Genomic and Pathological Characterization of Acute Hepatopancreatic Necrosis Disease (AHPND)-Associated Natural Mutant Vibrio parahaemolyticus Isolated from Penaeus vannamei Cultured in Korea
Abstract
Simple Summary
Abstract
1. Introduction
2. Materials and Methods
2.1. Screening of Mutant VpAHPND from AHPND-Associated Samples
2.2. Identification of Hemolysin Genes in Mutant VpAHPND by Multiplex PCR
2.3. Assessment of Hemolytic Activity in Mutant VpAHPND Using Kanagawa Phenomenon (KP) Test
2.4. Antimicrobial Susceptibility Test of Mutant VpAHPND
2.5. Whole Genome Sequencing of Mutant VpAHPND
2.6. Genetic Characterization of pVA-1-like Plasmid in Mutant VpAHPND
2.7. Shrimp Bioassays
2.8. Nucleotide Sequence Accession Numbers
3. Results
3.1. Natural Mutant VpAHPND Strain 20-082A3 from AHPND-Associated Shrimp Samples
3.2. Hemolytic and AMR Features of Mutant VpAHPND Strain 20-082A3
3.3. General Features of Mutant VpAHPND Strain 20-082A3 Genome
3.4. Detailed Features of pVA1-like Plasmid in Avirulent Mutant Strain 20-082A3
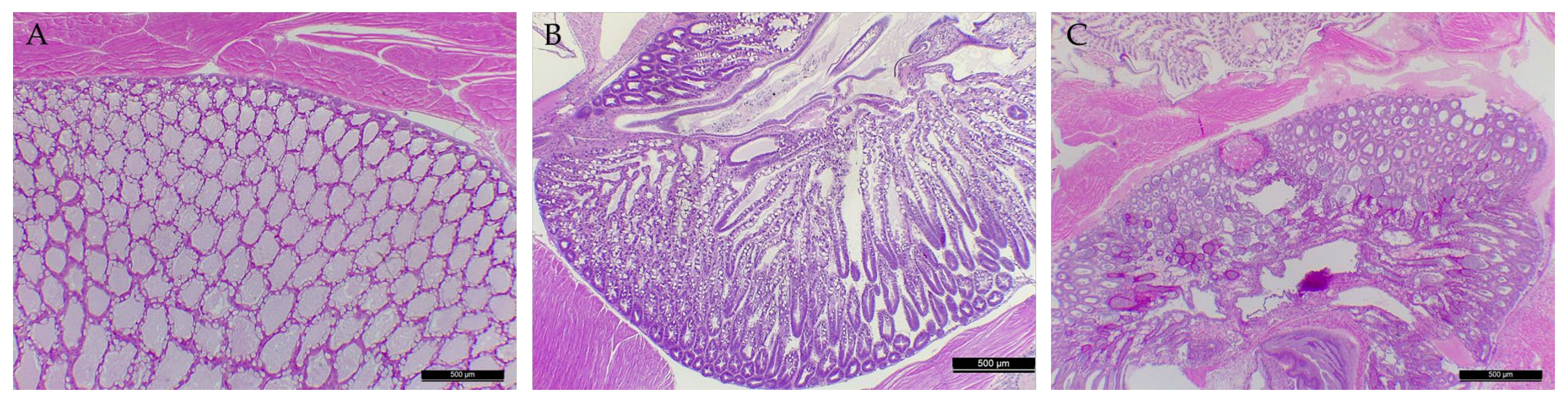
3.5. Shrimp Bioassays Using Mutant VpAHPND Strain 20-082A3
4. Discussion
5. Conclusions
Supplementary Materials
Author Contributions
Funding
Institutional Review Board Statement
Informed Consent Statement
Data Availability Statement
Conflicts of Interest
References
- Han, J.E.; Choi, S.K.; Han, S.H.; Lee, S.C.; Jeon, H.J.; Lee, C.; Kim, K.Y.; Lee, Y.S.; Park, S.C.; Rhee, G.; et al. Genomic and histopathological characteristics of Vibrio parahaemolyticus isolated from an acute hepatopancreatic necrosis disease outbreak in Pacific white shrimp (Penaeus vannamei) cultured in Korea. Aquaculture 2020, 524, 735284. [Google Scholar] [CrossRef]
- Han, J.E.; Tang, K.F.J.; Tran, L.H.; Lightner, D.V. Photorhabdus insect-related (Pir) toxin-like genes in a plasmid of Vibrio parahaemolyticus, the causative agent of acute hepatopancreatic necrosis disease (AHPND) of shrimp. Dis. Aquat. Organ. 2015, 113, 33–40. [Google Scholar] [CrossRef] [PubMed]
- Lee, C.T.; Chen, I.T.; Yang, Y.T.; Ko, T.P.; Huang, Y.T.; Huang, J.Y.; Huang, M.F.; Lin, S.J.; Chen, C.Y.; Lin, S.S.; et al. The opportunistic marine pathogen Vibrio parahaemolyticus becomes virulent by acquiring a plasmid that expresses a deadly toxin. Proc. Natl Acad. Sci. USA 2015, 112, 10798–10803. [Google Scholar] [CrossRef] [PubMed]
- Sirikharin, R.; Taengchaiyaphum, S.; Sanguanrut, P.; Chi, T.D.; Mavichak, R.; Proespraiwong, P.; Nuangsaeng, B.; Thitamadee, S.; Flegel, T.W.; Sritunyalucksana, K. Characterization and PCR detection of binary, Pir-like toxins from Vibrio parahaemolyticus isolates that cause acute hepatopancreatic necrosis disease (AHPND) in shrimp. PLoS ONE 2015, 10, e0126987. [Google Scholar] [CrossRef]
