [5]. HCC is a complex disease that involves multiple signaling pathways, which makes it difficult to cure with a single therapeutic agent [8]. Moreover, as it is diagnosed at an advanced stage, for which traditional radiotherapy, chemotherapy, or surgical resection prove to be insufficient therapies, it is accompanied by poor prognosis and many side effects. Using herbal medicines to cure the recurrence of liver cancer has already gained considerable attention from oncologists during recent times [9]. Therefore, the use of a targeted agent or a natural compound that can regulate multiple cellular signaling pathways became a novel approach to cure HCC patients [10].
B. lycium Royle is a medium-sized (2.7–3.6 m height) green shrub that belongs to the family Berberidaceae [11]. It is abundantly distributed in Asia, Europe, and America. The roots, stem, bark, and fruits have been used in ayurvedic medicines [12]. Berberis and its active alkaloid berberine have been indicated to have many pharmacological effects [13]. The roots of B. lycium Royle from the Himalayan region have a higher content of berberine, as compared to the stem and other parts of the plant [14]. B. lycium Royle stem bark-based ethanol extract effectively reduced LFT serum markers at a high dose of 200 mg/kg, as compared to 150 mg/kg of extract in isoniazid-induced liver toxicity in mice [15]. The antitumor potential of berberine has already been proven against brain tumor cells [16], and doxorubicin-induced liver toxicity in mice [17]. Previously, the crude extract of this plant has either been used in combination with other herbs or isolated; if used isolated, the study design and evaluated markers were limited [13].
There is much evidence supporting the consumption of plants [18], as the crude plant extract contains a cocktail of various phytometabolites exerting a strong anti-cancer effect, as compared to isolated phytochemicals [19,20,21,22]. Moreover, as we have previously reported, the strong in vitro anticancer potential of 50% ethanol-based (BLE) crude root extract from B. lycium Royle against HepG2 cells (IC50 = 47 µg/mL) and berberine was detected by HPLC as a major bioactive compound [11]. We speculated whether this BLE extract is also effective against hepatocellular carcinoma in vivo, in comparison with its activity with frequently reported [11,12,23] isoquinoline berberine. We continued our study to evaluate the difference in the strong anti-cancer potential of BLE and berberine in DEN + CCl4-induced liver cancer in Balb-c mice, for the first time according to our knowledge.
The role of the positive activator (CD1) of cyclin-dependent kinases that are involved in regulating the cell cycle, growth, and metastasis of tumors has been well established in many types of cancers, including thyroid [24], parathyroid adenoma [25], colon cancer [26], breast cancer [27], melanoma [28], lymphoma [29], and prostate cancer [30]. Previously, an in vitro study on HL-60 cells reported that berberine and the butanolic extract of B. lycium Royle roots inhibited the expression of proto-oncogene CD1, activated chk2, and caused degradation of protein Cdc25, which subsequently resulted in inactivation of CDK1 [23]. The activation of cyclin D and cyclin A has also been reported in hepatocellular carcinoma cases [31]. In addition, the molecular/cellular targets of berberine are also poorly understood. Thus, we intended to evaluate the role of CD1 in a HCC mouse model based on immunohistochemistry analysis, to determine the quantitative expression of this vital tumor marker in HC, by feeding mice with the BLE extract and berberine.

2. Materials and Methods

2.1. Reagents and Materials

Berberine hydrochloride was purchased from Sigma Chemical Co. (SL, USA). Diethyl nitrosamine (DEN) and formalin were obtained from Alladin—China. ALT, AFP and ALP analysis kits were obtained from Zecen Biotechnology Co., Ltd. (Jiangsu, China) for HE staining, the chemicals used during study were xylene, anhydrous alcohol and eosin, (obtained from China National Medicines Co. Ltd., Beijing, China), and hematoxylin dye solution (ZLI-9609) and neutral balsam (ZLI-9555) were obtained from Zhongshan Golden Bridge Bio-technology, Beijing, China. Other reagents and apparatus included a fully automatic dehydrator (Leica ASP200S), paraffin slicer (Leica RM2235), baking table (Leica HI1220), water bath crock (Leica HI1220), heating paraffin embedding system (Leica G1150 H), and a microscope (Leica DM3000).
For AFP analysis, an ELISA kit (MDL MD6596) and enzyme standard instrument (BIO-RAD 550) were used. All the used chemicals were of analytical grade in the current study. Seventy Balb/c male albino mice, five to six weeks old (weight 18–22 g), were purchased from Kunming, China. Cyclin D1 antibody was purchased from Santa Cruz Biotechnology (Santa Cruz, CA, USA). Animal care and ethics were strictly followed according to the guidelines from the Shandong University of Technology Animal Care Committee.

