Prevalence of Hypertrophic Cardiomyopathy and ALMS1 Variant in Sphynx Cats in New Zealand
Abstract
Simple Summary
Abstract
1. Introduction
2. Materials and Methods
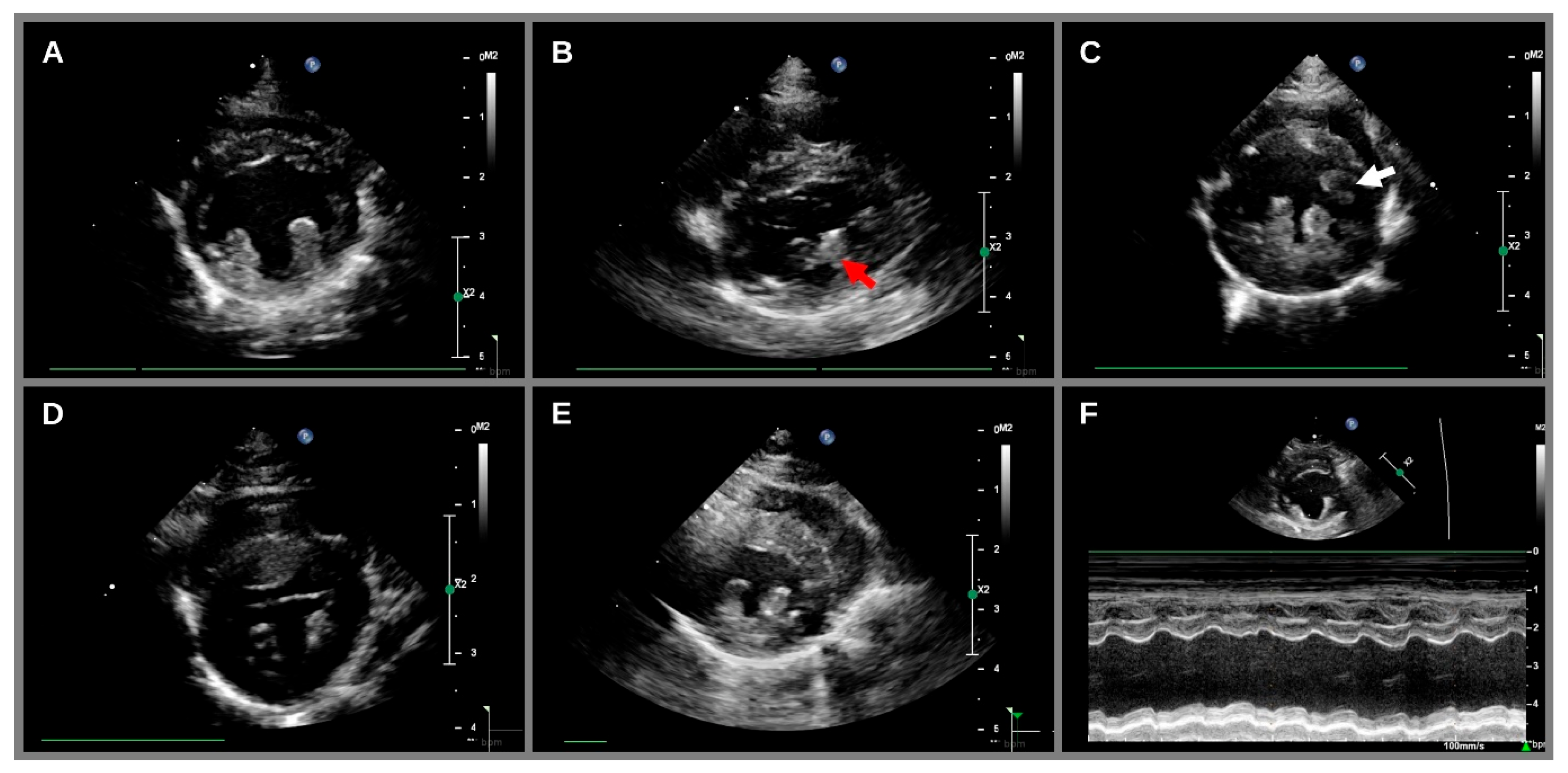
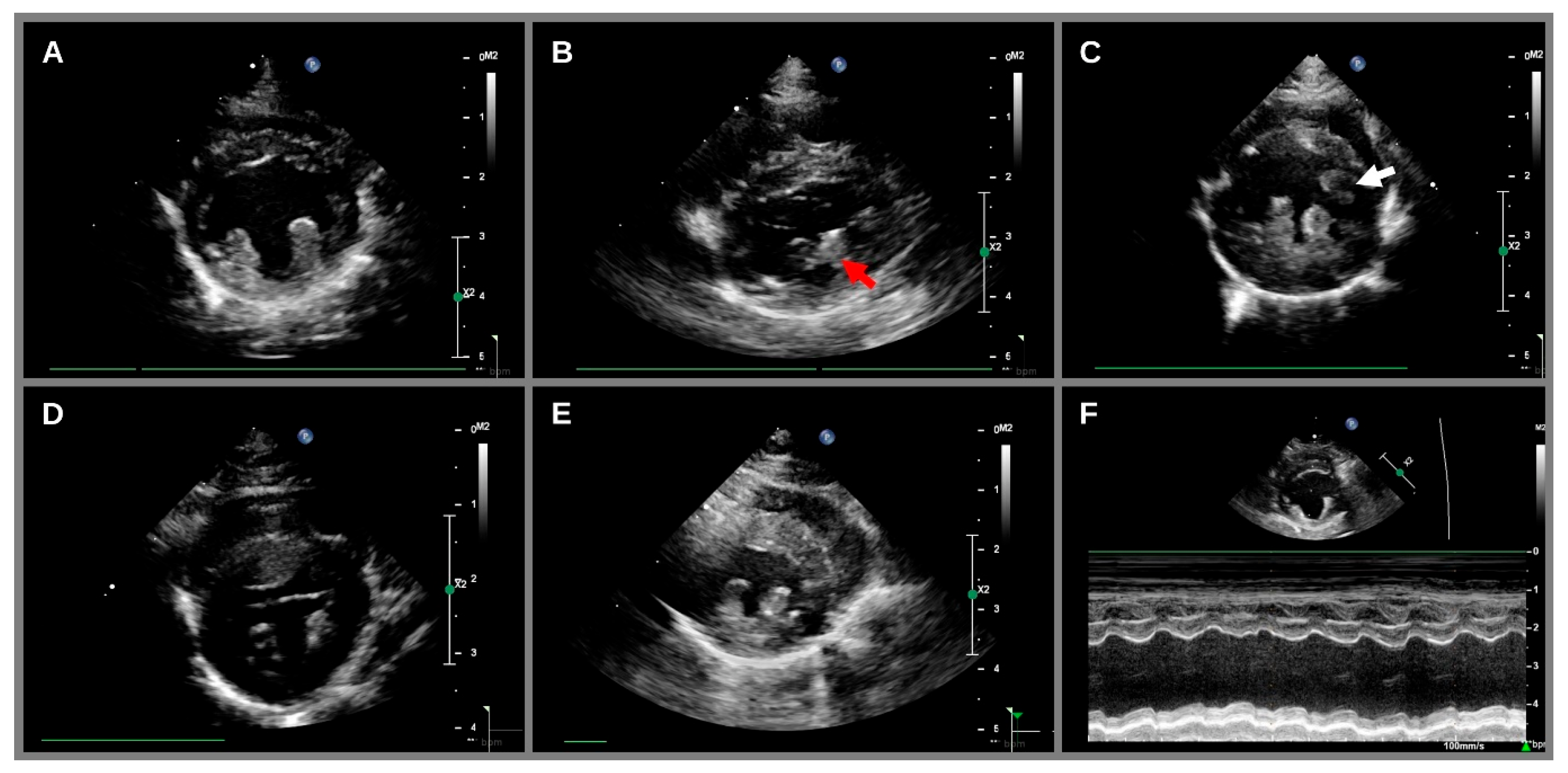
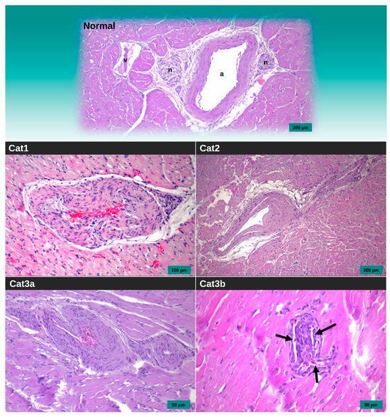
3. Results
4. Discussion
5. Conclusions
Supplementary Materials
Author Contributions
Funding
Institutional Review Board Statement
Informed Consent Statement
Data Availability Statement
Acknowledgments
Conflicts of Interest
References
- Payne, J.R.; Brodbelt, D.C.; Fuentes, V.L. Cardiomyopathy prevalence in 780 apparently healthy cats in rehoming centres (the CatScan study). J. Vet. Cardiol. 2015, 17, S244–S257. [Google Scholar] [CrossRef] [PubMed]
- Paige, C.F.; Abbott, J.A.; Elvinger, F.; Pyle, R.L. Prevalence of cardiomyopathy in apparently healthy cats. J. Am. Vet. Med. Assoc. 2009, 234, 1398–1403. [Google Scholar] [CrossRef] [PubMed]
- Chetboul, V.; Petit, A.; Gouni, V.; Trehiou-Sechi, E.; Misbach, C.; Balouka, D.; Sampedrano, C.C.; Pouchelon, J.L.; Tissier, R.; Abitbol, M. Prospective echocardiographic and tissue Doppler screening of a large Sphynx cat popu-lation: Reference ranges, heart disease prevalence and genetic aspects. J. Vet. Cardiol. 2012, 14, 497–509. [Google Scholar] [CrossRef] [PubMed]
- Trehiou-Sechi, E.; Tissier, R.; Gouni, V.; Misbach, C.; Petit, A.; Balouka, D.; Sampedrano, C.C.; Castaignet, M.; Pouchelon, J.; Chetboul, V. Comparative Echocardiographic and Clinical Features of Hypertrophic Cardiomyopathy in 5 Breeds of Cats: A Retrospective Analysis of 344 Cases (2001–2011). J. Vet. Intern. Med. 2012, 26, 532–541. [Google Scholar] [CrossRef] [PubMed]
- Silverman, S.J.; A Stern, J.; Meurs, K.M. Hypertrophic cardiomyopathy in the Sphynx cat: A retrospective evaluation of clinical presentation and heritable etiology. J. Feline Med. Surg. 2012, 14, 246–249. [Google Scholar] [CrossRef]
- Meurs, K.M.; Williams, B.G.; DeProspero, D.; Friedenberg, S.G.; Malarkey, D.E.; Ezzell, J.A.; Keene, B.W.; Adin, D.B.; DeFrancesco, T.C.; Tou, S. A deleterious mutation in the ALMS1 gene in a naturally occurring model of hypertrophic cardiomyopathy in the Sphynx cat. Orphanet J. Rare Dis. 2021, 16, 108. [Google Scholar] [CrossRef]
