Canine Multicentric Lymphoma: Diagnostic, Treatment, and Prognostic Insights
Simple Summary
Abstract
1. Introduction
2. Clinical Signs
3. Diagnosis
3.1. Clinical Pathology
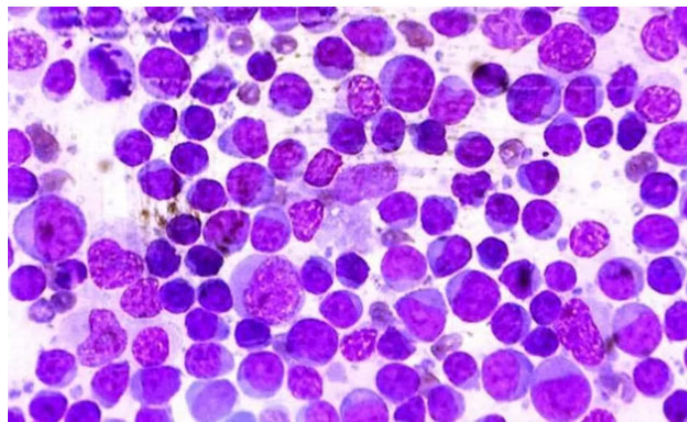
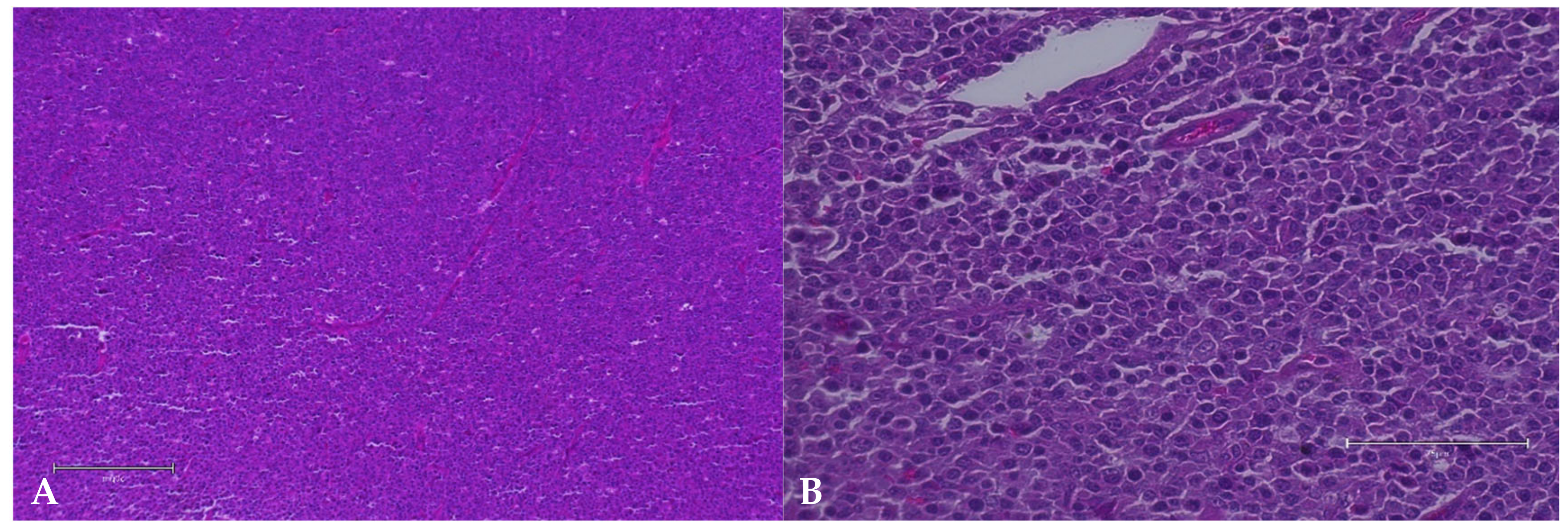
3.2. Microscopy (Cytology, Histopathology Classification and Grading)
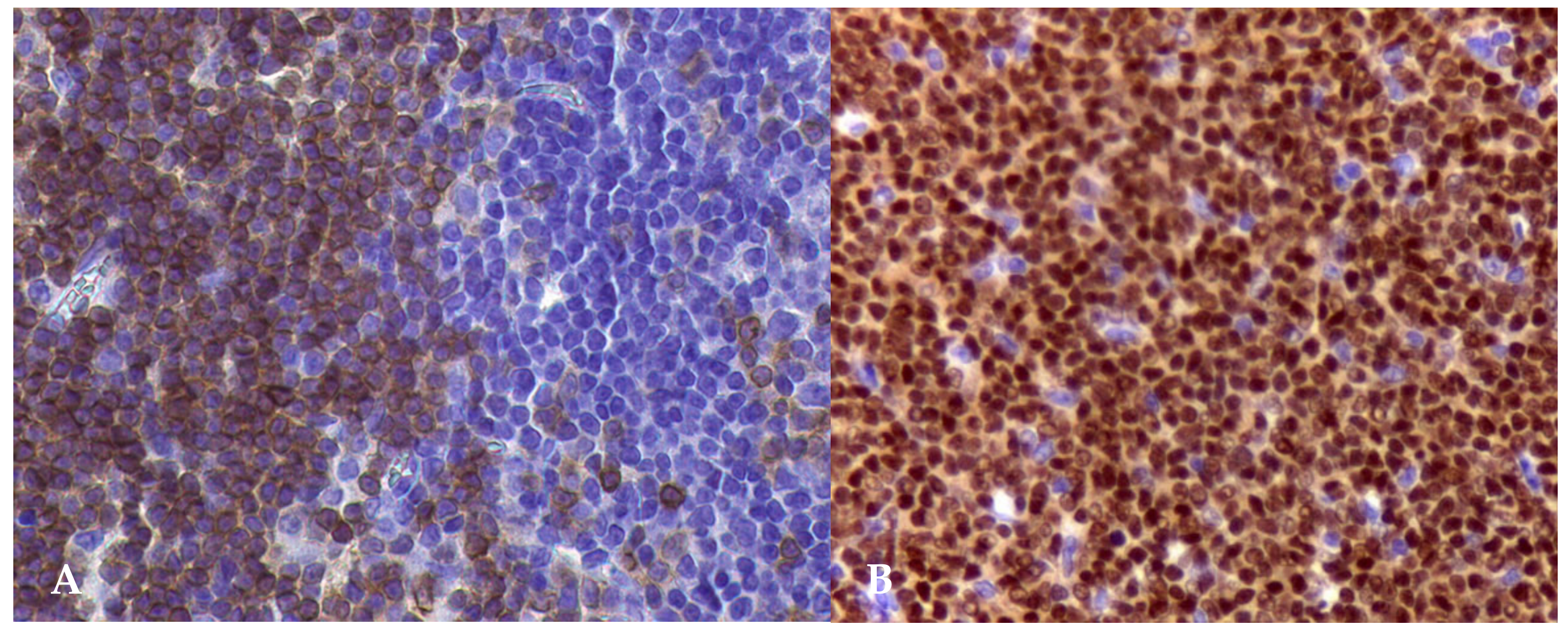
3.3. Immunohistochemistry
3.4. Polymerase Chain Reaction (PCR)
3.5. Clinical Staging
3.6. Diagnostic Imaging
4. Therapy
4.1. Chemotherapy
4.1.1. First-Line Protocols
4.1.2. Rescue Protocols
4.1.3. T-Cell Lymphoma Treatment
4.1.4. Drug Resistance
4.2. Radiotherapy
4.3. Immunotherapy
4.3.1. Monoclonal Antibodies
4.3.2. Adoptive T-Cell Transfer
4.3.3. Oncolytic Virotherapy
4.3.4. Immunomodulators
4.3.5. Vaccines
4.3.6. Immune Checkpoint Blockage
5. Prognosis
6. Conclusions
Author Contributions
Funding
Institutional Review Board Statement
Informed Consent Statement
Data Availability Statement
Conflicts of Interest
References
- Vail, D.M.; Pinkerton, M.E.; Young, K.M. Hematopoietic Tumors—SECTION A Canine Lymphoma and Lymphoid Leukemias. In Withrow & MacEwen’s Small Animal Clinical Oncology; Withrow, S.J., Vail, D.M., Page, R.L., Eds.; Elsevier Saunders: Philadelphia, PA, USA, 2013; pp. 608–678. [Google Scholar]
- Vail, D.M. Tumours of the haemopoietic system. In BSAVA Manual of Canine and Feline Oncology; Dobson, J.M., Lascelles, B.D.X., Eds.; British Small Animal Veterinary Association: Gloucester, UK, 2011; pp. 285–303. [Google Scholar]
- O’Connor, C.M.; Wilson-Robles, H. Developing T cell cancer immunotherapy in the dog with lymphoma. ILAR J. 2014, 55, 169–181. [Google Scholar] [CrossRef] [PubMed]
- Yau, P.; Dhand, N.K.; Thomson, P.C.; Taylor, R.M. Retrospective study on the occurrence of canine lymphoma and associated breed risks in a population of dogs in NSW (2001–2009). Aust. Vet. J. 2017, 95, 149–155. [Google Scholar] [CrossRef] [PubMed]
- Pittaway, C.; Schofield, I.; Dobson, J.; O’Neill, D.G.; Brodbelt, D.C. Incidence and risk factors for the diagnosis of lymphoma in dogs in UK primary-care practice. J. Small Anim. Pract. 2019, 60, 581–588. [Google Scholar] [CrossRef]
- Valli, V.E.; Myint, M.S.; Barthel, A.; Bienzle, D.; Caswell, J.; Colbatzky, F.; Durham, A.; Ehrhart, E.J.; Johnson, Y.; Jones, C.; et al. Classification of canine malignant lymphomas according to the World Health Organization criteria. Vet. Pathol. 2011, 48, 198–211. [Google Scholar] [CrossRef] [PubMed]
- Wolfesberger, B.; Burger, S.; Kummer, S.; Walter, I.; Tichy, A.; Klinger, S.; Alton, K.; Burgener, I.A.; Liehmann, L.; Hammer, S.E.; et al. Proliferation Activity in Canine Gastrointestinal Lymphoma. J. Comp. Pathol. 2021, 189, 77–87. [Google Scholar] [CrossRef]
- Vezzali, E.; Parodi, A.L.; Marcato, P.S.; Bettini, G. Histopathologic classification of 171 cases of canine and feline non-Hodgkin lymphoma according to the WHO. Vet. Comp. Oncol. 2010, 8, 38–49. [Google Scholar] [CrossRef]
- Teske, E. Canine malignant lymphoma: A review and comparison with human non-Hodgkin’s lymphoma. Vet. Q. 1994, 16, 209–219. [Google Scholar] [CrossRef]
- Villamil, J.A.; Henry, C.J.; Hahn, A.W.; Bryan, J.N.; Tyler, J.W.; Caldwell, C.W. Hormonal and sex impact on the epidemiology of canine lymphoma. J. Cancer Epidemiol. 2009, 2009, 591753. [Google Scholar] [CrossRef]
- Skinner, S.M.; Specht, A.J.; Cicchirillo, V.; Fox-Alvarez, S.; Harris, A.N. Association of proteinuria at time of diagnosis with survival times in dogs with lymphoma. J. Vet. Intern. Med. 2024, 38, 2633–2641. [Google Scholar] [CrossRef]
- Marconato, L.; Stefanello, D.; Valenti, P.; Bonfanti, U.; Comazzi, S.; Roccabianca, P.; Caniatti, M.; Romanelli, G.; Massari, F.; Zini, E. Predictors of long-term survival in dogs with high-grade multicentric lymphoma. J. Am. Vet. Med. Assoc. 2011, 238, 480–485. [Google Scholar] [CrossRef]
- Parachini-Winter, C.; Carioto, L.M.; Gara-Boivin, C. Retrospective evaluation of anemia and erythrocyte morphological anomalies in dogs with lymphoma or inflammatory bowel disease. J. Am. Vet. Med. Assoc. 2019, 254, 487–495. [Google Scholar] [CrossRef] [PubMed]
- Rebhun, R.B.; Kent, M.S.; Borrofka, S.A.; Frazier, S.; Skorupski, K.; Rodriguez, C.O. CHOP chemotherapy for the treatment of canine multicentric T-cell lymphoma. Vet. Comp. Oncol. 2011, 9, 38–44. [Google Scholar] [CrossRef] [PubMed]
- Purzycka, K.; Peters, L.M.; Desmas, I.; Davies, O.; Chang, Y.-M.; Lara-Garcia, A. Clinicopathological characteristics and prognostic factors for canine multicentric non-indolent T-cell lymphoma: 107 cases. Vet. Comp. Oncol. 2020, 18, 656–663. [Google Scholar] [CrossRef] [PubMed]
- Zandvliet, M. Canine lymphoma: A review. Vet. Q. 2016, 36, 76–104. [Google Scholar] [CrossRef] [PubMed]
