Chlamydiosis in Animals
Simple Summary
Abstract
1. Introduction
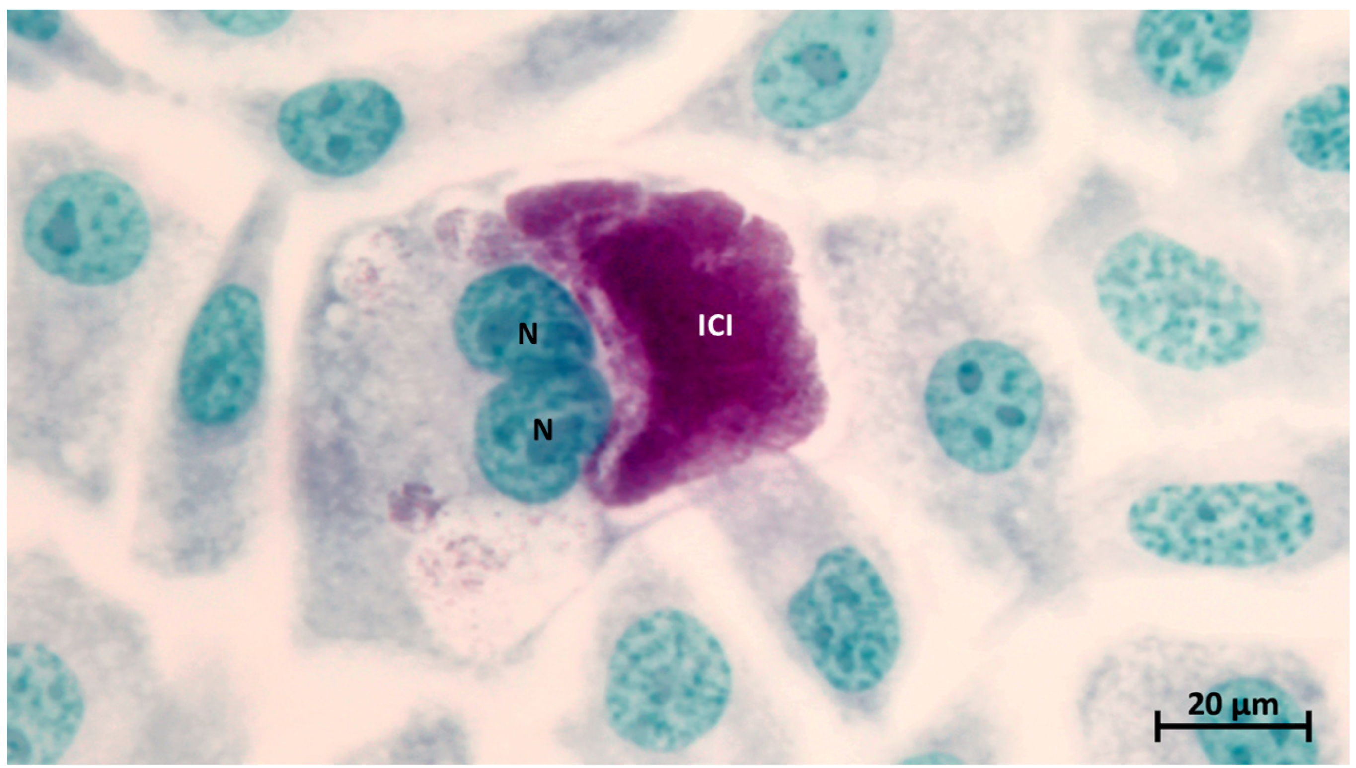
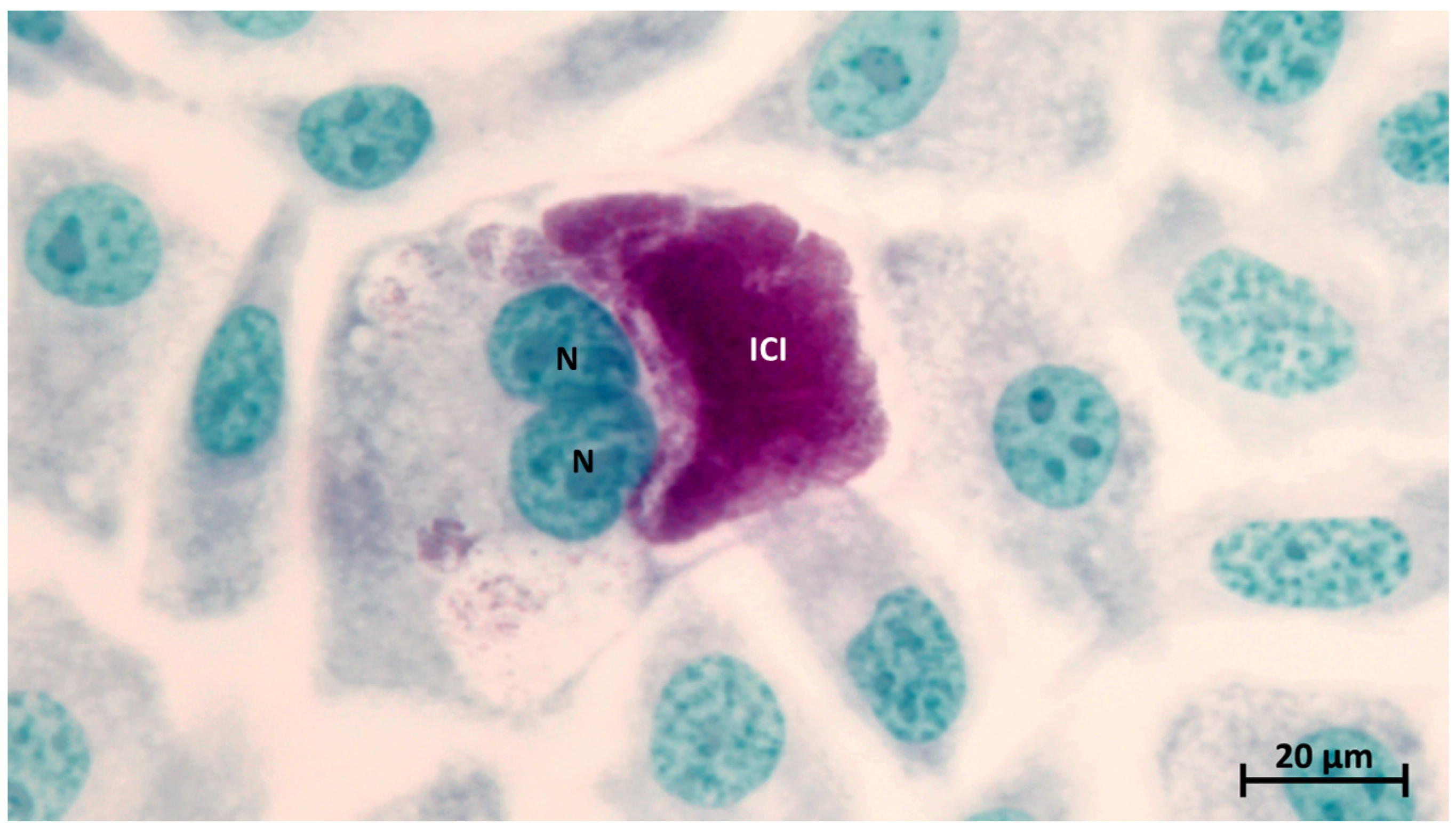
2. Developmental Cycle
3. Historical Background
4. Genomic and Phylogenetic Analysis
5. Host Tropism
5.1. Avian Chlamydiosis
5.1.1. C. psittaci
5.1.2. C. gallinacea
5.1.3. C. avium
5.1.4. C. buteonis
5.1.5. C. ibidis
5.2. Chlamydiosis in Reptiles
5.3. Chlamydiosis in Fish
5.4. Chlamydiosis in Mammals
5.4.1. C. abortus
5.4.2. C. caviae
5.4.3. C. felis
5.4.4. C. muridarum
5.4.5. C. pecorum
5.4.6. C. suis
5.5. Human Chlamydiosis
5.5.1. C. trachomatis
5.5.2. C. pneumoniae
5.6. Chlamydial Zoonosis
6. One Health Perspective
7. Conclusions
Author Contributions
Funding
Institutional Review Board Statement
Informed Consent Statement
Data Availability Statement
Acknowledgments
Conflicts of Interest
Correction Statement
References
- Borel, N.; Polkinghorne, A.; Pospischil, A. A Review on Chlamydial Diseases in Animals: Still a Challenge for Pathologists? Vet. Pathol. 2018, 55, 374–390. [Google Scholar] [CrossRef] [PubMed]
- Longbottom, D.; Coulter, L.J. Animal chlamydioses and zoonotic implications. J. Comp. Pathol. 2003, 128, 217–244. [Google Scholar] [CrossRef] [PubMed]
- Laroucau, K.; Aaziz, R.; Lécu, A.; Laidebeure, S.; Marquis, O.; Vorimore, F.; Thierry, S.; Briend-Marchal, A.; Miclard, J.; Izembart, A.; et al. A cluster of Chlamydia serpentis cases in captive snakes. Vet. Microbiol. 2020, 240, 108499. [Google Scholar] [CrossRef] [PubMed]
- Wolff, B.J.; Gaines, A.; Conley, A.B.; Norris, E.; Rishishwar, L.; Chande, A.T.; Yang, E.; Diaz, M.H.; Winchell, J.M. Multiplex Real-Time PCR Assay for the Detection of all Chlamydia Species and Simultaneous Differentiation of C. psittaci and C. pneumoniae in Human Clinical Specimens. Ann. Lab. Med. 2023, 43, 375–380. [Google Scholar] [CrossRef] [PubMed]
- Szymańska-Czerwińska, M.; Zaręba-Marchewka, K.; Niemczuk, K. New insight on chlamydiae. J. Vet. Res. 2023, 67, 559–565. [Google Scholar] [CrossRef]
- Borel, N.; Greub, G. International Committee on Systematics of Prokaryotes (ICSP) Subcommittee on the taxonomy of Chlamydiae: Minutes of the closed meeting, 25 August 2022, ESCCAR Meeting Lausanne, Switzerland. Int. J. Syst. Evol. Microbiol. 2023, 73, 5712. [Google Scholar] [CrossRef]
- Vorimore, F.; Hölzer, M.; Liebler-Tenorio, E.M.; Barf, L.M.; Delannoy, S.; Vittecoq, M.; Wedlarski, R.; Lécu, A.; Scharf, S.; Blanchard, Y.; et al. Evidence for the existence of a new genus Chlamydiifrater gen. nov. inside the family Chlamydiaceae with two new species isolated from flamingo (Phoenicopterus roseus): Chlamydiifrater phoenicopteri sp. nov. and Chlamydiifrater volucris sp. nov. Syst. Appl. Microbiol. 2021, 44, 126200. [Google Scholar] [CrossRef]
- Laroucau, K.; Vorimore, F.; Aaziz, R.; Solmonson, L.; Hsia, R.C.; Bavoil, P.M.; Fach, P.; Hölzer, M.; Wuenschmann, A.; Sachse, K. Chlamydia buteonis, a new Chlamydia species isolated from a red-shouldered hawk. Syst. Appl. Microbiol. 2019, 42, 125997. [Google Scholar] [CrossRef]
- Siarkou, V.I.; Vorimore, F.; Vicari, N.; Magnino, S.; Rodolakis, A.; Pannekoek, Y.; Sachse, K.; Longbottom, D.; Laroucau, K. Diversification and Distribution of Ruminant Chlamydia abortus Clones Assessed by MLST and MLVA. PLoS ONE 2015, 10, e0126433. [Google Scholar] [CrossRef]
- Vorimore, F.; Hsia, R.C.; Huot-Creasy, H.; Bastian, S.; Deruyter, L.; Passet, A.; Sachse, K.; Bavoil, P.; Myers, G.; Laroucau, K. Isolation of a New Chlamydia species from the Feral Sacred Ibis (Threskiornis aethiopicus): Chlamydia ibidis. PLoS ONE 2013, 8, e74823. [Google Scholar] [CrossRef]
- Garcia-Seco, T.; Perez-Sancho, M.; Salinas, J.; Navarro, A.; Diez-Guerrier, A.; Garcia, N.; Pozo, P.; Goyache, J.; Dominguez, L.; Alvarez, J. Effect of Preventive Chlamydia abortus Vaccination in Offspring Development in Sheep Challenged Experimentally. Front. Vet. Sci. 2016, 3, 67. [Google Scholar] [CrossRef]
- Sachse, K.; Bavoil, P.M.; Kaltenboeck, B.; Stephens, R.S.; Kuo, C.-C.; Rosselló-Móra, R.; Horn, M. Emendation of the family Chlamydiaceae: Proposal of a single genus, Chlamydia, to include all currently recognized species. Syst. Appl. Microbiol. 2015, 38, 99–103. [Google Scholar] [CrossRef]
- Laroucau, K.; Vorimore, F.; Aaziz, R.; Berndt, A.; Schubert, E.; Sachse, K. Isolation of a new chlamydial agent from infected domestic poultry coincided with cases of atypical pneumonia among slaughterhouse workers in France. Infect. Genet. Evol. 2009, 9, 1240–1247. [Google Scholar] [CrossRef]
- Taylor-Brown, A.; Bachmann, N.L.; Borel, N.; Polkinghorne, A. Culture-independent genomic characterisation of Candidatus Chlamydia sanzinia, a novel uncultivated bacterium infecting snakes. BMC Genom. 2016, 17, 710. [Google Scholar] [CrossRef]
- Zaręba-Marchewka, K.; Szymańska-Czerwińska, M.; Livingstone, M.; Longbottom, D.; Niemczuk, K. Whole Genome Sequencing and Comparative Genome Analyses of Chlamydia abortus Strains of Avian Origin Suggests That Chlamydia abortus Species Should Be Expanded to Include Avian and Mammalian Subgroups. Pathogens 2021, 10, 1405. [Google Scholar] [CrossRef]
- Livingstone, M.; Wheelhouse, N.; Ensor, H.; Rocchi, M.; Maley, S.; Aitchison, K.; Wattegedera, S.; Wilson, K.; Sait, M.; Siarkou, V.; et al. Pathogenic outcome following experimental infection of sheep with Chlamydia abortus variant strains LLG and POS. PLoS ONE 2017, 12, e0177653. [Google Scholar] [CrossRef]
- Kebbi-Beghdadi, C.; Marquis, B.; Pillonel, T.; Ruetten, M.; Aeby, S.; Greub, G. Chlamydia vaughanii: A novel chlamidia isolated from a tropical fish. In Proceedings of the 6th European Meeting of Animal Chlamydioses & Zoonoses and 1st European Meeting of Intracellular Pathogens of Animals, Edinburgh, UK, 28–29 November 2023; p. 87. [Google Scholar]
- Chaiwattanarungruengpaisan, S.; Thongdee, M.; Anuntakarun, S.; Payungporn, S.; Arya, N.; Punchukrang, A.; Ramasoota, P.; Singhakaew, S.; Atithep, T.; Sariya, L. A new species of Chlamydia isolated from Siamese crocodiles (Crocodylus siamensis). PLoS ONE 2021, 16, e0252081. [Google Scholar] [CrossRef]
- Longbottom, D.; Livingstone, M.; Ribeca, P.; Beeckman, D.S.A.; van der Ende, A.; Pannekoek, Y.; Vanrompay, D. Whole genome de novo sequencing and comparative genomic analyses suggests that Chlamydia psittaci strain 84/2334 should be reclassified as Chlamydia abortus species. BMC Genom. 2021, 22, 159. [Google Scholar] [CrossRef]
- Zaręba-Marchewka, K.; Bomba, A.; Scharf, S.; Niemczuk, K.; Schnee, C.; Szymańska-Czerwińska, M. Whole genome sequencing and comparative genomic analysis of Chlamydia gallinacea field strains isolated from poultry in Poland. Pathogens 2023, 12, 891. [Google Scholar] [CrossRef]
- Schoborg, R.V. Chlamydia persistence—A tool to dissect chlamydia-host interactions. Microbes Infect. 2011, 13, 649–662. [Google Scholar] [CrossRef]
- Richards, T.S.; Knowlton, A.E.; Grieshaber, S.S. Chlamydia trachomatis homotypic inclusion fusion is promoted by host microtubule trafficking. BMC Microbiol. 2013, 13, 185. [Google Scholar] [CrossRef]
- Gitsels, A.; Sanders, N.; Vanrompay, D. Chlamydial Infection from Outside to Inside. Front. Microbiol. 2019, 10, 2329. [Google Scholar] [CrossRef]
- Elwell, C.; Mirrashidi, K.; Engel, J. Chlamydia cell biology and pathogenesis. Nat. Rev. Microbiol. 2016, 14, 385–400. [Google Scholar] [CrossRef]
- Stelzner, K.; Vollmuth, N.; Rudel, T. Intracellular lifestyle of Chlamydia trachomatis and host–pathogen interactions. Nat. Rev. Microbiol. 2023, 21, 448–462. [Google Scholar] [CrossRef]
- Essig, A.; Longbottom, D. Chlamydia abortus: New Aspects of Infectious Abortion in Sheep and Potential Risk for Pregnant Women. Curr. Clinl. Microbiol. Rep. 2015, 2, 22–34. [Google Scholar] [CrossRef]
