Exploring Photoreceptor Gene Expression and Seasonal Physiology in Mediterranean Swordfish (Xiphias gladius)
Simple Summary
Abstract
1. Introduction
2. Materials and Methods
2.1. Samples Collection
2.2. Hepatosomatic Index (HSI)
2.3. Molecular Analysis
2.3.1. RNA Extraction and cDNA Synthesis
2.3.2. Real-Time PCR
2.4. Histological Analysis
2.5. Statistic Analysis
3. Results
3.1. Biometric Parameters, HSI
3.2. Molecular Analysis
3.2.1. Melatonin Receptor, Opsins, and Stress Response
3.2.2. Stress and Immune Response
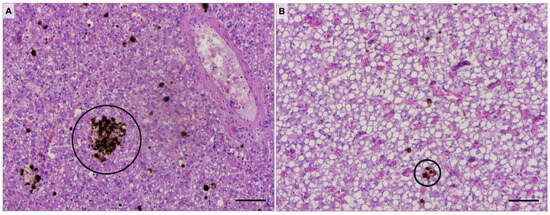
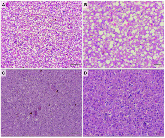
3.3. Histological Analysis
MMCs, MMs, and Lipid Portion
4. Discussion
5. Conclusions
Supplementary Materials
Author Contributions
Funding
Institutional Review Board Statement
Informed Consent Statement
Data Availability Statement
Acknowledgments
Conflicts of Interest
References
- Abascal, F.J.; Mejuto, J.; Quintans, M.; García-Cortés, B.; Ramos-Cartelle, A. Tracking of the broadbill swordfish, Xiphias gladius, in the central and eastern North Atlantic. Fish. Res. 2015, 162, 20–28. [Google Scholar] [CrossRef]
- Dewar, H.; Prince, E.D.; Musyl, M.K.; Brill, R.W.; Sepulveda, C.; Luo, J.; Foley, D.; Orbesen, E.S.; Domeier, M.L.; Nasby-Lucas, N.; et al. Movements and behaviors of swordfish in the Atlantic and Pacific Oceans examined using pop-up satellite archival tags. Fish. Oceanogr. 2011, 20, 219–241. [Google Scholar] [CrossRef]
- Elepathage, T.S.M.; Tang, D.; Oey, L. The Pelagic Habitat of Swordfish (Xiphias gladius) in the Changing Environment of the North Indian Ocean. Sustainability 2019, 11, 7070. [Google Scholar] [CrossRef]
- Perzia, P.; Battaglia, P.; Consoli, P.; Andaloro, F.; Romeo, T. Swordfish monitoring by a GIS-based spatial and temporal distribution analysis on harpoon fishery data: A case of study in the central Mediterranean Sea. Fish. Res. 2016, 183, 424–434. [Google Scholar] [CrossRef]
- Tserpes, G.; Peristeraki, P.; Valavanis, V.D. Distribution of swordfish in the eastern Mediterranean, in relation to environmental factors and the species biology. Hydrobiologia 2008, 612, 241–250. [Google Scholar] [CrossRef]
- ICCAT. Report of the 2016 Mediterranean swordfish stock assessment meeting. Collect. Vol. Sci. Pap. ICCAT 2017, 73, 1005–1096. [Google Scholar]
- Erauskin-Extramiana, M.; Arrizabalaga, H.; Cabré, A.; Coelho, R.; Rosa, D.; Ibaibarriaga, L.; Chust, G. Are shifts in species distribution triggered by climate change? A swordfish case study. Deep Sea Res. Pt II 2020, 175, 104666. [Google Scholar] [CrossRef]
- Millot, R.; Poisson, F.; Macías, D.; Saber, S.; Aiello, A.; Durieux, E.D.H. Reproductive traits and spawning activity of swordfish Xiphias gladius L. in the north-western Mediterranean Sea (Corsica). Fish. Res. 2023, 267, 106811. [Google Scholar] [CrossRef]
- Biton-Porsmoguer, S.; Bănaru, D.; Harmelin-Vivien, M.; Béarez, P.; Bouchoucha, M.; Marco-Miralles, F.; Marquès, M.; Lloret, J. A study of trophic structure, physiological condition and mercury biomagnification in swordfish (Xiphias gladius): Evidence of unfavourable conditions for the swordfish population in the Western Mediterranean. Mar. Pollut. Bull. 2022, 176, 113411. [Google Scholar] [CrossRef]