- Teske, E.; van Heerde, P. Diagnostic value and reproducibility of fine-needle aspiration cytology in canine malignant lymphoma. Vet. Q. 1996, 18, 112–115. [Google Scholar] [CrossRef]
- Sözmen, M.; Tasca, S.; Carli, E.; Lorenzi, D.D.; Furlanello, T.; Caldin, M. Use of fine needle aspirates and flow cytometry for the diagnosis, classification, and immunophenotyping of canine lymphomas. J. Vet. Diagn. Investig. 2005, 17, 323–329. [Google Scholar] [CrossRef]
- Ho, C.; Rodig, S.J. Immunohistochemical markers in lymphoid malignancies: Protein correlates of molecular alterations. Semin. Diagn. Pathol. 2015, 32, 381–391. [Google Scholar] [CrossRef]
- Zanelli, M.; Fragliasso, V.; Parente, P.; Bisagni, A.; Sanguedolce, F.; Zizzo, M.; Broggi, G.; Ricci, S.; Palicelli, A.; Foroni, M.; et al. Programmed Death Ligand 1 (PD-L1) Expression in Lymphomas: State of the Art. Int. J. Mol. Sci. 2024, 25, 6447. [Google Scholar] [CrossRef]
- Ariyarathna, H.; Thomson, N.A.; Aberdein, D.; Perrott, M.R.; Munday, J.S. Increased programmed death ligand (PD-L1) and cytotoxic T-lymphocyte antigen-4 (CTLA-4) expression is associated with metastasis and poor prognosis in malignant canine mammary gland tumours. Vet. Immunol. Immunopathol. 2020, 230, 110142. [Google Scholar] [CrossRef]
- Panjwani, P.K.; Charu, V.; DeLisser, M.; Molina-Kirsch, H.; Natkunam, Y.; Zhao, S. Programmed death-1 ligands PD-L1 and PD-L2 show distinctive and restricted patterns of expression in lymphoma subtypes. Hum. Pathol. 2018, 71, 91–99. [Google Scholar] [CrossRef]
- Ubiali, A.; Cesar Conti, L.; Dall’Ara, P.; De Maria, R.; Aresu, L.; Moretti, P.; Sini, F.; Riondato, F.; Stefanello, D.; Comazzi, S.; et al. Exploring the dynamics of Programmed Death-Ligand 1 in canine lymphoma: Unraveling mRNA amount, surface membrane expression and plasmatic levels. Front. Vet. Sci. 2024, 11, 1412227. [Google Scholar] [CrossRef] [PubMed]
- Mortarino, M.; Gioia, G.; Gelain, M.E.; Albonico, F.; Roccabianca, P.; Ferri, E.; Comazzi, S. Identification of suitable endogenous controls and differentially expressed microRNAs in canine fresh-frozen and FFPE lymphoma samples. Leuk. Res. 2010, 34, 1070–1077. [Google Scholar] [CrossRef] [PubMed]
- Fujiwara-Igarashi, A.; Igarashi, H.; Mizutani, N.; Goto-Koshino, Y.; Takahashi, M.; Ohno, K.; Tsujimoto, H. Expression profile of circulating serum microRNAs in dogs with lymphoma. Vet. J. 2015, 205, 317–321. [Google Scholar] [CrossRef] [PubMed]
- Craig, K.K.L.; Wood, G.A.; Keller, S.M.; Mutsaers, A.J.; Wood, R.D. MicroRNA profiling in canine multicentric lymphoma. PLoS ONE 2019, 14, e0226357. [Google Scholar] [CrossRef] [PubMed]
- Sears-Sein, K.; Lymphoma, C.M. Canine Multicentric Lymphoma: An Overview; Today’s Veterinary Technician; University of California: Los Angeles, CA, USA, 2017; pp. 49–55. [Google Scholar]
- Cheson, B.D. PET/CT in Lymphoma: Current Overview and Future Directions. Semin. Nucl. Med. 2018, 48, 76–81. [Google Scholar] [CrossRef]
- Sutthigran, S.; Saisawart, P.; Soeratanapant, S.; Teewasutrakul, P.; Sirivisoot, S.; Thanaboonnipat, C.; Rungsipipat, A.; Choisunirachon, N. Post-Chemotherapy Canine Lymphomatous Lymph Node Observations on B-Mode and Strain Elastographic Ultrasound. Vet. Sci. 2024, 11, 352. [Google Scholar] [CrossRef]
- Cheson, B.D.; Pfistner, B.; Juweid, M.E.; Gascoyne, R.D.; Specht, L.; Horning, S.J.; Coiffier, B.; Fisher, R.I.; Hagenbeek, A.; Zucca, E.; et al. Revised response criteria for malignant lymphoma. J. Clin. Oncol. 2007, 25, 579–586. [Google Scholar] [CrossRef]
- LeBlanc, A.K.; Jakoby, B.W.; Townsend, D.W.; Daniel, G.B. 18FDG-PET imaging in canine lymphoma and cutaneous mast cell tumor. Vet. Radiol. Ultrasound 2009, 50, 215–223. [Google Scholar] [CrossRef]
- Ballegeer, E.A.; Hollinger, C.; Kunst, C.M. Imaging diagnosis-multicentric lymphoma of granular lymphocytes imaged with FDG PET/CT in a dog. Vet. Radiol. Ultrasound 2013, 54, 75–80. [Google Scholar] [CrossRef]
- Juweid, M.E. FDG-PET/CT in lymphoma. Methods Mol. Biol. 2011, 727, 1–19. [Google Scholar]
- Lawrence, J.; Vanderhoek, M.; Barbee, D.; Jeraj, R.; Tumas, D.B.; Vail, D.M. Use of 3′-deoxy-3′-[18F]fluorothymidine PET/CT for evaluating response to cytotoxic chemotherapy in dogs with non-Hodgkin’s lymphoma. Vet. Radiol. Ultrasound 2009, 50, 660–668. [Google Scholar] [CrossRef] [PubMed]
- Higginbotham, M.L.; McCaw, D.L.; Roush, J.K.; Nietfeld, J.C.; Wilkerson, M.J.; Reeds, K.; Burr, D. Intermittent single-agent doxorubicin for the treatment of canine B-cell lymphoma. J. Am. Anim. Hosp. Assoc. 2013, 49, 357–362. [Google Scholar] [CrossRef] [PubMed]
- Hawkes, C.; Morris, J.; Bavcar, S.; Wilkie, C.; Ray, S.; Auquier, C.; Benjamin, S.; Masso, J.B.; Bottin, S.; Davies, O.; et al. Comparison of CHOP-19 and CHOP-25 for treatment of peripheral nodal B-cell lymphoma in dogs: A European multicenter retrospective cohort study. J. Vet. Intern. Med. 2024, 38, 3193–3205. [Google Scholar] [CrossRef] [PubMed]
