Comparison Between Strain and 2D Shear Wave Elastography of Testes in Healthy Dogs
Simple Summary
Abstract
1. Introduction
2. Materials and Methods
2.1. US Examination
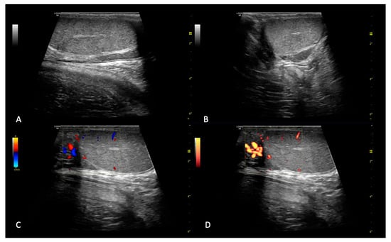
2.1.1. B-Mode and Doppler Examination
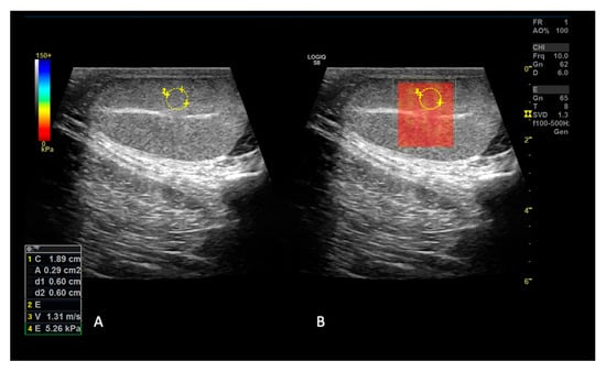
2.1.2. SE and 2D SWE Examination
2.2. Statistical Analysis
- Qualitative map score for SE;
- EI and respective SR on each testicular portion for SE;
- m/s for 2D SWE.
3. Results
3.1. Patients
3.2. Strain Elastography Evaluation
3.3. 2D Shear Wave Elastography
4. Discussion
5. Conclusions
Author Contributions
Funding
Institutional Review Board Statement
Informed Consent Statement
Data Availability Statement
Conflicts of Interest
References
- Feliciano, M.A.R.; Maronezi, M.C.; Simões, A.P.R.; Maciel, G.S.; Pavan, L.; Gasser, B.; Silva, P.; Uscategui, R.R.; Carvalho, C.F.; Canola, J.C.; et al. Acoustic radiation force impulse (ARFI) elastography of testicular disorders in dogs: Preliminary results. Arq. Bras. Med. Veterinária Zootec. 2016, 68, 283–291. [Google Scholar] [CrossRef]
- De Souza, M.B.; da Silva, L.D.M.; Moxon, R.; Russo, M.; England, G.C.W. Ultrasonography of the prostate gland and testes in dogs. Practice 2017, 39, 21–32. [Google Scholar] [CrossRef]
- Smith, J. Canine prostatic disease: A review of anatomy, pathology, diagnosis, and treatment. Theriogenology 2008, 70, 375–383. [Google Scholar] [CrossRef] [PubMed]
- Oglat, A.A.; Abukhalil, T. Ultrasound Elastography: Methods, Clinical Applications, and Limitations: A Review Article. Appl. Sci. 2024, 14, 4308. [Google Scholar] [CrossRef]
- Garra, B.S. Imaging and estimation of tissue elasticity by ultrasound. Ultrasound Q. 2007, 23, 255–268. [Google Scholar] [CrossRef]
- Washburn, N.; Onishi, K.; Wang, J.H.C. Ultrasound elastography and ultrasound tissue characterisation for tendon evaluation. J. Orthop. Transl. 2018, 15, 9–20. [Google Scholar] [CrossRef]
- Sigrist, R.M.S.; Liau, J.; Kaffas, A.E.; Chammas, M.C.; Willmann, J.K. Ultrasound Elastography: Review of Techniques and Clinical Applications. Theranostics 2017, 7, 1303–1329. [Google Scholar] [CrossRef]
- Davis, L.C.; Baumer, T.G.; Bey, M.J.; van Holsbeeck, M. Clinical utilization of shear wave elastography in the musculoskeletal system. Ultrasonography 2019, 38, 2–12. [Google Scholar] [CrossRef]
- Ozturk, A.; Grajo, J.R.; Dhyani, M.; Anthony, B.W.; Samir, A.E. Principles of Ultrasound Elastography. Abdom. Radiol. 2018, 43, 773–785. [Google Scholar] [CrossRef]
