Evaluation of an Early Regression Index (ERITCP) as Predictor of Pathological Complete Response in Cervical Cancer: A Pilot-Study
Abstract
Featured Application
Abstract
1. Introduction
2. Materials and Methods
2.1. Patients Selection Criteria and Treatment Workflow
- ✓
- Complete response (pR0), as absence of any residual tumor cells at any site;
- ✓
- Microscopic response (pR1), as presence of persistent tumor foci not exceeding 3 mm for the maximum dimension;
- ✓
- Macroscopic response (pR2), as presence of persistent tumor foci exceeding 3 mm for the maximum dimension
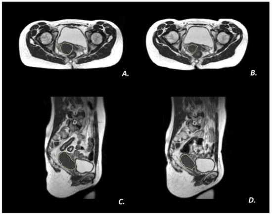
2.2. MRI Imaging Protocol and ERITCP Definition
2.3. ERITCP Definition and Performance Evaluation
3. Results
4. Discussion
5. Conclusions
Author Contributions
Funding
Acknowledgments
Conflicts of Interest
References
- Hillemanns, P.; Soergel, P.; Hertel, H.; Jentschke, M. Epidemiology and Early Detection of Cervical Cancer. Oncol. Res. Treat 2016, 39, 501–506. [Google Scholar] [CrossRef] [PubMed]
- Waggoner, S.E. Cervical cancer. Lancet 2003, 361, 2217–2225. [Google Scholar] [CrossRef]
- Arbyn, M.; Weiderpass, E.; Bruni, L.; Sanjosé, S.; de Saraiya, M.; Ferlay, J.; Bray, F. Estimates of incidence and mortality of cervical cancer in 2018: A worldwide analysis. Lancet Global Health 2020, 8, e191–e203. [Google Scholar] [CrossRef]
- Leath, C.A.; Monk, B.J. Twenty-first century cervical cancer management: A historical perspective of the gynecologic oncology group/NRG oncology over the past twenty years. Gynecol. Oncol. 2018, 150, 391–397. [Google Scholar] [CrossRef] [PubMed]
- Pötter, R.; Tanderup, K.; Kirisits, C.; de Leeuw, A.; Kirchheiner, K.; Nout, R.; Tan, L.T.; Haie-Meder, C.; Mahantshetty, U.; Segedin, B.; et al. The EMBRACE II study: The outcome and prospect of two decades of evolution within the GEC-ESTRO GYN working group and the EMBRACE studies. Clin. Transl. Radiat. Oncol. 2018, 9, 48–60. [Google Scholar] [CrossRef] [PubMed]
- Holschneider, C.H.; Petereit, D.G.; Chu, C.; Hsu, I.-C.; Ioffe, Y.J.; Klopp, A.H.; Pothuri, B.; Chen, L.-M.; Yashar, C. Brachytherapy: A critical component of primary radiation therapy for cervical cancer: From the Society of Gynecologic Oncology (SGO) and the American Brachytherapy Society (ABS). Brachytherapy 2019, 18, 123–132. [Google Scholar] [CrossRef]
- Vordermark, D. Radiotherapy of Cervical Cancer. Oncol Res. Treat. 2016, 39, 516–520. [Google Scholar] [CrossRef]
- Classe, J.M.; Rauch, P.; Rodier, J.F.; Morice, P.; Stoeckle, E.; Lasry, S.; Houvenaeghel, G. Groupe des Chirurgiens de Centre de Lutte Contre le Cancer Surgery after concurrent chemoradiotherapy and brachytherapy for the treatment of advanced cervical cancer: Morbidity and outcome: Results of a multicenter study of the GCCLCC (Groupe des Chirurgiens de Centre de Lutte Contre le Cancer). Gynecol. Oncol. 2006, 102, 523–529. [Google Scholar] [CrossRef]
