Parasitic Infections in Stranded Whales and Dolphins in Canary Islands (2018–2022): An Update
Simple Summary
Abstract
1. Introduction
2. Materials and Methods
2.1. Necropsied Animals and Biological Data
2.2. Parasite Analysis
3. Results
3.1. Necropsied Animals and Biological Data
3.2. Parasite Analyses
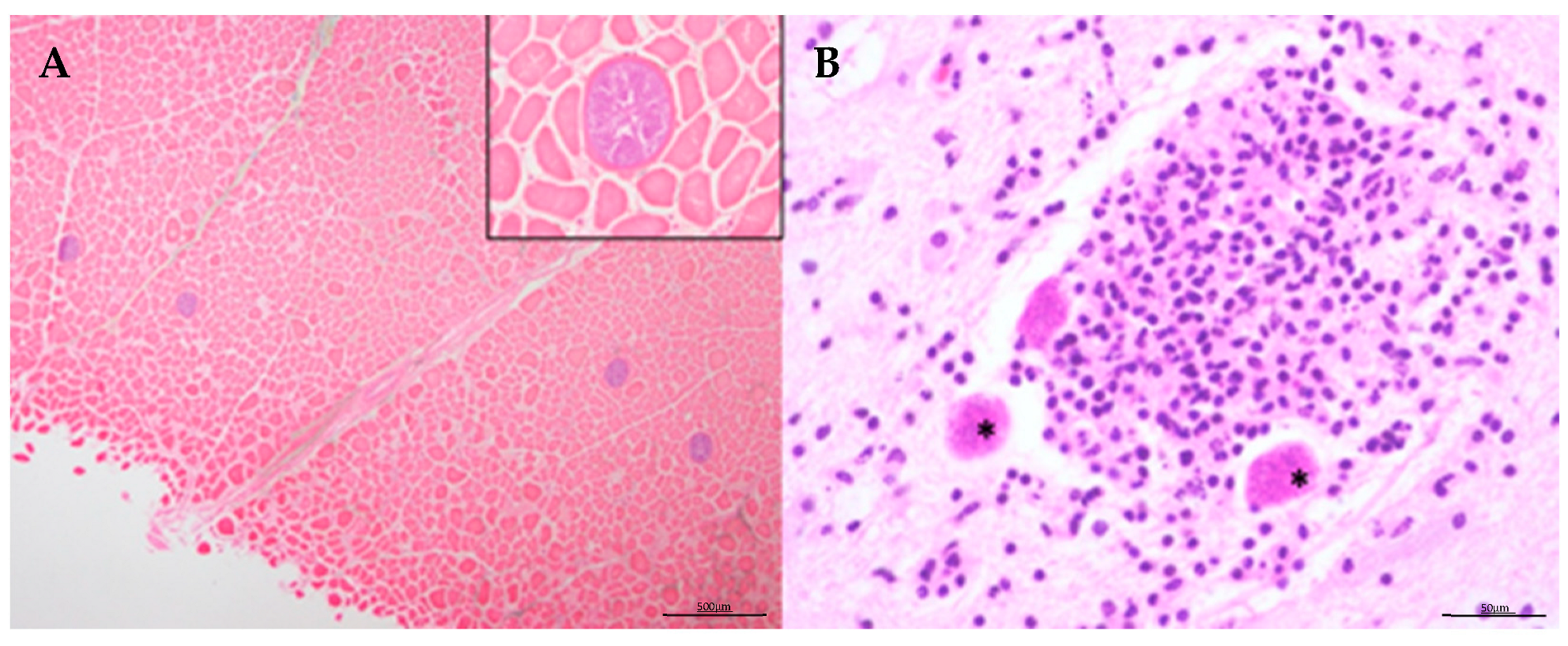
3.2.1. Nematodes
3.2.2. Trematodes
3.2.3. Cestodes
3.2.4. Acanthocephalans
3.2.5. Crustaceans
3.2.6. Protists
4. Discussion
5. Conclusions
Supplementary Materials
Author Contributions
Funding
Institutional Review Board Statement
Informed Consent Statement
Data Availability Statement
Acknowledgments
Conflicts of Interest
References
- Bossart, G.D. Marine mammals as sentinel species for oceans and human health. Vet. Pathol. 2011, 48, 676–690. [Google Scholar] [CrossRef] [PubMed]
- Martín, V.; Servidio, A.; Tejedor, M.; Arbelo, M.; Brederlau, B.; Neves, S.; Perez-Gil, M.; Urquiola, E.; Perez-Gil, E.; Fernández, A. Cetaceans and conservation in the Canary Islands. In Proceedings of the 18th Biennial Conference on the Biology of Marine Mammals, Quebec City, QC, Canada, 12–16 October 2009; p. 153. [Google Scholar]
- Perrin, W.F.; Würsig, B.; Thewissen, J.G.M. Encyclopedia of Marine Mammals; Academic Press: Cambridge, MA, USA, 2009; ISBN 9780123735539. [Google Scholar]
- Domiciano, I.G.; Domit, C.; Broadhurst, M.K.; Koch, M.S.; Bracarense, A.P.F.R.L. Assessing disease and mortality among small cetaceans stranded at a world heritage site in Southern Brazil. PLoS ONE 2016, 11, e0149295. [Google Scholar] [CrossRef] [PubMed]
- Díaz-Delgado, J.; Fernández, A.; Sierra, E.; Sacchini, S.; Andrada, M.; Vela, A.I.; Quesada-Canales, O.; Paz, Y.; Zucca, D.; Groch, K.; et al. Pathologic findings and causes of death of stranded cetaceans in the Canary Islands (2006–2012). PLoS ONE 2018, 13, e0204444. [Google Scholar] [CrossRef] [PubMed]
- Arbelo, M.; De Los Monteros, A.E.; Herráez, P.; Andrada, M.; Sierra, E.; Rodríguez, F.; Jepson, P.D.; Fernández, A. Pathology and causes of death of stranded cetaceans in the Canary Islands (1999–2005). Dis. Aquat. Org. 2013, 103, 87–99. [Google Scholar] [CrossRef] [PubMed]
- Berón-Vera, B.; Crespo, E.A.; Raga, J.A. Parasites in stranded cetaceans of Patagonia. J. Parasitol. 2008, 94, 946–948. [Google Scholar] [CrossRef]
- Aznar, F.J.; Balbuena, J.A.; Fernández, M.; Raga, J.A. Living Together: The Parasites of Marine Mammals; Springer: Boston, MA, USA, 2002; pp. 385–423. ISBN 9781461505297. [Google Scholar]
- Dailey, M.D. Parasites of Marine Mammals. In Marine Parasitology; Rohde, K., Ed.; CSIRO Publishing (Commonwealth Scientific and Industrial Research Organization): Collingwood, Australia, 2005; pp. 408–414. ISBN 0-643-09025-8. [Google Scholar]
- Raga, J.A.; Fernández, M.; Balbuena, J.A.; Aznar, F.J. Parasites. In Encyclopedia of Marine Mammals; Academic Press: Cambridge, MA, USA, 2009; pp. 821–830. [Google Scholar]
- Balbuena, J.A.; Aznar, F.J.; Fernández, M.; Raga, J.A. Parasites as indicators of social structure and stock identity of marine mammals. In Whales, Seals, Fish and Man; Elsevier Science: Amsterdam, The Netherlands, 1995; Volume 4, pp. 133–139. ISBN 0163-6995. [Google Scholar]
- Evans, P.; Raga, J. Marine Mammals: Biology and Conservation; Springer: Berlin/Heidelberg, Germany, 2001; ISBN 978-0-306-46573-4. [Google Scholar]
- Vidal-Martínez, V.M.; Pech, D.; Sures, B.; Purucker, S.T.; Poulin, R. Can parasites really reveal environmental impact? Trends. Parasitol. 2010, 26, 44–51. [Google Scholar] [CrossRef]
- Balbuena, J.A.; Simpkin, A. role of Crassicauda sp. in natural mortality of pantropical spotted dolphins Stenella attenuata: A Reassessment. Dis. Aquat. Org. 2014, 108, 83–89. [Google Scholar] [CrossRef]
- Cuvertoret-Sanz, M.; López-Figueroa, C.; O’Byrne, A.; Canturri, A.; Martí-Garcia, B.; Pintado, E.; Pérez, L.; Ganges, L.; Cobos, A.; Abarca, M.L.; et al. Causes of cetacean stranding and death on the Catalonian Coast (Western Mediterranean Sea), 2012–2019. Dis. Aquat. Org. 2020, 142, 239–253. [Google Scholar] [CrossRef]
- Dailey, M.; Walker, W.A. Parasitism as a Factor (?) In Single Strandings of Southern California Cetaceans. J. Parasitol. 1978, 64, 593–596. [Google Scholar] [CrossRef]
- O’Shea, T.J.; Homer, B.L.; Greiner, E.C.; Layton, A.W. Nasitrema sp. associated encephalitis in a striped dolphin (Stenella coeruleoalba) stranded in the gulf of Mexico. J. Wildl. Dis. 1991, 27, 706–709. [Google Scholar] [CrossRef]
- Dailey, M.D. Parasitic Diseases. In CRC Handbook of Marine Mammal Medicine; CRC Press: Boca Raton, FL, USA, 2001; pp. 407–430. [Google Scholar]
- Gibson, D.I.; Harris, E.A.; Bray, R.A.; Jepson, P.D.; Kuiken, T.; Baker, J.R.; Simpson, V.R. A survey of the helminth parasites of cetaceans stranded on the coast of England and Wales during the Period 1990–1994. J. Zool. 1998, 244, 563–574. [Google Scholar] [CrossRef]
