Retrospective Analysis on Inferior Third Molar Position by Means of Orthopantomography or CBCT: Periapical Band-Like Radiolucent Sign
Abstract
1. Introduction
2. Materials and Methods
2.1. Study Design
- -
- Patients who received both an OPG and CBCT before inferior third molar extraction following the guidelines: CBCT was performed after OPG because the inferior alveolar canal appeared near (or superimposed) to the root with high pre- or post-surgical risk [1];
- -
- Patients who received the inferior third molar surgery by the director of the clinic (Kim YS.);
- -
- Consecutive patients aged between 25 to 35 years old (this range because people with more than 40 years could have other pathologies or compliances and because the complete root development in the third molars may occur up to 24 years but with individual variation according to the studies) [11].
- -
- subject with severe systemic or genetic disease affecting the bone metabolism;
- -
- subject in radiotherapy or chemotherapy or bisphosphonates;
- -
- subject with not completely formed root of the third;
- -
- subject with a fracture of mandibula.
2.2. Collection of Data
2.3. Modern Radiological Material for Clinicians
2.4. Groups of Patients
- -
- Dark-group (D-group): The pre-operative OPG of patients who had a dark area at the apical portion of the root/roots of the inferior third molar;
- -
- Control-group (C-group): The pre-operative OPG of patients who did not present a radiolucent area at the apical portion of the root/roots of the inferior third molar.
2.5. Statistical Analysis
2.6. Pathological Signs
- -
- No-group: No sign of pathologies that could explain the radiolucent area in the apical portion of the root of the inferior wisdom tooth;
- -
- Yes-group: Some signs of pathologies that could explain the radiolucent area in the apical portion of the root of the inferior wisdom tooth, such as caries and cystitis.
3. Results
- -
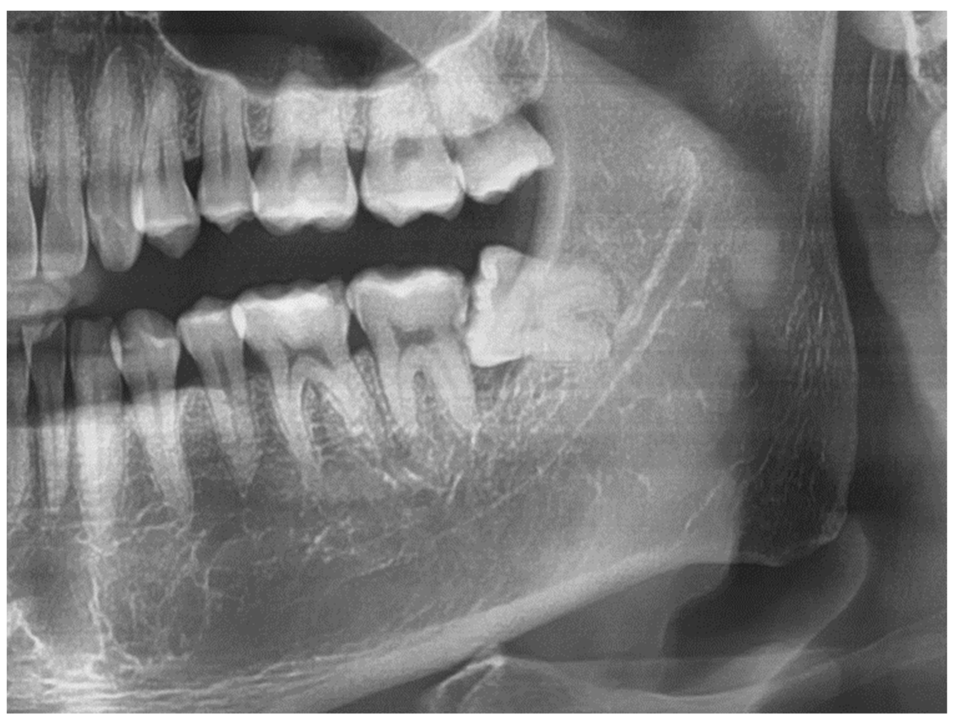
- True sign (Y-sign): the pre-operative OPG shows a band-like radiolucent sign corresponding to the apical portion of the root of the inferior third molar with no sign of other reason that could explain this. On CBCT image lingual impaction of the root is observed.
- -
- False sign (F-sign): OPG image shows a band-like radiolucent area corresponding to the apical portion of the root of the inferior third molar and determining causes of the radiolucent area visible on OPG and CBCT such as Juxta-Apical Radio-Translucency, peri-apical lesion, immature apex, impaction of the inferior alveolar nerve into the lingual plate, apex impaction into the buccal plate.
