Metabolic and Intestinal Morphometric Responses of Nile Tilapia Fed Diets Containing Soybean and Protease
Simple Summary
Abstract
1. Introduction
2. Materials and Methods
2.1. Experimental Diets
2.2. Experimental Conditions and Fish-Feeding Management
2.3. Sample Collection and Analysis
2.3.1. Intestinal Morphometry
2.3.2. Morphometric Indices
2.3.3. Biochemical Tissue Analysis
2.3.4. Plasma Biochemical Analysis
2.3.5. Erythrocyte Parameters
2.4. Statistical Analysis
3. Results
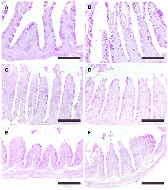
3.1. Intestinal Morphometry
3.2. Morphometric Indices
3.3. Biochemical Tissue Analysis
3.4. Plasma Biochemical Analysis
3.5. Erythrocyte Parameters
4. Discussion
4.1. Intestinal Morphometry
4.2. Morphometric Indices
4.3. Biochemical Parameters in Tissues
4.4. Plasma Biochemical Parameters
4.5. Erythrocyte Parameters
5. Conclusions
Author Contributions
Funding
Institutional Review Board Statement
Informed Consent Statement
Data Availability Statement
Acknowledgments
Conflicts of Interest
References
- Montoya-Camacho, N.; Marquez-Ríos, E.; Castillo-Yáñez, F.J.; Cárdenas López, J.L.; López-Elías, J.A.; Ruíz-Cruz, S.; Jiménez-Ruíz, E.I.; Rivas-Vega, M.E.; Ocaño-Higuera, V.M. Advances in the use of alternative protein sources for tilapia feeding. Rev. Aquac. 2019, 11, 515–526. [Google Scholar] [CrossRef]
- Francis, G.; Makkar, H.P.S.; Becker, K. Antinutritional factors present in plant-derived alternate fish feed ingredients and their effects in fish. Aquaculture 2001, 199, 197–227. [Google Scholar] [CrossRef]
- Kumar, S.; Sándor Zs, J.; Nagy, Z.; Fazekas, G.; Havasi, M.; Sinha, A.K.; De Boeck, G.; Gál, D. Potential of processed animal protein versus soybean meal to replace fish meal in practical diets for european catfish (Silurus glanis): Growth response and liver gene expression. Aquac. Nutr. 2016, 23, 1179–1189. [Google Scholar] [CrossRef]
- Yaghoubi, M.; Mozanzadeh, M.T.; Marammazi, J.G.; Safari, O.; Gisbert, E. Dietary replacement of fish meal by soy products (soybean meal and isolated soy protein) in silvery-black porgy juveniles (Sparidentex hasta). Aquaculture 2016, 464, 50–59. [Google Scholar] [CrossRef]
- De León-Ramírez, J.J.; García-Trejo, J.F.; Felix-Cuencas, L.; López-Tejeida, S.; Sosa-Ferreyra, C.F.; González-Orozco, A.I. Effect of the water exchange rate in a recirculation aquaculture system on growth, glucose and cortisol levels in Oreochromis niloticus. Lat. Am. J. Aquat. Res. 2022, 50, 267–275. [Google Scholar] [CrossRef]
- Rodrigues, A.P.O.; Gominho-Rosa, M.D.C.; Cargnin-Ferreira, E.; Francisco, A.; Fracalossi, D.M. Different utilization of plant sources by the omnivores jundiá catfish (Rhamdia quelen) and Nile tilapia (Oreochromis niloticus). Aquac. Nutr. 2012, 18, 65–72. [Google Scholar] [CrossRef]