- Cintra, C.A.; Feliciano, M.A.R.; Santos, V.J.C.; Maronezi, M.C.; Cruz, I.K.; Gasser, B.; Silva, P.; Crivellenti, L.Z.; Uscategui, R.A.R. Applicability of ARFI elastography in the evaluation of canine prostatic alterations detected by b-mode and Doppler Ultrasonography. Arq. Bras. Med. Veterinária Zootec. 2020, 72, 2135–2140. [Google Scholar] [CrossRef]
- Thanaboonnipat, C.; Sutayatram, S.; Buranakarl, C.; Choisunirachon, N. Renal shear wave elastography and urinary procollagen type III amino-terminal propeptide (uPIIINP) in feline chronic kidney disease. BMC Vet. Res. 2019, 15, 54. [Google Scholar] [CrossRef] [PubMed]
- Del Signore, F.; De Dominicis, S.; Mastromatteo, G.; Simeoni, F.; Scapolo, P.A.; Tamburro, R.; Vignoli, M. Sonoelastography of Normal Canine Common Calcaneal Tendon: Preliminary Results. Vet. Comp. Orthop. Traumatol. 2021, 34, 200–205. [Google Scholar] [CrossRef] [PubMed]
- Tamura, M.; Ohta, H.; Nisa, K.; Osuga, T.; Sasaki, N.; Morishita, K.; Takiguchi, M. Evaluation of liver and spleen stiffness of healthy dogs by use of two-dimensional shear wave elastography. Am. J. Vet. Res. 2019, 80, 378–384. [Google Scholar] [CrossRef] [PubMed]
- Bragato, N.; Borges, N.C.; Fioravanti, M.C.S. B-mode and Doppler ultrasound of chronic kidney disease in dogs and cats. Vet. Res. Commun. 2017, 41, 307–315. [Google Scholar] [CrossRef]
- Brizzi, G.; Crepaldi, P.; Roccabianca, P.; Morabito, S.; Zini, E.; Auriemma, E.; Zanna, G. Strain elastography for the assessment of skin nodules in dogs. Vet. Dermatol. 2021, 32, 272-e75. [Google Scholar] [CrossRef]
- Shimizu, M.; Ito, Y. Change in Shear Elastic Modulus of Thigh Muscle by Changing Muscle Length Using Ultrasound Shear Wave Elastography in Beagle Dogs. Vet. Comp. Orthop. Traumatol. 2019, 32, 454–459. [Google Scholar] [CrossRef]
- Febo, E.; Del Signore, F.; Bernabo, N.; Paolini, A.; Simeoni, F.; De Bonis, A.; Rosto, M.; Canal, S.; Vignoli, M. Ultrasonography and Sonoelastography Characteristics of Benign vs. Malignant Mesenteric Lymph Nodes in Cats: An Update. Animals 2023, 13, 2664. [Google Scholar] [CrossRef]
- Zappone, V.; Iannelli, N.M.; Sinagra, L.; Donato, G.; Quartuccio, M.; Cristarella, S.; De Majo, M.; Caspanello, T. Assessment of testicular stiffness in fertile dogs with shear wave elastography techniques: A pilot study. Front. Vet. Sci. 2024, 11, 1397347. [Google Scholar] [CrossRef]
- Gloria, A.; Bracco, C.; Di Francesco, L.; Marruchella, G.; Contri, A. Stiffness estimated by strain elastography reflects canine testicular spermatogenesis and histology. Theriogenology 2023, 209, 1–8. [Google Scholar] [CrossRef]
- Salama, N.; Samir, M.; Blgozah, S. Evaluation of Normal and Varicocele-Bearing Testes Using Real-time Strain Elastography. J. Ultrasound Med. 2019, 38, 621–627. [Google Scholar] [CrossRef]
