Efficient and Accurate Hemorrhages Detection in Retinal Fundus Images Using Smart Window Features
Abstract
:1. Introduction
- A method to overcome the problem of blurriness and to distinguish hemorrhages from the blood vessels;
- A preprocessing and candidate extraction method for hemorrhage detection;
- A smart window-based feature extraction procedure for segmentation of hemorrhages.
Related Work
2. Materials and Methods
2.1. Dataset Setup
2.2. Methodology
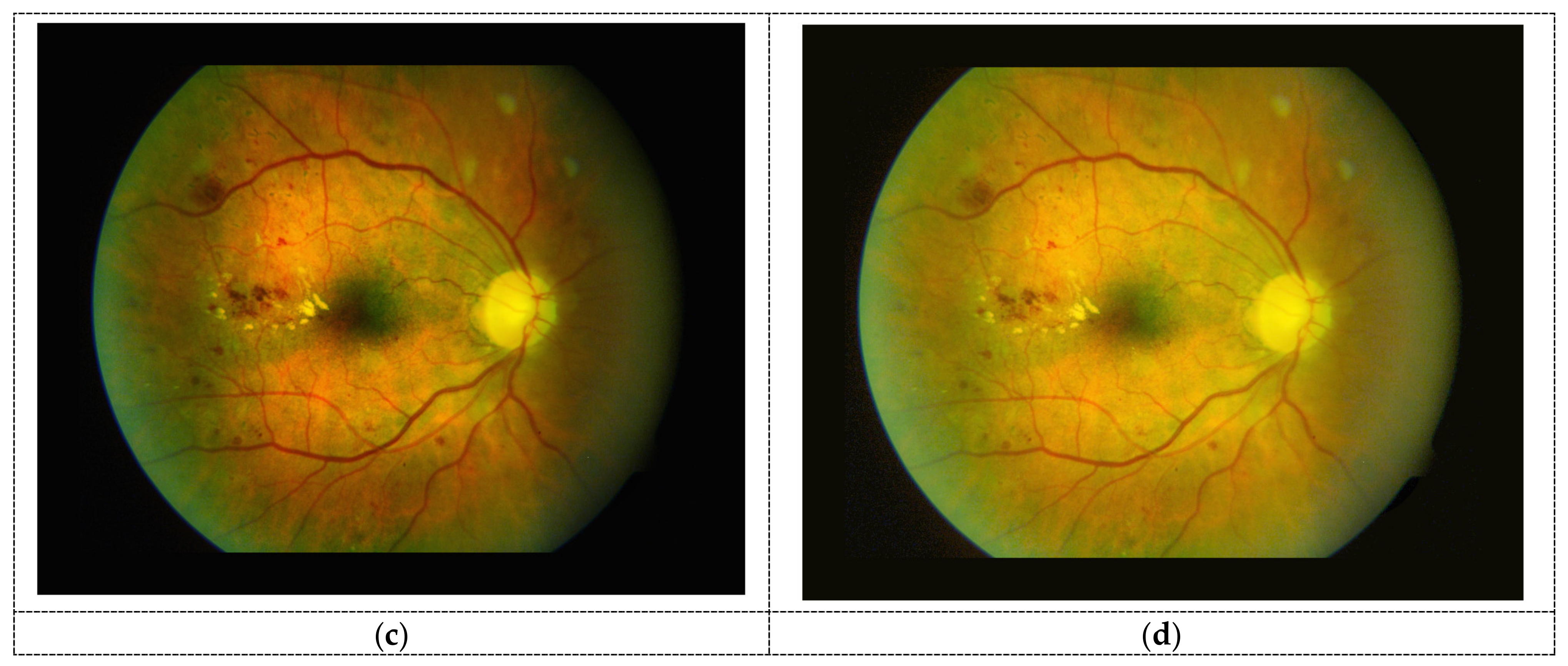
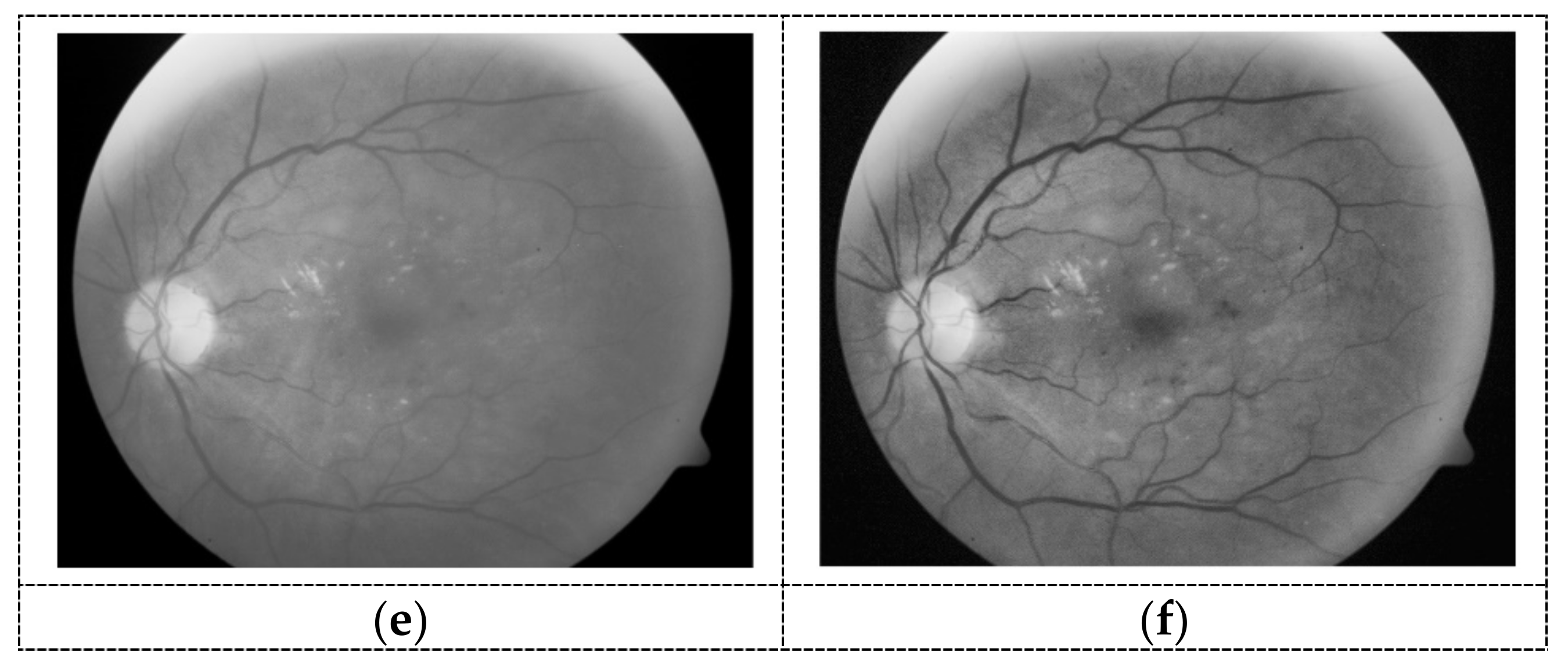
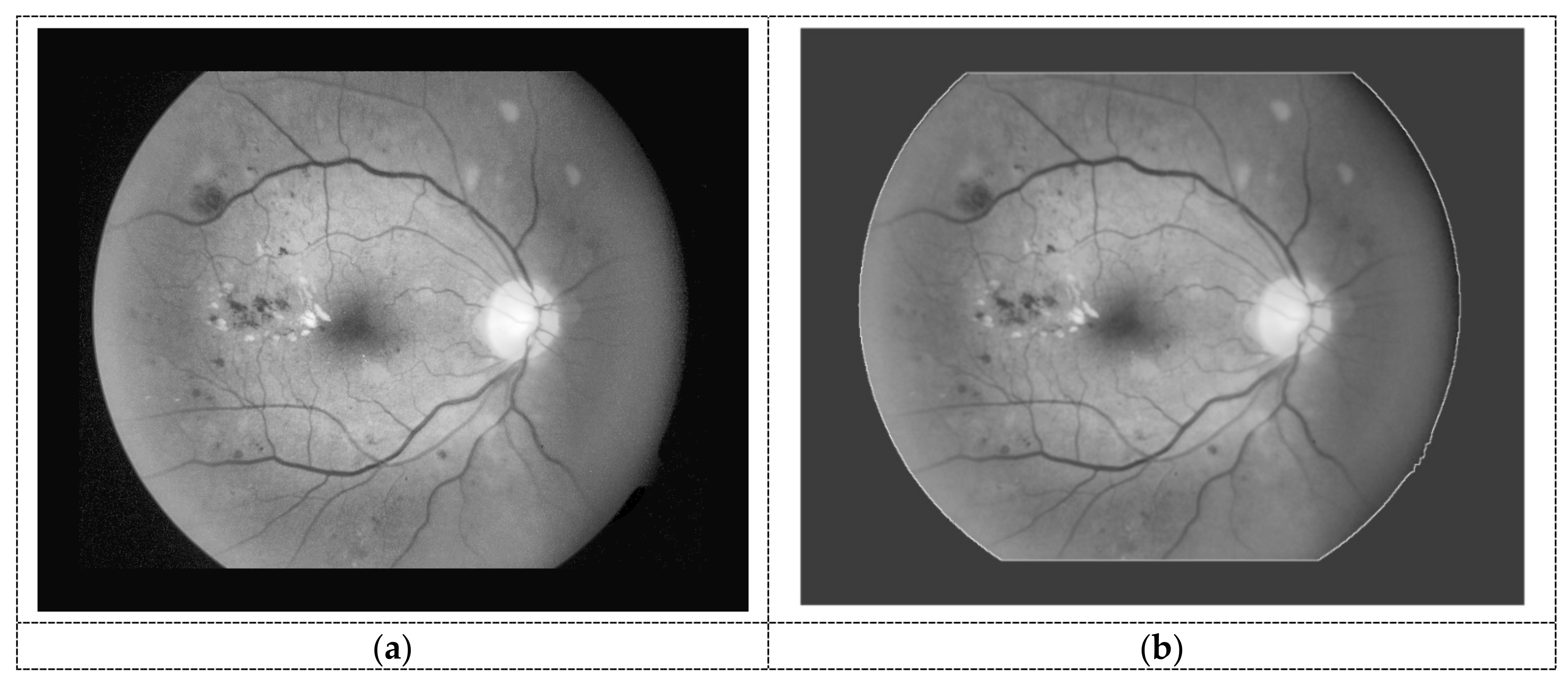
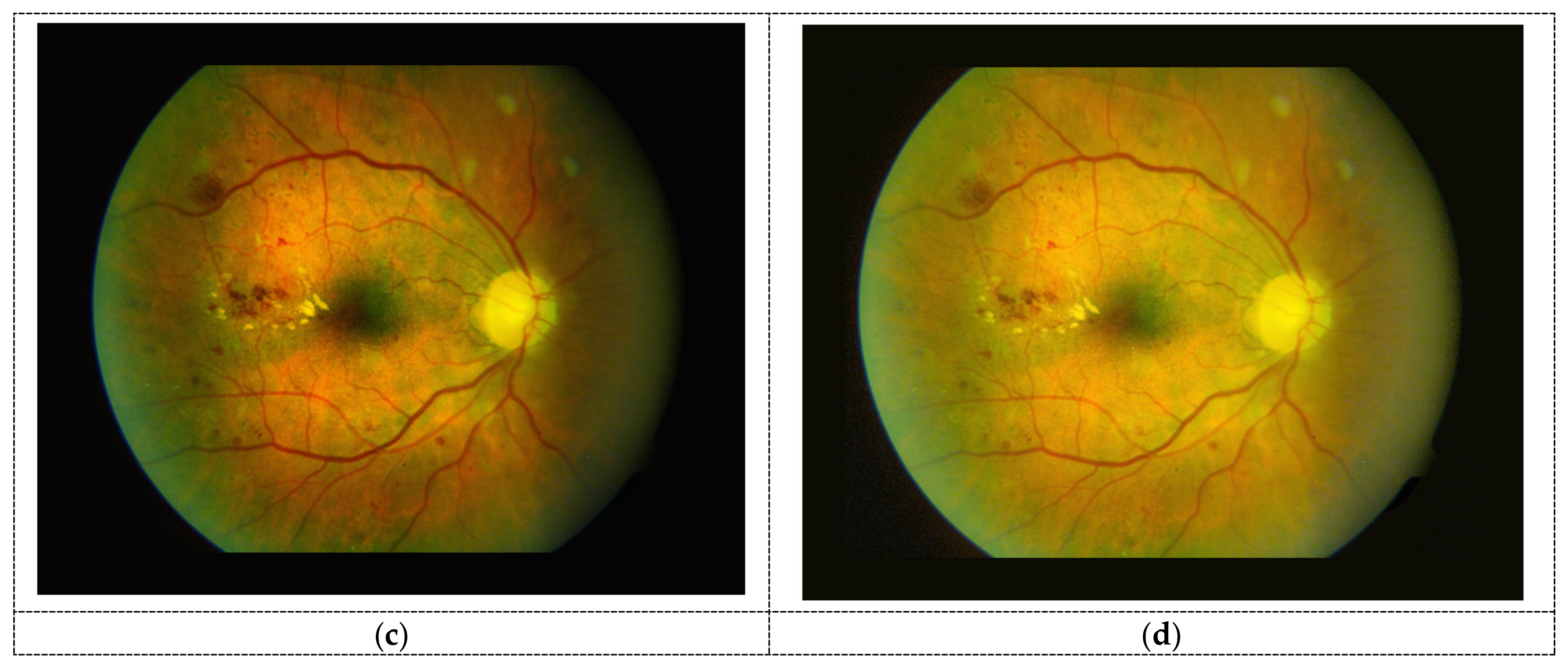
2.2.1. Preprocessing Stage
Brightness and Contrast Enhancement
Image Sharpening
2.2.2. Segmentation Stage
Hand-Crafted Image
Seed Points of the Hemorrhage Candidates
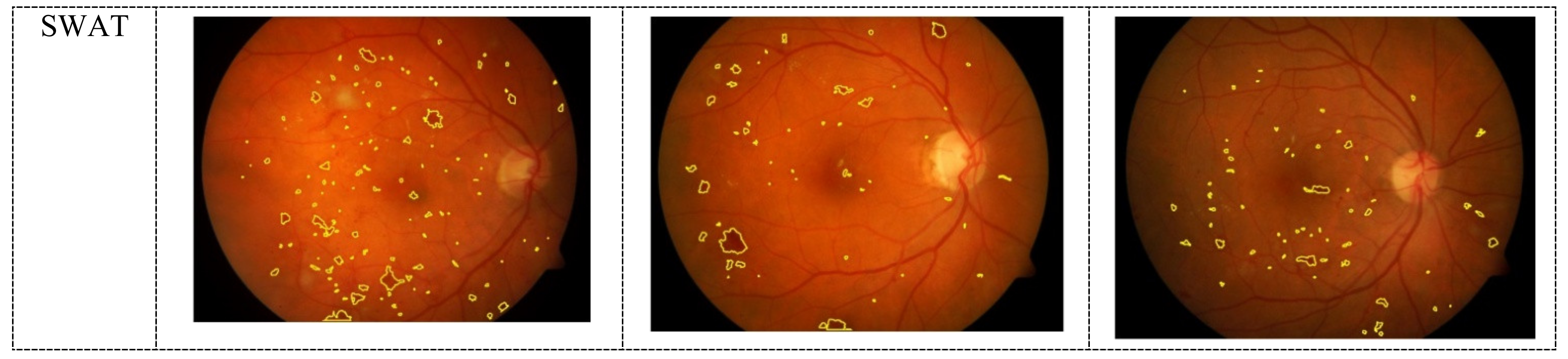
Smart Window-Based Adaptive Thresholding for Segmentation (SWAT)
2.2.3. Feature Extraction
2.2.4. Classification
3. Experiment and Result Analysis
3.1. Experiments Setup
- Precision Rate (P)
- Recall Rate (R)
- F1 Score
- Mean Square Error (MSE)
- Peak signal to noise ratio (PSNR)
- Information Entropy (IE)
- Contrast (C)
- Combination of PSNR, IE, and C (S)
3.2. Segmentation Result
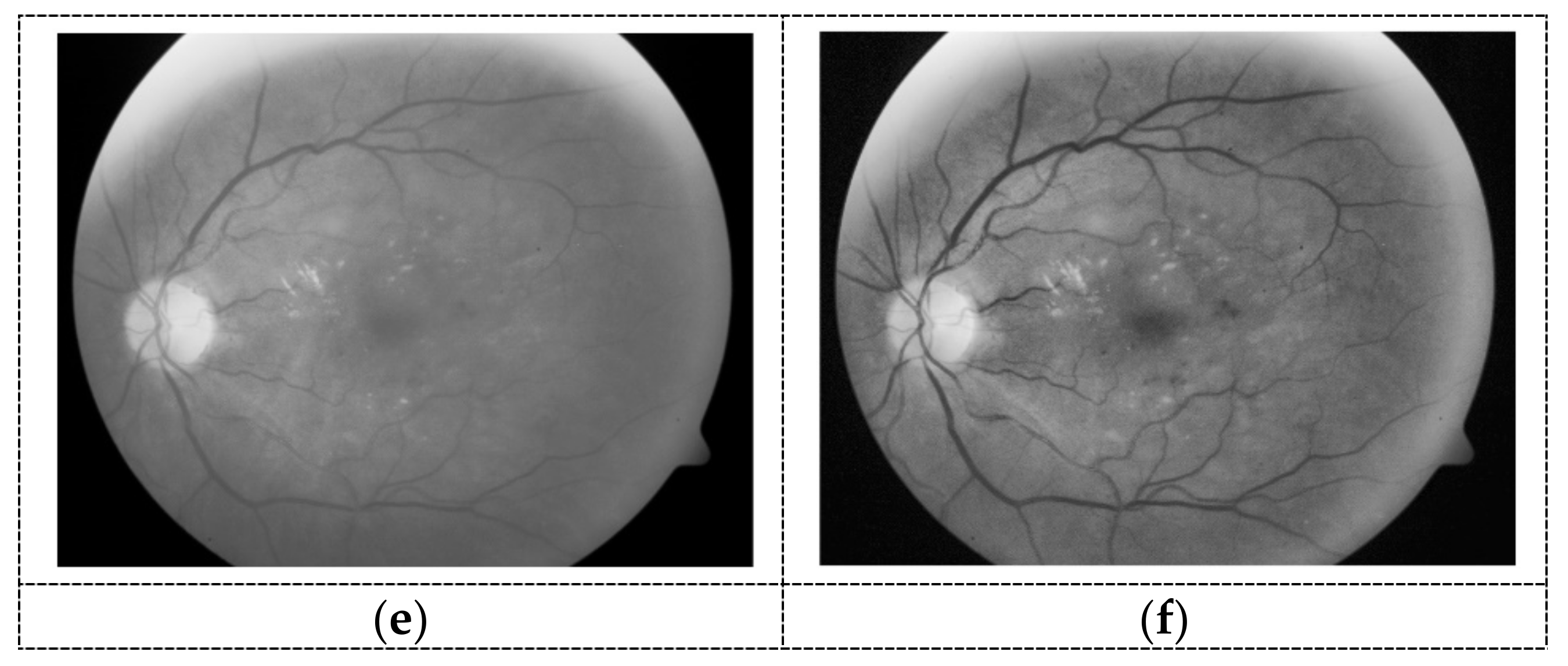
3.3. Preprocessing Result
4. Discussion
5. Conclusions
Author Contributions
Funding
Institutional Review Board Statement
Informed Consent Statement
Data Availability Statement
Conflicts of Interest
References
- Global Eye Care Target, 74th World Assembly. 2021. Available online: www.who.int/news/item/27-05-2021-global-eye-care-targets. (accessed on 18 June 2021).
