Influence of Starvation on Biochemical, Physiological, Morphological, and Transcriptional Responses Associated with Glucose and Lipid Metabolism in the Liver of Javelin Goby (Synechogobius hasta)
Abstract
Simple Summary
Abstract
1. Introduction
2. Materials and Methods
2.1. Ethics Statement
2.2. Fish Maintenance and Experimental Treatment
2.3. Sampling
2.4. Hepatic Biochemical Parameters, Intermediate Metabolic Enzymes, and Antioxidant Indices
2.5. Hepatic Histochemical Staining and Histomorphological Observation
2.6. Quantitative Real-Time Polymerase Chain Reaction (qRT-PCR) Analysis
2.7. Statistical Methods
3. Results
3.1. Contents of Main Energy Substances in the Liver of S. hasta under Starvation Stress
3.2. Intermediate Metabolic Enzyme Activity in the Liver of S. hasta under Starvation Stress
3.3. Antioxidant Properties in the Liver of S. hasta under Starvation Stress
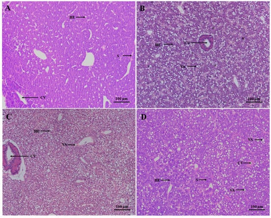
3.4. Morphological Alterations in the Liver of S. hasta under Starvation Stress
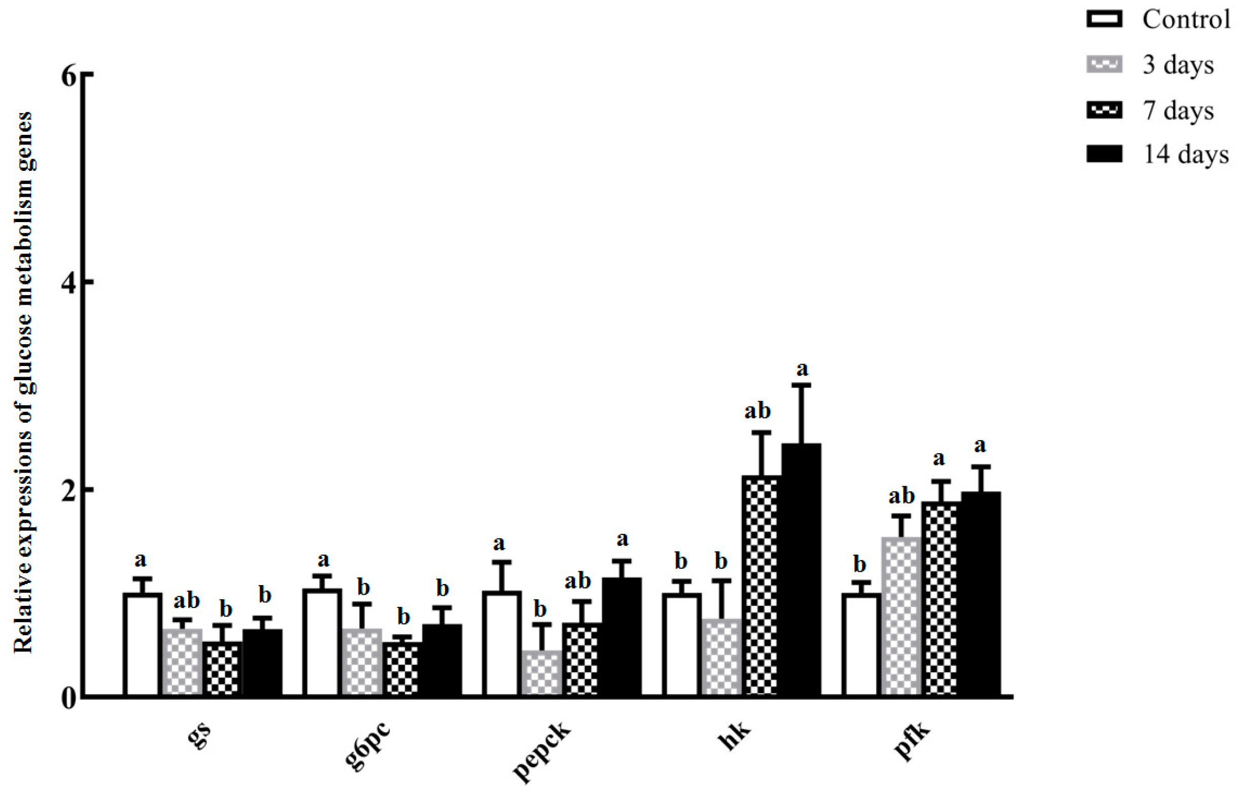
3.5. Relative Expression of Glucose and Lipid Metabolism-Related Genes in the Liver of S. hasta under Starvation Stress
4. Discussion
4.1. Effect of Starvation Stress on the Mobilization of the Main Energy Reserves in the Liver of Synechogobius hasta
4.2. Effect of Starvation Stress on the Key Enzyme Activity Related to Glucose and Lipid Metabolism in the Liver of Synechogobius hasta
4.3. Effect of Starvation Stress on the Antioxidant Capacity in the Liver of Synechogobius hasta
4.4. Effect of Starvation Stress on the Hepatic Morphology in Synechogobius hasta
4.5. Effect of Starvation Stress on the Transcriptional Expression of Glucose and Lipid Metabolism-Associated Genes in the Liver of Synechogobius hasta
5. Conclusions
Supplementary Materials
Author Contributions
Funding
Institutional Review Board Statement
Informed Consent Statement
Data Availability Statement
Acknowledgments
Conflicts of Interest
References
- Furne, M.; Sanz, A. Starvation in Fish—Sturgeon and Rainbow Trout as Examples. In Handbook of Famine, Starvation, and Nutrient Deprivation; Springer International Publishing: Cham, Switzerland, 2017; pp. 1–16. [Google Scholar]
- McCue, M.D. Starvation Physiology: Reviewing the Different Strategies Animals Use to Survive a Common Challenge. Comp. Biochem. Physiol. Part A Mol. Integr. Physiol. 2010, 156, 1–18. [Google Scholar] [CrossRef] [PubMed]
- Ensminger, D.C.; Salvador-Pascual, A.; Arango, B.G.; Allen, K.N.; Vázquez-Medina, J.P. Fasting Ameliorates Oxidative Stress: A Review of Physiological Strategies across Life History Events in Wild Vertebrates. Comp. Biochem. Physiol. Part A Mol. Integr. Physiol. 2021, 256, 110929. [Google Scholar] [CrossRef] [PubMed]
