Establishment and Application of Mismatch Amplification Mutation Assay-PCR for Rapid Detection and Differentiation of Duck Hepatitis A Virus-1 Attenuated Vaccine and Wild Strains
Abstract
Simple Summary
Abstract
1. Introduction
2. Materials and Methods
2.1. Virus Strains
2.2. Sequence Analysis and Primer Design
2.3. RNA Extraction and Reverse Transcription
2.4. Establishment of MAMA-PCR Method
2.5. Specificity and Sensitivity of MAMA-PCR
2.6. Detection of Clinical Samples
3. Results
3.1. Establishment of the MAMA-PCR
3.2. Evaluation of MAMA-PCR Specificity and Sensitivity
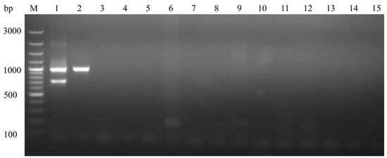
3.3. Detection in Clinical Samples
4. Discussion
5. Conclusions
Supplementary Materials
Author Contributions
Funding
Institutional Review Board Statement
Informed Consent Statement
Data Availability Statement
Conflicts of Interest
References
- Yugo, D.M.; Hauck, R.; Shivaprasad, H.L.; Meng, X.J. Hepatitis virus infections in poultry. Avian Dis. 2016, 60, 576–588. [Google Scholar] [CrossRef] [PubMed]
- WOAH. Duck Virus Hepatitis. Manual of Diagnostic Tests and Vaccines for Terrestrial Animals, Twelfth Edition 2023. (Chapter 3.3.8). 2023. Available online: https://www.woah.org/fileadmin/Home/eng/Health_standards/tahm/3.03.08_DVH.pdf (accessed on 21 June 2024).
- Li, X.; Zhao, R.; Lin, W.; Li, C.; Zhang, T.; Meng, F.; Liu, M.; Zhang, Y. Evidence of VP1 of duck hepatitis A type 1 virus as a target of neutralizing antibodies and involving receptor-binding activity. Virus Res. 2017, 227, 240–244. [Google Scholar] [CrossRef]
- Kim, M.C.; Kwon, Y.K.; Joh, S.J.; Lindberg, A.M.; Kwon, J.H.; Kim, J.H.; Kim, S.J. Molecular analysis of duck hepatitis virus type 1 reveals a novel lineage close to the genus Parechovirus in the family Picornaviridae. J. Gen. Virol. 2006, 87, 3307–3316. [Google Scholar] [CrossRef]
- Wang, L.; Pan, M.; Fu, Y.; Zhang, D. Classification of duck hepatitis virus into three genotypes based on molecular evolutionary analysis. Virus Genes 2008, 37, 52–59. [Google Scholar] [CrossRef]
- Zhang, T.; Li, X.; Wu, X.; Shaozhou, W.; Bai, X.; Liu, S.; Liu, M.; Zhang, Y. Characterization of monoclonal antibodies against duck hepatitis type 1 virus VP1 protein. J. Virol. Methods 2014, 208, 166–170. [Google Scholar] [CrossRef] [PubMed]
- Wen, Y.; Kong, J.; Shen, Y.; He, J.; Shao, G.; Feng, K.; Xie, Q.; Zhang, X. Construction and immune evaluation of the recombinant duck adenovirus type 3 delivering capsid protein VP1 of the type 1 duck hepatitis virus. Poult. Sci. 2023, 102, 103117. [Google Scholar] [CrossRef] [PubMed]
- Zhang, Y.; Wu, S.; Liu, W.; Hu, Z. Current status and future direction of duck hepatitis A virus vaccines. Avian Pathol. 2023, 52, 89–99. [Google Scholar] [CrossRef]
- Kang, M.; Roh, J.H.; Jang, H.K. Protective efficacy of a bivalent live attenuated vaccine against duck hepatitis A virus types 1 and 3 in ducklings. Vet. Microbiol. 2018, 214, 108–112. [Google Scholar] [CrossRef]
- Wen, X.; Zhu, D.; Cheng, A.; Wang, M.; Chen, S.; Jia, R.; Liu, M.; Sun, K.; Zhao, X.; Yang, Q. Molecular epidemiology of duck hepatitis a virus types 1 and 3 in China, 2010–2015. Transbound. Emerg. Dis. 2018, 65, 10–15. [Google Scholar] [CrossRef]
- Li, J.; Bi, Y.; Chen, C.; Yang, L.; Ding, C.; Liu, W. Genetic characterization of duck hepatitis A viruses isolated in China. Virus Res. 2013, 178, 211–216. [Google Scholar] [CrossRef]
