Protopine-Type Alkaloids Alleviate Lipopolysaccharide-Induced Intestinal Inflammation and Modulate the Gut Microbiota in Mice
Abstract
Simple Summary
Abstract
1. Introduction
2. Materials and Methods
2.1. Chemicals and Reagents
2.2. Animals and Experimental Design
2.3. Sample Collection
2.4. Determination of Diarrhoea Index (DI)
2.5. Western Blotting
2.6. Enzyme-Linked Immunosorbent Assay (ELISA)
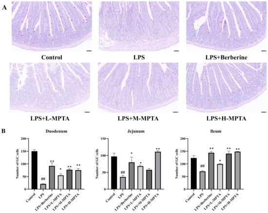
2.7. PAS Staining
2.8. H&E Staining
2.9. DNA Extraction and PCR Amplification
2.10. Illumina MiSeq Sequencing and Processing of Sequencing Data
2.11. Detection of Relative mRNA Expression by qPCR
2.12. Quantification of SCFAs
2.13. Statistical Analyses
3. Results and Discussion
3.1. Effects of MPTAs on Body Weight of LPS-Induced Mice
3.2. Effects of MPTAs on Mental State, Coats and Diarrhoea Symptoms of LPS-Induced Mice
3.3. Effects of MPTAs on Diarrhoea Symptoms
3.4. Effects of MPTAs on Intestinal Morphology of LPS-Induced Mice
3.5. Effects of MPTAs on Serum Cytokine Levels in LPS-Induced Mice
3.6. Effects of MPTAs on Inflammatory Response in LPS-Induced Mice
3.7. Effects of MPTAs on NF-κB and NLRP3 Pathways
3.8. Effects of MPTAs on Intestinal Microbiota of LPS-Induced Mice
OTU Level
3.9. α-Diversity Analysis
3.10. β-Diversity Analysis
3.11. Effects of MPTAs on Taxonomic Composition of Intestinal Microbiota
3.12. Spearman Correlation Analysis of Serum Cytokines and Gut Microbiota
3.13. Analysis of Volatile SCFAs
4. Conclusions
Supplementary Materials
Author Contributions
Funding
Institutional Review Board Statement
Informed Consent Statement
Data Availability Statement
Conflicts of Interest
References
- Zhang, H.; Chen, Y.; Chen, Y.; Li, Y.; Jia, P.; Ji, S.; Zhou, Y.; Wang, T. Dietary pterostilbene supplementation attenuates intestinal damage and immunological stress of broiler chickens challenged with lipopolysaccharide. J. Anim. Sci. 2019, 98, skz373. [Google Scholar] [CrossRef]
- Fleckenstein, J.M.; Hardwidge, P.R.; Munson, G.P.; Rasko, D.A.; Sommerfelt, H.; Steinsland, H. Molecular mechanisms of enterotoxigenic infection. Microbes Infect. 2010, 12, 89–98. [Google Scholar] [CrossRef]
- Petri, W.A.; Miller, M.; Binder, H.J.; Levine, M.M.; Dillingham, R.; Guerrant, R.L. Enteric infections, diarrhea, and their impact on function and development. J. Clin. Investig. 2008, 118, 1277–1290. [Google Scholar] [CrossRef]
- Imran, M.; Ehrhardt, C.J.; Bertino, M.F.; Shah, M.R.; Yadavalli, V.K. Chitosan Stabilized Silver Nanoparticles for the Electrochemical Detection of Lipopolysaccharide: A Facile Biosensing Approach for Gram-Negative Bacteria. Micromachines 2020, 11, 413. [Google Scholar] [CrossRef]
- Darveau, R.P.; Cunningham, M.D.; Bailey, T.; Seachord, C.; Ratcliffe, K.; Bainbridge, B.; Dietsch, M.; Page, R.C.; Aruffo, A. Ability of Bacteria Associated with Chronic Inflammatory Disease, to Stimulate E-Selectin Expression and Promote Neutrophil Adhesion. Infect. Immun. 1995, 63, 1311–1317. [Google Scholar] [CrossRef]
- Freire, M.O.; Van Dyke, T.E. Natural resolution of inflammation. Periodontol. 2000 2013, 63, 149–164. [Google Scholar] [CrossRef]
