Clinical, Ovulatory and Histological Effect of a Postnatal Testosterone Treatment in Female Dogs
Abstract
Simple Summary
Abstract
1. Introduction
2. Materials and Methods
2.1. Animals and Pharmacological Protocols
2.2. Follow Up
2.3. Vaginal Cytology
2.4. Ovulation Diagnosis
2.5. Ovariohysterectomy
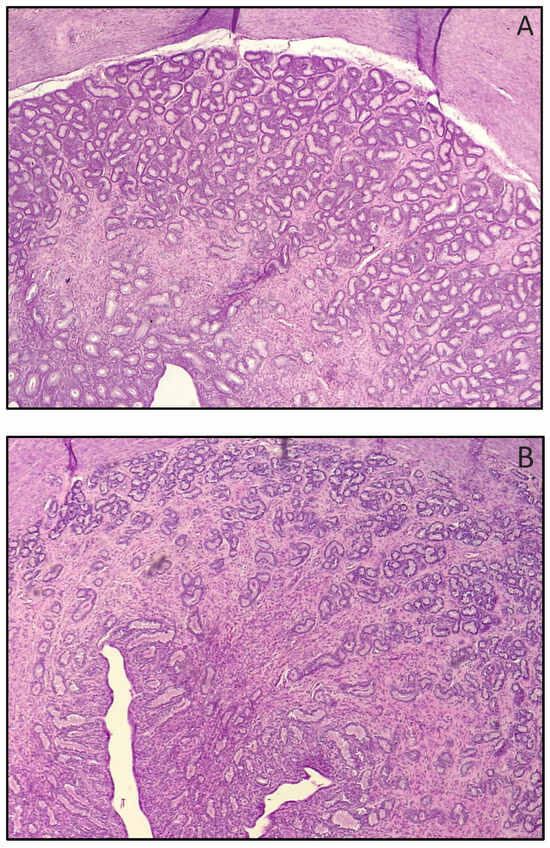
2.6. Gross and Histomorphometric Examinations
2.7. Statistical Analysis
3. Results
4. Discussion
5. Conclusions
Author Contributions
Funding
Institutional Review Board Statement
Informed Consent Statement
Data Availability Statement
Acknowledgments
Conflicts of Interest
References
- Maenhoudt, C.; Santos, N.R.; Fontbonne, A. Suppression of fertility in adult dogs. Reprod. Domest. Anim. 2014, 49 (Suppl. 2), 58–63. [Google Scholar] [CrossRef] [PubMed]
- Alliance for Contraception in Cats and Dogs (ACCD). International Symposium of Non-Surgical Methods for Pet Population Control; ACCD: Boston, MA, USA, 2018. [Google Scholar]
- Jackson, L.M.; Mytinger, A.; Roberts, E.K.; Lee, T.M.; Foster, D.L.; Padmanabhan, V.; Jansen, H.T. Developmental programming: Postnatal steroids complete prenatal steroid actions to differentially organize the GnRH surge mechanism and reproductive behavior in female sheep. Endocrinology 2013, 154, 1612–1623. [Google Scholar] [CrossRef] [PubMed][Green Version]
- Masek, K.S.; Wood, R.I.; Foster, D.L. Prenatal dihydrotestosterone differentially masculinizes tonic and surge modes of luteinizing hormone secretion in sheep. Endocrinology 1999, 140, 3459–3466. [Google Scholar] [CrossRef] [PubMed]
- Gorski, R.A.; Barraclough, C.A. The differential effectiveness of small dosages of testosterone propionate in the induction of sterility in the female rat. Anat. Rec. 1961, 139, 304. [Google Scholar]
- Harris, G.W.; Naftolin, F. The hypothalamus and control of ovulation. Br. Med. Bull. 1970, 26, 3–9. [Google Scholar] [CrossRef] [PubMed]
- Lobl, R.T. Androgenization: Alterations in the mechanism of oestrogen action. J. Endocrinol. 1975, 66, 79–84. [Google Scholar] [CrossRef] [PubMed]
- Lobl, R.T.; Gorski, R.A. Neonatal intrahypothalamic androgen administration: The influence of dose and age on androgenization of female rats. Endocrinology 1974, 94, 1325–1330. [Google Scholar] [CrossRef] [PubMed]
- Mena, M.A.; Arriaza, C.A.; Tchernitchin, A.N. Early postnatal androgenization imprints selective changes in the action of estrogens in the rat uterus. Biol. Reprod. 1992, 46, 1080–1085. [Google Scholar] [CrossRef] [PubMed][Green Version]
- Arai, Y.; Yamanouchi, K.; Mizukami, S.; Yanai, R.; Shibata, K.; Nagasawa, H. Induction of anovulatory sterility by neonatal treatment with 5 beta-dihydrotestosterone in female rats. Acta Endocrinol. 1981, 96, 439–443. [Google Scholar] [CrossRef]
- Pinilla, L.; Trimiño, E.; Garnelo, P.; Bellido, C.; Aguilar, R.; Gaytán, F.; Aguilar, E. Changes in pituitary secretion during the early postnatal period and anovulatory syndrome induced by neonatal oestrogen or androgen in rats. J. Reprod. Fertil. 1993, 97, 13–20. [Google Scholar] [CrossRef][Green Version]
- Chávez-Genaro, R.; Toledo, A.; Hernández, K.; Anesetti, G. Structural and functional changes in rat uterus induced by neonatal androgenization. J. Mol. Histol. 2022, 53, 903–914. [Google Scholar] [CrossRef] [PubMed]
- Ventanas, J.; López-Bote, C.J.; García, C. Further signs of postnatal sexual differentiation in pigs. Exp. Clin. Endocrinol. 1992, 99, 119–122. [Google Scholar] [CrossRef] [PubMed]
