Ultrasonographic Ventral Hip Joint Approach and Relationship with Joint Laxity in Estrela Mountain Dogs
Simple Summary
Abstract
1. Introduction
2. Materials and Methods
2.1. Animals
2.2. Radiographic Hip Stress View and Hip Laxity Measurement
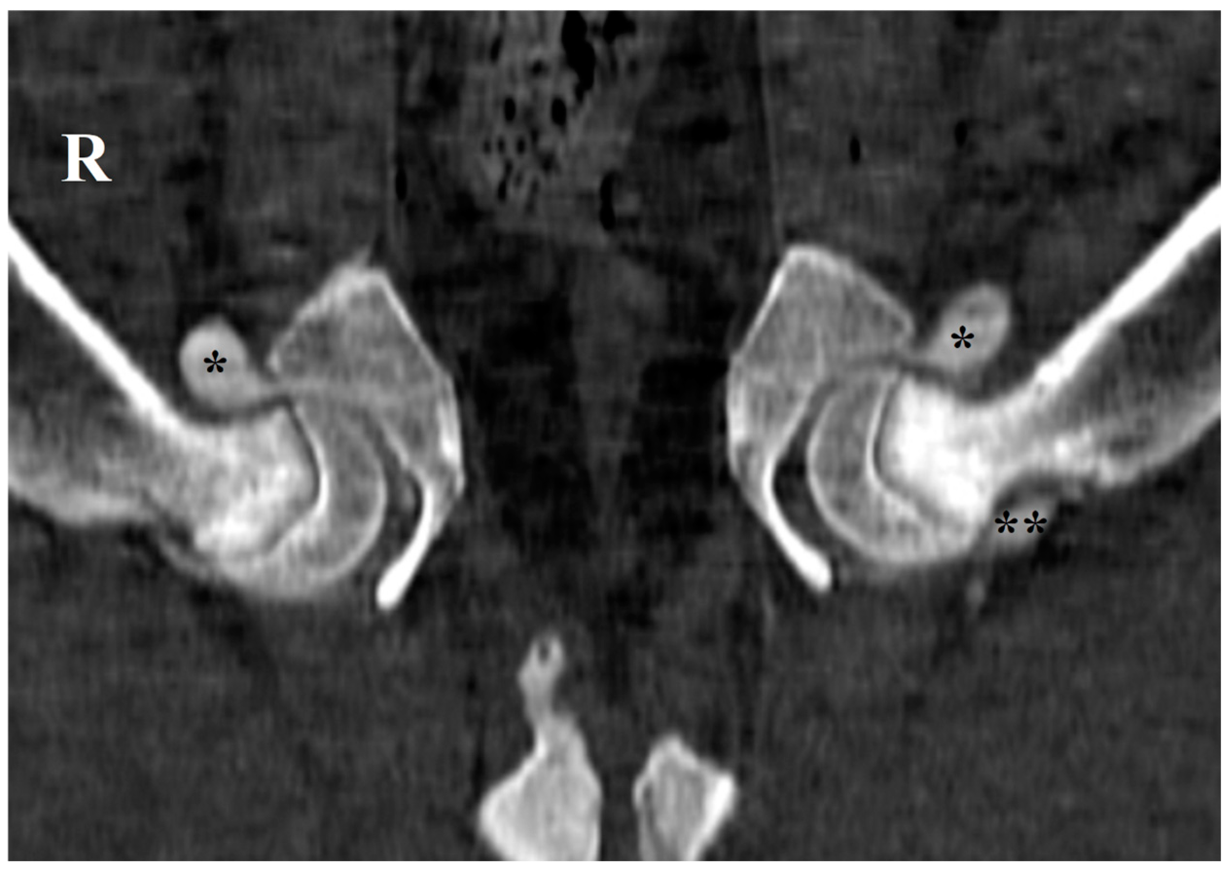
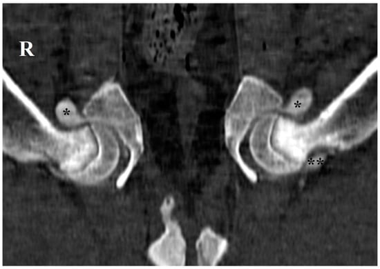
2.3. Ultrasonographic Ventral Hip Joint Approach
- -
- Longitudinal Femoral Head–Neck Plane
- -
- Transverse Femoral Head–Neck Plane
2.4. Ultrasonographic Hip Joint Measurements
2.5. Statistical Analysis
3. Results
4. Discussion
5. Conclusions
Author Contributions
Funding
Institutional Review Board Statement
Informed Consent Statement
Data Availability Statement
Conflicts of Interest
Abbreviations
| HD | Hip Dysplasia |
| CFNR | Cranial Femoral Neck Recess |
| CFT | Capsular-Synovial Fold Thickness |
| DI | Distraction Index |
| SD | Standard Deviation |
| ρ | Spearman Correlation |
References
- Weigel, J.P.; Wasserman, J.F. Biomechanics of the Normal and Abnormal Hip Joint. Vet. Clin. N. Am. Small Anim. Pract. 1992, 22, 513–528. [Google Scholar] [CrossRef]
- Tomé, I.; Alves-Pimenta, S.; Sargo, R.; Pereira, J.; Colaço, B.; Brancal, H.; Costa, L.; Ginja, M. Mechanical Osteoarthritis of the Hip in a One Medicine Concept: A Narrative Review. BMC Vet. Res. 2023, 19, 222. [Google Scholar] [CrossRef] [PubMed]
- Ginja, M.M.D.; Ferreira, A.J.; Jesus, S.S.; Melo-Pinto, P.; Bulas-Cruz, J.; Orden, M.A.; San-Roman, F.; Llorens-Pena, M.P.; Gonzalo-Orden, J.M. Comparison of Clinical, Radiographic, Computed Tomographic and Magnetic Resonance Imaging Methods for Early Prediction of Canine Hip Laxity and Dysplasia. Vet. Radiol. Ultrasound 2009, 50, 135–143. [Google Scholar] [CrossRef] [PubMed]
- Li, F.; Tang, Y.; Song, B.; Yu, M.; Li, Q.; Zhang, C.; Hou, J.; Yang, R. Nomenclature Clarification: Synovial Fibroblasts and Synovial Mesenchymal Stem Cells. Stem Cell Res. Ther. 2019, 10, 260. [Google Scholar] [CrossRef] [PubMed]
- Smith, G.K.; Biery, D.N.; Gregor, T.P. New Concepts of Coxofemoral Joint Stability and the Development of a Clinical Stress-Radiographic Method for Quantitating Hip Joint Laxity in the Dog. J. Am. Vet. Med. Assoc. 1990, 196, 59–70. [Google Scholar] [CrossRef]
- Willemsen, K.; Möring, M.M.; Harlianto, N.I.; Tryfonidou, M.A.; van der Wal, B.C.H.; Weinans, H.; Meij, B.P.; Sakkers, R.J.B. Comparing Hip Dysplasia in Dogs and Humans: A Review. Front. Vet. Sci. 2021, 8, 791434. [Google Scholar] [CrossRef]
