Parallel and Visual Detections of ASFV by CRISPR-Cas12a and CRISPR-Cas13a Systems Targeting the Viral S273R Gene
Simple Summary
Abstract
1. Introduction
2. Materials and Methods
2.1. Experimental Reagents
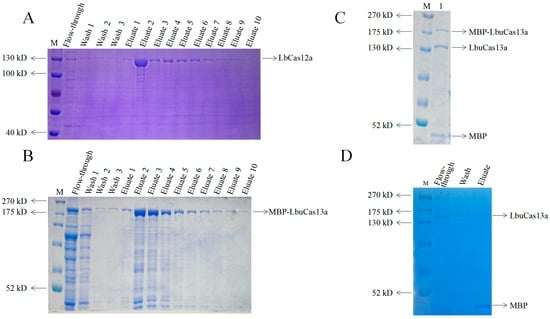
2.2. Expression and Purification of LbCas12a Protein
2.3. Expression and Purification of LbuCas13a Protein
2.4. Design and Preparation of LbCas12a-crRNA and Template DNA Targeting the ASFV S273R Gene
2.5. Design and Preparation of LbuCas13a-crRNA and Template RNA Targeting the ASFV S273R Gene
2.6. RPA-CRISPR-LbCas12a/LbuCas13a Detection Systems
2.7. RPA-CRISPR-LbCas12a/LbuCas13a Lateral Flow Strip (LFS) Detection Systems
2.8. Processing and Detection of Clinical Specimens by CRISPR-Cas Systems
3. Results
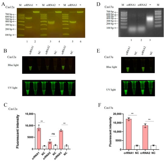
3.1. Development of CRISPR-LbCas12a/LbuCas13a Systems Detecting the ASFV S273R Gene
3.2. Optimization of CRISPR-LbCas12a/LbuCas13a Detection Systems
3.3. Establishment of RPA-CRISPR-LbCas12a/LbuCas13a Lateral Flow Strip (LFS) Detection Methods
3.4. Sensitivity and Specificity of the RPA-CRISPR-LbCas12a/LbuCas13a Detection Methods
3.5. Detection of Clinical Samples by RPA-CRISPR-LbCas12a/LbuCas13a Systems Using Column Purified DNA
3.6. Detection of Clinical Samples by RPA-CRISPR-LbCas12a/LbuCas13a Systems Using Lysis-Extracted DNA
4. Discussion
Supplementary Materials
Author Contributions
Funding
Institutional Review Board Statement
Data Availability Statement
Conflicts of Interest
References
- Galindo, I.; Alonso, C. African Swine Fever Virus: A Review. Viruses 2017, 9, 103. [Google Scholar] [CrossRef] [PubMed]
- Li, Z.; Chen, W.; Qiu, Z.; Li, Y.; Fan, J.; Wu, K.; Li, X.; Zhao, M.; Ding, H.; Fan, S.; et al. African Swine Fever Virus: A Review. Life 2022, 12, 1255. [Google Scholar] [CrossRef]
- Wang, T.; Sun, Y.; Qiu, H.J. African swine fever: An unprecedented disaster and challenge to China. Infect. Dis. Poverty 2018, 7, 111. [Google Scholar] [CrossRef] [PubMed]
- Li, M.; Zheng, H. Insights and progress on epidemic characteristics, pathogenesis, and preventive measures of African swine fever virus: A review. Virulence 2025, 16, 2457949. [Google Scholar] [CrossRef] [PubMed]
- Wang, Y.; Kang, W.; Yang, W.; Zhang, J.; Li, D.; Zheng, H. Structure of African Swine Fever Virus and Associated Molecular Mechanisms Underlying Infection and Immunosuppression: A Review. Front. Immunol. 2021, 12, 715582. [Google Scholar] [CrossRef]
- Denstedt, E.; Porco, A.; Hwang, J.; Nga, N.T.T.; Ngoc, P.T.B.; Chea, S.; Khammavong, K.; Milavong, P.; Sours, S.; Osbjer, K.; et al. Detection of African swine fever virus in free-ranging wild boar in Southeast Asia. Transbound. Emerg. Dis. 2021, 68, 2669–2675. [Google Scholar] [CrossRef]
- Oura, C.A.; Edwards, L.; Batten, C.A. Virological diagnosis of African swine fever--comparative study of available tests. Virus Res. 2013, 173, 150–158. [Google Scholar] [CrossRef]
- Qiu, Z.; Li, Z.; Yan, Q.; Li, Y.; Xiong, W.; Wu, K.; Li, X.; Fan, S.; Zhao, M.; Ding, H.; et al. Development of Diagnostic Tests Provides Technical Support for the Control of African Swine Fever. Vaccines 2021, 9, 343. [Google Scholar] [CrossRef]