- Mejuto, J.; Tserpes, G.; Peristeraki, P.; de la Serna, J.M. DNA microsatellite markers in service of swordfish stock-structure analysis in the atlantic and mediterranean. Collect. Vol. Sci. Pap. ICCAT 2002, 55, 1632–1639. [Google Scholar]
- Righi, T.; Splendiani, A.; Fioravanti, T.; Casoni, E.; Gioacchini, G.; Carnevali, O.; Barucchi, V.C. Loss of mitochondrial genetic diversity in overexploited mediterranean swordfish (Xiphias gladius, 1759) population. Diversity 2020, 12, 170. [Google Scholar] [CrossRef]
- Gioacchini, G.; Filippi, S.; Debernardis, R.; Marisaldi, L.; Cigliano, R.A. A Window of Vulnerability: Chronic Environmental Stress Does Not Impair Reproduction in the Swordfish Xiphias gladius. Animals 2023, 13, 269. [Google Scholar] [CrossRef] [PubMed]
- Basili, D.; Gioacchini, G.; Todisco, V.; Candelma, M.; Marisaldi, L.; Pappalardo, L.; Carnevali, O. Opsins and gonadal circadian rhythm in the swordfish (Xiphias gladius) ovary: Their potential roles in puberty and reproductive seasonality. Gen. Comp. Endocrinol. 2021, 303, 113707. [Google Scholar] [CrossRef] [PubMed]
- Pérez, J.H.; Tolla, E.; Dunn, I.C.; Meddle, S.L.; Stevenson, T.J. A Comparative Perspective on Extra-retinal Photoreception. Trends Endocrinol. Metab. 2019, 30, 39–53. [Google Scholar] [CrossRef] [PubMed]
- Falcón, J. Cellular circadian clocks in the pineal. Prog. Neurobiol. 1999, 58, 121–162. [Google Scholar] [CrossRef]
- Lincoln, G.A. Melatonin entrainment of circannual rhythms. Chronobiol. Int. 2006, 23, 301–306. [Google Scholar] [CrossRef]
- Conde-Sieira, M.; Muñoz, J.L.P.; López-Patiño, M.A.; Gesto, M.; Soengas, J.L.; Míguez, J.M. Oral administration of melatonin counteracts several of the effects of chronic stress in rainbow trout. Domest. Anim. Endocrinol. 2014, 46, 26–36. [Google Scholar] [CrossRef]
- Kulczykowska, E. A review of the multifunctional hormone melatonin and a new hypothesis involving osmoregulation. Rev. Fish Biol. Fish. 2002, 11, 321–330. [Google Scholar] [CrossRef]
- Falcón, J.; Migaud, H.; Muñoz-Cueto, J.A.; Carrillo, M. Current knowledge on the melatonin system in teleost fish. Gen. Comp. Endocrinol. 2010, 165, 469–482. [Google Scholar] [CrossRef]
- Oliveira, C.; Dinis, M.T.; Soares, F.; Cabrita, E.; Pousão-Ferreira, P.; Sánchez-Vázquez, F.J. Lunar and daily spawning rhythms of Senegal sole Solea senegalensis. J. Fish Biol. 2009, 75, 61–74. [Google Scholar] [CrossRef]
- Reppert, S.M. Melatonin Receptors: Molecular Biology of a New Family of G Protein-Coupled Receptors. J. Biol. Rhythms 1997, 12, 528–531. [Google Scholar] [CrossRef] [PubMed]
- Pang, S.F.; Li, L.; Ayre, E.A.; Pang, C.S.; Lee, P.P.N.; Xu, R.K.; Chow, P.H.; Yu, Z.H.; Shiu, S.Y.W. Neuroendocrinology of melatonin in reproduction: Recent developments. J. Chem. Neuroanat. 1998, 14, 157–166. [Google Scholar] [CrossRef] [PubMed]
- Kulczykowska, E.; Kalamarz, H.; Warne, J.M.; Balment, R.J. Day-night specific binding of 2-[125I]Iodomelatonin and melatonin content in gill, small intestine and kidney of three fish species. J. Comp. Physiol. B Biochem. Syst. Environ. Physiol. 2006, 176, 277–285. [Google Scholar] [CrossRef] [PubMed]
- Sauzet, S.; Besseau, L.; Herrera Perez, P.; Covès, D.; Chatain, B.; Peyric, E.; Boeuf, G.; Muñoz-Cueto, J.A.; Falcón, J. Cloning and retinal expression of melatonin receptors in the European sea bass, Dicentrarchus labrax. Gen. Comp. Endocrinol. 2008, 157, 186–195. [Google Scholar] [CrossRef] [PubMed]