- Roberts, T.; McGreevy, P.D. Selection for Breed-Specific Long-Bodied Phenotypes Is Associated with Increased Expression of Canine Hip Dysplasia. Vet. J. 2010, 183, 266–272. [Google Scholar] [CrossRef] [PubMed]
- Ohlerth, S.; Geiser, B.; Flückiger, M.; Geissbühler, U. Prevalence of Canine Hip Dysplasia in Switzerland Between 1995 and 2016—A Retrospective Study in 5 Common Large Breeds. Front. Vet. Sci. 2019, 6, 378. [Google Scholar] [CrossRef] [PubMed]
- Henrigson, B.; Norberg, I.; Olssons, S.-E. On the Etiology and Pathogenesis of Hip Dysplasia: A Comparative Review. J. Small Anim. Pract. 1966, 7, 673–688. [Google Scholar] [CrossRef] [PubMed]
- Lopez, M.; Schachner, E. Diagnosis, Prevention, and Management of Canine Hip Dysplasia: A Review. Vet. Med.-Res. Rep. 2015, 6, 181–192. [Google Scholar] [CrossRef]
- Riser, W. The Dysplastic Hip Joint: Radiologic and Histologic Development. Vet. Pathol. 1975, 12, 279–305. [Google Scholar]
- Ginja, M.M.D.; Silvestre, A.M.; Gonzalo-Orden, J.M.; Ferreira, A.J.A. Diagnosis, Genetic Control and Preventive Management of Canine Hip Dysplasia: A Review. Vet. J. 2010, 184, 269–276. [Google Scholar] [CrossRef] [PubMed]
- Flückiger, M. Scoring Radiographs for Canine Hip Dysplasia–The Big Three Organisations in the World. Eur. J. Companion Anim. Pract. 2007, 17, 135–140. [Google Scholar]
- Flückiger, M.A.; Friedrich, G.A.; Binder, H. A Radiographic Stress Technique for Evaluation of Coxofemoral Joint Laxity in Dogs. Vet. Surg. 1999, 28, 1–9. [Google Scholar] [CrossRef]
- Lust, G.; Beilman, W.T.; Rendano, V.T. A Relationship between Degree of Laxity and Synovial Fluid Volume in Coxofemoral Joints of Dogs Predisposed for Hip Dysplasia. Am. J. Vet. Res. 1980, 41, 55–60. [Google Scholar] [CrossRef] [PubMed]
- Farese, J.P.; Lust, G.; Williams, A.J.; Dykes, N.L.; Todhunter, R.J. Comparison of Measurements of Dorsolateral Subluxation of the Femoral Head and Maximal Passive Laxity for Evaluation of the Coxofemoral Joint in Dogs. Am. J. Vet. Res. 1999, 60, 1571–1576. [Google Scholar] [CrossRef]
- Cook, C.R. Ultrasound Imaging of the Musculoskeletal System. Vet. Clin. N. Am. Small Anim. Pract. 2016, 46, 355–371. [Google Scholar] [CrossRef] [PubMed]
- Todd-Donato, A.B.; VanDeventer, G.M.; Porter, I.R.; Krotscheck, U. Ultrasound Is an Accurate Imaging Modality for Diagnosing Hip Luxation in Dogs Presenting with Hind Limb Lameness. J. Am. Vet. Med. Assoc. 2024, 262, 1379–1387. [Google Scholar] [CrossRef] [PubMed]
- Sudula, S. Imaging the Hip Joint in Osteoarthritis: A Place for Ultrasound? Ultrasound 2016, 24, 111–118. [Google Scholar] [CrossRef] [PubMed]