- De Clercq, E. Tanovea® for the treatment of lymphoma in dogs. Biochem. Pharmacol. 2018, 154, 265–269. [Google Scholar] [CrossRef]
- Saba, C.F.; Fan, T.M.; Phillips, B.S.; Wright, Z.M.; Thamm, D.H. Alternating rabacfosadine and doxorubicin for treatment of naïve canine lymphoma. Vet. Comp. Oncol. 2024, 22, 278–283. [Google Scholar] [CrossRef]
- Morgan, E.; O’Connell, K.; Thomson, M.; Griffin, A. Canine T cell lymphoma treated with lomustine, vincristine, procarbazine, and prednisolone chemotherapy in 35 dogs. Vet. Comp. Oncol. 2018, 16, 622–629. [Google Scholar] [CrossRef]
- Simon, D.; Moreno, S.N.; Hirschberger, J.; Moritz, A.; Kohn, B.; Neumann, S.; Jurina, K.; Scharvogel, S.; Schwedes, C.; Reinacher, M.; et al. Efficacy of a continuous, multiagent chemotherapeutic protocol versus a short-term single-agent protocol in dogs with lymphoma. J. Am. Vet. Med. Assoc. 2008, 232, 879–885. [Google Scholar] [CrossRef]
- Mutsaers, A.J.; Glickman, N.W.; DeNicola, D.B.; Widmer, W.R.; Bonney, P.L.; Hahn, K.A.; Knapp, D.W. Evaluation of treatment with doxorubicin and piroxicam or doxorubicin alone for multicentric lymphoma in dog. J. Am. Vet. Med. Assoc. 2002, 220, 1813–1817. [Google Scholar] [CrossRef]
- Lori, J.C.; Stein, T.J.; Thamm, D.H. Doxorubicin and cyclophosphamide for the treatment of canine lymphoma: A randomized, placebo-controlled study. Vet. Comp. Oncol. 2010, 8, 188–195. [Google Scholar] [CrossRef]
- MacEwen, E.G.; Rosenthal, R.; Matus, R.; Viau, A.T.; Abuchowski, A. A Preliminary Study on the Evaluation of Asparaginase. Polyethylene Glycol Conjugate Against Canine Malignant Lymphoma. Cancer 1987, 59, 2011–2015. [Google Scholar]
- Teske, E.; Rutteman, G.R.; Heerde, P.V.; Misdorp, W. Polyethylene Glycol-L-asparaginase versus Native L-asparaginase in Canine Non-Hodgkin’s Lymphoma. Eur. J. Cancer 1990, 26, 891–895. [Google Scholar] [CrossRef] [PubMed]
- Lucroy, M.D.; Phillips, B.S.; Kraegel, S.A.; Simonson, E.R.; Madewell, B.R. Evaluation of Single-Agent Mitoxantrone as Chemotherapy for Relapsing Canine Lymphoma. J. Vet. Intern. Med. 1998, 12, 325–329. [Google Scholar] [CrossRef] [PubMed]
- Sauerbrey, M.L.; Mullins, M.N.; Bannink, E.O.; Dorp, T.E.R.V.; Kaneene, J.B.; Obradovich, J.E. Lomustine and prednisone as a first-line treatment for dogs with multicentric lymphoma: 17 cases (2004–2005). J. Am. Vet. Med. Assoc. 2007, 230, 1866–1869. [Google Scholar] [CrossRef] [PubMed]
- Siewert, J.M.; Gustafson, D.L.; Weishaar, K.M.; Galloway, A.M.; Thamm, D.H. Individualized chemotherapy drug dose escalation in dogs with multicentric lymphoma. J. Vet. Intern. Med. 2023, 37, 2402–2409. [Google Scholar] [CrossRef]
- Catalucci, C.; Bianchi, M.L.; Treggiari, E.; Pieri, M.; Ruess, K.; Valenti, P. Use of Lomustine and Prednisolone as First-Line Treatment in Canine Multicentric Lymphoma. Vet. Comp. Oncol. 2024, 22, 422–428. [Google Scholar] [CrossRef]
- Yamazaki, H.; Bunbai, K.; Deguchi, T.; Tamura, M.; Ohota, H. Comparison of chemotherapy outcomes between normal and high serum cortisol concentration in dogs with lymphoma. J. Vet. Intern. Med. 2024, 38, 1651–1658. [Google Scholar] [CrossRef]
- Brown, P.; Tzannes, S.; Nguyen, S.; White, J.; Langova, V. LOPP chemotherapy as a first-line treatment for dogs with T-cell lymphoma. Vet. Comp. Oncol. 2018, 16, 108–113. [Google Scholar] [CrossRef]
- Brodsky, E.M.; Maudlin, G.N.; Lachowicz, J.L.; Post, G.S. Asparaginase and MOPP Treatment of Dogs with Lymphoma. J. Vet. Intern. Med. 2009, 23, 578–584. [Google Scholar] [CrossRef]
- Elliott, J.; Baines, S. A Retrospective Study of Multi-agent Chemotherapy including either Cyclophosphamide or Lomustine as Initial Therapy for Canine High-grade T-cell Lymphoma (2011–2017). Aust. Vet. J. 2019, 97, 308–315. [Google Scholar] [CrossRef]
- Zandvliet, M.; Teske, E.; Schrickx, J.A.; Mol, J.A. A longitudinal study of ABC transporter expression in canine multicentric lymphoma. Vet. J. 2015, 205, 263–271. [Google Scholar] [CrossRef]
- Zandvliet, M.; Teske, E.; Chapuis, T.; Fink-Gremmels, J.; Schrickx, J.A. Masitinib reverses doxorubicin resistance in canine lymphoid cells by inhibiting the function of P-glycoprotein. J. Vet. Pharmacol. Ther. 2013, 36, 583–587. [Google Scholar] [CrossRef] [PubMed]
- Gustafson, N.R.; Lana, S.E.; Mayer, M.N.; LaRue, S.M. A preliminary assessment of whole-body radiotherapy interposed within a chemotherapy protocol for canine lymphoma. Vet. Comp. Oncol. 2004, 2, 125–131. [Google Scholar] [CrossRef] [PubMed]
- Williams, L.E.; Johnson, J.L.; Hauck, M.L.; Ruslander, D.M.; Price, G.S.; Thrall, D.E. Chemotherapy Followed by Half-Body Radiation Therapy for Canine Lymphoma. J. Vet. Intern. Med. 2004, 18, 703–709. [Google Scholar] [PubMed]
