Abstract
Despite several reports on the endocrine-disrupting ability of atrazine in amphibian models, few studies have investigated atrazine toxicity in the heart and cerebellum. This study investigated the effect of atrazine on the unique Ca2+ channel-dependent receptor (Inositol 1,4,5-trisphosphate; IP3R) in the heart and the cerebellum of adult male Xenopus laevis and documented the associated histomorphology changes implicated in cardiac and cerebellar function. Sixty adult male African clawed frogs (Xenopus laevis) were exposed to atrazine (0 µg/L (control), 0.01 µg/L, 200 µg/L, and 500 µg/L) for 90 days. Thereafter, heart and cerebellar sections were processed with routine histological stains (heart) or Cresyl violet (brain), and IP3R histochemical localization was carried out on both organs. The histomorphology measurements revealed a significant decrease in the mean percentage area fraction of atrial (0.01 µg/L and 200 µg/L) and ventricular myocytes (200 µg/L) with an increased area fraction of interstitial space, while a significant decrease in Purkinje cells was observed in all atrazine groups (p < 0.008, 0.001, and 0.0001). Cardiac IP3R was successfully localized, and its mean expression was significantly increased (atrium) or decreased (cerebellum) in all atrazine-exposed groups, suggesting that atrazine may adversely impair cerebellar plasticity and optimal functioning of the heart due to possible disturbances of calcium release, and may also induce several associated cardiac and neural pathophysiologies in all atrazine concentrations, especially at 500 µg/L.
1. Introduction
Atrazine is designed specifically to impair the physiology of weeds [1]; however, the physical and chemical properties of atrazine, such as its half-life, slow degradation [2], and solubility in different mediums, contribute to its persistence in the environment and, consequently, its contamination of ground, surface, and drinking water [3,4,5]. This suggests a constant presence of atrazine and its degradation products in the environment and, therefore, in drinking water and aquatic and terrestrial environments [3], with inevitable pathological consequences.
The effects of atrazine exposure have been widely reported such as impaired development in fish [6] and perturbed immunology and growth in Xenopus laevis [7,8]. However, most information on atrazine-induced effects in adult animal models have focused mostly on its endocrine-disrupting abilities, particularly in Xenopus laevis gonadal morphology [9,10,11]. Furthermore, atrazine and its metabolites can bio-accumulate in aquatic microbiota with adverse aquatic ecosystem implications [12] and can induce several organ toxicities in non-target organisms. In organs such as the cerebellum, mostly physiological and biochemical effects of atrazine have been reported relative to perturbations of cerebellar pathophysiology and cerebral oxidative stress in quails and rats [13,14,15], as well as behavioral and neurotransmitter deficits in mice [16]. However, complementary reports on structural toxicity (histopathology) is lacking in the cerebellum, while atrazine cardiac toxicity in frogs has only been previously reported by us [17]. Furthermore, atrazine is widely known for its ability to disrupt estrogen and androgen receptors [18], but little is known about atrazine-induced effects on the histopathology of voltage-gated receptors (IP3Rs) in the heart (peripheral) and cerebellum (central) and the differential effects in both organs relative to their crucial functions.
The frog heart and brain contain an abundance of excitable cells with voltage-gated channels on their membranes. Sodium, potassium, and calcium are physiologically important ions, and their homeostatic concentrations in human serum levels and frog heart tissue are vital for normal neuronal and cardiac function [19,20]. In cardiomyocytes, each calcium ion released is accompanied by sodium transportation via sodium–potassium pumps [21,22]. Additionally, calcium release is directly required for the initiation of cardiac excitation–contraction coupling and the activation of neuronal dendritic development, neuronal survival, and synaptic plasticity [23,24]. Furthermore, cardiac cells and cerebellar neurons depend on IP3Rs for modulating calcium levels in response to external stimuli [25,26]. Physiologically, myocytes and neurons are dependent on the efflux of calcium into the cytosol for excitation–contraction coupling and modulation of synaptic transmission, respectively, particularly cerebellar Purkinje cells, where IP3Rs are predominantly expressed [27]. Pathologically, the IP3Rs levels and genes in the heart and cerebellum have been associated with hypertrophy and spinocerebellar ataxia, respectively [28,29]. However, histopathological evidence of atrazine IP3R toxicity in the Xenopus frog cerebellum and heart is lacking.
Hence, this study is directed at investigating the possible adverse impact of atrazine on the IP3Rs and its expression in the heart (peripherally located) and cerebellum (centrally located) of the adult Xenopus frog at different concentrations of environmentally relevant levels of 0.01 μg/L, 200 μg/L [7,30], and 500 μg/L, which has been reported in ambient surface water of sugarcane growing areas [31]. Since IP3Rs play critical roles in cardiac and cerebellar functions in frog species, the possible toxicity of atrazine on IP3Rs and its expression in the heart and cerebellum of adult Xenopus frogs will provide invaluable additional information on the atrazine pathophysiology of these organs.
2. Materials and Methods
2.1. Animal Husbandry
Forty-eight (48) male African Xenopus laevis between 9 and 10 months of age were purchased from local breeders (Knysner, Cape Town, South Africa) and used in the study. Six frogs per group were housed in metal cisterns (225 × 24 × 21 cm) containing 60 L of water at the University of Witwatersrand and allowed to acclimate to their environment for 2 weeks with a 12 h light and 12 h dark cycle before the experiment began. A variable room heating system was used to maintain the water temperature at 22 ± 2 °C and the water was recycled (100%) thrice weekly to achieve an adequate hygienic environment. The animals were permitted unlimited access to nutritious commercial fish pellets (Koi food; Daro Pet Products, Johannesburg, South Africa), which were augmented with beef liver pieces weekly. Ethical approval for this work was obtained from Gauteng Province Nature Conservation (CPF6 0115 (2015) and CPF6 0120, 2016) and the University of the Witwatersrand Animals Ethics Research Committee (2014/32/D), and the experiment was conducted in line with the approved standard procedures.
