Robotic Omental Flap Harvest for Complex Thoracic Defects: Case Series and Review of the Literature
Abstract
1. Introduction
2. Patients and Methods
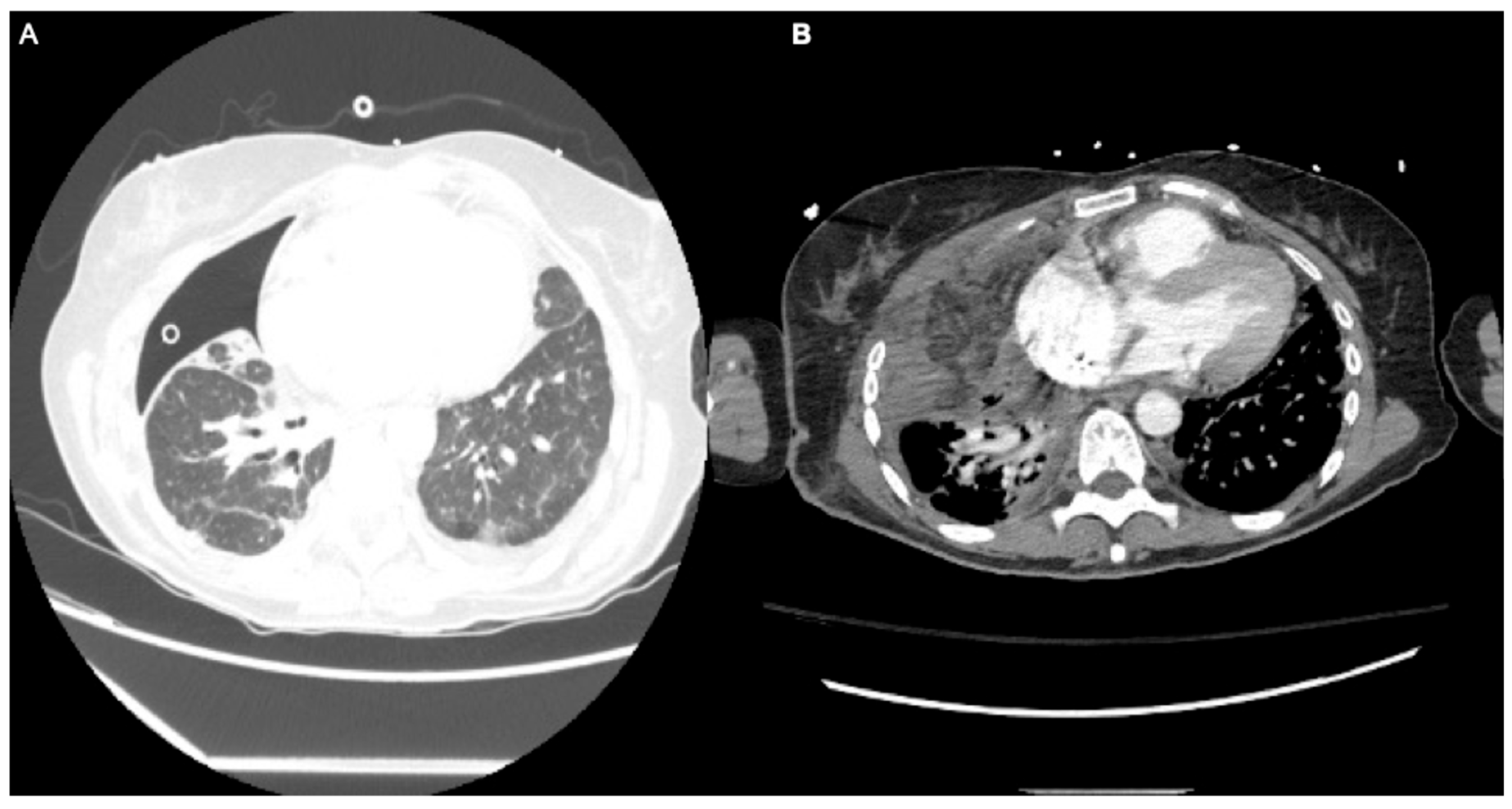
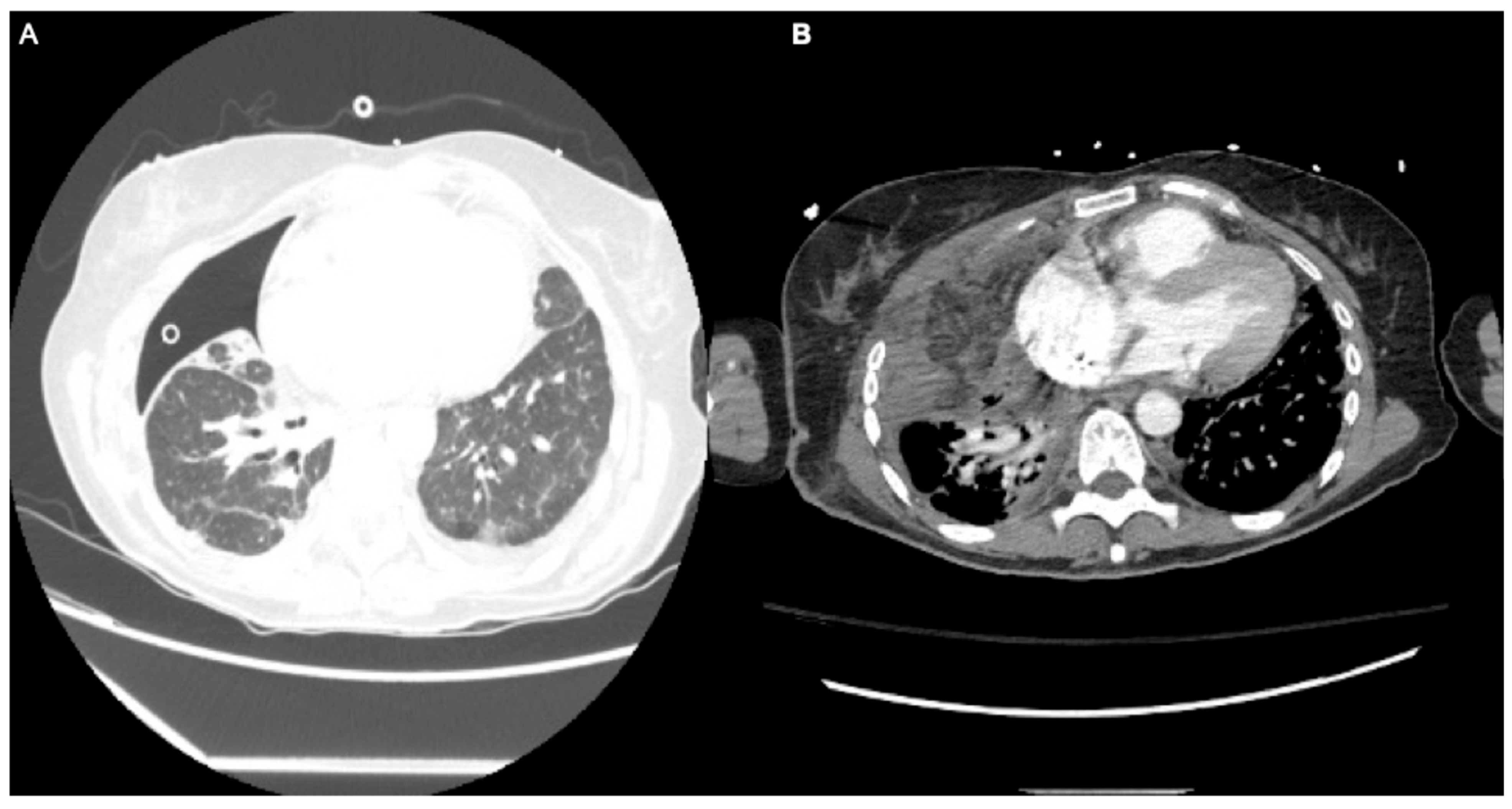
2.1. Case Series
2.2. Perioperative Management
2.3. Operative Procedure
2.3.1. Positioning, Landmarks, and Port Placement
2.3.2. Flap Harvest
2.4. Tunneling
2.5. Inset
2.6. Literature Review
3. Results
3.1. Institutional Experience
3.2. Systematic Review
4. Discussion
5. Conclusions
Author Contributions
Funding
Institutional Review Board Statement
Informed Consent Statement
Data Availability Statement
Conflicts of Interest
Appendix A. PRISMA 2020 Checklist—“Robotic Omental Flap Harvest for Complex Thoracic Defects: Case Series and Review of the Literature”
| Item | Checklist Description | Location in Revised Manuscript |
| 1. Title | Identify the report as a systematic review. | Title page ‘…and Review of the Literature’ |
| 2. Abstract | Provide a structured summary following PRISMA 2020 for abstracts. | Structured abstract includes objective, methods, results, and conclusions. |
| 3. Rationale | Describe rationale in the context of existing knowledge. | Introduction—first three paragraphs explaining background and clinical relevance. |
| 4. Objectives | Provide explicit statement of objectives. | End of Introduction—‘aim to illustrate clinical value and contribute to evidence.’ |
| 5. Eligibility criteria | Specify inclusion and exclusion criteria and grouping. | Methods—Systematic Review section: case reports and small case series included; exclusions defined. |
| 6. Information sources | List databases and last search date. | PubMed, Scopus, Cochrane Central—searched through February 2024. |
| 7. Search strategy | Present full database strategies with filters and limits. | PubMed syntax and equivalent Scopus/Cochrane syntax included; filters for English/Spanish human studies. |
| 8. Selection process | Describe screening methods and reviewers. | Two reviewers (SF, CF) screened independently; disagreements resolved by consensus (RP). |
| 9. Data collection process | Specify how data were extracted and verified. | Two reviewers independently extracted using standardized form; discrepancies resolved by discussion. |
| 10a. Data items—outcomes | List and define all outcomes sought. | Demographics, indications, operative details, outcomes, complications. |
| 10b. Data items—other variables | List and define other variables. | Procedure type, approach, follow-up time; assumptions about missing data described. |
