Histochemical Analysis and Distribution of Digestive Enzymes in the Gastrointestinal System of the European Barracuda Sphyraena sphyraena (Linnaeus, 1758)
Abstract
Simple Summary
Abstract
1. Introduction
2. Materials and Methods
3. Results
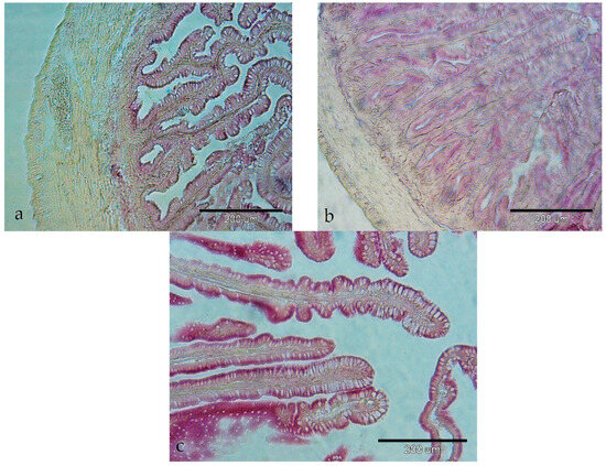
3.1. Morphology and Enzyme Histochemistry
3.2. Aminopeptidase Histochemistry and Distribution
3.3. Alkaline Phosphatase Histochemistry and Distribution
3.4. Acid Phosphatase Histochemistry and Distribution
3.5. Non-Specific Esterase Histochemistry and Distribution
4. Discussion
Author Contributions
Funding
Institutional Review Board Statement
Informed Consent Statement
Data Availability Statement
Acknowledgments
Conflicts of Interest
References
- Fricke, R.; Eschmeyer, W.; Fong, J.D. Species by Family/Subfamily in Eschmeyer’s Catalog of Fishes. Available online: http://researcharchive.calacademy.org/research/ichthyology/catalog/SpeciesByFamily.asp (accessed on 7 May 2020).
- Zonn, I.S.; Kostianoy, A.G.; Semenov, A.V.; Joksimović, A.; Đurović, M. European Barracuda or Mediterranean Barracuda (Sphyraena sphyraena). In The Adriatic Sea Encyclopedia. Encyclopedia of Seas; Springer: Cham, Switzerland, 2021. [Google Scholar] [CrossRef]
- Osman, H.M.; El Ganainy, A.A.; Amin, A.M. A study on Diet Composition and Feeding Habits of Barracuda fish (Sphyraena chrysotaenia and S. flavicauda) in the Gulf of Suez. Egypt. J. Aquat. Biol. Fish 2019, 23, 223–232. [Google Scholar] [CrossRef]
- Aggrey-Fynn, J.; Fynn-Korsah, S.; Appiah, N. Length-Weight Relationships and Food Preference of Two Coastal Marine Fishes, Galeoides decadactylus (Polynemidae) and Sphyraena sphyraena (Sphyraenidae) off Cape Coast, Ghana, West African. J. Appl. Ecol. 2013, 21, 87–96. [Google Scholar]
- Mohammadizadeh, F.; Valinassab, T.; Jamili, S.; Matinfar, A.; Bahri-Shabanipour, A.H.; Mohammadizadeh, M. A Study on Diet Composition and Feeding Habitats of Sawtooth Barracuda (Sphyraena putnamae) in Bandar-Abbas (North of Persian Gulf). J. Fish Aquat. Sci. 2010, 5, 179–190. [Google Scholar]
- Kalogirou, S.; Mittermayer, F.; Pihl, L.; Wennhage, H. Feeding ecology of indigenous and non-indigenous fish species within the family Sphyraenidae. J. Fish Biol. 2012, 80, 2528–2548. [Google Scholar] [CrossRef]
- Wilson, J.M.; Castro, L.F.C. Morphological diversity of the gastrointestinal tract in fishes. In The Multifunctional Gut of Fish, 1st ed.; Grosell, M., Farrell, A.P., Brauner, C.J., Eds.; Academic Press: Boston, MA, USA, 2011; Volume 30, pp. 2–44. ISBN 9780080961361. [Google Scholar]
- German, D.P.; Horn, M.H.; Gawlicka, A. Digestive enzyme activities in herbivorous and carnivorous prickleback fishes (Teleostei: Stichaeidae): Ontogenetic, dietary, and phylogenetic effects. Physio. Biochem. Zool. 2004, 77, 789–804. [Google Scholar] [CrossRef] [PubMed]
- Kozarić, Z.; Kužir, S.; Nejedli, S.; Petrinec, Z.; Srebočan, E. Histochemical distribution of digestive enzymes in hake, Merluccius merluccius L. 1758. Vet. Arhiv 2004, 74, 299–308. [Google Scholar]
- Furné, M.; Hidalgo, M.C.; Lopez, A.; Garcia-Gallego, M.; Morales, A.E.; Domezain, A.; Domezaine, J.; Sanz, A. Digestive enzyme activities in Adriatic sturgeon Acipenser naccarii and rainbow trout Oncorhynchus mykiss, a comparative study. Aquaculture 2005, 250, 391–398. [Google Scholar] [CrossRef]