- Schneider, T.L.S.; Lazzari, R. Nutritional implications of exogenous proteases in fish feeding. Pesqui. Agropecu. Gauch. 2022, 28, 70–93. [Google Scholar] [CrossRef]
- Cowieson, A.J.; Roos, F.F. Toward optimal value creation through the application of exogenous mono-component protease in the diets of non-ruminants. Anim. Feed. Sci. Technol. 2016, 221, 331–340. [Google Scholar] [CrossRef]
- Lee, S.; Chowdhury, M.A.K.; Hardy, R.W.; Small, B.C. Apparent digestibility of protein, amino acids and gross energy in rainbow trout fed various feed ingredients with or without protease. Aquaculture 2020, 524, 735270. [Google Scholar] [CrossRef]
- Maryam; Shah, S.Z.H.; Fatima, M.; Hussain, S.M.; Nadeem, H.; Hussain, M. The Effectiveness of protease supplemented poultry by-product meal-based diet on growth, nutrient digestibility and digestive enzyme activities of rohu (Labeo rohita). Aquac. Res. 2022, 53, 3841–3852. [Google Scholar] [CrossRef]
- Hassaan, M.S.; Mohammady, E.Y.; Adnan, A.M.; Abd Elnabi, H.E.; Ayman, M.F.; Soltan, M.A.; El-Haroun, E.R. Effect of dietary proteas ale at different levels of malic acid on growth, digestive enzymes and haemato-immunological responses of Nile tilapia, fed fish meal free diets. Aquaculture 2020, 522, 735124. [Google Scholar] [CrossRef]
- Saleh, E.S.E.; Tawfeek, S.S.; Abdel-Fadeel, A.A.A.; Abdel-Daim, A.S.A.; Abdel-Razik, A.R.H.; Youssef, I.M.I. Effect of dietary protease supplementation on growth performance, water quality, blood parameters and intestinal morphology of Nile tilapia (Oreochromis niloticus). J. Anim. Physiol. Anim. Nutr. 2022, 106, 419–428. [Google Scholar] [CrossRef]
- Goda, A.M.A.S.; Ahmed, S.R.; Nazmi, H.M.; Baromh, M.Z.; Fitzsimmons, K.; Rossi, W.; Davies, S.; El-Haroun, E. Partial replacement of dietary soybean meal by high-protein distiller’s dried grains (HPDDG) supplemented with protease enzyme for european seabass, Dicentrarchus labrax Fingerlings. Aquac. Nutr. 2020, 26, 842–852. [Google Scholar] [CrossRef]
- Food and Agriculture Organization (FAO). The State of World Fisheries and Aquaculture: Towards Blue Transformation; FAO: Rome, Italy, 2022; 266p. [Google Scholar]
- Associação Brasileira da Piscicultura. Anuário 2024 Peixe BR da Piscicultura: Brasil Produz 887.029t de Peixes de Cultivo; Associação Brasileira da Piscicultura: São Paulo, Brazil, 2024. [Google Scholar]
- Associação Brasileira da Piscicultura. Anuário 2023 Peixe BR da Piscicultura: A Força do Peixe Brasileiro; Associação Brasileira da Piscicultura: São Paulo, Brazil, 2023. [Google Scholar]
