First Report and 3D Reconstruction of a Presumptive Microscopic Liver Lipoma in a Black Barbel (Barbus balcanicus) from the River Bregalnica in the Republic of North Macedonia
Abstract
1. Introduction
2. Materials and Methods
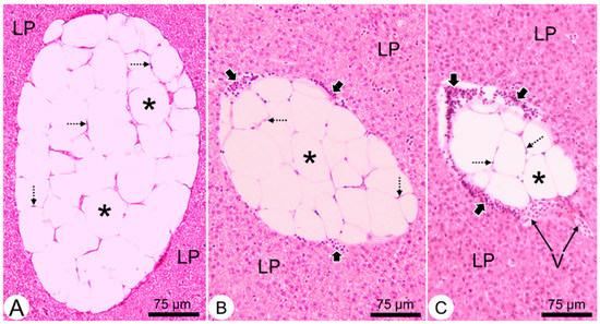
3. Results
4. Discussion
Author Contributions
Funding
Institutional Review Board Statement
Informed Consent Statement
Data Availability Statement
Conflicts of Interest
References
- Schlumberger, H.H.; Lucké, B. Tumors of fishes, amphibians and reptiles. Cancer Res. 1948, 8, 657–754. [Google Scholar] [PubMed]
- Johnson, C.N.; Ha, A.S.; Chen, E.; Davidson, D. Lipomatous soft-tissue tumors. J. Am. Acad. Orthop. Surg. 2018, 26, 779–788. [Google Scholar] [CrossRef] [PubMed]
- Charifa, A.; Azmat, C.E.; Badri, T. Lipoma Pathology. In StatPearls; StatPearls Publishing: Treasure Island, FL, USA, 2020. [Google Scholar]
- Stolk, A. Tumours of fishes 29. Lipoma in the eel Anguilla anguilla. Beaufortia 1959, 7, 193–198. [Google Scholar]
- Tubiash, H.D.; Hendricks, J.D. A possible lipoma in the weakfish, Cynoscion regalis (Bloch and Schneider). Chesap. Sci. 1973, 14, 145–146. [Google Scholar] [CrossRef]
- Bruno, D.W.; McVicar, A.H.; Fraser, C.O. Multiple lipoma in the common dab, Limanda limanda L. J. Appl. Ichthyol. 1991, 7, 238–243. [Google Scholar] [CrossRef]
- Marino, F.; Monaco, S.; Salvaggio, A.; Macrì, B. Lipoma in a farmed northern bluefin tuna, Thunnus thynnus (L.). J. Fish Dis. 2006, 29, 697–699. [Google Scholar] [CrossRef] [PubMed]
- Gómez, S. Multiple dermal lipomas in farmed striped seabream Lithognathus mormyrus on the Spanish Mediterranean coast. Dis. Aquat. Organ. 2009, 85, 77–79. [Google Scholar] [CrossRef][Green Version]
- McCoy, C.P.; Bowser, P.R.; Steeby, J.; Bleau, M.; Schwedler, T.E. Lipoma in channel catfish (Ictalurus punctatus Rafinesque). J. Wild. Dis. 1985, 21, 74–76. [Google Scholar] [CrossRef] [PubMed][Green Version]
- Easa, M.L.S.; Easa, M.; Harshbarger, J.C.; Hetrick, F.M. Hypodermal lipoma in a striped (grey) mullet Mugil cephalus. Dis. Aquat. Organ. 1989, 6, 157–160. [Google Scholar] [CrossRef]
- Szewc, M.; Gawlik, P.; Żebrowski, R.; Sitarz, R. Giant lipoma in the fronto-temporo-parietal region in an adult man: Case report and literature review. Clin. Cosmet. Investig. Dermatol. 2020, 13, 1015–1020. [Google Scholar] [CrossRef]
- Schwartz, F.J.; Màrquez, R. A lipoma in the striped mojarm, Diapterus plumieri (Pisces: Gerridae) from Mexico. J. Elisha Mitchell Sci. Soc. 1971, 87, 87–90. [Google Scholar]
- Hard, G.C.; Williams, R.; Lee, J. Survey of Demersal Fish in Port Phillip Bay for Incidence of Neoplasia. Aust. J. Mar. Freshw. Res. 1979, 30, 73–79. [Google Scholar] [CrossRef]
- Chen, H.C.; Pan, I.J.; Tu, W.J.; Lin, W.H.; Hong, C.C.; Brittelli, M.R. Neoplastic Response in Japanese Medaka and Channel Catfish Exposed to N-Methyl-N′-Nitro-N-Nitrosoguanidine. Toxicol. Pathol. 1996, 24, 696–706. [Google Scholar] [CrossRef] [PubMed]