- Valverde, D.; Alvarez-Satta, M.; Castro-Sánchez, S. Alström syndrome: Current perspectives. Appl. Clin. Genet. 2015, 8, 171–179. [Google Scholar] [CrossRef]
- Seo, J.; Matos, J.N.; Payne, J.R.; Fuentes, V.L.; Connolly, D.J. Anterior mitral valve leaflet length in cats with hypertrophic cardiomyopathy. J. Vet. Cardiol. 2021, 37, 62–70. [Google Scholar] [CrossRef]
- Novo Matos, J.; Payne, J.R.; Seo, J.; Luis Fuentes, V. Natural history of hypertrophic cardiomyopathy in cats from rehoming centers: The CatScan II study. J. Vet. Intern. Med. 2022, 36, 1900–1912. [Google Scholar] [CrossRef]
- Boeykens, F.; Abitbol, M.; Anderson, H.; Dargar, T.; Ferrari, P.; Fox, P.R.; Hayward, J.J.; Häggström, J.; Davison, S.; Kittleson, M.D.; et al. Classification of feline hypertrophic cardiomyopathy-associated gene variants ac-cording to the American College of Medical Genetics and Genomics guidelines. Front. Vet. Sci. 2024, 11, 1327081. [Google Scholar]
- Turba, M.E.; Ferrari, P.; Milanesi, R.; Gentilini, F.; Longeri, M. HCM-associated ALMS1 variant: Allele drop-out and frequency in Italian Sphynx cats. Anim. Genet. 2023, 54, 643–646. [Google Scholar] [CrossRef] [PubMed]
- Kempker, L.; Aupperle-Lellbach, A.U.; Pocknell, P.O.; Van de Weyer, A.V.; Kempker, K.K.; Beitzinger, C.B. The good, the bad and the breeder—Development of genetic HCM-variants in cat populations from routine testing in the last 10 years. In Proceedings of the 33rd ECVIM-CA Congress, Barcelona, Spain, 21–23 September 2023. [Google Scholar]
- Fuentes, V.L.; Abbott, J.; Chetboul, V.; Côté, E.; Fox, P.R.; Häggström, J.; Kittleson, M.D.; Schober, K.; Stern, J.A. ACVIM consensus statement guidelines for the classification, diagnosis, and management of cardiomyopathies in cats. J. Vet. Intern. Med. 2020, 34, 1062–1077. [Google Scholar] [CrossRef] [PubMed]
- Acierno, M.J.; Brown, S.; Coleman, A.E.; Jepson, R.E.; Papich, M.; Stepien, R.L.; Syme, H.M. ACVIM consensus statement: Guidelines for the identification, evaluation, and management of systemic hypertension in dogs and cats. J. Vet. Intern. Med. 2018, 32, 1803–1822. [Google Scholar] [CrossRef] [PubMed]
