Pathologic Changes in and Immunophenotyping of Polymyositis in the Dutch Kooiker Dog
Abstract
Simple Summary
Abstract
1. Introduction
2. Materials and Methods
2.1. Study Population and Tissue Collection
2.2. Histopathological Evaluation
2.3. Immunohistochemistry
2.4. Detection of CD4-Positive T-Cells by ISH
2.5. Statistical Analysis
3. Results
3.1. Study Cohort
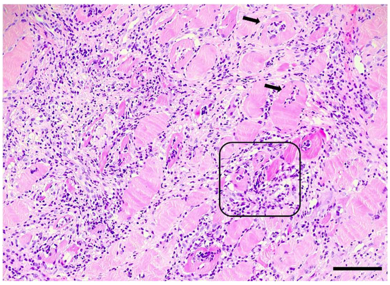
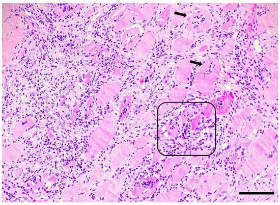
3.2. Histopathological Findings in HE and Giemsa
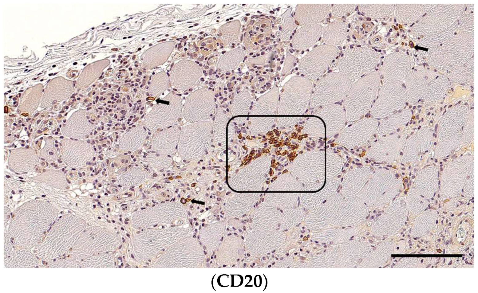
3.3. Histopathological Findings in IHC and ISH
4. Discussion
5. Conclusions
Supplementary Materials
Author Contributions
Funding
Institutional Review Board Statement
Informed Consent Statement
Data Availability Statement
Acknowledgments
Conflicts of Interest
References
- Nielen, A.L.J.; van der Beek, S.; Ubbink, G.J.; Knol, B.W. Epidemiology: Population parameters to compare dog breeds: Differences between five dutch purebred populations. Vet. Q. 2001, 23, 43–49. [Google Scholar] [CrossRef] [PubMed]
- Mandigers, P.J.; Van Nes, J.J.; Knol, B.W.; Ubbink, G.J.; Gruys, E. Hereditary necrotising myelopathy in Kooiker dogs. Res. Vet. Sci. 1993, 54, 118–123. [Google Scholar] [CrossRef]
- Mandigers, P.J.; Ubbink, G.J.; Vanden Broek, J.; Bouw, J. Relationship between litter size and other reproductive traits in the Dutch Kooiker dog. Vet. Q. 1994, 16, 229–232. [Google Scholar] [CrossRef]
- Opmeer, Y.; Grinwis, G.C.M.; Shelton, G.D.; Rosati, M.; Alf, V.; Fieten, H.; Leegwater, P.A.J.; Matiasek, K.; Mandigers, P.J.J. An Inflammatory Myopathy in the Dutch Kooiker Dog. Animals 2023, 13, 1508. [Google Scholar] [CrossRef]
- Snels, C. Clubregister van de Vereniging Het Nederlandse Kooikerhondje; VHNK: Westendorp, The Netherlands, 2022; 1533p. [Google Scholar]
- Leroy, G. Genetic diversity, inbreeding and breeding practices in dogs: Results from pedigree analyses. Vet. J. 2011, 189, 177–182. [Google Scholar] [CrossRef] [PubMed]
- Bannasch, D.; Famula, T.; Donner, J.; Anderson, H.; Honkanen, L.; Batcher, K.; Safra, N.; Thomasy, S.; Rebhun, R. The effect of inbreeding, body size and morphology on health in dog breeds. Canine Med. Genet. 2021, 8, 12. [Google Scholar] [CrossRef]
- van Oost, B.A.; Versteeg, S.A.; Slappendel, R.J. DNA testing for type III von Willebrand disease in Dutch Kooiker dogs. J. Vet. Intern. Med. 2004, 18, 282–288. [Google Scholar] [CrossRef] [PubMed]
- Slappendel, R.J.; Beijer, E.G.M.; van Leeuwen, M. Type III von Willebrand’s disease in Dutch kooiker dogs. Vet. Q. 1998, 20, 93–97. [Google Scholar] [CrossRef]
- Mandigers, P.J.J.; Stehling, O.; Vos-Loohuis, M.; Van Steenbeek, F.G.; Lill, R.; Leegwater, P.A. A novel IBA57 variant is associated with mitochondrial iron–sulfur protein deficiency and necrotizing myelopathy in dogs. Front. Genet. 2023, 14, 1190222. [Google Scholar] [CrossRef]
- Wangdee, C.; Leegwater, P.A.J.; Heuven, H.C.M.; van Steenbeek, F.G.; Meutstege, F.J.; Meij, B.P.; Hazewinkel, H.A.W. Prevalence and genetics of patellar luxation in Kooiker dogs. Vet. J. 2014, 201, 333–337. [Google Scholar] [CrossRef]