- Kozarić, Z.; Petrinec, Z.; Kužir, S.; Gjurčević, E.; Baždarić, B. Histochemical Analyses of Digestive Enzymes in the Intestine of Adult Large-Scaled Gurnard (Lepidotrigla Cavillone, Lacepède, 1801). Anat. Histol. Embryol. 2011, 40, 314–320. [Google Scholar] [CrossRef]
- Kužir, S.; Gjurčević, E.; Nejedli, S.; Baždarić, B.; Kozarić, Z. Morphological and histochemical study of intestine in wild and reared European eel (Anguilla anguilla L.). Fish. Physiol. Biochem. 2012, 38, 625–633. [Google Scholar] [CrossRef]
- Tlak Gajger, I.; Nejedli, S.; Kozarić, Z. Histochemical Distribution of Digestive Enzymes in the Intestine of the Common Two-Banded Sea Bream, Diplodus vulgaris, Geoffroy St-Hilaire 1817. Anat. Histol. Embryol. 2013, 42, 161–167. [Google Scholar] [CrossRef]
- Weinrauch, A.M.; Schaefer, C.M.; Goss, G.G. Activity and post-prandial regulation of digestive enzyme activity along the Pacific hagfish (Eptatretus stoutii) alimentary canal. PLoS ONE 2019, 14, e0215027. [Google Scholar] [CrossRef] [PubMed]
- Ray, A.K.; Ringø, E. Aquaculture Nutrition: Gut Health, Probiotics and Prebiotics. In The Gastrointestinal Tract of Fish, 1st ed.; Merrifield, D., Ringø, E., Eds.; Wiley Blackwell: Oxford, UK, 2014; pp. 1–13. ISBN 978-0-470-67271-6. [Google Scholar]
- Al Abdulhadi, H.A. Some comparative histological studies on alimentary tract of tilapia fish (Tilapia spilurus) and sea bream (Mylio cuvieri). Egypt. J. Aquat. Res. 2005, 31, 387–397. [Google Scholar]
- Solovyeva, M.M.; Kashinskayaa, E.N.; Izvekovab, G.I.; Glupova, V.V. pH Values and Activity of Digestive Enzymes in the Gastrointestinal Tract of Fish in Lake Chany (West Siberia). J. Ichthyol. 2015, 55, 251–258. [Google Scholar] [CrossRef]
- Kuz’mina, V.V. Influence of age on digestive enzyme activity in some freshwater teleosts. Aquaculture 1996, 148, 25–37. [Google Scholar] [CrossRef]
- Kolkovski, S. Digestive enzymes in fish larvae and juveniles—Implications and applications to formulated diets. Aquaculture 2001, 200, 181–201. [Google Scholar] [CrossRef]
- Solovyev, M.; Gisbert, E. Influence of time, storage temperature and freeze/thaw cycles on the activity of digestive enzymes from gilthead sea bream (Sparus aurata). Fish Physiol. Biochem. 2016, 42, 1383–1394. [Google Scholar] [CrossRef]
- Wei, L.; Xiu-Mei, Z.; Li-Bo, W. Digestive enzyme and alkaline phosphatase activities during the early stages of Silurus soldatovi development. Zool. Res. 2010, 1, 627–632. [Google Scholar]
- Gisbert, E.; Morais, S.; Moyano, F.J. Feeding and Digestion. In Larval Fish Aquaculture; Qin, J.G., Ed.; Nova Publishers: New York, NY, USA, 2013; pp. 73–124. ISBN 978-1-62417-899-3. [Google Scholar]
- Wadie, W.F.; Dowidar, N.M.; Rizkalla, S.I. Morphometric variations of the family Sphyraenidae from the South-eastern part of the Mediterranean Sea. Folia Morphol. 1987, 35, 124–132. [Google Scholar]
- Grubich, J.R.; Rice, A.N.; Westneat, M.W. Functional morphology of bite mechanics in the great barracuda (Sphyraena barracuda). Zoology 2008, 111, 16–29. [Google Scholar] [CrossRef]
- Fanti, F.; Minelli, D.; Conte, G.L.; Miyashita, T. An exceptionally preserved Eocene shark and the rise of modern predator-prey interactions in the coral reef food web. Zool. Lett. 2016, 2, 9. [Google Scholar] [CrossRef]
- Hosseini, A.; Kochanian, P.; Marammazi, J.; Yavari, V.; Savari, A.; Salari-Aliabadi, M.A. Length-weight relationship and spawning season of Sphyraena jello C., from Persian Gulf. Pak. J. Biol. Sci. 2009, 12, 296–300. [Google Scholar] [CrossRef] [PubMed]