- Geng, X.; Guo, J.; Zhang, L.; Sun, J.; Zang, X.; Qiao, Z.; Xu, C. Differential Proteomic Analysis of Chinese Giant Salamander Liver in Response to Fasting. Front. Physiol. 2020, 11, 208. [Google Scholar] [CrossRef]
- Py, C.; Elizondo-González, R.; Peña-Rodríguez, A. Compensatory Growth: Fitness Cost in Farmed Fish and Crustaceans. Rev. Aquac. 2022, 14, 1389–1417. [Google Scholar] [CrossRef]
- Karatas, T.; Onalan, S.; Yildirim, S. Effects of Prolonged Fasting on Levels of Metabolites, Oxidative Stress, Immune-Related Gene Expression, Histopathology, and DNA Damage in the Liver and Muscle Tissues of Rainbow Trout (Oncorhynchus mykiss). Fish Physiol. Biochem. 2021, 47, 1119–1132. [Google Scholar] [CrossRef]
- Jafari, N.; Falahatkar, B.; Sajjadi, M.M. The Effect of Feeding Strategies and Body Weight on Growth Performance and Hematological Parameters of Siberian Sturgeon ( Acipenser baerii, Brandt 1869): Preliminary Results. J. Appl. Ichthyol. 2019, 35, 289–295. [Google Scholar] [CrossRef]
- Zhou, R.; Wu, G.; Qu, L.; Zhong, X.; Gao, Y.; Ding, Z.; Xu, J.; Chen, X.; Cheng, H. Effect of Starvation on Intestinal Morphology, Digestive Enzyme Activity and Expression of Lipid Metabolism-related Genes in Javelin Goby (Synechogobius hasta). Aquac. Res. 2022, 53, 87–97. [Google Scholar] [CrossRef]
- Zhang, N.; Wang, X.; Han, Z.; Gong, Y.; Huang, X.; Chen, N.; Li, S. The Preferential Utilization of Hepatic Glycogen as Energy Substrates in Largemouth Bass (Micropterus salmoides) under Short-Term Starvation. Fish Physiol. Biochem. 2024, 50, 785–796. [Google Scholar] [CrossRef]
- Chen, X.; Qu, L.; Li, H.; Cui, X.; Zhang, J.; Guo, X.; Xia, T.; Wei, C.; Ding, Z.; Xu, J.; et al. Optimization of Soybean Oil Content in a Soybean Oil-Based Aquafeed for Grass Carp (Ctenopharyngodon idella) to Achieve Optimal Growth Performance, Proximate and Fatty Acid Compositions, and Lipid Metabolism. Aquac. Rep. 2024, 34, 101916. [Google Scholar] [CrossRef]
- Meng, Y.; Tian, H.; Hu, X.; Han, B.; Li, X.; Cangzhong, L.; Ma, R. Effects of Dietary Lipid Levels on the Lipid Deposition and Metabolism of Subadult Triploid Rainbow Trout (Oncorhynchus mykiss). Aquac. Nutr. 2022, 2022, 6924835. [Google Scholar] [CrossRef]
- Zhong, X.; Gu, J.; Zhang, S.; Chen, X.; Zhang, J.; Miao, J.; Ding, Z.; Xu, J.; Cheng, H. Dynamic Transcriptome Analysis of the Muscles in High-Fat Diet-Induced Obese Zebrafish (Danio rerio) under 5-HT Treatment. Gene 2022, 819, 146265. [Google Scholar] [CrossRef]
- Bar, N. Physiological and Hormonal Changes during Prolonged Starvation in Fish. Can. J. Fish. Aquat. Sci. 2014, 71, 1447–1458. [Google Scholar] [CrossRef]
- Pham, P.H.; Li, J.W.; Ammendolia, D.; Pumputis, P.G.; Lee, L.E.; Bols, N.C. Prolonged Survival but Ultimate Cell Death of the Rainbow Trout Macrophage Cell Line, RTS11, under Different Starvation Regimens. Fish Shellfish Immunol. 2016, 53, 118. [Google Scholar] [CrossRef]