- Kumar, R.; Ng, T.H.; Wang, H.C. Acute hepatopancreatic necrosis disease in penaeid shrimp. Rev. Aquacult. 2020, 12, 1867–1880. [Google Scholar] [CrossRef]
- Kondo, H.; Van, P.T.; Dang, L.T.; Hirono, I. Draft Genome Sequence of Non-Vibrio parahaemolyticus Acute Hepatopancreatic Necrosis Disease Strain KC13.17.5, Isolated from Diseased Shrimp in Vietnam. Genome Announc. 2015, 3, 00978-15. [Google Scholar] [CrossRef]
- Liu, L.; Xiao, J.; Xia, X.; Pan, Y.; Yan, S.; Wang, Y. Draft Genome Sequence of Vibrio owensii Strain SH-14, Which Causes shrimp Acute hepatopancreatic Necrosis Disease. Genome Announc. 2015, 3, 01395-15. [Google Scholar] [CrossRef]
- Liu, L.; Xiao, J.; Zhang, M.; Zhu, W.; Xia, X.; Dai, X.; Pan, Y.; Yan, S.; Wang, Y. A Vibrio owensii strain as the causative agent of AHPND in cultured shrimp, litopenaeus vannamei. J. Invertebr. Pathol. 2018, 153, 156–164. [Google Scholar] [CrossRef]
- Ahn, Y.S.; Piamsomboon, P.; Tang, K.F.J.; Han, J.E.; Kim, J.H. Complete Genome Sequence of Acute hepatopancreatic Necrosis Disease-Causing Vibrio campbellii LA16-V1, Isolated from Penaeus vannamei Cultured in a Latin American country. Genome Announc. 2017, 5, 01011-17. [Google Scholar] [CrossRef]
- Dong, X.; Wang, H.; Xie, G.; Zou, P.; Guo, C.; Liang, Y.; Huang, J. An isolate of Vibrio campbellii carrying the pirVP gene causes acute hepatopancreatic necrosis disease. Emerg. Microbes Infect. 2017, 6, e2. [Google Scholar] [CrossRef]
- Restrepo, L.; Bayot, B.; Arciniegas, S.; Bajaña, L.; Betancourt, I.; Panchana, F.; Reyes Muñoz, A. PirVP genes causing AHPND identified in a new Vibrio species (Vibrio punensis) within the commensal Orientalis clade. Sci. Rep. 2018, 8, 13080. [Google Scholar] [CrossRef] [PubMed]
- Han, J.E.; Tang, K.F.J.; Aranguren, L.F.; Piamsomboon, P. Characterization and pathogenicity of acute hepatopancreatic necrosis disease natural mutants, pirAB (-) V. parahaemolyticus, and pirAB (+) V. campbellii strains. Aquaculture 2017, 470, 84–90. [Google Scholar] [CrossRef]
- Xiao, J.; Liu, L.; Ke, Y.; Li, X.; Liu, Y.; Pan, Y.; Yan, S.; Wang, Y. Shrimp AHPND-causing plasmids encoding the PirAB toxins as mediated by pirAB-Tn903 are prevalent in various Vibrio species. Sci. Rep. 2017, 7, 42177. [Google Scholar] [CrossRef] [PubMed]
- Hallstrom, K.N.; McCormick, B.A. Pathogenicity islands: Origins, structure, and roles in bacterial pathogenesis. Med. Electron. Microsc. 2015, 303–314. [Google Scholar]
- Aranguren Caro, L.F.; Mai, H.N.; Kanrar, S.; Cruz-Flores, R.; Dhar, A.K. A Mutant of Vibrio parahaemolyticus pir ABVP (+) That Carries Binary Toxin Genes but Does Not Cause Acute Hepatopancreatic Necrosis Disease. Microorganisms 2020, 8, 1549. [Google Scholar] [CrossRef]