2.2. Treatment
The treatment procedure has previously been reported elsewhere [17]. Atrazine powder (99.5%; Accu Standard Incorporated, New Haven, CT, USA) was used to prepare 30 mg/L of standard solution in distilled water and then diluted to make 60 L of atrazine according to the varying experimental concentrations in four different 200 L metal cisterns/aquariums. The animals (male frogs of post-anuran metamorphosis age) were then exposed to 0 (control), 0. 01 μg/L, 200 μg/L, and 500 μg/L of atrazine solution for 90 days. Since the Xenopus frog has a semi-permeable skin, the exposure of Xenopus laevis frogs to atrazine (90 days) in tanks accurately simulates environmental exposure to atrazine in ponds and ground water. The atrazine exposure treatments were duplicated between July–September 2015 and February–April 2016.
To guarantee a consistent atrazine exposure level throughout the experiment, a solid phase micro-extraction (SPME) coupled to gas chromatography-mass spectrometry (GC-MS, GC 6890, MS 5975, Agilent Technologies, CA, USA) was utilized in the weekly measurement of atrazine levels in the reservoirs. Therefore, 50 mL of water was collected (before and after each water recycle) from each reservoir and passed through a 200 mg Bond Elut Plexa (Chemetrix, Johannesburg) solid-phase extraction cartridge. The results indicated an absence of atrazine in the control, but in the treated groups, the atrazine concentrations (% of atrazine above or below the desired concentration) were within the range of ±6% in the 0.01 µg/L group, ±3.1% in the 200 µg/L group, and ±1.6% in the 500 µg/L group, showing insignificant changes in atrazine levels in the respective treatment reservoirs.
At the end of the treatment period, the animals were sacrificed after deep anesthesia (0.2 benzocaine) in bell jar. Whole brains and hearts were harvested from the animals and fixed in 4% paraformaldehyde. Whole fixed hearts were randomly selected, processed, and embedded in paraffin; thereafter, longitudinal 5 µm sections were cut onto silane-coated slides. The brains were processed overnight in 30% sucrose, mounted onto a frozen cryostat with optimum cutting compound (OCT), and then coronal sections were made at 50 microns into 0. 1 M phosphate buffer (PB) at pH 7.4 in 24-well plates. Starting from the caudal part of the optic lobe and cranial to the choroid plexus and fourth ventricle, five brain sections were collected per animal per group.
2.3. Routine Histological Saining of Cardiac and Cerebellar Sections
Brain sections were mounted on gelatin-coated slides and then placed in defatting solution (50% chloroform and 50% alcohol) overnight. Thereafter, the sections were stained with Cresyl violet for the analysis of cerebellar cytoarchitecture. The heart sections were routinely stained using the H&E protocol.
2.4. IP3R Immunohistochemistry
Cardiac sections were processed using the immunohistochemistry protocol for paraffin sections. Antigen retrieval was performed in citrate buffer (pH 6), washed in phosphate-buffered saline (PBS), blocked in 1% hydrogen peroxide (in methanol), and rinsed in phosphate-buffered saline (PBS). Normal goat serum (5% in PBS) was used for incubation at room temperature, after which sections were incubated at 4 °C in primary antibody (rabbit polyclonal antibody raised against rat IP3R; Abcam, Invitrogen, CA, USA, AB5804), diluted at a ratio of 1:500 overnight. Sections were further rinsed and incubated in secondary antibody (goat anti-rabbit antibody IgGs) at room temperature, diluted at a ratio of 1:1000, rinsed and incubated in ABC, and then rinsed again and incubated in DAB working solution. The sections were further counterstained in hematoxylin, and then dehydrated, cleared, and cover slipped. A similar protocol was adopted to immunolocalize IP3R in brain sections using free floating immunohistochemistry for brain sections [25] with incubation of primary antibody at 4 °C for 48 h with 0.1 M phosphate buffer as a diluent for all solutions. The immunolocalized sections were viewed with a light microscope. Negative control sections were incubated with PBS instead of the primary antibody.
2.5. Quantitative Analysis
High-resolution microscopic images (×40 and ×100) of H&E- and Cresyl violet-stained cardiac and cerebellar sections, in addition to IP3R immunolabeled cardiac and cerebellar sections, were digitally captured using a Leica ICC50 HD video camera linked to a Leica DM 500 microscope (Leica Biosystems, Pacheco, CA, USA). A total of 20 camera fields were analyzed per group. In each photomicrograph of H&E-stained sections, the total percentage area fraction (Af) occupied by myocytes (Afm) and interstitial spaces (Afi) was determined using the grid method and the cell counter plugin of ImageJ. Afm and Afi were calculated using the following equation:
where App = area per point, ∑p = sum of points, and A slide = set scale area.
Afm or Afi = (App × ∑p)/(A slide) × 100
Counts (density) of granule and Purkinje cells in the Cresyl violet-stained sections and counts of IP3R expression in the cardiac and cerebellum immunolabeled sections were carried out using the cell counter plugin of ImageJ. Furthermore, myocytes were semiquantitatively scored for thin or wavy fibers; accordingly, 0 was assigned for no observations of thin or wavy fibers, 1 for small areas of wavy fibers, 2 for multiple areas of wavy fibers, and 3 for large areas of wavy fibers.
