Dirofilaria immitis and Dirofilaria repens: Investigating the Prevalence of Zoonotic Parasites in Dogs and Humans in a Hyperenzootic Area
Abstract
Simple Summary
Abstract
1. Introduction
2. Materials and Methods
2.1. Study Area
2.2. Dog Samples
2.3. Human Samples
2.4. Sample Analysis
2.5. Statistical Analysis
3. Results
3.1. Dog Samples
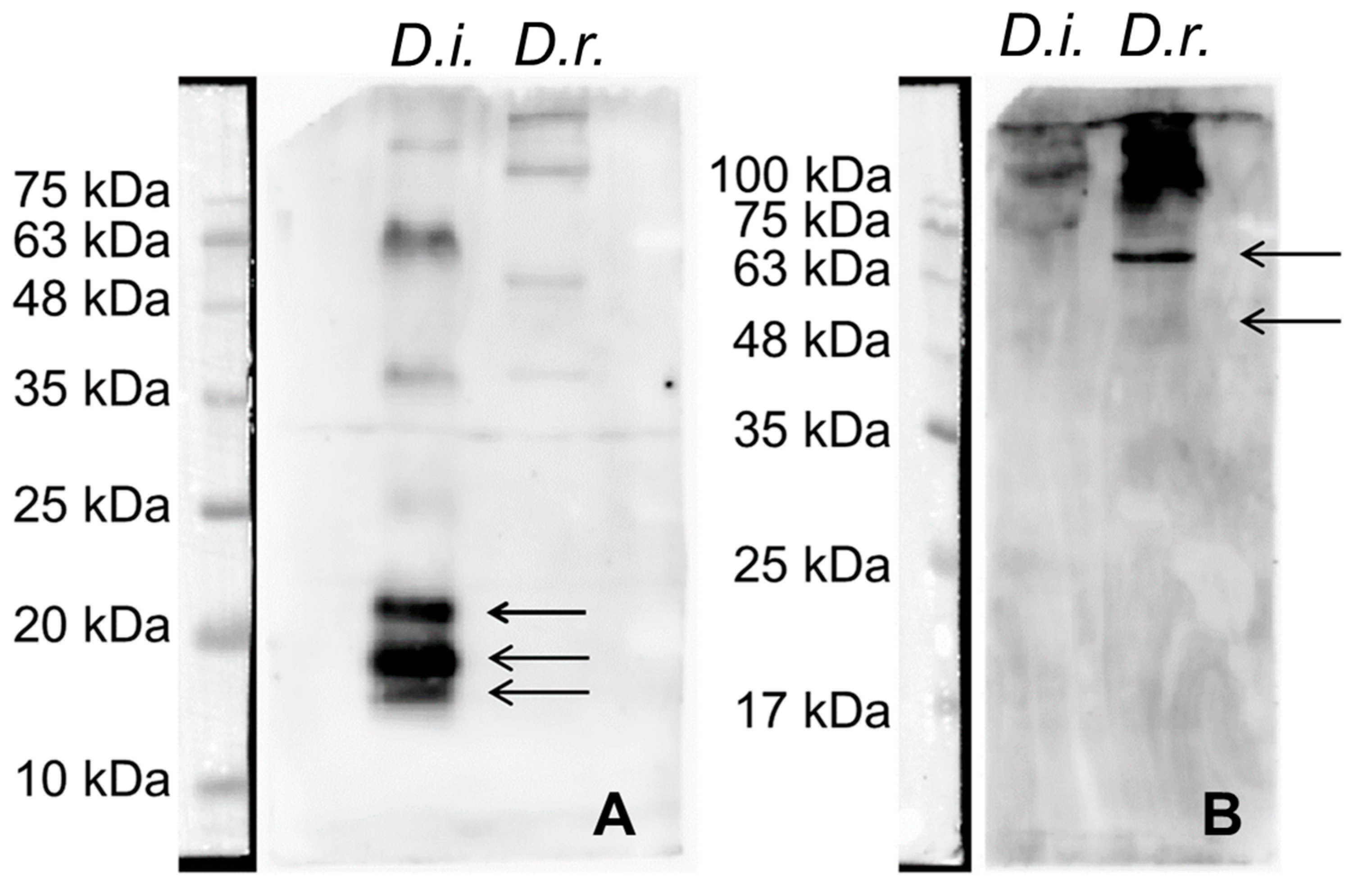
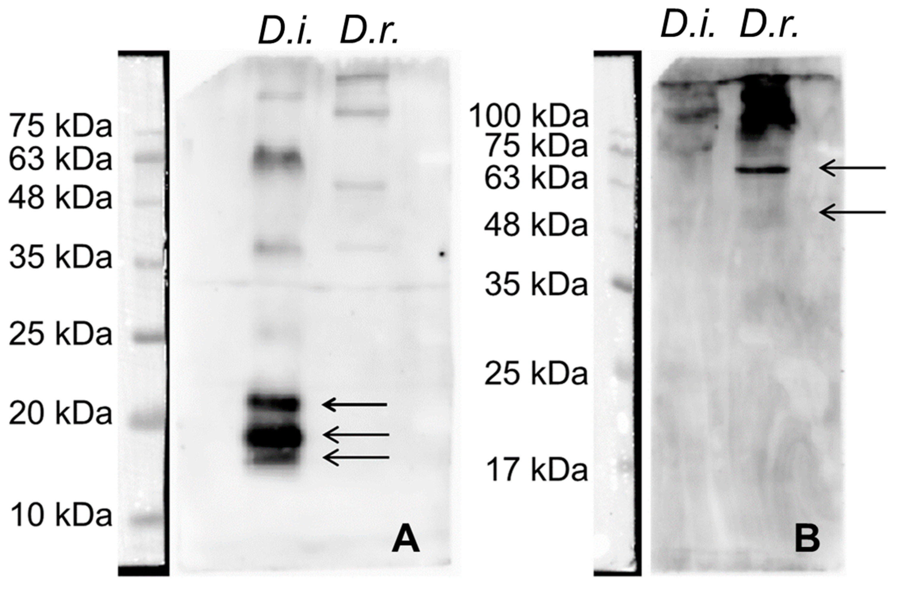
3.2. Human Samples
3.3. Statistical Analysis
4. Discussion
5. Conclusions
Author Contributions
Funding
Institutional Review Board Statement
Informed Consent Statement
Data Availability Statement
Acknowledgments
Conflicts of Interest
References
- Simón, F.; Siles-Lucas, M.; Morchón, R.; González-Miguel, J.; Mellado, I.; Carretón, E.; Montoya-Alonso, J.A. Human and animal dirofilariasis: The emergence of a zoonotic mosaic. Clin. Microbiol. Rev. 2012, 25, 507–544. [Google Scholar] [CrossRef] [PubMed]
- McCall, J.W.; Genchi, C.; Kramer, L.H.; Guerrero, J.; Venco, L. Heartworm disease in animals and humans. Adv. Parasitol. 2008, 66, 193–285. [Google Scholar] [CrossRef]
- Simón, F.; Diosdado, A.; Siles-Lucas, M.; Kartashev, V.; González-Miguel, J. Human dirofilariosis in the 21st century: A scoping review of clinical cases reported in the literature. Transbound. Emerg. Dis. 2022, 69, 2424–2439. [Google Scholar] [CrossRef]
- Fuehrer, H.P.; Morelli, S.; Unterköfler, M.S.; Bajer, A.; Bakran-Lebl, K.; Dwużnik-Szarek, D.; Farkas, R.; Grandi, G.; Heddergott, M.; Jokelainen, P.; et al. Dirofilaria spp. and Angiostrongylus vasorum: Current risk of spreading in Central and Northern Europe. Pathogens 2021, 10, 1268. [Google Scholar] [CrossRef] [PubMed]
- Diakou, A.; Kapantaidakis, E.; Tamvakis, A.; Giannakis, V.; Strus, N. Dirofilaria infections in dogs in different areas of Greece. Parasit. Vectors 2016, 9, 508. [Google Scholar] [CrossRef] [PubMed]
- Diakou, A.; Soubasis, N.; Chochlios, T.; Oikonomidis, I.L.; Tselekis, D.; Koutinas, C.; Karaiosif, R.; Psaralexi, E.; Tsouloufi, T.K.; Brellou, G.; et al. Canine and feline dirofilariosis in a highly enzootic area: First report of feline dirofilariosis in Greece. Parasitol. Res. 2019, 118, 677–682. [Google Scholar] [CrossRef]
- Diakou, A. The prevalence of canine dirofilariosis in the region of Attiki. J. Hel Vet. Med. Soc. 2001, 52, 152–156. [Google Scholar] [CrossRef][Green Version]