| 11. Study risk of bias assessment | Describe bias assessment methods. | Formal assessment not applicable due to case report design; limitation acknowledged. |
| 12. Effect measures | Specify outcome measures or summary statistics. | Qualitative synthesis; no quantitative effect measures. |
| 13. Synthesis methods | Describe data preparation and synthesis approach. | Data qualitatively synthesized; no meta-analysis due to heterogeneity. |
| 14. Reporting bias assessment | Describe assessment of reporting bias. | Not performed; potential publication bias discussed as mitigated by broad search. |
| 15. Certainty assessment | Describe certainty/confidence assessment. | Not performed; justified for qualitative synthesis with limited studies. |
| 16a. Study selection | Present results of search and selection. | 255 identified → 15 full texts → 3 included; Figure 1 (PRISMA diagram). |
| 16b. Excluded studies | List excluded studies and reasons. | Not individually listed; excluded if not case report/series or robotic technique. |
| 17. Study characteristics | Present characteristics of included studies. | Table 2 and narrative description of included reports. |
| 18. Risk of bias in studies | Present bias assessments per study. | Not applicable—case reports; limitation addressed in Discussion. |
| 19. Results of individual studies | Present study-level results. | Narrative summaries of Frey et al., Day et al., Özkan et al. |
| 20. Results of syntheses | Summarize findings across studies. | All demonstrated feasibility and favorable outcomes; discussed qualitatively. |
| 21. Reporting biases | Present assessments of bias due to missing results. | No missing data detected; discussed as limitation of small sample size. |
| 22. Certainty of evidence | Present overall certainty in body of evidence. | Qualitative confidence discussed; evidence rated as limited due to case-level data. |
| 23a. Discussion—interpretation | Interpret results in context of prior evidence. | Discussion contextualizes findings across thoracic and reconstructive surgery. |
| 23b. Discussion—limitations of evidence | Discuss evidence limitations. | Small number of studies, case-level evidence; lack of comparative trials. |
| 23c. Discussion—limitations of review process | Discuss limitations of review methods. | Acknowledged limited evidence and inability to conduct meta-analysis. |
| 23d. Discussion—implications | Discuss implications for practice and research. | Proposes multicenter collaboration and registry development. |
| 24a. Registration and protocol | Provide registration info. | No review protocol registered; PRISMA compliance stated. |