- Trottmann, M.; Marcon, J.; D’Anastasi, M.; Bruce, M.F.; Stief, C.G.; Reiser, M.F.; Buchner, A.; Clevert, D. Shear-wave elastography of the testis in the healthy man—Determination of standard values. Clin. Hemorheol. Microcirc. 2016, 62, 273–281. [Google Scholar] [CrossRef] [PubMed]
- Koo, T.K.; Li, M.Y. A Guideline of Selecting and Reporting Intraclass Correlation Coefficients for Reliability Research. J. Chiropr. Med. 2016, 15, 155–163. [Google Scholar] [CrossRef] [PubMed]
- Zeng, B.; Chen, F.; Qiu, S.; Luo, Y.; Zhu, Z.; Chen, R.; Mao, L. Application of Quasistatic Ultrasound Elastography for Examination of Scrotal Lesions. J. Ultrasound Med. 2016, 35, 253–261. [Google Scholar] [CrossRef] [PubMed]
- Pedersen, M.R.; Møller, H.; Osther, P.J.S.; Vedsted, P.; Holst, R.; Rafaelsen, S.R. Comparison of Tissue Stiffness Using Shear Wave Elastography in Men with Normal Testicular Tissue, Testicular Microlithiasis and Testicular Cancer. Ultrasound Int. Open 2017, 3, E150–E155. [Google Scholar] [CrossRef]
- Dietrich, C.F.; Barr, R.G.; Farrokh, A.; Dighe, M.; Hocke, M.; Jenssen, C.; Dong, Y.; Saftoiu, A.; Havre, R.F. Strain Elastography—How To Do It? Ultrasound Int. Open 2017, 3, E137–E149. [Google Scholar] [CrossRef]
- Carr, J.C.; Hanly, S.; Griffin, J.; Gibney, R. Sonography of the patellar tendon and adjacent structures in pediatric and adult patients. Am. J. Roentgenol. 2001, 176, 1535–1539. [Google Scholar] [CrossRef]
- Dickson, D.M.; Fawole, H.O.; Newcombe, L.; Smith, S.L.; Hendry, G.J. Reliability of ultrasound strain elastography in the assessment of the quadriceps and patellar tendon in healthy adults. Ultrasound J. Br. Med. Ultrasound Soc. 2019, 27, 252–261. [Google Scholar] [CrossRef]
- Schneebeli, A.; Fiorina, I.; Bortolotto, C.; Barbero, M.; Falla, D.; Cescon, C.; Raciti, M.V.; Tarantino, F.; Preda, L. Shear wave and strain sonoelastography for the evaluation of the Achilles tendon during isometric contractions. Insights Imaging 2021, 12, 26. [Google Scholar] [CrossRef]




| Qualitative Evaluation | Right Testes | Left Testes | p-Value | ||
|---|---|---|---|---|---|
| Freq. | Percent | Freq. | Percent | ||
| 1 | 0/15 | 0% | 0/15 | 0% | 0.622 |
| 2 | 0/15 | 0% | 0/15 | 0% | |
| 3 | 12/15 | 78.6% | 13/15 | 85.7% | |
| 4 | 3/15 | 21.4% | 2/15 | 14.3% | |
| 5 | 0/15 | 0% | 0/15 | 0% | |
| EI | Left Testes | p-Value | ||||
|---|---|---|---|---|---|---|
| Mean | Stand. Error | Standard Dev. | 95% IC | |||
| 1_cr | 1.35 | 0.23 | 0.87 | 0.85 | 1.85 | 0.01 |
| 2_cr | 2.34 | 0.27 | 1.03 | 1.75 | 2.94 | |
| 1_md | 1.39 | 0.19 | 0.73 | 0.97 | 1.82 | 0.004 |
| 2_md | 2.51 | 0.32 | 1.21 | 1.81 | 3.21 | |