- Thomas, W.P.; Gaber, C.E.; Jacobs, G.J.; Kaplan, P.M.; Lombard, C.W.; Vet, M.; Moise, N.S.; Moses, B.L. Recommendations for Standards in Transthoracic Two-Dimensional Echocardiography in the Dog and Cat. J. Vet. Intern. Med. 1993, 7, 247–252. [Google Scholar] [CrossRef]
- Hansson, K.; Häggström, J.; Kvart, C.; Lord, P. Left atrial to aortic root indices using two-dimensional and M-mode echocardiography in cavalier King Charles spaniels with and without left atrial enlargement. Vet. Radiol. Ultrasound 2002, 43, 568–575. [Google Scholar] [CrossRef]
- Campbell, F.E.; Kittleson, M.D. The effect of hydration status on the echocardiographic measurements of normal cats. J. Vet. Intern. Med. 2007, 21, 1008–1015. [Google Scholar] [CrossRef]
- Seo, J.; Payne, J.R.; Novo Matos, J.; Fong, W.W.; Connolly, D.J.; Luis Fuentes, V. Biomarker changes with systolic anterior motion of the mitral valve in cats with hyper-trophic cardiomyopathy. J. Vet. Intern. Med. 2020, 34, 1718–1727. [Google Scholar] [CrossRef]
- Schober, K.; Todd, A. Echocardiographic assessment of left ventricular geometry and the mitral valve apparatus in cats with hypertrophic cardiomyopathy. J. Vet. Cardiol. 2010, 12, 1–16. [Google Scholar] [CrossRef]
- Reinero, C.; Visser, L.C.; Kellihan, H.B.; Masseau, I.; Rozanski, E.; Clercx, C.; Williams, K.; Abbott, J.; Borgarelli, M.; Scansen, B.A. ACVIM consensus statement guidelines for the diagnosis, classification, treatment, and monitoring of pulmonary hypertension in dogs. J. Vet. Intern. Med. 2020, 34, 549–573. [Google Scholar] [CrossRef]
- Moise, N.S.; Dietze, A.E.; Mezza, L.E.; Strickland, D.; Erb, H.N.; Edwards, N.J. Echocardiography, electrocardiography, and radiography of cats with dilatation car-diomyopathy, hypertrophic cardiomyopathy, and hyperthyroidism. Am. J. Vet. Res. 1986, 47, 1476–1486. [Google Scholar]
- Matos, J.N.; Sargent, J.; Silva, J.; Payne, J.R.; Seo, J.; Spalla, I.; Borgeat, K.; Loureiro, J.; Pereira, N.; Simcock, I.C.; et al. Thin and hypokinetic myocardial segments in cats with cardiomyopathy. J. Vet. Cardiol. 2023, 46, 5–17. [Google Scholar] [CrossRef] [PubMed]
