Unexpected Basal Anti-Müllerian Hormone Concentrations in a 6-Year-Old Bitch Presenting an Ovarian Remnant
Simple Summary
Abstract
1. Introduction
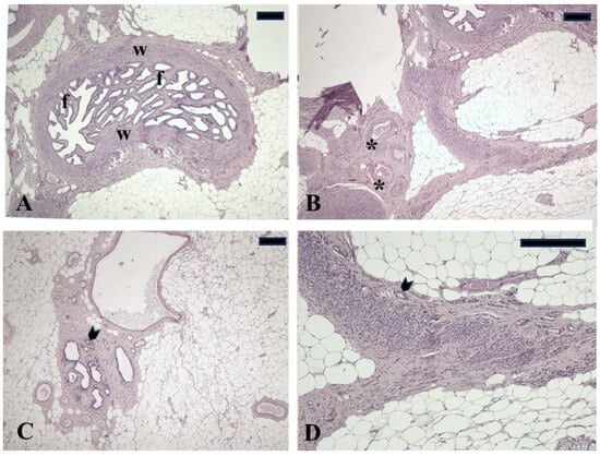
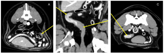
2. Case History
3. Discussion
4. Conclusions
Author Contributions
Funding
Institutional Review Board Statement
Informed Consent Statement
Data Availability Statement
Conflicts of Interest
References
- Wallace, M.S. The Ovarian Remnant Syndrome in the Bitch and Queen. Vet. Clin. N. Am. Small Anim. Pract. 1991, 21, 501–507. [Google Scholar] [CrossRef] [PubMed]
- Miller, D.M. Ovarian Remnant Syndrome in Dogs and Cats: 46 Cases (1988–1992). J. Vet. Diagn. Investig. 1995, 7, 572–574. [Google Scholar] [CrossRef] [PubMed]
- DeNardo, G.; Becker, K.; Brown, N.; Dobbins, S. Ovarian Remnant Syndrome: Revascularization of Free-Floating Ovarian Tissue in the Feline Abdominal Cavity. J. Am. Anim. Hosp. Assoc. 2001, 37, 290–296. [Google Scholar] [CrossRef]
- Hill, K.E.; Scott-Moncrieff, J.C.R.; Koshko, M.A.; Glickman, L.T.; Glickman, N.W.; Nelson, R.W.; Blevins, W.E.; Oliver, J.W. Secretion of Sex Hormones in Dogs with Adrenal Dysfunction. J. Am. Vet. Med. Assoc. 2005, 226, 556–561. [Google Scholar] [CrossRef] [PubMed]
- Ganz, S.; Wehrend, A. Uptake of Exogenous Estrogen as a Differential Diagnosis of Ovarian-Remnant-Syndrome in a Bitch: A Case Report. BMC Vet. Res. 2021, 17, 225. [Google Scholar] [CrossRef] [PubMed]
- Sterman, A.A.; Mankin, K.T.; Barton, C.L. Stump Pyometra Secondary to Human Topical Estrogen Hormone Exposure in a Spayed Female Chihuahua. J. Am. Anim. Hosp. Assoc. 2019, 55, e556-04. [Google Scholar] [CrossRef]
- Demirel, M.A.; Acar, D.B. Ovarian Remnant Syndrome and Uterine Stump Pyometra in Three Queens. J. Feline Med. Surg. 2012, 14, 913–918. [Google Scholar] [CrossRef]
- Cicirelli, V.; Burgio, M.; Lacalandra, G.M.; Aiudi, G.G. Local and Regional Anaesthetic Techniques in Canine Ovariectomy: A Review of the Literature and Technique Description. Animals 2022, 12, 1920. [Google Scholar] [CrossRef] [PubMed]
- Cicirelli, V.; Burgio, M.; Carbonari, A.; Lacalandra, G.M.; Aiudi, G.G. Tissue Sealing versus Suture Ligation in Open Canine Ovariectomy: Surgical Times, Intraoperative Nociceptive Response and Frequency of Complications. Vet. Med. Sci. 2022, 9, 76–81. [Google Scholar] [CrossRef]
- Kevenaar, M.E.; Meerasahib, M.F.; Kramer, P.; van de Lang-Born, B.M.N.; de Jong, F.H.; Groome, N.P.; Themmen, A.P.N.; Visser, J.A. Serum Anti-Müllerian Hormone Levels Reflect the Size of the Primordial Follicle Pool in Mice. Endocrinology 2006, 147, 3228–3234. [Google Scholar] [CrossRef] [PubMed]
- Krauss, Z.; Krauss, M. Magnetresonanztomographie Und Laparoskopie Zur Diagnose Und Behandlung Eines Ovarrest-Syndroms Bei Einer Hündin. Tierärztliche Praxis K Kleintiere Heimtiere 2015, 43, 111–114. [Google Scholar] [CrossRef]
- Benton, A.; Deimling, T.; Pacis, M.; Harkins, G. Ovarian Remnant Syndrome: A Retrospective Evaluation of Surgical Management. Gynecol. Surg. 2016, 13, 353–357. [Google Scholar] [CrossRef]