- AbdelRahman, Y.M.; Belland, R.J. The chlamydial developmental cycle. FEMS Microbiol. Rev. 2005, 29, 949–959. [Google Scholar] [CrossRef]
- Major, R.H. The Papyrus Ebers. Ann. Med. Hist. 1930, 2, 547–555. [Google Scholar]
- Miyagawa, Y.; Mitamura, T.; Yaoi, H.; Ishii, N.; Nakajima, H.; Okanishi, J.; Watanabe, S.; Sato, K. Studies on the Virus of Lymphogranuloma Inguinale Nicolás, Favre and Durand. (First Report.). Jpn. J. Exp. Med. 1935, 13, 1–18. [Google Scholar]
- Lavery, F. Trachoma in Ireland. Lancet 1930, 216, 1163–1166. [Google Scholar] [CrossRef]
- Tang, F.; Zhang, X.; Huang, Y. Study on the pathogen of trachoma V. Improved trachoma virus isolation technology. Nat. Med. J. 1957, 43, 81–86. [Google Scholar]
- Morange, A. De la Psittacose ou Infection Spéciale Déterminée par des Perruches. Ph.D. Thesis, Faculté de Médecine de Paris, Paris, France, 1895. [Google Scholar]
- Bedson, S.; Bland, J. A morphological study of psittacosis virus, with the description of a developmental cycle. Br. J. Exp. Pathol. 1932, 13, 461. [Google Scholar]
- Bedson, S.P.; Western, G.T.; Simpson, S.L. Observations on the Aetiology of Psittacosis. Lancet 1930, 215, 235–236. [Google Scholar] [CrossRef]
- Coles, A. Micro-organisms in psittacosis. Br. Med. J. 1930, 1, 719. [Google Scholar] [CrossRef][Green Version]
- Levinthal, W. Die aetiologie der psittakosis. Klin. Wochenschr. 1930, 9, 654. [Google Scholar] [CrossRef]
- Lillie, R.D. Psittacosis: Rickettsia-like inclusions in man and in experimental animals. Public Health Rep. 1930, 45, 773–778. [Google Scholar] [CrossRef]
- Bedson, S. Virus Diseases Acquired from Animals. Lancet 1940, 239, 577–579. [Google Scholar] [CrossRef]
- Haagen, E.; Mauer, G. Über eine auf den Menschen übertragbare Viruskrankheit bei Sturmvögeln und ihre Beziehung zur Psittakose. DMW Dtsch. Med. Wochenschr. 1939, 65, 13–15. [Google Scholar] [CrossRef]
- Meiklejohn, G.; Beck, M.D.; Eaton, M.D. Atypical pneumonia caused by psittacosis-like viruses. J. Clin. Investig. 1944, 23, 167–175. [Google Scholar] [CrossRef]
- Meyer, K.; Eddie, B. Spontaneous ornithosis (psittacosis) in chickens the cause of a human infection. Proceed. Soc. Exp. Biol. Med. 1942, 49, 522–525. [Google Scholar] [CrossRef]
- Smadel, J.E. Atypical pneumonia and psittacosis. J. Clin. Investig. 1943, 22, 57–65. [Google Scholar] [CrossRef][Green Version]
- Hinton, D.; Shipley, A.; Galvin, J.; Harkin, J.; Brunton, R. Chlamydiosis in workers at a duck farm and processing plant. Aust. Vet. J. 1993, 70, 174–176. [Google Scholar] [CrossRef]
- Blaha, E. Ansteckender Scheidenkatarrh der Rinder und “Trachomkörperchen” bzw. Prowazeksche Körper (Chlamydozoa) bei demselben. Berl. Tierärztl. Wschr. 1909, 48, 86–88. [Google Scholar]
- Fukushi, H.; Hirai, K. Proposal of Chlamydia pecorum sp. nov. for Chlamydia strains derived from ruminants. Int. J. Syst. Bacteriol. 1992, 42, 306–308. [Google Scholar] [CrossRef]
- Greig, J. Enzootic abortion in ewes. Vet. Rec. 1936, 48, 1226–1227. [Google Scholar]
- Stamp, J.; McEwen, A.; Watt, J.; Nisbet, D. Enzootic abortion in ewes; transmission of the disease. Vet. Rec. 1950, 62, 251–254. [Google Scholar] [CrossRef]
- Takahashi, T.; Takashima, I.; Hashimoto, N. Immunotyping of Chlamydia psittaci by indirect immunofluorescence antibody test with monoclonal antibodies. Microbiol. Immunol. 1988, 32, 251–263. [Google Scholar] [CrossRef]
- Everett, K.D.E.; Bush, R.M.; Andersen, A.A. Emended description of the order Chlamydiales, proposal of Parachlamydiaceae fam. nov. and Simkaniaceae fam. nov., each containing one monotypic genus, revised taxonomy of the family Chlamydiaceae, including a new genus and five new species, and standards for the identification of organisms. Int. J. Syst. Evol. Microbiol. 1999, 49, 415–440. [Google Scholar] [CrossRef]
- Baker, J.A. A virus obtained from a pneumonia of cats and its possible relation to the cause of atypical pneumonia in man. Science 1942, 96, 475–476. [Google Scholar] [CrossRef]
- Bedson, S.P. The psittacosis-lymphogranuloma group of infective agents. II. The position of the agents of trachoma, inclusion conjunctivitis and cat-scratch disease; the ecology of the agents of the psittacosis-lymphogranuloma group. J. R. Inst. Public Health 1959, 22, 99–112. [Google Scholar]
- Yerasimides, T.G. Isolation of a new strain of feline pneumonitis virus from a domestic cat. J. Infect. Dis. 1960, 106, 290–296. [Google Scholar] [CrossRef]
- Cello, R.M. Ocular infections in animals with PLT (Bedsonia) group agents. Am. J. Ophthalmol. 1967, 63, 1270–1273. [Google Scholar] [CrossRef]
- Wang, S.-P.; Grayston, J.T. Immunologic relationship between genital TRIC, lymphogranuloma venereum, and related organisms in a new microtiter indirect immunofluorescence test. Am. J. Ophthalmol. 1970, 70, 367–374. [Google Scholar] [CrossRef]
- Grayston, J.T.; Kuo, C.-C.; Campbell, L.A.; Wang, S.-P. Chlamydia pneumoniae sp. nov. for Chlamydia sp. Strain TWAR. Int. J. Syst. Evol. Microbiol. 1989, 39, 88–90. [Google Scholar] [CrossRef]
- Fukushi, H.; Hirai, K. Chlamydia pecorum—The fourth species of genus Chlamydia. Microbiol. Immunol. 1993, 37, 516–522. [Google Scholar] [CrossRef]
- Stephens, R.S.; Kalman, S.; Lammel, C.; Fan, J.; Marathe, R.; Aravind, L.; Mitchell, W.; Olinger, L.; Tatusov, R.L.; Zhao, Q.; et al. Genome Sequence of an Obligate Intracellular Pathogen of Humans: Chlamydia trachomatis. Science 1998, 282, 754–759. [Google Scholar] [CrossRef]
- Fernandez, C.M.; Krockenberger, M.B.; Ho, S.Y.W.; Crowther, M.S.; Mella, V.S.A.; Jelocnik, M.; Wilmott, L.; Higgins, D.P. Novel typing scheme reveals emergence and genetic diversity of Chlamydia pecorum at the local management scale across two koala populations. Vet. Microbiol. 2024, 293, 110085. [Google Scholar] [CrossRef]
- Szymanska-Czerwinska, M.; Mitura, A.; Niemczuk, K.; Zareba, K.; Jodelko, A.; Pluta, A.; Scharf, S.; Vitek, B.; Aaziz, R.; Vorimore, F.; et al. Dissemination and genetic diversity of chlamydial agents in Polish wildfowl: Isolation and molecular characterisation of avian Chlamydia abortus strains. PLoS ONE 2017, 12, e0174599. [Google Scholar] [CrossRef]
- Sachse, K.; Hölzer, M.; Vorimore, F.; Barf, L.-M.; Sachse, C.; Laroucau, K.; Marz, M.; Lamkiewicz, K. Genomic analysis of 61 Chlamydia psittaci strains reveals extensive divergence associated with host preference. BMC Genom. 2023, 24, 288. [Google Scholar] [CrossRef]
- Burt, S.A.; Röring, R.E.; Heijne, M. Chlamydia psittaci and C. avium in feral pigeon (Columba livia domestica) droppings in two cities in the Netherlands. Vet. Quart. 2018, 38, 63–66. [Google Scholar] [CrossRef]
- Bachmann, N.L.; Polkinghorne, A.; Timms, P. Chlamydia genomics: Providing novel insights into chlamydial biology. Trends Microbiol. 2014, 22, 464–472. [Google Scholar] [CrossRef]
- Trabert, B.; Waterboer, T.; Idahl, A.; Brenner, N.; Brinton, L.A.; Butt, J.; Coburn, S.B.; Hartge, P.; Hufnagel, K.; Inturrisi, F.; et al. Antibodies Against Chlamydia trachomatis and Ovarian Cancer Risk in Two Independent Populations. J. Natl. Cancer Inst. 2019, 111, 129–136. [Google Scholar] [CrossRef] [PubMed]
- Pillonel, T.; Bertelli, C.; Greub, G. Environmental Metagenomic Assemblies Reveal Seven New Highly Divergent Chlamydial Lineages and Hallmarks of a Conserved Intracellular Lifestyle. Front. Microbiol. 2018, 9, 79. [Google Scholar] [CrossRef]
- Sachse, K.; Laroucau, K.; Riege, K.; Wehner, S.; Dilcher, M.; Creasy, H.H.; Weidmann, M.; Myers, G.; Vorimore, F.; Vicari, N.; et al. Evidence for the existence of two new members of the family Chlamydiaceae and proposal of Chlamydia avium sp. nov. and Chlamydia gallinacea sp. nov. Syst. Appl. Microbiol. 2014, 37, 79–88. [Google Scholar] [CrossRef]