2.6. Statistical Analysis
The cardiac histomorphology, cerebellar cell density, and total number of cells that expressed IP3R in the heart and cerebellum were recorded as the mean ± SEM. IBM SPSS version 27 was used for analyzing the data and Microsoft Excel was used for plotting graphs. The data were tested for normality using the Shapiro–Wilks’s test, and parametric data were analyzed by one-way ANOVA tests, while a post-hoc Bonferroni’s test was conducted to determine the difference between the groups. Results with p < 0.05 were regarded as significant.
3. Results
3.1. Gross Morphology of the Hearts and Weight of the Brains
The morphological examinations of adult frog hearts showed a normal heart shape and configuration, a normal size of the cardiac muscle, and a firm lumen for the control group. The heart lumen in the 200 μg/L group was enlarged (largest among the treated groups), followed by the 0.01 µg/L group, and both groups presented serrated fibers extending from the thin ventricular wall compared to the control (Figure 1). The hearts in the 500 μg/L group appeared slightly larger than those of the 0.01 µg/L, but with an apparent smaller lumen and thicker ventricle wall compared to the control. The weight of the hearts has been previously reported [17] to be significantly increased in the 200 µg/L group compared to the control and other atrazine exposed groups (Figure 1B). The brain weight was reduced in all concentrations of atrazine exposure, with the lowest decrease in the 0.01 µg/L group. However, no significant difference was observed between groups (Figure 1C).
Figure 1.
Photographs of the dose-dependent effect of atrazine on the gross morphology of adult frog hearts, and mean weights of the heart and brain of the treatment groups compared to the control. (A) Apparently enlarged hearts in all atrazine groups and enlarged lumen in the 0.01 µg/L and 200 µg/L groups. (B) “#” significant increase in heart weight in the 200 µg/L group compared to the other groups [25]. (C) No significant difference in brain weight.
3.2. Cardiac Myocyte Histomorphology
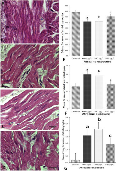
A significant increase in the area fraction of the interstitial space and a reduction in the area fraction of myocytes were observed in the atrium of the 0.01 µg/L and 200 µg/L groups compared to the control, while the area fraction of myocytes significantly increased in the 500 µg/L group compared to the 0.01 µg/L group. Furthermore, the semiquantitative waviness of the myocytes in the atrium was significantly increased in all atrazine-exposed groups compared to the control, as well as in the 0.01 µg/L group compared to the 200 µg/L group (Figure 2A–F).
Figure 2.
Photomicrograph of myocytes in the atrium of adult frogs, showing the effects of atrazine in the exposure groups. (A) Control, (B) 0.01 µg/L group, (C) 200 µg/L group, and (D) 500 µg/L group, ×1000. Scale bar = 15 µm. (E) “a” and “b” are significantly decreased compared to the control, while “c” is significantly increased compared to “a” but similar to the control in the area of AM (p = 0.0001). (F) “a” and “b” are significantly increased compared to the control, while “c” is not significantly different from the control in the area of AIS (p = 0.003 and 0.014, respectively; Bonferroni post-hoc test). (G) “a,” “b,” and “c” are significantly increased compared to the control (p = 0.0001 and 0.023, respectively), as is “b” compared to “c” (p = 0.004; Dunn’s pairwise test, adjusted using Bonferroni correction) in the semiquantitative scoring of atrial waviness. AIS: % area fraction of atrial interstitial space; AM: % area fraction of atrial myocyte.
The area of the ventricular myocytes significantly reduced (p = 0.0001) in the 200 µg/L group compared to the control and the other groups, while the area of the interstitial space in the ventricle significantly (p = 0.0001, 0.034, and 0.0001 respectively) increased. The semiquantitative scoring of ventricle myocytes revealed a significant (p = 0.029 and 0.0001, respectively) increase in waviness in all the atrazine exposed groups compare to the control and also with increased waviness in 200 µg/L group compared to 0.01 µg/L group (Figure 3A–F).
Figure 3.
Photomicrograph of myocytes in the ventricle of adult frogs, showing the effects of atrazine in the exposure groups. (A) Control, (B) 0.01 µg/L group, (C) 200 µg/L group, and (D) 500 µg/L group, ×1000. Scale bar = 15 µm. (E) “b” is significantly reduced compared to “a,” “c,” and the control, while “c” is significantly increased compared to “a” but similar to control in the area of VM (p = 0.0001). (F) “b” is significantly increased compared to “a,” “c,” and the control in the area of VIS (p = 0.0001, 0.034, and 0.0001 respectively; Dunn’s pairwise test, adjusted using Bonferroni correction). (G) “a,” “b,” and “c” are significantly increased compared to the control (p = 0.029 and 0.0001, respectively) and in “b” compared to “a” (p = 0.017, Bonferroni post-hoc test) in the semiquantitative scoring of atrial waviness.
3.3. Expression of IP3Rs in Cardiac Tissue
In the ventricles and atrium, IP3Rs were clearly expressed mostly in the perinuclear membrane of the cardiac myocytes of all groups (Figure 4 and Figure 5), but no expression was observed in the negative controls (primary antibody omitted; image not included).
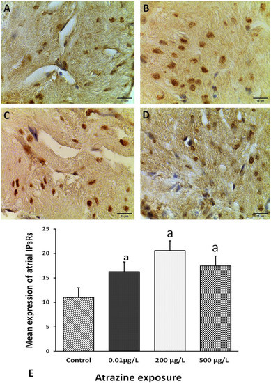
Figure 4.
