The Effects of Chewing Exercises on Masticatory Function after Surgical Orthodontic Treatment
Abstract
1. Introduction
2. Materials and Methods
2.1. Subjects
2.2. Methods of Measurement
2.2.1. Cephalometric Analysis
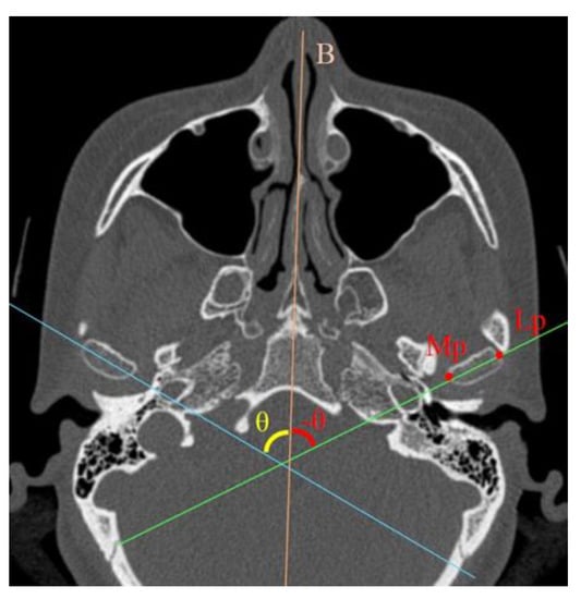
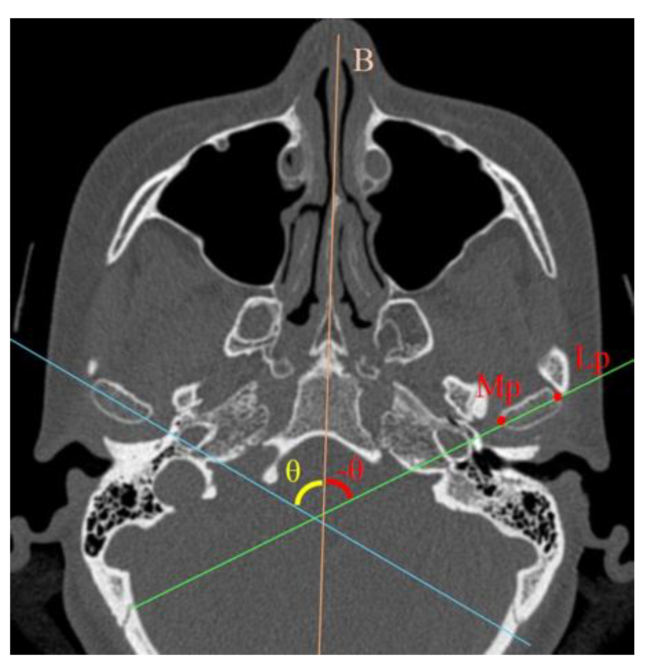
2.2.2. Three-Dimensional Computed Tomography (3D CT) Analysis
2.2.3. Analysis of Chewing Pattern
2.2.4. Analysis of Oral Function
2.2.5. Statistical Analyses
3. Results
3.1. Cephalometric Analysis
3.2. Chewing Cycle and Oral Function Analysis
3.3. Measurement of Changes in Position in the Proximal Bone Fragment and Condyle
4. Discussion
5. Conclusions
- Chewing patterns change to the normal type in 60% of the patients by performing a chewing exercise after SSRO.
- In the control group with no chewing exercise, 21% of the subjects spontaneously changed to the normal type of mastication.
- Chewing exercises can be useful to normalize masticatory movements after SSRO.