- Abowei, J.F.N.; Briyai, O.F.; Bassey, S.E. A Review of Some Viral, Neoplastic, Environmental and Nutritional Diseases of African Fish. Br. J. Pharmacol. Toxicol. 2011, 2, 227–235. [Google Scholar]
- De Stefano, C.; Bonfiglio, R.; Montalbano, G.; Giorgianni, P.; Lanteri, G. Multicentric lipoma in a molly (Poecilia velifera). Bull. Eur. Assoc. Fish Pathol. 2012, 32, 220–224. [Google Scholar]
- Sood, N.; Swaminathan, T.R.; Yadav, M.K.; Pradhan, P.K.; Kumar, R.; Sood, N.K. First report of cutaneous infiltrative lipoma in goldfish Carassius auratus. Dis. Aquat. Org. 2017, 125, 243–247. [Google Scholar] [CrossRef]
- Johnston, C.J.; Deveney, M.R.; Bayly, T.; Nowak, B.F. Gross and histopathological characteristics of two lipomas and a neurofibrosarcoma detected in aquacultured southern bluefin tuna, Thunnus maccoyii (Castelnau), in South Australia. J. Fish Dis. 2008, 31, 241–247. [Google Scholar] [CrossRef]
- Marino, F.; Chiofalo, B.; Mazzullo, G.; Panebianco, A. Multicentric infiltrative lipoma in a farmed Mediterranean seabass Dicentrarchus labrax: A pathological and biochemical case study. Dis. Aquat. Organ. 2011, 96, 259–264. [Google Scholar] [CrossRef] [PubMed][Green Version]
- Lester, R.J.G.; Kelly, W.R. Tumour-like growths from southern Australian marine fish. Tasmanian Fish Res. 1983, 25, 27–32. [Google Scholar]
- Ramos, P.; Faisca, P.; Carneiro, M.; Rosa, F. Dermal Melanoma and Mesenteric Lipoma in a Senegal Seabream, Diplodus bellottii (Steindachner, 1882) from the Portuguese Coast. Exp. Pathol. Health Sci. 2016, 8, 67–68. [Google Scholar]
- Singaravel, V.; Gopalakrishnan, A.; Vijayakumar, R.; Raja, K. Prevalence and pathology of gastric tumours in Indian oil sardine (Sardinella longiceps) from Parangipettai coastal waters, southeast coast of India. J. Coast. Life Med. 2015, 3, 592–595. [Google Scholar] [CrossRef]
- Hinck, J.E.; Blazer, V.S.; Denslow, N.D.; Echols, K.R.; Gale, R.W.; Wieser, C.; May, T.W.; Ellersieck, M.; Coyle, J.J.; Tillitt, D.E. Chemical contaminants, health indicators, and reproductive biomarker responses in fish from rivers in the Southeastern United States. Sci. Total Environ. 2008, 390, 538–557. [Google Scholar] [CrossRef] [PubMed]
- Stejskal, V.; Kouřil, J.; Policar, T.; Svobodová, Z. Splenic lipidosis in intensively cultured perch, Perca fluviatilis L. J. Fish Dis. 2015, 39, 87–93. [Google Scholar] [CrossRef]
- Thomas, L. Sur un lipome abdominal chez un colin. Bull. Ass. Fr. Etude Cancer 1933, 22, 419–435. [Google Scholar]
- Figueiredo-Fernandes, A.M.; Fontaínhas-Fernandes, A.A.; Monteiro, R.A.F.; Reis-Henriques, M.A.; Rocha, E. Spatial relationships of the intrahepatic vascular-biliary tracts and associated pancreatic acini of Nile tilapia, Oreochromis niloticus (Teleostei, Cichlidae): A serial section study by light microscopy. Ann. Anat. 2007, 189, 17–30. [Google Scholar] [CrossRef] [PubMed]