Photomicrograph of IP3R expression in the atrium of adult frogs, showing the effects of atrazine in the different groups. (A) Control, (B) 0.01 µg L−1 group, (C) 200 µg L−1 group, and (D) 500 µg L−1 group, ×1000. Scale bar = 15 µm. (E) Significant difference between the groups (Kruskal–Wallis, p = 0.001). “a,” is significantly increased compared to the control (p = 0.03, 0.005, and 0.0001; Dunn’s pairwise test, adjusted using Bonferroni correction), ×1000. Scale bar = 15 µm.
Figure 5.
Photomicrograph of IP3R expression in the cardiac ventricle adult frogs, showing the effects of atrazine in the different groups. (A) Control, (B) 0.01 µg L−1 group, (C) 200 µg L−1 group, and (D) 500 µg L−1 group, ×1000. Scale bar = 15 µm. (E) No significant differences between the groups (one-way ANOVA, p = 0.16), ×1000. Scale bar = 15 µm.
The mean number of atrial myocytes expressing IP3R was statistically different between the treated and control groups (Kruskal–Wallis test, p < 0.0001). Furthermore, a post-hoc Duncan pairwise test showed significant (p = 0.03, 0.005, and 0.0001, respectively) increases in IP3R expression in each of the atrazine-exposed groups compared to the control (Figure 4A–E). However, atrial IP3Rs expression were non-significantly (p > 0.05) reduced in the 500 µg/L group relative to the 200 µg/L group (Figure 4A–E). On the contrary, IP3Rs expression in ventricular myocyte non-significantly increased with increase in atrazine concentration (Figure 5A–E).
3.4. Histology of the Cerebellar Cortex
In the control group, pale staining of pear-shaped Purkinje neurons with euchromatin nuclei was observed in a densely packed cluster in the Purkinje layer (Figure 6A). The Purkinje layer gradually became slightly enlarged and less clustered in the 0.01 µg/L and 200 µg/L groups (Figure 6B,C). The Purkinje cell layer was reduced to a scattered scanty row of small (and a few enlarged) cells in the 500 µg/L-treated group (Figure 6D).
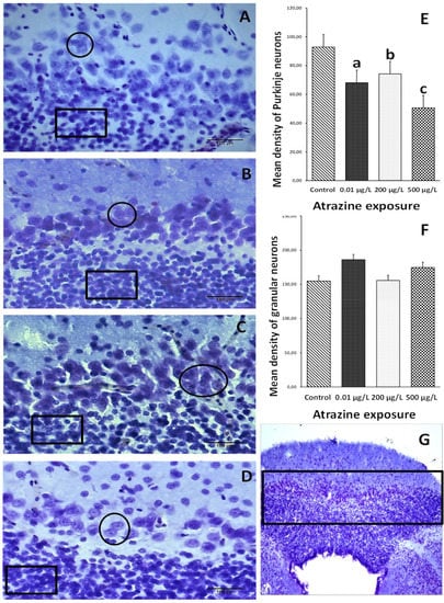
Figure 6.
Photomicrographs of the cerebellar cortex of adult frogs, showing the effects of atrazine in the different groups. (A) Control group, with densely packed very wide layer of Purkinje cells (circles: Purkinje cells), reaching the molecular layer and small granule cells (square). (B) 0.01 µg/L group, with a narrow layer of enlarged Purkinje cells (circle). Granular cells appear slightly larger and clustered (square). (C) 200 µg/L group, with a slightly enlarged row of diffuse Purkinje cells (circles). (D) 500 µg/L, with diffuse and scanty Purkinje cells and larger clustered cells in the granular layer (square). Cresyl violet stain, ×63. Scale bar A–D = 100 µm. (E) “c” is significantly decreased compared to the control and “b,” but not “a.” Bonferroni post-hoc test, p = 0.0001 and 0.01, respectively. (F) No significant difference in density of granular neurons was observed between the groups. (G) Rectangle indicates the region of the cerebellar cortex from which photomicrographs were taken and quantification of densities were made, ×400. Scale bar = 100 µm.
3.5. Quantification of Granule and Purkinje Cell Density
The mean density of Purkinje cells decreased in all atrazine-treated groups, but this decrease was significant in the 0.01 µg/L and 500 µg/L groups (Bonferroni’s post-hoc test, p = 0.0001 and 0.01, respectively) (Figure 6E). However, the mean density of the granule cells in the cerebellum did not differ significantly across the treatment groups (Figure 6F).
3.6. Expression of IP3R in the Cerebellar Cortex
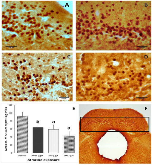
The expression of IP3Rs in the cerebellum was observed in the Purkinje cell layer (Figure 7A–D,F). A decrease in the number of expressed IP3Rs was observed with an increase in atrazine concentration (inverse relationship). A significant difference in the mean cell count of expressed IP3Rs was observed between the control and treated groups (one-way ANOVA test, p < 0.00). Meanwhile, the Bonferroni post-hoc test showed significant decreases in the number of cells that expressed IP3Rs in the treated groups (0.01 µg/L, p = 0.008; 200 µg/L, p = 0.001; 500 µg/L, p = 0.0001) compared to the control (Figure 7E).
Figure 7.
