Abstract
Double filtration plasmapheresis (DFPP) is an emerging semi-selective apheretic method for treating immuno-mediated neurological diseases. Here we report the first case of steroid-refractory relapsed multiple sclerosis (MS) on Fingolimod (FTY), treated effectively by this technique, in a 37-year-old woman. This condition is thought to be caused by soluble inflammatory species, but its demyelinating pattern is unknown; moreover, despite megadoses of intravenous 6-methyl prednisolone, it induces severe neurological deterioration, but dramatically responded to DFPP in our patient. The clinical improvement was driven by a strong DFPP-induced anti-inflammatory effect, with significant reduction of C3/C4 components, total gamma globulin concentrations (IgG), and gamma-fibrinogen (FGG), resulting in a brain pseudoatrophy phenomenon. Our findings are: first, the steroid-refractory relapsed MS on FTY, however serious, can be treated with DFPP; second, given the good clinical improvement due to the DFPP-induced neuroinflammatory components removal, this clinical condition can be associated with a Lucchinetti pattern II of demyelination.
1. Introduction
Double filtration plasmapheresis, also called cascade double filtration plasmapheresis (DFPP), is a two-step filtration-based procedure that semi-selectively eliminates the immune-relevant elements from plasma using an advanced system of filters disposed in parallel [1]. From an amount of blood corresponding to 50 mL/kg, the method first separates the corpuscular part of the blood from the plasma and then from the pathogenetic soluble elements using a lower molecular weight than the primary filter cut-off [1]. The pathogenic soluble elements are believed to be the gamma immunoglobulins (IgG), the C3, C4 complement fractions (C3/C4), and gamma-fibrinogen (FGG) [2]. However, due to the molecular filter < 50,000 kDa, albumin also underwent clearance and needed replacement at the end of each procedure. In effect, a 250 mL aliquot of 5% human albumin solution is the unique supplementation required during each session of DFPP, as compared to plasma exchange (PEX) which requires total plasma replacement, and provides better safety, fewer side effects, and comparable results [1,3].
The DFPP mechanism of action also includes the cell-mediated arm of the immune system, and the action onto that humoral arm already suggested the potential applications of DFPP in many dysimmune neurological diseases. The induction of CD4+CD25+FOXP3+ T-cells and the cumulative reduction of serum C3/C4, IgG, IgA, IgM, and gamma-FG concentrations by 44.45%, 36%, 72%, 89%, 96%, and 88.5%, respectively, after DFPP are the common pathological targets in Myastenia Gravis (MG) [4], Neuro Myelitis Optica Spectrum Disorders (NMOSD) [5], Guillain–Barre syndrome (GBS) [6], and Multiple Sclerosis (MS) [7] treated by this cascade filtration method.
Relapsed MS is thought to be a type II Lucchinetti pathological pattern, expressing the main inflammation through antibodies/plasma cells and their complements. This could be the probable explanation for why relapsed MS and the retrobulbar optic neuritis (RBON) have a good response to PEX [8,9,10] and DFPP [3]. The same considerations also apply to steroid-refractory MS relapse during the wash-out period from Fingolimod (FTY). The discontinuation of the latter can induce in some individuals a disease rebound sustained by the cleanable humoral factors of the neuroinflammation [11,12,13,14,15]. However, despite the increasing exploitation of DFPP, there is no published evidence concerning the treatment of steroid-refractory MS relapse during the Fingolimod treatment and its physiopathology. Steroid-refractory relapsed MS is associated with the Fingolimod treatment, both with its discontinuation and a variable time after its starting [16,17].
This study seeks to clarify the physiopathological pattern of steroid-refractory MS relapse during Fingolimod treatment and the biological mechanisms involved in its sensitivity to DFPP.