- Beijerink, N.J.; Buijtels, J.J.C.W.M.; Okkens, A.C.; Kooistra, H.S.; Dieleman, S.J. Basal and GnRH-Induced Secretion of FSH and LH in Anestrous versus Ovariectomized Bitches. Theriogenology 2007, 67, 1039–1045. [Google Scholar] [CrossRef]
- Bateman, H.; Vansandt, L.; Newsom, J.; Swanson, W. Temporal Changes in Serum Luteinizing Hormone Following Ovariohysterectomy and Gonadotropin-releasing Hormone Vaccination in Domestic Cats. Reprod. Domest. Anim. 2017, 52, 332–335. [Google Scholar] [CrossRef]
- Turna Yilmaz, Ö.; Toydemir, T.S.F.; Kirsan, I.; Gunay Ucmak, Z.; Caliskan Karacam, E. Anti-Müllerian Hormone as a Diagnostic Tool for Ovarian Remnant Syndrome in Bitches. Vet. Res. Commun. 2015, 39, 159–162. [Google Scholar] [CrossRef]
- Reichler, I.M.; Pfeiffer, E.; Piché, C.A.; Jöchle, W.; Roos, M.; Hubler, M.; Arnold, S. Changes in Plasma Gonadotropin Concentrations and Urethral Closure Pressure in the Bitch during the 12 Months Following Ovariectomy. Theriogenology 2004, 62, 1391–1402. [Google Scholar] [CrossRef]
- Cate, R.L.; Mattaliano, R.J.; Hession, C.; Tizard, R.; Farber, N.M.; Cheung, A.; Ninfa, E.G.; Frey, A.Z.; Gash, D.J.; Chow, E.P.; et al. Isolation of the Bovine and Human Genes for Müllerian Inhibiting Substance and Expression of the Human Gene in Animal Cells. Cell 1986, 45, 685–698. [Google Scholar] [CrossRef] [PubMed]
- Durlinger, A.L.; Visser, J.A.; Themmen, A.P. Regulation of Ovarian Function: The Role of Anti-Mullerian Hormone. Reproduction 2002, 124, 601–609. [Google Scholar] [CrossRef]
- Jost, A. Problems of Fetal Endocrinology: The Gonadal and Nypophyseal Hormones. Recent Prog. Horm. Res. 1953, 8, 379–418. [Google Scholar]
- Zec, I.; Tislaric-Medenjak, Z.; Megla, Z.B.; Kucak, I. Anti-Müllerian hormone: A unique biochemical marker of gonadal development and fertility in humans. Biochem. Med. 2011, 21, 219–231. [Google Scholar] [CrossRef] [PubMed]
- Karakas Alkan, K.; Ceylan, A.; Alkan, H.; Ozen, D.; Bayraktaroglu, A.G.; Kaymaz, M. Immunohistochemical and QPCR Determination of the Expression and Serum Level of Anti-Müllerian Hormone in Pre-pubertal, Intact and Ovarian Remnant Syndrome Detected Bitches. Reprod. Domest. Anim. 2019, 54, 979–986. [Google Scholar] [CrossRef] [PubMed]
- Balogh, O.; Szilágyi, E.; Balogh, N.; Somogyi, Z.; Müller, L. Half-Life of Serum Anti-Müllerian Hormone and Changes after Gonadectomy in Adult Female and Male Dogs with Normal and Abnormal Gonads. Theriogenology 2024, 217, 18–24. [Google Scholar] [CrossRef]
- Alexander, T.; Flock, U.; Klein, R.; Reese, S.; Meyer-Lindenberg, A.; Walter, B. Physiological Anti-Müllerian Hormone Concentrations in Male and Female Dogs and Cats before and around Puberty. Animals 2024, 14, 2561. [Google Scholar] [CrossRef] [PubMed]
- Place, N.J.; Hansen, B.S.; Cheraskin, J.-L.; Cudney, S.E.; Flanders, J.A.; Newmark, A.D.; Barry, B.; Scarlett, J.M. Measurement of Serum Anti-Müllerian Hormone Concentration in Female Dogs and Cats before and after Ovariohysterectomy. J. Vet. Diagn. Investig. 2011, 23, 524–527. [Google Scholar] [CrossRef]
- Pir Yagci, I.; Pekcan, M.; Polat, I.; Kalender, H.; Macun, H. Does Serum Anti-Müllerian Hormone Levels Always Discriminate Presence of the Ovaries in Adult Bitches? Comparison of Two ELISA kits. Reprod. Domest. Anim. 2016, 51, 910–915. [Google Scholar] [CrossRef]