- El-Sayed, A.F.M. Tilapia Culture; CABI Publishing: London, UK, 2006; 277p. [Google Scholar]
- Brett, J.R. Energy expenditure of sockeye salmon, Oncorhynchus nerka, during sustained performance. J. Fish. Res. Board Can. 1973, 30, 1799–1809. [Google Scholar] [CrossRef]
- Association of Official Analytical Chemists (AOAC). Official Methods of Analysis, 16th ed.; AOAC International: Arlington, VA, USA, 1995. [Google Scholar]
- Bligh, E.G.; Dyer, W.J. A rapid method of total lipid extraction and purification. Can. J. Biochem. Physiol. 1959, 37, 911–917. [Google Scholar] [CrossRef]
- Van Soest, P.J. Development of a comprehensive system of feed analyses and its application to forages. J. Anim. Sci. 1967, 26, 119–128. [Google Scholar] [CrossRef]
- Bureau, D.P.; Kaushik, S.J.; Cho, C.Y. Bioenergetics. In Fish Nutrition, 3rd ed.; Halver, J.E., Hardy, R.W., Eds.; Academic Press: Cambridge, MA, USA, 2002; pp. 1–59. [Google Scholar]
- Vidal, L.V.O.; Albinati, R.C.B.; Albinati, A.C.L.; Lira, A.D.d.; Almeida, T.R.d.; Santos, G.B. Eugenol como anestésico para a tilápia-Do-Nilo. Pesqui. Agropecu. Bras. 2008, 43, 1069–1074. [Google Scholar] [CrossRef]
- Okuthe, G.E.; Bhomela, B. Morphology, histology and histochemistry of the digestive tract of the banded tilapia, Tilapia sparrmanii (Perciformes: Cichlidae). Zoologia 2020, 37, 1–14. [Google Scholar] [CrossRef]
- Bradford, M.M. A rapid and sensitive method for the quantitation of microgram quantities of protein utilizing the principle of protein-dye binding. Anal. Biochem. 1976, 72, 248–254. [Google Scholar] [CrossRef]
- Krisman, C.R. A method for the colorimetric estimation of glycogen with iodine. Anal. Biochem. 1962, 4, 17–23. [Google Scholar] [CrossRef]
- Spies, J.R. [76] Colorimetric procedures for amino acids. Methods Enzymol. 1957, 3, 467–477. [Google Scholar] [CrossRef]
- Reitman, S.; Frankel, S. A colorimetric method for the determination of serum glutamic oxalacetic and glutamic pyruvic transaminases. Am. J. Clin. Pathol. 1957, 28, 56–63. [Google Scholar] [CrossRef] [PubMed]
- Verdouw, H.; Van Echteld, C.J.A.; Dekkers, E.M.J. Ammonia determination based on indophenol formation with sodium salicylate. Water Res. 1978, 12, 399–402. [Google Scholar] [CrossRef]
- Ranzani-Paiva, M.J.T.; Pádua, S.B.; Tavares-Dias, M.; Egami, M.I. Métodos Para Análise Hematológica em Peixes; Eduem: Maringá, Brazil, 2013; 140p. [Google Scholar]