- Yang, M.; Deng, K.; Pan, M.; Gu, Z.; Liu, D.; Zhang, Y.; Zhang, W.; Mai, K. Glucose and Lipid Metabolic Adaptations during Postprandial Starvation of Japanese Flounder Paralichthys olivaceus Previously Fed Different Levels of Dietary Carbohydrates. Aquaculture 2019, 501, 416–429. [Google Scholar] [CrossRef]
- Cleveland, B.M.; Raatz, S.; Hanson, B.K.; Wickramaratne, A.; Picklo, M.J. Deposition and Mobilization of Lipids Varies across the Rainbow Trout Fillet during Feed Deprivation and Transition from Plant to Fish Oil-Based Diets. Aquaculture 2018, 491, 39–49. [Google Scholar] [CrossRef]
- Chen, X.; Xu, Y.; Cui, X.; Zhang, S.; Zhong, X.; Ke, J.; Wu, Y.; Liu, Z.; Wei, C.; Ding, Z.; et al. Starvation Affects the Muscular Morphology, Antioxidant Enzyme Activity, Expression of Lipid Metabolism-Related Genes, and Transcriptomic Profile of Javelin Goby (Synechogobius hasta). Aquac. Nutr. 2022, 2022, 7057571. [Google Scholar] [CrossRef]
- Chen, X.; Gao, Y.; Wu, G.; Gu, J.; Cai, Y.; Xu, J.; Cheng, H. Molecular Cloning, Tissue Expression, and Transcriptional Regulation of Fabp1 and Fabp2 in Javelin Goby (Synechogobius hasta) in Response to Starvation Stress. Comp. Biochem. Physiol. Part B Biochem. Mol. Biol. 2020, 250, 110484. [Google Scholar] [CrossRef]
- Song, Y.-F.; Huang, C.; Shi, X.; Pan, Y.-X.; Liu, X.; Luo, Z. Endoplasmic Reticulum Stress and Dysregulation of Calcium Homeostasis Mediate Cu-Induced Alteration in Hepatic Lipid Metabolism of Javelin Goby Synechogobius hasta. Aquat. Toxicol. 2016, 175, 20–29. [Google Scholar] [CrossRef]
- Luo, Z.; Li, X.; Bai, H.; Gong, S. Effects of Dietary Fatty Acid Composition on Muscle Composition and Hepatic Fatty Acid Profile in Juvenile Synechogobius hasta. J. Appl. Ichthyol. 2008, 24, 116–119. [Google Scholar] [CrossRef]
- Wu, K.; Huang, C.; Shi, X.; Chen, F.; Xu, Y.-H.; Pan, Y.-X.; Luo, Z.; Liu, X. Role and Mechanism of the AMPK Pathway in Waterborne Zn Exposure Influencing the Hepatic Energy Metabolism of Synechogobius hasta. Sci. Rep. 2016, 6, 38716. [Google Scholar] [CrossRef]
- Jaeger, K.E.; Kovacic, F. Determination of Lipolytic Enzyme Activities. In Methods in Molecular Biology; Humana: New York, NY, USA, 2014; Volume 1149, pp. 111–134. [Google Scholar]
- Li, H.; Xu, W.; Jin, J.; Yang, Y.; Zhu, X.; Han, D.; Liu, H.; Xie, S. Effects of Starvation on Glucose and Lipid Metabolism in Gibel Carp (Carassius auratus gibelio Var. CAS III). Aquaculture 2018, 496, 166–175. [Google Scholar] [CrossRef]
- Gou, N.; Wang, K.; Jin, T.; Yang, B. Effects of Starvation and Refeeding on Growth, Digestion, Nonspecific Immunity and Lipid-Metabolism-Related Genes in Onychostoma macrolepis. Animals 2023, 13, 1168. [Google Scholar] [CrossRef] [PubMed]