2. Case Presentation
Here, we report the case of a 37-year-old woman affected by relapsing remitting MS (RRMS) with disease onset at 28 years with left RBON and pyramidal involvement as detected by prevalent tendon reflexes at the right limbs and the ipsilateral Barre’s sign. The latter was investigated with magnetic resonance imaging (MRI) demonstrating several periventricular and bilateral T2-weighted lesions and enhanced lesions of the subcortical white matter of the left frontal lobe. Consequently, in accordance with the dissemination in time and space criteria of the current revised McDonald guidelines [18], we posed diagnosis of RRMS. During ten years of first line therapy based on thrice weekly treatments of sub-cutaneous beta-interferon (beta-IFN), no relapse occurred, and her neurological conditions were stable with a low grade of disability, expressed at the 1.5 rank of the expanded disability status scale (EDSS). However, in the summer of 2018, the patient experienced a disabling relapse with an increase of one point of EDSS, despite administration of megadoses of intravenous (i.v.) 6-methyl prednisolone (6-MP) (1 g/die for five days). Specifically, her sphincteric score worsened from 1 to 2, resulting in EDSS 2.5. Therefore, we decided to switch from the beta-IFN therapy to the orally administrated 0.5 mg/die Fingolimod. After treatment, the baseline MRI demonstrated a low brain lesion load without spinal cord involvement, with two new T2-weighted lesions in the right frontal lobe. Follow-up visits every three months evidenced a favorable clinical outcome during the treatment and the annual MRI was also stable. The routine laboratory assessment was regular with a lymphocytes count ranging from 1200 to 860/µL and annual MRI scans of the brain and spinal cord were performed on a 1.5- T Philips MR apparatus (180 mT/m) (Achieva, Philips Medical Systems, Best, The Netherlands), in accordance with international guidelines [19]. According the standard protocol, the acquisition sequence types were SE T1–TSE T1 MT–BRAIN VIEW FLAIR 3-D; acquisition time 2.170–3.070–4.140; field of view 230 3183 mm AX–250 3250 FLAIR SAG–180-200 3180 mm COR MT; orientation: TRA–COR–TRA; alignment: TRA–COR–TRA; and voxel size: 0.89/0.88/4–0.56/0.56/4–0.31/0.31/0.6, respectively. Repetition time (TR) was 450–614–4800; echo time (TE) was 15–12–307; and inversion time (TI) was −/−/1660. The flip angle was 69°–90°−/, and the NEX was 1–2–2. The SENSE parallel imaging method and contrast enhancement (Gadovist single dose, 10 min post administration) were used.
In July 2019, when the Fingolimod was ongoing for about one year, the patient had a brutal relapse starting with leg weakness that was treated initially by a total of 5 g of i.v. 6-MP. At the end of this treatment period, the EDSS 7.0 revealed severe lower-extremity weakness, with leg spasticity and ataxia, so we admitted her at the neurological department of the “F. Ferrari” Casarano Hospital. Here, after the MRI assessment, the patient underwent another brief treatment cycle of 3 g i.v. 6-MP without clinical improvement and we founded that the relapse was sustained by new T2-weighted cervical lesions, situated on C2–C3, and T5 levels (Figure 1A). These lesions did not evidence any contrast enhancement due to the 6-MP cycle performed at home before hospital admission.
Figure 1.
Magnetic resonance imaging on the short tau inversion recovery (STIR) sequence of the cervical spinal cord, affected by a demyelinating lesion at the second and third metamer before (A) and after (B) DFPP treatment. Note the reduction in the size of the lesion in comparison to the pre-treatment image. Axial brain magnetic resonance imaging on the fluid attenuated inversion recovery (FLAIR) sequence shows the periventricular lesion load before (C) and after (D) DFPP treatment. Red arrows evidence the brain and spinal cord lesions.
These lesions, partially confluent and not exceeding three metamers in length, were not associated with tumefactive cervical shape and fulfilled the radiological criteria for MS lesions, as expected. No new brain lesions were detected and a total intracranial volume (TIV) of 1328.8 mL was calculated using Siena software. Thus, the diagnosis of steroid-refractory relapsed MS on Fingolimod treatment was posed, DFPP therapy was indicated, and FTY was discontinued. In Figure 1C it could be also glimpsed two subcortical hyperintense left frontal areas, resulting from enhancing lesions at the disease onset. The demonstration of these lesions assumes an important diagnostic role in the present case, and they are better represented in Figure 2.