- Perrin, W.F.; Powers, J.E. Role of a nematode in natural mortality of spotted dolphins. J. Wildl. Manag. 1980, 44, 960–963. [Google Scholar] [CrossRef]
- Zucca, P.; Di Guardo, G.; Pozzi Mucelli, R.; Scaravelli, D.; Francese, M. Use of computer tomography for imaging of Crassicauda grampicola in a Risso’s dolphin (Grampus griseus). J. Zoo. Wildl. Med. 2004, 35, 391–394. [Google Scholar] [CrossRef]
- Díaz-Delgado, J.; Fernández, A.; Xuriach, A.; Sierra, E.; Bernaldo de Quirós, Y.; Mompeo, B.; Pérez, L.; Andrada, M.; Marigo, J.; Catão-Dias, J.L.; et al. Verminous arteritis due to Crassicauda sp. in Cuvier’s beaked whales (Ziphius cavirostris). Vet. Pathol. 2016, 53, 1233–1240. [Google Scholar] [CrossRef]
- Moser, M.; Rhinehart, H. The lungworm, Halocercus spp. (Nematoda: Pseudaliidae) in cetaceans from California. J. Wildl. Dis. 1993, 29, 507–508. [Google Scholar] [CrossRef]
- Degollada, E.; André, M.; Arbelo, M.; Fernández, A. Incidence, pathology and involvement of Nasitrema species in odontocete strandings in the Canary Islands. Vet. Rec. 2002, 150, 81–82. [Google Scholar] [CrossRef]
- Neiland, K.A.; Rice, D.W.; Holden, B.L. Helminths of marine mammals, I. The genus Nasitrema, air sinus flukes of delphinid cetacea. J. Parasitol. 1970, 56, 305–316. [Google Scholar] [CrossRef]
- Sierra, E.; Fernández, A.; Felipe-Jiménez, I.; Zucca, D.; Díaz-Delgado, J.; Puig-Lozano, R.; Câmara, N.; Consoli, F.; Díaz-Santana, P.; Suárez-Santana, C.; et al. Histopathological differential diagnosis of meningoencephalitis in cetaceans: Morbillivirus, Herpesvirus, Toxoplasma gondii, Brucella sp., and Nasitrema sp. Front. Vet. Sci. 2020, 7, 650. [Google Scholar] [CrossRef]
- Felipe-Jiménez, I.; Fernández, A.; de Quirós, Y.B.; Arregui-Gil, M.; Puig-Lozano, R.; Arbelo, M.; Sierra, E. Cerebral nasitremiasis in a Blainville’s beaked whale (Mesoplodon densirostris) stranded in the Canary Islands. Res. Vet. Sci. 2023, 158, 56–64. [Google Scholar] [CrossRef]
- Phillips, A.C.N.; Suepaul, R. Nasitrema Species: A frequent culprit in melon-headed whale (Peponocephala electra) strandings in Trinidad. Aquat. Mamm. 2017, 43, 547–557. [Google Scholar] [CrossRef]
- Abril, E.; Balbuena, J.A.; Raga, J.A. A new species of the genus Zalophotrema (Digenea: Campulidae), Zalophotrema atlanticum n. sp., from the liver of the striped dolphin Stenella coeruleoalba (Meyen, 1833) (Cetacea: Delphinidae) in Atlantic Waters. Syst. Parasitol. 1991, 18, 133–138. [Google Scholar] [CrossRef]
- Demaree, R.S.; Critchfield, R.L.; Tinling, S.P. Liver sinuses of a beaked whale, Mesoplodon stejnegeri (Cetacea:Ziphiidae). J. Helminthol. Soc. Wash. 1997, 64, 183–187. [Google Scholar]
- Fraija-Fernández, N.; Olson, P.D.; Crespo, E.A.; Raga, J.A.; Aznar, F.J.; Fernández, M. Independent host switching events by digenean parasites of cetaceans inferred from ribosomal DNA. Int. J. Parasitol. 2015, 45, 167–173. [Google Scholar] [CrossRef] [PubMed]
- Jaber, J.R.; Pérez, J.; Arbelo, M.; Andrada, M.; Hidalgo, M.; Gómez-Villamandos, J.C.; Van Den Ingh, T.; Fernández, A. hepatic lesions in cetaceans stranded in the Canary Islands. Vet. Pathol. 2004, 41, 147–153. [Google Scholar] [CrossRef]
- Raga, J.A. Oschmarinella mascomai n. Sp. (Trematoda: Campulidae) Parasite des canaux biliaires de Stenella coeruleoalba (Meyen, 1833) (Cetacea: Delphinidae) en Méditerranée. Ann. Parasitol. Hum. Comp. 1986, 61, 633–636. [Google Scholar] [CrossRef]
- Jones, J.L.; Dubey, J.P. Waterborne Toxoplasmosis—Recent developments. Exp. Parasitol. 2010, 124, 10–25. [Google Scholar] [CrossRef]
- Dubey, J.P.; Jones, J.L. Toxoplasma gondii infection in humans and animals in the United States. Int. J. Parasitol. 2008, 38, 1257–1278. [Google Scholar] [CrossRef]
- Mattiucci, S.; Nascetti, G. Molecular systematics, phylogeny and ecology of anisakid nematodes. Parasite 2006, 13, 99–113. [Google Scholar] [CrossRef]
- Arizono, N.; Kuramochi, T.; Kagei, N. Molecular and histological identification of the acanthocephalan Bolbosoma cf. capitatum from the human small intestine. Parasitol. Int. 2012, 61, 715–718. [Google Scholar]
- Shamsi, S. Seafood-borne parasitic diseases: A “one-health” approach is needed. Fishes 2019, 4, 9. [Google Scholar] [CrossRef]
- Specht, N.R.; Keve, G.; Fernández-Maldonado, C.; Caro, A.C.; Takács, N.; Kontschán, J.; Hornok, S. Molecular investigation of endoparasites of marine mammals (Cetacea: Mysticeti, Odontoceti) in the Western Mediterranean. Front. Vet. Sci. 2024, 11, 1431625. [Google Scholar] [CrossRef] [PubMed]
- Dubey, J.P.; Zarnke, R.; Thomas, N.J.; Wong, S.K.; Van Bonn, W.; Briggs, M.; Thulliez, P. Toxoplasma gondii, Neospora caninum, Sarcocystis neurona, and Sarcocystis canis-like infections in marine mammals. Vet. Parasitol. 2003, 116, 275–296. [Google Scholar] [CrossRef] [PubMed]
- Raga, J.; Balbuena, J.A.; Aznar, F.; Fernández, M. The impact of parasites on marine mammals: A review. Parassitologia 1997, 39, 293–296. [Google Scholar] [PubMed]
