Pathogenicity of Duck Adenovirus Type 3 in Chickens
Abstract
Simple Summary
Abstract
1. Introduction
2. Materials and Methods
2.1. Animals and Ethical Statement
2.2. Viruses
2.3. Genetic and Phylogenetic Analyses
2.4. Gene Amplification and Amino Acid Comparison Analysis of Major Differential Domains of DAdV-3
| Amplified Gene | Primer Sequences (5’–3’) | Size, bp |
|---|---|---|
| fiber-2 (F) | F: acgtcaccgatcccatcatc R: attgacggtcgtggcattgt | 683 bp |
| hexon | F: atggccgctctgacccctga R: attcagccttagctactttc | 640 |
| fiber-2 | F: gcttcgcgactatttcaacca R: gccttaacgactgcggtttc | 127 |
| ORF 66 | F: atgggaatgtagatcgtggtg R: ttttgctgggatcctcaacct | 420 |
| ORF 67 | F: acctaagccacccctaccag R: gcaggatacgtcaccacgat | 398 |
| ORF 19B | F: tggtggtggaaattgatgaaga R: ttggcagtcagtgtgattcct | 307 |
| fiber (DAdV-1) | F: ctgacccaagatggtgaat R: gcaacctttgctgctttgttc | 403 |
| fiber (DAdV-2) | F: ggtcttggagtagtagtaaac R: ccaacccgtcattatttcttatc | 418 |
| fiber-2 (DAdV-4) | F: tccacctagacgaaactatg R: gtcgtggcgtcgttgtcgc | 532 |
2.5. Pathogenicity of the HF-AN-2022 Strain in Chickens
2.6. Histopathological Assays
2.7. Viral DNA Load in the Infected Samples
2.8. ELISA
3. Results
3.1. Identification and Phylogenetic Analysis of DAdV-3
3.2. Whole-Genome Sequence of the Virus and Detection of DAdV-3 Mutant Amino Acids
3.3. The Level of Antibodies
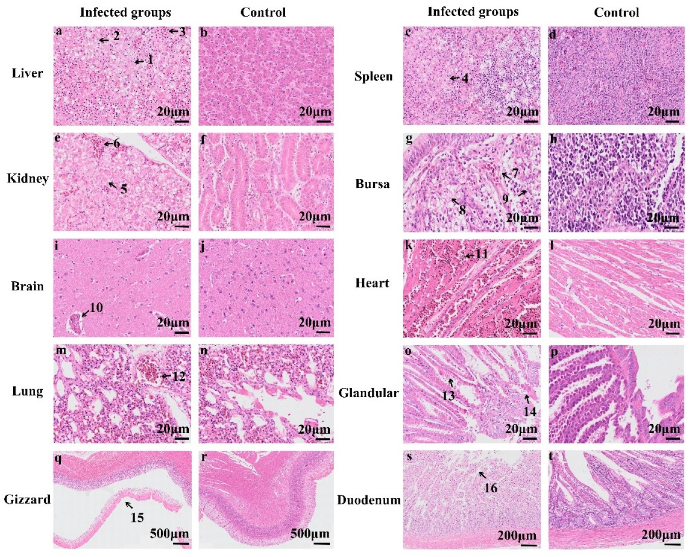
3.4. Lethality of Chickens, Symptoms, Macroscopic Lesions, and Histopathological Analysis
3.5. Distribution of the Virus in Chicken’s Organs
4. Discussion
5. Conclusions
Author Contributions
Funding
Institutional Review Board Statement
Informed Consent Statement
Data Availability Statement
Conflicts of Interest
References
- Benko, M.; Aoki, K.; Arnberg, N.; Davison, A.J.; Echavarría, M.; Hess, M.; Jones, M.S.; Kaján, G.L.; Kajon, A.E.; Mittal, S.K.; et al. ICTV Virus Taxonomy Profile: Adenoviridae 2022. J. Gen. Virol. 2022, 103, 001721. [Google Scholar] [CrossRef]
- Harrach, B.; Tarján, Z.L.; Benk, M. Adenoviruses across the animal kingdom: A walk in the zoo. FEBS Lett. 2019, 593, 3660–3673. [Google Scholar] [CrossRef] [PubMed]
- Huang, Y.Z.; Kang, H.H.; Dong, J.W.; Li, L.L.; Zhang, J.F.; Sun, J.Y.; Zhang, J.Q.; Sun, M.H. Isolation and partial genetic characterization of a new duck adenovirus in China. Vet. Microbiol. 2020, 247, 108775. [Google Scholar] [CrossRef]
- Wu, B.R.; Jiang, X.N.; He, D.L.; Wei, F.; Mao, M.T.; Zhu, Y.D.; Su, H.; Tang, Y.; Diao, Y.X. Epidemiological investigation of fowl adenovirus (FAdV) infections in ducks and geese in Shandong Province, China. Avian Pathol. 2024, 53, 155–163. [Google Scholar] [CrossRef] [PubMed]
- Hess, M.; Bicker, H.; Brandt, P. The complete nucleotide sequence of the egg drop syndrome virus: An intermediate between mastadenoviruses and aviadenoviruses. Virology 1997, 238, 145. [Google Scholar] [CrossRef]
