Different Types of Co-Infection by Contagious Ecthyma Virus, Enteropathogenic Escherichia coli, Mycoplasma conjunctivae, Ecto- and Endo-Parasites in Four Young Alpine Ibex (Capra ibex)
Simple Summary
Abstract
1. Introduction
2. Materials and Methods
2.1. Study Area and Animal Origin
2.2. Postmortem Examination and Diagnostic Protocol
2.2.1. Parasitological Exams
2.2.2. Bacteriological Exams
2.2.3. Histological Exams
2.2.4. Molecular Assays
3. Results
3.1. Biometry
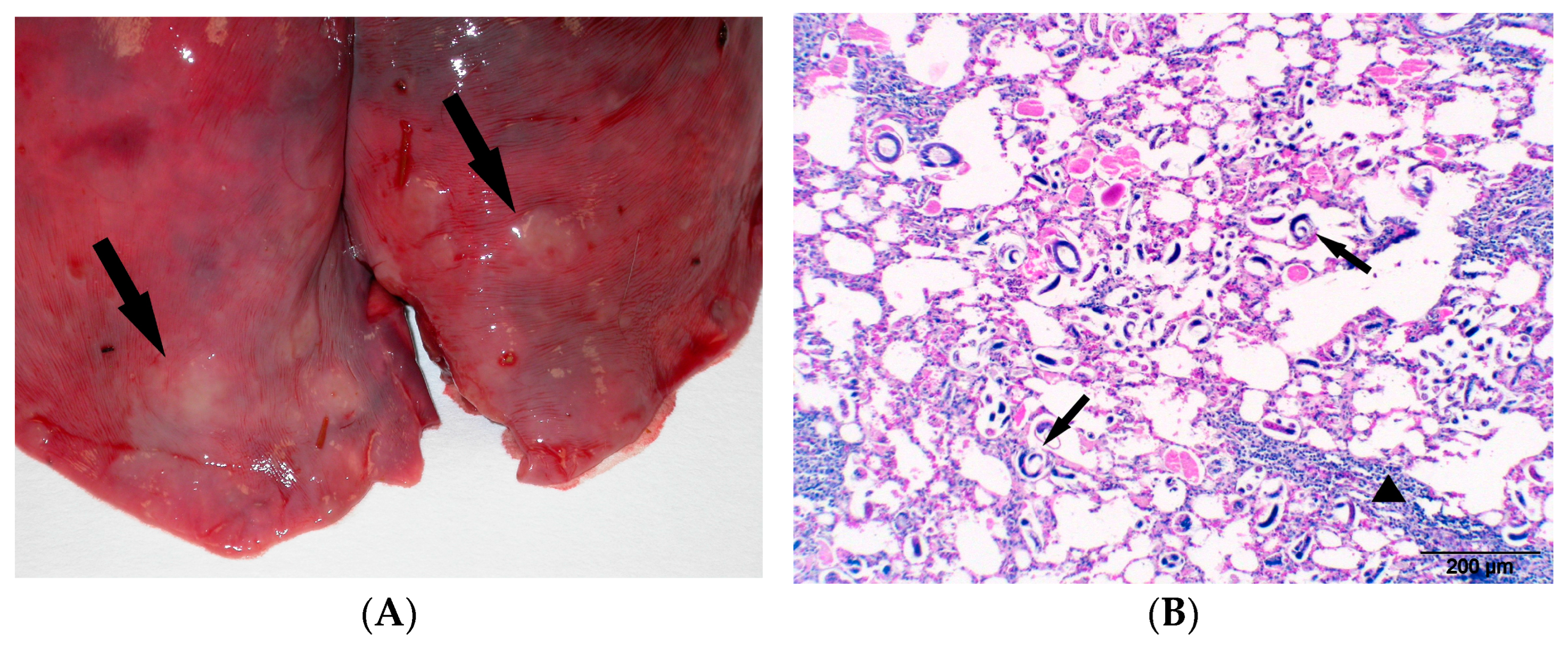
3.2. Gross Lesions and Analytical Results
4. Discussion
5. Conclusions
Supplementary Materials
Author Contributions
Funding
Institutional Review Board Statement
Informed Consent Statement
Data Availability Statement
Acknowledgments
Conflicts of Interest
References
- Rossi, L.; Tizzani, P.; Rambozzi, L.; Moroni, B.; Meneguz, P.G. Sanitary emergencies at the wild/domestic caprines interface in Europe. Animals 2019, 9, 922. [Google Scholar] [CrossRef] [PubMed]
- Spyrou, V.; Valiakos, G. Orf virus infection in sheep or goats. Vet. Microbiol. 2015, 181, 178–182. [Google Scholar] [CrossRef] [PubMed]
- Tryland, M.; Beckmen, K.B.; Burek-Huntington, K.A.; Breines, E.M.; Klein, J. Orf virus infection in Alaskan mountain goats, Dall’s sheep, muskoxen, caribou and Sitka black-tailed deer. Acta Vet. Scand. 2018, 60, 12. [Google Scholar] [CrossRef] [PubMed]
- Robinson, A.J.; Mercer, A.A. Parapoxvirus of red deer: Evidence for its inclusion as a new member in the genus Parapoxvirus. Virology 1995, 208, 812–815. [Google Scholar] [CrossRef]
- Friederichs, S.; Krebs, S.; Blum, H.; Lang, H.; Buttner, M. Parapoxvirus (PPV) of red deer reveals subclinical infection and confirms a unique species. J. Gen. Virol. 2015, 96, 1446–1462. [Google Scholar] [CrossRef] [PubMed]
- Roess, A.A.; Galan, A.; Kitces, E.; Li, Y.; Zhao, H.; Paddock, C.D.; Adem, P.; Goldsmith, C.S.; Miller, D.; Reynolds, M.G.; et al. Novel deer-associated Parapoxvirus infection in deer hunters. N. Engl. J. Med. 2010, 363, 2621–2627. [Google Scholar] [CrossRef]
- Roess, A.A.; McCollum, A.M.; Gruszynski, K.; Zhao, H.; Davidson, W.; Lafon, N.; Engelmeyer, T.; Moyer, B.; Godfrey, C.; Kilpatrick, H.; et al. Surveillance of Parapoxvirus among ruminants in Virginia and Connecticut. Zoonoses Public Health 2013, 60, 543–548. [Google Scholar] [CrossRef] [PubMed]