- Sigalova, O.M.; Chaplin, A.V.; Bochkareva, O.O.; Shelyakin, P.V.; Filaretov, V.A.; Akkuratov, E.E.; Burskaia, V.; Gelfand, M.S. Chlamydia pan-genomic analysis reveals balance between host adaptation and selective pressure to genome reduction. BMC Genom. 2019, 20, 710. [Google Scholar] [CrossRef]
- Szabo, K.V.; O’Neill, C.E.; Clarke, I.N. Diversity in Chlamydial plasmids. PLoS ONE 2020, 15, e0233298. [Google Scholar] [CrossRef]
- Luu, L.D.W.; Kasimov, V.; Phillips, S.; Myers, G.S.A.; Jelocnik, M. Genome organization and genomics in Chlamydia: Whole genome sequencing increases understanding of chlamydial virulence, evolution, and phylogeny. Front. Cell. Infect. Microbiol. 2023, 13, 1178736. [Google Scholar] [CrossRef]
- Zhong, G. Chlamydial Plasmid-Dependent Pathogenicity. Trends Microbiol. 2017, 25, 141–152. [Google Scholar] [CrossRef]
- Gong, S.; Yang, Z.; Lei, L.; Shen, L.; Zhong, G. Characterization of Chlamydia trachomatis plasmid-encoded open reading frames. J. Bacteriol. 2013, 195, 3819–3826. [Google Scholar] [CrossRef]
- Huang, Y.; Zhang, Q.; Yang, Z.; Conrad, T.; Liu, Y.; Zhong, G. Plasmid-Encoded Pgp5 Is a Significant Contributor to Chlamydia muridarum Induction of Hydrosalpinx. PLoS ONE 2015, 10, e0124840. [Google Scholar] [CrossRef]
- Wurihan, W.; Wang, Y.; Yeung, S.; Zou, Y.; Lai, Z.; Fondell, J.D.; Li, W.V.; Zhong, G.; Fan, H. Expression activation of over 70% of Chlamydia trachomatis genes during the first hour of infection. Infect. Immun. 2024, 92, e0053923. [Google Scholar] [CrossRef]
- Dugan, J.; Rockey, D.D.; Jones, L.; Andersen, A.A. Tetracycline resistance in Chlamydia suis mediated by genomic islands inserted into the chlamydial inv-like gene. Antimicrob. Agents Chemother. 2004, 48, 3989–3995. [Google Scholar] [CrossRef] [PubMed]
- Sandoz, K.M.; Rockey, D.D. Antibiotic resistance in Chlamydiae. Future Microbiol. 2010, 5, 1427–1442. [Google Scholar] [CrossRef] [PubMed]
- Seth-Smith, H.M.B.; Busó, L.S.; Livingstone, M.; Sait, M.; Harris, S.R.; Aitchison, K.D.; Vretou, E.; Siarkou, V.I.; Laroucau, K.; Sachse, K.; et al. European Chlamydia abortus livestock isolate genomes reveal unusual stability and limited diversity, reflected in geographical signatures. BMC Genom. 2017, 18, 344. [Google Scholar] [CrossRef] [PubMed]
- Pillonel, T.; Bertelli, C.; Salamin, N.; Greub, G. Taxogenomics of the order Chlamydiales. Int. J. Syst. Evol. Microbiol. 2015, 65, 1381–1393. [Google Scholar] [CrossRef]
- Taylor-Brown, A.; Spang, L.; Borel, N.; Polkinghorne, A. Culture-independent metagenomics supports discovery of uncultivable bacteria within the genus Chlamydia. Sci. Rep. 2017, 7, 10661. [Google Scholar] [CrossRef]
- Staub, E.; Marti, H.; Biondi, R.; Levi, A.; Donati, M.; Leonard, C.A.; Ley, S.D.; Pillonel, T.; Greub, G.; Seth-Smith, H. Novel Chlamydia species isolated from snakes are temperature-sensitive and exhibit decreased susceptibility to azithromycin. Sci. Rep. 2018, 8, 5660. [Google Scholar] [CrossRef]
- Gong, F.; Chen, Z.; Chang, J.; Liu, J.; Wang, X.; Mo, W.; Tan, M.; Jiang, T. Metagenomic Next-Generation Sequencing Contributes to the Diagnosis of Pneumonia Caused by Chlamydia abortus in a Male Patient: Case Report and Literature Review. Infect. Drug Resist. 2023, 16, 3463–3468. [Google Scholar] [CrossRef]
- Dembek, Z.F.; Mothershead, J.L.; Owens, A.N.; Chekol, T.; Wu, A. Psittacosis: An underappreciated and often undiagnosed disease. Pathogens 2023, 12, 1165. [Google Scholar] [CrossRef]
- Burgener, A.-V.; Seth-Smith, H.M.; Kern-Baumann, S.; Durovic, A.; Blaich, A.; Menter, T.; Bruder, E.; Roloff, T.; Martinez, A.; Borel, N. A case study of zoonotic Chlamydia abortus infection: Diagnostic challenges from clinical and microbiological perspectives. Open Forum Infect. Dis. 2022, 9, ofac524. [Google Scholar] [CrossRef]
- Pichon, N.; Guindre, L.; Laroucau, K.; Cantaloube, M.; Nallatamby, A.; Parreau, S. Chlamydia abortus in pregnant woman with acute respiratory distress syndrome. Emerg. Infect. Dis. 2020, 26, 628. [Google Scholar] [CrossRef]
- Jazi, S.; Mokhtari, A.; Kahrizsangi, A.E. Molecular detection of Chlamydia psittaci and Chlamydia felis in human keratoconjunctivitis cases. Bulg. J. Vet. Med. 2020, 23, 130. [Google Scholar] [CrossRef]
- Weygaerde, Y.V.; Versteele, C.; Thijs, E.; De Spiegeleer, A.; Boelens, J.; Vanrompay, D.; Van Braeckel, E.; Vermaelen, K. An unusual presentation of a case of human psittacosis. Respir. Med. Case. Rep. 2018, 23, 138–142. [Google Scholar] [CrossRef] [PubMed]
- Cechova, L.; Halánová, M.; Babinská, I.; Danisova, O.; Bartkovsky, M.; Marcincak, S.; Marcincakova, D.; Valencakova, A.; Cislakova, L. Chlamydiosis in farmed chickens in Slovakia and zoonotic risk for humans. Ann. Agric. Environ. Med. 2018, 25, 320–325. [Google Scholar] [CrossRef] [PubMed]
- Benaissa, M.H.; Mimoune, N.; Youngs, C.R.; Kaidi, R.; Faye, B. First report of Chlamydophila abortus infection in the dromedary camel (Camelus dromedarius) population in eastern Algeria. Comp. Immunol. Microbiol. Infect. Dis. 2020, 73, 101557. [Google Scholar] [CrossRef]
- Caspe, S.G.; Palarea-Albaladejo, J.; Underwood, C.; Livingstone, M.; Wattegedera, S.R.; Milne, E.; Sargison, N.D.; Chianini, F.; Longbottom, D. Distribution and Severity of Placental Lesions Caused by the Chlamydia abortus 1B Vaccine Strain in Vaccinated Ewes. Pathogens 2021, 10, 543. [Google Scholar] [CrossRef]
- Caspe, S.G.; Palarea-Albaladejo, J.; Livingstone, M.; Wattegedera, S.R.; Milne, E.; Sargison, N.D.; Longbottom, D. The extent of placental pathology is negatively correlated to birth weight in ewes infected with the wild-type strain of Chlamydia abortus. Small Rumin. Res. 2023, 226, 107029. [Google Scholar] [CrossRef]
- Nogarol, C.; Marchino, M.; Scala, S.; Belvedere, M.; Renna, G.; Vitale, N.; Mandola, M.L. Seroprevalence and Risk Factors Associated with Chlamydia abortus Infection in Sheep and Goats in North-Western Italy. Animals 2024, 14, 291. [Google Scholar] [CrossRef]
- De Meyst, A.; Aaziz, R.; Pex, J.; Braeckman, L.; Livingstone, M.; Longbottom, D.; Laroucau, K.; Vanrompay, D. Prevalence of new and established avian chlamydial species in humans and their psittacine pet birds in Belgium. Microorganisms 2022, 10, 1758. [Google Scholar] [CrossRef]
- Seibert, B.A.; Keel, M.K.; Kelly, T.R.; Nilsen, R.A.; Ciembor, P.; Pesti, D.; Gregory, C.R.; Ritchie, B.W.; Hawkins, M.G. Chlamydia buteonis in birds of prey presented to California wildlife rehabilitation facilities. PLoS ONE 2021, 16, e0258500. [Google Scholar] [CrossRef]
- Vorimore, F.; Aaziz, R.; Al Qaysi, L.; Wernery, U.; Borel, N.; Sachse, K.; Laroucau, K. Detection of a novel genotype of Chlamydia buteonis in falcons from the Emirates. Vet. Microbiol. 2024, 291, 110027. [Google Scholar] [CrossRef]
- Ciuria, S.; Brouwer, M.S.; de Gier, M.M.; van Zeeland, Y.; Bossers, A.; Prähauser, B.; Schädler, J.; Hatt, J.-M.; Heijne, M.; Borel, N. Chlamydia caviae in swiss and dutch guinea pigs—Occurrence and genetic diversity. Pathogens 2021, 10, 1230. [Google Scholar] [CrossRef] [PubMed]
- Cheong, H.C.; Lee, C.Y.Q.; Cheok, Y.Y.; Tan, G.M.Y.; Looi, C.Y.; Wong, W.F. Chlamydiaceae: Diseases in primary hosts and zoonosis. Microorganisms 2019, 7, 146. [Google Scholar] [CrossRef] [PubMed]
- Van Grootveld, R.; Bilsen, M.P.; Boelsums, T.L.; Heddema, E.R.; Groeneveld, G.H.; Gooskens, J.; de Boer, M.G.J. Chlamydia caviae Causing Community-Acquired Pneumonia: An Emerging Zoonosis. Vector Borne Zoonotic Dis. 2018, 18, 635–637. [Google Scholar] [CrossRef] [PubMed]