- Zhang, X.D.; Zhong, Y.; Zhou, Z.; Liu, Y.N.; Zhang, H.L.; Chen, F.F.; Chen, W.; Xie, Q. Molecular characterization, phylogeny analysis and pathogenicity of a Muscovy duck adenovirus strain isolated in China in 2014. Virology 2016, 493, 12–21. [Google Scholar] [CrossRef] [PubMed]
- Marek, A.; Kajan, G.L.; Kosiol, C.; Harrach, B.; Schlotterer, C.; Hess, M. Complete genome sequences of pigeon adenovirus 1 and duck adenovirus 2 extend the number of species within the genus Aviadenovirus. Virology 2014, 462–463, 107–114. [Google Scholar] [CrossRef]
- Tan, Y.; Raheem, M.A.; Rahim, M.A.; Xin, H.; Zhou, Y.H.; Hu, X.R.; Dai, Y.; Ataya, F.S.; Chen, F.F. Isolation, characterization, evaluation of pathogenicity, and immunomodulation through interferon production of duck adenovirus type-3 (DAdV-3). Poult. Sci. 2024, 103, 103411. [Google Scholar] [CrossRef]
- Lin, Y.; Zhang, W.Y.; Xie, J.; Xie, Q.; Li, T.T.; Wan, Z.M.; Shao, H.X.; Qin, A.J.; Ye, J.Q. A novel monoclonal antibody efficiently blocks the infection of duck adenovirus 3 by targeting Fiber-2. Vet. Microbiol. 2023, 277, 109635. [Google Scholar] [CrossRef]
- Shao, H.X.; Zhang, W.Y.; Lin, Y.; Xie, J.; Ren, D.D.; Xie, Q.; Li, T.T.; Wan, Z.M.; Qin, A.J.; Ye, J.Q. Novel monoclonal antibodies against Fiber-1 of duck adenovirus 3 and their B cell epitopes. Front. Vet. Sci. 2022, 9, 1003262. [Google Scholar] [CrossRef]
- Schachner, A.; Marek, A.; Jaskulska, B.; Bilic, I.; Hess, M. Recombinant FAdV-4 fiber-2 protein protects chickens against hepatitis-hydropericardium syndrome (HHS). Vaccine 2014, 32, 1086–1092. [Google Scholar] [CrossRef] [PubMed]
- Yang, F.; Dong, D.L.; Wu, D.N.; Zhu, L.W.; Liu, F.M.; Yao, H.P.; Wu, N.P.; Ye, C.S.; Wu, H.B. A multiplex real-time RT-PCR method for detecting H5, H7 and H9 subtype avian influenza viruses in field and clinical samples. Virus Res. 2022, 309, 198669. [Google Scholar] [CrossRef]
- Szerman, N.; Allée, C.; Lemaitre, E.; Courtillon, C.; Amelot, M.; Courtois, D.; Naylor, C.; Leroux, A.; Lucas, P.; Blanchard, Y.; et al. The small hydrophobic (SH) gene of North American turkey AMPV-C does not attenuate nor modify host tropism in recombinant European duck AMPV-C. Virology 2019, 526, 138–145. [Google Scholar] [CrossRef] [PubMed]
- Liu, N.; Jiang, M.; Wang, M.; Wang, F.; Zhang, B.; Zhang, D.G. Isolation and detection of duck astrovirus CPH: Implications for epidemiology and pathogenicity. Avian Pathol. 2016, 45, 221–227. [Google Scholar] [CrossRef]
- Cao, Z.Z.; Zhang, C.; Liu, Y.N.; Ye, W.C.; Han, J.W.; Ma, G.M.; Zhang, D.G.; Xu, F.; Gao, X.H.; Tang, Y.; et al. Tembusu Virus in Ducks, China. Emerg. Infect. Dis. 2011, 17, 1873–1875. [Google Scholar] [CrossRef]