- Ou, X.; Wang, M.; Mao, S.; Cao, J.; Cheng, A.; Zhu, D.; Chen, S.; Jia, R.; Liu, M.; Yang, Q. Incompatible translation drives a convergent evolution and viral attenuation during the development of live attenuated vaccine. Front. Cell. Infect. Microbiol. 2018, 8, 249. [Google Scholar] [CrossRef] [PubMed]
- Birdsell, D.N.; Pearson, T.; Price, E.P.; Hornstra, H.M.; Nera, R.D.; Stone, N.; Gruendike, J.; Kaufman, E.L.; Pettus, A.H.; Hurbon, A.N. Melt analysis of mismatch amplification mutation assays (Melt-MAMA): A functional study of a cost-effective SNP genotyping assay in bacterial models. PLoS ONE 2012, 7, e32866. [Google Scholar] [CrossRef] [PubMed]
- Bekő, K.; Kovács, Á.B.; Kreizinger, Z.; Marton, S.; Bányai, K.; Bánáti, L.; Catania, S.; Bradbury, J.; Lysnyansky, I.; Olaogun, O.M. Development of mismatch amplification mutation assay for the rapid differentiation of Mycoplasma gallisepticum K vaccine strain from field isolates. Avian Pathol. 2020, 49, 317–324. [Google Scholar] [CrossRef] [PubMed]
- Kreizinger, Z.; Sulyok, K.M.; Grozner, D.; Bekő, K.; Dan, A.; Szabo, Z.; Gyuranecz, M. Development of mismatch amplification mutation assays for the differentiation of MS1 vaccine strain from wild-type Mycoplasma synoviae and MS-H vaccine strains. PLoS ONE 2017, 12, e0175969. [Google Scholar] [CrossRef]
- Cha, R.S.; Zarbl, H.; Keohavong, P.; Thilly, W.G. Mismatch amplification mutation assay (MAMA): Application to the cH-ras gene. Genome Res. 1992, 2, 14–20. [Google Scholar] [CrossRef]
- Yang, C.; Shah, P.T.; Bahoussi, A.N.; Wu, C.; Wang, L.; Xing, L. Duck hepatitis a virus: Full-length genome-based phylogenetic and phylogeographic view during 1986–2020. Virus Res. 2023, 336, 199216. [Google Scholar] [CrossRef]
- Park, N. Occurrence of duck virus hepatitis in Korea. Korean J. Vet. Res. 1985, 25, 171–174. [Google Scholar]
- Sung, H.W.; Kim, J.H.; Song, C.S.; Han, M.G.; Lee, Y.J.; Mo, I.P.; Kim, K.S. Development of a live vaccine strain of duck viral hepatitis using a Korean isolate. Korean J. Vet. Res. 2000, 40, 110–116. [Google Scholar]
- Soliman, M.; Alfajaro, M.M.; Lee, M.H.; Jeong, Y.J.; Kim, D.S.; Son, K.Y.; Kwon, J.; Choi, J.S.; Lim, J.S.; Choi, J.S. The prevalence of duck hepatitis A virus types 1 and 3 on Korean duck farms. Arch. Virol. 2015, 160, 493–498. [Google Scholar] [CrossRef]
- Reed, L.J.; Muench, H. A simple method of estimating fifty per cent endpoints. Am. J. Epidemiol. 1938, 27, 493–495. [Google Scholar] [CrossRef]
- Jin, X.; Zhang, W.; Zhang, W.; Gu, C.; Cheng, G.; Hu, X. Identification and molecular analysis of the highly pathogenic duck hepatitis virus type 1 in Hubei province of China. Res. Vet. Sci. 2008, 85, 595–598. [Google Scholar] [CrossRef] [PubMed]
- Ayyadevara, S.; Thaden, J.J.; Reis, R.J.S. Discrimination of primer 3′-nucleotide mismatch by Taq DNA polymerase during polymerase chain reaction. Anal. Biochem. 2000, 284, 11–18. [Google Scholar] [CrossRef]
- Kwok, S.; Kellogg, D.; McKinney, N.; Spasic, D.; Goda, L.; Levenson, C.; Sninsky, J. Effects of primer-template mismatches on the polymerase chain reaction: Human immunodeficiency virus type 1 model studies. Nucleic Acids Res. 1990, 18, 999–1005. [Google Scholar] [CrossRef] [PubMed]
- Okimoto, R.; Dodgson, J.B. Improved PCR amplification of multiple specific alleles (PAMSA) using internally mismatched primers. BioTechniques 1996, 21, 20–26. [Google Scholar] [CrossRef] [PubMed]