4. Discussion
5. Conclusions
Author Contributions
Funding
Institutional Review Board Statement
Informed Consent Statement
Data Availability Statement
Acknowledgments
Conflicts of Interest
Abbreviations
| CBCT | Cone-Beam Computed Tomography |
| ESSE | Easy Simple Safe Efficient |
| GAWE | Gangnam Academy of Wisdom tooth Extraction |
| IAN | Inferior Alveolar Nerve |
| JAR | Juxta-Apical Radiolucency |
| MR | Magnetic resonance |
| NICE | National Institute for Health and Care Excellence |
| OAC | Oroantral Communication |
| OPG | Orthopantomography |
| OR | Odds Ratio |
| SD | Standard Deviation |
| Y-sign | Periapical band-like radiolucent sign introduced by Young Sam Kim |
References
- Barraclough, J.; Power, A.; Pattni, A. Treatment planning for mandibular third molars. Dent. Updat. 2017, 44, 221–228. [Google Scholar] [CrossRef] [PubMed][Green Version]
- Kim, Y.S. Extraction of Third Molars: Easy Simple Safe Efficient Minimally Invasive & Atraumatic; Koonja Publishing Inc.: Seoul, Korea, 2018. [Google Scholar]
- Dodson, T.B.; Susarla, S.M. Impacted wisdom teeth. BMJ Clin. Evid. 2014, 2014, 1302. [Google Scholar] [PubMed]
- Rozkovcová, E.; Marková, M.; Dolejsí, J. Studies on agenesis of third molars amongst populations of different origin. Sb. Lek. 1999, 100, 71–84. [Google Scholar]
- Worrall, S.; Riden, K.; Haskell, R.; Corrigan, A. UK National Third Molar project: The initial report. Br. J. Oral Maxillofac. Surg. 1998, 36, 14–18. [Google Scholar] [CrossRef]
- De Bruyn, L.; Vranckx, M.; Jacobs, R.; Politis, C. A retrospective cohort study on reasons to retain third molars. Int. J. Oral Maxillofac. Surg. 2020, 49, 816–821. [Google Scholar] [CrossRef]
- Derindağ, G.; Sarica, I.; Kurtuldu, E.; Naralan, M.E.; Caglayan, F. A retrospective study: Do all impacted teeth cause pathology? Niger. J. Clin. Pr. 2019, 22, 527–533. [Google Scholar] [CrossRef] [PubMed]
- Di Dino, B. Atlas of Cone Beam: Volumetric 3d Images: Safety in Implantology and General Dentistry; BDD: Monsumano Terme–Pistoia, Italy, 2011; pp. 1–275. [Google Scholar]
- Rood, J.; Shehab, B.N. The radiological prediction of inferior alveolar nerve injury during third molar surgery. Br. J. Oral Maxillofac. Surg. 1990, 28, 20–25. [Google Scholar] [CrossRef]
- Renton, T.; Hankins, M.; Sproate, C.; McGurk, M. A randomised controlled clinical trial to compare the incidence of injury to the inferior alveolar nerve as a result of coronectomy and removal of mandibular third molars. Br. J. Oral Maxillofac. Surg. 2005, 43, 7–12. [Google Scholar] [CrossRef] [PubMed]
- Jung, Y.-H.; Cho, B.-H. Radiographic evaluation of third molar development in 6- to 24-year-olds. Imaging Sci. Dent. 2014, 44, 185–191. [Google Scholar] [CrossRef] [PubMed]
- Vidya, K.C.; Mallik, A.; Waran, A.; Rout, S.K. Measurement of lingual cortical plate thickness and lingual position of lower third molar roots using cone beam computed tomography. J. Int. Soc. Prev. Community Dent. 2017, 7, S8–S12. [Google Scholar] [CrossRef]
- Steed, M.B. The indications for third-molar extractions. J. Am. Dent. Assoc. 2014, 145, 570–573. [Google Scholar] [CrossRef] [PubMed]
- Feragalli, B.; Rampado, O.; Abate, C.; Festa, F.; Stromei, F.; Caputi, S.; Guglielmi, G.; Macrì, M. Cone beam computed tomography for dental and maxillofacial imaging: Technique improvement and low-dose protocols. La Radiol. medica 2017, 122, 581–588. [Google Scholar] [CrossRef] [PubMed]
