Parasitic Granulomatous Dermatitis Caused by Pelodera spp. in Buffalo on Marajó Island, Pará
Abstract
Simple Summary
Abstract
1. Introduction
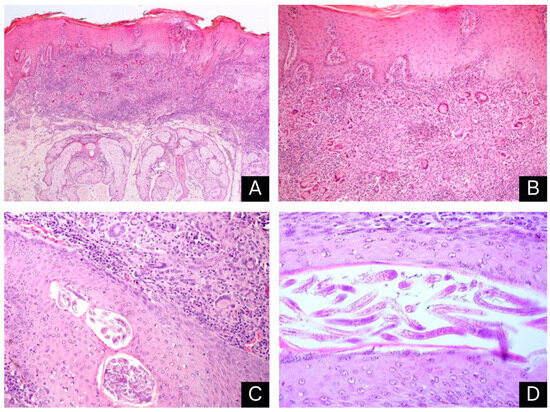
2. Case Report
3. Discussion
4. Conclusions
Author Contributions
Funding
Institutional Review Board Statement
Informed Consent Statement
Data Availability Statement
Acknowledgments
Conflicts of Interest
References
- I.B.B.E.—Instituto Brasileiro de Geografia e Estatística; de Bubalinos, R. (Búfalos) no Brasil. Available online: https://www.ibge.gov.br/explica/producao-agropecuaria/bubalinos/br (accessed on 1 October 2023).
- Damasceno, F.A.; Viana, J.M.; Tinôco, I.D.F.F.; Gomes, R.C.C.; Schiassi, L. Adaptação de bubalinos ao ambiente tropical. Rev. Eletr. Nutr. 2010, 7, 1370–1381. [Google Scholar]
- Da Silva, W.C.; Araújo, L.J.S.; Silva, L.K.X.; Reis, A.D.S.B. Lesões de pele diagnosticadas em búfalos (Bubalis bubalis) na região do baixo Amazonas. Rev. Bras. Ciênc. Vet. 2021, 28, 146–150. [Google Scholar] [CrossRef]
- Barbosa, J.D.; (Instituto de Medicina Veterinária, Universidade Federal do Pará, Castanhal, Brazil). Doenças de pele em búfalos no bioma Amazônico. Personal communication, 2023. [Google Scholar]
- Ginsburg, B.; Beaver, P.C.; Wilson, E.R.; Whitky, R.J. Dermatitis due to larvae of a soil nematode, Pelodera strongyloides. Pediatr. Dermatol. 1984, 2, 33–37. [Google Scholar] [CrossRef]
- Cliff, G.M.; Anderson, R.C. Development of Pelodera strongyloides (Schneider, 1860) Schneider, 1866 (Nematoda: Rhabditidae) in culture. J. Helminthol. 1980, 54, 135–146. [Google Scholar] [CrossRef]
- Saari, S.A.; Nikander, S.E. Pelodera (syn. Rhabditis) strongyloides as a cause of dermatitis—A report of 11 dogs from Finland. Acta Vet. Scand. 2006, 48, 18. [Google Scholar] [CrossRef][Green Version]
- Căpitan, R.G.; Noli, C. Trichoscopic diagnosis of cutaneous Pelodera strongyloides infestation in a dog. Vet. Dermatol. 2017, 28, 413-e100. [Google Scholar] [CrossRef]
- Acatrinei, D.; Miron, L.; Solcan, G. Pelodera strongyloides dermatitis in dog—Case report. Rev. Rom. Med. Vet. 2006, 16, 95–100. [Google Scholar]
- Yeruham, I.; Perl, S. Rhabditic dermatitis in a bull apparently caused by Pelodera strongyloides. Rev. Élev. Méd. Vét. Pays. Trop. 1998, 51, 121–122. [Google Scholar] [CrossRef]
- Yeruham, I.; Perl, S. Dermatitis in a dairy herd caused by Pelodera strongyloides (Nematoda: Rhabditidae). J. Vet. Med. 2005, 52, 197–198. [Google Scholar] [CrossRef]
- Rashmir-Raven, A.M.; Black, S.S.; Rickard, L.G.; Akin, M. Papillomatous pastern dermatitis with spirochetes and Pelodera strongyloides in a Tennessee Walking Horse. J. Vet. Diagn. Investig. 2000, 12, 287–291. [Google Scholar] [CrossRef]
- Ramos, J.J.; Luco, D.F.; Verde, M.T.; Lucientes, J.; Fernández, A. Pelodera dermatitis in sheep. Vet. Rec. 1996, 138, 474. [Google Scholar] [CrossRef]
- Röthig, A.; Hermosilla, C.R.; Taubert, A.; Thom, N. Pelodera strongyloides as a cause of severe erythematous dermatitis in 2 Guinea pigs (Cavia porcellus). J. Exot. Pet. Med. 2016, 25, 208–212. [Google Scholar] [CrossRef]
- Mchuron, E.A.; Miller, M.A.; Gardiner, C.H.; Batac, F.I.; Harvey, J.T. Pelodera strongyloides infection in Pacific harbor seals (Phoca vitulina richardii) from California. J. Zoo Wildl. 2013, 44, 799–802. [Google Scholar] [CrossRef] [PubMed]
- Fitzgerald, S.D.; Cooley, T.M.; Cosgrove, M.K. Sarcoptic mange and Pelodera dermatitis in an American black bear (Ursus americanus). J. Zoo Wildl. 2008, 39, 257–259. [Google Scholar] [CrossRef]
- Di Bari, M.A.; Di Pirro, V.; Ciucci, P.; Fondati, A.; Riccardi, G.; Bruno, R.; Latini, R.; Guberti, V.; Gentile, L.; Agrimi, U. Pelodera strongyloides in the critically endangered Apennine brown bear (Ursus arctos marsicanus). Res. Vet. Sci. 2022, 145, 50–53. [Google Scholar] [CrossRef]