- Haider, R.; Khan, N.; Aihetasham, A.; Shakir, H.A.; Fatima, M.; Tanveer, A.; Bano, S.; Ali, W.; Tahir, M.; Asghar, M.; et al. Dietary inclusion of black soldier fly (Hermetia illucens) larvae meal, with exogenous protease supplementation, in practical diets for striped catfish (Pangasius hypophthalmus, Sauvage 1878). PLoS ONE 2024, 19, e0313960. [Google Scholar] [CrossRef]
- Poolsawat, L.; Yang, H.; Sun, Y.F.; Li, X.Q.; Liang, G.Y.; Leng, X.J. Effect of replacing fish meal with enzymatic feather meal on growth and feed utilization of tilapia (Oreochromis niloticus × O. aureus). Anim. Feed. Sci. Technol. 2021, 274, 114895. [Google Scholar] [CrossRef]
- Maryam; Shah, S.Z.H.; Fatima, M.; Nadeem, H.; Ashraf, S.; Hussain, M. Roles of dietary supplementation of exogenous protease in low fishmeal aquafeed: A mini review. Ann. Anim. Sci. 2023, 24, 27–39. [Google Scholar] [CrossRef]
- Shi, Z.; Li, X.Q.; Chowdhury, M.A.K.; Chen, J.N.; Leng, X.J. Effects of protease supplementation in low fish meal pelleted and extruded diets on growth, nutrient retention and digestibility of gibel carp, Carassius auratus gibelio. Aquaculture 2016, 460, 37–44. [Google Scholar] [CrossRef]
- Coelho, R.; Tacon, A.G.J.; Lemos, D. Effect of dietary phytase and protease supplementation on the growth performance and apparent nutrient digestibility in juvenile pacific white shrimp (Litopenaeus vannamei) fed fish meal–free and phosphorus limiting diets. Aquac. Int. 2024, 32, 6053–6078. [Google Scholar] [CrossRef]
- Agboola, J.O.; Chikwati, E.M.; Hansen, J.; Kortner, T.M.; Mydland, L.T.; Krogdahl, Å.; Djordjevic, B.; Schrama, J.W.; Øverland, M. A meta-analysis to determine factors associated with the severity of enteritis in atlantic salmon (Salmo salar) fed soybean meal-based diets. Aquaculture 2022, 555, 738214. [Google Scholar] [CrossRef]
- Zhu, R.; Li, L.; Li, M.; Yu, Z.; Wang, H.H.; Quan, Y.N.; Wu, L.F. Effects of dietary glycinin on the growth performance, immunity, hepatopancreas and intestinal health of juvenile Rhynchocypris lagowskii Dybowski. Aquaculture 2021, 544, 737030. [Google Scholar] [CrossRef]
- Abd Elnabi, H.E.; Hassanen, G.D.I.; Soltan, M.A.; Dokdok, G.A. Effect of protease and prebiotic mixtures with free fishmeal diets on physiological responses and histological examinations of the red tilapia, Oreochromis sp. Egypt. J. Aquat. Biol. Fish. 2020, 24, 361–378. [Google Scholar] [CrossRef]
- Feng, L.; Feng, L.; Jiang, W.D.; Liu, Y.; Zhang, L.; Kuang, S.Y.; Ren, H.M.; Jin, X.W.; Li, S.W.; Mi, H.F.; et al. The beneficial effects of exogenous protease K originated from Parengyodontium album on growth performance of grass carp (Ctenopharyngodon idella) in relation to the enhanced intestinal digestion and absorption capacities. Aquaculture 2023, 563, 738929. [Google Scholar] [CrossRef]