2.2. Extraction of Plant

B. lycium Royle roots were collected during Feb–March 2019 from the Patriata, New Murree, hills of Pakistan located at north latitude 33° 54r 30r and east longitude 73° lode 33°, 7500 feet above sea level. They were compared to the plant with specimen No. 125174 from the herbarium in the Department of Plant Sciences, Quaid-i-Azam University, Islamabad. The plant was identified by Dr. Xioa Haifang from the Department of Agriculture Engineering and Food Science, Shandong University of Technology, China. The extract was prepared exactly the same as previously prepared by us for in vitro experiments [11].

2.3. Methods

The lab-based controlled randomized study was conducted in the animal house of the Department of Life Sciences, Shandong University of Technology from 14 May to 22 October 2019. The mice were kept in animal house facility in cages and provided with free access to pellet food and clean drinking water. The animal house was provided with temperature and humidity maintenance at 25 °C, with light and dark cycles. Animals were acclimatized to the animal house environment for one week before starting the experiments. Permissions for animal experiments were taken from the Institutional Animal Care and Use Committee, Shandong University of Technology. All the principles and procedures complied with the relevant criteria and institutional guidelines of the National Regulation of China for Care and Use of Laboratory Animals and Regulations of China for the Administration of Affairs Concerning Laboratory Animals. After a week, mice were weighed again and DEN was injected at a dose of 100 mg/kg b.wt by single intra-peritoneal dose, followed by oral feed of CCl4 (0.5 mL/kg, already dissolved in corn oil) two times per week for 30 days with slight modification as utilized in previous studies [32] to induce HCC in mice. We waited for a total of 60 days for mice to develop HCC. HCC was induced in these mice to mimic the human internal pathogenesis of HCC. After 60 days of HCC induction and confirmation by measuring AFP and LFT levels in the mice serum, the animals were divided into six groups with 8 animals in each group. Group 1 was a normal control group fed with fresh water and normal diet, group 2 was a DEN carcinogenic control, group 3 was fed with the BLE extract (60 mg/kg b.wt), group 4 with 120 mg/kg b.wt of BLE extract, group 5 with (60 mg/kg b.wt) berberine feed and group 6 with 120 mg/kg of b.wt berberine. After 60 days of DEN injection and CCl4 treatment, we started the treatment of mice with the above-mentioned extract and berberine. The treatment with the extract and berberine was continued for a period of 90 days.

2.3.1. Drug Preparation

B. lycium Royle crude extract as we prepared previously [11] was semi-solid in consistency and dark brown in color. It was taken from −80 °C storage. It was dissolved in 0.9% saline water and completely dissolved by sonication for 30 min. The same procedure was repeated for berberine chloride to dissolve in hot water. The working dose was prepared from these stocks by further dilutions in distilled water. The berberine was administered at a dose of 60 mg/kg of b.wt and 120 mg/kg b.wt and the extract was also administered at the same respective doses by oral gavage. The dosage was decided based on our preliminary experiments.

2.3.2. Blood Sample Processing

Blood samples were initially collected from control and DEN-treated mice after 60 days of DEN and CCl4 treatment, to measure the AFP level in order to identify the development of liver cancer in mice. Finally, blood was collected from the mice after 90 days of treatment with the extract and berberine to measure the serum AFP, LFT and bilirubin content in the blood. Every time 2 mL of blood was collected from mice from retro-orbital plexus. Serum was separated from blood by centrifugation and it was stored in a refrigerator at −80 °C until further analysis for hepatocarcinogenesis.

2.3.3. Histology of Tissues

The liver tissue sections ≈ 5 µm thick were fixed in 10% formalin (neutral) solution overnight for 24 h at 4 °C in a refrigerator. Thin liver (5 µm) sections were embedded in paraffin wax. Finally, these liver sections were stained with hematoxylin and eosin (H&E) followed by microscopic analysis by a pathologist.

2.3.4. Histopathology and Immunohistochemistry

The liver tissue sections embedded in paraffin (5 µm thick) were stained using H&E stains followed by immune staining with CD1 antibody. Firstly, CD1 antibody was diluted to 1:30 followed by incubation with liver tissue section at 4 °C overnight. Then these tissue sections were incubated with a secondary antibody, and DAB staining, and staining with hematoxylin and dehydration were performed [33]. These tissue sections were analyzed using XY microscope, and DM 2500 software for analysis of images. The results for IHC were analyzed using semi-quantitative method. The tissue sections were examined at a high magnification (200×) and observed for positively stained cells and for intensity of stain in five continuous field areas under a microscope. In order to measure the intensity of the color, a 0–3 scale (0 for no color, 1 light yellow, 2 light brown, 3 dark brown) was used. For the number of positively stained cells in liver tumor sections, a 1–4 scale (1 for 0–25%, 2 for 26–50%, 3 for 51–75%, and 4 for 76–100% positive no. of cells in scanned areas of the liver tissue) was used. For total score, both aforementioned scores were added together.

