Computed Tomographic Findings of Dental Disease and Secondary Diseases of the Head Area in Client-Owned Domestic Rabbits (Oryctolagus cuniculus): 90 Cases
Abstract
Simple Summary
Abstract
1. Introduction
1.1. Progressive Syndrome of Acquired Dental Disease
1.2. Diagnosis of Dental Disease in Domestic Rabbits
1.3. Use of Computed Tomography in the Diagnosis of Dental Disease in Domestic Rabbits
1.4. The Aim of this Study
2. Materials and Methods
2.1. Animal Testing Plan
- Qualification and preparation of the animal for CT scanning;
- Sedation/general anaesthesia of the animal;
- Computed tomography of the head with and without contrast agent.
2.2. Qualification and Preparation of Animals for CT Scanning
2.3. Sedation/General Anaesthesia of the Animals
- 4.
- Sedation: Medetomidine (Cepetor, 1 mg/mL, ScanVet, Gniezno, Poland) at a dose of 0.1 mg/kg b.w. and ketamine (Bioketan 100 mg/mL, Vetoquinol, Gorzów Wielkopolski, Poland) at a dose of 5 mg/kg b.w. given in one intramuscular injection;
- 5.
- General anaesthesia: In cases where sedation was insufficient for CT scanning, animals were administered general anaesthesia with propofol (Propofol-Lipuro, 10 mg/mL, Braun, Melsungen, Germany) at an initial dose of 1–2 mg/kg b.w. administered in a single intravenous injection. Subsequent doses of propofol were administered as needed.
2.4. Computed Tomography of the Head