- Imrie, D.; Sadler, K.C. White adipose tissue development in zebrafish is regulated by both developmental time and fish size. Dev. Dyn. 2010, 239, 3013–3023. [Google Scholar] [CrossRef]
- Salmerón, C. Adipogenesis in fish. J. Exp. Biol. 2018, 221, jeb161588. [Google Scholar] [CrossRef] [PubMed]
- Sousa, S.; Rocha, M.J.; Rocha, E. Characterization and spatial relationships of the hepatic vascular–biliary tracts, and their associated pancreocytes and macrophages, in the model fish guppy (Poecilia reticulata): A study of serial sections by light microscopy. Tissue Cell 2018, 50, 104–113. [Google Scholar] [CrossRef]
- Jordanova, M.; Rebok, K.; Naskovska, M.; Kostov, V.; Rocha, E. Splenic pigmented macrophage aggregates in barbel (Barbus peloponnesius, Valenciennes, 1844) from River Bregalnica—Influences of age, sex and season on a pollution biomarker. Turkish J. Fish Aquat. Sci. 2016, 16, 881–890. [Google Scholar] [CrossRef]
- Rebok, K.; Jordanova, M.; Slavevska-Stamenković, V.; Ivanova, L.; Kostov, V.; Stafilov, T.; Rocha, E. Frequencies of erythrocyte nuclear abnormalities and of leucocytes in the fish Barbus peloponnesius correlate with a pollution gradient in the River Bregalnica (Macedonia). Environ. Sci. Pollut. Res. 2017, 24, 10493–10509. [Google Scholar] [CrossRef]
- McTighe, S.; Chernev, I. Intramuscular lipoma: A review of the literature. Orthop. Rev. Pavia 2014, 6, 5618. [Google Scholar] [CrossRef] [PubMed]
- Church, C.; Horowitz, M.; Rodeheffer, M. WAT is a functional adipocyte? Adipocyte 2012, 1, 38–45. [Google Scholar] [CrossRef]
- Snel, M.; Jonker, J.T.; Schoones, J.; Lamb, H.; de Roos, A.; Pijl, H.; Smit, J.W.A.; Meinders, A.E.; Jazet, I.M. Ectopic fat and insulin resistance: Pathophysiology and effect of diet and lifestyle interventions. Int. J. Endocrinol. 2012, 2012, 983814. [Google Scholar] [CrossRef]
- De Munck, T.J.I.; Soeters, P.B.; Koek, G.H. The role of ectopic adipose tissue: Benefit or deleterious overflow? Eur. J. Clin. Nutr. 2021, 75, 38–48. [Google Scholar] [CrossRef] [PubMed]
- Kosztyuova, T.; Shim, T.N. Rapidly enlarging lipoma. BMJ Case Rep. 2017, 2017, bcr2017221272. [Google Scholar] [CrossRef] [PubMed]
- Caliskan, A.; Kohlmann, W.; Affolter, K.; Downs-Kelly, E.; Kanth, P.; Bronner, M.P. Intramucosal lipomas of the colon implicate Cowden syndrome. Mod. Pathol. 2018, 31, 643–651. [Google Scholar] [CrossRef] [PubMed]
- WHO Classification of Tumours Editorial Board. WHO Classification of Tumours of Soft Tissue and Bone, 4th ed.; International Agency for Research on Cancer: Lyon, France, 2013; p. 427. [Google Scholar]
- Moulton, J.E. (Ed.) Tumors in Domestic Animals; University of California Press: Berkeley, CA, USA, 1990. [Google Scholar]
- Kolb, L.; Yarrarapu, S.N.S.; Ameer, M.A.; Rosario-Collazo, J.A. Lipoma. In StatPearls; StatPearls Publishing: Treasure Island, FL, USA, 2020. Available online: https://www.ncbi.nlm.nih.gov/books/NBK507906/ (accessed on 6 October 2020).