Photomicrographs showing atrazine-induced changes in the expression of IP3R expression in the cerebellar cortex of adult frogs. (A) Control, with numerous Purkinje cells expressing IP3Rs. (B) 0.01 µg/L group, showing several slightly enlarged cells expressing IP3Rs. (C) 200 µg/L, showing fewer cells in clusters expressing IP3Rs. (D) 500 µg/L, showing a diffused and diminished number of cells expressing IP3Rs, ×63. Scale bar = 100 µm. (E) Significant reduction in the mean cell count of expressed IP3Rs between the control and treated groups (one-way ANOVA test, p < 0.0001). Significant reduction in “a” relative to the control (Bonferroni post-hoc test, p < 0.008, 0.001, and 0.0001 respectively). (F) Rectangle indicates the region of the cerebella cortex with predominantly large Purkinje neurons that express IP3Rs, and photomicrographs and quantifications were taken from this region, ×400. Scale bar = 100 µm.
4. Discussion
The gross morphological examination of frog hearts revealed perturbations in size and conformation, as well as structural configuration associated with chemical and pathological injury. The increased ventricular size in all atrazine-exposed groups, with the greatest increase in the 200 μg/L atrazine group, suggests cardiac ventricular hypertrophy and corelates with the previously reported significant increase in heart weight and size at this atrazine concentration [17]. The cerebellar cortex is morphologically integrated into the hind brain in frogs, and the gross examination showed normal brain morphology, but independent cerebellar examination was not possible.
The histomorphology observations of significant increases in the interstitial space area fraction complement the reduction in the myocytes’ area fraction in the 0.01 μg/L (atrium only) and 200 μg/L (atrium and ventricle) groups compared to the control. Additionally, the significantly increased area fraction of myocytes in the 500 μg/L compared to the 0.01 μg/L (atrium) and 200 μg/L (ventricle) groups suggests dose-dependent effects. Meanwhile, the significant increase in thin and wavy myofibers in the atrazine-exposed groups compared to the control points to adverse effects of atrazine on the size of myocytes, which may interfere with their cellular integrity, especially with connective tissue infiltration, as previously reported [17]. These histomorphology results further agree with previously reported dilated cardiomyopathy [32] in the atrium and ventricle of the 200 μg/L group, hallmarked by reduced atrial and ventricular myocytes. However, hypertrophic cardiomyopathy is suspected in the slightly hypertrophied ventricular myocyte area fraction [33] of the 500 μg/L group.
While it was not possible to carry out quantitative analysis of cardiac Purkinje cells within the sub-endocardium, the results of the cerebellar Purkinje cell quantitative analysis indicate a significant reduction in the cerebellar Purkinje cell numbers in the 0.01 μg/L and 500 μg/L groups and an insignificant reduction in the 200 μg/L group compared to the control, which suggests differential effects of atrazine and possible disturbances of the electrophysiological function in the cerebellum. Furthermore, the reduction in Purkinje cell numbers may corroborate a previously reported reduced Purkinje cell inhibition on granule cells, with loss of Purkinje cells (reduction in number) in older mice [34,35] and a non-significant increase in the density of granular cells. These perturbations in neuronal density may affect cerebellar interconnections, consequently leading to disturbances of the neurotransmission function in the cerebellum, which may be associated with the locomotor mode of the life of adult Xenopus laveis frogs [36].
The regulation of neuronal synaptic plasticity and cardiac contraction and relaxation are achieved by an increase in cytosolic calcium [29,37]. In the brain, the influx of calcium triggers neurotransmission, signaling complexes in postsynaptic dendrites and their spines to induce long-term potentiation of cerebellar neurons [38]. As a pivotal coordinating center receiving input from several cortices and integrating them into a single response, the cerebellum is dependent on IP3Rs for the release of calcium from intracellular storage [39]. Therefore, the significant decrease in cerebellar cortex IP3Rs due to atrazine exposure may imply disturbances of the functional integrity of IP3Rs and possibly consequences of calcium influx. This is consistent with previous reports on atrazine neural effects, such as atrazine disruption of cerebellar electrophysiology in a rodent in-vivo study [14], modulation of vestibular discharge in semi-circular canals [40], and alterations in Purkinje neuron IP3Rs, which have been associated with spinocerebellar ataxia [28] and other brain pathologies [41] in human and rodent models.
Furthermore, cardiac ryanodine receptors (RYRs) and IP3Rs are the two main families of calcium channels important for modulating calcium release for cardiac excitation contraction coupling (ECC) in atrial and ventricular cardiomyocytes in response to extracellular stimuli [29,42]. Though RYR expression is significantly higher than IP3Rs in mammalian models, the presence of RYRs in the ventricle of frog hearts has not been established [42], suggesting that ECC in the ventricle of frog hearts is entirely dependent on the modulation of ventricular IP3Rs, which has not been micromorphologically reported until now. In this study, IP3Rs were successfully localized in the atrium and ventricles of frog hearts, and the results showed a significant increase in atrial IP3Rs and a non-significant increase in ventricular IP3Rs following atrazine treatment, which may be related to the differences in function of atrial and ventricular myocytes [43,44]. Additionally, elevated IP3R expression is reputably observed in cardiac ventricular hypertrophy, heart failure, atrial fibrillation, and dilated cardiomyopathy [45,46], which mirrors our histomorphometry observations. These elevated cardiac IP3R levels are also suggested to compensate for waning RYRs in human heart diseases [45,47].
The observed micromorphological changes in the heart and cerebellum following atrazine treatment and IP3R perturbations in both organs (peripheral and central toxicity) indicates atrazine’s potential to disrupt cardiac and cerebellar excitability with attendant dysfunctions. These histopathological observations together suggest impaired motor agility, mild ventricular cardiomyopathy, and progressed atrial arrythmias, all of which severely impair the ability of Xenopus to thrive in its environment. The results further emphasize that caution should be applied to atrazine use and application and regulatory guidelines should be enforced, as significant organ toxicities are evident at the environmentally relevant concentration (0.01 μg/L), which may have grave consequences in aquatic animal life conservation, the ecosystem, and general environmental health.