- Phiwsaiya, K.; Charoensapsri, W.; Taengphu, S.; Dong, H.T.; Sangsuriya, P.; Nguyen, G.T.; Pham, H.; Amparyup, H.; Sritunyalucksana, K.; Taengchaiyaphum, S.; et al. A Natural Vibrio parahaemolyticus ΔpirAVp pirBVp+ Mutant Kills Shrimp but Produces neither PirVp Toxins nor Acute Hepatopancreatic Necrosis Disease Lesions. J. Appl. Environ. Microbiol. 2017, 83, e00680-17. [Google Scholar] [CrossRef]
- Restrepo, L.; Bayot, B.; Betancourt, I.; Pinzón, A. Draft genome sequence of pathogenic bacteria Vibrio parahaemolyticus strain Ba94C2, associated with acute hepatopancreatic necrosis disease isolate from South America. Genom. Data 2016, 9, 143–144. [Google Scholar] [CrossRef]
- OIE. Manual of Diagnostic Tests for Aquatics Animals 2021-Acute Hepatopancreatic Necrosis Disease; World Organization for Animal Health: Paris, France, 2021; Available online: https://www.woah.org/fileadmin/Home/eng/Health_standards/aahm/current/2.2.01_AHPND.pdf (accessed on 24 August 2024).
- Jeon, M.Y.; Han, J.E.; Lee, D.G.; Cho, Y.L.; Jang, J.H.; Lee, J.; Park, J.G.; Kwon, D.H.; Park, S.Y.; Kim, W.; et al. Novel sandwich immunoassay detects a shrimp AHPND-causing binary PirABVp toxin produced by Vibrio parahaemolyticus. Front. Cell. Infect. Microbiol. 2023, 13, 1294801. [Google Scholar] [CrossRef]
- Kim, Y.B.; Okuda, J.U.N.; Matsumoto, C.; Takahashi, N.; Hashimoto, S.; Nishibuchi, M. Identification of Vibrio parahaemolyticus strains at the species level by PCR targeted to the toxR gene. J. Clin. Microbiol. 1999, 37, 1173–1177. [Google Scholar] [CrossRef]
- Xie, Z.Y.; Hu, C.Q.; Chen, C.; Zhang, L.P.; Ren, C.H. Investigation of seven Vibrio virulence genes among Vibrio alginolyticus and Vibrio parahaemolyticus strains from the coastal mariculture systems in Guangdong, China. Lett. Appl. Microbiol. 2005, 41, 202–207. [Google Scholar] [CrossRef]
- Baffone, W.; Tarsi, R.; Pane, L.; Campana, R.; Repetto, B.; Mariottini, G.L.; Pruzzo, C. Detection of free-living and plankton-bound Vibrios in coastal waters of the Adriatic Sea (Italy) and study of their pathogenicity-associated properties. Environ. Microbiol. 2006, 8, 1299–1305. [Google Scholar] [CrossRef] [PubMed]
- Feng, L.; Xu, M.; Zhu, J.; Lu, H. Genetic basis of high-pressure tolerance of a Vibrio parahaemolyticus mutant and its pathogenicity. Front. Microbiol. 2022, 13, 827856. [Google Scholar] [CrossRef]
- Hudzicki, J. Kirby-Bauer disk diffusion susceptibility test protocol. Am. Soc. Microbiol. 2009, 15, 1–23. [Google Scholar]
- CLSI. Methods for Antimicrobial Dilution and Disk Susceptibility Testing of Infrequently Isolated or Fastidious Bacteria, 3rd ed.; CLSI Guideline M45; Clinical and Laboratory Standards Institute: Berwyn, PA, USA, 2015; pp. 56–58. [Google Scholar]