- Mandigers, P. Epilepsie bij de Nederlandse hondenrassen, incidentie en aanbevelingen voor de fokkerij. Tijdschr. Voor Diergeneeskd. 2017, 142, 28–31. [Google Scholar]
- Hülsmeyer, V.I.; Fischer, A.; Mandigers, P.J.; DeRisio, L.; Berendt, M.; Rusbridge, C.; Bhatti, S.F.; Pakozdy, A.; Patterson, E.E.; Platt, S.; et al. International Veterinary Epilepsy Task Force’s current understanding of idiopathic epilepsy of genetic or suspected genetic origin in purebred dogs. BMC Vet. Res. 2015, 11, 175. [Google Scholar] [CrossRef]
- Maxie, M.G. Jubb, Kennedy, and Palmer’s Pathology of Domestic Animals, 6th ed.; Elsevier: St. Louis, MI, USA, 2016. [Google Scholar]
- Shelton, G.D. From dog to man: The broad spectrum of inflammatory myopathies. Neuromuscul. Disord. 2007, 17, 663–670. [Google Scholar] [CrossRef] [PubMed]
- Pumarola, M.; Moore, P.F.; Shelton, G.D. Canine inflammatory myopathy: Analysis of cellular infiltrates. Muscle Nerve 2004, 29, 782–789. [Google Scholar] [CrossRef] [PubMed]
- Evans, J.; Levesque, D.; Shelton, G.D. Canine inflammatory myopathies: A clinicopathologic review of 200 cases. J. Vet. Intern. Med. 2004, 18, 679–691. [Google Scholar] [CrossRef] [PubMed]
- Podell, M. Inflammatory myopathies. Vet. Clin. N. Am. Small Anim. Pr. 2002, 32, 147–167. [Google Scholar] [CrossRef]
- Kornegay, J.N.; Gorgacz, E.J.; Dawe, D.L.; Bowen, J.M.; White, N.A.; DeBuysscher, E.V. Polymyositis in dogs. J. Am. Vet. Med. Assoc. 1980, 176, 431–438. [Google Scholar]
- Haley, A.C.; Platt, S.R.; Kent, M.; Schatzberg, S.J.; Durham, A.; Cochrane, S.; Westworth, D.; Shelton, G.D. Breed-specific polymyositis in Hungarian Vizsla dogs. J. Vet. Intern. Med. 2011, 25, 393–397. [Google Scholar] [CrossRef]
- Hong, H.P.; Thomovsky, S.A.; Lewis, M.J.; Bentley, R.T.; Shelton, G.D. Clinical characteristics of non-infectious inflammatory myopathy in the boxer dog. J. Small Anim. Pract. 2021, 62, 765–774. [Google Scholar] [CrossRef]
- Massey, J.; Rothwell, S.; Rusbridge, C.; Tauro, A.; Addicott, D.; Chinoy, H.; Cooper, R.G.; Ollier, W.E.; Kennedy, L.J. Association of an MHC class II haplotype with increased risk of polymyositis in Hungarian Vizsla dogs. PLoS ONE 2013, 8, e56490. [Google Scholar] [CrossRef]
- Tauro, A.; Addicott, D.; Foale, R.D.; Bowman, C.; Hahn, C.; Long, S.; Massey, J.; Haley, A.C.; Knowler, S.P.; Day, M.J.; et al. Clinical features of idiopathic inflammatory polymyopathy in the Hungarian Vizsla. BMC Vet. Res. 2015, 11, 97. [Google Scholar] [CrossRef] [PubMed]
- Hankel, S.; Shelton, G.D.; Engvall, E. Sarcolemma-specific autoantibodies in canine inflammatory myopathy. Vet. Immunol. Immunopathol. 2006, 113, 1–10. [Google Scholar] [CrossRef]
- Salvadori, C.; Peters, I.R.; Day, M.J.; Engvall, E.; Shelton, G.D. Muscle regeneration, inflammation, and connective tissue expansion in canine inflammatory myopathy. Muscle Nerve 2005, 31, 192–198. [Google Scholar] [CrossRef] [PubMed]