- Fringuelli, E.; Scott, A.N.J.; Beckett, A.; McKillen, J.; Smyth, J.A.; Palya, V.; Glavits, R.; Ivanics, E.; Mankertz, A.; Franciosini, M.P.; et al. Diagnosis of duck circovirus infections by conventional and real-time polymerase chain reaction tests. Avian Pathol. 2005, 34, 495–500. [Google Scholar] [CrossRef]
- Yafen, S.; Jin, C.; Hui, S.; Jiaqi, Y.; Zhishan, Z.; Siyu, W.; Chenggang, X.; Peirong, J.; Ming, L. New reassortant H5N8 highly pathogenic avian influenza virus from waterfowl in Southern China. Front. Microbiol. 2015, 6, 1170. [Google Scholar]
- Li, M.Z.; Raheem, M.A.; Han, C.Y.; Yu, F.M.; Dai, Y.; Imran, M.; Hong, Q.; Zhang, J.; Tan, Y.; Zha, L.S.; et al. The fowl adenovirus serotype 4 (FAdV-4) induce cellular pathway in chickens to produce interferon and antigen-presented molecules (MHCI/II). Poult. Sci. 2021, 100, 101406. [Google Scholar] [CrossRef]
- Matumoto, M. A note on some points of calculation method of LD50 by Reed and Muench. Jpn. J. Exp. Med. 1949, 20, 175–179. [Google Scholar]
- Shi, X.; Zhang, X.; Sun, H.; Wei, C.; Liu, Y.; Luo, J.; Wang, X.; Chen, Z.; Chen, H. Isolation and pathogenic characterization of duck adenovirus 3 mutant circulating in China. Poult. Sci. 2022, 101, 101564. [Google Scholar] [CrossRef]
- Sabarudin, N.S.; Tan, S.W.; Phang, Y.F.; Omar, A.R. Molecular characterization of Malaysian fowl adenovirus (FAdV) serotype 8b species E and pathogenicity of the virus in specific-pathogen-free chicken. J. Vet. Sci. 2021, 22, e42. [Google Scholar] [CrossRef] [PubMed]
- Wei, Z.P.; Liu, H.; Diao, Y.J.; Li, X.D.; Zhang, S.; Gao, B.; Tang, Y.; Hu, J.D.; Diao, Y.X. Pathogenicity of fowl adenovirus (FAdV) serotype 4 strain SDJN in Taizhou geese. Avian Pathol. 2019, 48, 477–485. [Google Scholar] [CrossRef] [PubMed]
- Yu, X.L.; Wang, Z.Z.; Chen, H.; Niu, X.Y.; Dou, Y.G.; Yang, J.; Tang, Y.; Diao, Y.X. Serological and Pathogenic Analyses of Fowl Adenovirus Serotype 4 (FAdV-4) Strain in Muscovy Ducks. Front. Microbiol. 2018, 9, 1163. [Google Scholar] [CrossRef] [PubMed]
- Chavan, V.G.; Awandkar, S.P.; Kulkarni, M.B.; Chavhan, S.G.; Kulkarni, R.C.; Agnihotri, A.A. Molecular phylodynamics of fowl adenovirus serotype 11 and 8b from inclusion body hepatitis outbreaks. Virus Genes. 2023, 59, 148–157. [Google Scholar] [CrossRef] [PubMed]
- Niczyporuk, J.S.; Kozdrun, W.; Czekaj, H.; Stys-Fijol, N.; Piekarska, K. Detection of fowl adenovirus D strains in wild birds in Poland by Loop-Mediated Isothermal Amplification (LAMP). BMC Vet. Res. 2020, 16, 58. [Google Scholar] [CrossRef]
- Kang, M.; Cha, S.Y.; Jang, H.K. Tropism and infectivity of duck-derived egg drop syndrome virus in chickens. PLoS ONE 2017, 12, e0177236. [Google Scholar] [CrossRef] [PubMed]
- Mazaheri, A.; Prusas, C.; Voss, M.; Hess, M. Some strains of serotype 4 fowl adenoviruses cause inclusion body hepatitis and hydropericardium syndrome in chickens. Avian Pathol. 1998, 27, 269–276. [Google Scholar] [CrossRef] [PubMed]