- Hanafy, B.G. Gross morphological and surface ultrastructural investigation on the gills of the European barracuda Sphyraena sphyraena. Microsc. Res. Tech. 2022, 85, 917–926. [Google Scholar] [CrossRef] [PubMed]
- Kundu, S.; Kim, H.-W.; Lee, J.; Chung, S.; Lee, S.R.; Gietbong, F.Z.; Wibowo, A.; Kang, K. Mitogenomic Architecture and Phylogenetic Relationship of European Barracuda, Sphyraena sphyraena (Teleostei: Sphyraenidae) from the Atlantic Ocean. Fishes 2023, 8, 573. [Google Scholar] [CrossRef]
- Corner, R.D.; Cribb, T.H.; Cutmore, S.C. A new genus of Bucephalidae Poche, 1907 (Trematoda: Digenea) for three new species infecting the yellowtail pike, Sphyraena obtusata Cuvier (Sphyraenidae), from Moreton Bay, Queensland, Australia. Syst. Parasitol. 2020, 97, 455–476. [Google Scholar] [CrossRef] [PubMed]
- Nyarko, E.; Boateng, C.M.; Asamoah, O.; Edusei, M.O.; Mahu, E. Potential human health risks associated with ingestion of heavy metals through fish consumption in the Gulf of Guinea. Toxicol. Rep. 2023, 10, 117–123. [Google Scholar] [CrossRef]
- Pearse, A.G.E. Histochemistry, Theoretical and Applied, 3rd ed.; J. and A. Churchill Ltd.: London, UK, 1968; ISBN 0700013261. [Google Scholar]
- Loyda, Z.; Gossrau, R.; Schiebler, T.H. Enzyme Histochemistry. A Laboratory Manual, 1st ed.; Springer: New York, NY, USA, 1979; pp. 53–243. ISBN 978-3-540-09269-8. [Google Scholar]
- Wadie, W.F.; Reskalla, S.I.; Dowidar, N.M. Age and growth studies of the Sphyraenidae family in the southeastern Mediterranean based on otolith measurements. Folia Morphol. 1989, 37, 38–56. [Google Scholar]
- Allam, S.M.; Faltas, S.N.; Ragheb, E. Age and growth of barracudas in the Egyptian Mediterranean waters. Egypt. J. Aquat. Res. 2004, 30, 281–289. [Google Scholar]
- Purushothaman, K.; Lau, D.; Saju, J.M.; Musthaq, S.K.S.; Lunny, D.P.; Vij, S.; Orbán, L. Morpho-histological characterization of the alimentary canal of an important food fish, Asian seabass (Lates calcarifer). PeerJ 2016, 24, e2377. [Google Scholar] [CrossRef]
- Løkka, G.; Austbø, L.; Falk, K.; Bjerkås, I.; Koppang, E.O. Intestinal morphology of the wild Atlantic salmon (Salmo salar). J. Morphol. 2013, 274, 859–876. [Google Scholar] [CrossRef]
- Cho, J.-H.; Park, J.W.; Ryu, Y.-W.; Kim, K.-W.; Hur, S.-W. Morphology, Histology, and Histochemistry of the Digestive Tract of the Marbled Flounder Pseudopleuronectes yokohamae. Animals 2023, 13, 936. [Google Scholar] [CrossRef]
- Grau, A.; Crespo, S.; Sarasquete, M.C.; De Canales, M.L.G. The digestive tract of the amberjack Seriola dumerili, Risso: A light and scanning electron microscope study. J. Fish Biol. 1992, 41, 287–303. [Google Scholar] [CrossRef]
- Amer, F.I.; Naguib, S.A.A.; El Ghafar, F.A.A. Comparative study on the intestine of Schilbe mystus and Labeo niloticus in correlation with their feeding habits. J. Am. Sci. 2011, 7, 465–484. [Google Scholar] [CrossRef][Green Version]
- Murray, H.M.; Wright, G.M.; Goff, G.P. A comparative histological and histochemical study of the post-gastric alimentary canal from three species of pleuronectid, the Atlantic halibut, the yellowtail flounder and the winter flounder. J. Fish Biol. 1996, 48, 187–206. [Google Scholar]
- Petrinec, Z.; Nejedli, S.; Kužir, S.; Opačak, A. Mucosubstances of the digestive tract mucosa in northern pike (Esox lucius L.) and European catfish (Silurus glanis L.). Vet. Arhiv. 2005, 75, 317–327. [Google Scholar]