- The mutual positioning of the mandibular and maxillary incisors and the mandibular and maxillary cheek teeth in relation to each other in order to assess the presence of malocclusion;
- Reserve crowns of incisors and cheek teeth for retrograde apical elongation;
- The presence of mandibular bone deformities secondary to the presence of the retrograde elongation of the apices of the incisor and cheek teeth;
- The presence of the deformation occurrences of the maxilla bone and the destruction of the orbital bone wall, secondary to the presence of retrograde elongation of the apices of the incisor and cheek teeth;
- Clinical crowns of incisors and cheek teeth for overgrowth;
- Clinical and reserve crowns of incisors and cheek teeth for inflammatory resorption;
- Soft tissues for the presence of dental abscesses;
- Mandibular and maxillary bone for osteomyelitis secondary to the presence of an abscess of dental origin;
- Nasal cavities for inflammation secondary to dental disease;
- Tympanic bulla for otitis media secondary to dental disease.
3. Results
3.1. Prevalence of Malocclusion
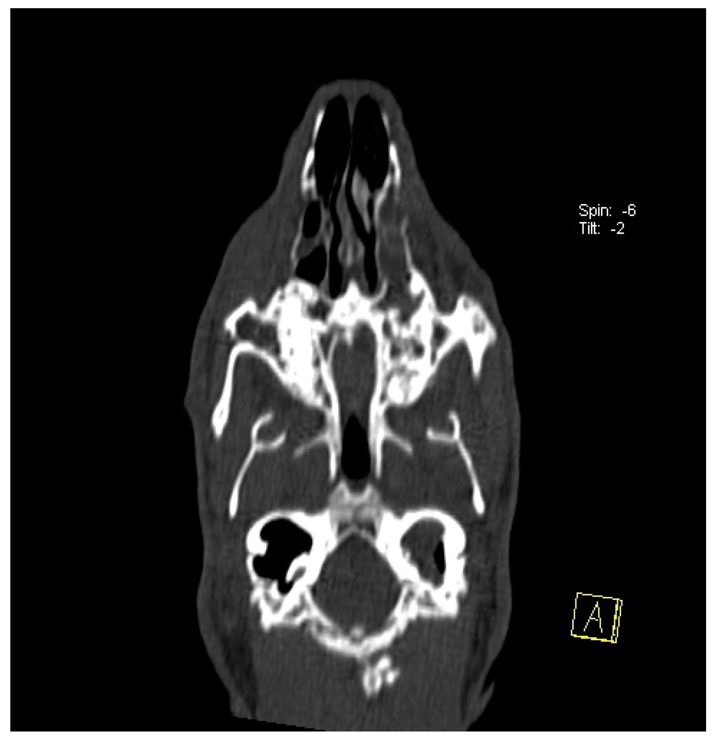
3.2. Prevalence of Retrograde Apical Elongation in the Mandible in Domestic Rabbits
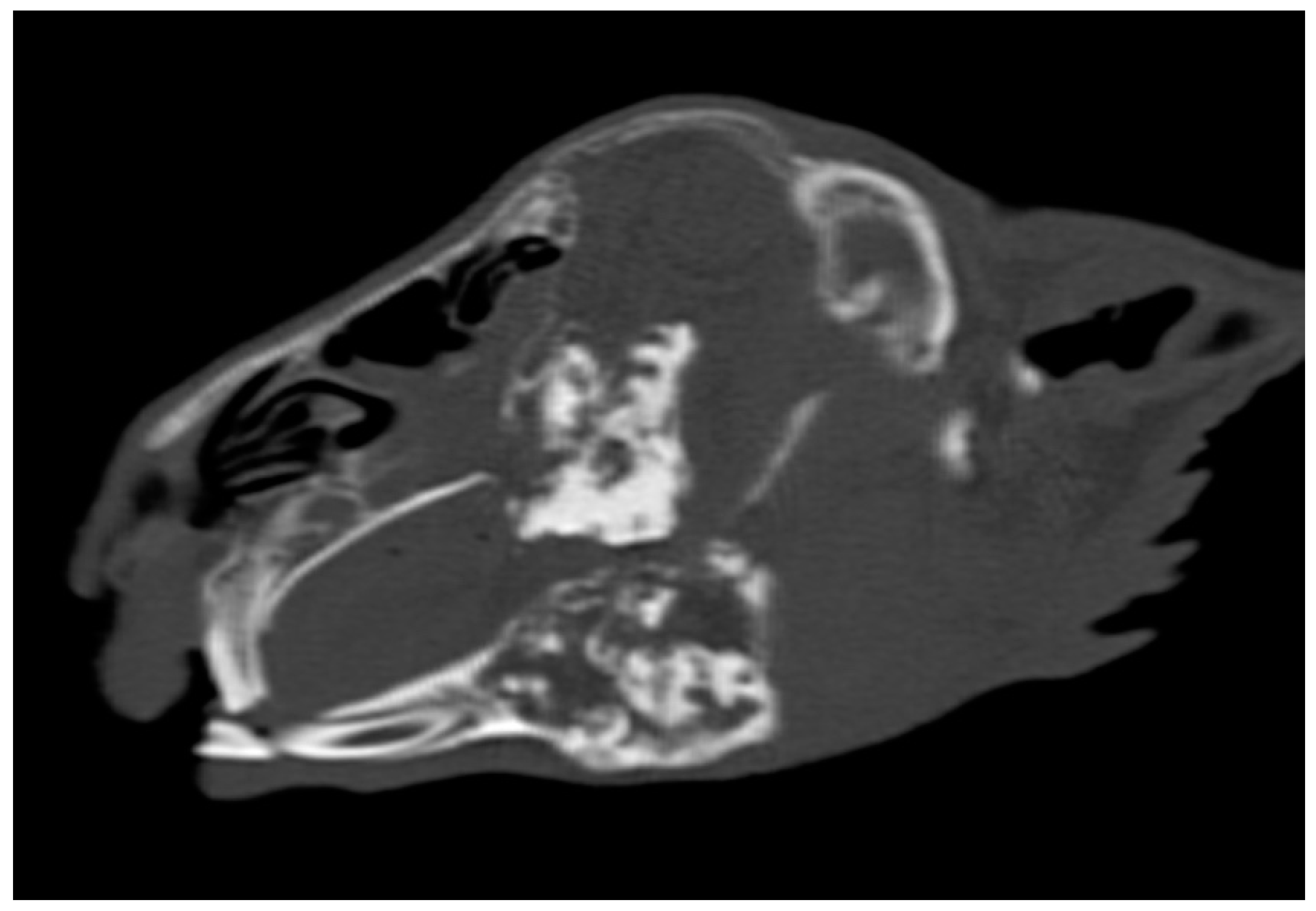
3.3. Prevalence of Retrograde Apical Elongation in the Maxilla and Bone Deformities Secondary to It