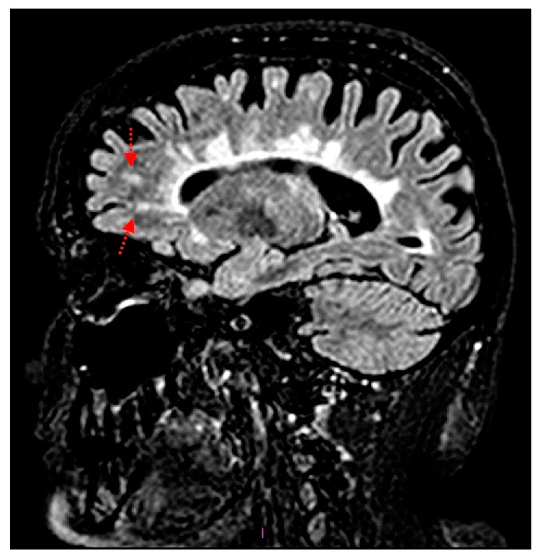
Figure 2.
Magnetic resonance imaging on the sagittal fluid attenuated inversion recovery (FLAIR) sequence of the brain, demonstrating the two demyelinating subcortical left frontal lesions (red arrows), resulting from the enhancing ones at the disease onset.
After informed written consent was signed by the patient, a 17 gauche venous access was applied at the right femoral vein and the first three sessions of DFPP were performed at a frequency of one treatment every other day. Two more sessions were performed at a frequency of one treatment every two days in a tapering regimen after the first three treatments. The method required that the blood pass through an extracorporeal circuit where a plasmafilter (Plasmaflo OP-05, Asahi Kasei, Tokyo, Japan) separated the plasma from the blood cells. The separated plasma was then conveyed through a secondary filter (Rheofilter ER 4000, Asahi Kasei, Tokyo, Japan), where high molecular weight substances were separated from the solution, and finally the plasma was restored to the patient’s bloodstream. The anticoagulation was obtained with a 2000 IU bolus of heparin, administered at the start of the procedure, followed by another bolus of 1000 IU administered one hour after the start of the treatment. The blood flow was set at 80–100 mL/min and the plasma flow at 25–30 mL/min. We treated with 1500 mL of plasma during the first session, 2000 during the second, 3000 during the third, and 2000 mL during the others. Immediately after the apheresis sessions, serum concentrations of immunoglobulins, complement fractions, and gamma-fibrinogen were assessed. Specifically, we observed a strong significant decrease of the IgG, IgM, C3/C4 fractions and the gamma-FG. This effect was observed over the entire treatment period but was accentuated in the hours immediately following each procedure.
However, a relative restoration of the blood concentrations of these species was observed over 24 h following apheretic session, dependent on a systemic redistribution effect, but consistently remained below normal values. This redistribution effect was observed during the fourth session, when the blood sampling was performed just before, instead of after, the procedure. On this occasion, the values of the detected species were higher than in other apheretic sessions, except for the albumin which was reintegrated every time. In all cases, blood samples were taken just after the procedure. The on-treatment average blood concentrations of C3/C4, and gamma-FG were 73 mg/dL, 16.25 mg/dL, and 210.5 mg/dL respectively; concentrations of IgG, IgM, and the IgA were 431.5 mg/dL, 34 mg/dL, and 52.5 mg/dL respectively. We also measured these molecules outside the apheretic treatment period, both 24 h before and after the last session of DFPP. All values of these species sampled outside the treatment period and those sampled during the treatment period are summarized in Table 1, with related statistics. The on-treatment immunoglobulin concentrations are represented in Figure 3.
Table 1.
All values of albumin (ALB), immunoglobulin G (IgG), A (IgA), M (IgM), E (IgE), gamma-fibrinogen (FGG), and the C3/C4 components of the complement measured immediately after each DFPP session performed every other day, except for session IV, in which the blood sample was executed just before treatment. Measurements of ALB, IgG, IgA, IgM, FGG, and C3/C4 are shown in mg/dL, and IgE is shown in IU/mL. Differences between means of species’ values measured during and outside DFPP period, with related p values, are shown in bold.
Figure 3.
Immunoglobulin G (IgG), A (IgA), and M (IgM) concentrations during DFPP cycles.
Due to the molecular filtering activity of the second mesh, a modest nonsignificant reduction in serum albumin concentration was found. Thus, an albuminated replacement solution was mandatorily administrated after each DFPP session. Other routine clinical assessments were in the normal range of values during the DFPP treatment period.