- Gangwani, R.A.; Lian, J.; McGhee, S.M.; Wong, D.; Li, K.K. Diabetic retinopathy screening: Global and local perspective. Hong Kong Med. J. 2016, 22, 486–495. [Google Scholar] [CrossRef]
- Stefansson, E.; Bek, T.; Porta, M.; Larsen, N.; Kristinsson, J.K.; Agardh, E. Screening and prevention of diabetic blindness. Acta Ophthalmol. Scand. 2000, 78, 374–385. [Google Scholar] [CrossRef] [PubMed]
- Zhu, C.-H.; Zhang, S.-S.; Kong, Y.; Bi, Y.-F.; Wang, L.; Zhang, Q. Effects of intensive control of blood glucose and blood pressure on microvascular complications in patients with type II diabetes mellitus. Int. J. Ophthalmol. 2013, 6, 141–145. [Google Scholar] [CrossRef] [PubMed]
- Moghissi, E.S.; Korytkowski, M.T.; Dinardo, M.; Einhorn, D.; Hellman, R.; Hirsch, I.B.; Inzucchi, S.E.; Ismail-Beigi, F.; Kirkman, M.S.; Umpierrez, G.E. American Association of Clinical Endocrinologists and American Diabetes Association Consensus Statement on Inpatient Glycemic Control. Diabetes Care 2009, 32, 1119–1131. [Google Scholar] [CrossRef] [PubMed] [Green Version]
- Li, B.; Li, N.; Guo, S.; Zhang, M.; Li, J.; Zhai, N.; Wang, H.; Zhang, Y. The changing features of serum adropin, copeptin, neprilysin and chitotriosidase which are associated with vascular endothelial function in type 2 diabetic retinopathy patients. J. Diabetes Complicat. 2020, 34, 107686. [Google Scholar] [CrossRef]
- Kampik, A. Imaging in ophthalmology and need for slit-lamp and ophthalmoscopy examinations. Oman J. Ophthalmol. 2016, 9, 79. [Google Scholar] [CrossRef]
- Fung, T.H.; Kuet, M.-L.; Patel, C.K.; Holden, R.; Ojha, S.; Amoaku, W.M. Retinal imaging in infants. Surv. Ophthalmol. 2021. [Google Scholar] [CrossRef]
- Wang, J.; Li, Y.-J.; Yang, K.-F. Retinal fundus image enhancement with image decomposition and visual adaptation. Comput. Biol. Med. 2021, 128, 104116. [Google Scholar] [CrossRef]