3.4. Prevalence of the Clinical Crown Overgrowth of Teeth in the Maxilla and Mandible
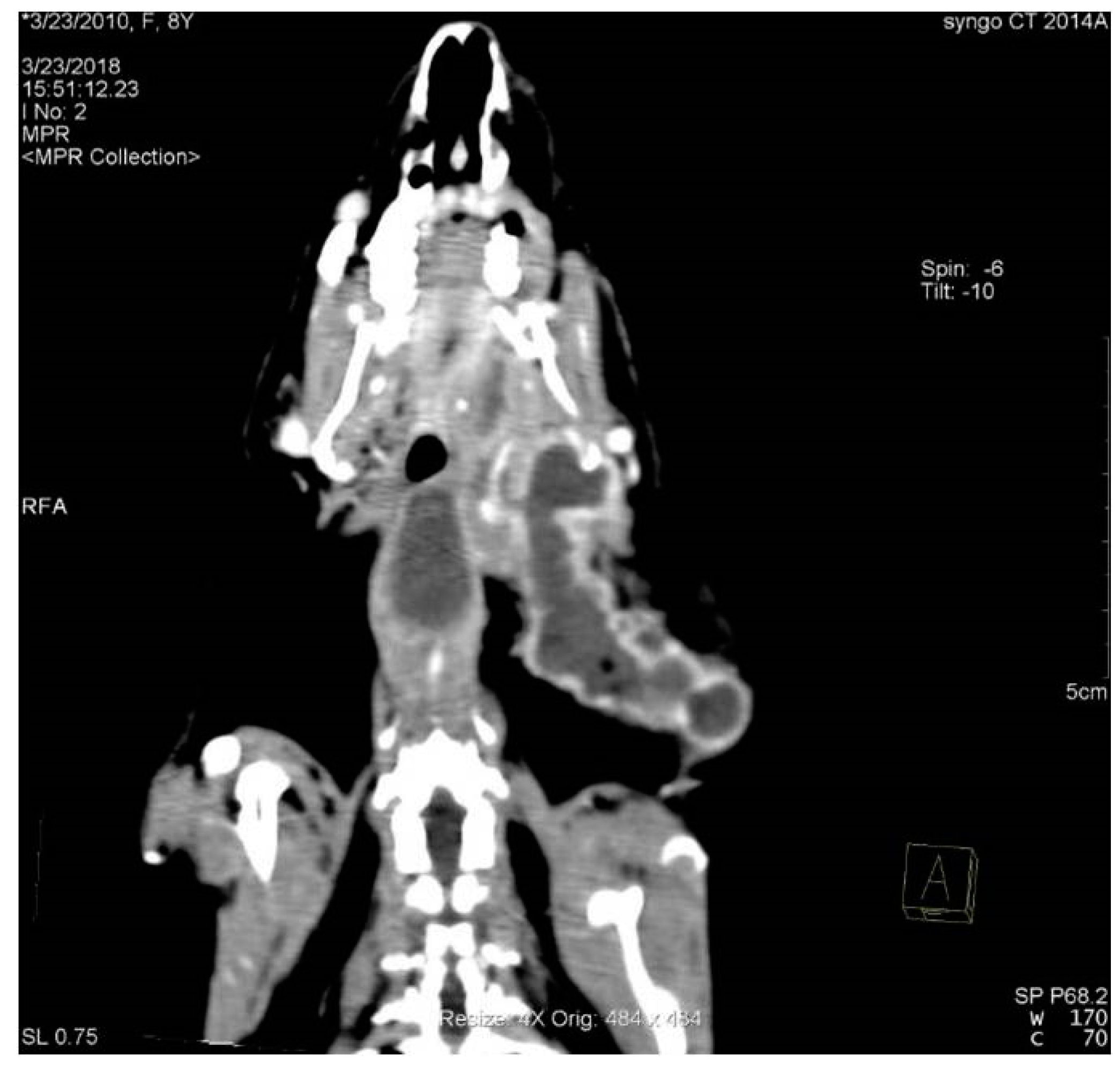
3.5. Incidence of Dental Abscesses and Secondary Osteomyelitis
3.6. Prevalence of Inflammatory Teeth Resorption
3.7. Prevalence, Secondary to Dental Disease, of Nasal Cavity Inflammation and Otitis Media in Domestic Rabbits
4. Discussion
5. Conclusions
Author Contributions
Funding
Institutional Review Board Statement
Informed Consent Statement
Data Availability Statement
Conflicts of Interest
References
- Böhmer, E. Dentistry in Rabbits and Rodents, 1st ed.; Wiley Blackwell: West Sussex, UK, 2015. [Google Scholar]
- Capello, V. Diagnosis and treatment of dental disease in pet rodents. J. Exot. Pet Med. 2008, 17, 114–123. [Google Scholar] [CrossRef]
- Mans, C.; Jekl, V. Anatomy and disorders of the oral cavity of chinchillas and degus. Vet. Clin. Exot. Anim. 2016, 19, 843–869. [Google Scholar] [CrossRef] [PubMed]
- Crossley, D.A. Oral biology and disorders of lagomorphs. Vet. Clin. Exot. Anim. 2003, 6, 629–659. [Google Scholar] [CrossRef] [PubMed]
- Donnelly, T.M.; Vella, D. Anatomy, physiology and non-dental disorders of the mouth of pet rabbits. Vet. Clin. Exot. Anim. 2016, 19, 737–756. [Google Scholar] [CrossRef] [PubMed]
- Reiter, A.M. Pathophysiology of dental disease in the rabbit, guinea pig and chinchilla. J. Exot. Pet Med. 2008, 17, 70–77. [Google Scholar] [CrossRef]