- Falcón, J.; Besseau, L.; Sauzet, S.; Boeuf, G. Melatonin effects on the hypothalamo-pituitary axis in fish. Trends Endocrinol. Metab. 2007, 18, 81–88. [Google Scholar] [CrossRef]
- Maitra, S.K.; Hasan, K.N. The Role of melatonin as a hormone and an antioxidant in the control of fish reproduction. Front. Endocrinol. 2016, 7, 38. [Google Scholar] [CrossRef]
- Davies, W.I.L.; Tamai, T.K.; Zheng, L.; Fu, J.K.; Rihel, J.; Foster, R.G.; Whitmore, D.; Hankins, M.W. An extended family of novel vertebrate photopigments is widely expressed and displays a diversity of function. Genome Res. 2015, 25, 1666–1679. [Google Scholar] [CrossRef]
- Pagano, C.; Siauciunaite, R.; Idda, M.L.; Ruggiero, G.; Ceinos, R.M.; Pagano, M.; Frigato, E.; Bertolucci, C.; Foulkes, N.S.; Vallone, D. Evolution shapes the responsiveness of the D-box enhancer element to light and reactive oxygen species in vertebrates. Sci. Rep. 2018, 8, 13180. [Google Scholar] [CrossRef]
- Peirson, S.N.; Haiford, S.; Foster, R.G. The evolution of irradiance detection: Melanopsin and the non-visual opsins. Philos. Trans. R. Soc. B Biol. Sci. 2009, 364, 2849–2865. [Google Scholar] [CrossRef]
- Nayak, G.; Zhang, K.X.; Vemaraju, S.; Odaka, Y.; Buhr, E.D.; Holt-Jones, A.; Kernodle, S.; Smith, A.N.; Upton, B.A.; D’Souza, S.; et al. Adaptive Thermogenesis in Mice Is Enhanced by Opsin 3-Dependent Adipocyte Light Sensing. Cell Rep. 2020, 30, 672–686.e8. [Google Scholar] [CrossRef]
- Marisaldi, L.; Basili, D.; Candelma, M.; Sesani, V.; Pignalosa, P.; Gioacchini, G.; Carnevali, O. Maturity assignment based on histology-validated macroscopic criteria: Tackling the stock decline of the Mediterranean swordfish (Xiphias gladius). Aquat. Conserv. Mar. Freshw. Ecosyst. 2020, 30, 303–314. [Google Scholar] [CrossRef]
- Andersen, C.L.; Jensen, J.L.; Ørntoft, T.F. Normalization of real-time quantitative reverse transcription-PCR data: A model-based variance estimation approach to identify genes suited for normalization, applied to bladder and colon cancer data sets. Cancer Res. 2004, 64, 5245–5250. [Google Scholar] [CrossRef] [PubMed]
- Chemello, G.; Trotta, E.; Notarstefano, V.; Papetti, L.; Di Renzo, L.; Matiddi, M.; Silvestri, C.; Carnevali, O.; Gioacchini, G. Microplastics evidence in yolk and liver of loggerhead sea turtles (Caretta caretta), a pilot study. Environ. Pollut. 2023, 337, 122589. [Google Scholar] [CrossRef] [PubMed]
- Varpe, Ø. Life history adaptations to seasonality. Integr. Comp. Biol. 2017, 57, 943–960. [Google Scholar] [CrossRef] [PubMed]
- Giacomini, H.C.; Shuter, B.J. Adaptive responses of energy storage and fish life histories to climatic gradients. J. Theor. Biol. 2013, 339, 100–111. [Google Scholar] [CrossRef]
- Häfker, N.S.; Andreatta, G.; Manzotti, A.; Falciatore, A.; Raible, F.; Tessmar-Raible, K. Rhythms and Clocks in Marine Organisms. Ann. Rev. Mar. Sci. 2023, 15, 509–538. [Google Scholar] [CrossRef]
- Bouaziz, M.; Bejaoui, S.; Rabeh, I.; Besbes, R.; El Cafsi, M.H.; Falcón, J. Impact of temperature on sea bass, Dicentrarchus labrax, retina: Fatty acid composition, expression of rhodopsin and enzymes of lipid and melatonin metabolism. Exp. Eye Res. 2017, 159, 87–97. [Google Scholar] [CrossRef]
- Copernicus Marine Service. Available online: https://marine.copernicus.eu/ (accessed on 18 September 2024).