- Mookiah, M.R.K.; Hogg, S.; MacGillivray, T.J.; Prathiba, V.; Pradeepa, R.; Mohan, V.; Anjana, R.M.; Doney, A.S.; Palmer, C.N.; Trucco, E. A review of machine learning methods for retinal blood vessel segmentation and artery/vein classification. Med. Image Anal. 2021, 68, 101905. [Google Scholar] [CrossRef]
- Huang, Y.; Lin, L.; Li, M.; Wu, J.; Cheng, P.; Wang, K.; Yuan, J.; Tang, X. Automated Hemorrhage Detection from Coarsely Annotated Fundus Images in Diabetic Retinopathy. In Proceedings of the 2020 IEEE 17th International Symposium on Biomedical Imaging (ISBI), Iowa City, IA, USA, 3–7 April 2020; pp. 1369–1372. [Google Scholar]
- Rani, N.S.; Bipin, N.B.J.; Yadhu, C.R. Hemorrhage Segmentation and Detection in Retinal Images using Object Detection Techniques and Machine Learning Perspectives. In Proceedings of the 2019 Global Conference for Advancement in Technology (GCAT), Bangalore, India, 18–20 October 2019; pp. 1–5. [Google Scholar] [CrossRef]
- Randive, S.N.; Senapati, R.K.; Rahulkar, A.D. A review on computer-aided recent developments for automatic detection of diabetic retinopathy. J. Med. Eng. Technol. 2019, 43, 87–99. [Google Scholar] [CrossRef]
- Fleming, A.D.; Philip, S.; Goatman, K.A.; Olson, J.A.; Sharp, P.F. Automated microaneurysm detection using local contrast normalization and local vessel detection. IEEE Trans. Med. Imaging 2006, 25, 1223–1232. [Google Scholar] [CrossRef]
- Niemeijer, M.; Van Ginneken, B.; Staal, J.; Suttorp-Schulten, M.S.; Abramoff, M. Automatic detection of red lesions in digital color fundus photographs. IEEE Trans. Med. Imaging 2005, 24, 584–592. [Google Scholar] [CrossRef] [Green Version]