- Millan, J.; Cabezon, O.; Pabon, M.; Dubey, J.P.; Almeria, S. Seroprevalence of Toxoplasma gondii and Neospora caninum in feral cats (Felis silvestris catus) in Majorca, Balearic Islands, Spain. Vet. Parasitol. 2009, 165, 323–326. [Google Scholar] [CrossRef]
- Hartley, J.; Stevenson, S.; Robinson, A.; Littlewood, J.; Carder, C.; Cartledge, J.; Clark, C.; Ridgway, G. Conjunctivitis due to Chlamydophila felis (Chlamydia psittaci feline pneumonitis agent) acquired from a cat: Case report with molecular characterization of isolates from the patient and cat. J. Infect. 2001, 43, 7–11. [Google Scholar] [CrossRef]
- Marchino, M.; Rizzo, F.; Barzanti, P.; Sparasci, O.A.; Bottino, P.; Vicari, N.; Rigamonti, S.; Braghin, S.; Aaziz, R.; Vorimore, F.; et al. Chlamydia Species and Related Risk Factors in Poultry in North-Western Italy: Possible Bird-to-Human Transmission for C. gallinacea. Int. J. Environ. Res. Public Health 2022, 19, 2174. [Google Scholar] [CrossRef]
- Stokes, H.; Martens, J.; Chamings, A.; Walder, K.; Berg, M.L.; Segal, Y.; Bennett, A. Identification of Chlamydia gallinacea in a parrot and in free-range chickens in Australia. Aust. Vet. J. 2019, 97, 398–400. [Google Scholar] [CrossRef]
- Guo, W.; Li, J.; Kaltenboeck, B.; Gong, J.; Fan, W.; Wang, C. Chlamydia gallinacea, not C. psittaci, is the endemic chlamydial species in chicken (Gallus gallus). Sci. Rep. 2016, 6, 19638. [Google Scholar] [CrossRef]
- Hölzer, M.; Laroucau, K.; Creasy, H.H.; Ott, S.; Vorimore, F.; Bavoil, P.M.; Marz, M.; Sachse, K. Whole-genome sequence of Chlamydia gallinacea type strain 08-1274/3. Genome Announc. 2016, 4, 10–1128. [Google Scholar] [CrossRef]
- Patel, M.; Lin, S.A.; Boddicker, M.A.; DeMaula, C.; Connolly, B.; Bednar, B.; Heinrichs, J.H.; Smith, J.G. Quantitative In Vivo Detection of Chlamydia muridarum Associated Inflammation in a Mouse Model Using Optical Imaging. Mediat. Inflamm. 2015, 2015, 264897. [Google Scholar] [CrossRef]
- Ramsey, K.H.; Sigar, I.M.; Schripsema, J.H.; Denman, C.J.; Bowlin, A.K.; Myers, G.A.; Rank, R.G. Strain and virulence diversity in the mouse pathogen Chlamydia muridarum. Infect. Immun. 2009, 77, 3284–3293. [Google Scholar] [CrossRef] [PubMed]
- Li, J.; Guo, W.; Kaltenboeck, B.; Sachse, K.; Yang, Y.; Lu, G.; Zhang, J.; Luan, L.; You, J.; Huang, K. Chlamydia pecorum is the endemic intestinal species in cattle while C. gallinacea, C. psittaci and C. pneumoniae associate with sporadic systemic infection. Vet. Microbiol. 2016, 193, 93–99. [Google Scholar] [CrossRef] [PubMed]
- Jelocnik, M.; Forshaw, D.; Cotter, J.; Roberts, D.; Timms, P.; Polkinghorne, A. Molecular and pathological insights into Chlamydia pecorum-associated sporadic bovine encephalomyelitis (SBE) in Western Australia. BMC Vet. Res. 2014, 10, 121. [Google Scholar] [CrossRef] [PubMed][Green Version]
- Devereaux, L.N.; Polkinghorne, A.; Meijer, A.; Timms, P. Molecular evidence for novel chlamydial infections in the koala (Phascolarctos cinereus). Syst. Appl. Microbiol. 2003, 26, 245–253. [Google Scholar] [CrossRef]
- Longbottom, D.; Psarrou, E.; Livingstone, M.; Vretou, E. Diagnosis of ovine enzootic abortion using an indirect ELISA (rOMP91B iELISA) based on a recombinant protein fragment of the polymorphic outer membrane protein POMP91B of Chlamydophila abortus. FEMS Microbiol. Lett. 2001, 195, 157–161. [Google Scholar] [CrossRef]
- Pagliarani, S.; Johnston, S.D.; Beagley, K.W.; Hulse, L.; Palmieri, C. Chlamydiosis and cystic dilatation of the ovarian bursa in the female koala (Phascolarctos cinereus): Novel insights into the pathogenesis and mechanisms of formation. Theriogenology 2022, 189, 280–289. [Google Scholar] [CrossRef]
- Burnard, D.; Polkinghorne, A. Chlamydial infections in wildlife-conservation threats and/or reservoirs of ‘spill-over’ infections? Vet. Microbiol. 2016, 196, 78–84. [Google Scholar] [CrossRef]
- Videm, V. Chlamydia pneumoniae infection and coronary artery disease. Int. J. Cardiol. 2009, 135, 410. [Google Scholar] [CrossRef]
- Myers, G.S.; Mathews, S.A.; Eppinger, M.; Mitchell, C.; O’Brien, K.K.; White, O.R.; Benahmed, F.; Brunham, R.C.; Read, T.D.; Ravel, J.; et al. Evidence that human Chlamydia pneumoniae was zoonotically acquired. J. Bacteriol. 2009, 191, 7225–7233. [Google Scholar] [CrossRef]
- Wang, S.S.; Tondella, M.L.; Bajpai, A.; Mathew, A.G.; Mehranpour, P.; Li, W.; Kacharava, A.G.; Fields, B.S.; Austin, H.; Zafari, A.M. Circulating Chlamydia pneumoniae DNA and advanced coronary artery disease. Int. J. Cardiol. 2007, 118, 215–219. [Google Scholar] [CrossRef]
- Jacobson, E.R.; Heard, D.; Andersen, A. Identification of Chlamydophila pneumoniae in an emerald tree boa, Corallus caninus. J. Vet. Diagn. Investig. 2004, 16, 153–154. [Google Scholar] [CrossRef] [PubMed]
- Bodetti, T.J.; Jacobson, E.; Wan, C.; Hafner, L.; Pospischil, A.; Rose, K.; Timms, P. Molecular Evidence to Support the Expansion of the Hostrange of Chlamydophila pneumoniae to Include Reptiles as Well as Humans, Horses, Koalas and Amphibians. Syst. Appl. Microbiol. 2002, 25, 146–152. [Google Scholar] [CrossRef] [PubMed]
- Cascina, A.; Marone Bianco, A.; Mangiarotti, P.; Montecucco, C.M.; Meloni, F. Cutaneous vasculitis and reactive arthritis following respiratory infection due to Chlamydia pneumoniae: Report of a case. Clin. Exp. Rheumatol. 2002, 20, 845–847. [Google Scholar]
- Berger, L.; Volp, K.; Mathews, S.; Speare, R.; Timms, P. Chlamydia pneumoniae in a free-ranging giant barred frog (Mixophyes iteratus) from Australia. J. Clin. Microbiol. 1999, 37, 2378–2380. [Google Scholar] [CrossRef]
- Carossino, M.; Nevarez, J.G.; Sakaguchi, K.; Paulsen, D.B.; Langohr, I.M.; Strother, K.; Ferracone, J.; Roy, A.; Crossland, N.A.; Del Piero, F. An outbreak of systemic chlamydiosis in farmed American alligators (Alligator mississippiensis). Vet. Pathol. 2022, 59, 860–868. [Google Scholar] [CrossRef]
- Meza-Madrid, D.I.; Morales-Salinas, E.; Sánchez-Godoy, F.D. Pathological findings and their association with diseases of captive psittacine birds native to Mexico. J. Comp. Pathol. 2024, 208, 24–32. [Google Scholar] [CrossRef]
- Aaziz, R.; Vinueza, R.L.; Vorimore, F.; Schnee, C.; Jiménez-Uzcátegui, G.; Zanella, G.; Laroucau, K. Avian Chlamydia abortus Strains Detected in Galápagos Waved Albatross (Phoebastria irrorata). J. Wildl. Dis. 2023, 59, 143–148. [Google Scholar] [CrossRef]
- Gallo Vaulet, L.; Vanstreels, R.E.T.; Gallo, L.; Entrocassi, A.C.; Peker, L.; Blanco, G.S.; Rago, M.V.; Rodriguez Fermepin, M.; Uhart, M.M. Chlamydiaceae-Like Bacterium in Wild Magellanic Penguins (Spheniscus magellanicus). Diversity 2022, 14, 746. [Google Scholar] [CrossRef]
- Sanderson, H.; Vasquez, M.; Killion, H.; Vance, M.; Sondgeroth, K.; Fox, J. Fatal Chlamydia psittaci infection in a domestic kitten. J. Vet. Diagn. Investig. 2021, 33, 101–103. [Google Scholar] [CrossRef]
- Stalder, S.; Marti, H.; Borel, N.; Vogler, B.R.; Pesch, T.; Prähauser, B.; Wencel, P.; Laroucau, K.; Albini, S. Falcons from the United Arab Emirates Infected with Chlamydia psittaci/C. abortus Intermediates Specified as Chlamydia buteonis by Polymerase Chain Reaction. J. Avian. Med. Surg. 2021, 35, 333–340. [Google Scholar] [CrossRef]
- Zhu, H.; Shen, Z.; Luo, H.; Zhang, W.; Zhu, X. Chlamydia Trachomatis Infection-Associated Risk of Cervical Cancer: A Meta-Analysis. Medicine 2016, 95, e3077. [Google Scholar] [CrossRef] [PubMed]
- White, J.A. Lymphogranuloma venereum (LGV). Medicine 2010, 38, 267–269. [Google Scholar] [CrossRef][Green Version]
- Mabey, D.C.W.; Solomon, A.W.; Foster, A. Trachoma. Lancet 2003, 362, 223–229. [Google Scholar] [CrossRef]