- Beaudry, F.E.G.; Iwanicki, T.W.; Mariluz, B.R.Z.; Darnet, S.; Brinkmann, H.; Schneider, P.; Taylor, J.S. The non-visual opsins: Eighteen in the ancestor of vertebrates, astonishing increase in ray-finned fish, and loss in amniotes. J. Exp. Zool. Part B 2017, 328, 685–696. [Google Scholar] [CrossRef]
- Mohanty, B.P.; Mahanty, A.; Mitra, T.; Parija, S.C.; Mohanty, S. Heat shock proteins in stress in teleosts. In Regulation of Heat Shock Protein Responses; Asea, A., Kaur, P., Eds.; Springer: Cham, Switzerland, 2018; pp. 71–94. ISBN 978-3-319-74715-6. [Google Scholar]
- Carreras-Colom, E.; Constenla, M.; Dallarés, S.; Carrassón, M. Natural variability and potential use of melanomacrophage centres as indicators of pollution in fish species from the NW Mediterranean Sea. Mar. Pollut. Bull. 2022, 176, 113441. [Google Scholar] [CrossRef]







| Gene ID | Forward Primer (5′-3′) | Reverse Primer (5′-3′) |
|---|---|---|
| acta1a | TCAAAGTTCCCCTCACCGAC | GGTCTCATCGTCGTCACACA |
| rpl7 | GTACTGCTCGCAAAGTGGGA | GACTTTGGGGCTGACACCAT |
| sod1 | TTGGTGACCTGGGGAATGTG | GAATAGGGGCCAGTGAGGGA |
| sod2 | GCGTCCATCCTGTCTTGTGAG | CGTATGTCAGGTCAGGCAGC |
| hspa4b | CAAACTGACCAACGACGCAA | ACAACGGGGTTACAAGCAGA |
| asmt | AAGACGAGTTGCCCAAAGCA | CCTTTAAGACTTTTACCTGGTGTGC |
| tph1 | AGCCCCCAGATAACTCCTGT | TACATCAGGACGCGGTTAGC |
| mel1b | GGTCAGCTACTTCATGGCCT | GTCTCCGTCACAAAAAGCCG |
| sws | CTGGTCATCTGCAAGCCACT | CCAACAGTGCAAACACCCAG |
| rho | TGAATTTGGGGGAGGCTGC | TGTGTGAAGATCCACCAGGC |
| opsin4 | TCAAGAGCCAGATCAAGAGCC | GTGTCCATCTGCGAAATCCCC |
| tmt | CTCAACAAACCCTGTCCGGT | CAGCGGGGTCTGTTCTGTC |
| parapinopsin | ATGCCCTCCGACAAAAGCA | TCCCCAACCAAACAGAGGTG |
| VA opsin | CTGCTGTTCGTCTGGACCTT | ACAGGTGGTTCCAATCTTGCT |
Disclaimer/Publisher’s Note: The statements, opinions and data contained in all publications are solely those of the individual author(s) and contributor(s) and not of MDPI and/or the editor(s). MDPI and/or the editor(s) disclaim responsibility for any injury to people or property resulting from any ideas, methods, instructions or products referred to in the content. |
© 2024 by the authors. Licensee MDPI, Basel, Switzerland. This article is an open access article distributed under the terms and conditions of the Creative Commons Attribution (CC BY) license (https://creativecommons.org/licenses/by/4.0/).
Share and Cite
Gioacchini, G.; Filippi, S.; Cardillo, C.; De Simone, K.; Zarantoniello, M.; Mascoli, A.; Carnevali, O.; Colella, S.; Chemello, G. Exploring Photoreceptor Gene Expression and Seasonal Physiology in Mediterranean Swordfish (Xiphias gladius). Animals 2024, 14, 3273. https://doi.org/10.3390/ani14223273
Gioacchini G, Filippi S, Cardillo C, De Simone K, Zarantoniello M, Mascoli A, Carnevali O, Colella S, Chemello G. Exploring Photoreceptor Gene Expression and Seasonal Physiology in Mediterranean Swordfish (Xiphias gladius). Animals. 2024; 14(22):3273. https://doi.org/10.3390/ani14223273
Chicago/Turabian StyleGioacchini, Giorgia, Sara Filippi, Chiara Cardillo, Kevin De Simone, Matteo Zarantoniello, Alessia Mascoli, Oliana Carnevali, Sabrina Colella, and Giulia Chemello. 2024. "Exploring Photoreceptor Gene Expression and Seasonal Physiology in Mediterranean Swordfish (Xiphias gladius)" Animals 14, no. 22: 3273. https://doi.org/10.3390/ani14223273
APA StyleGioacchini, G., Filippi, S., Cardillo, C., De Simone, K., Zarantoniello, M., Mascoli, A., Carnevali, O., Colella, S., & Chemello, G. (2024). Exploring Photoreceptor Gene Expression and Seasonal Physiology in Mediterranean Swordfish (Xiphias gladius). Animals, 14(22), 3273. https://doi.org/10.3390/ani14223273