- Barraclough, C.A. Production of anovulatory, sterile rats by single injections of testosterone propionate. Endocrinology 1961, 68, 62–67. [Google Scholar] [CrossRef] [PubMed]
- Lobl, R.T.; Maenza, R.M. The ontogeny of uterine pathology and pathophysiology following neonatal androgen administration. Biol. Reprod. 1977, 16, 182–189. [Google Scholar] [CrossRef] [PubMed]
- Demaldé, L.; Lopez Merlo, M.; Vercellini, R.; Barbeito, C.G.; Fernandez, P.; Gobello, C. Disrupting effect of androgens in postnatal female domestic cats. Anim. Reprod. Sci. 2016, 171, 65–71. [Google Scholar] [CrossRef] [PubMed]
- Beach, F.A.; Buehler, M.G.; Dunbar, I.F. Sexual cycles in female dogs treated with androgen during development. Behav. Neural Biol. 1983, 38, 1–31. [Google Scholar] [CrossRef]
- Budde, J.; McCluskey, D. Plumb’s Veterinary Drug Handbook, 10th ed.; John Wiley & Sons Inc.: Madison, WI, USA, 2023; ISBN 978-1-394-17220-7. [Google Scholar]
- Gobello, C. Prepubertal and pubertal canine reproductive studies: Conflicting aspects. Reprod. Domest. Anim. 2014, 49, e70–e73. [Google Scholar] [CrossRef] [PubMed]
- Olson, P.; Thrall, M.; Wykas, P.; Nett, T.; Sawyer, H. Vaginal cytology part I. A useful tool for staging canine oestrus cycle. Compend. Contin. Educ. Pr. Vet. 1984, 6, 288–297. [Google Scholar]
- Arnold, E. Ovary and uterus. In Textbook of Small Animal Surgery, 3rd ed.; Slatter, D., Ed.; Saunders: Philadelphia, PA, USA, 2002; pp. 1496–1498. Volume 2. [Google Scholar]
- Songsasen, N.; Fickes, A.; Pukazhenthi, B.S.; Wildt, D.E. Follicular morphology, oocyte diameter and localisation of fibroblast growth factors in the domestic dog ovary. Reprod. Domest. Anim. 2009, 44 (Suppl. 2), 65–70. [Google Scholar] [CrossRef]
- Gougeon, A.; Chainy, G.B. Morphometric studies of small follicles in ovaries of women at different ages. J. Reprod. Fertil. 1987, 81, 433–442. [Google Scholar] [CrossRef]
- Gorski, R.A.; Harlan, R.E.; Christensen, L.W. Perinatal hormonal exposure and the development of neuroendocrine regulatory processes. J. Toxicol. Environ. Health 1977, 3, 97–121. [Google Scholar] [CrossRef] [PubMed]
- Mason, K.A.; Schoelwer, M.J.; Rogol, A.D. Androgens During Infancy, Childhood, and Adolescence: Physiology and Use in Clinical Practice. Endocr. Rev. 2020, 41, bnaa003. [Google Scholar] [CrossRef] [PubMed]
- Jang, H.; Bhasin, S.; Guarneri, T.; Serra, C.; Schneider, M.; Lee, M.J.; Guo, W.; Fried, S.K.; Pencina, K.; Jasuja, R. The effects of a single developmentally entrained pulse of testosterone in female neonatal mice on reproductive and metabolic functions in adult life. Endocrinology 2015, 156, 3737–3746. [Google Scholar] [CrossRef]
- Gorski, R.A.; Barraclough, C.A. Effects of low dosages of androgen on the differentiation of hypothalamic regulatory control of ovulation in the rat. Endocrinology 1963, 73, 210–216. [Google Scholar] [CrossRef] [PubMed]
- Knapczyk-Stwora, K.; Grzesiak, M.; Ciereszko, R.E.; Czaja, E.; Koziorowski, M.; Slomczynska, M. The impact of sex steroid agonists and antagonists on folliculogenesis in the neonatal porcine ovary via cell proliferation and apoptosis. Theriogenology 2018, 113, 19–26. [Google Scholar] [CrossRef] [PubMed]
- Chávez-Genaro, R.; Anesetti, G. First ovarian response to gonadotrophin stimulation in rats exposed to neonatal androgen excess. J. Mol. Histol. 2018, 49, 631–637. [Google Scholar] [CrossRef] [PubMed]