2.4. Statistical Analysis

All the values were presented as mean ± SD from 8 mice per group. The results were statistically analyzed by one-way ANOVA followed by least significant difference test on SPSS 19. p values less than 0.05 were considered statistically significant.

3. Results and Discussion

3.1. Establishment and Amelioration of Hepatocarcinoma

The pathophysiological events following 60 days of DEN treatment, along with CCl4 treatment, resembles, to a great extent, the HCC conditions observed in humans [5]. As compared to some other mouse models, e.g., genetically modified models or xenograft mice models, chemical models are the most favorable as they mimic the natural development of HCC in humans [5]. The carcinogenic capability of DEN is due to its activation in alkyl-free radical groups by cytochrome P450, which generates a DNA adduct [34]. As the animals at the age of 5–6 weeks are most likely to develop liver tumors upon injection of 50–90 mg/kg of DEN along with a promoter (PB or CCl4), we used DEN at 100 mg/kg of b.wt of mice, along with the CCl4 promoter. According to the previous studies, this treatment should form solid live tumors in 50–100 days [5]. As the alpha-fetoprotein (Supplementary material Figure S1) is a mammalian embryonic protein and is associated with the tumor [35], it has been found in a high quantity in the serum of cancer patients and at a low level under normal conditions [5,36]. The formation of tumors was confirmed by elevated levels of AFP in the serum of mice blood samples taken on the 60th day of DEN + CCl4 treatment. The liver injury was characterized by elevation of liver functional enzymes, such as ALP and ALT, and the BUN content, as shown in Table 1. The level of AST, ALT, ALP, and AFP increased significantly (p < 0.05) upon DEN treatment, as compared to the normal control group. These LFT markers, along with the level of AFP, were reduced by both BLE and berberine. However, BLE at a low dose (60 mg/kg) was not as effective compared to a high dose (120 mg/kg). This study agrees well with the previous findings on the stem bark-based ethanol extract of Berberis Lycium Royle, where a high dose (200 mg/kg) of the extract was good at reducing hepatocyte ballooning and other signs of inflammation induced by the isoniazid drug [15]. Further, we found that berberine at both a low and high dose was much more effective at reducing the LFT markers of liver injury, along with AFP levels in the blood serum (Table 1).
Table 1. Effect of B. lycium Royle alkaloids and berberine chloride on blood urea nitrogen content (BUN), alkaline phosphatase (ALP), alanine aminotransferase (ALT), aspartate aminotransferase (AST) and alpha-fetoprotein (AFP) levels in the blood serum of the mice.