From a clinical point of view, we observed an initial functional improvement right after the second DFPP section that increasingly continued during the treatment period. The sequence of the decline of symptoms was as follows: first, ataxia; second, spasticity; third, weakness. At the time of discharge from the ward, EDSS = 3.0 and a residual slight lower extremity weakness in comparison to the baseline conditions was detected. We noted a plateau of clinical improvement corresponding to the time-period of DFPP, with an extending tail over the following month of neurological intensive rehabilitation. This favorable clinical outcome was consistent with a similar safety profile. The main adverse event was a slight hypotension at the end of some procedures.
The control MRI performed before the department discharge showed detectable reduction in the volume of cervical lesions, as depicted in Figure 1B, but a stable brain lesion load (Figure 1D).
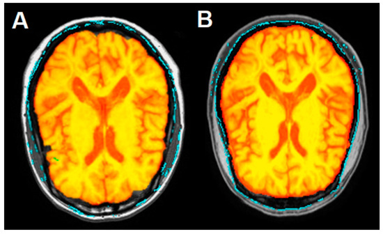
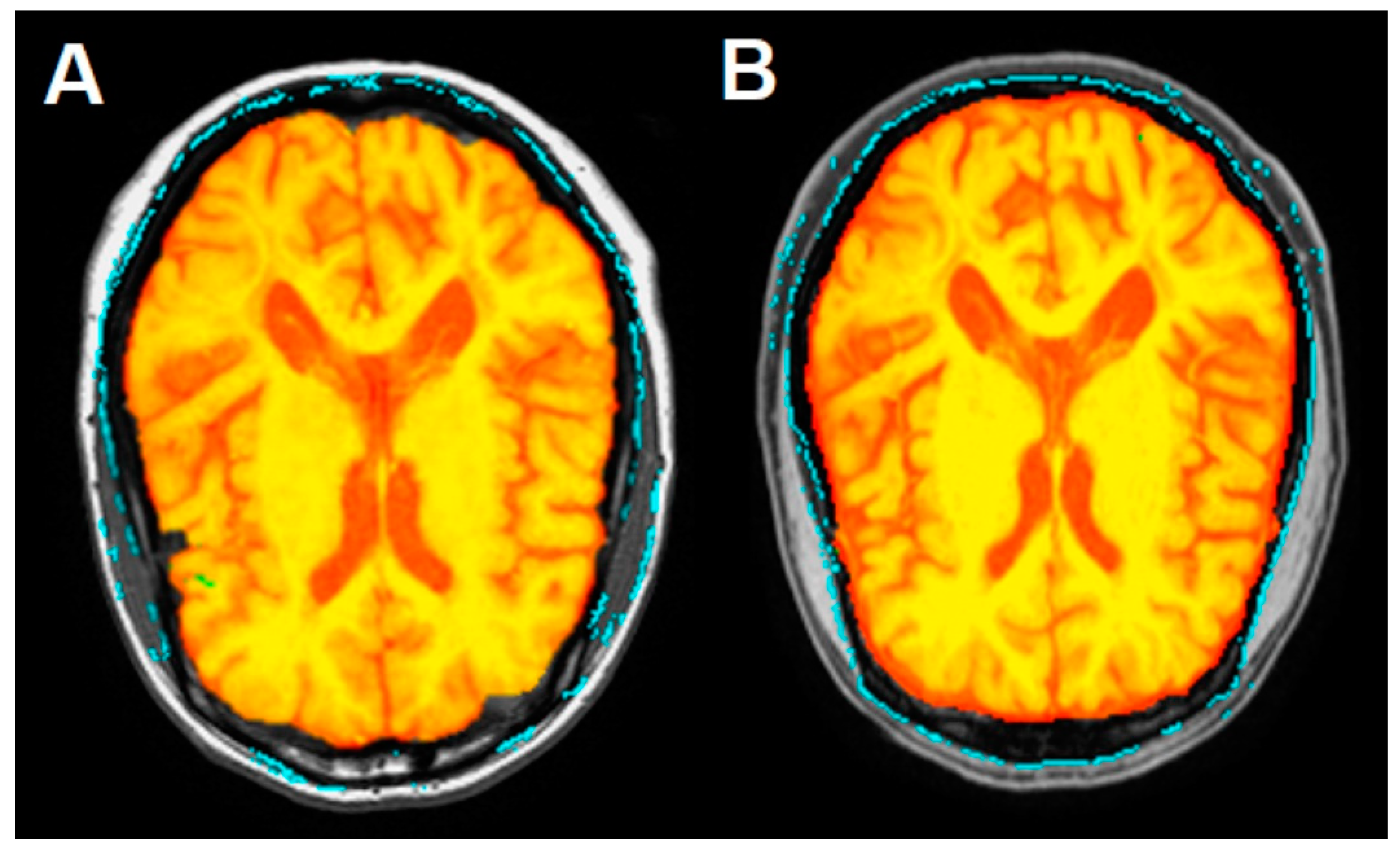
Figure 4 shows the Siena output color-coded image of the brain, while Figure 5 shows the brain parenchymal fraction in the axial image from August (Figure 5A) and September (Figure 5B), before and after DFPP procedure, respectively, with a TIV reduced by 2.14% in the latter, where subarachnoid spaces appeared to increase as expected.