Author Contributions
Funding
Institutional Review Board Statement
Informed Consent Statement
Conflicts of Interest
References
- Hidaka, O.; Iwasaki, M.; Saito, M.; Morimoto, T. Influence of Clenching Intensity on Bite Force Balance, Occlusal Contact Area, and Average Bite Pressure. J. Dent. Res. 1999, 78, 1336–1344. [Google Scholar] [CrossRef]
- Braber, W.; Glas, H.; Bilt, A.; Bosman, F. Masticatory function in retrognathic patients, before and after mandibular advancement surgery. J. Oral Maxillofac. Surg. 2004, 62, 549–554. [Google Scholar] [CrossRef] [PubMed]
- Hoon, J.Y.; Kwon, I.J.; Akram, A.A.; Yoojung, S.; Bongju, K.; Soung, M.K. Effects of chewing exerciser on the recovery of masticatory function recovery after orthognathic surgery: A single-center randomized clinical trial, a preliminary study. Medicina 2020, 56, 483. [Google Scholar]
- Kobayashi, T.; Honma, K.; Shingaki, S.; Nakajima, T. Changes in Masticatory Function after Orthognathic Treatment in Patients with Mandibular Prognathism. Br. J. Oral Maxillofac. Surg. 2001, 39, 260–265. [Google Scholar] [CrossRef]
- Raustia, A.M.; Oikarinen, K.S. Changes in Electric Activity of Masseter and Temporal Muscles after Mandibular Sagittal Split Osteotomy. Int. J. Oral Maxillofac. Surg. 1994, 23, 180–184. [Google Scholar] [CrossRef]
- Shinogaya, T.; Bakke, M.; Thomsen, C.E.; Vilmann, A.; Matsumoto, M. Bite Force and Occlusal Load in Healthy Young Subjects—A Methodological Study. Eur. J. Prosthodont. Restor. Dent. 2000, 8, 11–15. [Google Scholar]
- Ingervall, B.; Ridell, A.; Thilander, B. Changes in Activity of the Temporal, Masseter and Lip Muscles after Surgical Correction of Mandibular Prognathism. Int. J. Oral Surg. 1979, 8, 290–300. [Google Scholar] [CrossRef]
- Ueki, K.; Marukawa, K.; Hashiba, Y.; Nakagawa, K.; Degerliyurt, K.; Yamamoto, E. Changes in the duration of the chewing cycle in patients with skeletal class III with and without asymmetry before and after orthognathic surgery. J. Oral Maxillofac. Surg. 2009, 67, 67–72. [Google Scholar] [CrossRef]
- Choi, Y.J.; Lim, H.; Chung, C.J.; Park, K.H.; Kim, K.H. Two-year follow-up of changes in bite force and occlusal contact area after intraoral vertical ramus osteotomy with and without Le Fort I osteotomy. J. Oral Maxillofac. Surg. 2014, 43, 742–747. [Google Scholar] [CrossRef]
- Iwase, M.; Ohashi, M.; Tachibana, H.; Toyoshima, T.; Nagumo, M. Bite Force, Occlusal Contact Area and Masticatory Efficiency before and after Orthognathic Surgical Correction of Mandibular Prognathism. Int. J. Oral Maxillofac. Surg. 2006, 35, 1102–1107. [Google Scholar] [CrossRef]
- Ohkura, K.; Harada, K.; Morishima, S.; Enomoto, S. Changes in Bite Force and Occlusal Contact Area after Orthognathic Surgery for Correction of Mandibular Prognathism. Oral Surg. Oral Med. Oral Pathol. Oral Radiol. Endod. 2001, 91, 141–145. [Google Scholar] [CrossRef] [PubMed]