3.2. Histopathological Changes in the Liver

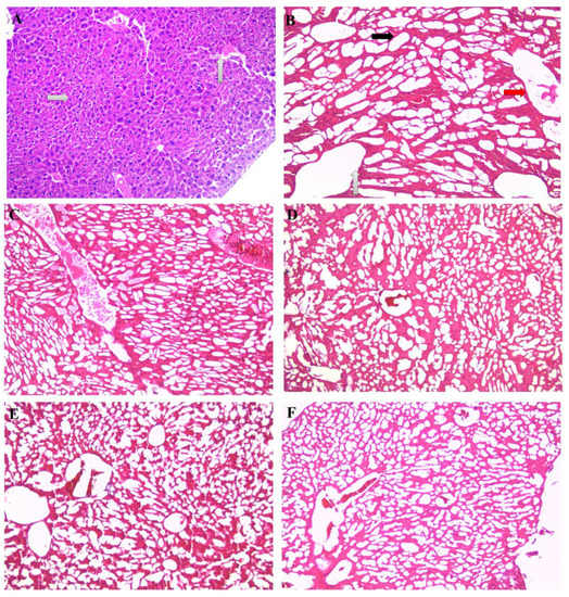
During our experiments, the histological changes were confirmed by H&E staining. As shown in Figure 1, the mice with the chemical treatment were characterized by severe hepatic infiltration of neutrophils, proliferation of the bile duct, bridging necrosis, fibrosis of liver tissues, and hemorrhagic necrosis in the centrilobular region. These changes were reversed by both the extract and berberine, but, more significantly, at a higher dose of berberine, in accordance with the respective decrease in biochemical serum markers, as mentioned in Table 1. The application of berberine at a low dose of 60 mg/kg did not prove very effective at reducing the ballooning of some hepatocytes, while a higher dose (120 mg/kg) reduced the inflammation and ballooning of hepatocytes very well. Lower doses of berberine may need a longer duration to work effectively in reducing liver injuries in mice. However, a very high concentration of berberine is toxic to use. It has been reported that up to 20.8 g of berberine/kg of b.wt of mice is safe via oral administration [37].
Figure 1. Histopathological analysis of mice liver stained by H&E staining. (A) Normal mice liver, (B) DEN + CCl4-treated mice liver, (C) BLE treatment at a low dose of 60 mg/kg of mice b.wt, (D) BLE treatment at a high dose of 120 mg/kg of mice b.wt, (E) berberine compound at a low dose of 60 mg/kg of mice b.wt, (F) berberine compound at a high dose of 120 mg/kg of mice b.wt. Arrows in A indicate the normal hepatocyte phenotype and sinusoid spaces among hepatocytes. In B red arrow indicates the appearance of small tumors along with infiltration of inflammatory cells, black arrow indicates ballooning of hepatocytes and white arrow indicates necrosis in the centrilobular zone. Scalebar 100×.
The BLE extract at a high dose also reduced inflammation and, to some extent, the ballooning of hepatocytes, but not significantly when compared to berberine (Figure 1). There is a possibility that a higher dose (120 mg/kg of mice b.wt) of BLE may reduce the liver injury markers prominently, which is in accordance with the increasing dose of berberine and other compounds in the extract. Similar findings were reported on the stem bark extract of this plant, by Rafiq and colleagues, where 200 mg/kg of extract was much more effective than 150 mg/kg of extract against isoniazid-induced liver toxicity in mice.

3.3. Animal Burden during the Study

During this study, 22 mice died (31%) with systemic inflammation, and developed red eyes, fast breathing, and weight loss. Two mice that died afterwards were found to have a swollen abdomen, along with the other symptoms of systemic inflammation (Table 2). These findings are in accordance with the symptoms associated with the death of mice after DEN application for a longer duration, as studied previously [5,6].
Table 2. Animal burden and weight loss upon application of DEN and CCl4 in mice, who started dying on day 35 of carcinogenic chemical application.

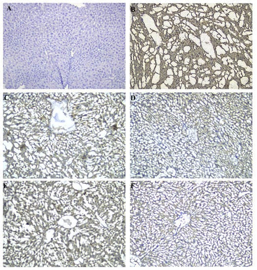
3.4. Immunohistochemistry Analysis of CD1 Expression

Previously, Song et al. indicated negative regulation of the PI3K/AKT pathway by berberine. Despite much research, the precise mechanism of action of berberine on molecular and cellular targets remained unknown [38,39]. We sought to find out the role of berberine in the protein expression of cyclin D1 in liver tissue specimens. Genetic mutations in cell cycle regulatory machinery that direct transit over the G1 phase occur frequently in many types of human cancers, and one of the most common alterations is the overexpression of cyclin D1 [40]. CD1 activates its cognate CDK (4/6). Moreover, it is also an important target of the STAT signaling pathway in many types of cells, and it regulates metabolism and fat cell formation. Thus, it provides an insight into the role of metabolism in human cancer [30]. Previously, our in vitro experiments have shown that B. lycium Royle ethanol-based extract suppressed the expression of CDK1 genes, along with downregulating other cyclin-dependent kinases [11]. The cell cycle is regulated by cyclin-dependent kinases that are activated by cyclins. The development of cells and cell division is regulated by cyclins and cyclin-dependent kinases [41]. The overexpression of these positive regulators (cyclins) of the cell cycle enhances the process of tumorigenesis in many types of cancer [31], and may lead to HCC progression from cirrhosis [42]. Thus, we wanted to investigate whether berberine and BLE have any regulatory roles associated with CD1 markers in vivo. As they can impart a crucial role in growth, proliferation and metastasis of the tumor in other tumor types [31,38,39], they can, therefore, be important diagnostic/therapeutic markers in HCC patients. In the current study, we found that BLE treatment at low (60 mg/kg) and high (120 mg/kg) doses negatively regulated the expression of CD1, and berberine also downregulated this expression well (IHC score of 3.3), even more significantly at a higher dose (120 mg/kg). This proves that berberine at 120 mg/kg of mice b.wt significantly suppressed cyclin D1 expression (Figure 2). Therefore, it decreased the activity of CDK and halted the proliferation of cancer cells, resulting in suppression of HCC development from the liver injury. Berberine (C20H19NO5) is a multitarget drug that acts via several mechanisms, thus inducing apoptosis and autophagy, preventing metastasis and angiogenesis in various cancer cells, including liver cancer cells. The pro-apoptotic effect of berberine is generated by extrinsic and intrinsic pathways. Berberine can increase ROS production in cells, which activates caspase 12 and activates BCL-2 proteins. It acts via Fas, MAPK and AMPK pathways, and ultimately causes apoptosis of liver cancer cells [41].
Figure 2. Immunohistochemistry analysis of cyclin D1 (CD1) expression in liver tumor tissue sections. (A) Normal mice liver, (B) DEN + CCl4-treated mice liver, (C) BLE treatment at a low dose of 60 mg/kg of mice b.wt, (D) BLE treatment at a high dose of 120 mg/kg of mice b.wt, (E) berberine compound at a low dose of 60 mg/kg of mice b.wt, (F) berberine compound at a high dose of 120 mg/kg of mice b.wt. Scalebar 100×.
The comparison of the HCC control group and the treatment group, on the basis of immunohistochemistry scores, is given in Table 3.
Table 3. Comparative scoring of cyclin D1 positive expression based on immunohistochemistry analysis among HCC control and treatments with BLE and berberine at low and high doses, after 60 days of treatment of HCC mice.