- Kim, M.C.; Kwon, Y.K.; Joh, S.J.; Kwon, J.H.; Kim, J.H.; Kim, S.J. Development of one-step reverse transcriptase–polymerase chain reaction to detect duck hepatitis virus type 1. Avian Dis. 2007, 51, 540–545. [Google Scholar] [CrossRef]
- Soliman, M.; Park, J.G.; Park, S.I. Comparative Pathogenicity of Duck Hepatitis A Virus Type 1 and 3 Infections in South Korea. Pak. Vet. J. 2019, 39, 271–277. [Google Scholar] [CrossRef]
- Patil, S.S.; Shinduja, R.; Suresh, K.P.; Phukan, S.; Kumar, S.; Sengupta, P.P.; Amachawadi, R.G.; Raut, A.; Roy, P.; Syed, A. A systematic review and meta-analysis on the prevalence of infectious diseases of Duck: A world perspective. Saudi J. Biol. Sci. 2021, 28, 5131–5144. [Google Scholar] [CrossRef] [PubMed]
- Mansour, S.M.; Ali, H.; ElBakrey, R.M.; El-Araby, I.E.; Knudsen, D.E.; Eid, A.A. Co-infection of highly pathogenic avian influenza and duck hepatitis viruses in Egyptian backyard and commercial ducks. Int. J. Vet. Sci. Med. 2018, 6, 301–306. [Google Scholar] [CrossRef]
- Yang, F.; Liu, P.; Li, X.; Liu, R.; Gao, L.; Cui, H.; Zhang, Y.; Liu, C.; Qi, X.; Pan, Q. Recombinant duck enteritis virus-vectored bivalent vaccine effectively protects against duck hepatitis a virus infection in ducks. Front. Microbiol. 2021, 12, 813010. [Google Scholar] [CrossRef]
- Zhang, X.; Jiang, S.; Wu, J.; Zhao, Q.; Sun, Y.; Kong, Y.; Li, X.; Yao, M.; Chai, T. An investigation of duck circovirus and co-infection in Cherry Valley ducks in Shandong Province, China. Vet. Microbiol. 2009, 133, 252–256. [Google Scholar] [CrossRef]
- Gimeno, I.M.; Dunn, J.R.; Cortes, A.L.; El-Gohary, A.E.-G.; Silva, R.F. Detection and differentiation of CVI988 (Rispens vaccine) from other serotype 1 Marek’s disease viruses. Avian Dis. 2014, 58, 232–243. [Google Scholar] [CrossRef] [PubMed]
- Zhang, X.; Huang, X.; Yin, X.; Lu, C. Horizontal transmission of attenuated strain A66 of duck hepatitis virus. Jiangsu J. Agr. Sci. 2011, 27, 813–817. [Google Scholar]
- Tsai, H.J.; Swayne, D. Duck hepatitis. Diseases of Poultry, 14th ed.; Wiley-Blackwell: Hoboken, NJ, USA, 2020; pp. 450–460. [Google Scholar]
- Hong, Y.; Kang, M.; Jang, H. Pathogenesis of duck circovirus genotype 1 in experimentally infected Pekin ducks. Poult. Sci. 2018, 97, 3050–3057. [Google Scholar] [CrossRef] [PubMed]
- Haghighat-Jahromi, M.; Asasi, K.; Nili, H.; Dadras, H.; Shooshtari, A. Coinfection of avian influenza virus (H9N2 subtype) with infectious bronchitis live vaccine. Arch. Virol. 2008, 153, 651–655. [Google Scholar] [CrossRef]
- Shen, M.; Gao, P.; Wang, C.; Li, N.; Zhang, S.; Jiang, Y.; Liu, D.; Jia, B.; Xu, L.; Huang, B. Pathogenicity of duck circovirus and fowl adenovirus serotype 4 co-infection in Cherry Valley ducks. Vet. Microbiol. 2023, 279, 109662. [Google Scholar] [CrossRef]
- Rajendran, R.; Srinivasan, J.; Natarajan, J.; Govindan, K.; Kumaragurubaran, K.; Muthukrishnan, M.; Seeralan, M.; Subbiah, M.; Sundaram, R.S.; Rao, P.L.; et al. First report of Duck Hepatitis A virus genotype 2 in India. Vet Res. Commun. 2023, 47, 1231–1241. [Google Scholar] [CrossRef]
- Tao, Z.; Zhu, C.; Xu, W.; Shi, Z.; Zhang, S.; Song, W.; Liu, H.; Li, H. Riemerella anatipestifer infection affects intestinal barrier structure and immune reactions in the duck caecum. Avian Pathol. 2020, 49, 572–580. [Google Scholar] [CrossRef]