- Wu, J.J.; Liu, W.; Jiang, M.; Zhou, Y.; Wang, W.M.; Wen, H.; Liu, H. Beneficial effects of dietary exogenous protease on the growth, intestinal iealth and immunity of GIFT (Oreochromis niloticus) fed plant-based diets. Aquac. Nutr. 2020, 26, 1822–1834. [Google Scholar] [CrossRef]
- Tao, J.; Guo, Z.; Gong, Y.; Chen, L.; Ma, S.; Liu, S.; Zhao, J.; Huang, X.; Chen, N.; Li, S. Beneficial role of exogenous enzymes inclusion on improving growth performance, feed utilization, intestinal health and disease resistance against Streptococcus agalactiae of GIFT tilapia (Oreochromis niloticus) fingerlings. Aquaculture 2025, 598, 742006. [Google Scholar] [CrossRef]
- Soltan, N.M.; Soaudy, M.R.; Abdella, M.M.; Hassaan, M.S. Partial dietary fishmeal replacement with mixture of plant protein sources supplemented with exogenous enzymes modify growth performance, digestibility, intestinal morphology, haemato-biochemical and immune responses for Nile tilapia, Oreochromis niloticus. Anim. Feed. Sci. Technol. 2023, 299, 115642. [Google Scholar] [CrossRef]
- Zheng, J.; Zhang, W.; Dan, Z.; Zhuang, Y.; Liu, Y.; Mai, K.; Ai, Q. Replacement of dietary fish meal with Clostridium autoethanogenum meal on growth performance, intestinal amino acids transporters, protein metabolism and hepatic lipid metabolism of juvenile turbot (Scophthalmus maximus L.). Front. Physiol. 2022, 13, 981750. [Google Scholar] [CrossRef]
- Yaghoubi, M.; Mozanzadeh, M.T.; Safari, O.; Marammazi, J.G. Gastrointestinal and hepatic enzyme activities in juvenile silvery-black porgy (Sparidentex hasta) fed essential amino acid-deficient diets. Fish Physiol. Biochem. 2018, 44, 853–868. [Google Scholar] [CrossRef]
- Wilson, R.P. Amino Acids and Proteins. In Fish Nutrition, 3rd ed.; Halver, J.E., Hardy, R.W., Eds.; Academic Press: Cambridge, MA, USA, 2002; pp. 143–179. [Google Scholar]
- Hassaan, M.S.; Mohammady, E.Y.; Soaudy, M.R.; Elashry, M.A.; Moustafa, M.M.A.; Wassel, M.A.; El-Garhy, H.A.S.; El-Haroun, E.R.; Elsaied, H.E. Synergistic effects of Bacillus pumilus and exogenous protease on Nile tilapia (Oreochromis niloticus) growth, gut microbes, immune response and gene expression fed plant protein diet. Anim. Feed. Sci. Technol. 2021, 275, 114–892. [Google Scholar] [CrossRef]
- Whicher, J.; Spence, C. When is serum albumin worth measuring? Ann. Clin. Biochem. 1987, 24, 572–580. [Google Scholar] [CrossRef]
- Dal’Bó, G.A.; Sampaio, F.G.; Losekann, M.E.; de Queiroz, J.F.; Luiz, A.J.B.; Wolf, V.H.G.; Gonçalves, V.T.; Carra, M.L. Hematological and morphometric blood value of four cultured species of economically important tropical foodfish. Neotrop. Ichthyol. 2015, 13, 439–446. [Google Scholar] [CrossRef]