4. Conclusions

The current study exhibits the comparative hepatoprotective function of Berberis lycium Royle extract and one of its major active compounds, berberine. Berberine, or Berberis lycium Royle extract, has previously shown an in vitro anticancer effect by downregulating CDKs (cyclin-dependent kinase 1) and cyclin D1 in hepatoblastoma cells and HL-60 cells, respectively. Moreover, the molecular targets of berberine are also poorly understood to date, so we aimed to determine the role of the important protein CD1 in an HCC mice model, and its quantitative expression, by immunohistochemistry analysis, after feeding the mice with berberine and BLE. Various biochemical markers were evaluated to study the state of the liver, e.g., serum ALT, AST, BUN and AFP levels. We found that, comparatively, berberine proved to have better efficacy against various biochemical markers of liver abnormality, as well as against the tumor marker α-fetoprotein. Thus, berberine alone can serve as a good therapeutic drug against liver cancer, or, if we use the extract, a relatively high dose may be required for efficient results against HCC. However, future studies should be directed at whether there is any possible antagonistic effect in the extract, or if only the content of berberine in the extract matters for efficient anti-hepatic cancer effects in mice. Berberine decreased CD1 immunostaining very well (p < 0.0005) at 120 mg/kg body weight of the mice, suggesting the inactivity of CDK1 and the subsequent failure of cells to pass the G1 checkpoint and enter the apoptosis phase. In this way, berberine may destroy the malignant cells; however, the mechanism behind the rehabilitation of liver cells should be explored further. Future studies should also focus on the role of negative cell cycle regulators (CDKIs or p27) in HCC animal models with or without berberine/BLE treatment. In this way, it can help to better handle HCC, and develop specific therapeutic targets to halt the cell’s proliferation and metastasis.

Supplementary Materials

The following are available online at https://www.mdpi.com/article/10.3390/app112411810/s1, Figure S1: standard curve for alpha-fetoprotein analysis by ELISA.

Author Contributions

Conceptualization, K.M., X.B. and Y.S.; methodology, K.M. and S.Y.; software, H.M.; validation, H.M., T.Q., H.X. and S.c.; formal analysis, H.M. and T.N.; investigation, W.Y. and S.N.; resources, T.Q. and H.X.; data curation, H.M.; writing—original draft preparation, K.M.; writing—review and editing, H.M., X.B., and Y.S.; visualization, T.N. and S.N.; supervision, X.B. and Y.S.; project administration, Y.S.; funding acquisition, Y.S. All authors have read and agreed to the published version of the manuscript.

Funding

This work was funded by TaiShan Industrial Experts Programme (tscy no. 20160101), and National Science Foundation of China (grants no. 31972851 and 31670064).

Institutional Review Board Statement

Not applicable.

Data Availability Statement

Not applicable.

Conflicts of Interest

The authors declare no conflict of interest.