- Chahota, R.; Ogawa, H.; Ohya, K.; Yamaguchi, T.; Everett, K.D.E.; Fukushi, H. Involvement of multiple Chlamydia suis genotypes in porcine conjunctivitis. Transbound. Emerg. Dis. 2018, 65, 272–277. [Google Scholar] [CrossRef]
- Kieckens, E.; Van den Broeck, L.; Van Gils, M.; Morré, S.; Vanrompay, D. Co-Occurrence of Chlamydia suis DNA and Chlamydia suis-Specific Antibodies in the Human Eye. Vector Borne Zoonotic Dis. 2018, 18, 677–682. [Google Scholar] [CrossRef]
- Li, M.; Jelocnik, M.; Yang, F.; Gong, J.; Kaltenboeck, B.; Polkinghorne, A.; Feng, Z.; Pannekoek, Y.; Borel, N.; Song, C.; et al. Asymptomatic infections with highly polymorphic Chlamydia suis are ubiquitous in pigs. BMC Vet. Res. 2017, 13, 370. [Google Scholar] [CrossRef]
- De Puysseleyr, L.; De Puysseleyr, K.; Braeckman, L.; Morré, S.A.; Cox, E.; Vanrompay, D. Assessment of Chlamydia suis Infection in Pig Farmers. Transbound. Emerg. Dis. 2017, 64, 826–833. [Google Scholar] [CrossRef]
- Risco, D.; García, A.; Fernández-Llario, P.; Garcia, W.L.; Benítez, J.M.; Gonçalves, P.; Cuesta, J.M.; Gómez, L.; Rey, J.; Hermoso de Mendoza, J. Ocular lesions associated with Chlamydia suis in a wild boar piglet (Sus scrofa) from a semi-free range population in Spain. J. Zoo. Wildl. Med. 2013, 44, 159–162. [Google Scholar] [CrossRef]
- Reinhold, P.; Kirschvink, N.; Theegarten, D.; Berndt, A. An experimentally induced Chlamydia suis infection in pigs results in severe lung function disorders and pulmonary inflammation. Vet. Res. 2008, 39, 35. [Google Scholar] [CrossRef]
- Rogers, D.G.; Andersen, A.A. Intestinal lesions caused by a strain of Chlamydia suis in weanling pigs infected at 21 days of age. J. Vet. Diagn. Investig. 2000, 12, 233–239. [Google Scholar] [CrossRef]
- Mitura, A.; Niemczuk, K.; Zaręba, K.; Zając, M.; Laroucau, K.; Szymańska-Czerwińska, M. Free-living and captive turtles and tortoises as carriers of new Chlamydia spp. PLoS ONE 2017, 12, e0185407. [Google Scholar] [CrossRef] [PubMed]
- Laroucau, K.; Ortega, N.; Vorimore, F.; Aaziz, R.; Mitura, A.; Szymanska-Czerwinska, M.; Cicerol, M.; Salinas, J.; Sachse, K.; Caro, M.R. Detection of a novel Chlamydia species in captive spur-thighed tortoises (Testudo graeca) in southeastern Spain and proposal of Candidatus Chlamydia testudinis. Syst. Appl. Microbiol. 2020, 43, 126071. [Google Scholar] [CrossRef] [PubMed]
- Donati, M.; Laroucau, K.; Guerrini, A.; Balboni, A.; Salvatore, D.; Catelli, E.; Lupini, C.; Levi, A.; Di Francesco, A. Chlamydiosis in Backyard Chickens (Gallus gallus) in Italy. Vector Borne Zoonotic Dis. 2018, 18, 222–225. [Google Scholar] [CrossRef] [PubMed]
- Riccio, M.B.; García, J.P.; Chiapparrone, M.L.; Cantón, J.; Cacciato, C.; Origlia, J.A.; Cadario, M.E.; Diab, S.S.; Uzal, F.A. Outbreak of Chlamydia psittaci Infection in a Commercial Psittacine Breeding Aviary in Argentina. Animals 2024, 14, 1959. [Google Scholar] [CrossRef]
- Hogerwerf, L.; Roof, I.; de Jong, M.J.K.; Dijkstra, F.; van der Hoek, W. Animal sources for zoonotic transmission of psittacosis: A systematic review. BMC Infect. Dis. 2020, 20, 192. [Google Scholar] [CrossRef]
- De Meyst, A.; De Clercq, P.; Porrez, J.; Geens, T.; Braeckman, L.; Ouburg, S.; Morré, S.A.; Vanrompay, D. Belgian Cross-Sectional Epidemiological Study on Zoonotic Avian Chlamydia spp. in Chickens. Microorganisms 2024, 12, 0193. [Google Scholar] [CrossRef]
- Jelocnik, M.; Jenkins, C.; O’Rourke, B.; Barnwell, J.; Polkinghorne, A. Molecular evidence to suggest pigeon-type Chlamydia psittaci in association with an equine foal loss. Transbound. Emerg. Dis. 2018, 65, 911–915. [Google Scholar] [CrossRef]
- Jelocnik, M.; Branley, J.; Heller, J.; Raidal, S.; Alderson, S.; Galea, F.; Gabor, M.; Polkinghorne, A. Multilocus sequence typing identifies an avian-like Chlamydia psittaci strain involved in equine placentitis and associated with subsequent human psittacosis. Emerg. Microbes Infect. 2017, 6, e7. [Google Scholar] [CrossRef]
- El-Hage, C.; Legione, A.; Devlin, J.; Hughes, K.; Jenkins, C.; Gilkerson, J. Equine Psittacosis and the Emergence of Chlamydia psittaci as an Equine Abortigenic Pathogen in Southeastern Australia: A Retrospective Data Analysis. Animals 2023, 13, 2443. [Google Scholar] [CrossRef]
- Pannekoek, Y.; Dickx, V.; Beeckman, D.S.; Jolley, K.A.; Keijzers, W.C.; Vretou, E.; Maiden, M.C.; Vanrompay, D.; van der Ende, A. Multi locus sequence typing of Chlamydia reveals an association between Chlamydia psittaci genotypes and host species. PLoS ONE 2010, 5, e14179. [Google Scholar] [CrossRef]
- Santos, F.; Leal, D.C.; Raso, T.F.; Souza, B.; Cunha, R.M.; Martinez, V.H.R.; Barrouin-Melo, S.M.; Franke, C.R. Risk factors associated with Chlamydia psittaci infection in psittacine birds. J. Med. Microbiol. 2014, 63, 458–463. [Google Scholar] [CrossRef] [PubMed]
- Wang, H.; Jensen, J.K.; Olsson, A.; Vorimore, F.; Aaziz, R.; Guy, L.; Ellström, P.; Laroucau, K.; Herrmann, B. Chlamydia psittaci in fulmars on the Faroe Islands: A causative link to South American psittacines eight decades after a severe epidemic. Microbes Infect. 2020, 22, 356–359. [Google Scholar] [CrossRef] [PubMed]
- Szymańska-Czerwińska, M.; Niemczuk, K. Avian Chlamydiosis Zoonotic Disease. Vector Borne Zoonotic Dis. 2016, 16, 1–3. [Google Scholar] [CrossRef] [PubMed]
- Heijne, M.; van der Goot, J.A.; Fijten, H.; van der Giessen, J.W.; Kuijt, E.; Maassen, C.B.M.; van Roon, A.; Wit, B.; Koets, A.P.; Roest, H.I.J. A cross sectional study on Dutch layer farms to investigate the prevalence and potential risk factors for different Chlamydia species. PLoS ONE 2018, 13, e0190774. [Google Scholar] [CrossRef]
- Origlia, J.A.; Madariaga, M.J.; Correa, E.D.C.; Unzaga, M.F.; Piscopo, M.V.; Pecoraro, M.R.; Cadario, M.E. First detection of Chlamydia avium in healthy Amazon parrots (Amazona aestiva) in Argentina. Braz. J. Microbiol. 2023, 54, 553–557. [Google Scholar] [CrossRef]
- Jeong, J.; An, I.; Oem, J.K.; Wang, S.J.; Kim, Y.; Shin, J.H.; Woo, C.; Kim, Y.; Jo, S.D.; Son, K.; et al. Molecular prevalence and genotyping of Chlamydia spp. in wild birds from South Korea. J. Vet. Med. Sci. 2017, 79, 1204–1209. [Google Scholar] [CrossRef]
- Hulin, V.; Oger, S.; Vorimore, F.; Aaziz, R.; de Barbeyrac, B.; Berruchon, J.; Sachse, K.; Laroucau, K. Host preference and zoonotic potential of Chlamydia psittaci and C. gallinacea in poultry. Pathog. Dis. 2015, 73, 1–11. [Google Scholar] [CrossRef]
- Pisanu, B.; Laroucau, K.; Aaziz, R.; Vorimore, F.; Le Gros, A.; Chapuis, J.-L.; Clergeau, P. Chlamydia avium detection from a ring-necked parakeet (Psittacula krameri) in France. J. Exot. Pet. Med. 2018, 27, 68–74. [Google Scholar] [CrossRef]
- Kik, M.; Heijne, M.; IJzer, J.; Grinwis, G.; Pannekoek, Y.; Gröne, A. Fatal Chlamydia avium Infection in Captive Picazuro Pigeons, the Netherlands. Emerg. Infect. Dis. 2020, 26, 2520–2522. [Google Scholar] [CrossRef]
- Mattmann, P.; Marti, H.; Borel, N.; Jelocnik, M.; Albini, S.; Vogler, B.R. Chlamydiaceae in wild, feral and domestic pigeons in Switzerland and insight into population dynamics by Chlamydia psittaci multilocus sequence typing. PLoS ONE 2019, 14, e0226088. [Google Scholar] [CrossRef]
- Krautwald-Junghanns, M.E.; Stolze, J.; Schmidt, V.; Böhme, J.; Sachse, K.; Cramer, K. Efficacy of doxycycline for treatment of chlamydiosis in flocks of racing and fancy pigeons. Tierarztl. Prax. Ausg. 2013, 41, 392–398. [Google Scholar]
- Gasparini, J.; Erin, N.; Bertin, C.; Jacquin, L.; Vorimore, F.; Frantz, A.; Lenouvel, P.; Laroucau, K. Impact of urban environment and host phenotype on the epidemiology of Chlamydiaceae in feral pigeons (Columba livia). Environ. Microbiol. 2011, 13, 3186–3193. [Google Scholar] [CrossRef]