- Siriphap, A.; Prapasawat, W.; Borthong, J.; Tanomsridachchai, W.; Muangnapoh, C.; Suthienkul, O.; Chonsin, K. Prevalence, virulence characteristics, and antimicrobial resistance of Vibrio parahaemolyticus isolates from raw seafood in a province in Northern Thailand. FEMS Microbiol. Lett. 2024, 371, fnad134. [Google Scholar] [CrossRef] [PubMed]
- CLSI. Performance Standards for Antimicrobial Susceptibility Testing, 28th ed.; CLSI supplement M100; Clinical and Laboratory Standards Institute: Berwyn, PA, USA, 2018; p. 38. [Google Scholar]
- Yudiati, E.; Azhar, N. Antimicrobial susceptibility and minimum inhibition concentration of Vibrio parahaemolyticus, Vibrio vulnificus and Vibrio harveyi isolated from a white shrimp (Litopenaeus vannamei) pond. IOP Conf. Ser. Earth Environ. 2021, 763, 012025. [Google Scholar] [CrossRef]
- Chin, C.S.; Alexander, D.H.; Marks, P.; Klammer, A.A.; Drake, J.; Heiner, C.; Clum, A.; Copeland, A.; Huddleston, J.; Eichler, E.E.; et al. Nonhybrid, finished microbial genome assemblies from long-read SMRT sequencing data. Nat. Methods 2013, 10, 563–569. [Google Scholar] [CrossRef]
- Li, H.; Durbin, R. Fast and accurate short read alignment with Burrows–Wheeler transform. Bioinformatics 2009, 25, 1754–1760. [Google Scholar] [CrossRef]
- Walker, B.J.; Abeel, T.; Shea, T.; Priest, M.; Abouelliel, A.; Sakthikumar, S.; Cuomo, C.A.; Zeng, Q.; Wortman, J.; Young, S.K.; et al. Pilon: An integrated tool for comprehensive microbial variant detection and genome assembly improvement. PLoS ONE 2014, 9, e112963. [Google Scholar] [CrossRef]
- Wattam, A.R.; Davis, J.J.; Assaf, R.; Boisvert, S.; Brettin, T.; Bun, C.; Conrad, N.; Dietrich, E.M.; Disz, T.; Gabbard, J.L.; et al. Improvements to PATRIC, the all-bacterial bioinformatics database and analysis resource center. Nucleic Acids Res. 2017, 45, D535–D542. [Google Scholar] [CrossRef]
- Bian, S.; Jia, Y.; Zhan, Q.; Wong, N.K.; Hu, Q.; Zhang, W.; Zhang, Y.; Li, L.; Li, L. VPsero: Rapid serotyping of Vibrio parahaemolyticus using serogroup-specific genes based on whole-genome sequencing data. Front. Microbiol. 2021, 12, 620224. [Google Scholar] [CrossRef]
- Van der Graaf-Van Bloois, L.; Chen, H.; Wagenaar, J.A.; Zomer, A.L. Development of Kaptive databases for Vibrio parahaemolyticus O- and K-antigen genotyping. Microb. Genom. 2023, 9, 001007. [Google Scholar] [CrossRef] [PubMed]
- Kim, Y.B.; Park, S.Y.; Kwon, H.; Lee, C.; Jeon, H.J.; Kim, B.; Kim, J.H.; Han, J.E. Complete Genome Sequence of an Acute Hepatopancreatic Necrosis Disease (AHPND)-Causing Vibrio parahaemolyticus 19-021-D1 Isolated from Cultured Pacific White Shrimp (Penaeus vannamei) at 2019 in Korea. Korean J. Microbiol. 2023, 59, 234–238. [Google Scholar]