- Gulland, F.M.D.; Hall, A.J. Is marine mammal health deteriorating? Trends in the global reporting of marine mammal disease. Ecohealth 2007, 4, 135–150. [Google Scholar] [CrossRef]
- Cetáceos de Canarias. Secac. Available online: https://www.cetaceos.org/es/cetaceos-de-canarias/ (accessed on 1 August 2024).
- IJsseldijk, L.L.; Brownlow, A.C.; Mazzariol, S. European best practice on cetacean post mortem investigation and tissue sampling. In Proceedings of the Joint ASCOBANS/ACCOBAMS 2019, 25th Meeting of the Advisory Committee, Stralsund, Germany, 17–19 September 2019. [Google Scholar]
- Joblon, M.J.; Pokras, M.A.; Morse, B.; Harry, C.T.; Rose, K.S.; Sharp, S.M.; Niemeyer, M.E.; Patchett, K.M.; Sharp, W.B.; Moore, M.J. Body condition scoring system for delphinids based on short-beaked common dolphins (Delphinus delphis). J. Mar. Anim. Ecol. 2014, 7, 5–13. [Google Scholar]
- Fraija-Fernández, N.; Aznar, F.; Raga, J.; Gibson, D.; Fernández, M. A new brachycladiid species (Digenea) from Gervais’ beaked whale, Mesoplodon europaeus in North-Western Atlantic Waters. Acta Parasitol. 2014, 59, 510–517. [Google Scholar] [CrossRef]
- Dailey, M.; Gilmartin, W. Diagnostic key to the parasites of some marine mammals. Nav. Ocean. Syst. Cent. 1980, 41. [Google Scholar]
- Delyamure, S.L. Helminthofauna of Marine Mammals (Ecology and Phylogeny); Skrjabn, K.I., Ed.; Izdatel’stvo Akiademii Nauk SSSR: Moscow, Russia, 1955. [Google Scholar]
- Gibson, D. Family Brachycladiidae Odhner, 1905. In Keys to the Trematoda: Volume 2; CABI Publishing: Wallingford, UK, 2005; pp. 641–652. ISBN 9780851995878. [Google Scholar]
- Rajaguru, A.; Shantha, G. Association between the sessile barnacle Xenobalanus globicipitis (Coronulidae) and the bottlenose dolphin Tursiops truncatus (Delphinidae) form the bay of Bengal, India, with a summary of previous records from cetaceans. Fish. Bull. 1992, 90, 197–202. [Google Scholar]
- Yamaguti, S. The Digenetic trematodes of vertebrates. Syst. Helminthum 1958, 1, 1–1575. [Google Scholar]
- Nakagun, S.; Shiozaki, A.; Ochiai, M.; Matsuda, A.; Tajima, Y.; Matsuishi, T.; Kobayashi, Y. Prominent hepatic ductular reaction induced by Oschmarinella macrorchis in a Hubbs’ beaked whale Mesoplodon carlhubbsi, with biological notes. Dis. Aquat. Org. 2018, 127, 177–192. [Google Scholar] [CrossRef]
- Dailey, M.D. A new species of Digenea (Trematoda: Brachycladiidae) from the Gervais’ beaked whale, Mesoplodon europaeus, with comments on other cetacean liver flukes. Comp. Parasitol. 2007, 74, 229–232. [Google Scholar] [CrossRef]
- Skryabin, K.L. Oschmarinella sobolevi n. gen, n. sp. A New trematode from the liver of whales. Dokl. Akad. Nauk. SSSR 1947, 57, 857–859. [Google Scholar]
- Chan, B.K.; Chen, Y.H. Distinguishing long-discussed cryptic species of the epibiotic goose-neck barnacle of the genus Conchoderma (Thoracicalcarea: Lepadidae) with integrative taxonomy. Diversity 2022, 14, 593. [Google Scholar] [CrossRef]
- Hogans, W.E. Review of Pennella Oken, 1816 (Copepoda: Pennellidae) with a description of Pennella benzi sp. nov., a parasite of Escolar, Lepidocybium flavobrunneum (Pisces) in the northwest Atlantic Ocean. Zootaxa 2017, 4244, 1–38. [Google Scholar] [CrossRef]
- Leung, Y.M. An illustrated key to the species of whale-lice (Amphipoda, Cyamidae), ectoparasites of Cetacea, with a guide to the literature. Crustaceana 1967, 12, 279–291. [Google Scholar] [CrossRef]
- Costa, G.; Chubb, J.C.; Veltkamp, C.J. Cystacanths of Bolbosoma vasculosum in the black scabbard fish Aphanopus carbo, oceanic horse mackerel Trachurus picturatus and common dolphin Delphinus delphis from Madeira, Portugal. J. Helminthol. 2000, 74, 113–120. [Google Scholar] [CrossRef]
- Díaz-Delgado, J.; Groch, K.R.; Ramos, H.G.C.; Colosio, A.C.; Alves, B.F.; Pena, H.F.J.; Catão-Dias, J.L. Fatal systemic toxoplasmosis by a novel non-archetypal Toxoplasma gondii in a Bryde’s whale (Balaenoptera edeni). Front. Mar. Sci. 2020, 7, 336. [Google Scholar] [CrossRef]
- Sierra, E.; Sánchez, S.; Saliki, J.T.; Blas-Machado, U.; Arbelo, M.; Zucca, D.; Fernández, A. Retrospective study of etiologic agents associated with nonsuppurative meningoencephalitis in stranded cetaceans in the Canary Islands. J. Clin. Microbiol. 2014, 52, 2390–2397. [Google Scholar] [CrossRef]
- Moeller JR, R. Pathology of marine mammals with special reference to infectious diseases. In Toxicology of Marine Mammals; CRC Press: Boca Raton, FL, USA, 2002; pp. 15–49. [Google Scholar]
- Puig-Lozano, R.; Fernández, A.; Saavedra, P.; Tejedor, M.; Sierra, E.; De la Fuente, J.; Xuriach, A.; Díaz-Delgado, J.; Rivero, M.A.; Andrada, M.; et al. Retrospective study of traumatic intra-interspecific interactions in stranded cetaceans, Canary Islands. Front. Vet. Sci. 2020, 7, 107. [Google Scholar] [CrossRef]