References

  1. El-Serag, H.B. Epidemiology of hepatocellular carcinoma. In The Liver: Biology and Pathobiology; John Wiley & Sons Ltd.: Hoboken, NJ, USA, 2020; pp. 758–772. [Google Scholar]
  2. Tricker, A.; Preussmann, R. Carcinogenic N-nitrosamines in the diet: Occurrence, formation, mechanisms and carcinogenic potential. Mutat. Res. Genet. Toxicol. 1991, 259, 277–289. [Google Scholar] [CrossRef]
  3. Schmähl, D.; Preussmann, R.; Hamperl, H. Leberkrebs-erzeugende Wirkung von Diäthylnitrosamin nach oraler Gabe bei Ratten. Naturwissenschaften 1960, 47, 89. [Google Scholar] [CrossRef]
  4. Sen, N.; Smith, D.C.; Schwinghamer, L.; Marleau, J. Diethylnitrosamine and other N-nitrosamines in foods. J. Assoc. Off. Anal. Chem. 1969, 52, 47–52. [Google Scholar] [CrossRef]
  5. Tolba, R.; Kraus, T.; Liedtke, C.; Schwarz, M.; Weiskirchen, R. Diethylnitrosamine (DEN)-induced carcinogenic liver injury in mice. Lab. Anim. 2015, 49 (Suppl. 1), 59–69. [Google Scholar] [CrossRef]
  6. Verna, L.; Whysner, J.; Williams, G.M. N-nitrosodiethylamine mechanistic data and risk assessment: Bioactivation, DNA-adduct formation, mutagenicity, and tumor initiation. Pharmacol. Ther. 1996, 71, 57–81. [Google Scholar] [CrossRef]
  7. Rajewsky, M.; Dauber, W.; Frankenberg, H. Liver carcinogenesis by diethylnitrosamine in the rat. Science 1966, 152, 83–85. [Google Scholar] [CrossRef]
  8. Bray, F.; Ferlay, J.; Soerjomataram, I.; Siegel, R.L.; Torre, L.A.; Jemal, A. Global cancer statistics 2018: GLOBOCAN estimates of incidence and mortality worldwide for 36 cancers in 185 countries. CA Cancer J. Clin. 2018, 68, 394–424. [Google Scholar] [CrossRef]
  9. Zhao, X.; Zhang, J.-J.; Wang, X.; Bu, X.-Y.; Lou, Y.-Q.; Zhang, G.-L. Effect of berberine on hepatocyte proliferation, inducible nitric oxide synthase expression, cytochrome P450 2E1 and 1A2 activities in diethylnitrosamine-and phenobarbital-treated rats. Biomed. Pharmacother. 2008, 62, 567–572. [Google Scholar] [CrossRef]
  10. Mustafa, K.; Song, Y. Functional Foods for Cancer: Bioactive Compounds and Cancer Year, 1st ed.; CreateSpace Independent Publishing Platform: Scotts Valley, CA, USA, 2017; ISBN 10 1975953177/13 978-1975953171. [Google Scholar]
  11. Mustafa, K.; Mohamed, H.; Shah, A.M.; Yu, S.; Akhlaq, M.; Xiao, H.; Li, S.; Naz, T.; Nosheen, S.; Bai, X. In Vitro Anticancer Potential of Berberis lycium Royle Extracts against Human Hepatocarcinoma (HepG2) Cells. BioMed Res. Int. 2020, 2020, 8256809. [Google Scholar] [CrossRef]
  12. Ali, H.; Uddin, S.; Jalal, S. Chemistry and biological activities of Berberis lycium Royle. J. Biol. Act. Prod. Nat. 2015, 5, 295–312. [Google Scholar]
  13. Shabbir, A.; Shahzad, M.; Arfat, Y.; Ali, L.; Aziz, R.S.; Murtaza, G.; Waqar, S.A. Berberis lycium Royle: A review of its traditional uses, phytochemistry and pharmacology. Afr. J. Pharm. Pharmacol. 2012, 6, 2346–2353. [Google Scholar] [CrossRef]
  14. Garhwal, S. Analysis of berberine content using HPTLC fingerprinting of root and bark of three Himalayan Berberis species. Asian J. Biotechnol. 2010, 2, 239–245. [Google Scholar]
  15. Rafiq, S.; Ajmal, K.; Afzal, A. Isoniazid induced hepatotoxicity and its amelioration with ethanolic extract of stem bark of Berberis lycium Royale in mice. Int. J. Basic Clin. Pharmacol. 2017, 6, 1865. [Google Scholar] [CrossRef][Green Version]