- Tang, L.; Niemeijer, M.; Reinhardt, J.; Garvin, M.K.; Abramoff, M. Splat Feature Classification With Application to Retinal Hemorrhage Detection in Fundus Images. IEEE Trans. Med. Imaging 2012, 32, 364–375. [Google Scholar] [CrossRef] [PubMed]
- Kande, G.B.; Savithri, T.S.; Subbaiah, P.V. Automatic detection of microaneurysms and hemorrhages in digital fundus images. J. Digit. Imaging 2009, 23, 430–437. [Google Scholar] [CrossRef] [Green Version]
- García, M.; López, M.I.; Alvarez, D.; Hornero, R. Assessment of four neural network based classifiers to automatically detect red lesions in retinal images. Med. Eng. Phys. 2010, 32, 1085–1093. [Google Scholar] [CrossRef]
- Tan, J.H.; Fujita, H.; Sivaprasad, S.; Bhandary, S.; Rao, A.K.; Chua, K.C.; Acharya, U.R. Automated segmentation of exudates, haemorrhages, microaneurysms using single convolutional neural network. Inf. Sci. 2017, 420, 66–76. [Google Scholar] [CrossRef]
- Arun, G.; Sasirekha, N. Detection of retinal hemorrhage in color fundus image using splat feature segmentation. In Proceedings of the 2015 International Conference on Innovations in Information, Embedded and Communication Systems (ICIIECS), Coimbatore, India, 19–20 March 2015; pp. 1–5. [Google Scholar] [CrossRef]
- Srivastava, R.; Wong, D.W.K.; Duan, L.; Liu, J.; Wong, T.Y. Red lesion detection in retinal fundus images using Frangi-based filters. In Proceedings of the 2015 37th Annual International Conference of the IEEE Engineering in Medicine and Biology Society (EMBC), Milan, Italy, 25–29 August 2015; pp. 5663–5666. [Google Scholar]