Author Contributions
Conceptualization, J.A.J. and E.F.M.; methodology, J.A.J. and E.F.M.; software, P.N.; validation, J.A.J. and E.F.M.; formal analysis, J.A.J., E.F.M. and P.N.; investigation, J.A.J. and E.F.M.; resources, J.A.J. and E.F.M.; data curation, J.A.J.; writing—original draft preparation, J.A.J. and E.F.M.; writing—review and editing, J.A.J., E.F.M. and P.O.; visualization, J.A.J., E.F.M. and P.O.; supervision, E.F.M.; project administration, J.A.J. and E.F.M.; funding acquisition, J.A.J., E.F.M. and P.N. All authors have read and agreed to the published version of the manuscript.
Funding
This work was partially supported by a Faculty Research Committee Individual Grant awarded to Jaclyn Asouzu Johnson in 2015 by the University of Witwatersrand, Faculty of Health Sciences (grant number; 001254842110151211015121105004985).
Institutional Review Board Statement
This study was conducted according to the guidelines of the approved standard procedures of the University of the Witwatersrand Animals Ethics Research Committee (2014/32/D) and the Gauteng Province Nature Conservation (CPF6 0115 (2015) and CPF6 0120, 2016).
Data Availability Statement
The supporting data reported in this study will be made available publicly during the course of publication, if this manuscript is accepted.
Acknowledgments
The authors especially acknowledge Hasiena Ali for her hands-on assistance at various stages of this research, and Ihunwo, Cornelius Rimayi, and Lynette Sena for their amazing collaboration and inspiration.
Conflicts of Interest
The authors declare no conflict of interest.
References
- Bai, X.; Sun, C.; Xie, J.; Song, H.; Zhu, Q.; Su, Y.; Qian, H.; Fu, Z. Effects of atrazine on photosynthesis and defense response and the underlying mechanisms in Phaeodactylum tricornutum. Environ. Sci. Pollut. Res. 2015, 22, 17499–17507. [Google Scholar] [CrossRef]
- Ribaudo, M.; Bouzaher, A. Atrazine: Environmental Characteristics and Economics of Management. 1994. Available online: http://www.ers.usda.gov/publications/pub-details/?pubid=40594 (accessed on 21 September 2021).
- Barchanska, H.; Sajdak, M.; Szczypka, K.; Swientek, A.; Tworek, M.; Kurek, M. Atrazine, triketone herbicides, and their degradation products in sediment, soil and surface water samples in Poland. Environ. Sci. Pollut. Res. 2016, 24, 644–658. [Google Scholar] [CrossRef] [PubMed]
- Dabrowski, J.M.; Shadung, J.M.; Wepener, V. Prioritizing agricultural pesticides used in South Africa based on their environmental mobility and potential human health effects. Environ. Int. 2014, 62, 31–40. [Google Scholar] [CrossRef]
- Tiryaki, O.; Temur, C. The fate of pesticide in the environment. J. Biol. Env. Sci. 2010, 4, 29–38. [Google Scholar]
- Scahill, J.L. Effects of atrazine on embryonic development of fathead minnows (Pimephales promelas) and Xenopus laevis. BIOS 2008, 79, 139–149. [Google Scholar] [CrossRef][Green Version]
- Langerveld, A.J.; Celestine, R.; Zaya, R.; Mihalko, D.; Ide, C.F. Chronic exposure to high levels of atrazine alters expression of genes that regulate immune and growth-related functions in developing Xenopus laevis tadpoles. Environ. Res. 2009, 109, 379–389. [Google Scholar] [CrossRef]
- Sifkarovski, J.; Grayfer, L.; Andino, F.D.J.; Lawrence, B.P.; Robert, J. Negative effects of low dose atrazine exposure on the development of effective immunity to FV3 in Xenopus laevis. Dev. Comp. Immunol. 2014, 47, 52–58. [Google Scholar] [CrossRef]
- Hayes, T.B.; Case, P.; Chui, S.; Chung, D.; Haeffele, C.; Haston, K.; Lee, M.; Mai, V.P.; Marjuoa, Y.; Parker, J.; et al. Pesticide Mixtures, Endocrine Disruption, and Amphibian Declines: Are We Underestimating the Impact? Environ. Health Perspect. 2006, 114 (Suppl. 1), 40–50. [Google Scholar] [CrossRef] [PubMed]
- Jooste, A.M.; Du Preez, L.H.; Carr, J.A.; Giesy, J.P.; Gross, T.S.; Kendall, R.J. Gonadal development of larval male Xenopus laevis exposed to atrazine in outdoor microcosms. Environ. Sci. Technol. 2005, 39, 5255–5261. [Google Scholar] [CrossRef] [PubMed]
- Rimayi, C.; Odusanya, D.; Weiss, J.; de Boer, J.; Chimuka, L.; Mbajiorgu, F. Effects of environmentally relevant sub-chronic atrazine concentrations on African clawed frog (Xenopus laevis) survival, growth and male gonad development. Aquat. Toxicol. 2018, 199, 1–11. [Google Scholar] [CrossRef] [PubMed]
- Kabra, A.N.; Ji, M.-K.; Choi, J.; Kim, J.R.; Govindwar, S.; Jeon, B.-H. Toxicity of atrazine and its bioaccumulation and biodegradation in a green microalga, Chlamydomonas mexicana. Environ. Sci. Pollut. Res. 2014, 21, 12270–12278. [Google Scholar] [CrossRef] [PubMed]