- Cardoso, N.D.N.; Firmiano, E.M.D.S.; Gomesna, I.D.; Scimento, A.A.D.; Sales, A.; Araujo, F.G. Histochemical and immunohistochemical study on endocrine cells (5HT, GAS and SST) of the gastrointestinal tract of a teleost, the characin Astyanax bimaculatus. Acta Histochem. 2015, 117, 595–604. [Google Scholar] [CrossRef]
- Canan, B.; Da Nascimento, W.S.; Da Silva, N.B.; Chellappa, S. Morphohistology of the digestive tract of the damsel fish Stegastes fuscus (Osteichthyes: Pomacentridae). Sci. World J. 2012, 3, 787316. [Google Scholar] [CrossRef]
- Nasruddin, N.S.; Azmai, M.N.A.; Ismail, A.; Saad, M.Z.; Daud, H.M.; Zulkifli, S.Z. Histological Features of the Gastrointestinal Tract of Wild Indonesian Shortfin Eel, Anguilla bicolor bicolor (McClelland, 1844). Sci. World J. 2014, 2014, 312670. [Google Scholar] [CrossRef]
- Hofer, R.; Köck, G. Method for quantitative determination of digestive enzymes in fish larvae. Pol. Arch. Hydrobiol. 1989, 36, 439–441. [Google Scholar]
- Gawlicka, A.; Herold, M.A.; Barrows, F.T.; De La Noṻe, J.; Hung, S.S.O. Effects of dietary lipids on growth, fatty acid composition, intestinal absorption and hepatic storage in white sturgeon (Acipenser transmontanus R.) larvae. J. Appl. Ichthyol. 2002, 18, 673–681. [Google Scholar] [CrossRef]
- Infante, J.L.Z.; Cahu, C.L. Ontogeny of the gastrointestinal tract of marine fish larvae. Comp. Biochem. Phys. Part C Tox. Pharmacol. 2001, 130, 477–487. [Google Scholar]
- Bates, J.M.; Akerlund, J.; Mittge, E.; Guillemin, K. Intestinal alkaline phosphatase detoxifies lipopolysaccharide and prevents inflammation in zebra fish in response to the gut microbiota. Cell Host Microbe 2007, 2, 371–382. [Google Scholar] [CrossRef] [PubMed]
- Gylfason, G.A.; Knútsdóttir, E.; Ásgeirsson, B. Isolation and biochemical characterization of lipid rafts from Atlantic cod (Gadus morhua) intestinal enterocytes. Comp. Biochem. Physiol. B BMB 2010, 155, 86–95. [Google Scholar] [CrossRef]
- Lallès, J.P. Intestinal alkaline phosphatase in the gastrointestinal tract of fish: Biology, ontogeny, and environmental and nutritional modulation. Rev. Aquacult. 2019, 2, 555–581. [Google Scholar] [CrossRef]
- Dupuis, Y.; Tardivel, S.; Porembska, Z.; Fournier, P. Effect of some phosphatase inhibitors on intestinal calcium transfer. Int. J. Biochem. 1991, 23, 175–180. [Google Scholar] [CrossRef] [PubMed]
- Yang, Y.Y.; Wandler, A.M.; Postlethwait, J.H.; Guillemin, K. Dynamic Evolution of the LPS-Detoxifying Enzyme Intestinal Alkaline Phosphatase in Zebrafish and Other Vertebrates. Front. Immunol. 2012, 3, 314. [Google Scholar] [CrossRef] [PubMed]
- Lallès, J.P. Intestinal alkaline phosphatase: Novel functions and protective effects. Nutr. Rev. 2014, 72, 82–94. [Google Scholar] [CrossRef] [PubMed]
- Rader, B.A. Alkaline phosphatase, an unconventional immune protein. Front. Immunol. 2017, 8, 897. [Google Scholar] [CrossRef]
- Lallès, J.P. Intestinal alkaline phosphatase, inflammation and nutrition: Recent advances. Nutr. Rev. 2019, 77, 710–724. [Google Scholar] [CrossRef]
- Wang, Y.Z.; Sun, J.F.; Lv, A.J.; Zhang, S.L.; Sung, Y.Y.; Shi, H.Y.; Hu, X.C.; Chen, S.J.; Xing, K.Z. Histochemical distribution of four types of enzymes and mucous cells in the gastrointestinal tract of reared half-smooth tongue sole Cynoglossus semilaevis. J. Fish Biol. 2017, 92, 3–16. [Google Scholar] [CrossRef]