- Puig-Lozano, R.; Fernández, A.; Sierra, E.; Saavedra, P.; Suárez-Santana, C.M.; De la Fuente, J.; Díaz-Delgado, J.; Godinho, A.; García-Álvarez, N.; Zucca, D.; et al. Retrospective study of fishery interactions in stranded cetaceans, Canary Islands. Front. Vet. Sci. 2020, 7, 567258. [Google Scholar] [CrossRef]
- Sierra, E.; Fernández, A.; Espinosa De Los Monteros, A.; Arbelo, M.; Díaz-Delgado, J.; Andrada, M.; Herráez, P. Histopathological muscle findings may be essential for a definitive diagnosis of suspected sharp trauma associated with ship strikes in stranded cetaceans. PLoS ONE 2014, 9, e88780. [Google Scholar] [CrossRef] [PubMed]
- Di Guardo, G.; Centelleghe, C.; Mazzariol, S. Cetacean host-pathogen interaction(s): Critical knowledge gaps. Front. Immunol. 2018, 9, 2815. [Google Scholar] [CrossRef] [PubMed]
- Tomoo, O.; Kliks, M. Effects of marine mammal parasites on human health. Int. J. Parasitol. 1987, 17, 415–421. [Google Scholar] [CrossRef]
- Santana, P.J.D. Patologías y causas de la muerte de los cetáceos varados en las Islas Canarias 2013–2018. Ph.D. Dissertation, University of Las Palmas de Gran Canaria, Las Palmas, Spain, 2023. [Google Scholar]
- Kołodziej-Sobocińska, M. Factors affecting the spread of parasites in populations of wild european terrestrial mammals. Mamm. Res. 2019, 64, 301–318. [Google Scholar] [CrossRef]
- Sánchez, C.A.; Becker, D.J.; Teitelbaum, C.S.; Barriga, P.; Brown, L.M.; Majewska, A.A.; Hall, R.J.; Altizer, S. On the relationship between body condition and parasite infection in wildlife: A Review and meta-analysis. Ecol. Lett. 2018, 21, 1869–1884. [Google Scholar] [CrossRef]
- Baylis, H.A. LV.—Observations on the genus Crassicauda. Ann. Mag. Nat. Hist. 1920, 5, 410–419. [Google Scholar] [CrossRef]
- Lambertsen, R. Taxonomy and distribution of a Crassicauda species (Nematoda: Spirurida) infecting the kidney of the common fin whale (Balaenoptera physalus Linne, 1758). J. Parasitol. 1985, 71, 485–488. [Google Scholar] [CrossRef]
- Lempereur, L.; Delobelle, M.; Doom, M.; Haelters, J.; Levy, E.; Losson, B.; Jauniaux, T. Crassicauda boopis in a fin whale (Balaenoptera physalus) ship-struck in the Eastern North Atlantic Ocean. Parasitol. Open 2017, 3, e9. [Google Scholar] [CrossRef][Green Version]
- Suárez-Santana, C.M.; Sierra, E.; Díaz-Delgado, J.; Zucca, D.; de Quirós, Y.B.; Puig-Lozano, R.; Câmara, N.; De la Fuente, J.; de los Monteros, A.E.; Rivero, M.; et al. Prostatic lesions in odontocete cetaceans. Vet. Pathol. 2018, 55, 466–472. [Google Scholar] [CrossRef]
- Nepote, F.T.A. Lesões causadas pelos parasitas do gênero Crassicauda em crânios do boto Tursiops truncatus; Federal University of Santa Catarina, Centre for Biological Sciences, Undergraduate Degree in Biological Sciences: Florianópolis, Brazil, 2020. [Google Scholar]
- Van Bressem, M.-F.; Reyes, J.C.; Félix, F.; Echegaray, M.; Siciliano, S.; Di Beneditto, A.P.; Flach, L.; Viddi, F.; Avila, I.C.; Herrera, J.C.; et al. A preliminary overview of skin and skeletal diseases and traumata in small cetaceans from South American Waters. Lat. Am. J. Aquat. Mamm. 2007, 6, 7–42. [Google Scholar] [CrossRef]
- Febronio, A.M.B.; Boos, G.S.; Batista, R.L.G.; Amorim, D.B.; Guimarães, J.P.; Bianchi, M.V.; Mariani, D.B.; Koproski, L.; Mari, C.; Parente, J.E.V.; et al. Crassicaudiasis in three geographically and chronologically distant Cuvier’s beaked whales (Ziphius cavirostris) stranded off Brazil. Int. J. Parasitol. Parasites Wildl. 2021, 16, 262–269. [Google Scholar] [CrossRef] [PubMed]
- Marcer, F.; Negrisolo, E.; Franzo, G.; Tessarin, C.; Pietrobelli, M.; Marchiori, E. Morphological and molecular characterization of adults and larvae of Crassicauda spp. (Nematoda: Spirurida) from Mediterranean fin whales Balaenoptera physalus (Linnaeus, 1758). Int. J. Parasitol. Parasites Wildl. 2019, 9, 258–265. [Google Scholar] [CrossRef] [PubMed]
- Kumagai, T.; Shiozaki, A.; Tajima, Y. Molecular characterization of the parasitic nematode genus Crassicauda; larvae parasitic on the firefly squid and adults on beaked whales off the coast of Japan. Int. J. Parasitol. Parasites Wildl. 2023, 20, 56–62. [Google Scholar] [CrossRef] [PubMed]
- Morimitsu, T.; Koono, M.; Hirai, T.; Kurita, T. Degeneration of the octavus nerve observed in a stranded Risso’s dolphin (Grampus griseus), infested with Crassicauda grampicola. Jpn. Cetology 2010, 20, 7–12. [Google Scholar] [CrossRef] [PubMed]
- Raga, J.A. Redescription of Crassicauda grampicola Johnston et. Mawson, 1941, (Nematoda: Spirurida), parasite of Grampus griseus (Cuvier, 1812) (Cetacea: Delphinidae). Vie Milieu/Life Environ. 1987, 215–219. [Google Scholar]
- Geraci, J.R.; Dailey, M.D.; St. Aubin, D.J. Parasitic mastitis in the Atlantic White-Sided Dolphin, Lagenorhynchus acutus, as a probable factor in herd productivity. J. Fish. Res. Board Can. 1978, 35, 1350–1355. [Google Scholar] [CrossRef]
- Lambertsen, R.H. Crassicaudosis: A parasitic disease threatening the health and population recovery of large baleen whales. Rev. Sci. Technol. 1992, 11, 1131–1141. [Google Scholar] [CrossRef]