- Scagliarini, A.; Vaccari, F.; Turrini, F.; Bianchi, A.; Cordioli, P.; Lavazza, A. Parapoxvirus Infections of Red Deer, Italy. Emerg. Infect. Dis. 2011, 17, 684–687. [Google Scholar] [CrossRef]
- Horner, G.W.; Robinson, A.J.; Hunter, R.; Cox, B.T.; Smith, R. Parapoxvirus infections in New Zealand farmed red deer. N. Z. Vet. J. 1987, 35, 41–45. [Google Scholar] [CrossRef]
- Kitchen, M.; Müller, H.; Zobl, A.; Windisch, A.; Romani, N.; Huemer, H. ORF virus infection in a hunter in Western Austria, presumably transmitted by game. Acta Derm.-Venereol. 2014, 94, 212–214. [Google Scholar] [CrossRef]
- Scagliarini, A.; Casà, G.; Trentin, B.; Gallina, L.; Savini, F.; Morent, M.; Lavazza, A.; Puleio, R.; Buttaci, C.; Cannella, V.; et al. Evidence of zoonotic Poxviridae coinfection clinically diagnosed papillomas using a newly developed mini-array test. J. Vet. Diagn. Investig. 2016, 28, 59–64. [Google Scholar] [CrossRef] [PubMed]
- Gallina, L.; Savini, F.; Casà, G.; Bertoletti, I.; Bianchi, A.; Gibelli, L.R.; Lelli, D.; Lavazza, A.; Scagliarini, A. Epitheliotropic Infections in Wildlife Ruminants from the Central Alps and Stelvio National Park. Front. Vet. Sci. 2020, 30, 229. [Google Scholar] [CrossRef] [PubMed]
- Smith, K.J.; Skelton, H.G.; James, W.D.; Lupton, G.P. Parapoxvirus infections acquired after exposure to wildlife. Arch. Dermatol. 1991, 127, 79–82. [Google Scholar] [CrossRef] [PubMed]
- Kuhl, J.T.; Huerter, C.J.; Hashish, H. A case of human orf contracted from a deer. Cutis 2003, 71, 288–290. [Google Scholar]
- Alonso, C.A.; Mora, A.; Díaz, D.; Blanco, M.; González-Barrio, D.; Ruiz-Fons, F.; Simón, C.; Blanco, J.; Torres, C. Occurrence and characterization of stx and/or eae-positive Escherichia coli isolated from wildlife, including a typical EPEC strain from a wild boar. Vet. Microbiol. 2017, 207, 69–73. [Google Scholar] [CrossRef] [PubMed]
- Cepeda-Molero, M.; Berger, C.N.; Walsham, A.D.S.; Ellis, S.J.; Wemyss-Holden, S.; Schüller, S.; Frankel, G.; Fernández, L.Á. Attaching and effacing (A/E) lesion formation by enteropathogenic E. coli on human intestinal mucosa is dependent on non-LEE effectors. PLoS Pathog. 2017, 13, e1006706. [Google Scholar]
- Nataro, J.P.; Kaper, J.B. Diarrheagenic Escherichia coli. Clin. Microbiol. Rev. 1998, 11, 142–201. [Google Scholar] [CrossRef]