- Li, Z.; Liu, P.; Hou, J.; Xu, G.; Zhang, J.; Lei, Y.; Lou, Z.; Liang, L.; Wen, Y.; Zhou, J. Detection of Chlamydia psittaci and Chlamydia ibidis in the Endangered Crested Ibis (Nipponia nippon). Epidemiol. Infect. 2020, 148, e1. [Google Scholar] [CrossRef] [PubMed]
- Stride, M.C.; Polkinghome, A.; Nowak, B.F. Chlamydial infections of fish: Diverse pathogens and emerging causes of disease in aquaculture species. Vet. Microbiol. 2014, 171, 258–266. [Google Scholar] [CrossRef]
- Kasimov, V.; White, R.T.; Jelocnik, M. Draft genomes of novel avian Chlamydia abortus strains from Australian Torresian crows (Corvus orru) shed light on possible reservoir hosts and evolutionary pathways. Microb. Genom. 2023, 9, 001134. [Google Scholar] [CrossRef]
- Walder, G.; Meusburger, H.; Hotzel, H.; Oehme, A.; Neunteufel, W.; Dierich, M.P.; Würzner, R. Chlamydophila abortus pelvic inflammatory disease. Emerg. Infect. Dis. 2003, 9, 1642–1644. [Google Scholar] [CrossRef]
- Reid, F.; Oakeshott, P.; Kerry, S.R.; Hay, P.E.; Jensen, J.S. Chlamydia related bacteria (Chlamydiales) in early pregnancy: Community-based cohort study. Clin. Microbiol. Infect. 2017, 23, 119.e9–119.e14. [Google Scholar] [CrossRef]
- Pospischil, A.; Thoma, R.; Hilbe, M.; Grest, P.; Zimmermann, D.; Gebbers, J.O. Abortion in humans caused by Chlamydophila abortus (Chlamydia psittaci serovar 1). Schweiz. Arch. Tierheilkd. 2002, 144, 463–466. [Google Scholar] [CrossRef]
- Eddy, R.G.; Martin, W.B. Pregnant women and chlamydia infection. Vet. Rec. 1986, 118, 519. [Google Scholar] [CrossRef]
- Johnson, F.W.; Matheson, B.A.; Williams, H.; Laing, A.G.; Jandial, V.; Davidson-Lamb, R.; Halliday, G.J.; Hobson, D.; Wong, S.Y.; Hadley, K.M.; et al. Abortion due to infection with Chlamydia psittaci in a sheep farmer’s wife. Br. Med. J. Clin. Res. Ed. 1985, 290, 592–594. [Google Scholar] [CrossRef]
- Livingstone, M.; Wheelhouse, N.; Maley, S.W.; Longbottom, D. Molecular detection of Chlamydophila abortus in post-abortion sheep at oestrus and subsequent lambing. Vet. Microbiol. 2009, 135, 134–141. [Google Scholar] [CrossRef] [PubMed]
- Navarro, J.A.; García de la Fuente, J.N.; Sánchez, J.; Martínez, C.M.; Buendía, A.J.; Gutiérrez-Martín, C.B.; Rodriguez-Ferri, E.F.; Ortega, N.; Salinas, J. Kinetics of infection and effects on the placenta of Chlamydophila abortus in experimentally infected pregnant ewes. Vet. Pathol. 2004, 41, 498–505. [Google Scholar] [CrossRef]
- Longbottom, D.; Sait, M.; Livingstone, M.; Laroucau, K.; Sachse, K.; Harris, S.R.; Thomson, N.R.; Seth-Smith, H.M.B. Genomic evidence that the live Chlamydia abortus vaccine strain 1B is not attenuated and has the potential to cause disease. Vaccine 2018, 36, 3593–3598. [Google Scholar] [CrossRef]
- Laroucau, K.; Aaziz, R.; Vorimore, F.; Menard, M.F.; Longbottom, D.; Denis, G. Abortion storm induced by the live C. abortus vaccine 1B strain in a vaccinated sheep flock, mimicking a natural wild-type infection. Vet. Microbiol. 2018, 225, 31–33. [Google Scholar] [CrossRef]
- Sargison, N.D.; Truyers, I.G.; Howie, F.E.; Thomson, J.R.; Cox, A.L.; Livingstone, M.; Longbottom, D. Identification of the 1B vaccine strain of Chlamydia abortus in aborted placentas during the investigation of toxaemic and systemic disease in sheep. New Zealand Vet. J. 2015, 63, 284–287. [Google Scholar] [CrossRef]
- Caspe, S.G.; Livingstone, M.; Frew, D.; Aitchison, K.; Wattegedera, S.R.; Entrican, G.; Palarea-Albaladejo, J.; McNeilly, T.N.; Milne, E.; Sargison, N.D.; et al. The 1B vaccine strain of Chlamydia abortus produces placental pathology indistinguishable from a wild type infection. PLoS ONE 2020, 15, e0242526. [Google Scholar] [CrossRef]
- Livingstone, M.; Caspe, S.G.; Longbottom, D. Complete Genome Sequence of Chlamydia abortus MRI-10/19, Isolated from a Sheep Vaccinated with the Commercial Live C. abortus 1B Vaccine Strain. Microbiol. Resour. Announc. 2021, 10, 10–1128. [Google Scholar] [CrossRef]
- Livingstone, M.; Wattegedera, S.R.; Palarea-Albaladejo, J.; Aitchison, K.; Corbett, C.; Sait, M.; Wilson, K.; Chianini, F.; Rocchi, M.S.; Wheelhouse, N.; et al. Efficacy of Two Chlamydia abortus Subcellular Vaccines in a Pregnant Ewe Challenge Model for Ovine Enzootic Abortion. Vaccines 2021, 9, 0898. [Google Scholar] [CrossRef]
- Ramakers, B.P.; Heijne, M.; Lie, N.; Le, T.N.; van Vliet, M.; Claessen, V.P.J.; Tolsma, P.J.P.; De Rosa, M.; Roest, H.I.J.; Vanrompay, D.; et al. Zoonotic Chlamydia caviae Presenting as Community-Acquired Pneumonia. N. Engl. J. Med. 2017, 377, 992–994. [Google Scholar] [CrossRef]
- Deeb, B.J.; DiGiacomo, R.F.; Wang, S.P. Guineapig inclusion conjunctivitis (GPIC) in a commercial colony. Lab. Anim. 1989, 23, 103–106. [Google Scholar] [CrossRef]
- Sweet, R.; Banks, J.; Sung, M.; Donegan, E.; Schachter, J. Experimental chlamydial salpingitis in the guinea pig. Am. J. Obs. Gynecol. 1980, 138, 952–956. [Google Scholar] [CrossRef] [PubMed]
- Rank, R.G.; Bowlin, A.K.; Kelly, K.A. Characterization of lymphocyte response in the female genital tract during ascending Chlamydial genital infection in the guinea pig model. Infect. Immun. 2000, 68, 5293–5298. [Google Scholar] [CrossRef] [PubMed]
- Rank, R.G.; Sanders, M.M. Pathogenesis of endometritis and salpingitis in a guinea pig model of chlamydial genital infection. Am. J. Pathol. 1992, 140, 927–936. [Google Scholar] [PubMed]
- Lutz-Wohlgroth, L.; Becker, A.; Brugnera, E.; Huat, Z.L.; Zimmermann, D.; Grimm, F.; Haessig, M.; Greub, G.; Kaps, S.; Spiess, B.; et al. Chlamydiales in guinea-pigs and their zoonotic potential. J. Vet. Med. A. Physiol. Pathol. Clin. Med. 2006, 53, 185–193. [Google Scholar] [CrossRef] [PubMed]
- Mount, D.T.; Bigazzi, P.E.; Barron, A.L. Experimental genital infection of male guinea pigs with the agent of guinea pig inclusion conjunctivitis and transmission to females. Infect. Immun. 1973, 8, 925–930. [Google Scholar] [CrossRef]
- Mount, D.T.; Bigazzi, P.E.; Barron, A.L. Infection of genital tract and transmission of ocular infection to newborns by the agent of guinea pig inclusion conjunctivitis. Infect. Immun. 1972, 5, 921–926. [Google Scholar] [CrossRef]
- Rank, R.G.; Bowlin, A.K.; Reed, R.L.; Darville, T. Characterization of chlamydial genital infection resulting from sexual transmission from male to female guinea pigs and determination of infectious dose. Infect. Immun. 2003, 71, 6148–6154. [Google Scholar] [CrossRef]
- Gaede, W.; Reckling, K.F.; Schliephake, A.; Missal, D.; Hotzel, H.; Sachse, K. Detection of Chlamydophila caviae and Streptococcus equi subsp. zooepidemicus in horses with signs of rhinitis and conjunctivitis. Vet. Microbiol. 2010, 142, 440–444. [Google Scholar] [CrossRef]
- Pantchev, A.; Sting, R.; Bauerfeind, R.; Tyczka, J.; Sachse, K. Detection of all Chlamydophila and Chlamydia spp. of veterinary interest using species-specific real-time PCR assays. Comp. Immunol. Microbiol. Infect. Dis. 2010, 33, 473–484. [Google Scholar] [CrossRef]
- Von Bomhard, W.; Polkinghorne, A.; Lu, Z.H.; Vaughan, L.; Vögtlin, A.; Zimmermann, D.R.; Spiess, B.; Pospischil, A. Detection of novel chlamydiae in cats with ocular disease. Am. J. Vet. Res. 2003, 64, 1421–1428. [Google Scholar] [CrossRef]
- Sykes, J.E. Feline chlamydiosis. Clin. Tech. Small Anim. Pract. 2005, 20, 129–134. [Google Scholar] [CrossRef] [PubMed]
- Wasissa, M.; Lestari, F.B.; Nururrozi, A.; Tjahajati, I.; Indarjulianto, S.; Salasia, S.I.O. Investigation of chlamydophilosis from naturally infected cats. J. Vet. Sci. 2021, 22, e67. [Google Scholar] [CrossRef] [PubMed]
- Halánová, M.; Petrová, L.; Halán, M.; Trbolová, A.; Babinská, I.; Weissová, T. Impact of way of life and environment on the prevalence of Chlamydia felis in cats as potentional sources of infection for humans. Ann. Agric. Environ. Med. 2019, 26, 222–226. [Google Scholar] [CrossRef] [PubMed]