- Measures, L.N. Lungworms of marine mammals. In Parasitic Diseases of Wild Mammals; John Wiley & Sons, Inc.: Hoboken, NJ, USA, 2001; pp. 279–300. ISBN 9780470377000. [Google Scholar]
- Saldaña, A.; López, C.M.; López, A.; Covelo, P.; Remesar, S.; Martínez-Calabuig, N.; García-Dios, D.; Díaz, P.; Morrondo, P.; Díez-Baños, P.; et al. Specificity of Stenurus (Metastrongyloidea: Pseudaliidae) infections in odontocetes stranded along the North-West Spanish Coast. Int. J. Parasitol. Parasites Wildl. 2022, 19, 148–154. [Google Scholar] [CrossRef]
- Pool, R.; Romero-Rubira, C.; Raga, J.A.; Fernández, M.; Aznar, F.J. Determinants of lungworm specificity in five cetacean species in the Western Mediterranean. Parasit. Vectors 2021, 14, 196. [Google Scholar] [CrossRef]
- Geraci, J.R.; Aubin, D.J.S. Effects of parasites on marine mammals. Int. J. Parasitol. 1987, 17, 407–414. [Google Scholar] [CrossRef]
- Motta, M.R.A.; Pinheiro, D.C.S.N.; Carvalho, V.L.; Viana, D.D.A.; Vicente, A.C.P.; Iñiguez, A.M. Gastric Lesions associated with the presence of Anisakis spp. Dujardin, 1845 (Nematoda: Anisakidae) in cetaceans stranded on the coast of Ceara, Brazil. Biota Neotrop. 2008, 8, 91–95. [Google Scholar] [CrossRef]
- Van Beurden, S.J.; IJsseldijk, L.L.; Cremers, H.J.W.M.; Gröne, A.; Verheije, M.H.; Begeman, L. Anisakis Spp. Induced Granulomatous Dermatitis in a harbour porpoise Phocoena phocoena and a bottlenose dolphin Tursiops truncatus. Dis. Aquat. Org. 2015, 112, 257–263. [Google Scholar] [CrossRef] [PubMed][Green Version]
- Jaber, J.R.; Pérez, J.; Arbelo, M.; Zafra, R.; Fernández, A. Pathological and immunohistochemical study of gastrointestinal lesions in dolphins stranded in the Canary Island. Vet. Rec. 2006, 159, 410–414. [Google Scholar] [CrossRef] [PubMed]
- Di Azevedo, M.I.N.; Carvalho, V.L.; Iñiguez, A.M. First Record of the anisakid nematode Anisakis nascettii in the Gervais’ beaked whale Mesoplodon europaeus from Brazil. J. Helminthol. 2016, 90, 48–53. [Google Scholar] [CrossRef]
- Cipriani, P.; Palomba, M.; Giulietti, L.; Marcer, F.; Mazzariol, S.; Santoro, M.; Alburqueque, R.A.; Covelo, P.; López, A.; Santos, M.B.; et al. Distribution and genetic diversity of Anisakis spp. in cetaceans from the northeast Atlantic Ocean and the Mediterranean Sea. Sci. Rep. 2022, 12, 13664. [Google Scholar] [CrossRef]
- Mateu, P.; Raga, J.A.; Aznar, F.J. Host specificity of Oschmarinella rochebruni and Brachycladium atlanticum (Digenea: Brachycladiidae) in five cetacean species from western mediterranean waters. J. Helminthol. 2011, 85, 12–19. [Google Scholar] [CrossRef]
- LeDuc, R. Delphinids, Overview. In Encyclopedia of Marine Mammals; Elsevier Ltd.: Amsterdam, The Netherlands, 2009; pp. 298–302. ISBN 9780123735539. [Google Scholar]
- Dupouy-Camet, J.; Peduzzi, R. Helminth-trematode: Diphyllobothrium. Encycl. Food Saf. 2014, 2, 130–133. [Google Scholar] [CrossRef]
- Fraija-Fernández, N.; Waeschenbach, A.; Briscoe, A.G.; Hocking, S.; Kuchta, R.; Nyman, T.; Littlewood, D.T.J. Evolutionary transitions in broad tapeworms (Cestoda: Diphyllobothriidea) revealed by mitogenome and nuclear ribosomal operon phylogenetics. Mol. Phylogenetics Evol. 2021, 163, 107262. [Google Scholar] [CrossRef]
- Aznar, F.J.; Agustí, C.; Littlewood, D.T.J.; Raga, J.A.; Olson, P.D. Insight into the role of cetaceans in the life cycle of the Tetraphyllideans (Platyhelminthes: Cestoda). Int. J. Parasitol. 2007, 37, 243–255. [Google Scholar] [CrossRef]
- Carvalho, V.L.; Bevilaqua, C.M.L.; Iñiguez, A.M.; Mathews-Cascon, H.; Ribeiro, F.B.; Pessoa, L.M.B.; de Meirelles, A.C.O.; Borges, J.C.G.; Marigo, J.; Soares, L.; et al. Metazoan parasites of cetaceans off the northeastern coast of Brazil. Vet. Parasitol. 2010, 173, 116–122. [Google Scholar] [CrossRef]
- Colón-Llavina, M.M.; Mignucci-Giannoni, A.A.; Mattiucci, S.; Paoletti, M.; Nascetti, G.; Williams, E.H. Additional records of metazoan parasites from caribbean marine mammals, including genetically identified anisakid nematodes. Parasitol. Res. 2009, 105, 1239–1252. [Google Scholar] [CrossRef] [PubMed][Green Version]
- Pendergraph, G.E. First report of the acanthocephalan Bolbosoma vasculosum (Rudolphi, 1819) from the pygmy sperm whale, Kogia breviceps. J. Parasitol. 1971, 57, 1109. [Google Scholar] [CrossRef] [PubMed]
- McAlpine, D.F.; Murison, L.D.; Hoberg, E.P. New records for the pygmy sperm whale, Kogia breviceps (Physeteridae) from Atlantic Canada with notes on diet and parasites. Mar. Mamm. Sci. 1997, 13, 701–704. [Google Scholar] [CrossRef]
- Mignucci-Giannoni, A.A.; Hoberg, E.P.; Sigel-Causey, D.; Williams, E.H., Jr. Metazoan parasites and other symbionts of cetaceans in the Caribbean. J. Parasitol. 1998, 84, 939–946. [Google Scholar] [CrossRef] [PubMed]