- Cesta, M.F.; Baty, C.J.; Keene, B.W.; Smoak, I.W.; Malarkey, D.E. Pathology of End-stage Remodeling in a Family of Cats with Hypertrophic Cardiomyopathy. Vet. Pathol. 2005, 42, 458–467. [Google Scholar] [CrossRef] [PubMed]
- Romito, G.; Elmi, A.; Guglielmini, C.; Poser, H.; Valente, C.; Castagna, P.; Mazzoldi, C.; Cipone, M. Transient myocardial thickening: A retrospective analysis on etiological, clinical, laboratory, therapeutic, and outcome findings in 27 cats. J. Vet. Cardiol. 2023, 50, 51–62. [Google Scholar] [CrossRef] [PubMed]
- Novo Matos, J.; Pereira, N.; Glaus, T.; Wilkie, L.; Borgeat, K.; Loureiro, J.; Silva, J.; Law, V.; Kranjc, A.; Connolly, D.J.; et al. Transient Myocardial Thickening in Cats Associated with Heart Failure. J. Vet. Intern. Med. 2017, 32, 48–56. [Google Scholar] [CrossRef]
- Teng, K.T.-Y.; Brodbelt, D.C.; Church, D.B.; O’neill, D.G. Life tables of annual life expectancy and risk factors for mortality in cats in the UK. J. Feline Med. Surg. 2024, 26, 1098612X241234556. [Google Scholar] [CrossRef]
- Fox, P.R.; Keene, B.W.; Lamb, K.; Schober, K.A.; Chetboul, V.; Fuentes, V.L.; Wess, G.; Payne, J.R.; Hogan, D.F.; Motsinger-Reif, A.; et al. International collaborative study to assess cardiovascular risk and evaluate long-term health in cats with preclinical hypertrophic cardiomyopathy and apparently healthy cats: The REVEAL Study. J. Vet. Intern. Med. 2018, 32, 930–943. [Google Scholar] [CrossRef]
- Godo, S.; Suda, A.; Takahashi, J.; Yasuda, S.; Shimokawa, H. Coronary Microvascular Dysfunction. Arterioscler. Thromb. Vasc. Biol. 2021, 41, 1625–1637. [Google Scholar] [CrossRef]
- Pelliccia, F.; Cecchi, F.; Olivotto, I.; Camici, P.G. Microvascular Dysfunction in Hypertrophic Cardiomyopathy. J. Clin. Med. 2022, 11, 6560. [Google Scholar] [CrossRef]
- Kittleson, M.D.; Meurs, K.M.; Munro, M.J.; Kittleson, J.A.; Liu, S.K.; Pion, P.D.; Towbin, J.A. Familial hypertrophic cardiomyopathy in maine coon cats: An animal model of human disease. Circulation 1999, 99, 3172–3180. [Google Scholar] [CrossRef]
- Liu, S.K.; Roberts, W.C.; Maron, B.J. Comparison of morphologic findings in spontaneously occurring hypertrophic cardio-myopathy in humans, cats and dogs. Am. J. Cardiol. 1993, 72, 944–951. [Google Scholar] [CrossRef]