Figure 4.
Siena output color-code imaged of the brain. Blue color indicates atrophy; red color indicates growth. Note the prevalence of blue in the grey matter and peripheral grey matter.
Figure 5.
Pre-to-post registration axial images of the brain, before (A) and after (B) the DFPP procedure respectively, identified using the Siena tool of the FSL software. Yellow color indicates the brain parenchymal fraction, red color the ventricular system and subarachnoid spaces. Given the 2.14% reduction of total intracranial volume (TIV), note the expected prevalence of the red color in B indicating the involvement of subarachnoid spaces, with TIV = 1300.4 mL with respect to A with TIV = 1328.8 mL.
This reduction in the brain tissue volume resulted mainly from the shrinkage in grey matter and peripheral grey matter, measuring 511.2 mL and 402.9 mL respectively, according a % reduction of 1.16 and 1.14, respectively. The total cerebrospinal fluid (CSF) volume underwent a % net increase of 1.22, despite the ventricular space reduction by 1.11%. Finally, the white matter volume increased 1.14%. The patient underwent an intensive rehabilitation program with exercises focused on gait-reeducation and proprioceptive facilitation.
Fingolimod was discontinued before starting DFPP and substituted with Natalizumab after 42 days of wash-out time. The lymphocytes count improved by the start of DFPP, rising from 670/µL before initiation to 900–1000/µL after the end of the treatment period.
Currently at follow-ups, the patient maintains her autonomy with a stable MRI lesion load and EDSS score values of 2.5. This study was conducted in accordance with the Declaration of Helsinki and the written informed consent for publication was obtained.
3. Discussions and Conclusions
Fingolimod is a disease modifying treatment (DMT) studied for use in active relapsing remitting MS [20,21]. The drug is known to induce a disease rebound at its discontinuation, but, in some individuals, a MS reactivation after starting treatment is described as well [20,21]. Unlike the FTY discontinuation-induced clinical rebound of MS, its on-treatment reactivation has a poorly understood pathology. The latter has an undetermined biological substrate and can be sustained by tumefactive or multiple extensive lesions [17,20], as in the present case report. We described, for the first time, a case of serious refractory relapse of MS which occurred on FTY treatment and dramatically improved with DFPP. This condition was sustained by extensive cervical involvement.
From the few published data, it is clear that this type of relapse can occur in a variable period after starting Fingolimod, or after switching to it from another DMT, depending on disease duration, interindividual differences among patients, and sensitivity to the drug. No evidence exists about apheretic treatments of this pathological condition, but its susceptibility to DFPP can provide interesting physiopathological elements. Like DMTs applied to the disease contributed to explaining its physiopathological mechanism, the application of DFPP to the present case also contributed to a better understanding of it.