- Angelou, A.; Gelasakis, A.I.; Verde, N.; Pantchev, N.; Schaper, R.; Chandrashekar, R.; Papadopoulos, E. Prevalence and risk factors for selected canine vector-borne diseases in Greece. Parasit. Vectors 2019, 12, 283. [Google Scholar] [CrossRef]
- Symeonidou, I.; Sioutas, G.; Gelasakis, A.I.; Bitchava, D.; Kanaki, E.; Papadopoulos, E. Beyond borders: Dirofilaria immitis infection in dogs spreads to previously non-enzootic areas in Greece—A serological survey. Vet. Sci. 2024, 11, 255. [Google Scholar] [CrossRef]
- Ryan, W.; Newcomb, K. Prevalence of feline heartworm disease-a global review. In Proceedings of the Heartworm Symposium ‘95, Auburn, AL, USA, 31 March–2 April 1995; American Heartworm Society: Wilmington, DE, USA, 1995; pp. 79–86. [Google Scholar]
- Venco, L.; Genchi, M.; Genchi, C.; Gatti, D.; Kramer, L. Can heartworm prevalence in dogs be used as provisional data for assessing the prevalence of the infection in cats? Vet. Parasitol. 2011, 176, 300–303. [Google Scholar] [CrossRef]
- Rodis, N.; Kalouda Tsapadikou, V.; Zacharis, G.; Zacharis, N.; Potsios, C.; Krikoni, E.; Xaplanteri, P. Dirofilariasis and related traumas in Greek patients: Mini Review. J. Surg. Trauma 2021, 9, 4–7. [Google Scholar]
- Pampiglione, S.; Canestri Trotti, G.; Rivasi, F.; Vakalis, N. Human dirofilariasis in Greece: A review of reported cases and a description of a new, subcutaneous case. Ann. Trop. Med. Parasitol. 1996, 90, 319–328. [Google Scholar] [CrossRef] [PubMed]
- Morelli, S.; Diakou, A.; Frangipane di Regalbono, A.; Colombo, M.; Simonato, G.; Di Cesare, A.; Passarelli, A.; Pezzuto, C.; Tzitzoudi, Z.; Barlaam, A.; et al. Use of in-clinic diagnostic kits for the detection of seropositivity to Leishmania infantum and other major vector-borne pathogens in healthy dogs. Pathogens 2023, 12, 696. [Google Scholar] [CrossRef] [PubMed]
- Ramsar Sites Information Service. Available online: https://rsis.ramsar.org/ (accessed on 20 July 2024).
- Eco Thraki. Available online: https://www.ecothraki.gr/ (accessed on 20 July 2024).
- Boch, J.; Supperer, R. Veterinärmedizinische Parasitologie; Verlag Paul Parey: Berlin, Germany, 1992. [Google Scholar]
- Lindsey, L.R. Identification of canine microfilariae. J. Am. Vet. Med. Assoc. 1965, 146, 1106–1114. [Google Scholar] [PubMed]