- Pasyk, K. Dermatitis rhabditidosa in an 11-year-old girl: A new cutaneous parasitic disease of man. Br. J. Dermato. 1978, 98, 107–112. [Google Scholar] [CrossRef]
- Tanaka, A.; Kinoshita, M.; Tanaka, T.; Iwanaga, Y.; Kagei, N.; Hide, M. Pelodera strongyloides infestation presenting as pruritic dermatitis. J. Am. Acad. Dermatol. 2004, 51, S181–S184. [Google Scholar] [CrossRef]
- Barbosa, J.D.; Oliveira, C.M.C.; Duarte, M.D.; Albernaz, T.T.; Oliveira, C.A.; Riet-Correa, G.; Riet-Correa, F. Phosphorus deficiency in buffaloes in the state of Pará, Northern Brazil. Ital. J. Anim. Sci. 2007, 6, 971–973. [Google Scholar]
- Barbosa, J.D.; Lima, D.H.S.; Belo-Reis, A.S.; Pinheiro, C.P.; Sousa, M.G.; Silva, J.B.; Salvarani, F.M.; Oliveira, C.M.C. Doença articular degenerativa em bovinos e búfalos na Amazônia: Estudo retrospectivo. Pesq. Vet. Bras. 2014, 34, 845–850. [Google Scholar] [CrossRef]
- Andreazza, D.; Boos, G.S.; Boabaid, F.M.; Wouters, A.T.; Wouters, F.; Souza, S.O.; Menegat, M.B.; Driemeier, D. Caracterização histológica e imuno-histoquímica das lesões de tuberculose em bovinos e de linfadenite granulomatosa em suínos. Pesq. Vet. Bras. 2015, 35, 129–136. [Google Scholar] [CrossRef][Green Version]
- Madrigali, A.; Bonelli, F.; Sgorbini, M.; Citi, S.; Cantile, C.; Fratini, F.; Turini, L. Use of ultrasound in a case of Actinomycosis in a Holstein Friesian cow. Thai J. Vet. Med. 2020, 50, 115–119. [Google Scholar] [CrossRef]
- De Oliveira, C.H.; Barbosa, J.D.; Damasceno, K.A.; Cassali, G.D.; Oliveira, C.M.; Leite, R.C.; Reis, J.K. Multicentric lymphoma in buffaloes in the Amazon region, Brazil. BMC Vet. Res. 2016, 12, 238. [Google Scholar] [CrossRef]




Disclaimer/Publisher’s Note: The statements, opinions and data contained in all publications are solely those of the individual author(s) and contributor(s) and not of MDPI and/or the editor(s). MDPI and/or the editor(s) disclaim responsibility for any injury to people or property resulting from any ideas, methods, instructions or products referred to in the content. |
© 2024 by the authors. Licensee MDPI, Basel, Switzerland. This article is an open access article distributed under the terms and conditions of the Creative Commons Attribution (CC BY) license (https://creativecommons.org/licenses/by/4.0/).
Share and Cite
Barbosa, C.C.; Ferreira Filho, C.E.d.S.; Oliveira, C.M.C.; Ferreira, T.T.A.; Brito, M.d.F.; de Melo, S.M.P.; Paz, M.C.; Pavarini, S.P.; Driemeier, D.; Barbosa, J.D. Parasitic Granulomatous Dermatitis Caused by Pelodera spp. in Buffalo on Marajó Island, Pará. Animals 2024, 14, 1328. https://doi.org/10.3390/ani14091328
Barbosa CC, Ferreira Filho CEdS, Oliveira CMC, Ferreira TTA, Brito MdF, de Melo SMP, Paz MC, Pavarini SP, Driemeier D, Barbosa JD. Parasitic Granulomatous Dermatitis Caused by Pelodera spp. in Buffalo on Marajó Island, Pará. Animals. 2024; 14(9):1328. https://doi.org/10.3390/ani14091328
Chicago/Turabian StyleBarbosa, Camila Cordeiro, Carlos Eduardo da Silva Ferreira Filho, Carlos Magno Chaves Oliveira, Tatiane Teles Albernaz Ferreira, Marilene de Farias Brito, Stella Maris Pereira de Melo, Milena Carolina Paz, Saulo Petinatti Pavarini, David Driemeier, and José Diomedes Barbosa. 2024. "Parasitic Granulomatous Dermatitis Caused by Pelodera spp. in Buffalo on Marajó Island, Pará" Animals 14, no. 9: 1328. https://doi.org/10.3390/ani14091328
APA StyleBarbosa, C. C., Ferreira Filho, C. E. d. S., Oliveira, C. M. C., Ferreira, T. T. A., Brito, M. d. F., de Melo, S. M. P., Paz, M. C., Pavarini, S. P., Driemeier, D., & Barbosa, J. D. (2024). Parasitic Granulomatous Dermatitis Caused by Pelodera spp. in Buffalo on Marajó Island, Pará. Animals, 14(9), 1328. https://doi.org/10.3390/ani14091328