- Nakata, Y.; Ueda, H.M.; Kato, M.; Tabe, H.; Shikata-Wakisaka, N.; Matsumoto, E. Changes in stomatognathic function induced by orthognathic surgery in patients with mandibular prognathism. J. Oral Maxillofac. Surg. 2007, 65, 444–451. [Google Scholar] [CrossRef] [PubMed]
- Ueki, K.; Marukawa, K.; Hashiba, Y.; Nakagawa, K.; Degerliyurt, K.; Yamamoto, E. Assessment of the relationship between the recovery of maximum mandibular opening and the maxillomandibular fixation period after orthognathic surgery. J. Oral Maxillofac. Surg. 2008, 66, 486–491. [Google Scholar] [CrossRef]
- Farella, M.; Michelotti, A.; Bocchino, T.; Cimino, R.; Laino, A.; Steenks, M.H. Effects of orthognathic surgery for class III malocclusion on signs and symptoms of temporomandibular disorders and on pressure pain thresholds of the jaw muscles. J. Oral Maxillofac. Surg. 2007, 36, 583–587. [Google Scholar] [CrossRef]
- Harada, K.; Watanabe, M.; Ohkura, K.; Enomoto, S. Measure of bite force and occlusal contact area before and after bilateral sagittal split ramus osteotomy of the mandible using a new pressure-sensitive device: A preliminary report. J. Oral Maxillofac. Surg. 2000, 58, 370–373. [Google Scholar] [CrossRef]
- Okada, H.; Suzuki, Y.; Imamura, R.; Ishii, K.; Negishi, S.; Kasai, K. The Relationship between Chewing Patterns and Displacement of the Proximal Bone Fragment and Morphological Changes in Condyle after Sagittal Split Ramus Osteotomy. J. Oral Sci. 2020, 18, 332–343. [Google Scholar] [CrossRef][Green Version]
- Kubota, T.; Yagi, T.; Tomonari, H.; Ikemori, T.; Miyawaki, S. Influence of Surgical Orthodontic Treatment on Masticatory Function in Skeletal Class III Patients. J. Oral Rehabil. 2015, 42, 733–741. [Google Scholar] [CrossRef]
- Imamura, R. Assessment of the Position and Morphology of the Condylar Head of Mandible after Sagittal Split Rmaus Osteotomy: Apostoperative Comparative Study from 1 to 6 Months. J. Oral Sci. 2017, 14, 139–151. [Google Scholar]
- Suzuki, Y.; Saitoh, K.; Imamura, R.; Ishii, K.; Negishi, S.; Imamura, R.; Yamaguchi, M.; Kasai, K. Relationship between Molar Occlusion and Masticatory Movement in Lateral Deviation of the Mandible. Am. J. Orthod. Dentofacial Orthop. 2017, 151, 1139–1147. [Google Scholar] [CrossRef]
- Ibrahim, F.; Arifin, N.; Rahim, Z.H.A. Effect of Orofacial Myofunctional Exercise Using an Oral Rehabilitation Tool on Labial Closure Strength, Tongue Elevation Strength and Skin and Skin Elasticity. J. Phys. Ther. Sci. 2013, 25, 11–14. [Google Scholar] [CrossRef]
- Hayashi, R.; Tsuga, K.; Hosokawa, R.; Yoshida, M.; Sato, Y.; Akagawa, Y. A Novel Handy Probe for Tongue Pressure Measurement. Int. J. Prosthodont. 2002, 15, 385–388. [Google Scholar]
- Faul, F.; Erdfelder, E.; Buchner, A.; Lang, A.G. Statistical power analyses using G*Power 3.1: Tests for correlation and regression analyses. Behav. Res. Methods 2009, 41, 1149–1160. [Google Scholar] [CrossRef]