Apart from the putative increased number of CD8+ effector T-cells in the central nervous system (CNS) compartment [20], the accepted immunological mechanism of DFPP is the removal effect of humoral factors. The clinical worsening of our patient took place after about one year after starting FTY, without apparent triggers, but the patient improved after DFPP. This is due to the mechanism of action of the apheretic method and removal of the humoral species from plasma: the gamma globulins, the C3/C4 complement fractions, and gamma-FG. This finding is consistent with other dysimmune neurological diseases, which were already demonstrated to be sensitive to the apheretic method and to DFPP, in particular the NMO [17], relapsed MS [7] and its rebound after Fingolimod discontinuation [12], and the RBON [8]. All these conditions, and now the steroid-refractory relapsed MS on FTY as well, can be defined as belonging to type II of the Lucchinetti pathological pattern.
With regards to the paraclinical aspects of this case, the expected clinical improvement after DFPP cycles was associated with whole brain atrophy as detected in MRI post-analysis by Siena calculations. This phenomenon was consistent with a strong anti-inflammatory effect of DFPP on the nervous tissue, resulting in reduction of edema rather than tissue components, after the removal of humoral inflammatory elements from the blood. This property of so-called pseudoatrophy is common in other strongly anti-inflammatory DMTs, like Natalizumab, Interferon [22], and selective immune adsorption (SIA) [12]. Detectable disease-related brain atrophy requires at least 3 months to take place, as it depends on slowly developing neurodegenerative mechanisms [23]. The detection of pseudoatrophy of the brain, even in a case of relapse sustained by cervical lesions, proves the spread of inflammation in MS also occurs at very distant sites from the acute demyelinating lesion, including to virtually the entire CNS.
No relevant side effects were registered by using DFPP, faced with the induced dramatic recovery of neurological functions as detected by the rapid improvement by 3.5 points of the EDSS score. A similar efficacy, but a simpler procedure, is reported in the literature regarding DFPP in comparison to plasma exchange (PEX). The latter requires complete integration by frozen plasma, unlike the DFPP that only requires the administration of an albumin solution at the end of the session. However, both procedures confer hemorrhagic risks, but the semi-selective method is less correlated to systemic side effects, such as severe hypotension. For this reason, DFPP is considered an emerging treatment and a useful tool in the present clinical condition.
In this case we obtained a fast recovery in lymphocytes count, suggesting an adjunctive DFPP-dependent removal effect on FTY as well, further than that on the aforementioned chemical species. In fact, based on the time of 5 half-lives of the active substance, the wash-out period to avoid potential carry-over effects of the drug ranges from 28 to 42 days, during which the lymphocytes count normalizes [24].
However, this interpretation requires further investigation to be confirmed. Although this study suffers from the single-observation bias, it contributes to improvement of our knowledge of FTY, as it is linked to a previous work describing refractory relapse of MS that occurred after drug discontinuation. Thus, these observations are concordant in suggesting the type II pattern of Lucchinetti in both cases of refractory relapse: after discontinuation and initiation of FTY. Another limitation was the inability to observe the evolution of gadolinium uptake of the acute lesion over the hospitalization period, due to the pre-admission treatment. However, the lack of contrast enhancement is an expected effect after 6-MP, unlike the pseudoatrophy phenomenon, that is a novel finding about the DFPP method.
In conclusion, this case report enhances our knowledge about steroid-refractory MS relapsed on FTY, describes its physiopathological profile as belonging to type II of the Lucchinetti patterns and demonstrates the high efficacy and safety of the DFPP procedure when used to treat this condition.
Author Contributions
R.D.M. and S.A. made substantial contributions to conception and design, project administration, supervision, visualization, and validation of data; S.O. was involved in drafting the manuscript and revising it critically for important intellectual content. All authors have read and agreed to the published version of the manuscript.
Funding
This research received no external funding.
Acknowledgments
We would like to mention the long-standing effort of Gabriella Cretì, the full director of “F. Ferrari” Casarano Hospital. Without her our commitment would be fruitless.
Conflicts of Interest
The authors declare that they have no conflict of interests.