- Mathan, V.I.; Penny, G.R.; Mathan, M.M.; Rowley, D. Bacterial Lipopolysaccharide-Induced Intestinal Microvascular Lesions Leading to Acute Diarrhea. J. Clin. Investig. 1988, 82, 1714–1721. [Google Scholar] [CrossRef]
- Raetz, C.R.H.; Whitfield, C. Lipopolysaccharide endotoxins. Annu. Rev. Biochem. 2002, 71, 635–700. [Google Scholar] [CrossRef]
- Karmakar, M.; Katsnelson, M.A.; Dubyak, G.R.; Pearlman, E. Neutrophil P2X7 receptors mediate NLRP3 inflammasome-dependent IL-1β secretion in response to ATP. Nat. Commun. 2016, 7, 10555. [Google Scholar] [CrossRef]
- Slotwinski, R.; Slotwinska, S.M.; Balan, B.J.; Kedziora, S. Toll-like receptor signaling pathway in sepsis. Cent. Eur. J. Immunol. 2009, 34, 124–128. [Google Scholar]
- Miyake, K. Innate recognition of lipopolysaccharide by toll-like receptor 4-MD-2. Trends Microbiol. 2004, 12, 186–192. [Google Scholar] [CrossRef]
- Dickson, K.; Lehmann, C. Inflammatory Response to Different Toxins in Experimental Sepsis Models. Int. J. Mol. Sci. 2019, 20, 4341. [Google Scholar] [CrossRef]
- Okamura, Y.; Miyanishi, H.; Kinoshita, M.; Kono, T.; Sakai, M.; Hikima, J. A defective interleukin-17 receptor A1 causes weight loss and intestinal metabolism-related gene downregulation in Japanese medaka, Oryzias latipes. Sci. Rep. 2021, 11, 12099. [Google Scholar] [CrossRef]
- Beyaert, R.; Libert, C. How Good Roommates Can Protect against Microbial Sepsis. Cell Host Microbe 2018, 23, 283–285. [Google Scholar] [CrossRef]
- Bauer, E.; Williams, B.A.; Smidt, H.; Verstegen, M.W.A.; Mosenthin, R. Influence of the gastrointestinal microbiota on development of the immune system in young animals. Curr. Issues Intest. Microbiol. 2006, 7, 35–51. [Google Scholar]
- Yilmaz, B.; Juillerat, P.; Oyås, O.; Ramon, C.; Bravo, F.D.; Franc, Y.; Fournier, N.; Michetti, P.; Mueller, C.; Geuking, M.; et al. Microbial network disturbances in relapsing refractory Crohn’s disease. Nat. Med. 2019, 25, 323–336. [Google Scholar] [CrossRef]
- Ren, S.A.; Wang, C.J.; Chen, A.; Lv, W.T.; Gao, R.J. The Probiotic Lactobacillus paracasei Ameliorates Diarrhea Cause by Escherichia coli O8 via Gut Microbiota Modulation. Front. Nutr. 2022, 9, 878808. [Google Scholar] [CrossRef]
- Tremaroli, V.; Bäckhed, F. Functional interactions between the gut microbiota and host metabolism. Nature 2012, 489, 242–249. [Google Scholar] [CrossRef]
- Ríos-Covián, D.; Ruas-Madiedo, P.; Margolles, A.; Gueimonde, M.; de los Reyes-Gavilán, C.G.; Salazar, N. Intestinal Short Chain Fatty Acids and their Link with Diet and Human Health. Front. Microbiol. 2016, 7, 185. [Google Scholar] [CrossRef]
- Park, J.; Wang, Q.; Wu, Q.; Mao-Draayer, Y.; Kim, C.H. Bidirectional regulatory potentials of short-chain fatty acids and their G-protein-coupled receptors in autoimmune neuroinflammation. Sci. Rep. 2019, 9, 8837. [Google Scholar]
- Li, H.H.; Zhuang, Z.X.; Yu, Q.; Wang, S.M. Progress of Plant Medicine Derived Extracts and Alkaloids on Modulating Viral Infections and Inflammation. Drug Des. Dev. Ther. 2021, 15, 1385–1408. [Google Scholar]
- Gao, C.C.; Li, G.W.; Wang, T.T.; Gao, L.; Wang, F.F.; Shang, H.W.; Yang, Z.J.; Guo, Y.X.; Wang, B.Y.; Xu, J.D. Rhubarb extract relieves constipation by stimulating mucus production in the colon and altering the intestinal flora. Biomed. Pharmacother. 2021, 138, 111479. [Google Scholar] [CrossRef]