- Lee, I.; Ouk Kim, Y.; Park, S.C.; Chun, J. OrthoANI: An improved algorithm and software for calculating average nucleotide identity. Int. J. Syst. Evol. Microbiol. 2016, 66, 1100–1103. [Google Scholar] [CrossRef]
- Tran, L.; Nunan, L.; Redman, R.M.; Mohney, L.L.; Pantoja, C.R.; Fitzsimmons, K.; Lightner, D.V. Determination of the infectious nature of the agent of acute hepatopancreatic necrosis syndrome affecting penaeid shrimp. Dis. Aquat. Org. 2013, 105, 45–55. [Google Scholar] [CrossRef]
- Gomez-Gil, B.; Soto-Rodríguez, S.; Lozano, R.; Betancourt-Lozano, M. Draft genome sequence of Vibrio parahaemolyticus strain M0605, which causes severe mortalities of shrimps in Mexico. Genome Announc. 2014, 2, 10. [Google Scholar] [CrossRef]
- Jana, B.; Keppel, K.; Fridman, C.M.; Bosis, E.; Salomon, D. Multiple T6SSs, mobile auxiliary modules, and effectors revealed in a systematic analysis of the Vibrio parahaemolyticus pan-genome. Msystems 2022, 7, e00723-22. [Google Scholar] [CrossRef]
- Hurley, C.C.; Quirke, A.; Reen, F.J.; Boyd, E.F. Four genomic islands that mark post-1995 pandemic Vibrio parahaemolyticus isolates. BMC Genom. 2006, 7, 104. [Google Scholar] [CrossRef]
- Huynh, T.B.; Mai-Hoang, T.D.; Bui-Nguyen, T.A.; Ha, T.T.P.; Phan, M.D.; Tran-Van, H. Characteristics and diversity of Vibrio parahaemolyticus causing acute hepatopancreatic necrosis disease in Vietnam. Aquacult. Fish. 2023; in press. [Google Scholar] [CrossRef]
- Khan, J.A.; Irfan, A.M.; Soni, S.S.; Maherchandani, S.; Soni, S.S.; Maherchandani, S. Antibiogram and multiple antibiotic resistance index of Salmonella enterica isolates from poultry. J. Pure Appl. Microbiol. 2015, 9, 2495–2500. [Google Scholar]
- Praja, R.K.; Safnurbaiti, D.P. The infection of Vibrio parahaemolyticus in shrimp and human. Ocean. Biomed. J. 2018, 1, 44–58. [Google Scholar] [CrossRef]
- Osorio, C.R. T3SS effectors in Vibrios: Homology in sequence, diversity in biological functions? Virulence 2018, 9, 721–723. [Google Scholar] [CrossRef] [PubMed]
- Sreelatha, A.; Orth, K.; Starai, V.J. The pore-forming bacterial effector, VopQ, halts autophagic turnover. Autophagy 2013, 9, 2169–2170. [Google Scholar] [CrossRef] [PubMed][Green Version]
- Zhao, Z.; Liu, J.; Deng, Y.; Huang, W.; Ren, C.; Call, D.R.; Hu, C. The Vibrio alginolyticus T3SS effectors, Val1686 and Val1680, induce cell rounding, apoptosis and lysis of fish epithelial cells. Virulence 2018, 9, 318–330. [Google Scholar] [CrossRef]
- Wu, C.; Zhao, Z.; Liu, Y.; Zhu, X.; Liu, M.; Luo, P.; Shi, Y. Type III secretion 1 effector gene diversity among Vibrio isolates from coastal areas in China. Front. Cell. Infect. Microbiol. 2020, 10, 301. [Google Scholar] [CrossRef]