| Ingredient (%) | Diet | |||||
|---|---|---|---|---|---|---|
| SM1 (1:1) | SM2 (1:2) | SM3 (1:3) | ||||
| SM1 | SM1 + Protease | SM2 | SM2 + Protease | SM3 | SM3 + Protease | |
| Fish waste meal (FM) | 15 | 15 | 10 | 10 | 5 | 5 |
| Feather meal | 8.5 | 8.5 | 8.5 | 8.5 | 8.5 | 8.5 |
| Poultry by-product meal | 4 | 4 | 4 | 4 | 4 | 4 |
| Soybean meal (SM) | 32 | 32 | 40 | 40 | 47 | 47 |
| Corn | 28 | 28 | 28 | 28 | 28 | 28 |
| Wheat bran | 7.23 | 7.23 | 4.23 | 4.23 | 2.23 | 2.23 |
| Soybean and canola oil (1:1) | 2 | 2 | 2 | 2 | 2 | 2 |
| Vitamins and minerals a | 1.5 | 1.5 | 1.5 | 1.5 | 1.5 | 1.5 |
| Ascorbic acid | 0.05 | 0.05 | 0.05 | 0.05 | 0.05 | 0.05 |
| Salt | 0.5 | 0.5 | 0.5 | 0.5 | 0.5 | 0.5 |
| Methionine | 0.2 | 0.2 | 0.2 | 0.2 | 0.2 | 0.2 |
| Starch | 1 | 1 | 1 | 1 | 1 | 1 |
| Antioxidant b | 0.02 | 0.02 | 0.02 | 0.02 | 0.02 | 0.02 |
| Analyzed composition (%) | ||||||
| Dry matter | 94.24 ± 0.13 | 92.03 ± 1.38 | 93.52 ± 0.09 | 94.02 ± 0.25 | 93.27 ± 0.14 | 93.84 ± 0.24 |
| Mineral matter | 8.62 ± 0.06 | 7.75 ± 0.52 | 7.43 ± 0.40 | 7.33 ± 0.34 | 6.85 ± 0.07 | 6.67 ± 0.11 |
| Crude protein | 36.69 ± 0.61 | 35.21 ± 0.73 | 35.87 ± 0.31 | 36.73 ± 0.07 | 35.79 ± 0.44 | 35.38 ± 0.49 |
| Lysine c | 1.97 | 1.97 | 1.98 | 1.98 | 1.98 | 1.98 |
| Methionine c | 0.74 | 0.74 | 0.70 | 0.70 | 0.66 | 0.66 |
| Crude lipid | 7.34 ± 0.34 | 6.71 ± 0.16 | 7.12 ± 0.19 | 7.56 ± 0.34 | 6.76 ± 0.25 | 6.54 ± 0.33 |
| Neutral detergent fiber | 14.33 ± 0.92 | 14.33 ± 0.92 | 10.42 ± 1.74 | 10.42 ± 1.74 | 11.08 ± 0.94 | 11.08 ± 0.94 |
| NFE d | 33.02 | 36.00 | 39.16 | 37.96 | 39.52 | 40.33 |
| Trypsin inhibitor (mg) e | 1.28 | 1.28 | 1.60 | 1.60 | 1.88 | 1.88 |
| Phytic acid (mg) e | 4.80 | 4.80 | 6.00 | 6.00 | 7.05 | 7.05 |
| Gross energy (MJ/kg) f | 17.23 | 17.15 | 18.01 | 18.18 | 17.91 | 17.86 |
| Protease (prot/kg) g | 0 | 27,390 | 0 | 25,930 | 0 | 21,370 |
| Group | Protease (g/kg) | Intestine | ||
|---|---|---|---|---|
| Villus Height (µm) | Villus Width (µm) | Goblet Cells (Units/Villus) | ||
| SM1 (1:1) | 0 | 185.35 ± 3.70 Cb | 79.18 ± 2.21 B | 83 ± 4.47 B |
| 0.44 | 274.25 ± 5.58 Ba | 77.54 ± 3.00 B | 78 ± 5.33 | |
| SM2 (1:2) | 0 | 210.46 ± 5.24 Bb | 77.27 ± 2.43 Bb | 76 ± 8.50 B |
| 0.44 | 269.76 ± 7.10 Ba | 87.02 ± 3.30 Aa | 90 ± 3.14 | |
| SM3 (1:3) | 0 | 254.54 ± 4.29 Ab | 91.15 ± 3.58 Aa | 102 ± 2.59 A |
| 0.44 | 295.81 ± 3.71 Aa | 80.24 ± 2.19 ABb | 95 ± 7.01 | |
| Two-way ANOVA | ||||
| Diet | <0.001 | 0.0369 | 0.0020 | |
| Protease | <0.001 | 0.6867 | 0.9115 | |
| Diet + protease | <0.001 | 0.0015 | 0.1010 | |
| Group | Protease (g/kg) | HSI (%) | DSI (%) | CFI (%) | IQ |