- Arslan, G.; Bayır, M.; Yağanoğlu, A.M.; Bayır, A. Changes in Fatty Acids, Blood Biochemistry and MRNA Expressions of Genes Involved in Polyunsaturated Fatty Acid Metabolism in Brown Trout (Salmo trutta) during Starvation and Refeeding. Aquac. Res. 2021, 52, 494–504. [Google Scholar] [CrossRef]
- Navarro, I.; Gutiérrez, J. Chapter 17 Fasting and Starvation. In Biochemistry and Molecular Biology of Fishes; Hochachka, P.W., Mommsen, T.P., Eds.; Elsevier: Amsterdam, The Netherlands, 1995; Volume 4, pp. 393–434. ISBN 1873-0140. [Google Scholar]
- Babaei, S.; Abedian Kenari, A.; Hedayati, M.; Yazdani Sadati, M.A.; Metón, I. Effect of Diet Composition on Growth Performance, Hepatic Metabolism and Antioxidant Activities in Siberian Sturgeon (Acipenser baerii, Brandt, 1869) Submitted to Starvation and Refeeding. Fish Physiol. Biochem. 2016, 42, 1509–1520. [Google Scholar] [CrossRef]
- Poursaeid, S.; Falahatkar, B. Starvation Alters Growth, Stress Metabolites and Physiological Responses in Juvenile Great Sturgeon (Huso huso). Anim. Feed Sci. Technol. 2022, 294, 115429. [Google Scholar] [CrossRef]
- Han, X.; Wang, J.; Li, B.; Song, Z.; Li, P.; Huang, B.; Wang, C.; Sun, Y.; Wang, X.; Hao, T. Analyses of Regulatory Network and Discovery of Potential Biomarkers for Korean Rockfish (Sebastes schlegelii) in Responses to Starvation Stress through Transcriptome and Metabolome. Comp. Biochem. Physiol. Part D Genom. Proteom. 2023, 46, 101061. [Google Scholar] [CrossRef]
- Fernández-Muela, M.; Bermejo-Poza, R.; Cabezas, A.; Pérez, C.; González de Chavarri, E.; Díaz, M.T.; Torrent, F.; Villarroel, M.; De la Fuente, J. Effects of Fasting on Intermediary Metabolism Enzymes in the Liver and Muscle of Rainbow Trout. Fishes 2023, 8, 53. [Google Scholar] [CrossRef]
- Furné, M.; Morales, A.E.; Trenzado, C.E.; García-Gallego, M.; Carmen Hidalgo, M.; Domezain, A.; Sanz Rus, A. The Metabolic Effects of Prolonged Starvation and Refeeding in Sturgeon and Rainbow Trout. J. Comp. Physiol. B 2012, 182, 63–76. [Google Scholar] [CrossRef] [PubMed]
- Zhang, T.; Zhan, W.; Xie, Q.; Ye, T.; Lou, B.; Liu, F.; Tao, S.; Chen, L.; Shao, G. Transcriptome Analysis Revealed Changes in Multiple Genes in Larimichthys crocea under Starvation Stress. Aquac. Rep. 2024, 35, 102025. [Google Scholar] [CrossRef]
- Rabinowitz, J.D.; Enerbäck, S. Lactate: The Ugly Duckling of Energy Metabolism. Nat. Metab. 2020, 2, 566–571. [Google Scholar] [CrossRef]
- Schurr, A.; Passarella, S. Aerobic Glycolysis: A DeOxymoron of (Neuro)Biology. Metabolites 2022, 12, 72. [Google Scholar] [CrossRef] [PubMed]
- Huang, J.; Fu, Z.; Yu, W.; Bai, Z.; Ma, Z. Toxic Effects of Carbaryl Exposure on Juvenile Asian Seabass (Lates calcarifer). J. Xenobiotics 2024, 14, 923–938. [Google Scholar] [CrossRef] [PubMed]