- Mohamed, B.; Yazid, C.; Nourreddine, B.; Abdelmalek, B.; Assia, C. Non-proliferative diabetic retinopathy detection using mathematical morphology. In Proceedings of the 2018 IEEE 4th Middle East Conference on Biomedical Engineering (MECBME), Tunis, Tunisia, 28–30 March 2018; pp. 219–224. [Google Scholar] [CrossRef]
- Kauppi, T.; Kalesnykiene, V.; Kamarainen, J.K.; Lensu, L.; Sorri, I.; Uusitalo, H.; Kälviäinen, H.; Pietilä, J. DIARETDB0: Evaluation Database and Methodology for Diabetic Retinopathy Algorithms; Machine Vision and Pattern Recognition Research Group, Lappeenranta University of Technology: Lappeenranta, Finland, 2006; Volume 73, pp. 1–17. [Google Scholar]
- Kauppi, T.; Kalesnykiene, V.; Kamarainen, J.K.; Lensu, L.; Sorri, I.; Raninen, A.; Voutilainen, R.; Uusitalo, H.; Kälviäinen, H.; Pietilä, J. The DIARETDB1diabetic retinopathy database and evaluation protocol. In Proceedings of the British Machine Vision Conference, Warwick, UK, 10–13 September 2007. [Google Scholar]
- Sahu, S.; Singh, A.K.; Ghrera, S.P.; Elhoseny, M. An approach for de-noising and contrast enhancement of retinal fun-dus image using CLAHE. Opt. Laser Technol. 2019, 110, 87–98. [Google Scholar]
- Veluchamy, M.; Subramani, B. Image contrast and color enhancement using adaptive gamma correction and histogram equalization. Optik 2019, 183, 329–337. [Google Scholar] [CrossRef]
- Huang, Z.; Zhang, T.; Li, Q.; Fang, H. Adaptive gamma correction based on cumulative histogram for enhancing near-infrared images. Infrared Phys. Technol. 2016, 79, 205–215. [Google Scholar] [CrossRef]
- Huang, S.-C.; Cheng, F.-C.; Chiu, Y.-S. Efficient contrast enhancement using adaptive gamma correction with weighting dis-tribution. IEEE Trans. Image Process. 2013, 22, 1032–1041. [Google Scholar] [CrossRef]