- Stacchi, C.; Daugela, P.; Berton, F.; Lombardi, T.; Andriulionis, T.; Perinetti, G.; Di Lenarda, R.; Juodžbalys, G. A classification for assessing surgical difficulty in the extraction of mandibular impacted third molars: Description and clinical validation. Quintessence Int. 2018, 49, 745–753. [Google Scholar] [PubMed]
- Cosola, S.; Kim, Y.; Park, Y.; Giammarinaro, E.; Covani, U. Coronectomy of Mandibular Third Molar: Four Years of Follow-Up of 130 Cases. Med. 2020, 56, 654. [Google Scholar] [CrossRef]
- Cervera-Espert, J.; Pérez-Martínez, S.; Cervera-Ballester, J.; Peñarrocha-Oltra, D.; Peñarrocha-Diago, M. Coronectomy of impacted mandibular third molars: A meta-analysis and systematic review of the literature. Med. Oral Patol. Oral Cir. Bucal 2016, 21, e505–e513. [Google Scholar] [CrossRef]
- Miclotte, I.; Agbaje, J.; Spaey, Y.; Legrand, P.; Politis, C. Incidence and treatment of complications in patients who had third molars or other teeth extracted. Br. J. Oral Maxillofac. Surg. 2018, 56, 388–393. [Google Scholar] [CrossRef]
- Harada, N.; Vasudeva, S.; Joshi, R.; Seki, K.; Araki, K.; Matsuda, Y.; Okano, T. Correlation between panoramic radiographic signs and high-risk anatomical factors for impacted mandibular third molars. Oral Surg. 2013, 6, 129–136. [Google Scholar] [CrossRef]
- Glera-Suárez, P.; Soto, D.; Peñarrocha-Oltra, D.; Peñarrocha-Diago, M. Patient morbidity after impacted third molar extraction with different flap designs. A systematic review and meta-analysis. Medicina Oral Patología Oral y Cirugia Bucal 2020, 25, e233–e239. [Google Scholar] [CrossRef]
- Aydın, Z.U.; Bulut, D.G. Relationship between the anatomic structures and mandibular posterior teeth for endodontic surgery in a Turkish population: A cone-beam computed tomographic analysis. Clin. Oral Investig. 2019, 23, 3637–3644. [Google Scholar] [CrossRef] [PubMed]
- Kim, S.-Y.; Yang, S.-E. Cone-Beam Computed Tomography Study of Incidence of Distolingual Root and Distance from Distolingual Canal to Buccal Cortical Bone of Mandibular First Molars in a Korean Population. J. Endod. 2012, 38, 301–304. [Google Scholar] [CrossRef] [PubMed]
- Zhang, X.; Xu, N.; Wang, H.; Yu, Q. A Cone-beam Computed Tomographic Study of Apical Surgery–related Morphological Characteristics of the Distolingual Root in 3-rooted Mandibular First Molars in a Chinese Population. J. Endod. 2017, 43, 2020–2024. [Google Scholar] [CrossRef] [PubMed]
- Nascimento, E.H.L.; Oenning, A.C.C.; Nadaes, M.R.; Ambrosano, G.M.B.; Haiter-Neto, F.; Freitas, D.Q. Juxta-apical radiolucency: Relation to the mandibular canal and cortical plates based on cone beam CT imaging. Oral Surgery, Oral Med. Oral Pathol. Oral Radiol. 2017, 123, 401–407. [Google Scholar] [CrossRef] [PubMed][Green Version]
- Nascimento, E.H.L.; Oenning, A.C.C.; Nadaes, M.R.; Ambrosano, G.M.B.; Haiter-Neto, F.; Freitas, D.Q. Juxta-Apical Radiolucency: Prevalence, Characterization, and Association With the Third Molar Status. J. Oral Maxillofac. Surg. 2018, 76, 716–724. [Google Scholar] [CrossRef] [PubMed]
- Yalcin, E.; Artas, A. Juxta-apical radiolucency and relations with surrounding structures on cone-beam computed tomography. Br. J. Oral Maxillofac. Surg. 2020, 58, 309–313. [Google Scholar] [CrossRef] [PubMed]
- Nardi, C.; Calistri, L.; Pradella, S.; Desideri, I.; Lorini, C.; Colagrande, S. Accuracy of Orthopantomography for Apical Periodontitis without Endodontic Treatment. J. Endod. 2017, 43, 1640–1646. [Google Scholar] [CrossRef] [PubMed]