- Hou, X.M.; Yuan, S.Q.; Zhao, D.; Liu, X.J.; Wu, X.A. LDH-A Promotes Malignant Behavior via Activation of Epithelial-to-Mesenchymal Transition in Lung Adenocarcinoma. Biosci. Rep. 2019, 39, BSR20181476. [Google Scholar] [CrossRef] [PubMed]
- Rossi, A.; Cazenave, J.; Bacchetta, C.; Campana, M.; Parma, M.J. Physiological and Metabolic Adjustments of Hoplosternum littorale (Teleostei, Callichthyidae) during Starvation. Ecol. Indic. 2015, 56, 161–170. [Google Scholar] [CrossRef]
- Huang, H.; Zhang, Y.; Cao, M.; Xue, L.; Shen, W. Effects of Fasting on the Activities and MRNA Expression Levels of Lipoprotein Lipase (LPL), Hormone-Sensitive Lipase (HSL) and Fatty Acid Synthetase (FAS) in Spotted Seabass Lateolabrax maculatus. Fish Physiol. Biochem. 2018, 44, 387–400. [Google Scholar] [CrossRef]
- Tian, J.; Wen, H.; Zeng, L.-B.; Jiang, M.; Wu, F.; Liu, W.; Yang, C.-G. Changes in the Activities and MRNA Expression Levels of Lipoprotein Lipase (LPL), Hormone-Sensitive Lipase (HSL) and Fatty Acid Synthetase (FAS) of Nile Tilapia (Oreochromis niloticus) during Fasting and Re-Feeding. Aquaculture 2013, 400–401, 29–35. [Google Scholar] [CrossRef]
- Huang, H.; Xue, L.; Shi, J.; Zhao, Y. Changes in Activities and MRNA Expression of Lipoprotein Lipase and Fatty Acid Synthetase in Large Yellow Croaker, Larimichthys crocea (Richardson), during Fasting. Aquac. Res. 2017, 48, 3493–3504. [Google Scholar] [CrossRef]
- Xu, W.; Li, H.; Wu, L.; Dong, B.; Jin, J.; Han, D.; Zhu, X.; Yang, Y.; Liu, H.; Xie, S. Genetically Based Physiological Responses to Overwinter Starvation in Gibel Carp (Carassius gibelio). Front. Endocrinol. 2020, 11, 578777. [Google Scholar] [CrossRef]
- Sakyi, M.E.; Cai, J.; Tang, J.; Xia, L.; Li, P.; Abarike, E.D.; Kuebutornye, F.K.A.; Jian, J. Short Term Starvation and Re-Feeding in Nile Tilapia (Oreochromis Niloticus, Linnaeus 1758): Growth Measurements, and Immune Responses. Aquac. Rep. 2020, 16, 100261. [Google Scholar] [CrossRef]
- Zheng, J.-L.; Zhu, Q.-L.; Shen, B.; Zeng, L.; Zhu, A.-Y.; Wu, C.-W. Effects of Starvation on Lipid Accumulation and Antioxidant Response in the Right and Left Lobes of Liver in Large Yellow Croaker Pseudosciaena crocea. Ecol. Indic. 2016, 66, 269–274. [Google Scholar] [CrossRef]
- Zengin, H. The Effects of Feeding and Starvation on Antioxidant Defence, Fatty Acid Composition and Lipid Peroxidation in Reared Oncorhynchus mykiss Fry. Sci. Rep. 2021, 11, 16716. [Google Scholar] [CrossRef] [PubMed]
- Li, F.; Cui, X.; Fu, C.; Wang, A. The Physiological Response of Oriental River Prawn Macrobrachium nipponense to Starvation-Induced Stress. Comp. Biochem. Physiol. Part D Genom. Proteom. 2024, 50, 101229. [Google Scholar] [CrossRef] [PubMed]