- Lurie, D.M.; Gordon, I.K.; Théon, A.P.; Rodriguez, C.O.; Suter, S.E.; Kent, M.S. Sequential Low-Dose Rate Half-Body Irradiation and Chemotherapy for the Treatment of Canine Multicentric Lymphoma. J. Vet. Intern. Med. 2009, 23, 1064–1070. [Google Scholar] [CrossRef]
- Maus, M.V.; Grupp, S.A.; Porter, D.L.; June, C.H. Antibody-modified T cells: CARs take the front seat for hematologic malignancies. Blood 2014, 123, 2625–2635. [Google Scholar] [CrossRef]
- Makkouk, A.; Weiner, G.J. Cancer immunotherapy and breaking immune tolerance: New approaches to an old challenge. Cancer Res. 2015, 75, 5–10. [Google Scholar] [CrossRef]
- Impellizeri, J.A.; Howell, K.; McKeever, K.P.; Crow, S.E. The role of rituximab in the treatment of canine lymphoma: An ex vivo evaluation. Vet. J. 2006, 171, 556–558. [Google Scholar] [CrossRef]
- Dias, J.N.R.; Andre, A.S.; Aguiar, S.I.; Gil, S.; Tavares, L.; Aires-da-Silva, F. Immunotherapeutic Strategies for Canine Lymphoma: Changing the Odds Against Non-Hodgkin Lymphoma. Front. Vet. Sci. 2021, 8, 621758. [Google Scholar] [CrossRef]
- Rosenberg, S.A.; Restifo, N.P. Adoptive cell transfer as personalized immunotherapy for human cancer. Science 2015, 348, 62–68. [Google Scholar] [CrossRef]
- O’Connor, C.M.; Sheppard, S.; Hartline, C.A.; Huls, H.; Johnson, M.; Palla, S.L.; Maiti, S.; Ma, W.; Davis, R.E.; Craig, S.; et al. Adoptive T-cell therapy improves treatment of canine non-Hodgkin lymphoma post chemotherapy. Sci. Rep. 2012, 2, 249. [Google Scholar] [CrossRef]
- Anderson, K.L.; Modiano, J.F. Progress in Adaptive Immunotherapy for Cancer in Companion Animals: Success on the Path to a Cure. Vet. Sci. 2015, 2, 363–387. [Google Scholar] [CrossRef] [PubMed]
- Suter, S.E.; Chein, M.B.; Messling, V.V.; Yip, B.; Cattaneo, R.; Vernau, W.; Madewell, B.R.; London, C.A. In vitro Canine Distemper Virus Infection of Canine Lymphoid Cells: A Prelude to Oncolytic Therapy for Lymphoma. Clin. Cancer Res. 2005, 11, 1579–1587. [Google Scholar] [CrossRef] [PubMed]
- Sanchez, D.; Pelayo, R.; Medina, L.A.; Vadillo, E.; Sanchez, R.; Nunez, L.; Cesarman-Maus, G.; Sarmiento-Silva, R.E. Newcastle Disease Virus: Potential Therapeutic Application for Human and Canine Lymphoma. Viruses 2015, 8, 3. [Google Scholar] [CrossRef] [PubMed]
- Hwang, C.C.; Umeki, S.; Igase, M.; Coffey, M.; Noguchi, S.; Okuda, M.; Mizuno, T. The effects of oncolytic reovirus in canine lymphoma cell lines. Vet. Comp. Oncol. 2016, 14 (Suppl. 1), 61–73. [Google Scholar] [CrossRef]
- Henson, M.S.; Curtsinger, J.M.; Larson, V.S.; Klausner, J.S.; Modiano, J.F.; Mescher, M.F.; Miller, J.S. Immunotherapy with autologous tumour antigen-coated microbeads (large multivalent immunogen), IL-2 and GM-CSF in dogs with spontaneous B-cell lymphoma. Vet. Comp. Oncol. 2011, 9, 95–105. [Google Scholar] [CrossRef]
- Crow, S.E.; Theilen, G.H.; Benjamini, E.; Torten, M.; Henness, A.M.; Buhle, W.C. Chemoimmunotherapy for canine lymphosarcoma. Cancer 1977, 40, 2102–2108. [Google Scholar] [CrossRef]
- Weller, R.E.; Theilen, G.H.; Madewell, B.R.; Crow, S.E.; Benjamini, E.; Villalobos, A. Chemoimmunotherapy for canine lymphosarcoma: A prospective evaluation of specific and nonspecific immunomodulation. Am. J. Vet. Res. 1980, 41, 516–521. [Google Scholar]
- Jeglum, K.A.; Young, K.M.; Barnsley, K.; Whereat, A.; McGrath, D.; Hutson, C. Intralymphatic autochthonous tumor cell vaccine in canine lymphoma. J. Biol. Response Mod. 1986, 5, 168–175. [Google Scholar]
- Jeglum, K.A.; Young, K.M.; Barnsley, K.; Whereat, A. Chemotherapy versus chemotherapy with intralymphatic tumor cell vaccine in canine lymphoma. Cancer 1988, 61, 2042–2050. [Google Scholar] [CrossRef]
- Jeglum, K.A.; Winters, W.D.; Young, K.M. In vitro immune monitoring of antibody response in dogs given chemoimmunotherapy for lymphoma. Am. J. Vet. Res. 1989, 50, 488–492. [Google Scholar]
- Sorenmo, K.U.; Krick, E.; Coughlin, C.M.; Overley, B.; Gregor, T.P.; Vonderheide, R.H.; Mason, N.J. CD40-activated B cell cancer vaccine improves second clinical remission and survival in privately owned dogs with non-Hodgkin’s lymphoma. PLoS ONE 2011, 6, e24167. [Google Scholar] [CrossRef] [PubMed]
- Peruzzi, D.; Gavazza, A.; Mesiti, G.; Lubas, G.; Scarselli, E.; Conforti, A.; Bendtsen, C.; Ciliberto, G.; La Monica, N.; Aurisicchio, L. A vaccine targeting telomerase enhances survival of dogs affected by B-cell lymphoma. Mol. Ther. 2010, 18, 1559–1567. [Google Scholar] [CrossRef] [PubMed]
- Gavazza, A.; Lubas, G.; Fridman, A.; Peruzzi, D.; Impellizeri, J.A.; Luberto, L.; Marra, E.; Roscilli, G.; Ciliberto, G.; Aurisicchio, L. Safety and efficacy of a genetic vaccine targeting telomerase plus chemotherapy for the therapy of canine B-cell lymphoma. Hum. Gene Ther. 2013, 24, 728–738. [Google Scholar] [CrossRef] [PubMed]