- Smoglica, C.; Vergara, A.; Angelucci, S.; Festino, A.R.; Antonucci, A.; Moschetti, L.; Farooq, M.; Marsilio, F.; Di Francesco, C.E. Resistance Patterns, mcr-4 and OXA-48 Genes, and Virulence Factors of Escherichia coli from Apennine Chamois Living in Sympatry with Domestic Species, Italy. Animals 2022, 12, 129. [Google Scholar] [CrossRef]
- Turchi, B.; Dec, M.; Bertelloni, F.; Winiarczyk, S.; Gnat, S.; Bresciani, F.; Viviani, F.; Cerri, D.; Fratini, F. Antibiotic Susceptibility and Virulence Factors in Escherichia coli from Sympatric Wildlife of the Apuan Alps Regional Park (Tuscany, Italy). Microb. Drug Resist. 2019, 25, 772–780. [Google Scholar] [CrossRef]
- Hofer, E.; Cernela, N.; Stephan, R. Shiga toxin subtypes associated with Shiga toxin-producing Escherichia coli strains isolated from red deer, roe deer, chamois, and ibex. Foodborne Pathog. Dis. 2012, 9, 792–795. [Google Scholar] [CrossRef]
- Chandran, A.; Mazumder, A. Prevalence of diarrhea-associated virulence genes and genetic diversity in Escherichia coli isolates from fecal material of various animal hosts. Appl. Environ. Microbiol. 2013, 79, 7371–7380. [Google Scholar] [CrossRef]
- Obwegeser, T.; Stephan, R.; Hofer, E.; Zweifel, C. Shedding of foodborne pathogens and microbial carcass contamination of hunted wild ruminants. Vet. Microbiol. 2012, 159, 149–154. [Google Scholar] [CrossRef] [PubMed]
- Giacometti, M.; Janovsky, M.; Belloy, L.; Frey, J. Infectious keratoconjunctivitis of ibex, chamois and other Caprinae. Sci. Tech. Rev. 2002, 21, 335–345. [Google Scholar] [CrossRef] [PubMed]
- Tschopp, R.; Frey, J.; Zimmermann, L.; Giacometti, M. Outbreaks of infectious keratoconjunctivitis in alpine chamois and ibex in Switzerland between 2001 and 2003. Vet Rec. 2005, 157, 13–18. [Google Scholar] [CrossRef]
- Grattarola, C.; Frey, J.; Abdo, E.M.; Orusa, R.; Nicolet, J.; Giacometti, M. Mycoplasma conjunctivae infections in chamois and ibexes affected with infectious keratoconjunctivitis in the Italian Alps. Vet. Rec. 1999, 145, 588–589. [Google Scholar] [CrossRef] [PubMed]
- Fernández-Aguilar, X.; Cabezón, O.; Frey, J.; Velarde, R.; Serrano, E.; Colom-Cadena, A.; Gelormini, G.; Marco, I.; Mentaberre, G.; Lavín, S.; et al. Long-term dynamics of Mycoplasma conjunctivae at the wildlife-livestock interface in the Pyrenees. PLoS ONE 2017, 12, e0186069. [Google Scholar] [CrossRef] [PubMed]