- Nie, F.; Gao, C.; Guo, Y.; Gan, M. Two-dimensional minimum local cross-entropy thresholding based on co-occurrence matrix. Comput. Electr. Eng. 2011, 37, 757–767. [Google Scholar] [CrossRef]
- Gui, Z.; Liu, Y.; Gui, Z.; Liu, Y. An image sharpening algorithm based on fuzzy logic. Optik 2011, 122, 697–702. [Google Scholar] [CrossRef]
- Matlab—Two-Dimensional Matched Filter—Stack Overflow. Available online: https://stackoverflow.com/questions/52331384/two-dimensional-matched-filter (accessed on 15 August 2020).
- Chaudhuri, S.; Chatterjee, S.; Katz, N.; Nelson, M.; Goldbaum, M. Detection of blood vessels in retinal images using two-dimensional matched filters. IEEE Trans. Med. Imaging 1989, 8, 263–269. [Google Scholar] [CrossRef] [Green Version]
- Sha, C.; Hou, J.; Cui, H. A robust 2D Otsu’s thresholding method in image segmentation. J. Vis. Commun. Image Represent. 2016, 41, 339–351. [Google Scholar] [CrossRef]
- Chatbri, H.; Kameyama, K. Document image dataset indexing and compression using connected components clustering. In Proceedings of the 2015 14th IAPR International Conference on Machine Vision Applications (MVA), Tokyo, Japan, 18–22 May 2015; pp. 267–270. [Google Scholar] [CrossRef]
- Murali, S.; Govindan, V.K. Shadow Detection and Removal from a Single Image Using LAB Color Space. Cybern. Inf. Technol. 2013, 13, 95–103. [Google Scholar] [CrossRef] [Green Version]
- Chen, T.-W.; Chen, Y.-L.; Chien, S.-Y. Fast image segmentation based on K-Means clustering with histograms in HSV color space. In Proceedings of the 2008 IEEE 10th Workshop on Multimedia Signal Processing, Cairns, Australia, 8–10 October 2008; pp. 322–325. [Google Scholar]