- Harcourt-Brown, F.M. The progressive syndrome of acquired dental disease in pet rabbits. J. Exot. Pet Med. 2007, 16, 146–157. [Google Scholar] [CrossRef]
- Aiken, S. Surgical treatment of dental abscesses in rabbits. In Ferrets, Rabbits, and Rodents—Clinical Medicine and Surgery, 2nd ed.; Quesenberry, K., Carpenter, J., Eds.; Saunders: St Louis, MN, USA, 2004. [Google Scholar]
- Cappello, V. Diagnostic Imaging of Dental Disease in Pet Rabbits and Rodents. Vet. Clin. N. Am. Exot. Anim. Pract. 2016, 19, 757–782. [Google Scholar] [CrossRef] [PubMed]
- Capello, V.; Cauduro, A. Clinical Technique: Application of Computed Tomography for Diagnosis of Dental Disease in the Rabbit, Guinea Pig and Chinchilla. J. Exot. Pet Med. 2018, 17, 93–101. [Google Scholar] [CrossRef]
- Schweda, M.C.; Hassan, J.; Böhler, A.; Tichy, A.; Reiter, A.M.; Künzel, F. The role of computed tomography in the assessment of dental disease in 66 guinea pigs. Vet. Rec. 2014, 175, 538–543. [Google Scholar] [CrossRef] [PubMed]
- Capello, V. Clinical technique: Treatment of periapical infections in pet rabbits and rodents. J. Exot. Pet Med. 2008, 17, 124–131. [Google Scholar] [CrossRef]
- Available online: https://leap.unep.org/en/countries/pl/national-legislation/act-protection-animals-used-scientific-or-educational-purposes (accessed on 8 April 2024).