- Fernández-Aguilar, X.; Cabezón, Ó.; Granados, J.E.; Frey, J.; Serrano, E.; Velarde, R.; Cano-Manuel, F.J.; Mentaberre, G.; Ráez-Bravo, A.; Fandos, P.; et al. Postepizootic persistence of asymptomatic Mycoplasma conjunctivae infection in Iberian ibex. Appl. Environ. Microbiol. 2017, 83, e00690-17. [Google Scholar] [CrossRef]
- Cassini, R.; Párraga, M.A.; Signorini, M.; Frangipane di Regalbono, A.; Sturaro, E.; Rossi, L.; Ramanzin, M. Lungworms in Alpine ibex (Capra ibex) in the eastern Alps, Italy: An ecological approach. Vet. Parasitol. 2015, 214, 132–138. [Google Scholar] [CrossRef] [PubMed]
- Marreros, N.; Frey, C.F.; Willisch, C.S.; Signer, C.; Ryser-Degiorgis, M.P. Coprological analyses on apparently healthy Alpine ibex (Capra ibex ibex) from two Swiss colonies. Vet. Parasitol. 2012, 186, 382–389. [Google Scholar] [CrossRef] [PubMed]
- Sarasa, M.; Serrano, E.; Soriguer, R.C.; Granados, J.E.; Fandos, P.; Gonzalez, G.; Joachim, J.; Pérez, J.M. Negative effect of the arthropod parasite, Sarcoptes scabiei, on testes mass in Iberian ibex, Capra pyrenaica. Vet. Parasitol. 2011, 175, 306–312. [Google Scholar] [CrossRef]
- Yeruham, I.; Rosen, S.; Hadani, A.; Braverman, Y. Arthropod parasites of Nubian ibexes (Capra ibex nubiana) and gazelles (Gazella gazella) in Israel. Vet. Parasitol. 1999, 83, 167–173. [Google Scholar] [CrossRef] [PubMed]
- Zanet, S.; Ferroglio, E.; Orlandini, F.; Bassano, B.; Battisti, E.; Brambilla, A. Bronchopulmonary Nematodes in Alpine Ibex: Shedding of First Stage Larvae Analyzed at the Individual Host Level. Front. Vet. Sci. 2021, 8, 663268. [Google Scholar] [CrossRef]
- Cringoli, G.; Iori, A.; Rinaldi, L.; Veneziano, V.; Genchi, C. Zecche d’Italia. Mappe Parassitol. 2005, 6, 1–308. [Google Scholar]
- Estrada-Peña, A.; Bouattour, A.; Camicas, J.L.; Walker, A.R. Ticks of Domestic Animals in the Mediterranean Region: A Guide to Identification of Species; University of Zaragoza: Zaragoza, Spain, 2004; pp. 1–221. [Google Scholar]
- Tremblay, E. Entomologia applicata. Da Ditteri Brachiceri (Caliptrati) a Sifanotteri e Strepsitteri; Liguori: Napoli, Italy, 1997; Volume 3, pp. 1–140. [Google Scholar]
- ISO/TS 13136/2012. Microbiology of Food and Animal Feed—Realtime Polymerase Chain Reaction (PCR)-Based Method for the Detection of Food-Borne Pathogens—Horizontal Method for the Detection of Shiga Toxin-Producing Escherichia coli (STEC) and the Determination of O157, O111, O26, O103 and O145 Serogroups. International Organization for Standardization: Geneva, Switzerland, 2012.