- Wills, J.M.; Gruffydd-Jones, T.J.; Richmond, S.J.; Gaskell, R.M.; Bourne, F.J. Effect of vaccination on feline Chlamydia psittaci infection. Infect. Immun. 1987, 55, 2653–2657. [Google Scholar] [CrossRef] [PubMed]
- Whary, M.T.; Baumgarth, N.; Fox, J.G.; Barthold, S.W. Chapter 3—Biology and Diseases of Mice. In Laboratory Animal Medicine, 3rd ed.; Fox, J.G., Anderson, L.C., Otto, G.M., Pritchett-Corning, K.R., Whary, M.T., Eds.; Academic Press: Boston, MA, USA, 2015; pp. 43–149. [Google Scholar]
- Nigg, C.; Eaton, M.D. Isolation from normal mice of a pneumotropic virus which forms elementary bodies. J. Exp. Med. 1944, 79, 497–510. [Google Scholar] [CrossRef]
- Stills, H.; Fox, J.; Plaster, B.; Dewhirst, F. A ‘new’ Chlamydia sp. strain SFPD isolated from transmissible proliferative ileitis in hamsters. Microb. Ecol. Health Dis. 1991, 4, S99. [Google Scholar]
- Mishkin, N.; Ricart Arbona, R.J.; Carrasco, S.E.; Lawton, S.; Henderson, K.S.; Momtsios, P.; Sigar, I.M.; Ramsey, K.H.; Cheleuitte-Nieves, C.; Monette, S.; et al. Reemergence of the Murine Bacterial Pathogen Chlamydia muridarum in Research Mouse Colonies. Comp. Med. 2022, 72, 230–242. [Google Scholar] [CrossRef]
- St Jean, S.C.; Ricart Arbona, R.J.; Mishkin, N.; Monette, S.; Wipf, J.R.K.; Henderson, K.S.; Cheleuitte-Nieves, C.; Lipman, N.S.; Carrasco, S.E. Chlamydia muridarum infection causes bronchointerstitial pneumonia in NOD.Cg-PrkdcscidIl2rgtm1Wjl/SzJ (NSG) mice. Vet. Pathol. 2024, 61, 145–156. [Google Scholar] [CrossRef]
- Maxion, H.K.; Liu, W.; Chang, M.H.; Kelly, K.A. The infecting dose of Chlamydia muridarum modulates the innate immune response and ascending infection. Infect. Immun. 2004, 72, 6330–6340. [Google Scholar] [CrossRef]
- Moore, T.; Ekworomadu, C.O.; Eko, F.O.; MacMillan, L.; Ramey, K.; Ananaba, G.A.; Patrickson, J.W.; Nagappan, P.R.; Lyn, D.; Black, C.M.; et al. Fc receptor-mediated antibody regulation of T cell immunity against intracellular pathogens. J. Infect. Dis. 2003, 188, 617–624. [Google Scholar] [CrossRef]
- Puerta Suarez, J.; Sanchez, L.R.; Salazar, F.C.; Saka, H.A.; Molina, R.; Tissera, A.; Rivero, V.E.; Cardona Maya, W.D.; Motrich, R.D. Chlamydia trachomatis neither exerts deleterious effects on spermatozoa nor impairs male fertility. Sci. Rep. 2017, 7, 1126. [Google Scholar] [CrossRef]
- Giannitti, F.; Anderson, M.; Miller, M.; Rowe, J.; Sverlow, K.; Vasquez, M.; Cantón, G. Chlamydia pecorum: Fetal and placental lesions in sporadic caprine abortion. J. Vet. Diagn. Investig. 2016, 28, 184–189. [Google Scholar] [CrossRef] [PubMed]
- Rigamonti, S.; Floriano, A.M.; Scaltriti, E.; Longbottom, D.; Livingstone, M.; Comandatore, F.; Pongolini, S.; Capucci, L.; Mandola, M.L.; Bazzucchi, M.; et al. Comparative analysis of two genomes of Chlamydia pecorum isolates from an Alpine chamois and a water buffalo. BMC Genom. 2022, 23, 645. [Google Scholar] [CrossRef] [PubMed]
- Sait, M.; Livingstone, M.; Clark, E.M.; Wheelhouse, N.; Spalding, L.; Markey, B.; Magnino, S.; Lainson, F.A.; Myers, G.S.; Longbottom, D. Genome sequencing and comparative analysis of three Chlamydia pecorum strains associated with different pathogenic outcomes. BMC Genom. 2014, 15, 23. [Google Scholar] [CrossRef] [PubMed]
- Walker, E.; Lee, E.J.; Timms, P.; Polkinghorne, A. Chlamydia pecorum infections in sheep and cattle: A common and under-recognised infectious disease with significant impact on animal health. Vet. J. 2015, 206, 252–260. [Google Scholar] [CrossRef]
- Sánchez Romano, J.; Leijon, M.; Hagström, Å.; Jinnerot, T.; Rockström, U.K.; Tryland, M. Chlamydia pecorum Associated with an Outbreak of Infectious Keratoconjunctivitis in Semi-domesticated Reindeer in Sweden. Front. Vet. Sci. 2019, 6, 14. [Google Scholar] [CrossRef]
- Fabijan, J.; Caraguel, C.; Jelocnik, M.; Polkinghorne, A.; Boardman, W.S.J.; Nishimoto, E.; Johnsson, G.; Molsher, R.; Woolford, L.; Timms, P.; et al. Chlamydia pecorum prevalence in South Australian koala (Phascolarctos cinereus) populations: Identification and modelling of a population free from infection. Sci. Rep. 2019, 9, 6261. [Google Scholar] [CrossRef]
- Phillips, S.; Robbins, A.; Loader, J.; Hanger, J.; Booth, R.; Jelocnik, M.; Polkinghorne, A.; Timms, P. Chlamydia pecorum gastrointestinal tract infection associations with urogenital tract infections in the koala (Phascolarctos cinereus). PLoS ONE 2018, 13, e0206471. [Google Scholar] [CrossRef]
- Rogers, D.G.; Andersen, A.A. Conjunctivitis caused by a swine Chlamydia trachomatis-like organism in gnotobiotic pigs. J. Vet. Diagn. Investig. 1999, 11, 341–344. [Google Scholar] [CrossRef]
- Willigan, D.A.; Beamer, P.D. Isolation of a transmissible agent from pericarditis of swine. J. Am. Vet. Med. Assoc. 1955, 126, 118–122. [Google Scholar]
- Guenov, I. Etudes sur la pericardite fibrineuse des porcelets due au virus de l’ornithose. Bull. Off. Int. Epizoot. 1961, 55, 1465–1473. [Google Scholar]
- Kolbl, O. Untersuchungen uber das Vorkommen von Miyagawanellen beim Schwein. Wien. Tierarztl. Monatsschrift. 1969, 56, 355–361. [Google Scholar]
- Schautteet, K.; Vanrompay, D. Chlamydiaceae infections in pig. Vet. Res. 2011, 42, 29. [Google Scholar] [CrossRef] [PubMed]
- Kölbl, O.; Burtscher, H.; Hebensreit, J. Polyarthritis bei schlachtschweinen. Mikrobiol. Histol. Fleish. Aspekte. Wien. Tierarztl. Mschr. 1970, 57, 355–361. [Google Scholar]
- Thoma, R.; Guscetti, F.; Schiller, I.; Schmeer, N.; Corboz, L.; Pospischil, A. Chlamydiae in porcine abortion. Vet. Pathol. 1997, 34, 467–469. [Google Scholar] [CrossRef]
- Eggemann, G.; Wendt, M.; Hoelzle, L.E.; Jäger, C.; Weiss, R.; Failing, K. Prevalence of Chlamydia infections in breeding sows and their importance in reproductive failure. DTW Dtsch. Tierarztl. Wochenschr. 2000, 107, 3–10. [Google Scholar]
- Seth-Smith, H.M.; Wanninger, S.; Bachmann, N.; Marti, H.; Qi, W.; Donati, M.; di Francesco, A.; Polkinghorne, A.; Borel, N. The Chlamydia suis Genome Exhibits High Levels of Diversity, Plasticity, and Mobile Antibiotic Resistance: Comparative Genomics of a Recent Livestock Cohort Shows Influence of Treatment Regimes. Genome. Biol. Evol. 2017, 9, 750–760. [Google Scholar] [CrossRef]
- Marti, H.; Bommana, S.; Read, T.D.; Pesch, T.; Prähauser, B.; Dean, D.; Borel, N. Generation of Tetracycline and Rifamycin Resistant Chlamydia Suis Recombinants. Front. Microbiol. 2021, 12, 630293. [Google Scholar] [CrossRef]
- Borel, N.; Leonard, C.; Slade, J.; Schoborg, R.V. Chlamydial Antibiotic Resistance and Treatment Failure in Veterinary and Human Medicine. Curr. Clin. Microbiol. Rep. 2016, 3, 10–18. [Google Scholar] [CrossRef]
- Unterweger, C.; Inic-Kanada, A.; Setudeh, S.; Knecht, C.; Duerlinger, S.; Stas, M.; Vanrompay, D.; Kiekens, C.; Steinparzer, R.; Gerner, W.; et al. Characteristics of Chlamydia suis Ocular Infection in Pigs. Pathogens 2021, 10, 1103. [Google Scholar] [CrossRef]
- De Puysseleyr, K.; De Puysseleyr, L.; Dhondt, H.; Geens, T.; Braeckman, L.; Morré, S.A.; Cox, E.; Vanrompay, D. Evaluation of the presence and zoonotic transmission of Chlamydia suis in a pig slaughterhouse. BMC Infect. Dis. 2014, 14, 560. [Google Scholar] [CrossRef] [PubMed][Green Version]
- Dean, D.; Rothschild, J.; Ruettger, A.; Kandel, R.P.; Sachse, K. Zoonotic Chlamydiaceae species associated with trachoma, Nepal. Emerg. Infect. Dis. 2013, 19, 1948–1955. [Google Scholar] [CrossRef] [PubMed]
- Hahn, D.L.; Schure, A.; Patel, K.; Childs, T.; Drizik, E.; Webley, W. Chlamydia pneumoniae-specific IgE is prevalent in asthma and is associated with disease severity. PLoS ONE 2012, 7, e35945. [Google Scholar] [CrossRef][Green Version]