- Ribeiro, L.; Sarasquete, C.; Dinis, M.T. Histological and histochemical development of the digestive system of Solea senegalensis (Kaup 1858) larvae. Aquaculture 1999, 171, 293–308. [Google Scholar] [CrossRef]
- Grove, S.; Johansen, R.; Reitan, L.J.; Press, C.M. Immune-and enzyme histochemical characterization of leukocyte populations within lymphoid and mucosal tissues of Atlantic halibut (Hippoglossus hippoglossus). Fish Shellfish Immunol. 2006, 20, 693–708. [Google Scholar] [CrossRef] [PubMed]
- Georgopoulou, U.; Dabrowski, K.; Sire, M.F.; Vernier, J.M. Absorption of intact proteins by the intestinal epithelium of trout, Salmo gairdnera. A luminescence enzyme immunoassay and cytochemical study. Cell Tissue Res. 1986, 251, 145–152. [Google Scholar] [CrossRef] [PubMed]
- Chakrabarti, I.; Gani, M.A.; Chaki, K.K.; Sur, A.; Misra, K.K. Digestive enzymes in 11 freshwater teleost fish species in relation to food habit and niche segregation. Comp. Biochem. Physiol. Part A 1995, 112, 167–177. [Google Scholar] [CrossRef]
- Moretti, D.; Nordi, B.; Cruz, T.M.P.; Cyrino, J.E.P.; Machado-Neto, R. Histochemical distribution of intestinal enzymes of juvenile pacu (Piaractus mesopotamicus) fed lyophilized bovine colostrum. Fish Physiol. Biochem. 2014, 40, 1487–1493. [Google Scholar] [CrossRef]
- Sun, J.; Wang, Y.; Lv, A.; Xian, J.A.; Wang, Q.; Zhang, S.; Guo, Y.; Xing, K. Histochemical distribution of four types of enzymes and mucous cells in the intestine of koi carp (Cyprinus carpio var. koi). Fish Physiol. Biochem. 2019, 45, 367–1376. [Google Scholar] [CrossRef]






Disclaimer/Publisher’s Note: The statements, opinions and data contained in all publications are solely those of the individual author(s) and contributor(s) and not of MDPI and/or the editor(s). MDPI and/or the editor(s) disclaim responsibility for any injury to people or property resulting from any ideas, methods, instructions or products referred to in the content. |
© 2024 by the authors. Licensee MDPI, Basel, Switzerland. This article is an open access article distributed under the terms and conditions of the Creative Commons Attribution (CC BY) license (https://creativecommons.org/licenses/by/4.0/).
Share and Cite
Tlak Gajger, I.; Nejedli, S.; Kozarić, Z.; Vlainić, J. Histochemical Analysis and Distribution of Digestive Enzymes in the Gastrointestinal System of the European Barracuda Sphyraena sphyraena (Linnaeus, 1758). Animals 2024, 14, 2798. https://doi.org/10.3390/ani14192798
Tlak Gajger I, Nejedli S, Kozarić Z, Vlainić J. Histochemical Analysis and Distribution of Digestive Enzymes in the Gastrointestinal System of the European Barracuda Sphyraena sphyraena (Linnaeus, 1758). Animals. 2024; 14(19):2798. https://doi.org/10.3390/ani14192798
Chicago/Turabian StyleTlak Gajger, Ivana, Srebrenka Nejedli, Zvonimir Kozarić, and Josipa Vlainić. 2024. "Histochemical Analysis and Distribution of Digestive Enzymes in the Gastrointestinal System of the European Barracuda Sphyraena sphyraena (Linnaeus, 1758)" Animals 14, no. 19: 2798. https://doi.org/10.3390/ani14192798
APA StyleTlak Gajger, I., Nejedli, S., Kozarić, Z., & Vlainić, J. (2024). Histochemical Analysis and Distribution of Digestive Enzymes in the Gastrointestinal System of the European Barracuda Sphyraena sphyraena (Linnaeus, 1758). Animals, 14(19), 2798. https://doi.org/10.3390/ani14192798