- Lee, G.L. Manual of Histologic Staining Methods of the Armed Forces Institute of Pathology, 3rd ed.; Blakiston Division, McGraw-Hill: New York, NY, USA, 1968; pp. 1–258. [Google Scholar]
- Bora, D.P.; Venkatesan, G.; Bhanuprakash, V.; Balamurugan, V.; Prabhu, M.; Siva Sankar, M.S.; Yogisharadhya, R. TaqMan real-time PCR assay based on DNA polymerase gene for rapid detection of Orf infection. J. Virol. Methods 2011, 178, 249–252. [Google Scholar] [CrossRef]
- Vilei, E.M.; Bonvin-Klotz, L.; Zimmermann, L.; Ryser-Degiorgis, M.P.; Giacometti, M.; Frey, J. Validation and diagnostic efficacy of a TaqMan real-time PCR for the detection of Mycoplasma conjunctivae in the eyes of infected Caprinae. J. Microbiol. Methods 2007, 70, 384–386. [Google Scholar] [CrossRef] [PubMed]
- Belloy, L.; Vilei, E.M.; Giacometti, M.; Frey, J. Characterization of LppS, an adhesin of Mycoplasma conjunctivae. Microbiology 2003, 149, 185–193. [Google Scholar] [CrossRef] [PubMed]
- Mustoni, A.; Pedrotti, L.; Zanon, E.; Tosi, G. Ungulati delle Alpi. Biologia, Riconoscimento, Gestione; Nitida Immagine Editrice: Cles, Italy, 2002; pp. 1–539. [Google Scholar]
- Ueda, N.; Inder, M.K.; Wise, L.M.; Fleming, S.B.; Mercer, A.A. Parapoxvirus of red deer in New Zealand encodes a variant of viral vascular endothelial growth factor. Virus Res. 2007, 124, 50–58. [Google Scholar] [CrossRef] [PubMed]
- Lee, D.W.; Gwack, J.; Youn, S.K. Enteropathogenic Escherichia coli Outbreak and its Incubation Period: Is it Short or Long? Osong Public Health Res. Perspect. 2012, 3, 43–47. [Google Scholar] [CrossRef]
- Kinnula, S.; Hemminki, K.; Kotilainen, H.; Ruotsalainen, E.; Tarkka, E.; Salmenlinna, S.; Hallanvuo, S.; Leinonen, E.; Jukka, O.; Rimhanen-Finne, R. Outbreak of multiple strains of non-O157 Shiga toxin-producing and enteropathogenic Escherichia coli associated with rocket salad, Finland, autumn 2016. Euro Surveill. 2018, 23, 1700666. [Google Scholar] [CrossRef] [PubMed]
- Caprioli, A.; Morabito, S.; Brugère, H.; Oswald, E. Enterohaemorrhagic Escherichia coli: Emerging issues on virulence and modes of transmission. Vet. Res. 2005, 36, 289–311. [Google Scholar] [CrossRef]
- Bardiau, M.; Muylaert, A.; Duprez, J.N.; Labrozzo, S.; Mainil, J.G. Prevalence, molecular typing, and antibiotic sensitivity of enteropathogenic, enterohaemorrhagic, and verotoxigenic Escherichia coli isolated from veal calves. Tijdschr. Diergeneeskd. 2010, 135, 554–558. [Google Scholar]
- Janke, B.H.; Francis, D.H.; Collins, J.E.; Libal, M.C.; Zeman, D.H.; Johnson, D.D. Attaching and effacing Escherichia coli infections in calves, pigs, lambs, and dogs. J. Vet. Diagn. Investig. 1989, 1, 6–11. [Google Scholar] [CrossRef] [PubMed]
- Ryser-Degiorgis, M.P.; Bischof, D.F.; Marreros, N.; Willisch, C.; Signer, C.; Filli, F.; Brosi, G.; Frey, J.; Vilei, E.M. Detection of Mycoplasma conjunctivae in the eyes of healthy, free-ranging Alpine ibex: Possible involvement of Alpine ibex as carriers for the main causing agent of infectious keratoconjunctivitis in wild Caprinae. Vet. Microbiol. 2009, 134, 368–374. [Google Scholar] [CrossRef]
- Fernández-Aguilar, X.; López-Olvera, J.R.; Puig-Ribas, M.; Begovoeva, M.; Velarde, R.; Cardells, J.; Cabezón, Ó. Mycoplasma conjunctivae in insect vectors and anatomic locations related to transmission and persistence. Vet. Microbiol. 2019, 228, 7–11. [Google Scholar] [CrossRef]
- Valldeperes, M.; Yerro, P.P.; López-Olvera, J.R.; Fandos, P.; Lavín, S.; Escofet, R.C.S.; Mentaberre, G.; León, F.J.C.; Espinosa, J.; Ráez-Bravo, A.; et al. Diseases of Iberian ibex (Capra pyrenaica). Eur. J. Wildl. Res. 2023, 69, 63. [Google Scholar] [CrossRef]