- Ciuca, L.; Simòn, F.; Rinaldi, L.; Kramer, L.; Genchi, M.; Cringoli, G.; Acatrinei, D.; Miron, L.; Morchon, R. Seroepidemiological survey of human exposure to Dirofilaria spp. in Romania and Moldova. Acta Trop. 2018, 187, 169–174. [Google Scholar] [CrossRef] [PubMed]
- Savić, S.; Stosic, M.Z.; Marcic, D.; Hernández, I.; Potkonjak, A.; Otasevic, S.; Ruzic, M.; Morchón, R. Seroepidemiological study of canine and human dirofilariasis in the endemic region of Northern Serbia. Front. Vet. Sci. 2020, 7, 571. [Google Scholar] [CrossRef]
- Eng, J. Sample size estimation: How many individuals should be studied? Radiology 2003, 227, 309–313. [Google Scholar] [CrossRef] [PubMed]
- Zar, J.H. Biostatistical Analysis, 4th ed.; Prentice-Hall US: Englewood Cliffs, NJ, USA, 1998. [Google Scholar]
- Torres-Chable, O.M.; Brito-Argaez, L.G.; Islas-Flores, I.R.; Zaragoza-Vera, C.V.; Zaragoza-Vera, M.; Arjona-Jimenez, G.; Baak-Baak, C.M.; Cigarroa-Toledo, N.; Gonzalez-Garduño, R.; Machain-Williams, C.I.; et al. Dirofilaria immitis proteins recognized by antibodies from individuals living with microfilaremic dogs. Infect. Dev. Ctries. 2020, 14, 1442–1447. [Google Scholar] [CrossRef]
- Papazahariadou, M.G.; Koutinas, A.F.; Rallis, T.S.; Haralabidis, S.T. Prevalence of microfilaraemia in episodic weakness and clinically normal dogs belonging to hunting breeds. J. Helminthol. 1994, 68, 243–245. [Google Scholar] [CrossRef]
- Founta, A.; Theodoridis, Y.; Frydas, S.; Chliounakis, S. The presence of filarial parasites of dogs in Serrae Province. J. Hell. Vet. Med. Soc. 1999, 50, 315–320. [Google Scholar] [CrossRef][Green Version]
- Lefkaditis, M.; Koukeri, S.; Cozma, V. An endemic area of Dirofilaria immitis seropositive dogs at the eastern foothills of Mt Olympus, Northern Greece. Helminthol. 2010, 47, 3–7. [Google Scholar] [CrossRef]
- Kontos, V.I.; Kritsepi Konstantinou, M.; Polizopoulou, Z.S.; Rousou, X.A.; Christodoulopoulos, G. Cross-sectional serosurvey and factors associated with exposure of dogs to vector-borne pathogens in Greece. Vector Borne Zoonotic Dis. 2019, 19, 923–928. [Google Scholar] [CrossRef]
- Tsochatzis, D.E. Development of Analytical Methods for the Determination of Residues of Pesticides Used in Rice Cultures: Application for the Assessment of Their Environmental Implications. Ph.D. Thesis, Department of Chemistry, School of Chemical Engineering, Aristotle University of Thessaloniki, Thessaloniki, Greece, 2012; p. 201. [Google Scholar]
