IL-10 Overexpression Reduces the Protective Response of an Experimental Chlamydia abortus Vaccine in a Murine Model
Abstract
Simple Summary
Abstract
1. Introduction
2. Materials and Methods
2.1. Ethics Statement
2.2. Microorganisms
2.3. Animals, Vaccination, and Experimental Design
2.4. Morbidity and Course of Infection
2.5. Histopathology and Immunohistochemistry
2.6. Cytokine Levels in Serum
2.7. Statistical Analysis
3. Results
3.1. Morbidity and Course of Infection
3.2. Bacterial Isolation
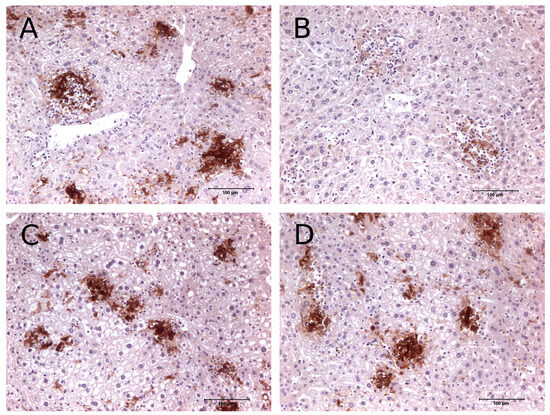
3.3. Histopathological and Immunohistochemical Findings
3.4. Immune Response
4. Discussion
5. Conclusions
- IL-10 overexpression reduces vaccine efficacy in transgenic mice, accompanied by higher levels of infection in the liver and iNOS expression.
- The IL-10-tg mouse strain may serve as a suitable and robust model for future evaluations of vaccine effectiveness against chronic infections of C. abortus.
Author Contributions
Funding
Institutional Review Board Statement
Informed Consent Statement
Data Availability Statement
Conflicts of Interest
Abbreviations
| ELISA | Enzyme-Linked Immunosorbent Assay |
| IFN-γ | Interferon-γ |
| IFUs | Inclusion-Forming Units |
| IL-10 | Interleukin-10 |
| iNOS | Inducible Nitric Oxide Synthase |
| OEA | Ovine Enzootic Abortion |
| PBMC | Peripheral Blood Mononuclear Cells |
| PMNs | Polymorphonuclear Neutrophils |
References
- Longbottom, D.; Livingstone, M.; Maley, S.; van der Zon, A.; Rocchi, M.; Wilson, K.; Wheelhouse, N.; Dagleish, M.; Aitchison, K.; Wattegedera, S.; et al. Intranasal Infection with Chlamydia abortus Induces Dose-Dependent Latency and Abortion in Sheep. PLoS ONE 2013, 8, e57950. [Google Scholar] [CrossRef]
- Wattegedera, S.R.; Livingstone, M.; Maley, S.; Rocchi, M.; Lee, S.; Pang, Y.; Wheelhouse, N.M.; Aitchison, K.; Palarea-Albaladejo, J.; Buxton, D.; et al. Defining immune correlates during latent and active chlamydial infection in sheep. Vet. Res. 2020, 51, 75. [Google Scholar] [CrossRef]
- Del Rio, L.; Barberá-Cremades, M.; Navarro, J.A.; Buendía, A.J.; Cuello, F.; Ortega, N.; Gallego, M.C.; Salinas, J.; Caro, M.R. IFN-γ expression in placenta is associated to resistance to Chlamydia abortus after intragastric infection. Microb. Pathog. 2013, 56, 1–7. [Google Scholar] [CrossRef]
- Caro, M.R.; Buendía, A.J.; Del Rio, L.; Ortega, N.; Gallego, M.C.; Cuello, F.; Navarro, J.A.; Sanchez, J.; Salinas, J. Chlamydophila abortus infection in the mouse: A useful model of the ovine disease. Vet. Microbiol. 2009, 135, 103–111. [Google Scholar] [CrossRef]
- Kerr, K.; Wheelhouse, N.; Livingstone, M.; Anderson, I.E.; Entrican, G.; McKeever, D.; Longbottom, D. Inflammatory cytokine responses in a pregnant mouse model of Chlamydophila abortus infection. Vet. Microbiol. 2010, 144, 392–398. [Google Scholar] [CrossRef]
- Del Río, L.; Murcia, A.; Buendía, A.J.; Álvarez, D.; Ortega, N.; Navarro, J.A.; Salinas, J.; Caro, M.R. Development of an in vivo model of Chlamydia abortus chronic infection in mice overexpressing IL-10. Vet. Microbiol. 2018, 213, 28–34. [Google Scholar] [CrossRef]
- Lang, R.; Rutschman, R.L.; Greaves, D.R.; Murray, P.J. Autocrine Deactivation of Macrophages in Transgenic Mice Constitutively Overexpressing IL-10 Under Control of the Human CD68 Promoter. J. Immunol. 2002, 168, 3402–3411. [Google Scholar] [CrossRef]