- Impellizeri, J.A.; Gavazza, A.; Greissworth, E.; Crispo, A.; Montella, M.; Ciliberto, G.; Lubas, G.; Aurisicchio, L. Tel-eVax: A genetic vaccine targeting telomerase for treatment of canine lymphoma. J. Transl. Med. 2018, 16, 349. [Google Scholar] [CrossRef]
- Marconato, L.; Frayssinet, P.; Rouquet, N.; Comazzi, S.; Leone, V.F.; Laganga, P.; Rossi, F.; Vignoli, M.; Pezzoli, L.; Aresu, L. Randomized, placebo-controlled, double-blinded chemoimmunotherapy clinical trial in a pet dog model of diffuse large B-cell lymphoma. Clin. Cancer Res. 2014, 20, 668–677. [Google Scholar] [CrossRef]
- Marconato, L.; Stefanello, D.; Sabattini, S.; Comazzi, S.; Riondato, F.; Laganga, P.; Frayssinet, P.; Pizzoni, S.; Rouquet, N.; Aresu, L. Enhanced therapeutic effect of APAVAC immunotherapy in combination with dose-intense chemotherapy in dogs with advanced indolent B-cell lymphoma. Vaccine 2015, 33, 5080–5086. [Google Scholar] [CrossRef]
- Marconato, L.; Aresu, L.; Stefanello, D.; Comazzi, S.; Martini, V.; Ferrari, R.; Riondato, F.; Rouquet, N.; Frayssinet, P.; Sabattini, S. Opportunities and challenges of active immunotherapy in dogs with B-cell lymphoma: A 5-year experience in two veterinary oncology centers. J. Immunother. Cancer 2019, 7, 146. [Google Scholar] [CrossRef]
- Darvin, P.; Toor, S.M.; Nair, V.S.; Elkord, E. Immune checkpoint inhibitors: Recent progress and potential biomarkers. Exp. Mol. Med. 2018, 50, 1–11. [Google Scholar] [CrossRef]
- Jenkins, R.W.; Barbie, D.A.; Flaherty, K.T. Mechanisms of resistance to immune checkpoint inhibitors. Br. J. Cancer 2018, 118, 9–16. [Google Scholar] [CrossRef]
- Hartley, G.; Elmslie, R.; Dow, S.; Guth, A. Checkpoint molecule expression by B and T cell lymphomas in dogs. Vet. Comp. Oncol. 2018, 16, 352–360. [Google Scholar] [CrossRef]
- Tagawa, M.; Kurashima, C.; Takagi, S.; Maekawa, N.; Konnai, S.; Shimbo, G.; Matsumoto, K.; Inokuma, H.; Kawamoto, K.; Miyahara, K. Evaluation of costimulatory molecules in dogs with B cell high grade lymphoma. PLoS ONE 2018, 13, e0201222. [Google Scholar] [CrossRef] [PubMed]
- Weiskopf, K.; Anderson, K.L.; Ito, D.; Schnorr, P.J.; Tomiyasu, H.; Ring, A.M.; Bloink, K.; Efe, J.; Rue, S.; Lowery, D.; et al. Eradication of Canine Diffuse Large B-Cell Lymphoma in a Murine Xenograft Model with CD47 Blockade and Anti-CD20. Cancer Immunol. Res. 2016, 4, 1072–1087. [Google Scholar] [CrossRef] [PubMed]
- Sadowski, A.R.; Gardner, H.L.; Borgatti, A.; Wilson, H.; Vail, D.M.; Lachowicz, J.; Manley, C.; Turner, A.; Klein, M.K.; Waite, A.; et al. Phase II study of the oral selective inhibitor of nuclear export (SINE) KPT-335 (verdinexor) in dogs with lymphoma. BMC Vet. Res. 2018, 14, 250. [Google Scholar] [CrossRef] [PubMed]
- Ponce, F.; Magnol, J.P.; Ledieu, D.; Marchal, T.; Turinelli, V.; Chalvet-Monfray, K.; Fournel-Fleury, C. Prognostic significance of morphological subtypes in canine malignant lymphomas during chemotherapy. Vet. J. 2004, 167, 158–166. [Google Scholar] [CrossRef]
- Greenlee, P.G.; Filippa, D.A.; Quimby, F.W.; Patnaik, A.K.; Calvano, S.E.; Matus, R.E.; Kimmel, M.; Hurvitz, A.I.; Lieberman, P.H. Lymphomas in Dogs A Morphologic, Immunologic, and Clinical Study. Cancer 1990, 66, 480–490. [Google Scholar] [CrossRef]
- Valli, V.E.; Kass, P.H.; Myint, M.S.; Scott, F. Canine lymphomas: Association of classification type, disease stage, tumor subtype, mitotic rate, and treatment with survival. Vet. Pathol. 2013, 50, 738–748. [Google Scholar] [CrossRef]
- Avery, P.R.; Burton, J.; Bromberek, J.L.; Seelig, D.M.; Elmslie, R.; Correa, S.; Ehrhart, E.J.; Morley, P.S.; Avery, A.C. Flow Cytometric Characterization and Clinical Outcome of CD4+ T-Cell Lymphoma in Dogs: 67 Cases. J. Vet. Intern. Med. 2014, 28, 538–546. [Google Scholar] [CrossRef]
- Poggi, A.; Miniscalco, B.; Morello, E.; Gattino, F.; Delaude, A.; Poschetto, L.F.; Aresu, L.; Gelain, M.E.; Martini, V.; Comazzi, S.; et al. Prognostic significance of Ki67 evaluated by flow cytometry in dogs with high-grade B-cell lymphoma. Vet. Comp. Oncol. 2017, 15, 431–440. [Google Scholar] [CrossRef]
- Sierra Matiz, O.R.; Santilli, J.; Anai, L.A.; Da Silva, M.C.L.; Sueiro, F.A.; Sequeira, J.L.; Magalhaes, L.F.; Magalhaes, G.M.; Costa, M.T.; Calazans, S.G. Prognostic significance of Ki67 and its correlation with mitotic index in dogs with diffuse large B-cell lymphoma treated with 19-week CHOP-based protocol. J. Vet. Diagn. Investig. 2018, 30, 263–267. [Google Scholar] [CrossRef]
- Frantz, A.M.; Sarver, A.L.; Ito, D.; Phang, T.L.; Karimpour-Fard, A.; Scott, M.C.; Valli, V.E.; Lindblad-Toh, K.; Burgess, K.E.; Husbands, B.D.; et al. Molecular profiling reveals prognostically significant subtypes of canine lymphoma. Vet. Pathol. 2013, 50, 693–703. [Google Scholar] [CrossRef]