| 1_cd | 2.24 | 0.32 | 1.22 | 1.53 | 2.95 | 0.62 |
| 2_cd | 2.45 | 0.33 | 1.26 | 1.72 | 3.18 | |
| EI | Right Testes | p-Value | ||||
| Mean | Stand. Error | Standard Dev. | 95% IC | |||
| 1_cr | 1.45 | 0.25 | 0.94 | 0.911 | 2.00 | 0.01 |
| 2_cr | 2.4 | 0.23 | 0.86 | 1.89 | 2.90 | |
| 1_md | 1.83 | 0.31 | 1.18 | 1.14 | 2.51 | 0.62 |
| 2_md | 2.03 | 0.31 | 1.18 | 1.34 | 2.71 | |
| 1_cd | 2.07 | 0.36 | 1.37 | 1.27 | 2.86 | 0.28 |
| 2_cd | 2.20 | 0.30 | 1.13 | 1.54 | 2.86 | |
| EI | Left Testes | p-Value | ||||
|---|---|---|---|---|---|---|
| Mean | Stand. Error | Standard Dev. | 95% IC | |||
| cr | 1.84 | 0.23 | 0.86 | 1.34 | 2.34 | 0.977 |
| md | 1.95 | 0.22 | 0.83 | 1.47 | 2.44 | |
| cd | 2.34 | 0.29 | 1.11 | 1.70 | 2.99 | |
| EI | Right testes | p-Value | ||||
| Mean | Stand. Error | Standard Dev. | 95% IC | |||
| cr | 1.92 | 0.20 | 0.77 | 1.48 | 2.37 | 0.16 |
| md | 1.93 | 0.29 | 1.10 | 1.29 | 2.56 | |
| cd | 2.13 | 0.31 | 1.17 | 1.45 | 2.81 | |
| SR | Left Testes | p-Value | ||||
|---|---|---|---|---|---|---|
| Mean | Stand. Error | Standard Dev. | 95% IC | |||
| 1_cr | 0.35 | 0.05 | 0.20 | 0.23 | 0.47 | 0.009 |
| 2_cr | 0.65 | 0.07 | 0.29 | 0.48 | 0.82 | |
| 1_md | 0.31 | 0.03 | 0.13 | 0.23 | 0.38 | 0.004 |
| 2_md | 0.55 | 0.07 | 0.26 | 0.40 | 0.71 | |
| 1_cd | 0.53 | 0.07 | 0.28 | 0.37 | 0.70 | 0.57 |
| 2_cd | 0.59 | 0.07 | 0.29 | 0.42 | 0.76 | |
| SR | Right testes | p-Value | ||||
| Mean | Stand. Error | Standard Dev. | 95% IC | |||
| 1_cr | 0.34 | 0.05 | 0.19 | 0.22 | 0.45 | 0.02 |
| 2_cr | 0.56 | 0.05 | 0.21 | 0.44 | 0.68 | |
| 1_md | 0.35 | 0.05 | 0.20 | 0.23 | 0.48 | 0.50 |
| 2_md | 0.41 | 0.06 | 0.24 | 0.27 | 0.55 | |
| 1_cd | 0.45 | 0.07 | 0.26 | 0.30 | 0.61 | 0.61 |
| 2_cd | 0.49 | 0.07 | 0.27 | 0.33 | 0.65 | |
| SR | Left Testes | p-Value | ||||
|---|---|---|---|---|---|---|
| Mean | Stand. Error | Standard Dev | 95% IC | |||
| cr | 0.50 | 0.05 | 0.21 | 0.37 | 0.63 | 0.85 |
| md | 0.43 | 0.04 | 0.16 | 0.33 | 0.52 | |
| cd | 0.56 | 0.07 | 0.26 | 0.41 | 0.721 | |
| SR | Right testes | |||||
| cr | 0.45 | 0.04 | 0.16 | 0.35 | 0.54 | 0.104 |
| md | 0.38 | 0.05 | 0.21 | 0.26 | 0.51 | |
| cd | 0.47 | 0.06 | 1.11 | 0.33 | 0.62 | |
| m/s | Left Testes | p-Value | ||||
|---|---|---|---|---|---|---|
| Mean | Stand. Error | Standard Dev. | 95% IC | |||
| 1_cr | 1.40 | 0.03 | 0.14 | 1.31 | 1.48 | 0.10 |
| 2_cr | 1.31 | 0.04 | 0.15 | 1.22 | 1.40 | |
| 1_md | 1.35 | 0.02 | 0.10 | 1.29 | 1.41 | 0.03 |
| 2_md | 1.25 | 0.03 | 0.12 | 1.18 | 1.32 | |
| 1_cd | 1.47 | 0.05 | 0.19 | 1.35 | 1.58 | 0.16 |
| 2_cd | 1.36 | 0.04 | 0.18 | 1.26 | 1.47 | |
| Right testes | p-Value | |||||