- Geotechnical Chamber of Greece. Greek Cattle Milk Production. 2011. Available online: https://www.geotee.gr/lnkfiles/20120101_OLH_H_MELETH_GALA_13122011.pdf (accessed on 20 July 2024).
- Mwalugelo, Y.A.; Mponzi, W.P.; Muyaga, L.L.; Mahenge, H.H.; Katusi, G.C.; Muhonja, F.; Omondi, D.; Ochieng, A.O.; Kaindoa, E.W.; Amimo, F.A. Livestock keeping, mosquitoes and community viewpoints: A mixed methods assessment of relationships between livestock management, malaria vector biting risk and community perspectives in rural Tanzania. Malar. J. 2024, 23, 213. [Google Scholar] [CrossRef]
- Alho, A.M.; Landum, M.; Ferreira, C.; Meireles, J.; Goncalves, L.; de Carvalho, L.M.; Belo, S. Prevalence and seasonal variations of canine dirofilariosis in Portugal. Vet. Parasitol. 2014, 206, 99–105. [Google Scholar] [CrossRef] [PubMed]
- Diakou, A.; Gewehr, S.; Kapantaidakis, E.; Mourelatos, S. Can mosquito population dynamics predict Dirofilaria hyperendemic foci? In Proceeding of 19th E-SOVE, Thessaloniki, Greece, 13–17 October 2014; p. 76. [Google Scholar]
- Shcherbakov, O.V.; Aghayan, S.A.; Gevorgyan, H.S.; Burlak, V.A.; Fedorova, V.S.; Artemov, G.N. An updated list of mosquito species in Armenia and Transcaucasian region responsible for Dirofilaria transmission: A review. J. Vector Borne Dis. 2023, 60, 343–352. [Google Scholar] [CrossRef] [PubMed]
- Fotakis, E.A.; Chaskopoulou, A.; Grigoraki, L.; Tsiamantas, A.; Kounadi, S.; Georgiou, L.; Vontas, J. Analysis of population structure and insecticide resistance in mosquitoes of the genus Culex, Anopheles and Aedes from different environments of Greece with a history of mosquito borne disease transmission. Acta Trop. 2017, 174, 29–37. [Google Scholar] [CrossRef]
- Spanoudis, C.G.; Pappas, C.S.; Savopoulou-Soultani, M.; Andreadis, S.S. Composition, seasonal abundance, and public health importance of mosquito species in the regional unit of Thessaloniki, Northern Greece. Parasitol. Res. 2021, 120, 3083–3090. [Google Scholar] [CrossRef]
- ESDA, European Society of Dirofilariosis and Angiostrongylosis. Guidelines for Clinical Management of Canine Heartworm Disease. Available online: https://www.esda.vet/media/attachments/2021/08/19/canine-heartworm-disease.pdf (accessed on 20 July 2024).