- Li, R.; Li, G.; Lin, J.; Han, S.; Hou, X.; Weng, H.; Guo, M.; Lu, Z.; Li, N.; Shang, Y.; et al. Fowl Adenovirus Serotype 4 SD0828 Infections Causes High Mortality Rate and Cytokine Levels in Specific Pathogen-Free Chickens Compared to Ducks. Front. Immunol. 2018, 9, 49. [Google Scholar] [CrossRef] [PubMed]
- Gao, J.F.; Zhao, M.L.; Duan, X.Y.; Wang, Y.Q.; Cao, H.; Li, X.Q.; Zheng, S.J.J. Requirement of Cellular Protein CCT7 for the Replication of Fowl Adenovirus Serotype 4 (FAdV-4) in Leghorn Male Hepatocellular Cells Via Interaction with the Viral Hexon Protein. Viruses 2019, 11, 107. [Google Scholar] [CrossRef]
- Li, W.; You, G.J.; Haiyilati, A.; Wang, H.N.; Jiao, H.X.; Wang, Y.Q.; Gao, L.; Cao, H.; Li, X.Q.; Zheng, S.J.J. Critical Role of Viral Protein Hexon in Hypervirulent Fowl Adenovirus Serotype-4-Induced Autophagy by Interaction with BAG3 and Promotion of Viral Replication in LMH Cells. J. Virol. 2023, 97, e0028423. [Google Scholar] [CrossRef]
- Schachner, A.; Matos, M.; Grafl, B.; Hess, M. Fowl adenovirus-induced diseases and strategies for their control—A review on the current global situation. Avian Pathol. 2018, 47, 111–126. [Google Scholar] [CrossRef]
- Guan, R.; Tian, Y.; Han, X.; Yang, X.; Wang, H. Complete genome sequence and pathogenicity of fowl adenovirus serotype 4 involved in hydropericardium syndrome in Southwest China. Microb. Pathog. 2018, 117, 290–298. [Google Scholar] [CrossRef] [PubMed]
- Niu, Y.J.; Sun, W.; Zhang, G.H.; Qu, Y.J.; Wang, P.F.; Sun, H.L.; Xiao, Y.H.; Liu, S.D. Hydropericardium syndrome outbreak caused by fowl adenovirus serotype 4 in China in 2015. J. Gen. Virol. 2016, 97, 2684–2690. [Google Scholar] [CrossRef]
- Li, N.; Wang, Y.; Li, R.; Liu, J.; Zhang, J.; Cai, Y.; Liu, S.; Chai, T.; Wei, L. Immune responses of ducks infected with duck Tembusu virus. Front. Microbiol. 2015, 6, 425. [Google Scholar] [CrossRef]
- Wei, L.; Jiao, P.; Song, Y.; Cao, L.; Yuan, R.; Gong, L.; Cui, J.; Zhang, S.; Qi, W.; Yang, S.; et al. Host immune responses of ducks infected with H5N1 highly pathogenic avian influenza viruses of different pathogenicities. Vet. Microbiol. 2013, 166, 386–393. [Google Scholar] [CrossRef]
- Chan, M.C.; Cheung, C.Y.; Chui, W.H.; Tsao, S.W.; Nicholls, J.M.; Chan, Y.O.; Chan, R.W.; Long, H.T.; Poon, L.L.; Guan, Y.; et al. Proinflammatory cytokine responses induced by influenza A (H5N1) viruses in primary human alveolar and bronchial epithelial cells. Respir. Res. 2005, 6, 135. [Google Scholar] [CrossRef] [PubMed]
- Niu, Y.J.; Sun, Q.Q.; Shi, Y.Y.; Ding, Y.H.; Li, Z.Q.; Sun, Y.C.; Li, M.H.; Liu, S.D. Immunosuppressive potential of fowl adenovirus serotype 4. Poult. Sci. 2019, 98, 3514–3522. [Google Scholar] [CrossRef] [PubMed]