| Mean | Stand. Error | Standard Dev. | 95% IC | |||
| 1_cr | 1.42 | 0.05 | 0.20 | 1.30 | 1.53 | 0.29 |
| 2_cr | 1.35 | 0.05 | 0.19 | 1.23 | 1.46 | |
| 1_md | 1.40 | 0.04 | 0.17 | 1.30 | 1.50 | 0.02 |
| 2_md | 1.27 | 0.03 | 0.13 | 1.19 | 1.35 | |
| 1_cd | 1.47 | 0.04 | 0.16 | 1.38 | 1.57 | 0.09 |
| 2_cd | 1.37 | 0.03 | 0.14 | 1.29 | 1.45 | |
| m/s | Left Testes | p-Value | ||||
|---|---|---|---|---|---|---|
| Mean | Stand. Error | Standard Dev. | 95% IC | |||
| cr | 1.35 | 0.03 | 0.13 | 1.28 | 1.43 | 0.11 |
| md | 1.30 | 0.02 | 0.10 | 1.24 | 1.36 | |
| cd | 1.42 | 0.04 | 0.18 | 1.31 | 1.52 | |
| m/s | Right testes | p-Value | ||||
| Mean | Stand. Error | Standard Dev. | 95% IC | |||
| cr | 1.38 | 0.04 | 0.18 | 1.28 | 1.49 | 0.65 |
| md | 1.33 | 0.03 | 0.14 | 1.25 | 1.42 | |
| cd | 1.42 | 0.04 | 0.15 | 1.33 | 1.51 | |
Disclaimer/Publisher’s Note: The statements, opinions and data contained in all publications are solely those of the individual author(s) and contributor(s) and not of MDPI and/or the editor(s). MDPI and/or the editor(s) disclaim responsibility for any injury to people or property resulting from any ideas, methods, instructions or products referred to in the content. |
© 2025 by the authors. Licensee MDPI, Basel, Switzerland. This article is an open access article distributed under the terms and conditions of the Creative Commons Attribution (CC BY) license (https://creativecommons.org/licenses/by/4.0/).
Share and Cite
Del Signore, F.; Bucci, R.; Vignoli, M.; Russo, M.; Smoglica, C.; De Bonis, A.; Rubini, A.; Rosto, M.; Carluccio, A.; Robbe, D.; et al. Comparison Between Strain and 2D Shear Wave Elastography of Testes in Healthy Dogs. Animals 2025, 15, 498. https://doi.org/10.3390/ani15040498
Del Signore F, Bucci R, Vignoli M, Russo M, Smoglica C, De Bonis A, Rubini A, Rosto M, Carluccio A, Robbe D, et al. Comparison Between Strain and 2D Shear Wave Elastography of Testes in Healthy Dogs. Animals. 2025; 15(4):498. https://doi.org/10.3390/ani15040498
Chicago/Turabian StyleDel Signore, Francesca, Roberta Bucci, Massimo Vignoli, Marco Russo, Camilla Smoglica, Andrea De Bonis, Andrea Rubini, Martina Rosto, Augusto Carluccio, Domenico Robbe, and et al. 2025. "Comparison Between Strain and 2D Shear Wave Elastography of Testes in Healthy Dogs" Animals 15, no. 4: 498. https://doi.org/10.3390/ani15040498
APA StyleDel Signore, F., Bucci, R., Vignoli, M., Russo, M., Smoglica, C., De Bonis, A., Rubini, A., Rosto, M., Carluccio, A., Robbe, D., & Parrillo, S. (2025). Comparison Between Strain and 2D Shear Wave Elastography of Testes in Healthy Dogs. Animals, 15(4), 498. https://doi.org/10.3390/ani15040498