- AHS, American Heartworm Society. Current Canine Guidelines for the Prevention, Diagnosis, and Management of Heartworm (Dirofilaria immitis) Infection in Dogs. Available online: https://d3ft8sckhnqim2.cloudfront.net/images/pdf/AHS_Canine_Guidelines_11_13_20.pdf?1605556516 (accessed on 20 July 2024).
- Morchón, R.; Montoya-Alonso, J.A.; Rodríguez-Escolar, I.; Carretón, E. What has happened to heartworm disease in Europe in the last 10 years? Pathogens 2022, 11, 1042. [Google Scholar] [CrossRef]
- Petrić, D.; Bellini, R.; Scholte, E.J.; Rakotoarivony, L.M.; Schaffner, F. Monitoring population and environmental parameters of invasive mosquito species in Europe. Parasites Vectors 2014, 7, 187. [Google Scholar] [CrossRef]
- Veronesi, F.; Deak, G.; Diakou, A. Wild Mesocarnivoresas reservoirs of endoparasites causing important zoonoses and emerging bridging infections cross Europe. Pathogens 2023, 12, 178. [Google Scholar] [CrossRef]
- Tasić-Otasevic, S.; Golubović, M.; Trichei, S.; Zdravkovic, D.; Jordan, R.; Gabrielli, S. Microfilaremic Dirofilaria repens infection in patient from Serbia. Emerg. Infect. Dis. 2023, 29, 2548–2550. [Google Scholar] [CrossRef] [PubMed]
- Pupić-Bakrač, A.; Pupić-Bakrač, J.; Beck, A.; Jurković, D.; Polkinghorne, A.; Beck, R. Dirofilaria repens microfilaremia in humans: Case description and literature review. One Health 2021, 13, 100306. [Google Scholar] [CrossRef]
- Huebl, L.; Tappe, D.; Giese, M.; Mempel, S.; Tannich, E.; Kreuels, B.; Ramharter, M.; Veletzky, L.; Jochum, J. Recurrent swelling and microfilaremia caused by Dirofilaria repens infection after travel to India. Emerg. Infect. Dis. 2021, 27, 1701–1704. [Google Scholar] [CrossRef] [PubMed]
- Jacob, S.; Parameswaran, A.; Santosham, R.; Santosham, R. Human pulmonary dirofilariasis masquerading as a mass. Asian Cardiovasc. Thorac. Ann. 2016, 24, 722–725. [Google Scholar] [CrossRef] [PubMed]
- Pampiglione, S.; Rivasi, F.; Gustinelli, A. Dirofilarial human cases in the Old World, attributed to Dirofilaria immitis: A critical analysis. Histopathology 2009, 54, 192–204. [Google Scholar] [CrossRef]
- Bozidis, P.; Sakkas, H.; Pertsalis, A.; Christodoulou, A.; Kalogeropoulos, C.D.; Papadopoulou, C. Molecular analysis of Dirofilaria repens isolates from eye-care patients in Greece. Acta Parasitol. 2021, 66, 271–276. [Google Scholar] [CrossRef]
- Falidas, E.; Gourgiotis, S.; Ivopoulou, O.; Koutsogiannis, I.; Oikonomou, C.; Vlachos, K.; Villias, C. Human subcutaneous dirofilariasis caused by Dirofilaria immitis in a Greek adult. J. Infect. Public. Health 2016, 9, 102–104. [Google Scholar] [CrossRef][Green Version]
- Simón, F.; Prieto, G.; Morchón, R.; Bazzocchi, C.; Bandi, C.; Genchi, C. Immunoglobulin G antibodies against the endosymbionts of filarial nematodes (Wolbachia) in patients with pulmonary dirofilariasis. Clin. Diagn. Lab. Immunol. 2003, 10, 180–181. [Google Scholar] [CrossRef]
- Simón, F.; Muro, A.; Cordero, M.; Martin, J. A seroepidemiologic survey of human dirofilariosis in Western Spain. Trop. Med. Parasitol. 1991, 2, 106–108. [Google Scholar]