- Paciello, O.; Shelton, G.D.; Papparella, S. Expression of major histocompatibility complex class I and class II antigens in canine masticatory muscle myositis. Neuromuscul. Disord. 2007, 17, 313–320. [Google Scholar] [CrossRef] [PubMed]
- Paciello, O.; D’Orazi, A.; Borzacchiello, G.; Martano, M.; Restucci, B.; Maiolino, P.; Papparella, S. Expression of Major Histocompatibility Complex class I and II in a case of Neospora caninum myositis in a dog. Acta Myol. 2004, 23, 151–153. [Google Scholar] [PubMed]
- Morita, T.; Shimada, A.; Yashiro, S.; Takeuchi, T.; Hikasa, Y.; Okamoto, Y.; Mabuchi, Y. Myofiber Expression of Class I Major Histocompatibility Complex Accompanied by CD8+ T-cell-associated Myofiber Injury in a Case of Canine Polymyositis. Vet. Pathol. 2002, 39, 512–515. [Google Scholar] [CrossRef]
- Rodríguez Cruz, P.M.; Luo, Y.B.; Miller, J.; Junckerstorff, R.C.; Mastaglia, F.L.; Fabian, V. An analysis of the sensitivity and specificity of MHC-I and MHC-II immunohistochemical staining in muscle biopsies for the diagnosis of inflammatory myopathies. Neuromuscul. Disord. 2014, 24, 1025–1035. [Google Scholar] [CrossRef]
- Nagaraju, K. Update on immunopathogenesis in inflammatory myopathies. Curr. Opin. Rheumatol. 2001, 13, 461–468. [Google Scholar] [CrossRef]
- Wiendl, H.; Lautwein, A.; Mitsdorffer, M.; Krause, S.; Erfurth, S.; Wienhold, W.; Morgalla, M.; Weber, E.; Overkleeft, H.S.; Lochmuller, H.; et al. Antigen processing and presentation in human muscle: Cathepsin S is critical for MHC class II expression and upregulated in inflammatory myopathies. J. Neuroimmunol. 2003, 138, 132–143. [Google Scholar] [CrossRef]
- Ceribelli, A.; De Santis, M.; Isailovic, N.; Gershwin, M.E.; Selmi, C. The Immune Response and the Pathogenesis of Idiopathic Inflammatory Myositis: A Critical Review. Clin. Rev. Allergy Immunol. 2017, 52, 58–70. [Google Scholar] [CrossRef]
- Day, J.; Otto, S.; Proudman, S.; Hayball, J.D.; Limaye, V. Dysregulated innate immune function in the aetiopathogenesis of idiopathic inflammatory myopathies. Autoimmun. Rev. 2017, 16, 87–95. [Google Scholar] [CrossRef] [PubMed]
- Troupel, T.; Van Caenegem, N.; Drougard, C.; Blanchard-Gutton, N.; Blot, S. Generalised idiopathic polymyositis mimicking masticatory myositis in a dog. Vet. Rec. Case Rep. 2022, 10, e452. [Google Scholar] [CrossRef]
- Shelton, G.D.; Hoffman, E.P.; Ghimbovschi, S.; Peters, I.R.; Day, M.J.; Mullins, M.; Moore, P.F.; Nagaraju, K. Immunopathogenic pathways in canine inflammatory myopathies resemble human myositis. Vet. Immunol. Immunopathol. 2006, 113, 200–214. [Google Scholar] [CrossRef] [PubMed]
- Samelson, L.E.; Klausner, R.D. The T-cell antigen receptor. Structure and mechanism of activation. Ann. N. Y. Acad. Sci. 1988, 540, 1–3. [Google Scholar] [CrossRef] [PubMed]
- Meuer, S.C.; Acuto, O.; Hussey, R.E.; Hodgdon, J.C.; Fitzgerald, K.A.; Schlossman, S.F.; Reinherz, E.L. Evidence for the T3-associated 90K heterodimer as the T-cell antigen receptor. Nature 1983, 303, 808–810. [Google Scholar] [CrossRef]
- Luckheeram, R.V.; Zhou, R.; Verma, A.D.; Xia, B. CD4(+)T cells: Differentiation and functions. Clin. Dev. Immunol. 2012, 2012, 925135. [Google Scholar] [CrossRef]