- von Euler, H.; Einarsson, R.; Olsson, U.; Lagerstedt, A.S.; Eriksson, S. Serum Thymidine Kinase Activity in Dogs with Malignant Lymphoma: A Potent Marker for Prognosis and Monitoring the Disease. J. Vet. Intern. Med. 2008, 18, 696–702. [Google Scholar] [CrossRef]
- Saellström, S.; Sharif, H.; Jagarlamudi, K.K.; Rönnberg, H.; Wang, L.; Eriksson, S. Serum TK1 protein and C-reactive protein correlate to treatment response and predict survival in dogs with hematologic malignancies. Res. Vet. Sci. 2022, 145, 213–221. [Google Scholar] [CrossRef] [PubMed]
- Perry, J.A.; Thamm, D.H.; Eickhoff, J.; Avery, A.C.; Dow, S.W. Increased monocyte chemotactic protein-1 concentration and monocyte count independently associate with a poor prognosis in dogs with lymphoma. Vet. Comp. Oncol. 2011, 9, 55–64. [Google Scholar] [CrossRef] [PubMed]
- Wilson-Robles, H.M.; Bygott, T.; Kelly, T.K.; Miller, T.M.; Miller, P.; Matsushita, M.; Terrell, J.; Bougoussa, M.; Butera, T. Evaluation of plasma nucleosome concentrations in dogs with a variety of common cancers and in healthy dogs. BMC Vet. Res. 2022, 18, 329. [Google Scholar] [CrossRef]
- Kim, J.; Bae, H.; Ahn, S.; Shin, S.; Cho, A.; Cho, K.W.; Jung, D.I.; Yu, D. Cell-Free DNA as a Diagnostic and Prognostic Biomarker in Dogs With Tumors. Front. Vet. Sci. 2021, 8, 735682. [Google Scholar] [CrossRef]
- Dolan, C.; Miller, T.; Jill, J.; Terrell, J.; Kelly, T.K.; Bygott, T.; Wilson-Robles, H. Characterizing circulating nucleosomes in the plasma of dogs with lymphoma. BMC Vet. Res. 2021, 17, 276. [Google Scholar] [CrossRef]
- Wilson-Robles, H.; Warry, E.; Miller, T.; Jarvis, J.; Matsushita, M.; Miller, P.; Herzog, M.; Turatsinze, J.V.; Kelly, T.K.; Butera, S.T.; et al. Monitoring plasma nucleosome concentrations to measure disease response and progression in dogs with hematopoietic malignancies. PLoS ONE 2023, 18, e0281796. [Google Scholar] [CrossRef]
- Childress, M.O.; Ramos-Vara, J.A.; Ruple, A. Retrospective analysis of factors affecting clinical outcome following CHOP-based chemotherapy in dogs with primary nodal diffuse large B-cell lymphoma. Vet. Comp. Oncol. 2018, 16, E159–E168. [Google Scholar] [CrossRef]
- Henriques, J.; Felisberto, R.; Constantino-Casas, F.; Cabeçadas, J.; Dobson, J. Peripheral blood cell ratios as prognostic factors in canine diffuse large B-cell lymphoma treated with CHOP protocol. Vet. Comp. Oncol. 2021, 19, 242–252. [Google Scholar] [CrossRef]
- Fanelli, A.; Licenziato, L.; Mazzone, E.; Divari, S.; Rinaldi, A.; Marino, M.; Maga, I.; Bertoni, F.; Marconato, L.; Aresu, L. The K9 lymphoma assay allows a genetic subgrouping of canine lymphomas with improved risk classification. Sci. Rep. 2024, 14, 18687. [Google Scholar] [CrossRef]
- Tadmor, T.; Bari, A.; Sacchi, S.; Marcheselli, L.; Liardo, E.V.; Avivi, I.; Benyamini, N.; Attias, D.; Pozzi, S.; Cox, M.C.; et al. Monocyte count at diagnosis is a prognostic parameter in diffuse large B-cell lymphoma: Results from a large multicenter study involving 1191 patients in the pre- and post-rituximab era. Haematologica 2014, 99, 125–130. [Google Scholar] [CrossRef] [PubMed]
- Xia, W.K.; Lin, Q.F.; Shen, D.; Liu, Z.L.; Su, J.; Mao, W.D. Prognostic significance of lymphocyte-to-monocyte ratio in diffuse large B-cell lymphoma: A systematic review and meta-analysis. FEBS Open Bio 2016, 6, 558–565. [Google Scholar] [CrossRef] [PubMed][Green Version]
- Mu, S.; Ai, L.; Fan, F.; Qin, Y.; Sun, C.; Hu, Y. Prognostic role of neutrophil-to-lymphocyte ratio in diffuse large B cell lymphoma patients: An updated dose-response meta-analysis. Cancer Cell Int. 2018, 18, 119. [Google Scholar] [CrossRef] [PubMed]
- Chen, Y.; Zhang, Z.; Fang, Q.; Jian, H. Prognostic impact of platelet-to-lymphocyte ratio on diffuse large B-cell lymphoma: A meta-analysis. Cancer Cell Int. 2019, 19, 245. [Google Scholar] [CrossRef] [PubMed]
- Davies, O.; Szladovits, B.; Polton, G.; Garden, O.A.; Leo, C.; Lara-Garcia, A. Prognostic significance of clinical presentation, induction and rescue treatment in 42 cases of canine centroblastic diffuse large B-cell multicentric lymphoma in the United Kingdom. Vet. Comp. Oncol. 2018, 16, 276–287. [Google Scholar] [CrossRef]
- Marconato, L.; Martini, V.; Stefanello, D.; Moretti, P.; Ferrari, R.; Comazzi, S.; Laganga, P.; Riondato, F.; Aresu, L. Peripheral blood lymphocyte/monocyte ratio as a useful prognostic factor in dogs with diffuse large B-cell lymphoma receiving chemoimmunotherapy. Vet. J. 2015, 206, 226–230. [Google Scholar] [CrossRef]









| Cell Type | WHO Classification | Working Formulation | Kiel Classification | |
|---|---|---|---|---|
| B | Precursor Mature | B-ALL/B-LBL | ALL, LBL | Lb |
| B-CLL/B-SLL | B-CLL, B-SLL | Lc | ||
| LLI | - | - | ||
| LPL | SLLP | PI | ||
| Follicular | MCL | DSCCL | Cc | |
| FCCL-I | FSCCL | Cc | ||