- Simón, F.; Prieto, G.; Muro, A.; Cancrini, G.; Cordero, M.; Genchi, C. Human humoral immune response to Dirofilaria species. Parassitologia 1997, 39, 397–400. [Google Scholar]
- Perera, L.; Muro, A.; Cordero, M.; Villar, E.; Simón, F. Evaluation of a 22 kDa Dirofilaria immitis antigen for the immunodiagnosis of human pulmonary dirofilariosis. Trop. Med. Parasitol. 1994, 45, 249–252. [Google Scholar] [PubMed]
- Henke, K.; Ntovas, S.; Xourgia, E.; Exadaktylos, A.K.; Klukowska-Rötzler, J.; Ziaka, M. Who let the dogs out? unmasking the neglected: A semi-systematic review on the enduring impact of toxocariasis, a prevalent zoonotic infection. Int. J. Environ. Res. Public. Health 2023, 20, 6972. [Google Scholar] [CrossRef] [PubMed]
- Cabrera, E.D.; Carretón, E.; Morchón, R.; Falcón-Cordón, Y.; Falcón-Cordón, S.; Simón, F.; Montoya-Alonso, J.A. The Canary Islands as a model of risk of pulmonary dirofilariasis in a hyperendemic area. Parasitol. Res. 2018, 117, 933–936. [Google Scholar] [CrossRef]
- Fontes-Sousa, A.P.; Silvestre-Ferreira, A.C.; Carretón, E.; Esteves-Guimarães, J.; Maia-Rocha, C.; Oliveira, P.; Lobo, L.; Morchón, R.; Araújo, F.; Simón, F.; et al. Exposure of humans to the zoonotic nematode Dirofilaria immitis in Northern Portugal. Epidemiol. Infect. 2019, 147, e282. [Google Scholar] [CrossRef]
- Muro, A.; Cordero, M.; Ramos, A.; Simón, F. Seasonal changes in the levels of anti-Dirofilaria immitis antibodies in an exposed human population. Trop. Med. Parasitol. 1991, 42, 371–374. [Google Scholar] [PubMed]
- Diakou, A.; Prichard, R.K. Concern for Dirofilaria immitis and macrocyclic lactone loss of efficacy: Current situation in the USA and Europe, and future scenarios. Pathogens 2021, 10, 1323. [Google Scholar] [CrossRef] [PubMed]
- Traversa, D.; Diakou, A.; Colombo, M.; Kumar, S.; Long, T.; Chaintoutis, S.C.; Venco, L.; Betti Miller, G.; Prichard, R. First case of macrocyclic lactone-resistant Dirofilaria immitis in Europe—Cause for concern. Int. J. Parasitol. Drugs Drug Resist. 2024, 25, 100549. [Google Scholar] [CrossRef]
- Kartashev, V.; Afonin, A.; Gonzalez-Miguel, J.; Sepulveda, R.; Simon, L.; Morchon, R.; Simon, F. Regional warming and emerging vector borne zoonotic dirofilariosis in the Russian Federation, Ukraine, and other post-Soviet states from 1981 to 2011 and projection by 2030. BioMed Res. Int. 2014, 858936. [Google Scholar] [CrossRef]



| Thrace (n = 604) | Xanthi (n = 258) | Rodopi (n = 249) | Evros (n = 97) | |||||
|---|---|---|---|---|---|---|---|---|
| Examination Method | D.i. | D.r. | D.i. | D.r. | D.i. | D.r. | D.i. | D.r. |
| Knott | 86 (14.2%) * | 7 (1.2%) * | 45 (17.4%) | 1 (0.4%) | 20 (8%) | 0 | 21 (21.6%) * | 6 (6.2%) * |
| Serology | 171 (28.3%) | - | 80 (31%) | - | 56 (22.5%) | - | 35 (36.1%) | - |
| Knott or/and Serology | 173 (28.6%) * | 7 (1.3%) * | 81 (31.4%) | 1 (0.4%) | 57 (22.9%) | 0 | 35 (36.1%) * | 6 (6.2%) * |
| Regional Unit | Seropositive Samples Per Parasite | ||
|---|---|---|---|
| Dirofilaria spp. | D. immitis | D. repens | |