- Yang, S.; He, K.; Yan, T.; Wu, H.; Zhou, J.; Zhao, L.; Wang, Y.; Gong, Q. Effect of Starvation and Refeeding on Oxidative Stress and Antioxidant Defenses in Yangtze Sturgeon (Acipenser dabryanus). Fish Physiol. Biochem. 2019, 45, 987–995. [Google Scholar] [CrossRef]
- Furné, M.; García-Gallego, M.; Hidalgo, M.C.; Morales, A.E.; Domezain, A.; Domezain, J.; Sanz, A. Oxidative Stress Parameters during Starvation and Refeeding Periods in Adriatic Sturgeon (Acipenser naccarii) and Rainbow Trout (Oncorhynchus mykiss). Aquac. Nutr. 2009, 15, 587–595. [Google Scholar] [CrossRef]
- Sun, J.; Wu, W.; Ji, H. Effect of Overwintering on Body Composition, Antioxidant Enzyme Activities, Fatty Acid Composition, Glucose and Lipid-Metabolic Related Gene Expression of Grass Carp (Ctenopharyngodon idellus). Aquaculture 2021, 545, 737125. [Google Scholar] [CrossRef]
- Lushchak, V.I.; Lushchak, L.P.; Mota, A.A.; Hermes-Lima, M. Oxidative Stress and Antioxidant Defenses in Goldfish Carassius auratus during Anoxia and Reoxygenation. Am. J. Physiol. Integr. Comp. Physiol. 2001, 280, R100–R107. [Google Scholar] [CrossRef]
- Zhan, F.; Li, Q.; Feng, H.; Lin, R.; Liang, W.; Lin, L.; Qin, Z. A Short-Term of Starvation Improved the Antioxidant Activity and Quality of African Catfish (Clarias gariepinus). Fish Physiol. Biochem. 2024, 50, 911–925. [Google Scholar] [CrossRef]
- Yengkokpam, S.; Debnath, D.; Pal, A.K.; Sahu, N.P.; Jain, K.K.; Norouzitallab, P.; Baruah, K. Short-Term Periodic Feed Deprivation in Labeo rohita Fingerlings: Effect on the Activities of Digestive, Metabolic and Anti-Oxidative Enzymes. Aquaculture 2013, 412–413, 186–192. [Google Scholar] [CrossRef]
- Su, X.L.; Lin, X.; Zhao, S.S.; Zheng, G.D.; Zou, S.M. Short-term Starvation in Megalobrama amblycephala ♀ × ( Megalobrama amblycephala ♀ × Culter alburnus ♂) ♂: Effect on the Histology, Essential Nutrients and Flavour Components. Aquac. Res. 2022, 53, 2071–2080. [Google Scholar] [CrossRef]
- Zhu, Q.; Song, H.; Zhang, Y.; Chen, R.; Tian, L.; Xu, D. Effects of Cold Stress and Starvation on the Liver of Yellow Drum Nibea albiflora: Histological Alterations and Transcriptomic Analysis. Aquac. Environ. Interact. 2020, 12, 359–369. [Google Scholar] [CrossRef]
- Shan, X.; Quan, H.; Dou, S. Morphological and Histological Changes in Digestive Tract Development during Starvation in the Miiuy Croaker. Fish Physiol. Biochem. 2016, 42, 529–546. [Google Scholar] [CrossRef] [PubMed]
- Li, S.; Li, J.; Zhao, Y.; Zhang, Q.; Wang, Q. Nutrient Sensing Signaling Integrates Nutrient Metabolism and Intestinal Immunity in Grass Carp, Ctenopharyngodon idellus after Prolonged Starvation. Fish Shellfish Immunol. 2017, 71, 50–57. [Google Scholar] [CrossRef] [PubMed]
- Zhang, X.; Yang, S.; Chen, J.; Su, Z. Unraveling the Regulation of Hepatic Gluconeogenesis. Front. Endocrinol. 2019, 9, 802. [Google Scholar] [CrossRef] [PubMed]