- Castro-López, C.; Garcia, H.S.; Martinez-Avila, G.C.G.; González-Córdova, A.F.; Vallejo-Cordoba, B.; Hernández-Mendoza, A. Genomics-based approaches to identify and predict the health-promoting and safety activities of promising probiotic strains–A probiogenomics review. Trends Food Sci. Technol. 2021, 108, 148–163. [Google Scholar] [CrossRef]
- Wang, M.; Goh, Y.X.; Tai, C.; Wang, H.; Deng, Z.; Ou, H.Y. VRprofile2: Detection of antibiotic resistance-associated mobilome in bacterial pathogens. Nucleic Acids Res. 2022, 50, W768–W773. [Google Scholar] [CrossRef]
- Chen, L.; Yang, J.; Yu, J.; Yao, Z.; Sun, L.; Shen, Y.; Jin, Q. VFDB: A reference database for bacterial virulence factors. Nucleic Acids Res. 2005, 33, D325–D328. [Google Scholar] [CrossRef]
- Alcock, B.P.; Raphenya, A.R.; Lau, T.T.; Tsang, K.K.; Bouchard, M.; Edalatmand, A.; Huynh, W.; Nguyen, A.L.; Cheng, A.A.; Liu, S.; et al. CARD 2020: Antibiotic resistome surveillance with the comprehensive antibiotic resistance database. Nucleic Acids Res. 2020, 48, D517–D525. [Google Scholar] [CrossRef]





| Diagnosis | Target Gene | Primer Name | Primer Sequence (5′–3′) | Amplicon Size (bp) | Ref. |
|---|---|---|---|---|---|
| AHPND toxin gene detection | pirA (duplex) | VpPirA-284F | TGACTATTCTCACGATTGGACTG | 284 | [2] |
| VpPirA-284R | CACGACTAGCGCCATTGTTA | ||||
| pirB (duplex) | VpPirB-392F | TGATGAAGTGATGGGTGCTC | 392 | ||
| VpPirB-392R | TGTAAGCGCCGTTTAACTCA | ||||
| AHPND plasmid detection | pVA1-like plasmid | 89F | GTCGCTACTGTCTAGCTGAA | 490 | [12] |
| 89R | ACGGCAAGACTTAGTGTACC | ||||
| Plasmid genotype | MX-345F | TACCAGCTCTAACAAGGCCA | 345 | [1] | |
| MX-345R | AACGTTCCAAGGAGTCGAGT | ||||
| Asia-482F | TGAACCGTTCCTCATGCTCT | 482 | |||
| Asia-482R | TCAAAGCAGCCCAGACAAAC | ||||
| V. parahaemolyticus identification * | toxR | toxR-F | GTCTTCTGACGCAATCGTTG | 368 | [20] |
| toxR-R | ATACGAGTGGTTGCTGTCATG | ||||
| tdh | tdh-F | CCATTCTGGCAAAGTTATT | 534 | [21] | |
| tdh-R | TTCATATGCTTCTACATTAAC | ||||
| trh | trh-F | TTGGCTTCGATATTTCAGTATCT | 500 | [22] | |
| trh-R | CATAACAAACATATGCCCATTTCCG | ||||
| tlh | tlh-F | AGCGGATTATGCAGAAGCAC | 150 | [21] | |
| tlh-R | ATCTCAAGCACTTTCGCACG |
| Features | V. parahaemolyticus | |
|---|---|---|
| 19-021-D1 | 20-082A3 | |
| Isolate information | ||
| Isolation year | 2019 | 2020 |
| Isolation site | Taean-gun/Chungcheongnam-do | Boryeong-si/Chungcheongnam-do |
| Isolation source | Shrimp pond water | P. vannamei |
| Antibiotic resistance pattern | AMP, AK | PRL, AMP, SAM |
| MAR index * | 0.13 | 0.20 |
| Hemolysin gene (tlh, trh, tdh) | +, −, − | +, −, − |
| Kanagawa phenomenon | α-hemolysis | α-hemolysis |
| Genomic information | ||
| Genome size (bp) | 5,579,380 | 5,601,613 |
| Chromosome 1 | 3,577,848 | 3,610,915 |
| Chromosome 2 | 1,814,246 | 1,802,312 |