- Li, B.N.; Chui, C.K.; Chang, S.; Ong, S.H. Integrating spatial fuzzy clustering with level set methods for au-tomated medical image segmentation. Comput. Biol. Med. 2011, 41, 1–10. [Google Scholar] [CrossRef] [PubMed]
- Brown, E.S.; Chan, T.F.; Bresson, X. Completely Convex Formulation of the Chan-Vese Image Segmentation Model. Int. J. Comput. Vis. 2012, 98, 103–121. [Google Scholar] [CrossRef]
- Dhanachandra, N.; Manglem, K.; Chanu, Y.J. Image Segmentation Using K -means Clustering Algorithm and Subtractive Clustering Algorithm. Procedia Comput. Sci. 2015, 54, 764–771. [Google Scholar] [CrossRef] [Green Version]
- Espindola, G.; Camara, G.; Reis, I.A.; Bins, L.S.; Monteiro, A.M. Parameter selection for region-growing image segmentation algorithms using spatial autocorrelation. Int. J. Remote. Sens. 2006, 27, 3035–3040. [Google Scholar] [CrossRef]
- Verma, K.; Mehrotra, A.; Pandey, V.; Singh, S. Image processing techniques for the enhancement of brain tumor patterns. Int. J. Adv. Res. Electr. Electron.Instrum. Eng. 2013, 2, 1611–1615. [Google Scholar]
- Sheet, D.; Garud, H.; Suveer, A.; Mahadevappa, M.; Chatterjee, J. Brightness preserving dynamic fuzzy histogram equalization. IEEE Trans. Consum. Electron. 2010, 56, 2475–2480. [Google Scholar] [CrossRef]
- Poddar, S.; Tewary, S.; Sharma, D.; Karar, V.; Ghosh, A.; Pal, S.K. Non-parametric modified histogram equalisation for contrast enhancement. IET Image Process. 2013, 7, 641–652. [Google Scholar] [CrossRef] [Green Version]
















| Method | Precision Rate (%) | Recall Rate (%) | F1 Score (%) |
|---|---|---|---|
| KMC | 48.88 | 86.49 | 62.46 |
| RG | 69.38 | 58.58 | 63.53 |
| ACC-V | 65.34 | 82.67 | 72.99 |
| ACMS | 74.68 | 61.51 | 67.45 |
| FCLS | 78.80 | 77.67 | 78.23 |
| SWAT | 83.97 | 83.74 | 83.85 |