| 24b. Protocol access | State whether a protocol was prepared. | Protocol not prepared; stated in Methods. |
| 24c. Protocol amendments | Describe any protocol amendments. | Not applicable; no amendments made. |
| 25. Support | Describe funding and sponsor roles. | Declarations—‘No external funding was received.’ |
| 26. Competing interests | Declare conflicts of interest. | Declarations—‘Authors declare no competing interests.’ |
| 27. Data, code, materials | Report data/code availability. | Declarations—‘Data available upon reasonable request.’ |
References
- Di Nicola, V. Omentum a powerful biological source in regenerative surgery. Regen. Ther. 2019, 11, 182–191. [Google Scholar] [CrossRef] [PubMed]
- Mazzaferro, D.; Song, P.; Massand, S.; Mirmanesh, M.; Jaiswal, R.; Pu, L.L.Q. The Omental Free Flap-A Review of Usage and Physiology. J. Reconstr. Microsurg. 2018, 34, 151–169. [Google Scholar] [CrossRef] [PubMed]
- Frey, J.D.; Yu, J.W.; Cohen, S.M.; Zhao, L.C.; Choi, M.; Levine, J.P. Robotically Assisted Omentum Flap Harvest: A Novel, Minimally Invasive Approach for Vascularized Lymph Node Transfer. Plast. Reconstr. Surg. Glob. Open 2020, 8, e2505. [Google Scholar] [CrossRef] [PubMed]
- Settembre, N.; Labrousse, M.; Magnan, P.E.; Branchereau, A.; Champsaur, P.; Bussani, R.; Braun, M.; Malikov, S. Surgical anatomy of the right gastro-omental artery: A study on 100 cadaver dissections. Surg. Radiol. Anat. 2018, 40, 415–422. [Google Scholar] [CrossRef] [PubMed]
- Spindler, N.; Etz, C.D.; Misfeld, M.; Josten, C.; Mohr, F.-W.; Langer, S. Omentum flap as a salvage procedure in deep sternal wound infection. Ther. Clin. Risk Manag. 2017, 13, 1077–1083. [Google Scholar] [CrossRef] [PubMed]
- Ylimartimo, A.T.; Nurkkala, J.; Koskela, M.; Lahtinen, S.; Kaakinen, T.; Vakkala, M.; Hietanen, S.; Liisanantti, J. Postoperative Complications and Outcome After Emergency Laparotomy: A Retrospective Study. World J. Surg. 2023, 47, 119–129. [Google Scholar] [CrossRef] [PubMed]
- Köckerling, F. Robotic vs. Standard Laparoscopic Technique—What is Better? Front. Surg. 2014, 1, 15. [Google Scholar] [CrossRef]
- Haddaway, N.R.; Page, M.J.; Pritchard, C.C.; McGuinness, L.A. PRISMA2020: An R package and Shiny app for producing PRISMA 2020-compliant flow diagrams, with interactivity for optimised digital transparency and Open Synthesis. Campbell Syst. Rev. 2022, 18, e1230. [Google Scholar] [CrossRef] [PubMed]
- Özkan, Ö.; Özkan, Ö.; Çinpolat, A.; Arıcı, C.; Bektaş, G.; Can Ubur, M. Robotic harvesting of the omental flap: A case report and mini-review of the use of robots in reconstructive surgery. J. Robot. Surg. 2019, 13, 539–543. [Google Scholar] [CrossRef] [PubMed]