- Ko, W.-C.E.; Huang, C.S.; Lo, L.J.; Chen, Y.R. Longitudinal observation of mandibular motion pattern in patients with skeletal Class III malocclusion subsequent to orthognathic surgery. J. Oral Maxillofac. Surg. 2012, 70, 158–168. [Google Scholar]
- Gjørup, H.; Kjaer, I.; Sonnesen, L.; Beck-Nielsen, S.S.; Haubek, D. Morphological Characteristics of Frontal Sinus and Nasal Bone Focusing on Bone Resorption and Apposition in Hypophosphatemic Rickets. Orthod. Craniofac. Res. 2013, 16, 246–255. [Google Scholar] [CrossRef] [PubMed]
- Takeda, H.; Nakamura, Y.; Handa, H.; Ishii, H.; Hamada, Y.; Seto, K. Examination of Masticatory Movement and Rhythm before and after Surgical Orthodontics in Skeletal Class III Patients with Unilateral Posterior Cross-Bite. J. Oral Maxillofac. Surg. 2009, 67, 1844–1849. [Google Scholar] [CrossRef]
- Yashiro, K.; Takada, K. Improvements in Smoothness of Chewing Cycles in Adults with Mandibular Prognathism after Surgery: A Longitudinal Study. J. Oral Rehabil. 2013, 40, 418–428. [Google Scholar] [CrossRef] [PubMed]
- Kato, K.; Kobayashi, T.; Kato, Y.; Takata, Y.; Yoshizawa, M.; Saito, C. Changes in Masticatory Functions after Surgical Orthognathic Treatment in Patients with Jaw Deformities: Efficacy of Masticatory Exercise Using Chewing Gum. J. Oral Maxillofac. Surg. 2012, 24, 147–151. [Google Scholar] [CrossRef]
- Harzer, W.; Worm, M.; Gedrange, T.; Schneider, M.; Wolf, P. Myosin Heavy Chain mRNA Isoforms in Masseter Muscle before and after Orthognathic Surgery. Oral Surg. Oral Med. Oral Pathol. Oral Radiol. Endod. 2007, 104, 486–490. [Google Scholar] [CrossRef]
- Ferrario, V.F.; Serrao, G.; Dellavia, C.; Caruso, E.; Sforza, C. Relationship between the Number of Occlusal Contacts and Masticatory Muscle Activity in Healthy Young Adults. Cranio 2002, 20, 91–98. [Google Scholar] [CrossRef]
- Negishi, S.; Hayashi, R.; Saitoh, K.; Kasai, K. Influence of Masticatory Exercises Using Hard Chewing Gum on Chewing Pattern and First Molar of Mixed Dentition. Orthod Waves Jpn. 2010, 69, 156–162. [Google Scholar] [CrossRef]











| Exercise Group (n = 10) | Control Group (n = 19) | Statistical Significance | ||||||||||
|---|---|---|---|---|---|---|---|---|---|---|---|---|
| T1 | T2 | CT1 | CT2 | p-Value | ||||||||
| Mean | SD | Mean | SD | Mean | SD | Mean | SD | T1-T2 | CT1-CT2 | T1-CT1 | T2-CT2 | |
| Angle measurement | ||||||||||||
| SNA (°) | 82.1 | 3.5 | 82.2 | 3.5 | 80.4 | 3.5 | 81.9 | 3.1 | NS | NS | NS | NS |
| SNB (°) | 83.5 | 4.3 | 81.1 | 4.3 | 80.7 | 4.1 | 78.6 | 3.0 | ** | ** | NS | NS |
| ANB (°) | −1.5 | 3.1 | 1.1 | 2.4 | −0.2 | 3.8 | 3.2 | 3.0 | ** | ** | NS | NS |
| FMA (°) | 30.1 | 4.8 | 30.4 | 4.8 | 29.8 | 4.3 | 30.2 | 3.9 | NS | NS | NS | NS |
| FMIA (L1 to FH) (°) | 65.8 | 8.5 | 67.4 | 7.4 | 59.3 | 9.9 | 60 | 6.4 | NS | NS | NS | NS |
| IMPA (L1 to MP) (°) | 84.2 | 5.3 | 82.3 | 4.7 | 90.9 | 9.1 | 89.7 | 7.8 | NS | NS | NS | NS |
| U1 to SN (°) | 114.9 | 8.0 | 112.7 | 8.9 | 111.3 | 8.6 | 110.3 | 8.4 | NS | NS | NS | NS |