- Rui, L. Energy Metabolism in the Liver. In Comprehensive Physiology; Wiley: Hoboken, NJ, USA, 2014; Volume 4, pp. 177–197. [Google Scholar]
- Qian, B.; Xue, L.; Huang, H. Liver Transcriptome Analysis of the Large Yellow Croaker (Larimichthys Crocea) during Fasting by Using RNA-Seq. PLoS ONE 2016, 11, e0150240. [Google Scholar] [CrossRef] [PubMed]
- Sumara, G.; Sumara, O.; Kim, J.K.; Karsenty, G. Gut-Derived Serotonin Is a Multifunctional Determinant to Fasting Adaptation. Cell Metab. 2012, 16, 588–600. [Google Scholar] [CrossRef]
- Montal, E.D.; Dewi, R.; Bhalla, K.; Ou, L.; Hwang, B.J.; Ropell, A.E.; Gordon, C.; Liu, W.-J.; DeBerardinis, R.J.; Sudderth, J.; et al. PEPCK Coordinates the Regulation of Central Carbon Metabolism to Promote Cancer Cell Growth. Mol. Cell 2015, 60, 571–583. [Google Scholar] [CrossRef]
- Jiang, Q.; Ji, P.; Ao, S.; Gao, X.; Zhang, X. Effects of Starvation and Refeeding on Glucose Metabolism and Immune Responses in Macrobrachium rosenbergii. Mar. Biotechnol. 2023, 25, 447–462. [Google Scholar] [CrossRef]
- Lu, D.L.; Ma, Q.; Wang, J.; Li, L.Y.; Han, S.L.; Limbu, S.M.; Li, D.L.; Chen, L.Q.; Zhang, M.L.; Du, Z.Y. Fasting Enhances Cold Resistance in Fish through Stimulating Lipid Catabolism and Autophagy. J. Physiol. 2019, 597, 1585–1603. [Google Scholar] [CrossRef]
- Liao, K.; Meng, R.; Ran, Z.; Cheng, G.; Wang, Y.; Xu, J.; Xu, S.; Yan, X. Short-Term Starvation in Silver Pomfret (Pampus argenteus): Molecular Effects on Lipid Mobilization and Utilization. Aquac. Res. 2017, 48, 4874–4885. [Google Scholar] [CrossRef]
- Sánchez-Gurmaches, J.; Cruz-Garcia, L.; Gutiérrez, J.; Navarro, I. MRNA Expression of Fatty Acid Transporters in Rainbow Trout: In Vivo and In Vitro Regulation by Insulin, Fasting and Inflammation and Infection Mediators. Comp. Biochem. Physiol. Part A Mol. Integr. Physiol. 2012, 163, 177–188. [Google Scholar] [CrossRef]
- Chen, G.-H.; Luo, Z.; Chen, F.; Shi, X.; Song, Y.-F.; You, W.-J.; Liu, X. PPARα, PPARγ and SREBP-1 Pathways Mediated Waterborne Iron (Fe)-Induced Reduction in Hepatic Lipid Deposition of Javelin Goby Synechogobius hasta. Comp. Biochem. Physiol. Part C Toxicol. Pharmacol. 2017, 197, 8–18. [Google Scholar] [CrossRef] [PubMed]
- Grygiel-Górniak, B. Peroxisome Proliferator-Activated Receptors and Their Ligands: Nutritional and Clinical Implications—A Review. Nutr. J. 2014, 13, 17. [Google Scholar] [CrossRef] [PubMed]






| Gene | Forward Primer (5′-3′) | Reverse Primer (5′-3′) |
|---|---|---|
| g6pc | ATTTAGCCTCGCCTCGTCAG | CCAATCACAGCCACCCAGAT |
| gs | CTGACCCCATCCTGACCAAC | CAGCCACGCACAAAGTCATC |
| hk | ACATGGAGGAGCTGCGTAAC | TGTCCAAGGCTCCATCATCT |
| pepck | TGTGGATATGGGTGCGCTTT | TCCAACTGCCTCAACTCGTC |