- Day, S.J.; Dy, B.; Nguyen, M.-D. Robotic omental flap harvest for near-total anterior chest wall coverage: A potential application of robotic techniques in plastic and reconstructive surgery. BMJ Case Rep. 2021, 14, e237887. [Google Scholar] [CrossRef] [PubMed]
- Kiricuta, I. The use of the great omentum in the surgery of breast cancer. Presse Med. 1963, 71, 15–17. [Google Scholar]
- Gritsiuta, A.I.; Bracken, A.; Abbas, A.E.; Petrov, R.V. Complex anterior chest wall reconstruction after extensive oncologic resections: A narrative review. Shanghai Chest 2021, 5, 41. [Google Scholar] [CrossRef] [PubMed]
- Salameh, J.R.; Chock, D.A.; Gonzalez, J.J.; Koneru, S.; Glass, J.L.; Franklin, M.E. Laparoscopic Harvest of Omental Flaps for Reconstruction of Complex Mediastinal Wounds. J. Soc. Laparoendosc. Surg. 2003, 7, 317–322. [Google Scholar]
- How, C.-H.; Tsai, T.-M.; Kuo, S.-W.; Huang, P.-M.; Hsu, H.-H.; Lee, J.-M.; Chen, J.-S.; Lai, H.-S. Chemical pleurodesis for prolonged postoperative air leak in primary spontaneous pneumothorax. J. Formos. Med. Assoc. 2014, 113, 284–290. [Google Scholar] [CrossRef] [PubMed]
- Sakata, K.K.; Reisenauer, J.S.; Kern, R.M.; Mullon, J.J. Persistent air leak—Review. Respir. Med. 2018, 137, 213–218. [Google Scholar] [CrossRef] [PubMed]
- Singh, K.; Anderson, E.; Harper, J.G. Overview and Management of Sternal Wound Infection. Semin. Plast. Surg. 2011, 25, 25–33. [Google Scholar] [CrossRef] [PubMed]
- Ghazi, B.H.; Carlson, G.W.; Losken, A. Use of the Greater Omentum for Reconstruction of Infected Sternotomy Wounds: A Prognostic Indicator. Ann. Plast. Surg. 2008, 60, 169–173. [Google Scholar] [CrossRef] [PubMed]




| Patient | Age | Sex | Comorbidities | Indication | Prior Interventions | Procedure | Harvest Time (min) | EBL | LOS | Complications | Outcome |
|---|---|---|---|---|---|---|---|---|---|---|---|
| A | 45 | M | Type 1 DM, alcohol abuse, smoking history, depression | Bronchopleural fistula, chest wall defect | Thoracotomy, empyema drainage, decortication, Eloesser flap | Robotic omental flap harvest, thoracotomy, flap transposition, chest wall closure | 67 | 500 | 3.0 | None | Excellent wound healing, no recurrence |
| B | 56 | F | Idiopathic pulmonary fibrosis, psoriasis, immunosuppression | Persistent air leak, trapped lung, empyema | Robotic wedge resection, VATS decortication, endobronchial valves | Robotic omental harvest, thoracotom, serratus flap, thoracoplasty | 98 | 500 | Respiratory failure, tracheostomy, PEG | Air leak resolved, discharged to LTACH, trach-dependent | |