- Bohmer, E.; Kostlin, R.G. Zahnerkrankungen bzw. anomalien bei Hasenartigen und Nagern. Diagnose, Therapie und Ergebnisse bei 83 Patienten [Dental diseases and abnormalities in lagomorphs and rodents: Diagnosis, treatment and results in 83 patients]. Prakt. Tierarzt 1988, 69, 37–50. [Google Scholar]
- Jekl, V.; Redrobe, S. Rabbit dental disease and calcium metabolism—The science behind divided opinions. J. Small Anim. Pract. 2013, 54, 481–490. [Google Scholar] [CrossRef] [PubMed]
- Derbaudrenghien, V.; Van Caelenberg, A.; Hermans, K.; Gielen, I.; Martel, A. Dental pathology in chinchillas. Vlaams Diergeneeskd. Tijdschr. 2010, 79, 345–358. [Google Scholar]
- Jekl, V.; Hauptman, K.; Knotek, Z. Quantitative and qualitative assessments of intraoral lesions in 180 small herbivorous mammals. Vet. Rec. 2008, 162, 442–449. [Google Scholar] [CrossRef] [PubMed]
- Tyrell, K.; Citron, D.; Jenkins, J.; Goldstein, E. Periodontal Bacteria in Rabbit Mandibular and Maxillary Abscesses. J. Clin. Microbiol. 2002, 40, 1044–1047. [Google Scholar] [CrossRef] [PubMed]
- Capello, V.; Lennox, A.M. Advanced diagnostic imaging and surgical treatment of an odontogenic retromasseteric abscess in a guinea pig. J. Small Anim. Pract. 2015, 56, 134–137. [Google Scholar] [CrossRef] [PubMed]
- Taylor, M.; Beaufrere, H.; Mans, C. Long-term outcome of treatment of dental abscesses with a wound-packing technique in pet rabbits: 13 cases (1998–2007). J. Am. Vet. Med. Assoc. 2010, 237, 1444–1449. [Google Scholar] [CrossRef] [PubMed]
- Petrini, D.; Pucinelli, C.; Citi, S.; Del Chicca, F. Computed Tomographic Findings Secondary to Dental Pathologies: Comparison between Rabbits and Guinea Pigs. Vet. Sci. 2023, 10, 705. [Google Scholar] [CrossRef] [PubMed]
- Riggs, G.G.; Cissell, D.D.; Arzi, B.; Hatcher, D.C.; Kass, P.H.; Zhen, A.; Verstraete, F.J. Clinical application of cone beam computed tomography of the rabbit head: Part 2-dental disease. Front. Vet. Sci. 2017, 4, 5. [Google Scholar] [CrossRef] [PubMed]
- Artiles, C.A.; Sanchez-Migallon Guzman, D.; Beaufrère, H.; Phillips, K.L. Computed tomographic findings of dental disease in domestic rabbits (Oryctolagus cuniculus): 100 cases (2009–2017). J. Am. Vet. Med. Assoc. 2020, 257, 313–327. [Google Scholar] [CrossRef] [PubMed]
- Koning, H.; Liebich, H.G. Anatomia Zwierząt Domowych. In Kolorowy Atlas i Podręcznik; Galaktyka sp. z.o.o.: Łódź, Polska, 2023; pp. 688–695. [Google Scholar]






| Degree | Characteristics |
|---|---|
| 1 | No features of the disease. |
| 2 | Elongation of the reserve crown and then the clinical crown. Change in shape, position, and structure of teeth; uneven occlusal surface. |
| 3 | Acquired malocclusion. On the surface of the second and third cheek teeth of the mandible, enamel manufacturing changes in the form of spurs. Overgrowth of the first and second maxillary cheek teeth towards the oral vestibule. Possible enamel loss and dentin formation abnormalities. |
| 4 | Tooth growth inhibition. |
| 5 | Advanced, end-stage dental disease—the crowns of the teeth disintegrate or break below the gum line. |
| Number of Animals | Number of Animals with Malocclusion (n = 90) | |||
|---|---|---|---|---|
| 90 | 57 (63.3%) | |||
| Cheek teeth (n = 57) | Incisor teeth (n = 57) | |||