- Omosun, Y.; McKeithen, D.; Ryans, K.; Kibakaya, C.; Blas-Machado, U.; Li, D.; Singh, R.; Inoue, K.; Xiong, Z.G.; Eko, F.; et al. Interleukin-10 Modulates Antigen Presentation by Dendritic Cells through Regulation of NLRP3 Inflammasome Assembly during Chlamydia Infection. Infect. Immun. 2015, 83, 4662–4672. [Google Scholar] [CrossRef]
- Igietseme, J.U.; Ananaba, G.A.; Bolier, J.; Bowers, S.; Moore, T.; Belay, T.; Eko, F.O.; Deborah, L.; Black, C.M. Suppression of endogenous IL-10 gene expression in dendritic cells enhances antigen presentation for specific Th1 induction: Potential for cellular vaccine development. J. Immunol. 2000, 164, 4212–4219. [Google Scholar] [CrossRef] [PubMed]
- Wilson, E.B.; Brooks, D.G. The role of IL-10 in regulating immunity to persistent viral infections. In Negative Co-Receptors and Ligands; Springer: Berlin/Heidelberg, Germany, 2011; pp. 39–65. [Google Scholar] [CrossRef]
- Oleszycka, E.; McCluskey, S.; Sharp, F.A.; Munoz-Wolf, N.; Hams, E.; Gorman, A.L.; Fallon, P.G.; Lavelle, E.C. The vaccine adjuvant alum promotes IL-10 production that suppresses Th1 responses. Eur. J. Immunol. 2018, 48, 705–715. [Google Scholar] [CrossRef] [PubMed]
- Buendía, A.J.; Sánchez, J.; Del Río, L.; Garcés, B.; Gallego, M.D.C.; Caro, M.R.; Bernabé, A.; Salinas, J. Differences in the immune response against ruminant chlamydial strains in a murine model. Vet. Res. 1999, 30, 495–507. [Google Scholar]
- Caro, M.R.; Ortega, N.; Buendia, A.J.; Gallego, M.C.; Del Río, L.; Cuello, F.; Salinas, J. Relationship between the immune response and protection conferred by new designed inactivated vaccines against ovine enzootic abortion in a mouse model. Vaccine 2003, 21, 3126–3136. [Google Scholar] [CrossRef]
- Alvarez, D.; Salinas, J.; Buendía, A.J.; Ortega, N.; del Río, L.; Sánchez, J.; Navarro, J.A.; Gallego, M.C.; Murcia-Belmonte, A.; Cuello, F.; et al. Intratracheal infection as an efficient route for testing vaccines against Chlamydia abortus in sheep. Vet. J. 2015, 205, 393–398. [Google Scholar] [CrossRef] [PubMed]
- Del Río, L.; Murcia-Belmonte, A.; Buendia, A.J.; Navarro, J.A.; Ortega, N.; Alvarez, D.; Salinas, J.; Caro, M.R. Effect of female sex hormones on the Immune response against Chlamydia abortus and on Protection conferred by an inactivated experimental vaccine in a mouse model. Pathogens 2022, 11, 93. [Google Scholar] [CrossRef] [PubMed]
- Garcia de la Fuente, J.; Gutierrez-Martin, C.; Ortega, N.; Rodriguez-Ferri, E.; Del Rio, M.; Gonzalez, O.; Salinas, J. Efficacy of different commercial and new inactivated vaccines against ovine enzootic abortion. Vet. Microbiol. 2004, 100, 65–76. [Google Scholar] [CrossRef]
- Del Río, L.; Buendía, A.J.; Sánchez, J.; Garcés, B.; Caro, M.R.; Gallego, M.C.; Bernabé, A.; Cuello, F.; Salinas, J. Chlamydophila abortus (Chlamydia psittaci serotype 1) clearance is associated with the early recruitment of neutrophils and CD8+ T cells in a mouse model. J. Comp. Pathol. 2000, 123, 171–181. [Google Scholar] [CrossRef]
- R Core Team. R: A Language and Environment for Statistical Computing; R Foundation for Statistical Computing: Vienna, Austria, 2018. [Google Scholar]
- Peng, R.D.; Dominici, F.; Zeger, S.L. Reproducible epidemiologic research. Am. J. Epidemiol. 2006, 163, 783–789. [Google Scholar] [CrossRef]
- Del Río, L.; Buendía, A.J.; Sánchez, J.; Gallego, M.C.; Caro, M.R.; Ortega, N.; Seva, J.; Pallarés, F.J.; Cuello, F.; Salinas, J. Endogenous interleukin-12 is not required for resolution of Chlamydophila abortus (Chlamydia psittaci serotype 1) infection in mice. Infect. Immun. 2001, 69, 4808–4815. [Google Scholar] [CrossRef] [PubMed][Green Version]