| FCCL-II | FMCL | Cc-Cb | ||
| FCCL-III | FLCL | Cb | ||
| NMZ | CLL, FSCCL, DSCCL, DMCL | Lc, Cc, Cb | ||
| SMZ | ||||
| MALT-L | ||||
| Plasmocytic | PCT Indolent | Extramedullary plasmacytoma | Extramedullary plasmacytoma | |
| PCT Anaplastic Myeloma | Multiple Myeloma | Multiple Myeloma | ||
| B-LCL | DLBCL, DLBCCL | DMCL, DLCL, DLCCL | Cc, Cb | |
| LCIBL | LCIBL | Ib | ||
| T-cell rich B-LCL | DMCL, DLCL | Cb | ||
| Thymic B-LCL | DMCL, DLCL | Cb | ||
| Burkitt-type, Burkitt-like | SNCCL | - | - | |
| T | Precursor | T-ALL/T-LBL | ALL, LBL | Lb |
| Mature | T-CLL/T-SLL | CLL, SLL | Lc | |
| LGL | - | - | ||
| NK-CLL | - | - | ||
| Cutaneous | CEL | MF/SS or DLCL, DMCL, DSCCL | MF/SS | |
| CNEL | MF/SS-like or DLCL, DMCL, DSCCL | MF/SS-like | ||
| PTCL | - | DSCCL, DMCL, DLCL, DLCCL | - | |
| ATL | ACL | DLCCL, DMCL, DLCL, DLCCL | - | |
| AIL | - | - | ||
| ITCL | - | DSCCL, DMCL, DLCL, DLCCL, LCIBL | - | |
| ALCL | - | LCIBL | - | |
| Anatomic Site | |
|---|---|
| A | Generalized |
| B | Alimentary |
| C | Thymic |
| D | Skin |
| E | Leukemia * |
| F | Others (including solitary renal) |
| Stage (to Include Anatomic Site) | |
| I | Involvement limited to a single node or lymphoid tissue in a single organ ** |
| II | Involvement of many lymph nodes in a regional area (±tonsils) |
| III | Generalized lymph node involvement |
| IV | Liver and/or spleen involvement (±stage III) |
| V | Manifestation in the blood and involvement of bone marrow and/or other organ systems (±stage I–IV) |
| Each Stage Is Subclassified into | |
| A | Without systemic signs |
| B | With systemic signs |
| Chemotherapy Protocol | Survival (Days) | Response Time (Days) | Drugs |
|---|---|---|---|
| CHOP+L-asparginase | 397 | 282 | Vincristine: 0.5–0.7 mg/m2 Cyclophosphamide: 250–300 mg/m2 Doxorubicin: 25–30 mg/m2 Prednisolone: 2–0.5 mg/kg L-asparginase |
| CHOP 19 weeks in LDGCB CHOP 19 weeks in PNBCL | 325 | 233 | Vincristine: 0.5–0.7 mg/m2 Cyclophosphamide: 250–300 mg/m2 Doxorubicin: 25–30 mg/m2 Prednisolone: 2–0.5 mg/kg |
| 302 | 196 | ||
| CHOP 15 weeks | 311 | 178 | |
| CHOP 25 weeks in PNBCL | 321 | 209 | |
| Doxorubicin | 169 | 147 | 25–30 mg/m2 |
| CHOP with substitution of cyclophosphamide for lomustine (T and B lymphomas) | 291 median 357 B-cell lymphoma 210 T-cell lymphoma | 242 | Vincristine: 0.5–0.7 mg/m2 Lomustine: 40–60 mg/m2 Doxorubicin: 25–30 mg/m2 Prednisolone: 2–0.5 mg/kg |
| Procarbazine, Prednisolone and oral Cyclophosphamide | 286 | 197 | |
| LOPP | 328 | 168 | Vincristine: 0.5 mg/m2 Lomustine: 60 mg/m2 Procarbazine: 50 mg/m2 Prednisolone: 1 mg/kg |
| LOPP in T-cell lymphoma | 507 | 431 | Vincristine: 0.7 mg/m2 Lomustine: 60 mg/m2 Procarbazine: 50 mg/m2 Prednisolone: 30 mg/m2 |
| MOPP | 270 | 189 | Mecloretamine: 3 mg/m2 Vincristine: 0.7 mg/m2 Prednisone: 30–40 mg/m2 Procarbazine: 20–50 mg/dog |
| D-MAC | 169 | 61 | Actinomycin D: 0.75 mg/m2 Cytosine arabinoside: 200–300 mg/m2 Dexamethasone: 0.23 mg/kg Melphalan: 20 mg/m2 Melphalan is replaced with chlorambucil after 4 to 6 cycles at 20 mg/m2 |
| Tanovea® and doxorubicin | - | 194 | Rabacfosadine: 1 mg/kg at weeks 0, 6, 12 Doxorubicin: 30 mg/m2 at weeks 3, 9, 15 |
| - | 199 | Rabacfosadine: 1.0 mg/kg alternated Doxorubicin: 30 mg/m2, every 21 days, six total treatments (3 cycles) | |
| Tanovea® | - | 203 | Rabacfosadine: 0.82 mg/kg or 1.0 mg/kg, 30 min, every 21 days, 5 treatments |
| Cycle | Weeks | Drug | Dose and Frequency |
|---|---|---|---|
| 1 | 1 | L-Asparaginase | 400 U/kg SQ |
| CCNU | 70 mg/m2 PO | ||
| Prednisone | 2 mg/kg PO, once daily | ||
| 2 | 1.5 mg/kg PO, once daily | ||
| 3 | 1.0 mg/kg PO, once daily | ||
| 2 | 1 | L-asparaginase | 400 U/kg SQ |
| CCNU | 70 mg/m2 PO | ||
| Prednisone | 1.0 mg/kg PO, EOD | ||
| 2 | |||
| 3 | |||
| 3–5 | 1 | CCNU | 70 mg/m2 PO |
| Prednisone | 1.0 mg/kg PO, EOD | ||
| 2 | |||
| 3 |
| Prognostic Factors | Key Insights | Clinical Relevance/Outcome | References |
|---|---|---|---|
| Immunophenotype | B-cell lymphomas have longer remission and survival times than T-cell lymphomas | T-cell lymphomas show shorter remission and survival times compared to B-cell lymphomas | [1,87,88,89] |
| CD3+ tumors and B-cell lymphomas with low B5 antigen levels are associated with shorter remission and survival times | Low B5 antigen levels and CD3 positivity predict poor prognosis | ||
| WHO Substage | Substage b disease have worse outcomes than those with substage a Stages I and II show more favorable outcomes than later stages | Lower substages and earlier disease stages (I and II) are associated with better survival. | [1] |
| Histologic Grade | Intermediate/high-grade lymphomas respond well to chemotherapy but have a high relapse rate Low-grade lymphomas respond poorly but show longer survival | High-grade lymphomas often relapse early Low-grade lymphomas have longer overall survival | [1] |