References
- Valbonesi, M. Therapeutic plasmapheresis and cascade filtration—Advances in technology and clinical applications. Transfus. Apher. Sci. 2006, 34, 100–102. [Google Scholar] [CrossRef]
- Lucchinetti, C.; Bruck, W.; Parisi, J.; Scheithauer, B.; Rodriguez, M.; Lassmann, H. Heterogeneity of multiple sclerosis lesions: Implications for the pathogenesis of demyelination. Ann. Neurol. 2000, 47, 707–717. [Google Scholar] [CrossRef]
- Roman-Filip, C.; Catana, M.G.; Bereanu, A.; Lazaroae, A.; Gligor, F.; Sava, M. Therapeutic plasma exchange and double filtration plasmapheresis in severe neuroimmune disorders. Acta. Clin. Croat. 2019, 58, 621–626. [Google Scholar]
- Zhang, L.; Liu, J.; Wang, H.; Zhao, C.; Lu, J.; Xue, J.; Gu, Y.; Hao, C.; Lin, S.; Lv, C. Double filtration plasmapheresis benefits myasthenia gravis patients through an immunomodulatory action. J. Clin. Neurosci. 2014, 21, 1570–1574. [Google Scholar] [CrossRef]
- Kim, S.-H.; Kim, W.; Huh, S.-Y.; Lee, K.Y.; Jung, I.J.; Kim, H.J. Clinical Efficacy of Plasmapheresis in Patients with Neuromyelitis Optica Spectrum Disorder and Effects on Circulating Anti-Aquaporin-4 Antibody Levels. J. Clin. Neurol. 2013, 9, 36–42. [Google Scholar] [CrossRef]
- Chen, W.-H.; Yeh, J.-H.; Chiu, H.-C. Experience of double filtration plasmapheresis in the treatment of Guillain-Barré syndrome. J. Clin. Apher. 1999, 14, 126–129. [Google Scholar] [CrossRef]
- Ramunni, A.; De Robertis, F.; Brescia, P.; Saliani, M.T.; Amoruso, M.; Prontera, M.; Dimonte, E.; Trojano, M.; Coratelli, P. A Case Report of Double Filtration Plasmapheresis in an Acute Episode of Multiple Sclerosis. Ther. Apher. Dial. 2008, 12, 250–254. [Google Scholar] [CrossRef]
- Bennett, J.L.; Nickerson, M.; Costello, F.; Sergott, R.C.; Calkwood, J.C.; Galetta, S.L.; Balcer, L.J.; E Markowitz, C.; Vartanian, T.; Morrow, M.; et al. Re-evaluating the treatment of acute optic neuritis. J. Neurol. Neurosurg. Psychiatry 2014, 86, 799–808. [Google Scholar] [CrossRef]
- Lehmann, H.C.; Hartung, H.P.; Hetzel, G.R.; Stuve, O.; Kieseier, B.C. Plasma exchange in neuroimmunological disorders: Part 1: Rationale and treatment of inflammatory central nervous system disorders. Arch. Neurol. 2006, 63, 930–935. [Google Scholar] [CrossRef]
- Keegan, M.; König, F.; McClelland, R.; Brück, W.; Morales, Y.; Bitsch, A.; Panitch, H.; Lassmann, H.; Weinshenker, B.; Rodriguez, M.; et al. Relation between humoral pathological changes in multiple sclerosis and response to therapeutic plasma exchange. Lancet 2005, 366, 579–582. [Google Scholar] [CrossRef]
- Alroughani, R.; Almulla, A.; Lamdhade, S.; Thussu, A. Multiple sclerosis reactivation post fingolimod cessation: Is it IRIS? BMJ Case Rep. 2014, 2014, bcr2014206314. [Google Scholar] [CrossRef]
- De Masi, R.; Accoto, S.; Orlando, S.; De Blasi, V.; Pasca, S.; Scarpello, R.; Spagnolo, P.; Idolo, A.; De Donno, A. Dramatic recovery of steroid-refractory relapsed multiple sclerosis following Fingolimod discontinuation using selective immune adsorption. BMC Neurol. 2015, 15, 125. [Google Scholar] [CrossRef]
- Havla, J.; Pellkofer, H.L.; Meinl, I.; Gerdes, L.A.; Hohlfeld, R.; Kümpfel, T. Rebound of Disease Activity After Withdrawal of Fingolimod (FTY720) Treatment. Arch. Neurol. 2012, 69, 262. [Google Scholar] [CrossRef] [PubMed]