| Method | Precision Rate (%) | Recall Rate (%) | F1 Score (%) |
|---|---|---|---|
| KMC | 57.89 | 74.45 | 65.14 |
| RG | 55.92 | 61.50 | 58.58 |
| ACC-V | 59.86 | 71.48 | 65.15 |
| ACMS | 66.35 | 51.66 | 58.09 |
| FCLS | 65.73 | 67.41 | 66.56 |
| SWAT | 70.51 | 74.08 | 72.25 |
| MSE | PSNR | IE | C | S | |
|---|---|---|---|---|---|
| HE | |||||
| AGCWD | |||||
| BPDFHE | |||||
| NMHE | |||||
| GAGC |
Publisher’s Note: MDPI stays neutral with regard to jurisdictional claims in published maps and institutional affiliations. |
© 2021 by the authors. Licensee MDPI, Basel, Switzerland. This article is an open access article distributed under the terms and conditions of the Creative Commons Attribution (CC BY) license (https://creativecommons.org/licenses/by/4.0/).
Share and Cite
Aziz, T.; Ilesanmi, A.E.; Charoenlarpnopparut, C. Efficient and Accurate Hemorrhages Detection in Retinal Fundus Images Using Smart Window Features. Appl. Sci. 2021, 11, 6391. https://doi.org/10.3390/app11146391
Aziz T, Ilesanmi AE, Charoenlarpnopparut C. Efficient and Accurate Hemorrhages Detection in Retinal Fundus Images Using Smart Window Features. Applied Sciences. 2021; 11(14):6391. https://doi.org/10.3390/app11146391
Chicago/Turabian StyleAziz, Tamoor, Ademola E. Ilesanmi, and Chalie Charoenlarpnopparut. 2021. "Efficient and Accurate Hemorrhages Detection in Retinal Fundus Images Using Smart Window Features" Applied Sciences 11, no. 14: 6391. https://doi.org/10.3390/app11146391
APA StyleAziz, T., Ilesanmi, A. E., & Charoenlarpnopparut, C. (2021). Efficient and Accurate Hemorrhages Detection in Retinal Fundus Images Using Smart Window Features. Applied Sciences, 11(14), 6391. https://doi.org/10.3390/app11146391