- Barber, M.R.; Aldridge, J.R., Jr.; Webster, R.G.; Magor, K.E. Association of RIG-I with innate immunity of ducks to influenza. Proc. Natl. Acad. Sci. USA 2010, 107, 5913–5918. [Google Scholar] [CrossRef]
- Yin, L.; Zhou, Q.; Mai, K.; Yan, Z.; Shen, H.; Li, Q.; Chen, L.; Zhou, Q. Epidemiological investigation of duck adenovirus 3 in southern China, during 2018-2020. Avian Pathol 2022, 51, 171–180. [Google Scholar] [CrossRef]
- Li, S.; Zhao, R.; Yang, Q.Z.; Wu, M.H.; Ma, J.H.; Wei, Y.F.; Pang, Z.F.; Wu, C.R.; Liu, Y.W.; Gu, Y.X.; et al. Phylogenetic and pathogenic characterization of current fowl adenoviruses in China. Infect. Genet. Evol. 2022, 105, 105366. [Google Scholar] [CrossRef]
- Chen, L.; Yin, L.J.; Peng, P.; Zhou, Q.F.; Du, Y.P.; Zhang, Y.; Xue, C.Y.; Cao, Y.C. Isolation and Characterization of A Novel Fowl Adenovirus Serotype 8a Strain from China. Virol. Sin. 2020, 35, 517–527. [Google Scholar] [CrossRef] [PubMed]
- Schachner, A.; Gonzalez, G.; Endler, L.; Ito, K.; Hess, M. Fowl Adenovirus (FAdV) Recombination with Intertypic Crossovers in Genomes of FAdV-D and FAdV-E, Displaying Hybrid Serological Phenotypes. Viruses 2019, 11, 1094. [Google Scholar] [CrossRef] [PubMed]
- Yeo, J.I.; Lee, R.; Kim, H.; Ahn, S.; Park, J.; Sung, H.W. Genetic modification regulates pathogenicity of a fowl adenovirus 4 strain after cell line adaptation (genetic mutation in FAdV-4 lowered pathogenicity). Heliyon 2023, 9, e19860. [Google Scholar] [CrossRef]
- Schonewille, E.; Singh, A.; GöBel, T.W.; Gerner, W.; Saalmüller, A.; Hess, M. Fowl adenovirus (FAdV) serotype 4 causes depletion of B and T cells in lymphoid organs in specific pathogen-free chickens following experimental infection. Vet. Immunol. Immunopathol. 2008, 121, 130–139. [Google Scholar] [CrossRef] [PubMed]







| Inoculated Animals | Subcutaneous Inoculation | Eye–Nose Drop Inoculation | ||
|---|---|---|---|---|
| Groups | Dose and Frequency | Groups | Dose, Frequency, and Days | |
| 15-day-old SPF chickens | Group 1 | 0.2 mL virus/time, once | Group 5 | 0.2 mL virus/time, once |
| 15-day-old SPF chickens | Group 6 | 0.2 mL virus/time, twice a day for 3 days | ||
| 30-day-old SPF chickens | Group 2 | 0.2 mL virus/time, once | Group 7 | 0.2 mL virus/time, once |
| 30-day-old SPF chickens | Group 8 | 0.2 mL virus/time, twice a day for 3 days | ||
| 15-day-old SPF chickens | Group 3 | 0.2 mL PBS, once | Group 9 | 0.2 mL PBS/time, twice a day for 3 days |
| 30-day-old SPF chickens | Group 4 | 0.2 mL PBS, once | Group 10 | 0.2 mL PBS/time, twice a day, for 3 days |
| 15-day-old SPF chickens | Group 11 | 0.2 mL virus, once | ||
| 30-day-old SPF chickens | Group 12 | 0.3 mL virus, once | ||
| 15-day-old SPF chickens | Group 13 | 0.2 mL, PBS, once | ||
| 30-day-old SPF chickens | Group 14 | 0.3 mL, PBS, once | ||
| Tissue | 15 d (Group 1) | 30 d (Group 1) | Control (15 d) (Group 3) | Control (30 d) (Group 4) | |