- van Dongen, J.E.; Berendsen, J.T.W.; Steenbergen, R.D.M.; Wolthuis, R.M.F.; Eijkel, J.C.T.; Segerink, L.I. Point-of-care CRISPR/Cas nucleic acid detection: Recent advances, challenges and opportunities. Biosens. Bioelectron. 2020, 166, 112445. [Google Scholar] [CrossRef]
- Wang, F.; Hu, F.; Zhang, Y.; Li, X.; Ma, Q.; Wang, X.; Peng, N. A Novel High-Throughput Sample-in-Result-Out Device for the Rapid Detection of Viral Nucleic Acids. Biosensors 2024, 14, 549. [Google Scholar] [CrossRef]
- Wang, S.; Shen, X.; Chen, G.; Zhang, W.; Tan, B. Application and development of CRISPR-Cas12a methods for the molecular diagnosis of cancer: A review. Anal. Chim. Acta 2025, 1341, 343603. [Google Scholar] [CrossRef] [PubMed]
- Zhang, Y.; Li, S.; Li, R.; Qiu, X.; Fan, T.; Wang, B.; Zhang, B.; Zhang, L. Advances in application of CRISPR-Cas13a system. Front. Cell Infect. Microbiol. 2024, 14, 1291557. [Google Scholar] [CrossRef]
- Lobato, I.M.; O’Sullivan, C.K. Recombinase polymerase amplification: Basics, applications and recent advances. Trends Anal. Chem. 2018, 98, 19–35. [Google Scholar] [CrossRef]
- Feng, W.; Newbigging, A.M.; Tao, J.; Cao, Y.; Peng, H.; Le, C.; Wu, J.; Pang, B.; Li, J.; Tyrrell, D.L.; et al. CRISPR technology incorporating amplification strategies: Molecular assays for nucleic acids, proteins, and small molecules. Chem. Sci. 2021, 12, 4683–4698. [Google Scholar] [CrossRef] [PubMed]
- Yang, Q.; Liu, J.; Yu, Y.; Cao, Y.; Liu, C.; Su, H.; Huang, T.; Liu, S.; Yuan, J.; Zhao, Z.; et al. Rapid and multiple visual detection of Fasciola hepatica in feces via recombinase polymerase amplification integrated with CRISPR/Cas12a technology. Int. J. Biol. Macromol. 2024, 282, 136912. [Google Scholar] [CrossRef]
- Yang, S.; Miao, C.; Liu, W.; Zhang, G.; Shao, J.; Chang, H. Structure and function of African swine fever virus proteins: Current understanding. Front. Microbiol. 2023, 14, 1043129. [Google Scholar] [CrossRef]
- Andrés, G.; Alejo, A.; Simón-Mateo, C.; Salas, M.L. African swine fever virus protease, a new viral member of the SUMO-1-specific protease family. J. Biol. Chem. 2001, 276, 780–787. [Google Scholar] [CrossRef] [PubMed]
- Alejo, A.; Andrés, G.; Salas, M.L. African Swine Fever virus proteinase is essential for core maturation and infectivity. J. Virol. 2003, 77, 5571–5577. [Google Scholar] [CrossRef]
- Li, G.; Liu, X.; Yang, M.; Zhang, G.; Wang, Z.; Guo, K.; Gao, Y.; Jiao, P.; Sun, J.; Chen, C.; et al. Crystal Structure of African Swine Fever Virus pS273R Protease and Implications for Inhibitor Design. J. Virol. 2020, 94, e02125-19. [Google Scholar] [CrossRef]
- Luo, J.; Zhang, J.; Ni, J.; Jiang, S.; Xia, N.; Guo, Y.; Shao, Q.; Cao, Q.; Zheng, W.; Chen, N.; et al. The African swine fever virus protease pS273R inhibits DNA sensing cGAS-STING pathway by targeting IKKε. Virulence 2022, 13, 740–756. [Google Scholar] [CrossRef]