- Walter, B.; Feulner, H.; Otzdorff, C.; Klein, R.; Reese, S.; Meyer-Lindenberg, A. Changes in Anti-Müllerian Hormone Concentrations in Bitches throughout the Oestrous Cycle. Theriogenology 2019, 127, 114–119. [Google Scholar] [CrossRef]
- Alm, H.; Holst, B.S. Identifying Ovarian Tissue in the Bitch Using Anti-Müllerian Hormone (AMH) or Luteinizing Hormone (LH). Theriogenology 2018, 106, 15–20. [Google Scholar] [CrossRef] [PubMed]
- Holst, B.S.; Dreimanis, U. Anti-Müllerian Hormone: A Potentially Useful Biomarker for the Diagnosis of Canine Sertoli Cell Tumours. BMC Vet. Res. 2015, 11, 166. [Google Scholar] [CrossRef] [PubMed]
- Themmen, A.P.N.; Kalra, B.; Visser, J.A.; Kumar, A.; Savjani, G.; de Gier, J.; Jaques, S. The Use of Anti-Müllerian Hormone as Diagnostic for Gonadectomy Status in Dogs. Theriogenology 2016, 86, 1467–1474. [Google Scholar] [CrossRef]
- Rota, A.; Pregel, P.; Cannizzo, F.T.; Sereno, A.; Appino, S. Unusual Case of Uterine Stump Pyometra in a Cat. J. Feline Med. Surg. 2011, 13, 448–450. [Google Scholar] [CrossRef]
- Weiner, A.; D’Andrea, G.M. Hidden Estrogen Production from Ovarian Remnants Leading to Progression of Disease in Metastatic Breast Cancer. Breast J. 2018, 24, 642–643. [Google Scholar] [CrossRef] [PubMed]
- Axnér, E.; Gustavsson, T.; Ström Holst, B. Estradiol Measurement after GnRH-Stimulation as a Method to Diagnose the Presence of Ovaries in the Female Domestic Cat. Theriogenology 2008, 70, 186–191. [Google Scholar] [CrossRef]
- Tsuji, I.; Ami, K.; Fujinami, N. Pregnancy Following Ovarian Induction in a Patient with Premature Ovarian Failure and Undetectable Serum Anti-Müllerian Hormone. J. Obstet. Gynaecol. Res. 2013, 39, 1070–1072. [Google Scholar] [CrossRef] [PubMed]
- Walter, B. Anti-Müllerian Hormone in Dogs and Cats Reproduction. Reprod. Domest. Anim. 2020, 55, 26–31. [Google Scholar] [CrossRef] [PubMed]


| Parameters | Sample | Reference Range | Parameters | Sample | Reference Range |
|---|---|---|---|---|---|
| RBC (milioni/µL) | 8.43 | 5.50–8.00 | WBC (×1000/µL) | 14.2 | 6.0–14.0 |
| HGB (g/dL) | 20.5 | 14.0–19.5 | Correct counting WBC (×1000/µL) | 14.2 | 6.0–14 |
| HCT (%) | 60.9 | 38.0–54.0 | Myelocytes (/µL) | 0 | 0 |
| MCV (fL) | 72.2 | 60.0–73.0 | Metamyelocytes (/µL) | 0 | 0 |
| MCH (pg) | 24.3 | 21.0–27.0 | Band neutrophils (/µL) | 284 | 0–300 |
| MCHC (g/dL) | 33.7 | 33.0–37.0 | Segmented neutrophils (/µL) | 11,360 | 3500–9300 |
| CHCM (g/dL) | 33.2 | 32.0–37.0 | Limphocytes (/µL) | 1562 | 1200–3200 |
| CH (pg) | 23.9 | 21.5–25.7 | Monocytes (/µL) | 710 | 200–1200 |
| CHDW (pg) | 2.57 | 3.18–3.80 | Eosinophils (/µL) | 284 | 100–800 |
| RDW (%) | 13.2 | 12.0–16.0 | Basophils (/µL) | 0 | 0–100 |
| HDW (g/dL) | 2.33 | 1.50–2.50 | Emoparasites | NEG. | NEG. |
| NRBC/100 WBC | 0 | 0 | |||
| PLT (1000/µL) | 138 | 180–450 | |||
| MPV (fL) | 11.2 | 8.5–14.5 | |||
| PCT (%) | 0.15 | 0.20–0.50 | |||
| PDW (%) | 64.9 | 53.0–70.0 | |||
| MPC (g/dL) | 23.4 | 18.0–24.0 | |||
| MPM (pg) | 2.41 | 1.5–2.45 | |||
| Large PLT (1000/µL) | 42 | 7–50 |