|---|---|---|---|---|---|
| Chicken No. | 1 2 3 | 4 5 6 | 7 8 9 | 10 11 12 | |
| Gross lesions | Heart | +++, ++, ++ | ++, ++, ++ | –, –, – | –, –, – |
| Liver | +++, +++, +++ | +++, +++, +++ | –, –, – | –, –, – | |
| Spleen | +, +, + | +, +, + | –, –, – | –, –, – | |
| Lung | –, –, – | –, –, – | –, –, – | –, –, – | |
| Kidney | +++, +++, +++ | +++, +++, +++ | –, –, – | –, –, – | |
| Glandular | –, –, – | –, –, – | –, –, – | –, –, – | |
| Gizzard | ++, ++, ++ | ++, ++, ++ | –, –, – | –, –, – | |
| Brain | –, –, – | –, –, – | –, –, – | –, –, – | |
| Bursa | +++, +++, +++ | +++, +++, +++ | –, –, – | –, –, – | |
| Duodenum | –, –, – | –, –, – | –, –, – | –, –, – | |
| Histopathology | Heart | +++, +++, +++ | +++, ++, +++ | –, –, – | –, –, – |
| Liver | +++, +++, +++ | +++, +++, +++ | –, –, – | –, –, – | |
| Spleen | ++, ++, ++ | ++, ++, ++ | –, –, – | –, –, – | |
| Lung | +, ++, + | +, +, + | –, –, – | –, –, – | |
| Kidney | +++, +++, +++ | +++, +++, +++ | –, –, – | –, –, – | |
| Glandular | +, ++, + | +, +, + | –, –, – | –, –, – | |
| Gizzard | +++, +++, +++ | +++, +++, +++ | –, –, – | –, –, – | |
| Brain | –, –,– | –, –,– | –, –, – | –, –, – | |
| Bursa | +++, +++, +++ | +++, +++, +++ | –, –, – | –, –, – | |
| Duodenum | +++, +++, +++, | +++, +++, +++ | –, –, – | –, –, – |
Disclaimer/Publisher’s Note: The statements, opinions and data contained in all publications are solely those of the individual author(s) and contributor(s) and not of MDPI and/or the editor(s). MDPI and/or the editor(s) disclaim responsibility for any injury to people or property resulting from any ideas, methods, instructions or products referred to in the content. |
© 2024 by the authors. Licensee MDPI, Basel, Switzerland. This article is an open access article distributed under the terms and conditions of the Creative Commons Attribution (CC BY) license (https://creativecommons.org/licenses/by/4.0/).
Share and Cite
Zhang, X.; Xu, B.; Zhou, H.; Zhou, X.; Wang, Q.; Sun, J.; Liu, K.; Zha, L.; Li, J.; Dai, Y.; et al. Pathogenicity of Duck Adenovirus Type 3 in Chickens. Animals 2024, 14, 2284. https://doi.org/10.3390/ani14162284
Zhang X, Xu B, Zhou H, Zhou X, Wang Q, Sun J, Liu K, Zha L, Li J, Dai Y, et al. Pathogenicity of Duck Adenovirus Type 3 in Chickens. Animals. 2024; 14(16):2284. https://doi.org/10.3390/ani14162284
Chicago/Turabian StyleZhang, Xiwen, Bin Xu, Huiqin Zhou, Xiang Zhou, Qingfeng Wang, Jiayu Sun, Kewei Liu, Lisha Zha, Jinchun Li, Yin Dai, and et al. 2024. "Pathogenicity of Duck Adenovirus Type 3 in Chickens" Animals 14, no. 16: 2284. https://doi.org/10.3390/ani14162284
APA StyleZhang, X., Xu, B., Zhou, H., Zhou, X., Wang, Q., Sun, J., Liu, K., Zha, L., Li, J., Dai, Y., & Chen, F. (2024). Pathogenicity of Duck Adenovirus Type 3 in Chickens. Animals, 14(16), 2284. https://doi.org/10.3390/ani14162284