- Li, H.; Zheng, X.; Li, Y.; Zhu, Y.; Xu, Y.; Yu, Z.; Feng, W.H. African swine fever virus S273R protein antagonizes type I interferon production by interfering with TBK1 and IRF3 interaction. Virol. Sin. 2023, 38, 911–921. [Google Scholar] [CrossRef] [PubMed]
- Zhao, G.; Li, T.; Liu, X.; Zhang, T.; Zhang, Z.; Kang, L.; Song, J.; Zhou, S.; Chen, X.; Wang, X.; et al. African swine fever virus cysteine protease pS273R inhibits pyroptosis by noncanonically cleaving gasdermin D. J. Biol. Chem. 2022, 298, 101480. [Google Scholar] [CrossRef]
- Li, T.; Li, X.; Wang, X.; Chen, X.; Zhao, G.; Liu, C.; Bao, M.; Song, J.; Li, J.; Huang, L.; et al. African swine fever virus pS273R antagonizes stress granule formation by cleaving the nucleating protein G3BP1 to facilitate viral replication. J. Biol. Chem. 2023, 299, 104844. [Google Scholar] [CrossRef] [PubMed]
- Li, Y.H.; Peng, J.L.; Xu, Z.S.; Xiong, M.G.; Wu, H.N.; Wang, S.Y.; Li, D.; Zhu, G.Q.; Ran, Y.; Wang, Y.Y. African Swine Fever Virus Cysteine Protease pS273R Inhibits Type I Interferon Signaling by Mediating STAT2 Degradation. J. Virol. 2023, 97, e0194222. [Google Scholar] [CrossRef]
- Zhang, D.; Jiang, S.; Xia, N.; Zhang, Y.; Zhang, J.; Liu, A.; Zhang, C.; Chen, N.; Meurens, F.; Zheng, W.; et al. Rapid Visual Detection of African Swine Fever Virus with a CRISPR/Cas12a Lateral Flow Strip Based on Structural Protein Gene D117L. Animals 2023, 13, 3712. [Google Scholar] [CrossRef]
- Fu, J.; Mo, R.; Li, Z.; Xu, S.; Cheng, X.; Lu, B.; Shi, S. An extraction-free one-pot assay for rapid detection of Klebsiella pneumoniae by combining RPA and CRISPR/Cas12a. Biosens. Bioelectron. 2025, 267, 116740. [Google Scholar] [CrossRef] [PubMed]
- Karger, A.; Pérez-Núñez, D.; Urquiza, J.; Hinojar, P.; Alonso, C.; Freitas, F.B.; Revilla, Y.; Le Potier, M.F.; Montoya, M. An Update on African Swine Fever Virology. Viruses 2019, 11, 864. [Google Scholar] [CrossRef]
- Flores-Contreras, E.A.; Carrasco-González, J.A.; Linhares, D.C.L.; Corzo, C.A.; Campos-Villalobos, J.I.; Henao-Díaz, A.; Melchor-Martínez, E.M.; Iqbal, H.M.N.; González-González, R.B.; Parra-Saldívar, R.; et al. Emergent Molecular Techniques Applied to the Detection of Porcine Viruses. Vet. Sci. 2023, 10, 609. [Google Scholar] [CrossRef]
- Zhang, D.; Jiang, S.; Xia, N.; Zhang, J.; Liu, A.; Deng, D.; Zhang, C.; Sun, Y.; Chen, N.; Kang, X.; et al. Development of visual detection of African swine fever virus using CRISPR/LwCas13a lateral flow strip based on structural protein gene D117L. Vet. Microbiol. 2024, 293, 110073. [Google Scholar] [CrossRef]
- Wang, W.; Du, H.; Dai, C.; Ma, H.; Luo, S.; Wang, X.; Guo, M.; Kong, D.; Wei, D. Amplification-free detection of Mycobacterium tuberculosis using CRISPR-Cas12a and graphene field-effect transistors. Nanoscale 2025, 17, 4603–4609. [Google Scholar] [CrossRef]
- Liu, J.; An, T.; Peng, J.; Zhu, Q.; Zhao, H.; Liang, Z.; Mo, K.; Liu, T.; Wu, K. An amplification-free digital droplet assay for influenza A viral RNA based on CRISPR/Cas13a. Analyst 2025, 150, 1151–1157. [Google Scholar] [CrossRef] [PubMed]