- Lin, J.; Zhao, H.-S.; Qin, L.; Li, X.-N.; Zhang, C.; Xia, J.; Li, J.-L. Atrazine Triggers Mitochondrial Dysfunction and Oxidative Stress in Quail (Coturnix C. coturnix) Cerebrum via Activating Xenobiotic-Sensing Nuclear Receptors and Modulating Cytochrome P450 Systems. J. Agric. Food Chem. 2018, 66, 6402–6413. [Google Scholar] [CrossRef]
- Podda, M.V.; Deriu, F.; Solinas, A.; Demontis, M.P.; Varoni, M.V.; Spissu, A.; Anania, V.; Tolu, E. Effect of atrazine Administration on Spontaneous and Evoked Cerebellar Activity in the RAT. Pharmacol. Res. 1997, 36, 199–202. [Google Scholar] [CrossRef]
- Xia, J.; Qin, L.; Du, Z.-H.; Lin, J.; Li, X.-N.; Li, J.-L. Performance of a novel atrazine-induced cerebellar toxicity in quail (Coturnix C. coturnix): Activating PXR/CAR pathway responses and disrupting cytochrome P450 homeostasis. Chemosphere 2017, 171, 259–264. [Google Scholar] [CrossRef]
- Lin, Z.; Dodd, C.A.; Xiao, S.; Krishna, S.; Ye, X.; Filipov, N.M. Gestational and Lactational Exposure to Atrazine via the Drinking Water Causes Specific Behavioral Deficits and Selectively Alters Monoaminergic Systems in C57BL/6 Mouse Dams, Juvenile and Adult Offspring. Toxicol. Sci. 2014, 141, 90–102. [Google Scholar] [CrossRef] [PubMed]
- Asouzu Johnson, J.; Ihunwo, A.; Chimuka, L.; Mbajiorgu, E.F. Cardiotoxicity in African clawed frog (Xenopus laevis) sub-chronically exposed to environmentally relevant atrazine concentrations: Implications for species survival. Aquat. Toxicol. 2019, 213, 105218. Available online: https://www.sciencedirect.com/science/article/pii/S0166445X18308099 (accessed on 16 September 2021). [CrossRef] [PubMed]
- Amir, S.; Shah, S.; Mamoulakis, C.; Docea, A.; Kalantzi, O.-I.; Zachariou, A.; Calina, D.; Carvalho, F.; Sofikitis, N.; Makrigiannakis, A.; et al. Endocrine Disruptors Acting on Estrogen and Androgen Pathways Cause Reproductive Disorders through Multiple Mechanisms: A Review. Int. J. Environ. Res. Public Health 2021, 18, 1464. [Google Scholar] [CrossRef]
- Spealman, C.R. The action of ions on the frog heart. Am. J. Physiol. Content 1940, 130, 729–738. [Google Scholar] [CrossRef]
- Fijorek, K.; Püsküllüoğlu, M.; Tomaszewska, D.; Tomaszewski, R.; Glinka, A.; Polak, S. Serum potassium, sodium and calcium levels in healthy individuals—literature review and data analysis. Folia Med. Crac. 2014, 54, 53–70. [Google Scholar]
- Philipson, K.D.; Nicoll, D.A. Sodium-Calcium Exchange: A Molecular Perspective. Annu. Rev. Physiol. 2000, 62, 111–133. [Google Scholar] [CrossRef]
- Bers, D.M.; Barry, W.H.; Despa, S. Intracellular Na+ regulation in cardiac myocytes. Cardiovasc. Res. 2003, 57, 897–912. [Google Scholar] [CrossRef]
- Eisner, D.A.; Caldwell, J.L.; Kistamas, K.; Trafford, A.W. Calcium and Excitation-Contraction Coupling in the Heart. Circ. Res. 2017, 121, 181–195. [Google Scholar] [CrossRef] [PubMed]
- Ghosh, A.; Greenberg, M.E. Calcium signaling in neurons: Molecular mechanisms and cellular consequences. Science 1995, 268, 239–247. [Google Scholar] [CrossRef] [PubMed]
- Dellis, O.; Dedos, S.G.; Tovey, S.C.; Rahman, T.U.; Dubel, S.J.; Taylor, C.W. Ca 2+ Entry Through Plasma Membrane IP 3 Receptors. Science 2006, 313, 229–233. [Google Scholar] [CrossRef] [PubMed]
- Dellis, O.; Rossi, A.M.; Dedos, S.G.; Taylor, C. Counting Functional Inositol 1,4,5-Trisphosphate Receptors into the Plasma Membrane. J. Biol. Chem. 2008, 283, 751–755. [Google Scholar] [CrossRef]
- Koulen, P.; Janowitz, T.; Johnston, L.D.; Ehrlich, B.E. Conservation of localization patterns of IP3 receptor type 1 in cerebellar Purkinje cells across vertebrate species. J. Neurosci. Res. 2000, 61, 493–499. Available online: https://onlinelibrary.wiley.com/doi/abs/10.1002/1097-4547%2820000901%2961%3A5%3C493%3A%3AAID-JNR3%3E3.0.CO%3B2-9 (accessed on 21 September 2021). [CrossRef]
- Ando, H.; Hirose, M.; Mikoshiba, K. Aberrant IP3 receptor activities revealed by comprehensive analysis of pathological mutations causing spinocerebellar ataxia 29. Proc. Natl. Acad. Sci. USA 2018, 115, 12259–12264. [Google Scholar] [CrossRef]
- Garcia, M.I.; Boehning, D. Cardiac inositol 1,4,5-trisphosphate receptors. Biochim. Biophys. Acta (BBA)—Bioenerg. 2017, 1864, 907–914. [Google Scholar] [CrossRef]
- Rohr, J.R.; McCoy, K.A. A qualitative meta-analysis reveals consistent effects of atrazine on freshwater fish and amphibians. Environ. Health Perspect. 2010, 118, 20. [Google Scholar] [CrossRef] [PubMed]
- Farruggia, F.T.; Rossmeisl, C.M.; Hetrick, J.A.; Biscoe, M.; Branch, M.E.R., III. Refined Ecological Risk Assessment for Atrazine; US Environmental Protection Agency, Office of Pesticide Programs: Washington, DC, USA, 2016.