- Bergamino, C.; Etienne, A.-L.; Busoni, V. Developing a Technique for Ultrasound-Guided Injection of the Adult Canine Hip. Vet. Radiol. Ultrasound 2015, 56, 456–461. [Google Scholar] [CrossRef] [PubMed]
- Greshake, R.J.; Ackerman, N. Ultrasound Evaluation of the Coxofemoral Joints of the Canine Neonate. Vet. Radiol. 1993, 34, 99–104. [Google Scholar] [CrossRef]
- Sack, D.; Canapp, D.; Canapp, S.; Majeski, S.; Curry, J.; Sutton, A.; Cullen, R. Iliopsoas Strain Demographics, Concurrent Injuries, and Grade Determined by Musculoskeletal Ultrasound in 72 Agility Dogs. Can. J. Vet. Res. 2023, 87, 196–201. [Google Scholar] [PubMed]
- Entani, M.G.; Franini, A.; Dragone, L.; Barella, G.; De Rensis, F.; Spattini, G. Efficacy of Serial Ultrasonographic Examinations in Predicting Return to Play in Agility Dogs with Shoulder Lameness. Animals 2021, 12, 78. [Google Scholar] [CrossRef]
- Kern, T.; Manfredi, J.; Tomlinson, J. Ultrasonographic Appearance of Supraspinatus and Biceps Tendinopathy Improves in Dogs Treated with Low-Intensity Extracorporeal Shock Wave Therapy: A Retrospective Study. Front. Vet. Sci. 2023, 10, 1–10. [Google Scholar] [CrossRef] [PubMed]
- Jacqmin, M.; Livet, V.; Sonet, J.; Harel, M.; Viguier, E.; Moissonnier, P.H.; Cachon, T. Use of Ultrasonography in Diagnosis of Medial Compartment Disease of the Elbow in Dogs. Vet. Comp. Orthop. Traumatol. 2023, 36, 132–138. [Google Scholar] [CrossRef] [PubMed]
- Petrie, A.; Watson, P. Statistics for Veterinary and Animal Science; Blackwell Science: Oxford, UK, 1999. [Google Scholar]
- Tomé, I.; Alves-Pimenta, S.; Costa, L.; Pereira, J.; Sargo, R.; Brancal, H.; Ginja, G.; Colaço, B. Establishment of an Ultrasound-Guided Protocol for the Assessment of Hip Joint Osteoarthritis in Rabbits—A Sonoanatomic Study. PLoS ONE 2023, 14, e0291177. [Google Scholar] [CrossRef]
- Butler, J.R.; Gambino, J. Canine Hip Dysplasia. Vet. Clin. N. Am. Small Anim. Pract. 2017, 47, 777–793. [Google Scholar] [CrossRef]




| N | Minimum | Maximum | Mean ± SD or Median (Quartile 25–75%) | |||
|---|---|---|---|---|---|---|
| Ultrasonographic Measurements | Longitudinal View | Capsular-Synovial Fold Thickness * | 44 | 1.7 mm | 6.31 mm | 3.10 (2.68–3.55) mm |
| Outer Synovial Membrane Thickness | 44 | 0.50 mm | 2.50 mm | 1.37 ± 0.42 mm | ||
| Inner Synovial Membrane Thickness * | 44 | 0.70 mm | 2.50 mm | 1.20 (1.00–1.33) mm | ||
| Transverse View | Femoral Neck Diameter * | 44 | 13.00 mm | 22.00 mm | 17.00 (15.98–18.00) mm | |
| CFNR Area * | 44 | 15.00 mm2 | 135.00 mm2 | 44.00 (27.00–52.25) mm2 | ||