- Ferrandina, G.; Ercoli, A.; Fagotti, A.; Fanfani, F.; Gallotta, V.; Margariti, A.P.; Salerno, M.G.; Chiantera, V.; Legge, F.; Macchia, G.; et al. Completion surgery after concomitant chemoradiation in locally advanced cervical cancer: A comprehensive analysis of pattern of postoperative complications. Ann. Surg. Oncol. 2014, 21, 1692–1699. [Google Scholar] [CrossRef]
- Gupta, S.; Maheshwari, A.; Parab, P.; Mahantshetty, U.; Hawaldar, R.; Sastri Chopra, S.; Kerkar, R.; Engineer, R.; Tongaonkar, H.; Ghosh, J.; et al. Neoadjuvant Chemotherapy Followed by Radical Surgery Versus Concomitant Chemotherapy and Radiotherapy in Patients with Stage IB2, IIA, or IIB Squamous Cervical Cancer: A Randomized Controlled Trial. J. Clin. Oncol 2018, 36, 1548–1555. [Google Scholar] [CrossRef]
- Cetina, L.; González-Enciso, A.; Cantú, D.; Coronel, J.; Pérez-Montiel, D.; Hinojosa, J.; Serrano, A.; Rivera, L.; Poitevin, A.; Mota, A.; et al. Brachytherapy versus radical hysterectomy after external beam chemoradiation with gemcitabine plus cisplatin: A randomized, phase III study in IB2-IIB cervical cancer patients. Ann. Oncol. 2013, 24, 2043–2047. [Google Scholar] [CrossRef] [PubMed]
- Ferrandina, G.; Palluzzi, E.; Gallotta, V.; Gambacorta, M.A.; Autorino, R.; Turco, L.C.; Macchia, G.; Cosentino, F.; Gui, B.; Mattoli, M.V.; et al. Neo-adjuvant platinum-based chemotherapy followed by chemoradiation and radical surgery in locally advanced cervical cancer (Lacc) patients: A phase II study. Eur J. Surg Oncol 2018, 44, 1062–1068. [Google Scholar] [CrossRef] [PubMed]
- Vizza, E.; Corrado, G.; Zanagnolo, V.; Tomaselli, T.; Cutillo, G.; Mancini, E.; Maggioni, A. Neoadjuvant chemotherapy followed by robotic radical hysterectomy in locally advanced cervical cancer: A multi-institution study. Gynecol. Oncol. 2014, 133, 180–185. [Google Scholar] [CrossRef] [PubMed]
- Ferrandina, G.; Gambacorta, A.; Gallotta, V.; Smaniotto, D.; Fagotti, A.; Tagliaferri, L.; Foti, E.; Fanfani, F.; Autorino, R.; Scambia, G.; et al. Chemoradiation with concomitant boosts followed by radical surgery in locally advanced cervical cancer: Long-term results of the ROMA-2 prospective phase 2 study. Int. J. Radiat. Oncol. Biol. Phys. 2014, 90, 778–785. [Google Scholar] [CrossRef]
- Ai, Y.; Zhu, H.; Xie, C.; Jin, X. Radiomics in cervical cancer: Current applications and future potential. Crit. Rev. Oncol. Hematol. 2020, 152, 102985. [Google Scholar] [CrossRef]
- Liu, Y.; Zhang, Y.; Cheng, R.; Liu, S.; Qu, F.; Yin, X.; Wang, Q.; Xiao, B.; Ye, Z. Radiomics analysis of apparent diffusion coefficient in cervical cancer: A preliminary study on histological grade evaluation. J. Magn. Reson. Imaging 2019, 49, 280–290. [Google Scholar] [CrossRef]