- Cyktor, J.C.; Turner, J. Interleukin-10 and immunity against prokaryotic and eukaryotic intracellular pathogens. Infect. Immun. 2011, 79, 2964–2973. [Google Scholar] [CrossRef]
- Penttila, T.; Haveri, A.; Tammiruusu, A.; Vuola, J.M.; Lahesmaa, R.; Puolakkainen, M. Chlamydia pneumoniae infection in IL-10 knock out mice: Accelerated clearance but severe pulmonary inflammatory response. Microb. Pathog. 2008, 45, 25–29. [Google Scholar] [CrossRef]
- Xavier, M.N.; Winter, M.G.; Spees, A.M.; Nguyen, K.; Atluri, V.L.; Silva, T.M.; Bäumler, A.J.; Müller, W.; Santos, R.L.; Tsolis, R.M. CD4+ T cell-derived IL-10 promotes Brucella abortus persistence via modulation of macrophage function. PLoS Pathog. 2013, 9, e1003454. [Google Scholar] [CrossRef] [PubMed]
- Meghari, S.; Bechah, Y.; Capo, C.; Lepidi, H.; Raoult, D.; Murray, P.J.; Mege, J.L. Persistent Coxiella burnetii infection in mice overexpressing IL-10: An efficient model for chronic Q fever pathogenesis. PLoS Pathog. 2008, 4, e23. [Google Scholar] [CrossRef] [PubMed]
- O’Garra, A.; Barrat, F.J.; Castro, A.G.; Vicari, A.; Hawrylowicz, C. Strategies for use of IL-10 or its antagonists in human disease. Immunol. Rev. 2008, 223, 114–131. [Google Scholar] [CrossRef] [PubMed]
- Lee, M.; Rey, K.; Besler, K.; Wang, C.; Choy, J. Immunobiology of Nitric Oxide and Regulation of Inducible Nitric Oxide Synthase; Springer: Berlin/Heidelberg, Germany, 2017; pp. 181–207. [Google Scholar] [CrossRef]
- Gough, N.R. Chronic Infection, But Limited Inflammation. Sci. Signal. 2013, 6, ec2. [Google Scholar] [CrossRef]
- Dwivedi, V.; Headley, C.; Ault, R.; Torrelles, J.; Turner, J. Blockade of Interleukin-10 signaling during BCG vaccination enhances protection against Mycobacterium tuberculosis infection in mice. J. Immunol. 2017, 198, 147.14. [Google Scholar] [CrossRef]






Disclaimer/Publisher’s Note: The statements, opinions and data contained in all publications are solely those of the individual author(s) and contributor(s) and not of MDPI and/or the editor(s). MDPI and/or the editor(s) disclaim responsibility for any injury to people or property resulting from any ideas, methods, instructions or products referred to in the content. |
© 2024 by the authors. Licensee MDPI, Basel, Switzerland. This article is an open access article distributed under the terms and conditions of the Creative Commons Attribution (CC BY) license (https://creativecommons.org/licenses/by/4.0/).
Share and Cite
Del Río, L.; Salinas, J.; Ortega, N.; Buendía, A.J.; Navarro, J.A.; Caro, M.R. IL-10 Overexpression Reduces the Protective Response of an Experimental Chlamydia abortus Vaccine in a Murine Model. Animals 2024, 14, 2322. https://doi.org/10.3390/ani14162322
Del Río L, Salinas J, Ortega N, Buendía AJ, Navarro JA, Caro MR. IL-10 Overexpression Reduces the Protective Response of an Experimental Chlamydia abortus Vaccine in a Murine Model. Animals. 2024; 14(16):2322. https://doi.org/10.3390/ani14162322
Chicago/Turabian StyleDel Río, Laura, Jesús Salinas, Nieves Ortega, Antonio J. Buendía, Jose A. Navarro, and María Rosa Caro. 2024. "IL-10 Overexpression Reduces the Protective Response of an Experimental Chlamydia abortus Vaccine in a Murine Model" Animals 14, no. 16: 2322. https://doi.org/10.3390/ani14162322
APA StyleDel Río, L., Salinas, J., Ortega, N., Buendía, A. J., Navarro, J. A., & Caro, M. R. (2024). IL-10 Overexpression Reduces the Protective Response of an Experimental Chlamydia abortus Vaccine in a Murine Model. Animals, 14(16), 2322. https://doi.org/10.3390/ani14162322