- Galati, G.; Leone, O.; Pasquale, F.; Olivotto, I.; Biagini, E.; Grigioni, F.; Pilato, E.; Lorenzini, M.; Corti, B.; Foà, A.; et al. Histological and Histometric Characterization of Myocardial Fibrosis in End-Stage Hy-pertrophic Cardiomyopathy: A Clinical-Pathological Study of 30 Explanted Hearts. Circ. Heart Fail. 2016, 9, e003090. [Google Scholar] [CrossRef] [PubMed]
- Matos, J.N.; Garcia-Canadilla, P.; Simcock, I.C.; Hutchinson, J.C.; Dobromylskyj, M.; Guy, A.; Arthurs, O.J.; Cook, A.C.; Fuentes, V.L. Micro-computed tomography (micro-CT) for the assessment of myocardial disarray, fibrosis and ventricular mass in a feline model of hypertrophic cardiomyopathy. Sci. Rep. 2020, 10, 20169. [Google Scholar] [CrossRef]
- Fox, P.R. Endomyocardial fibrosis and restrictive cardiomyopathy: Pathologic and clinical features. J. Vet. Cardiol. 2004, 6, 25–31. [Google Scholar] [CrossRef] [PubMed]
- Cui, H.; Schaff, H.V.; Lentz Carvalho, J.; Nishimura, R.A.; Geske, J.B.; Dearani, J.A.; Lahr, B.D.; Lee, A.T.; Bos, J.M.; Ackerman, M.J.; et al. Myocardial Histopathology in Patients With Obstructive Hypertrophic Cardiomy-opathy. J. Am. Coll. Cardiol. 2021, 77, 2159–2170. [Google Scholar] [CrossRef]
- Mocumbi, A.O.; Stothard, J.R.; Correia-de-Sá, P.; Yacoub, M. Endomyocardial Fibrosis: An Update After 70 Years. Curr. Cardiol. Rep. 2019, 21, 148. [Google Scholar] [CrossRef]
- Fox, P.R.; Liu, S.-K.; Maron, B.J. Echocardiographic Assessment of Spontaneously Occurring Feline Hypertrophic Cardiomyopathy. Circulation 1995, 92, 2645–2651. [Google Scholar] [CrossRef]
- Salemi, V.M.; Iglezias, S.D.; Benvenuti, L.A.; Ferreira Filho, J.C.; Rochitte, C.E.; Shiozaki, A.A.; Mady, C. An unusual association of endomyocardial fibrosis and hypertrophic cardiomyopathy in a patient with heart failure. Cardiovasc. Pathol. 2012, 21, e23–e25. [Google Scholar] [CrossRef]
- Häggström, J.; Fuentes, V.L.; Wess, G. Screening for hypertrophic cardiomyopathy in cats. J. Vet. Cardiol. 2015, 17, S134–S149. [Google Scholar] [CrossRef]






| Normal Echocardiogram (n = 43) | HCM (n = 12) | p Value | |
|---|---|---|---|
| Age (years) | 3.3 (0.5–11.1) | 5.3 (1.9–9.7) | 0.089 |
| Follow-up period (years) | 1.8 (1.7–2.2) | 1.8 (1.6–2.2) | 0.210 |