  16. Tong, L.; Xie, C.; Wei, Y.; Qu, Y.; Liang, H.; Zhang, Y.; Xu, T.; Qian, X.; Qiu, H.; Deng, H. Antitumor Effects of Berberine on Gliomas via Inactivation of Caspase-1-Mediated IL-1β and IL-18 Release. Front. Oncol. 2019, 9, 364. [Google Scholar] [CrossRef]
  17. Zhao, X.; Zhang, J.; Tong, N.; Chen, Y.; Luo, Y. Protective effects of berberine on doxorubicin-induced hepatotoxicity in mice. Biol. Pharm. Bull. 2012, 35, 796–800. [Google Scholar] [CrossRef]
  18. Kiren, M.; Iqra, A.; Tahira, N.; Abu Bakr Ahmad, F.; Xueyuan, B.; Yuanda, S. Bioactive Functional Foods for Cardiovascular Diseases. Am. J. Biochem. Biotechnol. 2020, 16, 354–369. [Google Scholar]
  19. Iskova, A.; Kubatka, P.; Samec, M.; Zubor, P.; Mlyncek, M.; Bielik, T.; Samuel, S.M.; Zulli, A.; Kwon, T.K.; Büsselberg, D. Dietary phytochemicals targeting cancer stem cells. Molecules 2019, 24, 899. [Google Scholar] [CrossRef]
  20. Samec, M.; Liskova, A.; Kubatka, P.; Uramova, S.; Zubor, P.; Samuel, S.M.; Zulli, A.; Pec, M.; Bielik, T.; Biringer, K. The role of dietary phytochemicals in the carcinogenesis via the modulation of miRNA expression. J. Cancer Res. Clin. Oncol. 2019, 145, 1665–1679. [Google Scholar] [CrossRef]
  21. Jasek, K.; Kubatka, P.; Samec, M.; Liskova, A.; Smejkal, K.; Vybohova, D.; Bugos, O.; Biskupska-Bodova, K.; Bielik, T.; Zubor, P. DNA methylation status in cancer disease: Modulations by plant-derived natural compounds and dietary interventions. Biomolecules 2019, 9, 289. [Google Scholar] [CrossRef]
  22. Mustafa, K.; Yu, S.; Zhang, W.; Mohamed, H.; Naz, T.; Xiao, H.; Liu, Y.; Nazir, Y.; Fazili, A.B.A.; Nosheen, S. Screening, characterization, and in vitro-ROS dependent cytotoxic potential of extract from Ficus carica against hepatocellular (HepG2) carcinoma cells. S. Afr. J. Bot. 2021, 138, 217–226. [Google Scholar] [CrossRef]
  23. Khan, M.; Giessrigl, B.; Vonach, C.; Madlener, S.; Prinz, S.; Herbaceck, I.; Holzl, C.; Bauer, S.; Viola, K.; Mikulits, W.; et al. Berberine and a Berberis lycium extract inactivate Cdc25A and induce alpha-tubulin acetylation that correlate with HL-60 cell cycle inhibition and apoptosis. Mutat. Res. 2010, 683, 123–130. [Google Scholar] [CrossRef] [PubMed]
  24. Wang, S.; Wuu, J.; Savas, L.; Patwardhan, N.; Khan, A. The role of cell cycle regulatory proteins, cyclin D1, cyclin E, and p27 in thyroid carcinogenesis. Hum. Pathol. 1998, 29, 1304–1309. [Google Scholar] [CrossRef]
  25. Hsi, E.D.; Zukerberg, L.R.; Yang, W.; Arnold, A. Cyclin D1/PRAD1 expression in parathyroid adenomas: An immunohistochemical study. J. Clin. Endocrinol. Metab. 1996, 81, 1736–1739. [Google Scholar]
  26. Ogino, S.; Nosho, K.; Irahara, N.; Kure, S.; Shima, K.; Baba, Y.; Toyoda, S.; Chen, L.; Giovannucci, E.L.; Meyerhardt, J.A. A cohort study of cyclin D1 expression and prognosis in 602 colon cancer cases. Clin. Cancer Res. 2009, 15, 4431–4438. [Google Scholar] [CrossRef]
  27. Arnold, A.; Papanikolaou, A. Cyclin D1 in breast cancer pathogenesis. J. Clin. Oncol. 2005, 23, 4215–4224. [Google Scholar] [CrossRef]
  28. Sauter, E.R.; Yeo, U.-C.; von Stemm, A.; Zhu, W.; Litwin, S.; Tichansky, D.S.; Pistritto, G.; Nesbit, M.; Pinkel, D.; Herlyn, M. Cyclin D1 is a candidate oncogene in cutaneous melanoma. Cancer Res. 2002, 62, 3200–3206. [Google Scholar] [PubMed]