| Sample Types | Numbers of Samples | Fluorescence Results | LFS Results | qPCR Results | ||
|---|---|---|---|---|---|---|
| LbCas12a | LbuCas13a | LbCas12a | LbuCas13a | |||
| Heart | 4 | 1/3 | 1/3 | 1/3 | 1/3 | 1/3 |
| Liver | 5 | 2/3 | 2/3 | 2/3 | 2/3 | 2/3 |
| Spleen | 4 | 1/3 | 1/3 | 1/3 | 1/3 | 1/3 |
| Lung | 7 | 4/3 | 4/3 | 4/3 | 4/3 | 4/3 |
| Kidney | 2 | 0/2 | 0/2 | 0/2 | 0/2 | 0/2 |
| Intestine | 2 | 1/1 | 1/1 | 1/1 | 1/1 | 1/1 |
| Lymph node | 2 | 0/2 | 0/2 | 0/2 | 0/2 | 0/2 |
| Oral swab | 2 | 2/2 | 2/2 | 2/2 | 2/2 | 2/2 |
| Total | 28 | 11/17 | 11/17 | 11/17 | 11/17 | 11/17 |
| Positive rate | / | 39.29% | 39.29% | 39.29% | 39.29% | 39.29% |
| Sample Types | Number of Samples | Fluorescence Results | LFS Results | qPCR Results | ||
|---|---|---|---|---|---|---|
| LbCas12a | LbuCas13a | LbCas12a | LbuCas13a | |||
| Heart | 2 | 1/1 | 1/1 | 1/1 | 1/1 | 1/1 |
| Liver | 3 | 3/0 | 3/0 | 3/0 | 3/0 | 3/0 |
| Spleen | 6 | 4/2 | 4/2 | 4/2 | 4/2 | 4/2 |
| Lung | 7 | 5/2 | 5/2 | 5/2 | 4/3 | 5/2 |
| Intestine | 2 | 1/1 | 1/1 | 1/1 | 1/1 | 1/1 |
| Oral swab | 1 | 1/0 | 1/0 | 1/0 | 1/0 | 1/0 |
| Total | 21 | 15/6 | 15/6 | 15/6 | 14/7 | 15/6 |
| Positive rate | / | 71.42% | 71.42% | 71.42% | 66.67% | 71.42% |
Disclaimer/Publisher’s Note: The statements, opinions and data contained in all publications are solely those of the individual author(s) and contributor(s) and not of MDPI and/or the editor(s). MDPI and/or the editor(s) disclaim responsibility for any injury to people or property resulting from any ideas, methods, instructions or products referred to in the content. |
© 2025 by the authors. Licensee MDPI, Basel, Switzerland. This article is an open access article distributed under the terms and conditions of the Creative Commons Attribution (CC BY) license (https://creativecommons.org/licenses/by/4.0/).
Share and Cite
Han, H.; Zhang, D.; Hao, W.; Liu, A.; Xia, N.; Cui, M.; Luo, J.; Jiang, S.; Zheng, W.; Chen, N.; et al. Parallel and Visual Detections of ASFV by CRISPR-Cas12a and CRISPR-Cas13a Systems Targeting the Viral S273R Gene. Animals 2025, 15, 1902. https://doi.org/10.3390/ani15131902
Han H, Zhang D, Hao W, Liu A, Xia N, Cui M, Luo J, Jiang S, Zheng W, Chen N, et al. Parallel and Visual Detections of ASFV by CRISPR-Cas12a and CRISPR-Cas13a Systems Targeting the Viral S273R Gene. Animals. 2025; 15(13):1902. https://doi.org/10.3390/ani15131902
Chicago/Turabian StyleHan, Hongjian, Desheng Zhang, Weilin Hao, Anjing Liu, Nengwen Xia, Meng Cui, Jia Luo, Sen Jiang, Wanglong Zheng, Nanhua Chen, and et al. 2025. "Parallel and Visual Detections of ASFV by CRISPR-Cas12a and CRISPR-Cas13a Systems Targeting the Viral S273R Gene" Animals 15, no. 13: 1902. https://doi.org/10.3390/ani15131902
APA StyleHan, H., Zhang, D., Hao, W., Liu, A., Xia, N., Cui, M., Luo, J., Jiang, S., Zheng, W., Chen, N., Gu, J., Bai, J., & Zhu, J. (2025). Parallel and Visual Detections of ASFV by CRISPR-Cas12a and CRISPR-Cas13a Systems Targeting the Viral S273R Gene. Animals, 15(13), 1902. https://doi.org/10.3390/ani15131902