- Kaito, S.; Sasaki, M.; Goto, K.; Matsusue, R.; Koyama, H.; Nakao, M.; Hasegawa, H. A case of small bowel obstruction due to infection with Bolbosoma sp. (Acanthocephala: Polymorphidae). Parasitol. Int. 2019, 68, 14–16. [Google Scholar] [CrossRef]
- Beaver, P.C.; Otsuji, T.; Otsuji, A.; Yoshimura, H.; Uchikawa, R.; Sato, A. Acanthocephalan, probably Bolbosoma, from the peritoneal cavity of man in Japan. Am. J. Trop. Med. Hyg. 1983, 32, 1016–1018. [Google Scholar] [CrossRef]
- Foskolos, I.; Tourgeli Provata, M.; Frantzis, A. First record of Conchoderma auritum (Cirripedia: Lepadidae) on Ziphius cavirostris (Cetacea: Ziphiidae) in Greece. Ann. Ser. Hist. Nat. 2017, 27, 29–34. [Google Scholar] [CrossRef]
- Carrillo, J.M.; Overstreet, R.M.; Raga, J.A.; Aznar, F.J. Living on the edge: Settlement patterns by the symbiotic barnacle Xenobalanus globicipitis on small cetaceans. PLoS ONE 2015, 10, e0127367. [Google Scholar] [CrossRef][Green Version]
- Flach, L.; Van Bressem, M.-F.; Pitombo, F.; Aznar, F. Emergence of the epibiotic barnacle Xenobalanus globicipitis in Guiana dolphins after a morbillivirus outbreak in Sepetiba Bay, Brazil. Estuar. Coast. Shelf. Sci. 2021, 263, 107632. [Google Scholar] [CrossRef]
- Oliveira, J.B.; Morales, J.A.; González-Barrientos, R.C.; Hernández-Gamboa, J.; Hernández-Mora, G. Parasites of cetaceans stranded on the pacific coast of Costa Rica. Vet. Parasitol. 2011, 182, 319–328. [Google Scholar] [CrossRef]
- Ryazanov, S.; Ryazanova, T. Risso’s Dolphin (Grampus griseus) in Russia with note on Xenobalanus globicipitis. Mar. Biodivers. 2023, 53, 71. [Google Scholar] [CrossRef]
- Ten, S.; Moreno-Colom, P.; Raga, J.; Aznar, F. Xenobalanus globicipitis as an indicator of cetacean hydrodynamics: Spatial distribution and aggregation on the flukes of striped dolphins, Stenella coeruleoalba. In Proceedings of the 21th European Association of Aquatic Mammals Conference (Virtual EAAM, 2021), Virtual, 11–13 March 2021. [Google Scholar]
- Whitehead, T.O.; Rollinson, D.P.; Reisinger, R.R. Pseudostalked barnacles, Xenobalanus globicipitis, attached to killer whales, Orcinus orca, in South African waters. Mar. Biodivers. 2015, 45, 873–876. [Google Scholar] [CrossRef]
- Sierra, E.; Espinosa de los Monteros, A.; Fernández, A.; Díaz-Delgado, J.; Suárez-Santana, C.; Arbelo, M.; Sierra, M.A.; Herráez, P. Muscle pathology in free-ranging stranded cetaceans. Vet. Pathol. 2017, 54, 298–311. [Google Scholar] [CrossRef] [PubMed]
- Resendes, A.R.; Almería, S.; Dubey, J.P.; Obón, E.; Juan-Sallés, C.; Degollada, E.; Alegre, F.; Cabezón, O.; Pont, S.; Domingo, M. Disseminated toxoplasmosis in a mediterranean pregnant Risso’s dolphin (Grampus griseus) with transplacental fetal infection. J. Parasitol. 2002, 88, 1029–1032. [Google Scholar] [CrossRef]
- Costa-Silva, S.; Sacristán, C.; Gonzales-Viera, O.; Díaz-Delgado, J.; Sánchez-Sarmiento, A.M.; Marigo, J.; Groch, K.R.; Carvalho, V.L.; Ewbank, A.C.; Colosio, A.C.; et al. Toxoplasma gondii in cetaceans of Brazil: A histopathological and immunohistochemical survey. Rev. Bras. De Parasitol. Vet. 2019, 28, 395–402. [Google Scholar] [CrossRef]
- Mazzariol, S.; Marcer, F.; Mignone, W.; Serracca, L.; Goria, M.; Marsili, L.; Di Guardo, G.; Casalone, C. Dolphin Morbillivirus and Toxoplasma gondii coinfection in a mediterranean fin whale (Balaenoptera physalus). BMC Vet. Res. 2012, 8, 20. [Google Scholar] [CrossRef]
- Dubey, J.P.; Murata, F.H.A.; Cerqueira-Cézar, C.K.; Kwok, O.C.H.; Grigg, M.E. Recent epidemiologic and clinical importance of Toxoplasma gondii infections in marine mammals: 2009–2020. Vet. Parasitol. 2020, 288, 109296. [Google Scholar] [CrossRef]
- Di Guardo, G.; Proietto, U.; Di Francesco, C.E.; Marsilio, F.; Zaccaroni, A.; Scaravelli, D.; Casalone, C. Cerebral toxoplasmosis in striped dolphins (Stenella coeruleoalba) stranded along the Ligurian Sea coast of Italy. Vet. Pathol. 2010, 47, 245–253. [Google Scholar] [CrossRef]






| Parasitized Animals (%) | Sex (%) | Age (%) | Body Condition (%) | |||||||||||
|---|---|---|---|---|---|---|---|---|---|---|---|---|---|---|
| F | M | ND | N | C | J-Sad | A | ND | VP | P | Md | G | ND | ||
| Stenella coeruleoalba (n = 53/61) | 87 | 40 | 58 | 2 | 11 | 29 | 58 | 2 | 6 | 30 | 47 | 8 | 9 | |
| Stenella frontalis (n = 44/51) | 86 | 52 | 48 | 5 | 29 | 18 | 48 | 2 | 18 | 50 | 14 | 16 | ||
| Delphinus delphis (n = 25/29) | 86 | 52 | 48 | 16 | 16 | 68 | 8 | 56 | 16 | 4 | 16 | |||
| Tursiops truncatus (n = 15/17) | 88 | 47 | 53 | 33 | 60 | 7 | 13 | 33 | 27 | 13 | 14 | |||
| Globicephala macrorhynchus (n = 13/15) | 87 | 54 | 46 | 23 | 31 | 46 | 31 | 23 | 23 | 23 | ||||
| Grampus griseus (n = 7/11) | 64 | 57 | 43 | 57 | 29 | 14 | 43 | 14 | 14 | 29 | ||||
| Kogia breviceps (n = 9/11) | 82 | 33 | 67 | 11 | 33 | 56 | ||||||||
| Physeter macrocephalus (n = 4/8) | 50 | 75 | 25 | 75 | 25 | 50 | 50 | |||||||
| Ziphius cavirostris (n = 8/8) | 100 | 50 | 50 | 37 | 50 | 13 | 13 | 13 | 25 | 12 | 37 | |||
| Steno bredanensis (n = 5/6) | 83 | 60 | 40 | 20 | 20 | 60 | 20 | 40 | 20 | 20 | ||||