- Xue, L.; Liang, Y.-H.; Gao, Y.-Y.; Wang, X.-J. Clinical study of chlamydia pneumoniae infection in patients with coronary heart disease. BMC Cardiovasc. Disord. 2019, 19, 110. [Google Scholar] [CrossRef]
- Hasan, Z.N. Chlamydia pneumonia and Stroke. South. Med. J. 2011, 104, 666–667. [Google Scholar] [CrossRef]
- Neyra, K.; Rahman, A.; Cohen, Z.; Pi, J. Unusual Radiographic Presentation of Bronchiolitis Obliterans Organizing Pneumonia (BOOP) Associated with Chlamydia pneumoniae Infection. Chest 2015, 148, 411A. [Google Scholar] [CrossRef]
- Wolle, M.A.; Muñoz, B.E.; Mgboji, G.; Naufal, F.; Kashaf, M.S.; Mkocha, H.; West, S.K. Gender differences in trachomatous scarring prevalence in a formerly trachoma hyperendemic district in Tanzania. PLoS Negl. Trop. Dis. 2024, 18, e0011861. [Google Scholar] [CrossRef]
- Rockey, D.D.; Wang, X.; Debrine, A.; Grieshaber, N.; Grieshaber, S.S. Metabolic dormancy in Chlamydia trachomatis treated with different antibiotics. Infect. Immun. 2024, 92, e0033923. [Google Scholar] [CrossRef]
- Dessus-Babus, S.; Bébéar, C.M.; Charron, A.; Bébéar, C.; de Barbeyrac, B. Sequencing of gyrase and topoisomerase IV quinolone-resistance-determining regions of Chlamydia trachomatis and characterization of quinolone-resistant mutants obtained in vitro. Antimicrob. Agents Chemother. 1998, 42, 2474–2481. [Google Scholar] [CrossRef]
- Suchland, R.J.; Geisler, W.M.; Stamm, W.E. Methodologies and cell lines used for antimicrobial susceptibility testing of Chlamydia spp. Antimicrob. Agents Chemother. 2003, 47, 636–642. [Google Scholar] [CrossRef]
- Campbell, L.A.; Kuo, C.C. Chlamydia pneumoniae—An infectious risk factor for atherosclerosis? Nat. Rev. Microbiol. 2004, 2, 23–32. [Google Scholar] [CrossRef] [PubMed]
- Rüegg, S.R.; Regenscheit, N.; Origgi, F.C.; Kaiser, C.; Borel, N. Detection of Chlamydia pneumoniae in a collection of captive snakes and response to treatment with marbofloxacin. Vet. J. 2015, 205, 424–426. [Google Scholar] [CrossRef] [PubMed]
- Turin, L.; Surini, S.; Wheelhouse, N.; Rocchi, M.S. Recent advances and public health implications for environmental exposure to Chlamydia abortus: From enzootic to zoonotic disease. Vet. Res. 2022, 53, 37. [Google Scholar] [CrossRef] [PubMed]
- Collina, F.; Chiara, A.D.; Renzo, A.D.; Rosa, G.D.; Botti, G.; Franco, R. Chlamydia psittaci in ocular adnexa MALT lymphoma: A possible role in lymphomagenesis and a different geographical distribution. Infect. Agents Cancer 2012, 7, 8. [Google Scholar] [CrossRef]
- Herring, A.; Anderson, I.; McClenaghan, M.; Inglis, N.; Williams, H.; Matheson, B.; West, C.P.; Rodger, M.; Brettle, P. Restriction endonuclease analysis of DNA from two isolates of Chlamydia psittaci obtained from human abortions. Br. Med. J. Clin. Res. Ed. 1987, 295, 1239. [Google Scholar] [CrossRef]
- Trávniček, M.; Mardzinová, S.; Čisláková, L.; Valocký, I.; Weissová, T. Chlamydial infection of cats and human health. Folia Microbiol. 2002, 47, 441–444. [Google Scholar] [CrossRef]
- Schachter, J.; Ostler, H.B.; Meyer, K. Human infection with the agent of feline pneumonitis. Lancet 1969, 293, 1063–1065. [Google Scholar] [CrossRef]
- Regan, R.; Dathan, J.; Treharne, J. Infective endocarditis with glomerulonephritis associated with cat chlamydia (C. psittaci) infection. Heart 1979, 42, 349–352. [Google Scholar] [CrossRef]
- Gatti, L.V.; Cunha, C.L.; Marani, L.; Cassol, H.L.; Messias, C.G.; Arai, E.; Denning, A.S.; Soler, L.S.; Almeida, C.; Setzer, A. Increased Amazon carbon emissions mainly from decline in law enforcement. Nature 2023, 621, 318–323. [Google Scholar] [CrossRef]
- Silva Junior, C.H.L.; Pessôa, A.C.M.; Carvalho, N.S.; Reis, J.B.C.; Anderson, L.O.; Aragão, L.E.O.C. The Brazilian Amazon deforestation rate in 2020 is the greatest of the decade. Nat. Ecol. Evol. 2021, 5, 144–145. [Google Scholar] [CrossRef]





| Genus | Species | Primary Host | Typical Disease | Secondary Host | Disease in Secondary Host | References |
|---|---|---|---|---|---|---|
| Chlamydia | C. abortus | Small ruminants and camelids | Late-gestation abortion/stillbirth | Humans, horses, cattle, and fur animals | Abortion and atypical pneumonia | [79,86,87,88,89] |
| C. avium | Multiple bird species | Respiratory symptoms | Unknown | Unknown | [59,61,65,90] | |
| C. buteonis | Raptor birds | Unknown | Unknown | Unknown | [8,91,92] | |
| C. caviae | Guinea pigs | Conjunctivitis and urogenital infections | Humans and other mammals | Conjunctivitis and atypical pneumonia | [93,94,95] | |
| C. crocodili | Crocodile | Asymptomatic | Unknown | Unknown | [18] | |
| C. felis | Felines | Conjunctivitis, pneumonia, and urogenital infections | Humans and dogs | Conjunctivitis and atypical pneumonia | [83,96,97] | |
| C. gallinacea | Domestic poultry | Lower weight gain | Humans | Conjunctivitis and atypical pneumonia | [20,98,99,100,101] | |
| C. Ibidis | Ibides | Unknown | Unknown | Unknown | [10] | |
| C. muridarum | Rodents | Urogenital disease | Unknown | Unknown | [94,102,103] | |
| C. pecorum | Ruminants | Urogenital disease, reproductive failures, sporadic encephalitis, and enteritis | Koala | Conjunctivitis, blindness, pneumonia, and urogenital diseases | [104,105,106,107,108,109] | |
| C. pneumoniae | Humans | Respiratory diseases, arthritis, neoplasia, and coronary disease | Amphibians and reptiles | Necrotising enteritis, myocarditis and hepatitis | [110,111,112,113,114,115,116] | |
| C. poikilothermis | Snakes | Asymptomatic | Unknown | Unknown | [78,117] | |
| C. psittaci | Psittacines | Respiratory diseases | Humans, birds, and mammals | Respiratory symptoms, myalgia, abortion, and placentitis (equines) | [61,80,83,90,118,119,120,121,122] | |
| C. trachomatis | Humans | Reproductive symptoms, conjunctivitis, and blindness | [63,94,123,124,125] | |||
| C. serpentis | Snakes | Unknown | Unknown | [3,78] | ||
| C. suis | Swine | Respiratory disorders, conjunctivitis, enteritis, and reproductive failure | Humans | Conjunctivitis and atypical pneumonia | [126,127,128,129,130,131,132] | |
| C. vaughanii | Fishes | Epitheliocystis | Unknown | Unknown | [17] | |
| Ca. Chlamydia sanzinia | Turtles and tortoises | Unknown | Unknown | Unknown | [133] | |
| Ca. Chlamydia testudinis | Tortoise | Conjunctivitis | Unknown | Unknown | [134] | |
| Ca. Chlamydia corallus | Snakes | Unknown | Unknown | Unknown | [77] | |
| Chlamydiifrater | C. phoenicopteri | Flamingo | Unknown | Unknown | Unknown | [7] |
| C. volucris | Flamingo | Unknown | Unknown | Unknown | [7] |
Disclaimer/Publisher’s Note: The statements, opinions and data contained in all publications are solely those of the individual author(s) and contributor(s) and not of MDPI and/or the editor(s). MDPI and/or the editor(s) disclaim responsibility for any injury to people or property resulting from any ideas, methods, instructions or products referred to in the content. |
© 2024 by the authors. Licensee MDPI, Basel, Switzerland. This article is an open access article distributed under the terms and conditions of the Creative Commons Attribution (CC BY) license (https://creativecommons.org/licenses/by/4.0/).
Share and Cite
Caspe, S.G.; Hill, H. Chlamydiosis in Animals. Animals 2024, 14, 3130. https://doi.org/10.3390/ani14213130
Caspe SG, Hill H. Chlamydiosis in Animals. Animals. 2024; 14(21):3130. https://doi.org/10.3390/ani14213130
Chicago/Turabian StyleCaspe, Sergio Gastón, and Holly Hill. 2024. "Chlamydiosis in Animals" Animals 14, no. 21: 3130. https://doi.org/10.3390/ani14213130
APA StyleCaspe, S. G., & Hill, H. (2024). Chlamydiosis in Animals. Animals, 14(21), 3130. https://doi.org/10.3390/ani14213130