| T-cell Subtypes | Most T-cell lymphomas are aggressive, CD4+/CD45+ high-grade types with low class II MHC expression | High-grade T-cell lymphomas predict poor prognosis | [90] |
| A minority of T-cell lymphomas are CD4+/CD45− and show high class II MHC with indolent disease progression | CD4+/CD45− T-cell lymphomas indicate a more favorable, slower-progressing disease course | ||
| Proliferation Assays | BrdU uptake, Ki67 reactivity, and AgNOR indices are used to assess tumor cell proliferation | Higher Ki67 levels predict shorter survival Ki67-low is a positive prognostic marker | [1,91,92] |
| Molecular Subtypes | CL subtypes include high-grade T-cell lymphomas (LBT, PTCL), low-grade T-cell lymphomas (TZL), and B-cell lymphomas (DLBCL, BL, MZL) | TZLs progress slowly and may respond to low-intensity therapy High-grade T-cell lymphomas are aggressive with poor response | [93] |
| Biomarkers | TK1, MCP-1, VEGF, MMP, and endostatin have been evaluated in CL Only TK1 showed significant prognostic value Elevated TK1 concentration correlates with cancer presence and shorter survival; combination with CRP enhances predictive power | MCP-1 associated with decreased disease-free interval Elevated serum TK1 is a prognostic marker for disease progression and relapse prediction TK1 + CRP panel could effectively monitor disease and therapeutic response | [14,94,95,96] |
| Genetic Assay (K9 assay) | TRAF3 mutations are common in B-cell lymphomas, associated with poorer prognosis SETD2 mutation correlates with quicker recurrence SATB1 and FBXW7 mutations in T-cell lymphomas associated with worse prognosis | Specific gene mutations (e.g., TRAF3, SETD2) help predict disease aggressiveness and survival times | [97] |
| cfDNA | Increased cfDNA levels in cancer patients and correlation with lymph node diameter in multicentric lymphoma | Elevated cfDNA could indicate presence of cancer, predict shorter survival, and reflect response to chemotherapy | [98] |
| Nucleosome Concentration | Increased in dogs with lymphoma, particularly in B-cell lymphomas and in advanced stages | Elevated nucleosome levels may distinguish between healthy and cancerous states in dogs | [99,100] |
| Decrease in remission and rise upon relapse, correlating with disease progression | Reliable biomarker for monitoring disease progression and treatment efficacy | ||
| White blood cell indicators | Increased neutrophil and monocyte counts are related to poorer prognosis in CML treated with CHOP | Elevated neutrophil and monocyte counts predict shorter survival and earlier disease progression | [96,101,102] |
| NLR, LMR, and PLR are predictors of time to progression, progression-free survival, and lymphoma-specific survival in canine DLBCL | NLR and LMR correlate with treatment response and survival rates | ||
| PNR was identified as an independent marker of early lymphoma progression in canine DLBCL treated with CHOP | PNR predicts early progression and time to progression |
Disclaimer/Publisher’s Note: The statements, opinions and data contained in all publications are solely those of the individual author(s) and contributor(s) and not of MDPI and/or the editor(s). MDPI and/or the editor(s) disclaim responsibility for any injury to people or property resulting from any ideas, methods, instructions or products referred to in the content. |
© 2025 by the authors. Licensee MDPI, Basel, Switzerland. This article is an open access article distributed under the terms and conditions of the Creative Commons Attribution (CC BY) license (https://creativecommons.org/licenses/by/4.0/).
Share and Cite
Rocha, M.d.C.P.; Araújo, D.; Carvalho, F.; Vale, N.; Pazzini, J.M.; Feliciano, M.A.R.; De Nardi, A.B.; Amorim, I. Canine Multicentric Lymphoma: Diagnostic, Treatment, and Prognostic Insights. Animals 2025, 15, 391. https://doi.org/10.3390/ani15030391
Rocha MdCP, Araújo D, Carvalho F, Vale N, Pazzini JM, Feliciano MAR, De Nardi AB, Amorim I. Canine Multicentric Lymphoma: Diagnostic, Treatment, and Prognostic Insights. Animals. 2025; 15(3):391. https://doi.org/10.3390/ani15030391
Chicago/Turabian StyleRocha, Michelle do Carmo Pereira, Diana Araújo, Fátima Carvalho, Nuno Vale, Josiane Morais Pazzini, Marcus Antônio Rossi Feliciano, Andrigo Barboza De Nardi, and Irina Amorim. 2025. "Canine Multicentric Lymphoma: Diagnostic, Treatment, and Prognostic Insights" Animals 15, no. 3: 391. https://doi.org/10.3390/ani15030391
APA StyleRocha, M. d. C. P., Araújo, D., Carvalho, F., Vale, N., Pazzini, J. M., Feliciano, M. A. R., De Nardi, A. B., & Amorim, I. (2025). Canine Multicentric Lymphoma: Diagnostic, Treatment, and Prognostic Insights. Animals, 15(3), 391. https://doi.org/10.3390/ani15030391