- Lu, X.; Liu, J.; Zhang, N.; Fu, Y.; Zhang, Z.; Li, Y.; Wang, W.; Li, Y.; Shen, P.; Cao, Y. Ripened Pu-erh Tea Extract Protects Mice from Obesity by Modulating Gut Microbiota Composition. J. Agric. Food Chem. 2019, 67, 6978–6994. [Google Scholar] [CrossRef]
- Liu, X.B.; Liu, Y.S.; Huang, P.; Ma, Y.S.; Qing, Z.X.; Tang, Q.; Cao, H.F.; Cheng, P.; Zheng, Y.J.; Yuan, Z.J.; et al. The Genome of Medicinal Plant Macleaya cordata Provides New Insights into Benzylisoquinoline Alkaloids Metabolism. Mol. Plant 2017, 10, 975–989. [Google Scholar] [CrossRef]
- Zhang, Q.; Zhang, Z.; Zhou, S.-Y.-D.; Jin, M.-K.; Lu, T.; Cui, L.; Qian, H. Macleaya cordata extract, an antibiotic alternative, does not contribute to antibiotic resistance gene dissemination. J. Hazard. Mater. 2021, 412, 125272. [Google Scholar] [CrossRef]
- Wang, F.; Yin, Y.X.; Yang, M.; Chen, J.S.; Fu, C.X.; Huang, K. Effects of Combined Supplementation of Extract and on the Growth Performance, Immune Responses, Antioxidant Capacity, Intestinal Morphology, and Microbial Composition in Weaned Piglets. Front. Vet. Sci. 2021, 8, 708597. [Google Scholar]
- Dayan, F.E.; Cantrell, C.L.; Duke, S.O. Natural products in crop protection. Bioorg. Med. Chem. 2009, 17, 4022–4034. [Google Scholar] [CrossRef]
- Dong, Z.; Wang, Y.H.; Tang, Z.S.; Li, C.H.; Jiang, T.; Yang, Z.H.; Zeng, J.G. Exploring the Anti-inflammatory Effects of Protopine Total Alkaloids of (Willd.) R. Br. Front. Vet. Sci. 2022, 9, 935201. [Google Scholar] [CrossRef]
- Vacek, J.; Walterová, D.; Vrublová, E.; Simánek, V. The Chemical and Biological Properties of Protopine and Allocryptopine. Heterocycles 2010, 81, 1773–1789. [Google Scholar] [CrossRef]
- Yue, M.S.; Huang, J.L.; Ma, X.L.; Huang, P.; Liu, Y.S.; Zeng, J.G. Protopine Alleviates Dextran Sodium Sulfate-Induced Ulcerative Colitis by Improving Intestinal Barrier Function and Regulating Intestinal Microbiota. Molecules 2023, 28, 5277. [Google Scholar] [CrossRef]
- Yang, Y.A.-O.; Ding, T.; Xiao, G.; Huang, J.; Luo, D.; Yue, M.; Su, Y.; Jiang, S.; Zeng, J.; Liu, Y.A.-O. Anti-Inflammatory Effects of Allocryptopine via the Target on the CX3CL1-CX3CR1 axis/GNB5/AKT/NF-κB/Apoptosis in Dextran Sulfate-Induced Mice. Biomedicines 2023, 11, 464. [Google Scholar] [CrossRef]
- Starr, M.E.; Ueda, J.; Takahashi, H.; Weiler, H.; Esmon, C.T.; Evers, B.M.; Saito, H. Age-dependent vulnerability to endotoxemia is associated with reduction of anticoagulant factors activated protein C and thrombomodulin. Blood 2010, 115, 4886–4893. [Google Scholar] [CrossRef]
- Ma, J.; Zhang, J.; Wang, Y.; Huang, J.; Yang, X.; Ma, J.; Liu, Z.; Wang, F.; Tang, X. Modified Gegen Qinlian decoction ameliorates DSS-induced chronic colitis in mice by restoring the intestinal mucus barrier and inhibiting the activation of γδT17 cells. Phytomedicine 2023, 111, 154660. [Google Scholar] [CrossRef]
- Sun, Z.M.; Li, J.X.; Dai, Y.; Wang, W.T.; Shi, R.; Wang, Z.B.; Ding, P.H.; Lu, Q.Q.; Jiang, H.; Pei, W.J.; et al. Indigo Naturalis Alleviates Dextran Sulfate Sodium-Induced Colitis in Rats via Altering Gut Microbiota. Front. Microbiol. 2020, 11, 731. [Google Scholar] [CrossRef]