| Thrace (n = 625) | 42 (6.7%) | 24 (3.8%) | 18 (2.9%) |
| Xanthi (n = 215) | 15 (7%) | 5 (2.3%) | 10 (4.7%) |
| Rodopi (n = 200) | 15 (7.5%) | 9 (4.5%) | 6 (3%) |
| Evros (n = 210) | 12 (5.7%) | 10 (4.7%) | 2 (1%) |
| Variable | Dirofilaria Positive | Dirofilaria Negative | χ2 Test/Fisher Test (p-Value) Odds Ratio |
|---|---|---|---|
| Sex | |||
| Male (199) | 70 (35.2%) | 129 (64.8%) | 5.21 (0.022) |
| Female (347) | 90 (25.9%) | 257 (74.1%) | Odds ratio = 1.55 |
| Age * | |||
| ≤3 (255) | 67 (26.3%) | 188 (73.7%) | 4.92 (0.089) |
| 3−7 (215) | 63 (29.3%) | 152 (70.7%) | |
| >7 (76) | 30 (39.5%) | 46 (60.5%) | |
| R.U. ** | |||
| Evros (97) | 36 (37.1%) | 61 (62.9%) | 10.57 (0.005) |
| Rodopi (249) | 56 (22.5%) | 193 (77.5%) | Odds ratio = 2.03 |
| Xanthi (200) | 68 (34.0%) | 132 (66.0%) | Odds ratio = 1.15 |
| Lifestyle | |||
| Outside (272) | 102 (37.5%) | 170 (62.5%) | 18.23 (<0.001) |
| Inside (10) | 2 (20.0%) | 8 (80.0%) | Odds ratio = 2.40 |
| In and out (264) | 56 (21.2%) | 208 (78.8%) | Odds ratio = 2.27 |
| Hair length | |||
| Short (243) | 79 (32.5%) | 164 (67.5%) | 3.00 (0.223) |
| Medium (225) | 57 (25.3%) | 168 (74.7%) | |
| Long (78) | 24 (30.8%) | 54 (69.2%) |
Disclaimer/Publisher’s Note: The statements, opinions and data contained in all publications are solely those of the individual author(s) and contributor(s) and not of MDPI and/or the editor(s). MDPI and/or the editor(s) disclaim responsibility for any injury to people or property resulting from any ideas, methods, instructions or products referred to in the content. |
© 2024 by the authors. Licensee MDPI, Basel, Switzerland. This article is an open access article distributed under the terms and conditions of the Creative Commons Attribution (CC BY) license (https://creativecommons.org/licenses/by/4.0/).
Share and Cite
Dimzas, D.; Aindelis, G.; Tamvakis, A.; Chatzoudi, S.; Chlichlia, K.; Panopoulou, M.; Diakou, A. Dirofilaria immitis and Dirofilaria repens: Investigating the Prevalence of Zoonotic Parasites in Dogs and Humans in a Hyperenzootic Area. Animals 2024, 14, 2529. https://doi.org/10.3390/ani14172529
Dimzas D, Aindelis G, Tamvakis A, Chatzoudi S, Chlichlia K, Panopoulou M, Diakou A. Dirofilaria immitis and Dirofilaria repens: Investigating the Prevalence of Zoonotic Parasites in Dogs and Humans in a Hyperenzootic Area. Animals. 2024; 14(17):2529. https://doi.org/10.3390/ani14172529
Chicago/Turabian StyleDimzas, Dimitris, Georgios Aindelis, Andronki Tamvakis, Sapfo Chatzoudi, Katerina Chlichlia, Maria Panopoulou, and Anastasia Diakou. 2024. "Dirofilaria immitis and Dirofilaria repens: Investigating the Prevalence of Zoonotic Parasites in Dogs and Humans in a Hyperenzootic Area" Animals 14, no. 17: 2529. https://doi.org/10.3390/ani14172529
APA StyleDimzas, D., Aindelis, G., Tamvakis, A., Chatzoudi, S., Chlichlia, K., Panopoulou, M., & Diakou, A. (2024). Dirofilaria immitis and Dirofilaria repens: Investigating the Prevalence of Zoonotic Parasites in Dogs and Humans in a Hyperenzootic Area. Animals, 14(17), 2529. https://doi.org/10.3390/ani14172529