| C | 64 | F | COPD, CAD, tobacco abuse | Sternal dehiscence, mediastinitis, osteomyelitis | CABG, debridements, failed VRAM flap | Robotic omental harvest, mini-laparotomy, pectoralis flaps, STSG | 74 | 70 | 13.0 | Superficial wound dehiscence (skin graft), managed conservatively | 99% graft take, discharged to LTACH |
| Study | Age (y.o) | F/M | N of Patients | Pedicle/FF | Indication | Defect Size | LOS (d) | Outcomes | Complications |
|---|---|---|---|---|---|---|---|---|---|
| Day [10] | 68 | 1/0 | 1 | Pedicle | Chest wall defect after angiosarcoma resection | 15 × 35 cm | - | Healing of the graft, cancer recurrence, hospice | Sloughing skin graft |
| Frey [3] | 51.2 | 4/1 | 5 | FF | Lymphedema | NA | 5.2 | Improvement of swelling | Cellulitis (2) |
| Özkan [9] | 58 | 0/1 | 1 | FF | Osteomyelitis LE | 10 × 12 cm | 12 | Defect closure | None |
Disclaimer/Publisher’s Note: The statements, opinions and data contained in all publications are solely those of the individual author(s) and contributor(s) and not of MDPI and/or the editor(s). MDPI and/or the editor(s) disclaim responsibility for any injury to people or property resulting from any ideas, methods, instructions or products referred to in the content. |
© 2025 by the authors. Licensee MDPI, Basel, Switzerland. This article is an open access article distributed under the terms and conditions of the Creative Commons Attribution (CC BY) license (https://creativecommons.org/licenses/by/4.0/).
Share and Cite
Fortich, S.; Franco-Mesa, C.; Den, J.; De La Cruz Ku, G.; Levy, G.; Petrov, R. Robotic Omental Flap Harvest for Complex Thoracic Defects: Case Series and Review of the Literature. Med. Sci. 2025, 13, 264. https://doi.org/10.3390/medsci13040264
Fortich S, Franco-Mesa C, Den J, De La Cruz Ku G, Levy G, Petrov R. Robotic Omental Flap Harvest for Complex Thoracic Defects: Case Series and Review of the Literature. Medical Sciences. 2025; 13(4):264. https://doi.org/10.3390/medsci13040264
Chicago/Turabian StyleFortich, Susana, Camila Franco-Mesa, Jennifer Den, Gabriel De La Cruz Ku, Gal Levy, and Roman Petrov. 2025. "Robotic Omental Flap Harvest for Complex Thoracic Defects: Case Series and Review of the Literature" Medical Sciences 13, no. 4: 264. https://doi.org/10.3390/medsci13040264
APA StyleFortich, S., Franco-Mesa, C., Den, J., De La Cruz Ku, G., Levy, G., & Petrov, R. (2025). Robotic Omental Flap Harvest for Complex Thoracic Defects: Case Series and Review of the Literature. Medical Sciences, 13(4), 264. https://doi.org/10.3390/medsci13040264