|---|---|---|---|---|---|
| SM1 (1:1) | 0 | 1.84 ± 0.10 b | 6.56 ± 0.46 | 1.89 ± 0.12 | 6.04 ± 0.28 |
| 0.44 | 2.19 ± 0.07 a | 5.49 ± 0.40 B | 1.78 ± 0.30 | 6.32 ± 0.17 | |
| SM2 (1:2) | 0 | 2.00 ± 0.04 b | 5.61 ± 0.32 | 1.72 ± 0.31 | 6.24 ± 0.14 |
| 0.44 | 2.25 ± 0.08 a | 6.66 ± 0.34 AB | 1.35 ± 0.20 | 6.36 ± 0.11 | |
| SM3 (1:3) | 0 | 1.72 ± 0.12 b | 6.69 ± 0.22 | 1.61 ± 0.18 | 6.15 ± 0.20 |
| 0.44 | 2.12 ± 0.06 a | 7.58 ± 0.28 A | 1.24 ± 0.11 | 7.11 ± 0.20 | |
| Two-way ANOVA | |||||
| Diet | 0.0600 | 0.0055 | 0.1697 | 0.0717 | |
| Protease | <0.001 | 0.3181 | 0.1168 | 0.0079 | |
| Diet + protease | 0.6016 | 0.0075 | 0.7959 | 0.0877 | |
| Group | Protease (g/kg) | Total Proteins (mg/g) | Amino Acids (µmol/g) | Ammonia (µmol/g) | ALT (U/g) | AST (U/g) | Glycogen (mg/g) |
|---|---|---|---|---|---|---|---|
| SM1 (1:1) | 0 | 29.49 ± 1.21 | 37.86 ± 3.21 Cb | 13.79 ± 0.47 A | 5.06 ± 0.55 | 87.64 ± 8.16 | 24.15 ± 0.45 b |
| 0.44 | 36.46 ± 1.58 | 53.70 ± 0.84 Ba | 12.64 ± 0.26 A | 6.15 ± 0.65 | 84.60 ± 11.53 | 26.12 ± 0.52 a | |
| SM2 (1:2) | 0 | 36.93 ± 0.79 | 52.12 ± 2.30 Bb | 11.57 ± 0.11 B | 5.12 ± 0.70 | 74.58 ± 5.95 | 26.81 ± 0.39 a |
| 0.44 | 27.09 ± 1.22 | 78.21 ± 3.22 Aa | 12.94 ± 0.28 A | 3.51 ± 0.37 | 73.54 ± 4.25 | 21.07 ± 0.79 b | |
| SM3 (1:3) | 0 | 30.79 ± 0.71 | 73.61 ± 5.99 Aa | 11.47 ± 0.11 B | 4.17 ± 0.81 | 98.05 ± 17.84 | 25.22 ± 0.62 |
| 0.44 | 29.96 ± 1.00 | 62.74 ± 2.48 Bb | 11.57 ± 0.10 B | 5.03 ± 0.85 | 75.03 ± 5.79 | 24.66 ± 0.47 | |
| Two-way ANOVA | |||||||
| Diet | 0.0813 | <0.001 | <0.001 | 0.1501 | 0.3810 | 0.0868 | |
| Protease | 0.1898 | <0.001 | 0.6027 | 0.8421 | 0.2792 | 0.0034 | |
| Diet + protease | <0.001 | <0.001 | <0.001 | 0.1021 | 0.4890 | <0.001 | |
| Group | Protease (g/kg) | Glucose (mg/dL) | Total Proteins (g/dL) | Amino Acids (µmol/dL) | Albumin (g/dL) | Globulin (g/dL) |
|---|---|---|---|---|---|---|
| SM1 (1:1) | 0 | 59.97 ± 7.43 | 3.55 ± 0.07 B | 1944.66 ± 30.39 B | 1.18 ± 0.03 | 2.28 ± 0.04 B |
| 0.44 | 50.85 ± 3.95 | 3.41 ± 0.06 B | 1908.65 ± 94.01 B | 1.05 ± 0.07 B | 2.27 ± 0.04 B | |
| SM2 (1:2) | 0 | 59.24 ± 5.62 | 3.70 ± 0.12 AB | 2027.64 ± 294.46 B | 1.32 ± 0.12 | 2.46 ± 0.08 AB |
| 0.44 | 54.62 ± 4.71 | 3.90 ± 0.06 A | 2407.34 ± 82.86 AB | 1.36 ± 0.08 A | 2.63 ± 0.06 A | |
| SM3 (1:3) | 0 | 49.92 ± 4.46 | 4.06 ± 0.12 A | 2819.65 ± 101.84 A | 1.18 ± 0.03 | 2.71 ± 0.08 A |
| 0.44 | 53.24 ± 1.91 | 4.02 ± 0.19 A | 2454.31 ± 93.08 A | 1.19 ± 0.03 AB | 2.51 ± 0.10 AB | |
| Two-way ANOVA | ||||||
| Diet | 0.5515 | <0.001 | <0.001 | 0.0168 | <0.001 | |
| Protease | 0.4037 | 0.9433 | 0.9517 | 0.6397 | 0.7962 | |
| Diet + protease | 0.4638 | 0.3144 | 0.0572 | 0.4064 | 0.0525 | |