| Interincisal angle (°) | 123.2 | 7.7 | 126.1 | 6.7 | 117.2 | 8.1 | 118.9 | 8.5 | NS | NS | NS | NS |
| Liner measurement | ||||||||||||
| Overjet (mm) | −0.1 | 4.9 | 3.1 | 1.9 | −3.2 | 3.6 | 2.6 | 2.6 | ** | ** | NS | NS |
| Overbite (mm) | 0.4 | 1.5 | 2.0 | 1.7 | 0.8 | 1.0 | 2.4 | 1.3 | * | ** | NS | NS |
| Exercise Group (n = 10) | Control Group (n = 19) | Statistical Significance | ||||||||||
|---|---|---|---|---|---|---|---|---|---|---|---|---|
| T1 | T2 | CT1 | CT2 | p-Value | ||||||||
| Mean | SD | Mean | SD | Mean | SD | Mean | SD | T1-T2 | CT1-C2 | T1-C1 | T2-C2 | |
| Oral function measurements | ||||||||||||
| Masticatory width (mm) | 1.7 | 0.9 | 3.0 | 1.3 | 1.4 | 1.0 | 1.2 | 0.8 | * | NS | NS | ** |
| Masticatory height (mm) | 15.2 | 3.6 | 15.2 | 5.1 | 12 | 4.9 | 12.4 | 4.6 | NS | NS | NS | NS |
| Occlusal force (N) | 209.4 | 98.9 | 261.5 | 91.3 | 204.6 | 124 | 222.5 | 144.8 | * | NS | NS | * |
| Lip closure force (N) | 11.4 | 9.4 | 8.2 | 3.0 | 7.6 | 3.0 | 8.5 | 2.8 | NS | NS | NS | NS |
| Tongue pressure force (Kpa) | 27.0 | 6.2 | 29.0 | 5.9 | 22 | 13.2 | 29.6 | 9.3 | NS | NS | NS | NS |
| Exercise Group (n = 10) | Control Group (n = 19) | |||||||||||||||
|---|---|---|---|---|---|---|---|---|---|---|---|---|---|---|---|---|
| X | Y | Z | θ | X | Y | Z | θ | |||||||||
| Mean | SD | Mean | SD | Mean | SD | Mean | SD | Mean | SD | Mean | SD | Mean | SD | Mean | SD | |
| Lp (mm) | −0.1 | 0.4 | 0.1 | 0.1 | 0.1 | 0.5 | −0.2 | 1.3 | 0.2 | 1.0 | 0.4 | 0.7 | ||||
| Cp (mm) | −0.1 | 0.4 | 0.1 | 0.5 | 0.2 | 0.6 | −0.7 | 2.3 | 0.1 | 2.5 | −0.2 | 0.9 | ||||
| An (mm) | 0.1 | 0.8 | −0.6 | 3.4 | −0.5 | 2.3 | −0.9 | 2.8 | 2.4 | 2.2 | −1.9 | 4.0 | ||||
| Condylar angle (°) | 3.0 | 1.1 | 3.0 | 3.9 | ||||||||||||
Publisher’s Note: MDPI stays neutral with regard to jurisdictional claims in published maps and institutional affiliations. |
© 2021 by the authors. Licensee MDPI, Basel, Switzerland. This article is an open access article distributed under the terms and conditions of the Creative Commons Attribution (CC BY) license (https://creativecommons.org/licenses/by/4.0/).
Share and Cite
Negishi, S.; Sato, K.; Kasai, K. The Effects of Chewing Exercises on Masticatory Function after Surgical Orthodontic Treatment. Appl. Sci. 2021, 11, 8488. https://doi.org/10.3390/app11188488
Negishi S, Sato K, Kasai K. The Effects of Chewing Exercises on Masticatory Function after Surgical Orthodontic Treatment. Applied Sciences. 2021; 11(18):8488. https://doi.org/10.3390/app11188488
Chicago/Turabian StyleNegishi, Shinichi, Kota Sato, and Kazutaka Kasai. 2021. "The Effects of Chewing Exercises on Masticatory Function after Surgical Orthodontic Treatment" Applied Sciences 11, no. 18: 8488. https://doi.org/10.3390/app11188488
APA StyleNegishi, S., Sato, K., & Kasai, K. (2021). The Effects of Chewing Exercises on Masticatory Function after Surgical Orthodontic Treatment. Applied Sciences, 11(18), 8488. https://doi.org/10.3390/app11188488