  29. Yatabe, Y.; Suzuki, R.; Tobinai, K.; Matsuno, Y.; Ichinohasama, R.; Okamoto, M.; Yamaguchi, M.; Tamaru, J.-I.; Uike, N.; Hashimoto, Y. Significance of cyclin D1 overexpression for the diagnosis of mantle cell lymphoma: A clinicopathologic comparison of cyclin D1-positive MCL and cyclin D1-negative MCL-like B-cell lymphoma. Blood J. Am. Soc. Hematol. 2000, 95, 2253–2261. [Google Scholar]
  30. Fu, M.; Wang, C.; Li, Z.; Sakamaki, T.; Pestell, R.G. Minireview: Cyclin D1: Normal and abnormal functions. Endocrinology 2004, 145, 5439–5447. [Google Scholar] [CrossRef]
  31. Ozturk, M. Genetic Aspects of Hepatocellular Carcinogenesis; Seminars in Liver Disease; Thieme Medical Publishers, Inc.: New York, NY, USA, 1999; pp. 235–242. [Google Scholar]
  32. Dapito, D.H.; Mencin, A.; Gwak, G.-Y.; Pradere, J.-P.; Jang, M.-K.; Mederacke, I.; Caviglia, J.M.; Khiabanian, H.; Adeyemi, A.; Bataller, R. Promotion of hepatocellular carcinoma by the intestinal microbiota and TLR4. Cancer Cell 2012, 21, 504–516. [Google Scholar] [CrossRef]
  33. Zhou, J.; Fang, L.; Liao, J.; Li, L.; Yao, W.; Xiong, Z.; Zhou, X. Investigation of the anti-cancer effect of quercetin on HepG2 cells in vivo. PLoS ONE 2017, 12, e0172838. [Google Scholar] [CrossRef]
  34. Yang, C.S.; Yoo, J.-S.H.; Ishizaki, H.; Hong, J. Cytochrome P450IIE1: Roles in nitrosamine metabolism and mechanisms of regulation. Drug Metab. Rev. 1990, 22, 147–159. [Google Scholar] [CrossRef]
  35. Kew, M. Alpha-fetoprotein in primary liver cancer and other diseases. Gut 1974, 15, 814. [Google Scholar] [CrossRef]
  36. Yuen, M.-F.; Lai, C.-L. Serological markers of liver cancer. Best Pract. Res. Clin. Gastroenterol. 2005, 19, 91–99. [Google Scholar] [CrossRef]
  37. Kheir, M.M.; Wang, Y.; Hua, L.; Hu, J.; Li, L.; Lei, F.; Du, L. Acute toxicity of berberine and its correlation with the blood concentration in mice. Food Chem. Toxicol. 2010, 48, 1105–1110. [Google Scholar] [CrossRef]
  38. Song, L.; Luo, Y.; Wang, X.; Almutairi, M.M.; Pan, H.; Li, W.; Liu, Y.; Wang, Q.; Hong, M. Exploring the active mechanism of berberine against HCC by systematic pharmacology and experimental validation. Mol. Med. Rep. 2019, 20, 4654–4664. [Google Scholar] [CrossRef]
  39. Guo, P.; Cai, C.; Wu, X.; Fan, X.; Huang, W.; Zhou, J.; Wu, Q.; Huang, Y.; Zhao, W.; Zhang, F. An insight into the molecular mechanism of berberine towards multiple cancer types through systems pharmacology. Front. Pharmacol. 2019, 10, 857. [Google Scholar] [CrossRef]
  40. Diehl, J.A. Cycling to cancer with cyclin D1. Cancer Biol. Ther. 2002, 1, 226–231. [Google Scholar] [CrossRef] [PubMed]
  41. Samadi, P.; Sarvarian, P.; Gholipour, E.; Asenjan, K.S.; Aghebati-Maleki, L.; Motavalli, R.; Hojjat-Farsangi, M.; Yousefi, M. Berberine: A novel therapeutic strategy for cancer. IUBMB Life 2020, 72, 2065–2079. [Google Scholar] [CrossRef]
  42. Masaki, T.; Shiratori, Y.; Rengifo, W.; Igarashi, K.; Yamagata, M.; Kurokohchi, K.; Uchida, N.; Miyauchi, Y.; Yoshiji, H.; Watanabe, S.; et al. Cyclins and cyclin-dependent kinases: Comparative study of hepatocellular carcinoma versus cirrhosis. Hepatology 2003, 37, 534–543. [Google Scholar] [CrossRef]
Publisher’s Note: MDPI stays neutral with regard to jurisdictional claims in published maps and institutional affiliations.

Article Metrics

Citations

Article Access Statistics

Multiple requests from the same IP address are counted as one view.