| Balaenoptera physalus (n = 1/3) | 33 | 100 | 100 | 100 | ||||||||||
| Mesoplodon densirostris (n = 2/3) | 67 | 50 | 50 | 100 | 100 | |||||||||
| Mesoplodon europaeus (n = 1/3) | 33 | 100 | 100 | 100 | ||||||||||
| Balaenoptera acutorostrata (n = 1/2) | 50 | 100 | 100 | 100 | ||||||||||
| Lagenodelphis hosei (n = 1/2) | 50 | 100 | 100 | 100 | ||||||||||
| Balaenoptera edeni (n = 1/1) | 100 | 100 | 100 | 100 | ||||||||||
| Kogia sima (n = 1/1) | 100 | 100 | 100 | 100 | ||||||||||
| Peponocephala electra (n = 1/1) | 100 | 100 | 100 | 100 | ||||||||||
| Parasites | S.c | S.f | D.d | T.t | G.m | G.g | K.b | P.m | Z.c | S.b | B.p | M.d | M.e | B.a | L.h | B.e | K.s | P.e |
|---|---|---|---|---|---|---|---|---|---|---|---|---|---|---|---|---|---|---|
| Nematodes | ||||||||||||||||||
| Crassicauda sp. | 15/61 | 31/51 | 7/29 | 9/17 | 4/15 | 3/11 | 3/11 | - | 8/8 | - | - | - | - | - | - | 1/1 | - | - |
| Crassicauda anthonyi | - | - | - | - | - | - | - | - | 8/8 | - | - | - | - | - | - | - | - | - |
| Crassicauda grampicola | - | 2/51 | - | 1/17 | - | 4/11 | - | - | - | - | - | - | - | - | - | - | - | - |
| Halocercus sp. | - | 1/51 | - | - | - | - | - | - | - | - | - | - | - | - | - | - | - | - |
| Halocercus delphini | 2/61 | - | - | - | - | - | - | - | - | - | - | - | - | - | - | - | ||
| Stenurus sp. | 1/61 | - | - | - | - | - | - | - | - | - | - | - | - | - | - | - | - | - |
| Stenurus ovatus | - | - | - | 4/17 | - | - | - | - | - | - | - | - | - | - | - | - | - | - |
| Stenurus globicephalae | - | - | - | - | 3/15 | 1/11 | - | - | - | - | - | - | - | - | - | - | - | - |
| Anisakis sp. | 20/61 | 9/51 | 8/29 | 4/17 | 6/15 | 1/11 | 8/11 | 3/8 | 3/8 | 2/6 | - | 1/3 | - | 1/2 | - | 1/1 | 1/1 | |
| Anisakis simplex | - | - | 1/29 | - | - | - | - | - | - | - | - | - | - | - | - | - | - | 1/1 |
| Trematodes | ||||||||||||||||||
| Nasitrema sp. | 7/61 | 8/51 | 9/29 | 12/17 | - | - | 1/11 | - | - | 3/6 | - | - | - | - | - | - | - | - |
| Nasitrema delphini | 2/61 | - | 1/29 | 3/17 | - | - | - | - | - | - | - | - | - | - | - | - | - | - |
| Brachycladium atlanticum | 3/61 | - | 1/29 | - | - | - | - | - | - | - | - | - | - | - | - | - | - | - |
| Oschmarinella sp. | - | - | - | - | - | - | - | - | 2/8 | - | - | - | - | - | - | - | - | - |
| Oschmarinella rochebruni | 2/61 | 2/51 | 1/29 | 1/17 | - | - | - | - | - | 1/6 | - | - | - | - | - | - | - | - |
| Pholeter gastrophilus | 36/61 | 11/51 | 11/29 | 10/17 | 7/15 | 1/11 | - | - | - | 3/6 | - | - | 1/3 | - | - | - | 1/1 | - |
| Cestodes | ||||||||||||||||||
| Dyphyllobothrium sp. | 7/61 | - | - | - | - | - | - | - | - | - | - | - | - | - | - | - | - | - |
| Clistobothrium delphini | 36/61 | 25/51 | 12/29 | 7/17 | 9/15 | 1/11 | 5/11 | 2/8 | 6/8 | 3/6 | - | 1/3 | 1/3 | 1/2 | - | 1/1 | ||
| Clistobothrium grimaldii | 38/61 | 11/51 | 12/29 | 5/17 | 7/15 | 1/11 | 4/11 | - | - | 2/6 | 1/3 | - | - | - | - | - | - | - |
| Acanthocephalans | ||||||||||||||||||
| Bolbosoma vasculosum | 2/61 | - | 1/29 | - | - | - | - | - | - | - | - | - | - | - | - | - | ||
| Bolbosoma capitatum | - | - | - | - | 4/15 | - | - | - | - | - | - | - | - | - | - | - | - | 1/1 |
| Crustaceans | ||||||||||||||||||
| Cyamus sp. | - | - | - | - | - | - | - | - | 2/8 | - | - | - | - | - | - | - | - | - |
| Pennella balaenoptera | 2/61 | - | - | 1/17 | - | - | 1/11 | - | 1/8 | 1/6 | - | - | - | - | - | 1/1 | - | 1/1 |
| Conchoderma sp. | 1/51 | 2/29 | 1/17 | 1/15 | - | - | - | 2/8 | - | - | - | - | - | - | - | - | ||
| Conchoderma auritum | - | - | - | - | - | - | - | - | 1/8 | - | - | - | - | - | - | - | - | - |
| Xenobalanus globicipitis | 7/61 | 8/51 | 11/29 | 2/17 | 5/15 | 4/11 | - | - | - | 1/6 | - | - | - | - | - | - | - | 1/1 |
| Protists | ||||||||||||||||||
| Sarcocystis sp. | 4/61 | 4/51 | 6/29 | - | - | - | - | 2/8 | - | - | - | - | - | - | - | - | - | - |
| Toxoplasma gondii | 2/61 | - | - | - | - | - | - | - | - | - | - | - | - | - | - | - | - | - |
| Parasites | Host | Site |
|---|---|---|
| Nematodes | ||
| Crassicauda sp. | B. edeni, D. delphis, G. macrorhynchus, G. griseus, K. breviceps, S. coeruleoalba, S. frontalis, T. truncatus, Z. cavirostris | Mammary gland, Kidney, subcutanean tissue, prostate, pterygoid sacs |
| C. anthonyi | Z. cavirostris | Kidney |
| C. grampicola | G. griseus, S. frontalis, T. truncatus | Pterygoid sacs |
| Non-identified lungworms | D. delphis, G. macrorhynchus, G. griseus, M. europaeus, S. coeruleoalba, S. frontalis, S. bredanensis, T. truncatus | Lung |
| H. delphini | S. coeruleoalba | Lung |
| S. ovatus | T. truncatus | Lung |
| Stenurus globicephalae | G. macrorhynchus, G. griseus | Pterygoid sacs |
| Non-identified pterygoid sacs nematodes | D. delphis, G. macrorhynchus, G. griseus, S. coeruleoalba, S. frontalis, S. bredanensis, T. truncatus | Pterygoid sacs |