| Group | Protease (g/kg) | RBC (×106/µL) | Hct (%) | Hb (g/dL) | MCV (fL) | MCH (pg) | MCHC (g/dL) |
|---|---|---|---|---|---|---|---|
| SM1 (1:1) | 0 | 1.16 ± 0.10 | 34.30 ± 1.00 | 7.69 ± 0.31 | 306.96 ± 25.91 | 66.42 ± 6.08 | 22.47 ± 1.05 |
| 0.44 | 0.97 ± 0.08 | 35.95 ± 1.13 | 7.84 ± 0.32 | 385.20 ± 27.99 | 77.10 ± 5.69 | 21.59 ± 1.19 | |
| SM2 (1:2) | 0 | 1.14 ± 0.10 | 37.30 ± 1.00 | 8.08 ± 0.36 | 350.09 ± 25.91 | 78.72 ± 6.57 | 21.92 ± 1.19 |
| 0.44 | 1.03 ± 0.08 | 34.74 ± 1.00 | 8.02 ± 0.32 | 338.41 ± 25.91 | 81.17 ± 5.69 | 22.28 ± 1.05 | |
| SM3 (1:3) | 0 | 1.02 ± 0.10 | 34.83 ± 1.00 | 7.19 ± 0.36 | 338.78 ± 25.91 | 76.20 ± 6.57 | 21.93 ± 1.12 |
| 0.44 | 1.10 ± 0.11 | 33.96 ± 1.00 | 7.48 ± 0.34 | 292.09 ± 34.28 | 56.92 ± 8.05 | 21.23 ± 1.05 | |
| Two-way ANOVA | |||||||
| Diet | 0.9597 | 0.2764 | 0.1267 | 0.5016 | 0.1137 | 0.8549 | |
| Protease | 0.3357 | 0.4829 | 0.6446 | 0.7680 | 0.6892 | 0.6298 | |
| Diet + protease | 0.3998 | 0.1353 | 0.8721 | 0.0873 | 0.0792 | 0.8120 | |
Disclaimer/Publisher’s Note: The statements, opinions and data contained in all publications are solely those of the individual author(s) and contributor(s) and not of MDPI and/or the editor(s). MDPI and/or the editor(s) disclaim responsibility for any injury to people or property resulting from any ideas, methods, instructions or products referred to in the content. |
© 2025 by the authors. Licensee MDPI, Basel, Switzerland. This article is an open access article distributed under the terms and conditions of the Creative Commons Attribution (CC BY) license (https://creativecommons.org/licenses/by/4.0/).
Share and Cite
Schneider, T.L.S.; Scheid, R.C.; Peixoto, N.C.; Lazzari, R. Metabolic and Intestinal Morphometric Responses of Nile Tilapia Fed Diets Containing Soybean and Protease. Animals 2025, 15, 349. https://doi.org/10.3390/ani15030349
Schneider TLS, Scheid RC, Peixoto NC, Lazzari R. Metabolic and Intestinal Morphometric Responses of Nile Tilapia Fed Diets Containing Soybean and Protease. Animals. 2025; 15(3):349. https://doi.org/10.3390/ani15030349
Chicago/Turabian StyleSchneider, Thamara Luísa Staudt, Roberta Cristina Scheid, Nilce Coelho Peixoto, and Rafael Lazzari. 2025. "Metabolic and Intestinal Morphometric Responses of Nile Tilapia Fed Diets Containing Soybean and Protease" Animals 15, no. 3: 349. https://doi.org/10.3390/ani15030349
APA StyleSchneider, T. L. S., Scheid, R. C., Peixoto, N. C., & Lazzari, R. (2025). Metabolic and Intestinal Morphometric Responses of Nile Tilapia Fed Diets Containing Soybean and Protease. Animals, 15(3), 349. https://doi.org/10.3390/ani15030349