- Lucia, F.; Visvikis, D.; Desseroit, M.-C.; Miranda, O.; Malhaire, J.-P.; Robin, P.; Pradier, O.; Hatt, M.; Schick, U. Prediction of outcome using pretreatment 18F-FDG PET/CT and MRI radiomics in locally advanced cervical cancer treated with chemoradiotherapy. Eur. J. Nucl. Med. Mol. Imaging 2018, 45, 768–786. [Google Scholar] [CrossRef]
- Sun, C.; Tian, X.; Liu, Z.; Li, W.; Li, P.; Chen, J.; Zhang, W.; Fang, Z.; Du, P.; Duan, H.; et al. Radiomic analysis for pretreatment prediction of response to neoadjuvant chemotherapy in locally advanced cervical cancer: A multicentre study. EBioMedicine 2019, 46, 160–169. [Google Scholar] [CrossRef]
- Otero-García, M.M.; Mesa-Álvarez, A.; Nikolic, O.; Blanco-Lobato, P.; Basta-Nikolic, M.; de Llano-Ortega, R.M.; Paredes-Velázquez, L.; Nikolic, N.; Szewczyk-Bieda, M. Role of MRI in staging and follow-up of endometrial and cervical cancer: Pitfalls and mimickers. Insights Imaging 2019, 10, 19. [Google Scholar] [CrossRef]
- Boldrini, L.; Piras, A.; Chiloiro, G.; Autorino, R.; Cellini, F.; Cusumano, D.; Fionda, B.; D’Aviero, A.; Campitelli, M.; Marazzi, F.; et al. Low Tesla magnetic resonance guided radiotherapy for locally advanced cervical cancer: First clinical experience. Tumori 2020, 300891620901752. [Google Scholar] [CrossRef]
- Boldrini, L.; Chiloiro, G.; Pesce, A.; Romano, A.; Teodoli, S.; Placidi, L.; Campitelli, M.; Gambacorta, M.A.; Valentini, V. Hybrid MRI guided radiotherapy in locally advanced cervical cancer: Case report of an innovative personalized therapeutic approach. Clin. Transl. Radiat. Oncol. 2019, 20, 27–29. [Google Scholar] [CrossRef] [PubMed]
- Cusumano, D.; Boldrini, L.; Yadav, P.; Yu, G.; Musurunu, B.; Chiloiro, G.; Piras, A.; Lenkowicz, J.; Placidi, L.; Broggi, S.; et al. External validation of an early regression index (ERITCP) as predictor of pathological complete response in rectal cancer using MR-guided Radiotherapy. Int. J. Radiat. Oncol. Biol. Phys. 2020. [Google Scholar] [CrossRef] [PubMed]
- Fiorino, C.; Gumina, C.; Passoni, P.; Palmisano, A.; Broggi, S.; Cattaneo, G.M.; Di Chiara, A.; Esposito, A.; Mori, M.; Raso, R.; et al. A TCP-based early regression index predicts the pathological response in neo-adjuvant radio-chemotherapy of rectal cancer. Radiother. Oncol. 2018, 128, 564–568. [Google Scholar] [CrossRef]
- International Commissioning on Radiation Units and Measurements. Receiver Operating Characteristic (ROC) Analysis in Medical Imaging; ICRU Report 79; International Commissioning on Radiation Units and Measurements: Bethesda, MD, USA, 2008. [Google Scholar]
- Zannoni, G.F.; Vellone, V.G.; Carbone, A. Morphological effects of radiochemotherapy on cervical carcinoma: A morphological study of 50 cases of hysterectomy specimens after neoadjuvant treatment. Int. J. Gynecol. Pathol. 2008, 27, 274–281. [Google Scholar] [CrossRef]
- Chiloiro, G.; Boldrini, L.; Meldolesi, E.; Re, A.; Cellini, F.; Cusumano, D.; Corvari, B.; Mantini, G.; Balducci, M.; Valentini, V.; et al. MR-guided radiotherapy in rectal cancer: First clinical experience of an innovative technology. Clin. Transl. Radiat. Oncol. 2019, 18, 80–86. [Google Scholar] [CrossRef] [PubMed]