| Sex (Male:Female) | 15:28 | 8:4 | 0.048 |
| Neutered males (%) | 13/15 (86.7%) | 7/8 (87.5%) | 0.955 |
| Neutered females (%) | 18/28 (64.3%) | 4/4 (100%) | - |
| Weight (kg) | 4.8 (±1.4) | 5.0 (±1.2) | 0.573 |
| BCS (/9) | 5 (4–6) | 5 (4–5) | 0.076 |
| Murmur (%) | 4/43 (9.3%) | 8/12 (66.7%) | <0.001 |
| Murmur grade (1/2/3/4/5/6) | 0/3/1/0/0/0 | 0/5/3/0/0/0 | <0.001 |
| Arrhythmia (%) | 0 | 1/12 (8.3%) | - |
| Heart rate (/min) | 224.3 (±20.8) | 211.1 (±30.7) | 0.183 |
| LA/Ao | 1.4 (±0.1) | 1.5 (±0.2) | 0.132 |
| LA FS% | 30.5 (±5.5) | 24.8 (±7.0) | 0.019 |
| LAD Max (mm) | 14.7 (11.4–17.3) | 15.5 (13.3–19.8) | 0.026 |
| LVWT (mm) | 4.9 (3.8–5.9) | 6.7 (6.0–7.7) | - |
| LVIDd (mm) | 16.0 (±2.1) | 15.5 (±2.4) | 0.493 |
| LVIDs (mm) | 7.0 (±1.9) | 5.8 (±1.9) | 0.080 |
| LV FS% | 56.6 (±9.2) | 63.2 (±7.7) | 0.020 |
| LVOT Vmax (m/s) | 1.3 (0.9–1.9) | 1.4 (1.1–4.2) | 0.122 |
| RVOT Vmax (m/s) | 1.2 (0.7–2.0) | 1.4 (0.8–1.9) | 0.212 |
| AMVL (mm) | 7.8 (±0.9) | 8.9 (±0.8) | <0.001 |
| SAM | 0 | 2/12 (16.7%) | - |
| Fused papillary muscles | 4/43 (9.3%) | 1/12 (8.3%) | 0.683 |
| DUST | 1/43 (2.3%) | 2/12 (16.7%) | |
| ALMS1 Positive (%) | 31/43 (72.1%) | 8/12 (66.7%) | 0.714 |
| ALMS1 (WT/Het/Hom) | 12/22/9 | 4/7/1 | 0.605 |
| Normal Echocardiogram at Baseline (n = 35) | HCM at Baseline (n = 7) | |||||
|---|---|---|---|---|---|---|
| Baseline | Recheck | p Value | Baseline | Recheck | p Value | |
| Age (years) | 3.3 (0.5–11.1) | 5.0 (2.4–13.1) | - | 5.5 (±2.9) | 7.3 (±3.1) | - |
| Weight (kg) | 4.4 (±1.3) | 4.7 (±1.3) | 0.086 | 4.5 (±1.1) | 4.6 (±0.8) | 0.968 |
| BCS (/9) | 5 (4–6) | 5 (4–8) | 0.003 | 5 (4–5) | 5 (5–5) | - |
| Murmur (%) | 3/35 (8.6%) | 2/35 (5.7%) | 0.166 | 4/7 (57.1%) | 1/7 (14.3%) | 1.000 |
| Grade (1–6) | 0 (0–3) | 0 (0–2) | 0.021 | 2 (0–3) | 0 (0–2) | 0.459 |
| Heart rate (/min) | 225.6 (±22.3) | 217.9 (±22.8) | 0.054 | 206.7 (±33.2) | 206.6 (±15.1) | 0.990 |
| LA/Ao | 1.4 (±0.1) | 1.4 (±0.2) | 0.086 | 1.5 (±0.2) | 1.6 (±0.3) | 0.125 |
| LA FS% | 30.7 (±5.4) | 28.9 (±6.5) | 0.148 | 26.8 (±4.7) | 28.3 (±5.1) | 0.543 |
| LAD Max (mm) | 14.4 (±1.7) | 15.3 (±1.9) | <0.001 | 16.1 (±2.2) | 17.0 (±3.9) | 0.366 |