| 54 (95%) | 36 (63%) | |||
| Single-sided (n = 54) | Both sides (n = 54) | Single-sided (n = 36) | Both sides (n = 36) | |
| 24 (44%) | 30 (55%) | 0 | 36 (100%) | |
| Number of animals with malocclusion of cheek teeth only (n = 57) | Number of animals with malocclusion of incisor teeth only (n = 57) | |||
| 21 (37%) | 3 (5%) | |||
| Number of animals with malocclusion of both incisor and cheek teeth (n = 57) | ||||
| 33 (58%) | ||||
| Number of Animals | Number of Animals with Elongated Apices (n = 90) | Number of Animals with Elongation of Incisor Apices (n = 39) | Number of Animals with Elongation of Cheek Teeth Apices (n = 39) | Number of Animals with Mandibular Bone Deformity (n = 39) | |||||||
|---|---|---|---|---|---|---|---|---|---|---|---|
| 90 | 39 (43%) | 3 (1%) | 39 (100%) | 21 (54%) | |||||||
| Single-sided (n = 39) | Both sides (n = 39) | Premolar teeth (n = 39) | Molars (n = 39) | Single-sided (n = 21) | Both sides (n = 21) | At the level of premolar teeth (n = 21) | At molar level (n = 21) | ||||
| 3 (8%) | 36 (92%) | 33 (85%) | 36 (92%) | 3(14%) | 18 (86%) | 18 (86%) | 18 (86%) | ||||
| Premolar teeth only (n = 13) (n = 39) | Molar teeth only (n = 13) (n = 39) | Both premolar and molar teeth (n = 13) (n = 39) | Only at the level of premolar teeth (n = 7) (n = 21) | Only at the molar level (n = 7) (n = 21) | At the level of both premolar and molar teeth (n = 7) (n = 21) | ||||||
| 3 (8%) | 6 (15%) | 30 (77%) | 3 (14%) | 3 (14%) | 15 (71%) | ||||||
| Number of Animals | Number of Animals with Apex Elongation (n = 90) | ||||||||
|---|---|---|---|---|---|---|---|---|---|
| 90 | 48 (53%) | ||||||||
| Single-sided (n = 48) | Both sides (n = 48) | Elongation of both incisors and cheek teeth apices (n = 48) | Elongation of incisor teeth only (n = 48) | Elongation of cheek teeth only (n = 48) | Elongation of premolar teeth (n = 48) | Elongation of molar teeth (n = 48) | Deformity of the body of the mandible (n = 48) | Deformity of the orbital bone wall (n = 48) | |
| 45 (94%) | 36 (75%) | 15 (31%) | 12 (25%) | ||||||
| 9 (19%) | 39 (81%) | 9 (19%) | 0 | 48 (100%) | Elongation of premolar teeth only (n = 48) | Elongation of molar teeth only (n = 48) | |||
| 12 (25%) | 3 (6%) | ||||||||
| Elongation of both premolar and molar teeth (n = 48) | |||||||||
| 33 (69%) | |||||||||
| Number of Animals | Number of Animals with Overgrowth (n = 90) | |||||||
|---|---|---|---|---|---|---|---|---|
| 90 | 39 (43%) | |||||||
| Overgrowth of incisor teeth (n = 39) | Overgrowth of cheek teeth (n = 39) | |||||||
| 15 (38%) | 39 (100%) | |||||||
| Single-sided (n = 15) | Both sides (n = 15) | Mandible (n = 15) | Maxilla (n = 15) | Mandible (n = 39) | Maxilla (n = 39) | |||
| 0 | 15 (100%) | 15 (100%) | 15 (100%) | 24 (61%) | 39 (100%) | |||
| Overgrowth in both the mandible and maxilla (n = 15) | Single-sided (n = 24) | Both sides (n = 24) | Single-sided (n = 39) | Both sides (n = 39) | ||||
| 15 (100%) | 9 (37%) | 15 (62%) | 21 (54%) | 18 (46%) | ||||
| Overgrowth of cheek teeth in both the mandible and maxilla (n = 13) (n = 39) | ||||||||
| 24 (61%) | ||||||||
| Overgrowth of both incisor and cheek teeth (n = 13) (n = 39) | ||||||||
| 15 (38%) | ||||||||
| Number of Animals | Number of Animals with Dental Abscesses (n = 90) | ||||||