- Wang, C.-J.; Huang, E.-Y.; Sun, L.-M.; Chen, H.-C.; Fang, F.-M.; Hsu, H.-C.; Changchien, C.-C.; Leung, S.W. Clinical comparison of two linear-quadratic model-based isoeffect fractionation schemes of high-dose-rate intracavitary brachytherapy for cervical cancer. Int. J. Radiat. Oncol. Biol. Phys. 2004, 59, 179–189. [Google Scholar] [CrossRef]
- Clopper, C.J.; Pearson, E.S. The Use of Confidence or Fiducial Limits Illustrated in the Case of the Binomial. Biometrika 1934, 26, 404–413. [Google Scholar] [CrossRef]
- DeLong, E.R.; DeLong, D.M.; Clarke-Pearson, D.L. Comparing the areas under two or more correlated receiver operating characteristic curves: A nonparametric approach. Biometrics 1988, 44, 837–845. [Google Scholar] [CrossRef]
- Taylor, J. An Introduction to Error Analysis: The Study of Uncertainties in Physical Measurements; II.; University Science Books: Sausalito, CA, USA, 1997. [Google Scholar]
- Müller, R.; Büttner, P. A critical discussion of intraclass correlation coefficients. Stat. Med. 1994, 13, 2465–2476. [Google Scholar] [CrossRef]
- Gatta, R.; Vallati, M.; Dinapoli, N.; Masciocchi, C.; Lenkowicz, J.; Cusumano, D.; Casá, C.; Farchione, A.; Damiani, A.; van Soest, J.; et al. Towards a modular decision support system for radiomics: A case study on rectal cancer. Artif. Intell. Med. 2019, 96, 145–153. [Google Scholar] [CrossRef]
- Robin, X.; Turck, N.; Hainard, A.; Tiberti, N.; Lisacek, F.; Sanchez, J.-C.; Müller, M. pROC: An open-source package for R and S+ to analyze and compare ROC curves. BMC Bioinform. 2011, 12, 77. [Google Scholar] [CrossRef] [PubMed]
- Passoni, P.; Fiorino, C.; Slim, N.; Ronzoni, M.; Ricci, V.; Di Palo, S.; De Nardi, P.; Orsenigo, E.; Tamburini, A.; De Cobelli, F.; et al. Feasibility of an adaptive strategy in preoperative radiochemotherapy for rectal cancer with image-guided tomotherapy: Boosting the dose to the shrinking tumor. Int. J. Radiat. Oncol. Biol. Phys. 2013, 87, 67–72. [Google Scholar] [CrossRef] [PubMed]
- Fiorino, C.; Passoni, P.; Palmisano, A.; Gumina, C.; Cattaneo, G.M.; Broggi, S.; Di Chiara, A.; Esposito, A.; Mori, M.; Ronzoni, M.; et al. Accurate outcome prediction after neo-adjuvant radio-chemotherapy for rectal cancer based on a TCP-based early regression index. Clin. Transl. Radiat. Oncol. 2019, 19, 12–16. [Google Scholar] [CrossRef] [PubMed]



| Clinical Characteristics | Cases (Percentage) |
|---|---|
| Histology at the diagnosis | |
| 15 (94%) 1 (6%) |
| FIGO Stage at the diagnosis | |
| 5 (31.3%) 10 (62.5%) 1 (6.2%) |
| Nodal status | |
| 5 (31.3%) 11 (68.7%) |
| Pathological Response | |
| 11 (68.7%) 3 (18.8%) 2 (12.5%) |
| ERI | Fraction | Physical Dose | BED |
|---|---|---|---|
| ERI14 Gy | 5 | 11.5 Gy | 14.1 Gy |
| ERI28 Gy | 10 | 23 Gy | 28.3 Gy |