- Ongaro, L.; Salvetti, N.R.; Giovambattista, A.; Spinedi, E.; Ortega, H.H. Neonatal androgenization-induced early endocrine-metabolic and ovary misprogramming in the female rat. Life Sci. 2015, 130, 66–72. [Google Scholar] [CrossRef] [PubMed]
- Tyndall, V.; Broyde, M.; Sharpe, R.; Welsh, M.; Drake, A.J.; McNeilly, A.S. Effect of androgen treatment during foetal and/or neonatal life on ovarian function in prepubertal and adult rats. Reproduction 2012, 143, 21–33. [Google Scholar] [CrossRef]
- Anesetti, G.; Chávez-Genaro, R. Ovarian follicular dynamics after aromatizable or non aromatizable neonatal androgenization. J. Mol. Histol. 2016, 47, 491–501. [Google Scholar] [CrossRef]


| Testosterone | Control | p | |
|---|---|---|---|
| Age at puberty (weeks) | 51.75 ± 9.94 | 53.50 ± 11.26 | >0.05 | 
| Body weight (kg) | 14.23 ± 4.67 | 15.50 ± 5.48 | >0.05 | 
| Ovarian volume (cm3) | 0.98 ± 0.32 | 1.08 ± 0.38 | >0.05 | 
| Ovarian weight (kg) | 1.20 ± 0.34 | 1.32 ± 0.43 | >0.05 | 
| Gonadosomatic index (%) | 0.02 ± 0.00 | 0.02 ± 0.00 | >0.05 | 
| Treated | Control | p | |||
|---|---|---|---|---|---|
| Mean ± SEM | % | Mean ± SEM | % | ||
| Primordial | 72,938.96 ± 13,006.80 | 87.59 | 112,323.38 ± 3285.77 | 91.06 | 0.08 | 
| Primary | 3947.38 ± 1155.41 | 4.74 | 8275.60 ± 3574.91 | 6.71 | 0.49 | 
| Secondary | 6158.87 ± 3494.90 | 7.40 | 2680.62 ± 857.76 | 2.17 | 0.44 | 
| Antral | 226.26 ± 117.58 | 0.27 | 68.34 ± 1.53 | 0.06 | 0.33 | 
| Total | 83,271.47 | 123,347.94 | |||
| Treated | Control | p | |
|---|---|---|---|
| Mean ± SEM | Mean ± SEM | ||
| Height of the endometrium | 925.46 ± 88.56 | 986.27 ± 74.18 | 0.41 | 
| Area of the uterine glands/μm2 of the endometrium | 0.35 ± 0.01 | 0.23 ± 0.01 | <0.01 | 
| Height of the luminal epithelium | 7.63 ± 0.09 | 6.59 ± 0.05 | <0.01 | 
| Height of the glandular epithelium | 11.11 ± 0.20 | 8.93 ± 0.12 | <0.01 | 
| Myometrial thickness | 922.51 ± 106.82 | 903.31 ± 42.10 | 0.93 | 
| Disclaimer/Publisher’s Note: The statements, opinions and data contained in all publications are solely those of the individual author(s) and contributor(s) and not of MDPI and/or the editor(s). MDPI and/or the editor(s) disclaim responsibility for any injury to people or property resulting from any ideas, methods, instructions or products referred to in the content. | 
© 2024 by the authors. Licensee MDPI, Basel, Switzerland. This article is an open access article distributed under the terms and conditions of the Creative Commons Attribution (CC BY) license (https://creativecommons.org/licenses/by/4.0/).
Share and Cite
Marchetti, C.; Grisolia-Romero, M.; Priotto, M.; Faya, M.; Gobello, C. Clinical, Ovulatory and Histological Effect of a Postnatal Testosterone Treatment in Female Dogs. Animals 2024, 14, 1049. https://doi.org/10.3390/ani14071049
Marchetti C, Grisolia-Romero M, Priotto M, Faya M, Gobello C. Clinical, Ovulatory and Histological Effect of a Postnatal Testosterone Treatment in Female Dogs. Animals. 2024; 14(7):1049. https://doi.org/10.3390/ani14071049
Chicago/Turabian StyleMarchetti, Cynthia, Mariela Grisolia-Romero, Marcelo Priotto, Marcela Faya, and Cristina Gobello. 2024. "Clinical, Ovulatory and Histological Effect of a Postnatal Testosterone Treatment in Female Dogs" Animals 14, no. 7: 1049. https://doi.org/10.3390/ani14071049
APA StyleMarchetti, C., Grisolia-Romero, M., Priotto, M., Faya, M., & Gobello, C. (2024). Clinical, Ovulatory and Histological Effect of a Postnatal Testosterone Treatment in Female Dogs. Animals, 14(7), 1049. https://doi.org/10.3390/ani14071049
 
        

 
       