- Grundtman, C.; Malmström, V.; Lundberg, I.E. Immune mechanisms in the pathogenesis of idiopathic inflammatory myopathies. Arthritis Res. Ther. 2007, 9, 208. [Google Scholar] [CrossRef]
- Baird, G.S.; Montine, T.J. Multiplex immunoassay analysis of cytokines in idiopathic inflammatory myopathy. Arch. Pathol. Lab. Med. 2008, 132, 232–238. [Google Scholar] [CrossRef]
- Appleyard, S.T.; Dunn, M.J.; Dubowitz, V.; Rose, M.L. Increased expression of HLA ABC class I antigens by muscle fibres in Duchenne muscular dystrophy, inflammatory myopathy, and other neuromuscular disorders. Lancet 1985, 1, 361–363. [Google Scholar] [CrossRef]
- Rock, K.L.; Reits, E.; Neefjes, J. Present Yourself! By MHC Class I and MHC Class II Molecules. Trends Immunol. 2016, 37, 724–737. [Google Scholar] [CrossRef]
- Jain, A.; Sharma, M.C.; Sarkar, C.; Bhatia, R.; Singh, S.; Handa, R. Major histocompatibility complex class I and II detection as a diagnostic tool in idiopathic inflammatory myopathies. Arch. Pathol. Lab. Med. 2007, 131, 1070–1076. [Google Scholar] [CrossRef] [PubMed]
- Englund, P.; Lindroos, E.; Nennesmo, I.; Klareskog, L.; Lundberg, I.E. Skeletal muscle fibers express major histocompatibility complex class II antigens independently of inflammatory infiltrates in inflammatory myopathies. Am. J. Pathol. 2001, 159, 1263–1273. [Google Scholar] [CrossRef]
- Bradshaw, E.M.; Orihuela, A.; McArdel, S.L.; Salajegheh, M.; Amato, A.A.; Hafler, D.A.; Greenberg, S.A.; O’Connor, K.C. A local antigen-driven humoral response is present in the inflammatory myopathies. J. Immunol. 2007, 178, 547–556. [Google Scholar] [CrossRef]
- Salajegheh, M.; Pinkus, J.L.; Amato, A.A.; Morehouse, C.; Jallal, B.; Yao, Y.; Greenberg, S.A. Permissive environment for B-cell maturation in myositis muscle in the absence of B-cell follicles. Muscle Nerve 2010, 42, 576–583. [Google Scholar] [CrossRef] [PubMed]
- Greenberg, S.; Bradshaw, E.; Pinkus, J.; Pinkus, G.; Burleson, T.; Due, B.; Bregoli, L.; O’connor, K.; Amato, A. Plasma cells in muscle in inclusion body myositis and polymyositis. Neurology 2005, 65, 1782–1787. [Google Scholar] [CrossRef]
- Shelton, G.D.; Cardinet, G.H., 3rd; Bandman, E. Canine masticatory muscle disorders: A study of 29 cases. Muscle Nerve 1987, 10, 753–766. [Google Scholar] [CrossRef] [PubMed]
- Rostasy, K.M.; Piepkorn, M.; Goebel, H.H.; Menck, S.; Hanefeld, F.; Schulz-Schaeffer, W.J. Monocyte/macrophage differentiation in dermatomyositis and polymyositis. Muscle Nerve 2004, 30, 225–230. [Google Scholar] [CrossRef]
- Mosser, D.M. The many faces of macrophage activation. J. Leukoc. Biol. 2003, 73, 209–212. [Google Scholar] [CrossRef]
- Donato, R. Functional roles of S100 proteins, calcium-binding proteins of the EF-hand type. Biochim. Biophys. Acta (BBA) Mol. Cell Res. 1999, 1450, 191–231. [Google Scholar] [CrossRef]
- Zwadlo, G.; Bröcker, E.B.; von Bassewitz, D.B.; Feige, U.; Sorg, C. A monoclonal antibody to a differentiation antigen present on mature human macrophages and absent from monocytes. J. Immunol. 1985, 134, 1487–1492. [Google Scholar] [CrossRef]