- Pérez, J.M.; Granados, J.E.; Pérez, M.C.; Márquez, F.J.; Ferroglio, E.; Rossi, L. A survey of the gastrointestinal nematodes of Spanish ibex (Capra pyrenaica) in a high mountain habitat. J. Parasitol. 2003, 89, 315–318. [Google Scholar] [CrossRef]
- Winter, J.; Rehbein, S.; Joachim, A. Transmission of Helminths between Species of Ruminants in Austria Appears More Likely to Occur than Generally Assumed. Front. Vet. Sci. 2018, 5, 30. [Google Scholar] [CrossRef]
- Domenis, L.; Spedicato, R.; Orusa, R.; Goria, M.; Sant, S.; Guidetti, C.; Robetto, S. The diagnostic activity on wild animals through the description of a model case report (caseous lymphadenitis by Corynebacterium pseudotuberculosis associated with Pasteurella spp. and parasites infection in an alpine ibex—Capra ibex). Open Vet. J. 2017, 7, 384–390. [Google Scholar] [CrossRef] [PubMed]
- Arenas, A.; García-Bocanegra, I. Spatiotemporal monitoring of selected pathogens in Iberian ibex (Capra pyrenaica). Transbound. Emerg. Dis. 2020, 67, 2259–2265. [Google Scholar]





| Subject 1 | Subject 2 | Subject 3 | Subject 4 | |
|---|---|---|---|---|
| Origin | Valgrisenche Valley | Valtournenche Valley | Gressoney Valley | Valpelline Valley |
| Altitude | 1600 m a.s.l. | 1585 m a.s.l. | 1700 m a.s.l. | 2200 m a.s.l. |
| Period/Year | August/2020 | August/2021 | August/2012 | September/2012 |
| Sex | M | F | M | M |
| Age | 3 m | 3 m | 3 m | 4 m |
| ECP | + | + | − | − |
| Lesions site | Skin, eye, tongue | Skin, intestine | Skin, tongue, intestine | Intestine |
| MC | + | − | + | n. a. |
| ORF virus | + | + | + | − |
| EPEC | / | + | n. a. | + |
| ENP | − | + | n. a. | + |
Disclaimer/Publisher’s Note: The statements, opinions and data contained in all publications are solely those of the individual author(s) and contributor(s) and not of MDPI and/or the editor(s). MDPI and/or the editor(s) disclaim responsibility for any injury to people or property resulting from any ideas, methods, instructions or products referred to in the content. |
© 2024 by the authors. Licensee MDPI, Basel, Switzerland. This article is an open access article distributed under the terms and conditions of the Creative Commons Attribution (CC BY) license (https://creativecommons.org/licenses/by/4.0/).
Share and Cite
Domenis, L.; Spedicato, R.; Guidetti, C.; Carella, E.; Robetto, S. Different Types of Co-Infection by Contagious Ecthyma Virus, Enteropathogenic Escherichia coli, Mycoplasma conjunctivae, Ecto- and Endo-Parasites in Four Young Alpine Ibex (Capra ibex). Animals 2024, 14, 3666. https://doi.org/10.3390/ani14243666
Domenis L, Spedicato R, Guidetti C, Carella E, Robetto S. Different Types of Co-Infection by Contagious Ecthyma Virus, Enteropathogenic Escherichia coli, Mycoplasma conjunctivae, Ecto- and Endo-Parasites in Four Young Alpine Ibex (Capra ibex). Animals. 2024; 14(24):3666. https://doi.org/10.3390/ani14243666
Chicago/Turabian StyleDomenis, Lorenzo, Raffaella Spedicato, Cristina Guidetti, Emanuele Carella, and Serena Robetto. 2024. "Different Types of Co-Infection by Contagious Ecthyma Virus, Enteropathogenic Escherichia coli, Mycoplasma conjunctivae, Ecto- and Endo-Parasites in Four Young Alpine Ibex (Capra ibex)" Animals 14, no. 24: 3666. https://doi.org/10.3390/ani14243666
APA StyleDomenis, L., Spedicato, R., Guidetti, C., Carella, E., & Robetto, S. (2024). Different Types of Co-Infection by Contagious Ecthyma Virus, Enteropathogenic Escherichia coli, Mycoplasma conjunctivae, Ecto- and Endo-Parasites in Four Young Alpine Ibex (Capra ibex). Animals, 14(24), 3666. https://doi.org/10.3390/ani14243666