| Anisakis sp. | D. delphis, G. macrorhynchus, G. griseus, K. breviceps, K. sima, L. hosei, M. europaeus, P. electra, P. macrocephalus, S. coeruleoalba, S. frontalis, S. bredanensis, T. truncatus, Z. cavirostris | Digestive tract |
| A. simplex | D. delphis, P. electra | Digestive tract |
| Trematodes | ||
| Nasitrema sp. | D. delphis, G. macrorhynchus, K. breviceps, S. coeruleoalba, S. frontalis, S. bredanensis, T. truncatus | Pterygoid sacs, CNS |
| N. delphini | D. delphis, S. coeruleoalba, T. truncatus | Pterygoid sacs |
| Non-identified hepatic trematodes | B. edeni, D. delphis, M. europaeus, S. coeruleoalba, S. frontalis, T. truncatus, Z. cavirostris | Bile ducts |
| Non-identified pancreatic trematodes | D. delphis, S. coeruleoalba, S. frontalis, T. truncatus | Pancreas |
| B. atlanticum | D. delphis, S. coeruleoalba | Bile ducts, pancreas |
| O. rochebruni | D. delphis, S. coeruleoalba, S. bredanensis, S. frontalis, T. truncatus | Bile ducts, pancreas |
| P. gastrophilus | D. delphis, G. macrorhynchus, G. griseus, K. sima, M. europaeus, S. coeruleoalba, S. frontalis, Steno bredanensis, T. truncatus | Stomach |
| Cestodes | ||
| Non-identified digestive cestodes | D. delphis, G. macrorhynchus, G. griseus, P. electra, S. coeruleoalba, S. frontalis, T. truncatus | Digestive tract |
| Diphyllobothrium Cobbold, 1858 | S. coeruleoalba | Digestive tract |
| C. delphini | B. acutorostrata, D. delphis, G. macrorhynchus, G. griseus, K. breviceps, K. sima, M. densirostris, M. europaeus, P. macrocephalus, S. coeruleoalba, S. frontalis, S. bredanensis, T. truncatus, Ziphius cavirostris | Blubber |
| C. grimaldii | B. physalus, D. delphis, G. macrorhynchus, G. griseus, K. breviceps, S. coeruleoalba, S. frontalis, S. bredanensis, T. truncatus | Abdominal serous |
| Acanthocephalans | ||
| Non-identified acanthocephalans | D. delphis, G. macrorhynchus, M. europaeus, P. electra, S. coeruleoalba, S. frontalis | Digestive tract |
| B. vasculosum | D.delphis, S. coeruleoalba | Digestive tract |
| B. capitatum | G. macrorhynchus, P. electra | |
| Ectoparasites | ||
| Non-identified cyamids | D. delphis, G. macrorhynchus, M. europaeus, P. macrocephalus, S. coeruleoalba, T. truncatus, Z. cavirostris | Skin |
| Cyamus sp. | Z. cavirostris | Skin |
| Non-identified copepods | B.edeni, K.breviceps, P.electra, S. coeruleoalba, S. bredanensis, T. truncatus, Z. cavirostris | Skin |
| Pennella balaenoptera | B. edeni, K. breviceps, P. electra, S. coeruleoalba, S. bredanensis, T.truncatus, Z. cavirostris | Skin |
| Non-identified cirripedes | D. delphis, G. griseus, P. macrocephalus, S. coeruleoalba, S. frontalis, T. truncatus | Skin |
| Conchoderma sp. | D. delphis, G. macrorhynchus, S. frontalis, Z. cavirostris, | Skin |
| C. auritum | Z. cavirostris | Buccal commissure |
| Xenobalanus globicipitis | D. delphis, G. macrorhynchus, G. griseus, P. electra, S. coeruleoalba, S. frontalis, S. bredanensis, T. truncatus | Skin |
| Protists | ||
| Sarcocystis sp. | D. delphis, P. macrocephalus, S. coeruleoalba, S. frontalis | Skeletal muscle |
| T. gondii | S. coeruleoalba | Systemic infection |
Disclaimer/Publisher’s Note: The statements, opinions and data contained in all publications are solely those of the individual author(s) and contributor(s) and not of MDPI and/or the editor(s). MDPI and/or the editor(s) disclaim responsibility for any injury to people or property resulting from any ideas, methods, instructions or products referred to in the content. |
© 2024 by the authors. Licensee MDPI, Basel, Switzerland. This article is an open access article distributed under the terms and conditions of the Creative Commons Attribution (CC BY) license (https://creativecommons.org/licenses/by/4.0/).
Share and Cite
Suárez-González, Z.; González, J.F.; Arbelo, M.; Sierra, E.; Castro-Alonso, A.; Hernández, J.N.; Martín, V.; Fraija-Fernández, N.; Fernández, A. Parasitic Infections in Stranded Whales and Dolphins in Canary Islands (2018–2022): An Update. Animals 2024, 14, 3377. https://doi.org/10.3390/ani14233377
Suárez-González Z, González JF, Arbelo M, Sierra E, Castro-Alonso A, Hernández JN, Martín V, Fraija-Fernández N, Fernández A. Parasitic Infections in Stranded Whales and Dolphins in Canary Islands (2018–2022): An Update. Animals. 2024; 14(23):3377. https://doi.org/10.3390/ani14233377
Chicago/Turabian StyleSuárez-González, Zuleima, Jorge F. González, Manuel Arbelo, Eva Sierra, Ayoze Castro-Alonso, Julia N. Hernández, Vidal Martín, Natalia Fraija-Fernández, and Antonio Fernández. 2024. "Parasitic Infections in Stranded Whales and Dolphins in Canary Islands (2018–2022): An Update" Animals 14, no. 23: 3377. https://doi.org/10.3390/ani14233377
APA StyleSuárez-González, Z., González, J. F., Arbelo, M., Sierra, E., Castro-Alonso, A., Hernández, J. N., Martín, V., Fraija-Fernández, N., & Fernández, A. (2024). Parasitic Infections in Stranded Whales and Dolphins in Canary Islands (2018–2022): An Update. Animals, 14(23), 3377. https://doi.org/10.3390/ani14233377