| pfk | TCTCCAAGAAACTCACCCGC | CCTGCGTATCTTCATGGCCT |
| fas | CATCATCACTGGAGGTCTTGGA | TACGAATGCCTGATCTGGAAGT |
| scd1 | GACAACCAGCCCAAATCC | GAGCCCCATCAGAAAGAC |
| hsla | CTATGGTGAGACCTACGGTAAAC | TCCTGCTAAAGCCTGTGATT |
| lpl | AGTCCGATCAACACGAAGC | GGTGCCGTTCCCATTTAG |
| cpt1a | CGCTCCTGCTCCAATGAGA | GAGACCACATAGAGGCAGAAGA |
| fatp1 | CCACTGGGCTCAGAATCAAG | CAAGTTCAGCTCCAAAGACAATA |
| srebp1 | TGCTATGCGGAGGTTATTCATC | GTTGCTCTGCGTCGTAGTG |
| ppar γ | TTCTTCCACAGTTGCCAGTC | GTTCATCAGAGGAGCCATCA |
| 18s | TTCGATGGTACTTTCTGTGC | CTGCCTTCCTTGGATGTG |
| α-tubulin | CACTTCCCTCTTGCCACCTA | ACGGTACAGGAGACAACAGG |
| β-actin | GTGCGTGACATCAAGGAGAAG | CGAGGAAGGATGGCTGGAA |
Disclaimer/Publisher’s Note: The statements, opinions and data contained in all publications are solely those of the individual author(s) and contributor(s) and not of MDPI and/or the editor(s). MDPI and/or the editor(s) disclaim responsibility for any injury to people or property resulting from any ideas, methods, instructions or products referred to in the content. |
© 2024 by the authors. Licensee MDPI, Basel, Switzerland. This article is an open access article distributed under the terms and conditions of the Creative Commons Attribution (CC BY) license (https://creativecommons.org/licenses/by/4.0/).
Share and Cite
Cui, X.; Huang, X.; Chen, X.; Li, H.; Wu, Y.; Yang, Z.; Liu, Z.; Feng, R.; Xu, J.; Wei, C.; et al. Influence of Starvation on Biochemical, Physiological, Morphological, and Transcriptional Responses Associated with Glucose and Lipid Metabolism in the Liver of Javelin Goby (Synechogobius hasta). Animals 2024, 14, 2734. https://doi.org/10.3390/ani14182734
Cui X, Huang X, Chen X, Li H, Wu Y, Yang Z, Liu Z, Feng R, Xu J, Wei C, et al. Influence of Starvation on Biochemical, Physiological, Morphological, and Transcriptional Responses Associated with Glucose and Lipid Metabolism in the Liver of Javelin Goby (Synechogobius hasta). Animals. 2024; 14(18):2734. https://doi.org/10.3390/ani14182734
Chicago/Turabian StyleCui, Xiangyu, Xiaoyang Huang, Xiangning Chen, Honghui Li, Yanru Wu, Zikui Yang, Zhiyu Liu, Rui Feng, Jianhe Xu, Chaoqing Wei, and et al. 2024. "Influence of Starvation on Biochemical, Physiological, Morphological, and Transcriptional Responses Associated with Glucose and Lipid Metabolism in the Liver of Javelin Goby (Synechogobius hasta)" Animals 14, no. 18: 2734. https://doi.org/10.3390/ani14182734
APA StyleCui, X., Huang, X., Chen, X., Li, H., Wu, Y., Yang, Z., Liu, Z., Feng, R., Xu, J., Wei, C., Ding, Z., & Cheng, H. (2024). Influence of Starvation on Biochemical, Physiological, Morphological, and Transcriptional Responses Associated with Glucose and Lipid Metabolism in the Liver of Javelin Goby (Synechogobius hasta). Animals, 14(18), 2734. https://doi.org/10.3390/ani14182734