|---|---|---|---|---|---|---|---|
| 90 | 54 (63%) | ||||||
| Incisor teeth (n = 54) | Premolar teeth (n = 54) | Molars (n = 54) | Maxilla (n = 54) | Mandible (n = 54) | Osteomyelitis (n = 54) | Number of retrobulbar abscesses (n = 54) | |
| 5 (10%) | 23 (42%) | 40 (74%) | 34 (63%) | 31 (58%) | 43 (79%) | 18 (37%) | |
| Abscesses originating from 1 tooth (n = 54) | Abscesses originating from >1 tooth (n = 54) | Both the maxilla and mandible (n = 54) | Presence of a fistula (n = 18) | ||||
| 42 (78%) | 11 (20%) | 9 (16%) | 13 (71%) | ||||
| Single abscess (n = 54) | Multiple abscesses (n = 54) | ||||||
| 28 (52%) | 25 (46%) | ||||||
| Number of Animals | Number of Animals with Inflammatory Teeth Resorption (n = 90) | |||||||
|---|---|---|---|---|---|---|---|---|
| 90 | 36 (40%) | |||||||
| Cheek teeth (n = 36) | Incisor teeth (n = 36) | |||||||
| 27 (75%) | 15 (42%) | |||||||
| Single-sided (n = 27) | Both sides (n = 27) | Mandible (n = 27) | Maxilla (n = 27) | Single-sided (n = 15) | Both sides (n = 15) | Mandible (n = 15) | Maxilla (n = 15) | |
| 24 (89%) | 3 (11%) | 27 (100%) | 21 (78%) | 12 (80%) | 3 (20%) | (60%) | (60%) | |
| In both the mandible and the maxilla (n = 27) | In both the mandible and the maxilla (n = 15) | |||||||
| 18 (67%) | 3 (20%) | |||||||
| Number of animals with inflammatory resorption of both cheek and incisor teeth (n = 36) | ||||||||
| 6 (17%) | ||||||||
Disclaimer/Publisher’s Note: The statements, opinions and data contained in all publications are solely those of the individual author(s) and contributor(s) and not of MDPI and/or the editor(s). MDPI and/or the editor(s) disclaim responsibility for any injury to people or property resulting from any ideas, methods, instructions or products referred to in the content. |
© 2024 by the authors. Licensee MDPI, Basel, Switzerland. This article is an open access article distributed under the terms and conditions of the Creative Commons Attribution (CC BY) license (https://creativecommons.org/licenses/by/4.0/).
Share and Cite
Borawski, W.; Kiełbowicz, Z.; Kubiak-Nowak, D.; Prządka, P.; Pasternak, G. Computed Tomographic Findings of Dental Disease and Secondary Diseases of the Head Area in Client-Owned Domestic Rabbits (Oryctolagus cuniculus): 90 Cases. Animals 2024, 14, 1160. https://doi.org/10.3390/ani14081160
Borawski W, Kiełbowicz Z, Kubiak-Nowak D, Prządka P, Pasternak G. Computed Tomographic Findings of Dental Disease and Secondary Diseases of the Head Area in Client-Owned Domestic Rabbits (Oryctolagus cuniculus): 90 Cases. Animals. 2024; 14(8):1160. https://doi.org/10.3390/ani14081160
Chicago/Turabian StyleBorawski, Wojciech, Zdzisław Kiełbowicz, Dominika Kubiak-Nowak, Przemysław Prządka, and Gerard Pasternak. 2024. "Computed Tomographic Findings of Dental Disease and Secondary Diseases of the Head Area in Client-Owned Domestic Rabbits (Oryctolagus cuniculus): 90 Cases" Animals 14, no. 8: 1160. https://doi.org/10.3390/ani14081160
APA StyleBorawski, W., Kiełbowicz, Z., Kubiak-Nowak, D., Prządka, P., & Pasternak, G. (2024). Computed Tomographic Findings of Dental Disease and Secondary Diseases of the Head Area in Client-Owned Domestic Rabbits (Oryctolagus cuniculus): 90 Cases. Animals, 14(8), 1160. https://doi.org/10.3390/ani14081160