- Bertoli, M.; Pizzul, E.; Devescovi, V.; Franz, F.; Pastorino, P.; Giulianini, P.G.; Ferrari, C.; Nonnis Marzano, F. Biology and distribution of Danube barbel (Barbus balcanicus) (Osteichthyes: Cyprinidae) at the Northwestern limit of its range. Eur. Zool. J. 2019, 86, 280–293. [Google Scholar] [CrossRef]
- Žutinić, P.; Jelić, D.; Jelić, M.; Buj, I. A contribution to understanding the ecology of the large spot barbel-sexual dimorphism, growth and population structure of Barbus balcanicus (Actinopterygii; Cyprinidae) in Central Croatia. N.-West. J. Zool. 2013, 10, 158–166. [Google Scholar]
- Amat Trigo, F.; Roberts, C.G.; Britton, J.R. Spatial variability in the growth of invasive European barbel Barbus barbus in the River Severn basin, revealed using anglers as citizen scientists. Knowl. Manag. Aquat. Ecosyst. 2017, 418, 17. [Google Scholar] [CrossRef][Green Version]
- Aust, M.C.; Spies, M.; Kall, S.; Jokuszies, A.; Gohritz, A.; Vogt, P. Posttraumatic lipoma: Fact or fiction? Skinmed 2007, 6, 266–270. [Google Scholar] [CrossRef]
- Chu, C.-Y.; Chen, C.-F.; Rajendran, R.S.; Shen, C.-N.; Chen, T.-H.; Yen, C.-C.; Chuang, C.-K.; Lin, D.-S.; Hsiao, C.-D. Overexpression of Akt1 enhances adipogenesis and leads to lipoma formation in zebrafish. PLoS ONE 2012, 7, e36474. [Google Scholar] [CrossRef] [PubMed]
- Dixon, D.; Yoshitomi, K.; Boorman, G.A.; Maronpot, R.R. “Lipomatous” lesions of unknown cellular origin in the liver of B6C3F1 mice. Vet. Pathol. 1994, 31, 173–182. [Google Scholar] [CrossRef] [PubMed]
- Puljiz, Ž.; Petričević, M.; Bratanić, A.; Barišić, I.; Puljiz, M.; Karin, Ž. An unusually large liver lipoma. Case report. Med. Glas. Zenica 2012, 9, 411–414. [Google Scholar]
- Martin-Benitez, G.; Marti-Bonmati, L.; Barber, C.; Vila, R. Hepatic lipomas and steatosis: An association beyond chance. Eur. J. Radiol. 2011, 81, 491–494. [Google Scholar] [CrossRef]
- Farahani, N.; Braun, A.; Jutt, D.; Huffman, T.; Reder, N.; Liu, Z.; Yagi, Y.; Pantanowitz, L. Three-dimensional imaging and scanning: Current and future applications for pathology. J. Pathol. Inform. 2017, 8, 36. [Google Scholar] [CrossRef]
- Manenti, G.; Picchi, E.; Castrignanò, A.; Muto, M.; Nezzo, M.; Floris, R. Liver lipoma: A case report. BJR Case Rep. 2016, 3, 20150467. [Google Scholar] [CrossRef] [PubMed]
- Reddy, O.J.; Gafoor, J.A.; Suresh, B.; Prasad, P.O. Lipoma in liver: A rare presentation. J. Dr. NTR Univ. Health Sci. 2015, 4, 185–187. [Google Scholar] [CrossRef]



Publisher’s Note: MDPI stays neutral with regard to jurisdictional claims in published maps and institutional affiliations. |
© 2021 by the authors. Licensee MDPI, Basel, Switzerland. This article is an open access article distributed under the terms and conditions of the Creative Commons Attribution (CC BY) license (https://creativecommons.org/licenses/by/4.0/).
Share and Cite
Rebok, K.; Jordanova, M.; Azevedo, J.; Rocha, E. First Report and 3D Reconstruction of a Presumptive Microscopic Liver Lipoma in a Black Barbel (Barbus balcanicus) from the River Bregalnica in the Republic of North Macedonia. Appl. Sci. 2021, 11, 8392. https://doi.org/10.3390/app11188392
Rebok K, Jordanova M, Azevedo J, Rocha E. First Report and 3D Reconstruction of a Presumptive Microscopic Liver Lipoma in a Black Barbel (Barbus balcanicus) from the River Bregalnica in the Republic of North Macedonia. Applied Sciences. 2021; 11(18):8392. https://doi.org/10.3390/app11188392
Chicago/Turabian StyleRebok, Katerina, Maja Jordanova, Júlia Azevedo, and Eduardo Rocha. 2021. "First Report and 3D Reconstruction of a Presumptive Microscopic Liver Lipoma in a Black Barbel (Barbus balcanicus) from the River Bregalnica in the Republic of North Macedonia" Applied Sciences 11, no. 18: 8392. https://doi.org/10.3390/app11188392
APA StyleRebok, K., Jordanova, M., Azevedo, J., & Rocha, E. (2021). First Report and 3D Reconstruction of a Presumptive Microscopic Liver Lipoma in a Black Barbel (Barbus balcanicus) from the River Bregalnica in the Republic of North Macedonia. Applied Sciences, 11(18), 8392. https://doi.org/10.3390/app11188392