| LVWT (mm) | 5.1 (±0.5) | 5.3 (±0.8) | 0.063 | 6.3 (6.0–7.7) | 6.1 (5.6–9.4) | 0.866 |
| LVIDd (mm) | 15.7 (11.7–19.6) | 15.6 (13.0–23.9) | 0.902 | 15.6 (±2.9) | 15.8 (±3.8) | 0.832 |
| LVIDs (mm) | 6.6 (3.9–10.6) | 7.2 (2.9–18.0) | 0.093 | 5.8 (±2.0) | 5.1 (±2.5) | 0.579 |
| LV FS% | 56.9 (±7.7) | 53.5 (±10.6) | 0.070 | 63.5 (±6.9) | 58.5 (±12.0) | 0.121 |
| LVOT Vmax (m/s) | 1.3 (0.9–1.9) | 1.2 (0.8–1.8) | 0.003 | 1.3 (1.1–4.2) | 1.3 (1.0–2.0) | 0.091 |
| RVOT Vmax (m/s) | 1.2 (0.8–2.0) | 1.2 (0.7–1.6) | 0.131 | 1.3 (±0.3) | 1.2 (±0.3) | 0.091 |
| AMVL (mm) | 7.7 (±1.0) | 7.5 (±0.6) | 0.186 | 8.9 (±0.6) | 9.0 (±1.1) | 0.915 |
| HCM (%) | 0 | 11/35 (31.4%) | - | 7/7 (100%) | 6/7 (85.7%) | - |
| HCM (LVH-IVS) | 0 | 4/11 (36.4%) | - | 5/7 (71.4%) | 2/6 (33.3%) | - |
| HCM (LVH-LVFW) | 0 | 5/11 (45.5%) | - | 1/7 (14.3%) | 1/6 (16.7%) | - |
| HCM (LVH-Generalized) | 0 | 2/11 (18.2%) | - | 1/7 (14.3%) | 3/6 (50.0%) | - |
| SAM (%) | 0 | 0 | - | 1/7 (14.3%) | 2/7 (28.6%) | - |
| LVWT | AMVL | LA FS% | |
|---|---|---|---|
| Age (years) | 0.270 | 0.828 | 0.867 |
| Sex (Male:Female) | 0.007 * | 0.012 * | 0.139 * |
| Weight (kg) | 0.035 * | 0.104 * | 0.200 * |
| BCS (/9) | 0.301 | 0.907 | 0.916 |
| Murmur (%) | 0.004 * | 0.370 | 0.489 |
| Grade (1/2/3/4) | 0.643 | 0.571 | 0.429 |
| Heart rate (/min) | 0.265 | 0.031 * | 0.181 * |
| SABP (mmHg) | 0.317 | 0.841 | 0.759 |
| LA/Ao | 0.030 * | 0.003 * | 0.027 * |
| LA FS% | 0.017 * | 0.044 * | - |
| LAD Max (mm) | 0.006 * | <0.001 * | <0.001 * |
| LVWT (mm) | - | 0.007 * | 0.017 * |
| LVIDd (mm) | 0.987 | 0.001 * | 0.015 * |
| LVIDs (mm) | 0.034 * | 0.553 | 0.490 |
| LV FS% | 0.044 * | 0.851 | 0.979 |
| LVOT Vmax (m/s) | 0.015 * | 0.119 * | 0.262 |
| RVOT Vmax (m/s) | 0.078 * | 0.616 | 0.411 |
| AMVL (mm) | 0.007 * | - | 0.044 * |
| SAM | 0.001 * | 0.037 * | 0.585 |
| Fused papillary muscles | 0.164 * | 0.649 | 0.352 |
| ALMS1 (Positive/Negative) | 0.143 * | 0.237 * | 0.194 * |
| ALMS1 (WT/Het/Hom) | 0.151 * | 0.354 | 0.354 |
| 1. LVWT, Adjusted R2 = 0.583 | |||
| Explanatory variables | B coefficient (95% CI) | Standardized B coefficient | p value |
| Body weight (kg) | 0.262 (0.045–0.479) | 0.292 | 0.020 |