| Parameters | Sample | Reference Range | Parameters | Sample | Reference Range |
|---|---|---|---|---|---|
| CPK (IU/L) | 58 | 30–160 | Calcium (mg/dL) | 10.5 | 9.0–11.5 |
| AST (IU/L) | 35 | 18–50 | Corrected Calcium (mg/dL) | 10.8 | 9.0–11.5 |
| ALT (IU/L) | 177 | 20–75 | Phosphorus (mg/dL) | 4.4 | 2.8–4.7 |
| ALP (IU/L) | 44 | 20–160 | Magnesium (mg/dL) | 1.8 | 1.4–2.1 |
| GGT (IU/L) | 4 | 0.65–6.5 | Sodium (mEq/L) | 143 | 140–152 |
| Cholinesterase (IU/L) | 4617 | 3350–7250 | Potassium (mEq/L) | 4.8 | 4.0–5.3 |
| Total Bilirubin (mg/dL) | 0.21 | 0.10–0.30 | Na/K | 29.8 | 28.0–37.0 |
| Total Protein (g/dL) | 5.9 | 5.7–7.3 | Chlorine (mEq/L) | 112 | 105–115 |
| Albumins (g/dL) | 2.9 | 2.8–3.7 | Corrected Chlorine (mEq/L) | 114.3 | 109–115 |
| Globulins (g/dL) | 3 | 2.8–3.9 | HCO-3 (mmol/L) | 20.8 | 15.8–22.3 |
| A/G: | 0.97 | 0.70–1.30 | Anionic Gap | 15.0 | 18.5–29.0 |
| Cholesterol (mg/dL) | 231 | 130–330 | Osmol. sier. mis. (mOsm) | 292–310 | |
| Triglycerides (mg/dL) | 79 | 30–130 | Osmol. sier. calc. (mOsm) | 279 | 277–297 |
| Amylase (IU/L) | 839 | 472–1036 | Osmol. Gap | 18–28 | |
| Lipase (IU/L) | 68 | 77–585 | Total Iron (µg/dL) | 92 | 90–230 |
| Urea (mg/dL) | 26 | 15–50 | UIBC (µg/dL) | 247 | 180–350 |
| Creatinine (mg/dL) | 1.13 | 0.70–1.40 | TIBC (µg/dL) | 339 | 300–500 |
| Glucosie (mg/dL) | 103 | 70–130 | Saturation (%) | 27.1 | 20–60 |
| Lipase DGGR (UI/L) | 29 | 26–186 | Reactive Prot. C (mg/dL) | 2.82 | 0.01–0.45 |
Disclaimer/Publisher’s Note: The statements, opinions and data contained in all publications are solely those of the individual author(s) and contributor(s) and not of MDPI and/or the editor(s). MDPI and/or the editor(s) disclaim responsibility for any injury to people or property resulting from any ideas, methods, instructions or products referred to in the content. |
© 2025 by the authors. Licensee MDPI, Basel, Switzerland. This article is an open access article distributed under the terms and conditions of the Creative Commons Attribution (CC BY) license (https://creativecommons.org/licenses/by/4.0/).
Share and Cite
Burgio, M.; Ferré-Dolcet, L.; Carbonari, A.; Frattina, L.; Rizzo, A.; Cicirelli, V. Unexpected Basal Anti-Müllerian Hormone Concentrations in a 6-Year-Old Bitch Presenting an Ovarian Remnant. Animals 2025, 15, 311. https://doi.org/10.3390/ani15030311
Burgio M, Ferré-Dolcet L, Carbonari A, Frattina L, Rizzo A, Cicirelli V. Unexpected Basal Anti-Müllerian Hormone Concentrations in a 6-Year-Old Bitch Presenting an Ovarian Remnant. Animals. 2025; 15(3):311. https://doi.org/10.3390/ani15030311
Chicago/Turabian StyleBurgio, Matteo, Lluis Ferré-Dolcet, Alice Carbonari, Lorenza Frattina, Annalisa Rizzo, and Vincenzo Cicirelli. 2025. "Unexpected Basal Anti-Müllerian Hormone Concentrations in a 6-Year-Old Bitch Presenting an Ovarian Remnant" Animals 15, no. 3: 311. https://doi.org/10.3390/ani15030311
APA StyleBurgio, M., Ferré-Dolcet, L., Carbonari, A., Frattina, L., Rizzo, A., & Cicirelli, V. (2025). Unexpected Basal Anti-Müllerian Hormone Concentrations in a 6-Year-Old Bitch Presenting an Ovarian Remnant. Animals, 15(3), 311. https://doi.org/10.3390/ani15030311