- Li, N.; Hong, T.; Wang, Y.; Wang, Y.; Yu, K.; Cai, Y.; Liu, S.; Wei, L.; Chai, T. The pathogenicity of novel duck reovirus in Cherry Valley ducks. Vet. Microbiol. 2016, 192, 181–185. [Google Scholar] [CrossRef]
- Wu, F.; Lu, F.; Fan, X.; Pan, Q.; Zhao, S.; Sun, H.; Zhang, J.; Liu, C.; Chao, J.; Zhang, X. Development of a live attenuated duck hepatitis A virus type 3 vaccine (strain SD70). Vaccine 2020, 38, 4695–4703. [Google Scholar] [CrossRef]
- Woolcock, P.; Crighton, G. Duck virus hepatitis: Serial passage of attenuated virus in ducklings. Vet. Rec. 1979, 105, 30–32. [Google Scholar] [CrossRef]
- Woolcock, P.; Crighton, G. Duck virus hepatitis: The effect of attenuation on virus stability in ducklings. Avian Pathol. 1981, 10, 113–119. [Google Scholar] [CrossRef] [PubMed]




| Group | Primer | Sequences (5′-3′) | Target Gene | Wild-Type Strain Size (bp) | Vaccine Strains Size (bp) |
|---|---|---|---|---|---|
| 1 | MAMA primer-F1 | CTGTGCAAGAGCTCGACCTCAAG | VP1 | 986 | 986 and 722 |
| DH1-VP1-C1 | CTGTGAATTCATCAGCCCCAT | ||||
| DH1-VP1-C2 | ACGTGGTGACAGTTTTGATTC | ||||
| 2 | MAMA primer-R1 | GCATGTCCTCTGTCTGGATCC | 986 and 307 | ||
| DH1-VP1-C1 | CTGTGAATTCATCAGCCCCAT | ||||
| DH1-VP1-C2 | ACGTGGTGACAGTTTTGATTC |
| VP1 Sequence (No.) | MAMA-PCR (No.) | ||||
|---|---|---|---|---|---|
| Vaccine | Wild | Negative | Total | ||
| Vaccine | 4 | 4 | 0 | 0 | 4 |
| Wild | 0 | 0 | 0 | 0 | 0 |
| Negative | 85 | 0 | 0 | 85 | 85 |
| Total | 89 | 4 | 0 | 85 | 89 |
Disclaimer/Publisher’s Note: The statements, opinions and data contained in all publications are solely those of the individual author(s) and contributor(s) and not of MDPI and/or the editor(s). MDPI and/or the editor(s) disclaim responsibility for any injury to people or property resulting from any ideas, methods, instructions or products referred to in the content. |
© 2024 by the authors. Licensee MDPI, Basel, Switzerland. This article is an open access article distributed under the terms and conditions of the Creative Commons Attribution (CC BY) license (https://creativecommons.org/licenses/by/4.0/).
Share and Cite
Yu, C.-D.; Choi, Y.-R.; Park, J.-Y.; Kim, S.-W.; Cha, S.-Y.; Jang, H.-K.; Kang, M.; Wei, B. Establishment and Application of Mismatch Amplification Mutation Assay-PCR for Rapid Detection and Differentiation of Duck Hepatitis A Virus-1 Attenuated Vaccine and Wild Strains. Animals 2024, 14, 2733. https://doi.org/10.3390/ani14182733
Yu C-D, Choi Y-R, Park J-Y, Kim S-W, Cha S-Y, Jang H-K, Kang M, Wei B. Establishment and Application of Mismatch Amplification Mutation Assay-PCR for Rapid Detection and Differentiation of Duck Hepatitis A Virus-1 Attenuated Vaccine and Wild Strains. Animals. 2024; 14(18):2733. https://doi.org/10.3390/ani14182733
Chicago/Turabian StyleYu, Cheng-Dong, Yu-Ri Choi, Jong-Yeol Park, Sang-Won Kim, Se-Yeoun Cha, Hyung-Kwan Jang, Min Kang, and Bai Wei. 2024. "Establishment and Application of Mismatch Amplification Mutation Assay-PCR for Rapid Detection and Differentiation of Duck Hepatitis A Virus-1 Attenuated Vaccine and Wild Strains" Animals 14, no. 18: 2733. https://doi.org/10.3390/ani14182733
APA StyleYu, C.-D., Choi, Y.-R., Park, J.-Y., Kim, S.-W., Cha, S.-Y., Jang, H.-K., Kang, M., & Wei, B. (2024). Establishment and Application of Mismatch Amplification Mutation Assay-PCR for Rapid Detection and Differentiation of Duck Hepatitis A Virus-1 Attenuated Vaccine and Wild Strains. Animals, 14(18), 2733. https://doi.org/10.3390/ani14182733