- Hakiki, B.; Portaccio, E.; Giannini, M.; Razzolini, L.; Pastò, L.; Amato, M.P. Withdrawal of fingolimod treatment for relapsing–remitting multiple sclerosis: Report of six cases. Mult. Scler. J. 2012, 18, 1636–1639. [Google Scholar] [CrossRef] [PubMed]
- La Mantia, L.; Prone, V.; Marazzi, M.R.; Erminio, C.; Protti, A. Multiple sclerosis rebound after fingolimod discontinuation for lymphopenia. Neurol. Sci. 2014, 35, 1485–1486. [Google Scholar] [CrossRef] [PubMed]
- Kleiter, I.; Ayzenberg, I.; Hoepner, R. Fingolimod for multiple sclerosis and emerging indications: Appropriate patient selection, safety precautions, and special considerations. Ther. Clin. Risk Manag. 2016, 12, 261–272. [Google Scholar] [CrossRef]
- Yoshii, F.; Moriya, Y.; Ohnuki, T.; Ryo, M.; Takahashi, W. Neurological safety of fingolimod: An updated review. Clin. Exp. Neuroimmunol. 2017, 8, 233–243. [Google Scholar] [CrossRef]
- Thompson, A.J.; Banwell, B.L.; Barkhof, F.; Carroll, W.M.; Coetzee, T.; Comi, G.; Correale, J.; Fazekas, F.; Filippi, M.; Freedman, M.S.; et al. Diagnosis of multiple sclerosis: 2017 revisions of the McDonald criteria. Lancet Neurol. 2018, 17, 162–173. [Google Scholar] [CrossRef]
- Miller, D.H.; Barkhof, F.; Berry, I.; Kappos, L.; Scotti, G.; Thompson, A.J. Magnetic resonance imaging in monitoring the treatment of multiple sclerosis: Concerted action guidelines. J. Neurol. Neurosurg. Psychiatry 1991, 54, 683–688. [Google Scholar] [CrossRef]
- Kappos, L.; Radue, E.-W.; O’Connor, P.; Polman, C.; Hohlfeld, R.; Calabresi, P.; Selmaj, K.; Agoropoulou, C.; Leyk, M.; Zhang-Auberson, L.; et al. A Placebo-Controlled Trial of Oral Fingolimod in Relapsing Multiple Sclerosis. N. Engl. J. Med. 2010, 362, 387–401. [Google Scholar] [CrossRef]
- Calabresi, P.A.; Radue, E.-W.; Goodin, D.; Jeffery, D.; Rammohan, K.W.; Reder, A.T.; Vollmer, T.; A Agius, M.; Kappos, L.; Stites, T.; et al. Safety and efficacy of fingolimod in patients with relapsing-remitting multiple sclerosis (FREEDOMS II): A double-blind, randomised, placebo-controlled, phase 3 trial. Lancet Neurol. 2014, 13, 545–556. [Google Scholar] [CrossRef]
- Favaretto, A.; Lazzarotto, A.; Margoni, M.; Poggiali, D.; Gallo, P. Effects of disease modifying therapies on brain and grey matter atrophy in relapsing remitting multiple sclerosis. Mult. Scler. Demyelinating Disord. 2018, 3. [Google Scholar] [CrossRef]
- Zivadinov, R.; Bagnato, F.; Nasuelli, D.; Bastianello, S.; Bratina, A.; Locatelli, L.; Watts, K.; Finamore, L.; Grop, A.; Dwyer, M.; et al. Short-term brain atrophy changes in relapsing–remitting multiple sclerosis. J. Neurol. Sci. 2004, 223, 185–193. [Google Scholar] [CrossRef] [PubMed]
- David, O.J.; Kovarik, J.M.; Schmouder, R.L. Clinical Pharmacokinetics of Fingolimod. Clin. Pharmacokinet. 2012, 51, 15–28. [Google Scholar] [CrossRef]
Publisher’s Note: MDPI stays neutral with regard to jurisdictional claims in published maps and institutional affiliations. |
© 2020 by the authors. Licensee MDPI, Basel, Switzerland. This article is an open access article distributed under the terms and conditions of the Creative Commons Attribution (CC BY) license (http://creativecommons.org/licenses/by/4.0/).