- Mitrut, R.; Stepan, A.; Pirici, D. Histopathological Aspects of the Myocardium in Dilated Cardiomyopathy. Curr. Health Sci. J. 2018, 44, 243–249. [Google Scholar] [CrossRef]
- Marshall, L.; Vivien, C.; Girardot, F.; Péricard, L.; Demeneix, B.A.; Coen, L.; Chai, N. Persistent fibrosis, hypertrophy and sarcomere disorganisation after endoscopy-guided heart resection in adult Xenopus. PLoS ONE 2017, 12, e0173418. [Google Scholar] [CrossRef] [PubMed]
- Guo, C.; Witter, L.; Rudolph, S.; Elliott, H.L.; Ennis, K.A.; Regehr, W.G. Purkinje Cells Directly Inhibit Granule Cells in Specialized Regions of the Cerebellar Cortex. Neuron 2016, 91, 1330–1341. [Google Scholar] [CrossRef]
- Ralcewicz, T.A.; Persaud, T. Purkinje and granule cells distribution in the cerebellum of the rat following prenatal exposure to low dose ionizing radiation. Exp. Toxicol. Pathol. 1994, 46, 443–452. [Google Scholar] [CrossRef]
- Manzano, A.S.; Herrel, A.; Fabre, A.-C.; Abdala, V. Variation in brain anatomy in frogs and its possible bearing on their locomotor ecology. J. Anat. 2017, 231, 38–58. [Google Scholar] [CrossRef]
- Redmond, L.; Ghosh, A. Regulation of dendritic development by calcium signaling. Cell Calcium 2005, 37, 411–416. [Google Scholar] [CrossRef]
- Nanou, E.; Catterall, W.A. Calcium Channels, Synaptic Plasticity, and Neuropsychiatric Disease. Neuron 2018, 98, 466–481. [Google Scholar] [CrossRef]
- Berridge, M.J.; Bootman, M.; Roderick, H. Calcium signalling: Dynamics, homeostasis and remodelling. Nat. Rev. Mol. Cell Biol. 2003, 4, 517–529. [Google Scholar] [CrossRef]
- Rossi, M.L.; Prigioni, I.; Gioglio, L.; Rubbini, G.; Russo, G.; Martini, M.; Farinelli, F.; Rispoli, G.; Fesce, R. IP3 receptor in the hair cells of frog semicircular canal and its possible functional role. Eur. J. Neurosci. 2006, 23, 1775–1783. [Google Scholar] [CrossRef]
- Hisatsune, C.; Mikoshiba, K. IP3receptor mutations and brain diseases in human and rodents. J. Neurochem. 2017, 141, 790–807. [Google Scholar] [CrossRef]
- Fill, M.; Copello, J.A. Ryanodine Receptor Calcium Release Channels. Physiol. Rev. 2002, 82, 893–922. [Google Scholar] [CrossRef] [PubMed]
- Tijskens, P.; Meissner, G.; Franzini-Armstrong, C. Location of Ryanodine and Dihydropyridine Receptors in Frog Myocardium. Biophys. J. 2003, 84, 1079–1092. [Google Scholar] [CrossRef]
- Lipp, P.; Laine, M.; Tovey, S.C.; Burrell, K.M.; Berridge, M.J.; Li, W.; Bootman, M.D. Functional InsP3 receptors that may modulate excitation–contraction coupling in the heart. Curr. Biol. 2000, 10, 939–942. [Google Scholar] [CrossRef]
- Signore, S.; Sorrentino, A.; Ferreira-Martins, J.; Kannappan, R.; Shafaie, M.; Del Ben, F.; Isobe, K.; Arranto, C.; Wybieralska, E.; Webster, A.; et al. Inositol 1,4,5-Trisphosphate Receptors and Human Left Ventricular Myocytes. Circulation 2013, 128, 1286–1297. [Google Scholar] [CrossRef] [PubMed]
- Go, L.O.; Moschella, M.C.; Watras, J.; Handa, K.K.; Fyfe, B.S.; Marks, A.R. Differential regulation of two types of intracellular calcium release channels during end-stage heart failure. J. Clin. Investig. 1995, 95, 888–894. [Google Scholar] [CrossRef] [PubMed]
- Harzheim, D.; Movassagh, M.; Foo, R.S.-Y.; Ritter, O.; Tashfeen, A.; Conway, S.J.; Bootman, M.D.; Roderick, H.L. Increased InsP3Rs in the junctional sarcoplasmic reticulum augment Ca2+ transients and arrhythmias associated with cardiac hypertrophy. Proc. Natl. Acad. Sci. USA 2009, 106, 11406–11411. [Google Scholar] [CrossRef] [PubMed]
Publisher’s Note: MDPI stays neutral with regard to jurisdictional claims in published maps and institutional affiliations. |
© 2021 by the authors. Licensee MDPI, Basel, Switzerland. This article is an open access article distributed under the terms and conditions of the Creative Commons Attribution (CC BY) license (https://creativecommons.org/licenses/by/4.0/).