| ERI42 Gy | 15 | 34.5 Gy | 42.9 Gy |
| ERI54 Gy | 19 | 43.7 Gy | 53.8 Gy |
| ERI62 Gy | 22 | 50.6 Gy | 61.7 Gy |
| BED | Median Tumor Volume (cc) | p-Value (Mann–Whitney) | ICC | |
|---|---|---|---|---|
| Observer 1 | Observer 2 | |||
| 0 Gy (Simulation) | 50.5 (7.4–243.6) | 45.9 (10.4–259.3) | 0.13 | 0.99 |
| 14 Gy | 33.7 (6.3–173.4) | 33.1 (8.5–155.5) | 0.57 | 0.98 |
| 28 Gy | 25.8 (4.3–122.3) | 21.5 (8.1–108.4) | 0.18 | 0.98 |
| 42 Gy | 22.2 (4.0–84.5) | 20.0 (7.0–72.9) | 0.23 | 0.96 |
| 54 Gy | 14.7 (3.4–60.8) | 33.1 (3.5–59.6.5) | 0.53 | 0.95 |
| 62 Gy | 11.6 (1.5–50.2) | 13.0 (2.6–51.7) | 0.32 | 0.97 |
| BED | AUC (95% CI) | Best Cut-Off | Sensitivity | Specificity | Youden Index |
|---|---|---|---|---|---|
| 14 Gy | 0.80 (0.51–1) | 149.5 | 90.9 | 80 | 0.71 |
| 28 Gy | 0.84 (0.58–1) | 96.0 | 90.9 | 80 | 0.71 |
| 42 Gy | 0.80 (0.53–1) | 54.0 | 90.9 | 80 | 0.71 |
| 54 Gy | 0.74 (0.47–1) | 31.5 | 90.9 | 60 | 0.50 |
| 62 Gy | 0.78 (0.53–1) | 16.4 | 81.8 | 80 | 0.62 |
Publisher’s Note: MDPI stays neutral with regard to jurisdictional claims in published maps and institutional affiliations. |
© 2020 by the authors. Licensee MDPI, Basel, Switzerland. This article is an open access article distributed under the terms and conditions of the Creative Commons Attribution (CC BY) license (http://creativecommons.org/licenses/by/4.0/).
Share and Cite
Cusumano, D.; Catucci, F.; Romano, A.; Boldrini, L.; Piras, A.; Broggi, S.; Votta, C.; Placidi, L.; Nardini, M.; Chiloiro, G.; et al. Evaluation of an Early Regression Index (ERITCP) as Predictor of Pathological Complete Response in Cervical Cancer: A Pilot-Study. Appl. Sci. 2020, 10, 8001. https://doi.org/10.3390/app10228001
Cusumano D, Catucci F, Romano A, Boldrini L, Piras A, Broggi S, Votta C, Placidi L, Nardini M, Chiloiro G, et al. Evaluation of an Early Regression Index (ERITCP) as Predictor of Pathological Complete Response in Cervical Cancer: A Pilot-Study. Applied Sciences. 2020; 10(22):8001. https://doi.org/10.3390/app10228001
Chicago/Turabian StyleCusumano, Davide, Francesco Catucci, Angela Romano, Luca Boldrini, Antonio Piras, Sara Broggi, Claudio Votta, Lorenzo Placidi, Matteo Nardini, Giuditta Chiloiro, and et al. 2020. "Evaluation of an Early Regression Index (ERITCP) as Predictor of Pathological Complete Response in Cervical Cancer: A Pilot-Study" Applied Sciences 10, no. 22: 8001. https://doi.org/10.3390/app10228001
APA StyleCusumano, D., Catucci, F., Romano, A., Boldrini, L., Piras, A., Broggi, S., Votta, C., Placidi, L., Nardini, M., Chiloiro, G., Nardangeli, A., De Luca, V., Fionda, B., Campitelli, M., Autorino, R., Gambacorta, M. A., Indovina, L., Fiorino, C., & Valentini, V. (2020). Evaluation of an Early Regression Index (ERITCP) as Predictor of Pathological Complete Response in Cervical Cancer: A Pilot-Study. Applied Sciences, 10(22), 8001. https://doi.org/10.3390/app10228001