- Han, D.; Yang, H.; Li, J.; Zhang, C.; Ye, L.; Dong, J.; Zhang, C.; Guo, R.; Xin, J. Macleaya cordata extract improves growth performance, immune responses and anti-inflammatory capacity in neonatal piglets. Vet. Microbiol. 2024, 293, 110090. [Google Scholar] [CrossRef]
- Yuan, Z.W.; Yang, L.H.; Zhang, X.S.; Ji, P.; Hua, Y.L.; Wei, Y.M. Huang-Lian-Jie-Du Decoction Ameliorates Acute Ulcerative Colitis in Mice Regulating NF-κB and Nrf2 Signaling Pathways and Enhancing Intestinal Barrier Function. Front. Pharmacol. 2019, 10, 1354. [Google Scholar] [CrossRef]
- Jarade, A.; Garcia, Z.; Marie, S.; Demera, A.; Prinz, I.; Bousso, P.; Di Santo, J.P.; Serafini, N. Inflammation triggers ILC3 patrolling of the intestinal barrier. Nat. Immunol. 2022, 23, 1317–1323. [Google Scholar] [CrossRef]
- McCauley, H.A.; Guasch, G. Three cheers for the goblet cell: Maintaining homeostasis in mucosal epithelia. Trends Mol. Med. 2015, 21, 492–503. [Google Scholar] [CrossRef]
- Tiwari, S.; Begum, S.; Moreau, F.; Gorman, H.; Chadee, K. Autophagy is required during high MUC2 mucin biosynthesis in colonic goblet cells to contend metabolic stress. Am. J. Physiol.-Gastrointest. Liver Physiol. 2021, 321, G489–G499. [Google Scholar] [CrossRef]
- Fishman, J.E.; Sheth, S.U.; Levy, G.; Alli, V.; Xu, D.Z.; Qin, Y.; Qin, X.F.; Deitch, E.A. Intraluminal Nonbacterial Intestinal Components Control Gut and Lung Injury After Trauma Hemorrhagic Shock. Ann. Surg. 2014, 260, 1112–1120. [Google Scholar] [CrossRef]
- Wang, X.Y.; Zhang, X.Y.; Su, J.Q.; Chu, X.L. Acanthopanax senticosus total flavonoids alleviate lipopolysaccharide-induced intestinal inflammation and modulate the gut microbiota in mice. Biosci. Rep. 2022, 42, BSR20212670. [Google Scholar] [CrossRef]
- Pan, L.F.; Yu, L.; Wang, L.M.; He, J.T.; Sun, J.L.; Wang, X.B.; Wang, H.; Bai, Z.H.; Feng, H.; Pei, H.H. Inflammatory stimuli promote oxidative stress in pancreatic acinar cells via Toll-like receptor 4/nuclear factor-κB pathway. Int. J. Mol. Med. 2018, 42, 3582–3590. [Google Scholar] [CrossRef]
- Shao, B.Z.; Xu, Z.Q.; Han, B.Z.; Su, D.F.; Liu, C. NLRP3 inflammasome and its inhibitors: A review. Front. Pharmacol. 2015, 6, 262. [Google Scholar] [CrossRef]
- García, J.A.; Volt, H.; Venegas, C.; Doerrier, C.; Escames, G.; López, L.C.; Acuña-Castroviejo, D. Disruption of the NF-κB/NLRP3 connection by melatonin requires retinoid-related orphan receptor-α and blocks the septic response in mice. FASEB J. 2015, 29, 3863–3875. [Google Scholar] [CrossRef]
- Guo, X.A.-O.X.; Li, J.; Tang, R.; Zhang, G.; Zeng, H.; Wood, R.J.; Liu, Z. High Fat Diet Alters Gut Microbiota and the Expression of Paneth Cell-Antimicrobial Peptides Preceding Changes of Circulating Inflammatory Cytokines. Mediat. Inflamm. 2017, 2017, 9474896. [Google Scholar] [CrossRef]
- Qi, C.; Li, Y.; Yu, R.Q.; Zhou, S.L.; Wang, X.G.; Le, G.W.; Jin, Q.Z.; Xiao, H.; Sun, J. Composition and immuno-stimulatory properties of extracellular DNA from mouse gut flora. World J. Gastroentero 2017, 23, 7830–7839. [Google Scholar] [CrossRef]
- Cremonesi, E.; Governa, V.; Garzon, J.F.G.; Mele, V.; Amicarella, F.; Muraro, M.G.; Trella, E.; Galati-Fournier, V.; Oertli, D.; Däster, S.R.; et al. Gut microbiota modulate T cell trafficking into human colorectal cancer. Gut 2018, 67, 1984–1994. [Google Scholar] [CrossRef]