| LA FS% | −0.040 (−0.080–−0.001) | −0.248 | 0.046 |
| LVIDs | −0.214 (−0.300–−0.129) | −0.578 | <0.001 |
| AMVL (mm) | 0.437 (0.123–0.751) | 0.332 | 0.008 |
| 2. AMVL, Adjusted R2 = 0.360 | |||
| Explanatory variables | B coefficient (95% CI) | Standardized B coefficient | p value |
| LAD Max | 0.200 (0.099–0.309) | 0.484 | <0.001 |
| SAM | 1.034 (0.111–1.958) | 0.274 | 0.029 |
| 3. LA FS%, Adjusted R2 = 0.262 | |||
| Explanatory variables | B coefficient (95% CI) | Standardized B coefficient | p value |
| LAD Max | −1.840 (−2.87–−0.872) | −0.530 | <0.001 |
Disclaimer/Publisher’s Note: The statements, opinions and data contained in all publications are solely those of the individual author(s) and contributor(s) and not of MDPI and/or the editor(s). MDPI and/or the editor(s) disclaim responsibility for any injury to people or property resulting from any ideas, methods, instructions or products referred to in the content. |
© 2024 by the authors. Licensee MDPI, Basel, Switzerland. This article is an open access article distributed under the terms and conditions of the Creative Commons Attribution (CC BY) license (https://creativecommons.org/licenses/by/4.0/).
Share and Cite
Seo, J.; Loh, Y.; Connolly, D.J.; Luis Fuentes, V.; Dutton, E.; Hunt, H.; Munday, J.S. Prevalence of Hypertrophic Cardiomyopathy and ALMS1 Variant in Sphynx Cats in New Zealand. Animals 2024, 14, 2629. https://doi.org/10.3390/ani14182629
Seo J, Loh Y, Connolly DJ, Luis Fuentes V, Dutton E, Hunt H, Munday JS. Prevalence of Hypertrophic Cardiomyopathy and ALMS1 Variant in Sphynx Cats in New Zealand. Animals. 2024; 14(18):2629. https://doi.org/10.3390/ani14182629
Chicago/Turabian StyleSeo, Joonbum, Yvonne Loh, David J. Connolly, Virginia Luis Fuentes, Emily Dutton, Hayley Hunt, and John S. Munday. 2024. "Prevalence of Hypertrophic Cardiomyopathy and ALMS1 Variant in Sphynx Cats in New Zealand" Animals 14, no. 18: 2629. https://doi.org/10.3390/ani14182629
APA StyleSeo, J., Loh, Y., Connolly, D. J., Luis Fuentes, V., Dutton, E., Hunt, H., & Munday, J. S. (2024). Prevalence of Hypertrophic Cardiomyopathy and ALMS1 Variant in Sphynx Cats in New Zealand. Animals, 14(18), 2629. https://doi.org/10.3390/ani14182629