- Shapouri-Moghaddam, A.; Mohammadian, S.; Vazini, H.; Taghadosi, M.; Esmaeili, S.-A.; Mardani, F.; Seifi, B.; Mohammadi, A.; Afshari, J.T.; Sahebkar, A. Macrophage plasticity, polarization, and function in health and disease. J. Cell. Physiol. 2018, 233, 6425–6440. [Google Scholar] [CrossRef] [PubMed]
- Naito, M.; Umeda, S.; Yamamoto, T.; Moriyama, H.; Umezu, H.; Hasegawa, G.; Usuda, H.; Shultz, L.D.; Takahashi, K. Development, differentiation, and phenotypic heterogeneity of murine tissue macrophages. J. Leukoc. Biol. 1996, 59, 133–138. [Google Scholar] [CrossRef] [PubMed]
- Bosurgi, L.; Manfredi, A.A.; Rovere-Querini, P. Macrophages in injured skeletal muscle: A perpetuum mobile causing and limiting fibrosis, prompting or restricting resolution and regeneration. Front. Immunol. 2011, 2, 62. [Google Scholar] [CrossRef] [PubMed]
- Oprescu, S.N.; Yue, F.; Qiu, J.; Brito, L.F.; Kuang, S. Temporal Dynamics and Heterogeneity of Cell Populations during Skeletal Muscle Regeneration. iScience 2020, 23, 100993. [Google Scholar] [CrossRef]
- McGavin, M.D.; Zachary, J.F. Pathologic Basis of Veterinary Disease; Mosby; Elsevier Health Sciences: Amsterdam, The Netherlands, 2021; ISBN 9780323713139. Available online: https://shop.elsevier.com/books/pathologic-basis-of-veterinary-disease/zachary/978-0-323-71313-9 (accessed on 26 August 2024).
- Roh, J.S.; Sohn, D.H. Damage-associated molecular patterns in inflammatory diseases. Immune Netw. 2018, 18, e27. [Google Scholar] [CrossRef]
- Pittman, K.; Kubes, P. Damage-associated molecular patterns control neutrophil recruitment. J. Innate Immun. 2013, 5, 315–323. [Google Scholar] [CrossRef]
- Seto, N.; Torres-Ruiz, J.J.; Carmona-Rivera, C.; Pinal-Fernandez, I.; Pak, K.; Purmalek, M.M.; Hosono, Y.; Fernandes-Cerqueira, C.; Gowda, P.; Arnett, N.; et al. Neutrophil dysregulation is pathogenic in idiopathic inflammatory myopathies. JCI Insight 2020, 5, e134189. [Google Scholar] [CrossRef]
- Torres-Ruiz, J.; Alcalá-Carmona, B.; Alejandre-Aguilar, R.; Gómez-Martín, D. Inflammatory myopathies and beyond: The dual role of neutrophils in muscle damage and regeneration. Front. Immunol. 2023, 14, 1113214. [Google Scholar] [CrossRef]
- Fermon, C.; Authier, F.-J.; Gallay, L. Idiopathic eosinophilic myositis: A systematic literature review. Neuromuscul. Disord. 2022, 32, 116–124. [Google Scholar] [CrossRef]
- Yokota, M.; Suzuki, K.; Tokoyoda, K.; Meguro, K.; Hosokawa, J.; Tanaka, S.; Ikeda, K.; Mikata, T.; Nakayama, T.; Kohsaka, H.; et al. Roles of mast cells in the pathogenesis of inflammatory myopathy. Arthritis Res. Ther. 2014, 16, R72. [Google Scholar] [CrossRef]
- Noto, C.N.; Hoft, S.G.; DiPaolo, R.J. Mast cells as important regulators in autoimmunity and cancer development. Front. Cell Dev. Biol. 2021, 9, 752350. [Google Scholar] [CrossRef]
- Pestronk, A. Neuromuscular Disease Center, Washington University, St. Louis, MO, USA. Available online: https://neuromuscular.wustl.edu/index.html (accessed on 1 June 2024).