- Stevenson, D.M.; Weimer, P.J. Dominance of Prevotella and low abundance of classical ruminal bacterial species in the bovine rumen revealed by relative quantification real-time PCR. Appl. Microbiol. Biotechnol. 2007, 75, 165–174. [Google Scholar] [CrossRef]
- Chen, L.; Wilson, J.E.; Koenigsknecht, M.J.; Chou, W.C.; Montgomery, S.A.; Truax, A.D.; Brickey, W.J.; Packey, C.D.; Maharshak, N.; Matsushima, G.K.; et al. NLRP12 attenuates colon inflammation by maintaining colonic microbial diversity and promoting protective commensal bacterial growth. Nat. Immunol. 2017, 18, 541–551. [Google Scholar] [CrossRef]
- Chen, Z.; Radjabzadeh, D.; Chen, L. Association of insulin resistance and type 2 diabetes with gut microbial diversity: A microbiome-wide analysis from population studies. JAMA Netw. Open 2021, 4, e2118811. [Google Scholar] [CrossRef]
- Deleu, S.; Machiels, K.; Raes, J.; Verbeke, K.; Vermeire, S. Short chain fatty acids and its producing organisms: An overlooked therapy for IBD? EBiomedicine 2021, 66, 103293. [Google Scholar] [CrossRef] [PubMed]














| Gene | Accession Number | Primer Sequence (5′–3′) |
|---|---|---|
| GAPDH | NM_008084.2 | CCTCGTCCCGTAGACAAAATG TGAGGTCAATGAAGGGGTCGT |
| TLR4 | NM_021297.2 | TGAGGACTGGGTGAGAAATGAGC CTGCCATGTTTGAGCAATCTCAT |
| P65 | NM_001365067.1 | TCCTTTTCTCAAGCTGATGTGC TTTCGGGTAGGCACAGCAAT |
| NLRP3 | NM_145827.4 | AGCCTTCCAGGATCCTCTTC CTTGGGCAGCAGTTTCTTTC |
| IL-1β | NM_008361.4 | ACTCATTGTGGCTGTGGAGA TTGTTCATCTCGGAGCCTGT |
Disclaimer/Publisher’s Note: The statements, opinions and data contained in all publications are solely those of the individual author(s) and contributor(s) and not of MDPI and/or the editor(s). MDPI and/or the editor(s) disclaim responsibility for any injury to people or property resulting from any ideas, methods, instructions or products referred to in the content. |
© 2024 by the authors. Licensee MDPI, Basel, Switzerland. This article is an open access article distributed under the terms and conditions of the Creative Commons Attribution (CC BY) license (https://creativecommons.org/licenses/by/4.0/).
Share and Cite
Huang, J.; Yue, M.; Yang, Y.; Liu, Y.; Zeng, J. Protopine-Type Alkaloids Alleviate Lipopolysaccharide-Induced Intestinal Inflammation and Modulate the Gut Microbiota in Mice. Animals 2024, 14, 2273. https://doi.org/10.3390/ani14152273
Huang J, Yue M, Yang Y, Liu Y, Zeng J. Protopine-Type Alkaloids Alleviate Lipopolysaccharide-Induced Intestinal Inflammation and Modulate the Gut Microbiota in Mice. Animals. 2024; 14(15):2273. https://doi.org/10.3390/ani14152273
Chicago/Turabian StyleHuang, Jialu, Meishan Yue, Yang Yang, Yisong Liu, and Jianguo Zeng. 2024. "Protopine-Type Alkaloids Alleviate Lipopolysaccharide-Induced Intestinal Inflammation and Modulate the Gut Microbiota in Mice" Animals 14, no. 15: 2273. https://doi.org/10.3390/ani14152273
APA StyleHuang, J., Yue, M., Yang, Y., Liu, Y., & Zeng, J. (2024). Protopine-Type Alkaloids Alleviate Lipopolysaccharide-Induced Intestinal Inflammation and Modulate the Gut Microbiota in Mice. Animals, 14(15), 2273. https://doi.org/10.3390/ani14152273