| Plasmid 1 | (pVp_Kor-D1-1) 118,438 | (pVp_20-082A3A) 121,293 |
| Plasmid 2 | (pVp_Kor-D1-2) 68,848 | (pVp_20-082A3B) 67,093 |
| G + C content (%) | 45.1 | 45.3 |
| Total genes | 5297 | 5226 |
| Protein-coding genes (CDS) | 5052 | 4986 |
| rRNAs | 37 | 37 |
| tRNAs | 133 | 132 |
| ncRNAs | 4 | 4 |
| Pseudogenes | 71 | 67 |
| Serotype | O1:KUT *** | O1:KUT |
| MLST sequence type ** | 413 | 413 |
| pVA1-like Plasmid | Length (bp) | No. of CDSs | No. of SSRs * | AHPND Toxin | Tn3-like Transposon |
|---|---|---|---|---|---|
| pVp_Kor-D1-2 | 68,848 | 81 | 4 | AHPND (pirA, pirB) | − |
| pVp_20-082A3B | 67,093 | 75 | 4 | AHPND mutant (pirB, partial) | − |
Disclaimer/Publisher’s Note: The statements, opinions and data contained in all publications are solely those of the individual author(s) and contributor(s) and not of MDPI and/or the editor(s). MDPI and/or the editor(s) disclaim responsibility for any injury to people or property resulting from any ideas, methods, instructions or products referred to in the content. |
© 2024 by the authors. Licensee MDPI, Basel, Switzerland. This article is an open access article distributed under the terms and conditions of the Creative Commons Attribution (CC BY) license (https://creativecommons.org/licenses/by/4.0/).
Share and Cite
Kim, Y.B.; Park, S.Y.; Jeon, H.J.; Kim, B.; Kwon, M.-G.; Kim, S.-M.; Han, J.E.; Kim, J.H. Genomic and Pathological Characterization of Acute Hepatopancreatic Necrosis Disease (AHPND)-Associated Natural Mutant Vibrio parahaemolyticus Isolated from Penaeus vannamei Cultured in Korea. Animals 2024, 14, 2788. https://doi.org/10.3390/ani14192788
Kim YB, Park SY, Jeon HJ, Kim B, Kwon M-G, Kim S-M, Han JE, Kim JH. Genomic and Pathological Characterization of Acute Hepatopancreatic Necrosis Disease (AHPND)-Associated Natural Mutant Vibrio parahaemolyticus Isolated from Penaeus vannamei Cultured in Korea. Animals. 2024; 14(19):2788. https://doi.org/10.3390/ani14192788
Chicago/Turabian StyleKim, Ye Bin, Seon Young Park, Hye Jin Jeon, Bumkeun Kim, Mun-Gyeong Kwon, Su-Mi Kim, Jee Eun Han, and Ji Hyung Kim. 2024. "Genomic and Pathological Characterization of Acute Hepatopancreatic Necrosis Disease (AHPND)-Associated Natural Mutant Vibrio parahaemolyticus Isolated from Penaeus vannamei Cultured in Korea" Animals 14, no. 19: 2788. https://doi.org/10.3390/ani14192788
APA StyleKim, Y. B., Park, S. Y., Jeon, H. J., Kim, B., Kwon, M.-G., Kim, S.-M., Han, J. E., & Kim, J. H. (2024). Genomic and Pathological Characterization of Acute Hepatopancreatic Necrosis Disease (AHPND)-Associated Natural Mutant Vibrio parahaemolyticus Isolated from Penaeus vannamei Cultured in Korea. Animals, 14(19), 2788. https://doi.org/10.3390/ani14192788