- Ehmsen, J.T.; Hoke, A. Cellular and molecular features of neurogenic skeletal muscle atrophy. Exp. Neurol. 2020, 331, 113379. [Google Scholar] [CrossRef] [PubMed]
- Verma, A.; Bradley, W.G.; Soule, N.W.; Pendlebury, W.W.; Kelly, J.; Adelman, L.S.; Chou, S.M.; Karpati, G.; Brenner, J.F. Quantitative morphometric study of muscle in inclusion body myositis. J. Neurol. Sci. 1992, 112, 192–198. [Google Scholar] [CrossRef] [PubMed]
- Joyce, N.C.; Oskarsson, B.; Jin, L.W. Muscle biopsy evaluation in neuromuscular disorders. Phys. Med. Rehabil. Clin. N. Am. 2012, 23, 609–631. [Google Scholar] [CrossRef] [PubMed]
- Neravanda, D.; Kent, M.; Platt, S.R.; Gruenenfelder, F.I.; Shelton, G.D.; Schatzberg, S.J. Lymphoma-associated polymyositis in dogs. J. Vet. Intern. Med. 2009, 23, 1293–1298. [Google Scholar] [CrossRef] [PubMed]
- Shelton, G.D.; Minor, K.M.; Li, K.; Naviaux, J.C.; Monk, J.; Wang, L.; Guzik, E.; Guo, L.T.; Porcelli, V.; Gorgoglione, R.; et al. A Mutation in the Mitochondrial Aspartate/Glutamate Carrier Leads to a More Oxidizing Intramitochondrial Environment and an Inflammatory Myopathy in Dutch Shepherd Dogs. J. Neuromuscul. Dis. 2019, 6, 485–501. [Google Scholar] [CrossRef]







| Biopsy Site | Number of Cases |
|---|---|
| Muscles of the head | |
| M. masseter | 4 |
| M. temporalis | 1 |
| Axial Muscles | |
| Neck * | 1 |
| M. spinalis | 1 |
| M. trapezius | 2 |
| Ribs * | 1 |
| M. iliopsoas | 1 |
| Appendicular muscles | |
| M. supraspinatus | 1 |
| M. infraspinatus | 1 |
| Shoulder * | 3 |
| M. biceps brachii | 2 |
| M. triceps | 21 |
| Hindlimbs * | 2 |
| M. quadriceps femoris | 5 |
| M. vastus lateralis | 4 |
| M. biceps femoris | 14 |
| M. semitendinosus | 2 |
| M. gastrocnemius | 2 |
| M. tibialis cranialis | 4 |
| Nerve * | 2 |
Disclaimer/Publisher’s Note: The statements, opinions and data contained in all publications are solely those of the individual author(s) and contributor(s) and not of MDPI and/or the editor(s). MDPI and/or the editor(s) disclaim responsibility for any injury to people or property resulting from any ideas, methods, instructions or products referred to in the content. |
© 2024 by the authors. Licensee MDPI, Basel, Switzerland. This article is an open access article distributed under the terms and conditions of the Creative Commons Attribution (CC BY) license (https://creativecommons.org/licenses/by/4.0/).
Share and Cite
Alf, V.; Opmeer, Y.; Shelton, G.D.; Grinwis, G.C.M.; Matiasek, K.; Rosati, M.; Mandigers, P.J.J. Pathologic Changes in and Immunophenotyping of Polymyositis in the Dutch Kooiker Dog. Animals 2024, 14, 2519. https://doi.org/10.3390/ani14172519
Alf V, Opmeer Y, Shelton GD, Grinwis GCM, Matiasek K, Rosati M, Mandigers PJJ. Pathologic Changes in and Immunophenotyping of Polymyositis in the Dutch Kooiker Dog. Animals. 2024; 14(17):2519. https://doi.org/10.3390/ani14172519
Chicago/Turabian StyleAlf, Vanessa, Yvet Opmeer, G. Diane Shelton, Guy C. M. Grinwis, Kaspar Matiasek, Marco Rosati, and Paul J. J. Mandigers. 2024. "Pathologic Changes in and Immunophenotyping of Polymyositis in the Dutch Kooiker Dog" Animals 14, no. 17: 2519. https://doi.org/10.3390/ani14172519
APA StyleAlf, V., Opmeer, Y., Shelton, G. D., Grinwis, G. C. M., Matiasek, K., Rosati, M., & Mandigers, P. J. J. (2024). Pathologic Changes in and Immunophenotyping of Polymyositis in the Dutch Kooiker Dog. Animals, 14(17), 2519. https://doi.org/10.3390/ani14172519