| CFNR Index * | 44 | 0.88 | 6.43 | 2.42 (1.59–3.13) | ||
| Radiographic Measurements | Distraction Index * | 44 | 0.20 | 0.65 | 0.38 (0.34–0.40) | |
| Variables in the Study | Ultrasonographic Measurements | Radiographic Measurements | |||||
|---|---|---|---|---|---|---|---|
| Longitudinal Femoral Head–Neck Plane | Transverse Femoral Head–Neck Plane | ||||||
| Capsular-Synovial Fold Thickness | Outer Synovial Membrane Thickness | Internal Synovial Lining Thickness | Femoral Neck Diameter | CFNR Area | CFNR Index | Distraction Index | |
| Capsular-Synovial Fold Thickness | 0.55 * | ||||||
| Outer Synovial Membrane Thickness | 0.85 * | 0.52 * | |||||
| Inner Synovial Membrane Thickness | 0.50 * | 0.70 * | 0.30 * | ||||
| Femoral Neck Diameter | 0.00 | −0.03 | 0.14 | −0.12 | |||
| CFNR Area | 0.71 * | 0.58 * | 0.38 * | 0.09 | 0.81 * | ||
| CFNR Index | 0.66 * | 0.63 * | 0.35 * | −0.17 | 0.96 * | 0.85 * | |
| Age | 0.19 | 0.23 | 0.36 * | 0.52 * | 0.19 | 0.05 | 0.11 |
Disclaimer/Publisher’s Note: The statements, opinions and data contained in all publications are solely those of the individual author(s) and contributor(s) and not of MDPI and/or the editor(s). MDPI and/or the editor(s) disclaim responsibility for any injury to people or property resulting from any ideas, methods, instructions or products referred to in the content. |
© 2025 by the authors. Licensee MDPI, Basel, Switzerland. This article is an open access article distributed under the terms and conditions of the Creative Commons Attribution (CC BY) license (https://creativecommons.org/licenses/by/4.0/).
Share and Cite
Tomé, I.; Alves-Pimenta, S.; Colaço, B.; Ginja, M. Ultrasonographic Ventral Hip Joint Approach and Relationship with Joint Laxity in Estrela Mountain Dogs. Animals 2025, 15, 547. https://doi.org/10.3390/ani15040547
Tomé I, Alves-Pimenta S, Colaço B, Ginja M. Ultrasonographic Ventral Hip Joint Approach and Relationship with Joint Laxity in Estrela Mountain Dogs. Animals. 2025; 15(4):547. https://doi.org/10.3390/ani15040547
Chicago/Turabian StyleTomé, Inês, Sofia Alves-Pimenta, Bruno Colaço, and Mário Ginja. 2025. "Ultrasonographic Ventral Hip Joint Approach and Relationship with Joint Laxity in Estrela Mountain Dogs" Animals 15, no. 4: 547. https://doi.org/10.3390/ani15040547
APA StyleTomé, I., Alves-Pimenta, S., Colaço, B., & Ginja, M. (2025). Ultrasonographic Ventral Hip Joint Approach and Relationship with Joint Laxity in Estrela Mountain Dogs. Animals, 15(4), 547. https://doi.org/10.3390/ani15040547