- Nardi, C.; Talamonti, C.; Pallotta, S.; Saletti, P.; Calistri, L.; Cordopatri, C.; Colagrande, S. Head and neck effective dose and quantitative assessment of image quality: A study to compare cone beam CT and multislice spiral CT. Dentomaxillofacial Radiol. 2017, 46, 20170030. [Google Scholar] [CrossRef] [PubMed]
- Nascimento, E.H.L.; Oenning, A.C.C.; Freire, B.B.; Gaêta-Araujo, H.; Haiter-Neto, F.; Freitas, D.Q. Comparison of panoramic radiography and cone beam CT in the assessment of juxta-apical radiolucency. Dentomaxillofacial Radiol. 2018, 47, 20170198. [Google Scholar] [CrossRef] [PubMed]
- Luangchana, P.; Pornprasertsuk-Damrongsri, S.; Kiattavorncharoen, S.; Jirajariyavej, B. Accuracy of linear measurements using cone beam computed tomography and panoramic radiography in dental implant treatment planning. Int. J. Oral Maxillofac. Implant. 2015, 30, 1287–1294. [Google Scholar] [CrossRef] [PubMed]




| C-Group (N = 96) | D-Group (N = 132) | Total (N = 228) | Sig. | |
|---|---|---|---|---|
| Age (mean ± SD) | 30.53 ± 0.5 | 30.43 ± 0.5 | 30.47 ± 0.5 | 0.14 |
| Gender (Female/Male) | 52/44 | 56/76 | 108/120 | 0.47 |
| Side (Left/Right) | 47/39 | 81/61 | 128/100 | 0.17 |
| Impaction <−1 mm (Yes/Tot.) | 14/96 14.58% | 112/132 84.85% | 126/208 60.58% | <0.001 * |
| Radiolucency due to a pathology/non-pathology | / | 11/121 | ||
| Juxta-apical Radiolucency (JAR) | / | 4/132 | ||
| Inferior Alveolar Nerve (IAN) impaction | / | 10/132 |
| Mean Distance (Mean ± SD) in Millimeter | Sig. | ||
|---|---|---|---|
| Total Group (n = 228) | −1.09 ± 1.5 mm | ||
| Group | C-group (0 ± 1.6) (n = 96) | D-group (−1.89 ± 1.26) (n = 132) | <0.001 * |
| Pathological Sign in D-group | Yes (−0.22 ± 1.54 mm) (n = 11) | No (−2.04 ± 1.12) (n = 121) | <0.001 * |
| Juxta-apical Radiolucency (JAR) | (0.77 ± 0.84 mm) (n = 4) | Not detectable | |
| Inferior Alveolar Nerve (IAN) impaction | (0.81 ± 0.44 mm) (n = 10) | Not detectable | |
Publisher’s Note: MDPI stays neutral with regard to jurisdictional claims in published maps and institutional affiliations. |
© 2021 by the authors. Licensee MDPI, Basel, Switzerland. This article is an open access article distributed under the terms and conditions of the Creative Commons Attribution (CC BY) license (https://creativecommons.org/licenses/by/4.0/).
Share and Cite
Kim, Y.-S.; Park, Y.-M.; Cosola, S.; Riad, A.; Giammarinaro, E.; Covani, U.; Marconcini, S. Retrospective Analysis on Inferior Third Molar Position by Means of Orthopantomography or CBCT: Periapical Band-Like Radiolucent Sign. Appl. Sci. 2021, 11, 6389. https://doi.org/10.3390/app11146389
Kim Y-S, Park Y-M, Cosola S, Riad A, Giammarinaro E, Covani U, Marconcini S. Retrospective Analysis on Inferior Third Molar Position by Means of Orthopantomography or CBCT: Periapical Band-Like Radiolucent Sign. Applied Sciences. 2021; 11(14):6389. https://doi.org/10.3390/app11146389
Chicago/Turabian StyleKim, Young-Sam, Young-Min Park, Saverio Cosola, Abanob Riad, Enrica Giammarinaro, Ugo Covani, and Simone Marconcini. 2021. "Retrospective Analysis on Inferior Third Molar Position by Means of Orthopantomography or CBCT: Periapical Band-Like Radiolucent Sign" Applied Sciences 11, no. 14: 6389. https://doi.org/10.3390/app11146389
APA StyleKim, Y.-S., Park, Y.-M., Cosola, S., Riad, A., Giammarinaro, E., Covani, U., & Marconcini, S. (2021). Retrospective Analysis on Inferior Third Molar Position by Means of Orthopantomography or CBCT: Periapical Band-Like Radiolucent Sign. Applied Sciences, 11(14), 6389. https://doi.org/10.3390/app11146389

